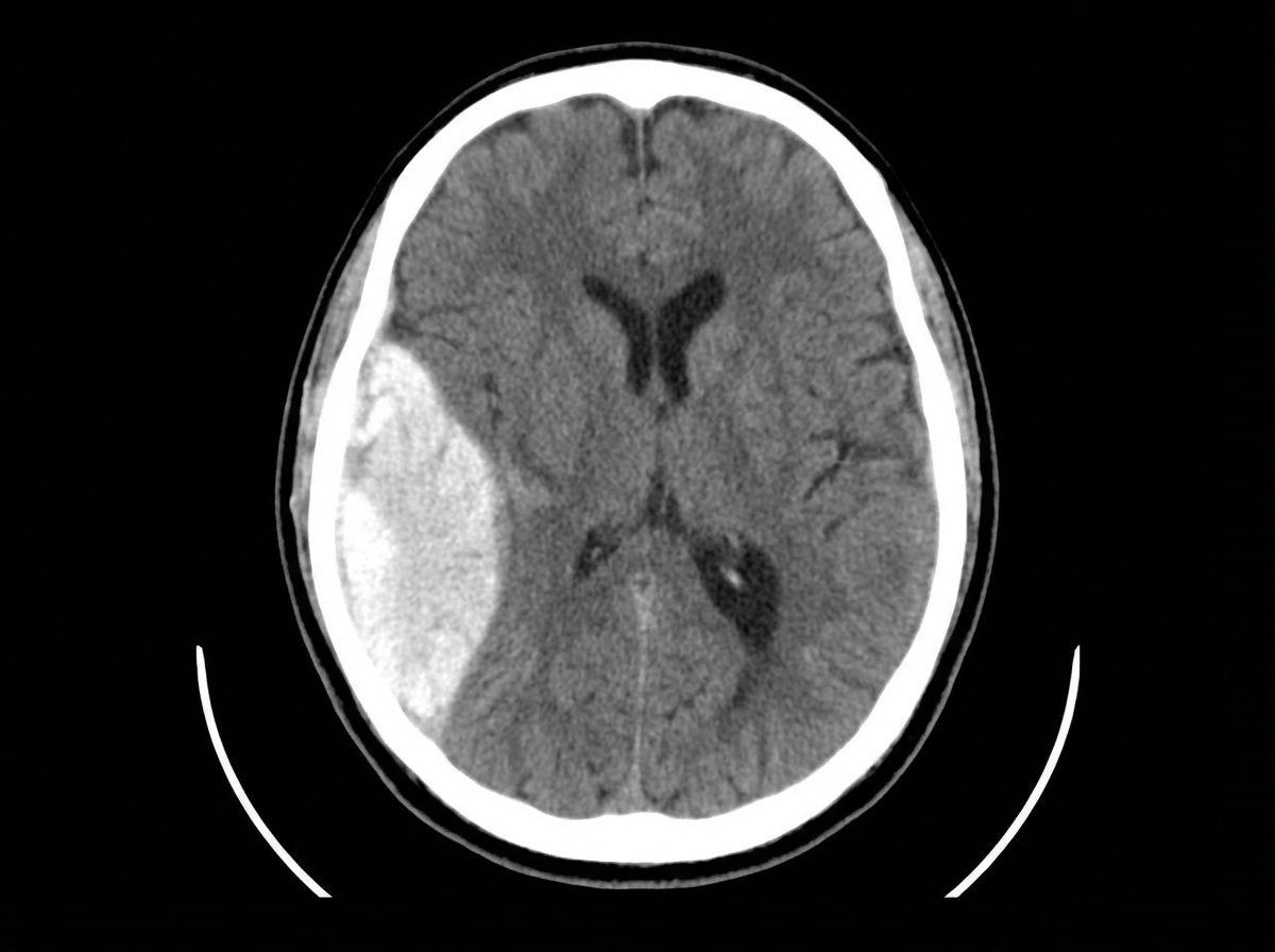
A 30-year-old patient with a head injury presented to the emergency department. NCCT findings are provided. All of the following are true about this condition except:

A 50-year-old male presents with severe vomiting and retching accompanied by sharp substernal pain. Four hours later, a chest X-ray reveals air density outlining the left descending aorta. What is the optimum strategy for his care?
After an open injury, what is the optimum time for nerve suture?
In burns, when does pus formation typically occur?
Which of the following are causes of secondary brain injury?
A 50-year-old man with a history of being a Jehovah's Witness, who refuses blood transfusions, is brought to the emergency department after a motor vehicle accident. He presents with signs of shock (hypotension, tachycardia) and abdominal ultrasound reveals free fluid, necessitating an emergency laparotomy. If the patient requires blood during the operation, what is the surgeon's best course of action?
Kernohan's notch is seen in which organ injury?
What is the correct method for examining the spine of a polytrauma patient?
A 40-year-old man sustained injuries to the liver, gallbladder, small intestine, and colon from gunshot wounds. At the time of surgery, a cholecystostomy was placed in the injured gallbladder to expedite operative management. Four weeks later, the patient is doing well. Which is the next step in management?
A 25-year-old female was involved in a car accident. Her Glasgow Coma Scale (GCS) was normal. On examination, her heart rate was 150/min, blood pressure was 90/60 mm Hg, and respiratory rate was 20/min. Her jugular venous pressure (JVP) was raised, her abdomen was not tender, and she had ecchymosis over her anterior chest. Breath sounds were absent on one side. What is the most appropriate diagnosis?
Explanation: ***Full recovery is rare even after treatment*** - This statement is **incorrect** - full recovery is actually **common** with prompt surgical treatment of epidural hematoma. - Early recognition and **immediate surgical evacuation** leads to excellent prognosis in most cases, making this the exception among the given statements. *Lucid interval is positive* - **Classic feature** of epidural hematoma where patient initially loses consciousness, then appears normal before deteriorating. - Occurs due to **progressive hematoma expansion** causing delayed compression of brain structures. *Immediate surgical evacuation should be done* - **Emergency craniotomy** and hematoma evacuation is the standard treatment for epidural hematoma. - Delay in surgical intervention can lead to **brain herniation** and death due to increasing intracranial pressure. *Arterial bleeding* - Epidural hematoma typically results from **middle meningeal artery** rupture following temporal bone fracture. - **High-pressure arterial bleeding** causes rapid hematoma formation, unlike venous subdural hematomas.
Explanation: **Explanation:** The clinical presentation of severe vomiting followed by sharp substernal pain, combined with the radiographic finding of air outlining the aorta (**V-sign of Naclerio**), is pathognomonic for **Boerhaave Syndrome** (spontaneous transmural esophageal perforation). **1. Why Immediate Thoracotomy is Correct:** Boerhaave syndrome is a surgical emergency. The perforation leads to the leakage of gastric contents into the mediastinum, causing fulminant mediastinitis, sepsis, and shock. Within the first 24 hours, the treatment of choice is **immediate primary surgical repair** (thoracotomy) and mediastinal debridement. The prognosis worsens significantly with every hour of delay. **2. Why Incorrect Options are Wrong:** * **Option B:** While MI can present with chest pain, the history of retching and the presence of pneumomediastinum on X-ray point directly to esophageal rupture. Delaying surgery for cardiac enzymes increases mortality. * **Option C:** A chest tube alone is insufficient for a transmural rupture as it does not address the esophageal defect or the contaminated mediastinum. * **Option D:** While diagnosis can be confirmed via Gastrografin swallow, **flexible endoscopy is generally avoided** in suspected Boerhaave syndrome because the insufflation of air can worsen the pneumomediastinum and tension pneumothorax. **High-Yield Clinical Pearls for NEET-PG:** * **Mackler’s Triad:** Vomiting, chest pain, and subcutaneous emphysema. * **Most common site:** Left posterolateral aspect of the distal esophagus (2-3 cm above the GE junction). * **Radiology:** Look for the "V-sign of Naclerio" (air between the diaphragm and aorta) and "Hamman’s Crunch" (systolic crunching sound on auscultation). * **Gold Standard Diagnosis:** Water-soluble contrast (Gastrografin) swallow.
Explanation: **Explanation:** The timing of nerve repair after an open injury is primarily dictated by the **nature of the wound** and the **mechanism of injury**. In open trauma, the risk of contamination and subsequent infection is high. **Why Option D is Correct:** The fundamental principle of nerve surgery is that a nerve suture should only be attempted in a **clean, well-vascularized field**. If a nerve is sutured in an infected environment, the resulting inflammatory response leads to excessive fibrosis and scarring at the suture site. This prevents axonal regeneration across the repair, leading to a failed functional outcome. Therefore, the "optimum time" in the context of an open, potentially contaminated injury is as soon as the wound is confirmed to be healthy and free from infection. **Analysis of Incorrect Options:** * **A. Immediately:** While "Primary Repair" (within 24 hours) is ideal for clean, sharp incised wounds (e.g., a surgical blade or glass cut), it is contraindicated in ragged, contaminated open injuries where the extent of nerve contusion is not yet clear. * **B & C. Within one month / 1-2 months:** These represent "Delayed Primary" or "Secondary" repairs. While these are common timeframes, they are arbitrary. The biological prerequisite is wound healing; if a wound remains infected at two months, suturing the nerve would still result in failure. **NEET-PG High-Yield Pearls:** * **Primary Repair:** Best for clean, sharp transections. * **Delayed Repair (3–6 weeks):** Preferred for blunt trauma or crush injuries. This allows the zone of injury (extent of scarring) to become clearly demarcated, ensuring the surgeon trims back to healthy fascicles. * **Wallerian Degeneration:** Begins within 24–48 hours post-injury. * **Regeneration Rate:** Nerve fibers typically regrow at a rate of **1 mm/day**.
Explanation: **Explanation:** In burn injuries, the formation of pus is primarily associated with the **liquefaction of the burn eschar** due to bacterial colonization. While a burn wound is initially sterile due to the heat of the injury, it becomes colonized by skin flora and environmental pathogens within 48 to 72 hours. By **3 to 5 days**, the bacterial load (commonly *Staphylococcus aureus* or *Pseudomonas*) increases significantly, leading to the inflammatory response and enzymatic breakdown of necrotic tissue, which manifests clinically as pus. **Analysis of Options:** * **A (2-3 days):** This is the period of initial bacterial colonization. While the wound is no longer sterile, there is usually insufficient leukocytic infiltration and tissue liquefaction to form visible pus. * **B (3-5 days):** **Correct.** This timeframe aligns with the peak of the inflammatory phase and the establishment of a significant bacterial count in the eschar, leading to suppuration. * **C & D (2-4 weeks):** By this stage, if the burn is deep, the eschar has typically already separated (sloughing). These timeframes are more associated with the formation of granulation tissue or the development of chronic wound infections/sepsis rather than the initial onset of pus. **High-Yield Clinical Pearls for NEET-PG:** * **Most common cause of early infection:** *Staphylococcus aureus*. * **Most common cause of late/opportunistic infection:** *Pseudomonas aeruginosa* (characterized by a greenish-blue discharge and a fruity odor). * **Burn Wound Sepsis:** Defined as a bacterial count >$10^5$ organisms per gram of tissue. * **Silver Sulfadiazine:** The most commonly used topical antibiotic; however, it can cause transient leukopenia. * **Mafenide Acetate:** Used for thick eschars and ear burns (penetrates cartilage) but can cause metabolic acidosis via carbonic anhydrase inhibition.
Explanation: **Explanation:** Traumatic Brain Injury (TBI) is divided into two phases: **Primary injury**, which occurs at the moment of impact (e.g., contusions, diffuse axonal injury), and **Secondary injury**, which refers to the subsequent biochemical and physiological cascades that further damage brain tissue. The core principle in managing TBI is the prevention of secondary brain injury by maintaining adequate **Cerebral Perfusion Pressure (CPP)** and oxygenation. * **Option A (Pyrexia and Hypotension):** Hypotension reduces the Mean Arterial Pressure (MAP), directly lowering CPP ($CPP = MAP - ICP$). Pyrexia (fever) increases the cerebral metabolic rate of oxygen ($CMRO_2$), exacerbating the mismatch between oxygen supply and demand. * **Option B (Seizures and Metabolic Disturbance):** Seizures cause a massive spike in metabolic demand and can increase intracranial pressure (ICP). Metabolic disturbances (like hyponatremia or hyperglycemia) lead to cerebral edema and neuronal toxicity. * **Option C (Low CPP):** Low CPP leads to cerebral ischemia. If the brain's autoregulation is impaired (common in trauma), any drop in CPP results in immediate infarction of vulnerable "penumbra" tissue. Since all these factors contribute to the worsening of the initial insult, **Option D** is the correct answer. **High-Yield Clinical Pearls for NEET-PG:** * **The "Lethal Duo":** Hypotension (Systolic BP < 90 mmHg) and Hypoxia ($PaO_2$ < 60 mmHg) are the two most significant avoidable causes of secondary brain injury. * **Cushing’s Triad (Sign of increased ICP):** Hypertension, Bradycardia, and Irregular Respiration. * **Target CPP:** In TBI management, the goal is typically to maintain CPP between **60–70 mmHg**. * **Monroe-Kellie Doctrine:** The cranial vault is a fixed volume; an increase in one component (blood, CSF, or brain/mass) must be compensated by a decrease in another, or ICP will rise.
Explanation: ### Explanation **1. Why Option C is Correct:** The core principle at play here is **Patient Autonomy** and the right to refuse medical treatment. In the case of a competent adult (or an adult who has previously expressed a clear, competent directive), their refusal of blood products must be respected, even if it results in death. For Jehovah’s Witnesses, the refusal of blood is a deeply held religious belief. Legally and ethically, a surgeon cannot override a competent patient's refusal. Proceeding with surgery while utilizing "bloodless" techniques (e.g., cell salvage, meticulous hemostasis, and volume expanders) is the only permissible path. **2. Why the Other Options are Incorrect:** * **Option A:** While ethics committees are helpful for long-term dilemmas, an emergency laparotomy for trauma is time-sensitive. Delaying surgery for a consultation in an unstable patient is clinically inappropriate. * **Option B:** Neighbors or friends do not have legal standing to make medical decisions unless they are the officially designated Health Care Power of Attorney. * **Option D:** Administering blood against a patient's known refusal constitutes **Medical Battery**. Even in an emergency, the patient's prior informed refusal remains valid. **3. Clinical Pearls for NEET-PG:** * **Autonomy vs. Beneficence:** In competent adults, Autonomy (the patient's right to choose) almost always outweighs Beneficence (the doctor's duty to act in the patient's best interest). * **Minors:** A crucial distinction—if the patient were a **minor** child of Jehovah’s Witness parents, the court can grant an emergency order to transfuse to save the child's life, as parents cannot refuse life-saving treatment for their children based on religious beliefs. * **Documentation:** Always ensure the refusal is documented and witnessed, and use non-blood products like crystalloids, colloids, and erythropoietin where applicable.
Explanation: **Explanation:** **Kernohan’s notch** is a classic neurosurgical phenomenon associated with **uncal herniation** (a type of transtentorial herniation). When a space-occupying lesion (like an extradural or subdural hematoma) causes the medial temporal lobe (uncus) to shift, it pushes the midbrain against the sharp, rigid edge of the **contralateral tentorial incisura**. This mechanical compression creates a groove or "notch" in the cerebral peduncle, known as Kernohan’s notch. **Why Option A is correct:** The injury occurs in the **brain**. Specifically, compression of the contralateral cerebral peduncle affects the descending corticospinal fibers *above* their decussation. This results in **ipsilateral hemiparesis** (weakness on the same side as the primary lesion), which is considered a **false localizing sign**. **Why other options are incorrect:** * **Options B, C, and D:** Lungs and Liver (Right/Left lobes) are solid or visceral organs prone to blunt or penetrating trauma (e.g., Couinaud segments in liver trauma). However, "Kernohan’s notch" is a specific anatomical term reserved exclusively for midbrain compression in neurotrauma. It has no correlation with thoracic or abdominal organ injuries. **High-Yield Clinical Pearls for NEET-PG:** * **Triad of Uncal Herniation:** Ipsilateral dilated pupil (CN III compression), contralateral hemiparesis (standard), or ipsilateral hemiparesis (Kernohan’s notch phenomenon), and deteriorating GCS. * **False Localizing Sign:** Kernohan’s notch is the most common cause of a false localizing motor sign in head injury. * **Burr Hole Site:** In emergencies, the first burr hole is typically placed on the side of the **dilated pupil**, not necessarily the side of the hemiparesis.
Explanation: ### Explanation **Correct Answer: A. Log roll** In the management of a polytrauma patient, the **Log Roll** is the gold-standard technique for examining the spine. The primary objective is to maintain **neutral spinal alignment** to prevent secondary spinal cord injury while inspecting the back for bruising, step-offs, or penetrating wounds and performing a digital rectal exam (DRE). * **Mechanism:** It requires a minimum of four people: one person to maintain manual in-line stabilization (MILS) of the head and neck, and three others to rotate the patient’s torso and limbs as a single unit. This prevents any twisting or flexion of the vertebral column. **Analysis of Incorrect Options:** * **B. Barrel roll:** This is not a recognized medical maneuver for trauma. In other contexts, it refers to a specific movement in aviation or a physical therapy exercise, but it lacks the stabilization required for spinal safety. * **C. Chin lift:** This is a component of the "Head tilt-Chin lift" maneuver used to open the airway. However, in trauma patients with suspected cervical spine injury, this is **contraindicated**; instead, the **Jaw Thrust** maneuver is used to avoid neck extension. **Clinical Pearls for NEET-PG:** * **Priority:** Spinal immobilization must be maintained from the scene of the accident until a spinal injury is radiologically and clinically ruled out. * **The "Captain":** The person at the head of the bed (maintaining C-spine stabilization) is the leader and coordinates the timing of the roll. * **Limitation:** While the log roll is standard, recent ATLS guidelines suggest minimizing its use in patients with unstable pelvic fractures to avoid further hemorrhage; in such cases, "6-man lifts" or specialized scoops may be preferred. * **Clearing the Spine:** A spine is "cleared" only when the patient is conscious, has no midline tenderness, no distracting injuries, and no neurological deficits (NEXUS criteria/Canadian C-spine rules).
Explanation: ### **Explanation** The correct answer is **B. Perform a cholangiogram through the cholecystostomy tube.** #### **1. Why Option B is Correct** In trauma surgery, a cholecystostomy tube is often placed as a "damage control" measure to manage gallbladder injuries quickly when the patient is unstable. Before removing this tube, it is mandatory to ensure **biliary tree patency**. A **postoperative tube cholangiogram** serves two critical purposes: * It confirms that the cystic duct and common bile duct (CBD) are patent and free of stones or traumatic strictures. * It ensures there is no extravasation (leakage) of bile into the peritoneum. If the cholangiogram shows free flow of contrast into the duodenum without leaks, the tube can then be safely clamped and eventually removed. #### **2. Why Other Options are Incorrect** * **Option A (Remove the tube):** Removing the tube without confirming ductal patency is dangerous. If there is a distal CBD obstruction or a leak, removing the tube will lead to biliary peritonitis. * **Option B (Perform a cholecystectomy):** While the gallbladder was injured, if the patient is now asymptomatic and the cholecystostomy has stabilized the injury, an immediate cholecystectomy is not mandatory unless the cholangiogram reveals persistent pathology or the gallbladder is non-functional/diseased. * **Option D (Perform a choledochoduodenostomy):** This is a biliary bypass procedure used for distal CBD obstruction (e.g., strictures or periampullary tumors). It is not indicated here as there is no evidence of permanent biliary obstruction. #### **3. High-Yield Clinical Pearls for NEET-PG** * **Damage Control Surgery (DCS):** The primary goal is to control hemorrhage and contamination. Definitive repairs (like cholecystectomy) are deferred if the patient is in the "lethal triad" (acidosis, hypothermia, coagulopathy). * **Cholecystostomy Indications:** Apart from trauma, it is the treatment of choice for **acute cholecystitis in critically ill patients** who are unfit for general anesthesia. * **Timing:** A cholecystostomy tube is typically left in situ for **4–6 weeks** to allow a mature tract to form before removal, minimizing the risk of bile leak.
Explanation: ### Explanation The patient presents with signs of **obstructive shock** (tachycardia, hypotension, and raised JVP) following blunt chest trauma. The clinical triad of **hypotension, raised JVP, and absent breath sounds** on one side is pathognomonic for **Tension Pneumothorax**. #### Why Tension Pneumothorax is Correct: In a tension pneumothorax, a "one-way valve" mechanism allows air into the pleural space but prevents its escape. This leads to increased intrapleural pressure, causing: 1. **Lung collapse:** Resulting in absent breath sounds. 2. **Mediastinal shift:** Compressing the vena cava and heart, leading to decreased venous return (raised JVP) and decreased cardiac output (hypotension/tachycardia). #### Why Other Options are Incorrect: * **Cardiac Tamponade:** While it presents with Beck’s Triad (hypotension, raised JVP, muffled heart sounds), **breath sounds remain normal and equal** bilaterally. * **Massive Hemothorax:** This presents with hypotension and absent breath sounds; however, due to significant blood loss, the **JVP would be flat (collapsed)**, not raised. * **Pleural Effusion:** This is typically a chronic or subacute finding and does not cause acute obstructive shock in a trauma setting. #### NEET-PG High-Yield Pearls: * **Diagnosis:** Tension pneumothorax is a **clinical diagnosis**. Do NOT wait for a Chest X-ray if the patient is unstable. * **Immediate Management:** Needle decompression (traditionally 2nd intercostal space in the mid-clavicular line; ATLS 10th ed. now prefers the **5th intercostal space** anterior to the mid-axillary line). * **Definitive Management:** Tube thoracostomy (Chest tube). * **Differentiating Feature:** The presence of **hyper-resonance** on percussion further confirms pneumothorax over hemothorax (which is dull to percuss).
Initial Assessment of Trauma Patient
Practice Questions
Advanced Trauma Life Support (ATLS) Principles
Practice Questions
Chest Trauma
Practice Questions
Abdominal Trauma
Practice Questions
Head Trauma
Practice Questions
Spinal Trauma
Practice Questions
Extremity Trauma
Practice Questions
Vascular Trauma
Practice Questions
Genitourinary Trauma
Practice Questions
Burns Management
Practice Questions
Mass Casualty Management
Practice Questions
Damage Control Surgery
Practice Questions
Get full access to all questions, explanations, and performance tracking.
Start For Free