In CPR, the sternum should be depressed at a rate of:
A 25-year-old patient presents with upper abdominal pain following a road traffic injury. Their blood pressure is 130/80 mmHg and pulse is 92/min with good volume. A CECT scan reveals findings suggestive of intra-abdominal injury. What is the next line of management?
A 5-year-old child has burns on the surface of their body corresponding to the size of their palm. What percentage of the total body surface area does this represent?
All are true about tension pneumothorax except?
Raccoon's eye is a feature of which of the following?
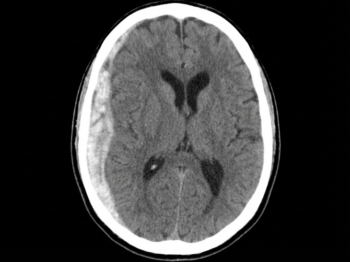
Following a sudden impact in an accident, a 34-year-old race car driver becomes unconscious and is admitted to the hospital. A CT scan reveals a right space-occupying lesion. What is the most likely diagnosis?

A 65-year-old male weighing 50 kg was admitted with 80% burn. According to the Parkland method, how much fluid should be infused in the first 8 hours?
What is the treatment for cardiac tamponade?
Which of the following statements is true about the management of burns?
In lingual splaying of guardsman fracture with ORIF, which is the clinical feature?
Explanation: **Explanation:** The core objective of Cardiopulmonary Resuscitation (CPR) is to maintain a "coronary perfusion pressure" sufficient to keep the heart and brain viable. According to the latest **AHA (American Heart Association) Guidelines**, the recommended rate for chest compressions is **100–120 compressions per minute**. **Why Option B is correct:** Mathematically, a rate of 100–120 compressions per minute translates to approximately **2 compressions per second**. Since each compression involves depressing the sternum (to a depth of at least 2 inches or 5 cm in adults), the rate of "2 inches per 1 second" (representing two distinct compression-recoil cycles) is the most accurate representation of the required clinical cadence. **Analysis of Incorrect Options:** * **Option A (1 inch per 1 second):** This equates to 60 compressions per minute, which is too slow to generate adequate cardiac output. * **Option C & D (1 or 2 inches per 5 seconds):** These rates (12 compressions per minute) are dangerously inadequate and would lead to rapid irreversible ischemic brain damage. **High-Yield Clinical Pearls for NEET-PG:** * **Compression Depth:** In adults, the sternum should be depressed at least **2 inches (5 cm)** but no more than **2.4 inches (6 cm)**. * **Chest Recoil:** Allow complete chest recoil after each compression to permit the heart to refill (diastolic filling). * **Minimize Interruptions:** Keep pauses in compressions to less than 10 seconds. * **Compression-Ventilation Ratio:** For adults, it is **30:2** (for both 1 and 2 rescuers) until an advanced airway is placed. * **Hand Placement:** Lower half of the sternum.
Explanation: ### Explanation The management of blunt abdominal trauma is primarily dictated by the patient's **hemodynamic stability**, rather than the severity of the injury seen on imaging. **1. Why Conservative Management is Correct:** The patient is **hemodynamically stable** (BP 130/80 mmHg, Pulse 92/min). In modern trauma protocols (ATLS), stable patients with solid organ injuries (liver, spleen, or kidney) identified on CECT are managed via **Non-Operative Management (NOM)**. This involves intensive monitoring, serial clinical examinations, and bed rest. CECT is the gold standard for grading these injuries, but stability is the "green light" for a conservative approach, which preserves organ function and avoids surgical complications. **2. Why the Other Options are Incorrect:** * **B, C, and D (Exploratory Laparotomy):** Any form of immediate surgery is contraindicated in a hemodynamically stable patient unless there are clear signs of hollow viscus perforation or peritonitis. * **Packing** is a component of "Damage Control Surgery" used for uncontrollable hemorrhage in unstable patients. * **Hepatectomy** is rarely performed in trauma and is reserved for extensive tissue destruction. * **Hepatic artery ligation** is a historical/last-resort measure for hemorrhage that cannot be controlled by other means. **Clinical Pearls for NEET-PG:** * **The Golden Rule:** Stability = CECT and Conservative Management; Instability = FAST and Laparotomy. * **Most common organ injured** in blunt trauma: **Spleen** (overall), but **Liver** is also frequently involved. * **Prerequisite for NOM:** Hemodynamic stability, absence of peritoneal signs, and availability of ICU/surgical backup. * If a stable patient under NOM becomes unstable, the next step is often **Angio-embolization** (if a bleed is localized) or emergency laparotomy.
Explanation: The correct answer is **A. 1%**. ### **Explanation** In burn management, the **"Rule of Palms"** is a quick clinical tool used to estimate the percentage of Total Body Surface Area (TBSA) involved in small or patchy burns. According to this rule, the area of the **patient’s entire palmar surface** (including the palm and the fingers) represents approximately **1% of their TBSA**. This rule is particularly useful in pediatric cases where the "Rule of Nines" may be less accurate due to different body proportions. ### **Analysis of Incorrect Options** * **B. 5%:** This is an overestimation. While 5% might represent a small limb or a portion of the trunk in an infant, it does not correspond to the palmar surface. * **C. 10%:** This is incorrect. For context, in an adult, an entire arm is roughly 9%. A single palm is significantly smaller. * **D. 9%:** This refers to the **"Rule of Nines"** (Wallace’s Rule), where major body parts (like the head or an arm in an adult) are assigned 9% or multiples thereof. It is used for large, confluent burns rather than small, palm-sized areas. ### **NEET-PG High-Yield Pearls** * **The Patient's Palm:** Always use the *patient’s* palm for estimation, not the examiner’s. * **Lund and Browder Chart:** This is the **most accurate** method for calculating TBSA in children because it accounts for the change in body proportions (larger head, smaller legs) as a child grows. * **Rule of Nines in Children:** Unlike adults (Head = 9%), a child’s head is relatively larger, accounting for **18%** of TBSA, while each leg is **14%**. * **Fluid Resuscitation:** TBSA calculation is the first step in the **Parkland Formula** (4mL × kg × %TBSA), which is critical for preventing hypovolemic shock in burn patients.
Explanation: **Explanation:** Tension pneumothorax is a life-threatening clinical emergency characterized by a "one-way valve" mechanism where air enters the pleural space during inspiration but cannot escape during expiration. **Why Option C is the Correct Answer (The "Except"):** While needle decompression is the immediate life-saving intervention, the **definitive treatment** for tension pneumothorax is the insertion of a **Chest Tube (Tube Thoracostomy)**. In the context of NEET-PG questions, "needle aspiration" is often distinguished from "needle decompression." Furthermore, the current ATLS 10th edition guidelines have updated the site for needle decompression to the **5th intercostal space** (mid-axillary line) rather than the traditional 2nd. **Analysis of Other Options:** * **Option A:** Mechanical ventilation with Positive End-Expiratory Pressure (PEEP) is indeed the leading cause of tension pneumothorax in ICU settings due to alveolar rupture under pressure. * **Option B:** In a tension pneumothorax, the intrapleural pressure remains **positive** throughout both inspiration and expiration, unlike a simple pneumothorax where it may fluctuate. * **Option D:** The hallmark of tension pneumothorax is **obstructive shock**. The high intrapleural pressure causes a mediastinal shift, compressing the SVC/IVC and kinking the pulmonary veins, leading to decreased venous return and inadequate cardiac output. **Clinical Pearls for NEET-PG:** * **Diagnosis:** It is a **clinical diagnosis**. Never wait for a Chest X-ray if you suspect it. * **Classic Triad:** Respiratory distress, hypotension (shock), and distended neck veins (JVP). * **Tracheal Shift:** Occurs to the **contralateral** (opposite) side. * **Percussion:** Hyper-resonant note on the affected side. * **Immediate Action:** Needle decompression (14-16G cannula) followed by a chest tube (usually 28-32 Fr).
Explanation: **Explanation:** **Raccoon’s Eye** (periorbital ecchymosis) is a clinical sign of a **basal skull fracture**, specifically involving the anterior cranial fossa. In the context of midface trauma, it occurs when the fracture line involves the **orbital floor or walls**, leading to blood extravasation into the periorbital soft tissues. **Why Option D is Correct:** * **Le Fort II (Pyramidal fracture):** The fracture line passes through the nasal bones, maxillary sinus, and the **infraorbital rim (orbital floor)**. This involvement of the orbit leads to periorbital edema and ecchymosis (Raccoon’s eye). * **Le Fort III (Craniofacial disjunction):** The fracture line involves the zygomatic arch, the **lateral and medial orbital walls**, and the orbital floor. Because this fracture completely separates the facial skeleton from the cranial base through the orbits, Raccoon’s eye is a classic hallmark. **Why Other Options are Incorrect:** * **Le Fort I (Guerin’s fracture):** This is a low-level horizontal fracture above the apices of the teeth. It involves the maxilla and pterygoid plates but **does not involve the orbits**. Therefore, it presents with a "floating palate" but not Raccoon’s eyes. **Clinical Pearls for NEET-PG:** 1. **Battle’s Sign:** Post-auricular ecchymosis indicating a fracture of the **petrous temporal bone** (middle cranial fossa). 2. **CSF Rhinorrhea:** Commonly associated with Le Fort II and III due to involvement of the ethmoid bone/cribriform plate. 3. **Dish-face Deformity:** Characteristic of Le Fort III due to the backward and downward displacement of the midface. 4. **Guérin’s Sign:** Ecchymosis in the region of the greater palatine vessels, seen in Le Fort I.
Explanation: ***Acute subdural hematoma*** - **High-speed trauma** with immediate **loss of consciousness** is classic for acute subdural hematoma, which results from **bridging vein tears** between cortex and dura. - CT shows **crescent-shaped hyperdense collection** that **crosses suture lines** with potential **midline shift**, consistent with a space-occupying lesion. *Corpus callosum injury* - Typically occurs in **diffuse axonal injury** and would not present as a **space-occupying lesion** on CT scan. - Usually associated with **small hemorrhagic lesions** in corpus callosum, brainstem, and white matter, not a large hematoma. *Acute epidural hematoma* - Presents with **biconvex (lens-shaped)** hyperdense collection that **does not cross suture lines** on CT scan. - Often associated with **temporal bone fracture** and **middle meningeal artery** injury, with classic **lucid interval** before deterioration. *Pituitary apoplexy* - Involves **spontaneous hemorrhage** into the **pituitary gland**, not related to trauma mechanism described. - Presents with **severe headache**, **visual field defects**, and **hormonal dysfunction**, not immediate unconsciousness from impact.
Explanation: ### Explanation The **Parkland Formula** is the gold standard for fluid resuscitation in burn patients during the first 24 hours. It calculates the total volume of Ringer’s Lactate (RL) required as follows: **Total Fluid (24 hrs) = 4 ml × Body Weight (kg) × Total Body Surface Area (TBSA) %** **Calculation for this patient:** * Weight = 50 kg; TBSA = 80% * Total Fluid = 4 × 50 × 80 = **16,000 ml** **Distribution Protocol:** * **First 8 hours:** Give 50% of the total volume (8,000 ml). * **Next 16 hours:** Give the remaining 50% (8,000 ml). To find the hourly rate for the first 8 hours: 8,000 ml ÷ 8 hours = **1,000 ml/h**. --- ### Analysis of Options * **Option C (1,000 ml/h):** Correct. This represents half the total calculated volume delivered over the first 8 hours. * **Option A (200 ml/h):** Incorrect. This is a gross under-resuscitation, likely to lead to hypovolemic shock and acute tubular necrosis. * **Option B (500 ml/h):** Incorrect. This would only deliver 4,000 ml in 8 hours, which is only 25% of the required Parkland volume. * **Option D (8,000 ml/h):** Incorrect. This is the total volume for the *entire* first 8-hour period, not the hourly rate. --- ### High-Yield Clinical Pearls for NEET-PG 1. **Fluid of Choice:** Crystalloid (Ringer’s Lactate) is preferred as it is isotonic and the lactate helps buffer metabolic acidosis. 2. **Timing:** The "first 8 hours" starts from the **time of injury**, not the time of hospital admission. 3. **Modified Brooke’s Formula:** Uses 2 ml/kg/% TBSA (often used in modern practice to avoid "fluid creep" or over-resuscitation). 4. **Monitoring:** The best indicator of adequate fluid resuscitation is **Urinary Output** (Target: 0.5–1 ml/kg/hr in adults; 1 ml/kg/hr in children).
Explanation: **Explanation:** **Cardiac Tamponade** is a surgical emergency characterized by the accumulation of fluid (blood, in trauma) in the pericardial sac, leading to increased intrapericardial pressure, restricted ventricular filling, and decreased cardiac output. **Why Option B is Correct:** The definitive immediate treatment for cardiac tamponade is the removal of pericardial fluid to relieve pressure. **Emergency subxiphoid percutaneous drainage (Pericardiocentesis)** is the procedure of choice in an acute setting. By inserting a needle at a 45-degree angle between the xiphoid process and the left costal margin, the clinician can aspirate the fluid, leading to immediate hemodynamic improvement. In trauma cases, this often serves as a bridge to a formal pericardial window or thoracotomy. **Why Other Options are Incorrect:** * **A. Immediate anticoagulation:** This is contraindicated. Tamponade in trauma is usually due to hemopericardium; anticoagulants would worsen the bleeding. * **C. Transesophageal pericardiocentesis:** This is not a standard clinical procedure. Pericardiocentesis is performed percutaneously (transthoracic) or under ultrasound guidance. * **D. Stabilize and observe:** Tamponade is rapidly fatal due to obstructive shock. Observation leads to cardiac arrest; active intervention is mandatory. **High-Yield Clinical Pearls for NEET-PG:** * **Beck’s Triad:** Hypotension, Muffled heart sounds, and Distended neck veins (JVP). * **Pulsus Paradoxus:** A drop in systolic BP >10 mmHg during inspiration. * **Kussmaul’s Sign:** Paradoxical rise in JVP on inspiration (more common in constrictive pericarditis but can be seen in tamponade). * **ECG Findings:** Low voltage QRS and **Electrical Alternans** (pathognomonic). * **Investigation of Choice:** Bedside **ECHO** (Focused Assessment with Sonography for Trauma - FAST).
Explanation: **Explanation:** The management of burns focuses on preventing infection, minimizing scarring, and restoring function. **Why Option B is Correct:** Early excision and skin grafting (typically within 24–72 hours) is the gold standard for deep partial-thickness and full-thickness burns. By removing necrotic tissue (eschar) early, the source of inflammatory mediators and potential bacterial colonization is eliminated. This significantly reduces the risk of burn wound sepsis, shortens hospital stays, and results in superior functional and cosmetic outcomes compared to conservative management. **Why Other Options are Incorrect:** * **Option A:** Immediate first aid for all burns (including fourth-degree) involves cooling with running tap water (15°C) for approximately 20 minutes. This limits the depth of injury by dissipating heat and reducing local edema. * **Option C:** Face burns are often managed using the **"Open Method"** (Exposure method). Because the face has a rich blood supply and complex contours, it heals well without occlusive dressings, which can be cumbersome and increase the risk of local infection in this area. * **Option D:** Silver sulfadiazine is a popular topical antimicrobial because it is **painless** upon application. In contrast, **Mafenide acetate** (Sulfamylon) is known to cause a painful, stinging sensation and can lead to metabolic acidosis. **High-Yield NEET-PG Pearls:** * **Parkland Formula:** 4ml × Body Weight (kg) × % TBSA (Total Burn Surface Area). Give half in the first 8 hours. * **Silver Sulfadiazine:** Contraindicated in pregnancy, newborns, and patients with sulfa allergies; can cause transient leukopenia. * **Curling’s Ulcer:** An acute gastroduodenal ulcer associated with severe burns. * **Inhalation Injury:** The most common cause of early mortality in burn patients.
Explanation: ### Explanation **Concept:** A **Guardsman fracture** (also known as a Sentry fracture) is a midline or parasymphyseal fracture of the mandible, typically associated with bilateral condylar fractures. It occurs due to a direct blow to the chin (e.g., a soldier fainting and hitting the ground). In this injury, the pull of the **mylohyoid muscle** and the **lateral pterygoid muscles** causes a characteristic displacement. The mandibular segments undergo **lingual splaying** (the lower borders of the mandible move inward) and **buccal/lateral flaring** of the posterior segments. This results in a physical widening of the lower face, specifically an **increased interangular distance** (the distance between the two mandibular angles). **Analysis of Options:** * **D. Increased interangular distance (Correct):** The mechanical displacement of the mandibular fragments leads to a widening of the mandibular base, increasing the distance between the angles of the mandible. * **A. Increased intercanthal distance:** This is seen in **Naso-ethmoid-orbital (NEO) fractures** due to the disruption of the medial canthal ligaments (Telecanthus). * **B. Increased interpupillary distance:** This refers to hypertelorism, which is a congenital craniofacial anomaly, not typically a feature of acute mandibular trauma. * **C. Increased gonion-gnathion distance:** This measures the length of the mandibular body. While displacement occurs, the primary clinical hallmark of splaying is the widening of the face (interangular), not a lengthening of the body. **High-Yield Clinical Pearls for NEET-PG:** * **Mechanism:** Direct impact on the symphysis menti. * **Triad:** Symphysis/Parasymphysis fracture + Bilateral Condylar fractures. * **Clinical Sign:** "Apertognathia" (anterior open bite) is frequently seen due to the bilateral condylar involvement. * **Radiology:** Always check the condyles in any patient presenting with a midline mandibular fracture.
Initial Assessment of Trauma Patient
Practice Questions
Advanced Trauma Life Support (ATLS) Principles
Practice Questions
Chest Trauma
Practice Questions
Abdominal Trauma
Practice Questions
Head Trauma
Practice Questions
Spinal Trauma
Practice Questions
Extremity Trauma
Practice Questions
Vascular Trauma
Practice Questions
Genitourinary Trauma
Practice Questions
Burns Management
Practice Questions
Mass Casualty Management
Practice Questions
Damage Control Surgery
Practice Questions
Get full access to all questions, explanations, and performance tracking.
Start For Free