What is the most common origin of cerebral metastases?
In order to expose the coeliac axis, left renal artery, superior mesenteric artery, and abdominal aorta in a case of trauma, which of the following procedures is performed?
A blow-out fracture of the zygomatic arch can cause which of the following?
Which of the following is NOT true about mandible fractures?
What is the most common site for an extradural hematoma?
Which of the following statements regarding the management of burns is incorrect?
A 25-year-old college student sustains injuries in a road traffic accident and is brought to the casualty department. The patient presents with marked abdominal distension, a pulse rate of 140/minute, and a blood pressure of 80/50 mm Hg. What is the most appropriate initial investigation?
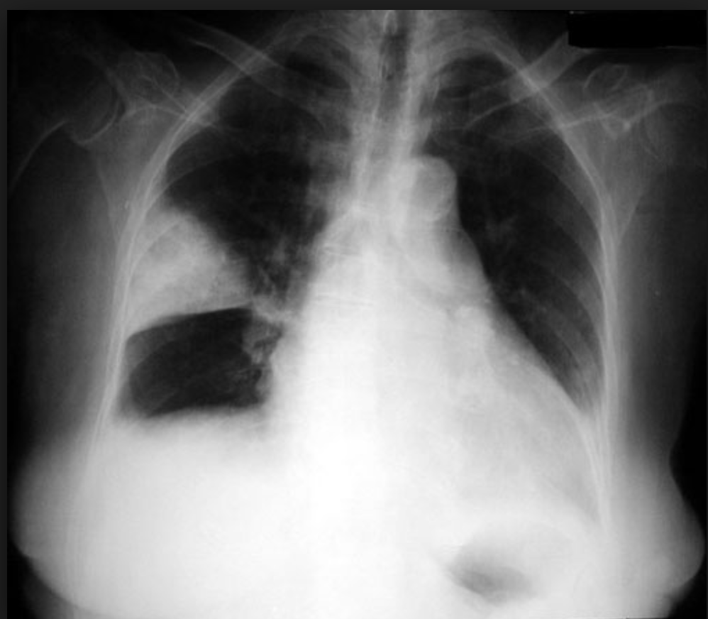
A patient presents to the emergency department with breathlessness following chest trauma. The chest X-ray is shown in the image below. What is the most appropriate next step in management?

Battle's sign is associated with which of the following conditions?
Which one of the following is the most common site of Berry aneurysm?
Explanation: **Explanation:** Brain metastases are the most common intracranial tumors in adults, occurring much more frequently than primary brain malignancies. **1. Why Lung is Correct:** **Lung cancer** is the most common primary source of cerebral metastases, accounting for approximately **40–50%** of all cases. This is due to the high incidence of lung cancer and the direct access tumor cells have to the systemic arterial circulation via the pulmonary veins, bypassing the initial filtration of the lungs. Both Small Cell Lung Cancer (SCLC) and Non-Small Cell Lung Cancer (NSCLC), particularly adenocarcinoma, have a high predilection for the brain. **2. Analysis of Incorrect Options:** * **Colon (A):** Colorectal cancer typically metastasizes to the liver first via the portal circulation. Brain involvement is rare (approx. 1–2%) and usually occurs in the setting of advanced, multi-organ systemic disease. * **Kidney (B):** Renal Cell Carcinoma (RCC) is a known cause of brain metastasis (approx. 7–10%), often presenting as a solitary, highly vascular lesion. However, it is significantly less common than lung or breast primaries. * **Melanoma (C):** While melanoma has the **highest propensity** (highest percentage of patients with the disease developing brain spread), it is not the most common overall because the general incidence of melanoma is lower than that of lung cancer. **3. High-Yield Clinical Pearls for NEET-PG:** * **Most common overall:** Lung > Breast > Melanoma > Renal > GI. * **Highest Propensity:** Melanoma (up to 50% of patients develop brain mets). * **Most common source in children:** Neuroblastoma. * **Location:** Most metastases (80%) occur at the **grey-white matter junction** due to the narrowing of blood vessels (embolic trapping). * **Imaging:** Contrast-enhanced MRI is the gold standard; lesions typically show "ring enhancement" with significant peritumoral edema.
Explanation: ### Explanation The correct procedure is **Left Medial Visceral Rotation**, also known as the **Mattox Maneuver**. #### 1. Why Left Medial Visceral Rotation is Correct In the setting of abdominal trauma, the **Mattox maneuver** is the gold standard for exposing the entire length of the **descending abdominal aorta** and its major branches. * **Procedure:** It involves incising the lateral peritoneal reflection (White line of Hilton) starting from the iliac crest and extending cranially to the ligament of Treitz. * **Organs Rotated:** The descending colon, spleen, tail of the pancreas, and stomach are mobilized medially (towards the midline). * **Exposure:** This provides a clear surgical field to access the **coeliac axis, superior mesenteric artery (SMA), left renal artery**, and the suprarenal/infrarenal aorta. #### 2. Why Other Options are Incorrect * **Right Medial Visceral Rotation (Cattell-Braasch Maneuver):** This involves mobilizing the ascending colon and the small bowel mesentery medially. It is used to expose the **Inferior Vena Cava (IVC)**, right renal vessels, and the third/fourth parts of the duodenum. It does not provide access to the coeliac axis or SMA. * **Cranial/Caudal Visceral Rotation:** These are not standard surgical terms for trauma maneuvers. Visceral rotations in trauma are categorized by the direction of mobilization (Medial) and the side of the abdomen (Left or Right). #### 3. Clinical Pearls for NEET-PG * **Mattox Maneuver (Left):** Think "Aorta and its branches." * **Cattell-Braasch Maneuver (Right):** Think "IVC and retroperitoneal structures on the right." * **Kocher Maneuver:** A subset of right-sided mobilization used specifically to expose the duodenum and head of the pancreas. * **Zone I Retroperitoneal Hematoma:** Both Mattox and Cattell-Braasch maneuvers are critical for exploring Zone I (midline) hematomas to rule out major vascular injury.
Explanation: **Explanation:** A **blow-out fracture** typically involves the floor of the orbit (the weakest part), often caused by a direct blow to the eye or zygomatic complex. The correct answer is **Diplopia** due to two primary mechanisms: 1. **Entrapment:** The inferior rectus muscle or associated periorbital fat can become herniated and trapped within the fracture line (usually in the maxillary sinus), restricting upward gaze. 2. **Displacement:** The increase in orbital volume leads to **enophthalmos** (recession of the eyeball), causing a misalignment of the visual axes. **Analysis of Options:** * **B. Diplopia (Correct):** As explained, muscle entrapment and orbital floor collapse lead to double vision, especially on upward gaze. * **A. Anosmia:** This is associated with fractures of the **cribriform plate** of the ethmoid bone (anterior cranial fossa trauma), not the zygomatic arch or orbital floor. * **C. Exophthalmos:** Blow-out fractures cause **Enophthalmos** (sunken eye) due to the escape of orbital contents into the maxillary sinus. Exophthalmos is seen in orbital tumors, Graves' disease, or retrobulbar hemorrhage. * **D. Epistaxis:** While a fracture involving the maxillary sinus can cause bleeding into the nose, it is a non-specific sign. Diplopia is the classic, pathognomonic clinical feature tested in the context of orbital floor/zygomatic injuries. **High-Yield Clinical Pearls for NEET-PG:** * **Most common site:** The **maxillary bone** (orbital floor) is the most common site, followed by the ethmoid bone (lamina papyracea). * **Nerve Involvement:** The **infraorbital nerve** is frequently injured, leading to anesthesia/paresthesia of the cheek and upper lip. * **Radiology:** Look for the **"Teardrop sign"** on a Water’s view X-ray, representing herniated orbital fat in the maxillary sinus. * **Initial Management:** Advise the patient **not to blow their nose** to prevent orbital emphysema.
Explanation: ### Explanation **1. Why Option C is the correct (False) statement:** The **Inferior Alveolar Nerve (IAN)**, a branch of the mandibular nerve ($V_3$), is the most commonly injured nerve in mandible fractures, particularly those involving the body and angle. It runs within the mandibular canal. The **Anterior Superior Alveolar Nerve** is a branch of the maxillary nerve ($V_2$) and supplies the upper teeth; it is not involved in mandibular trauma. **2. Analysis of Incorrect Options (True statements):** * **Option A:** The **condylar neck** is statistically the most common site of fracture (approx. 30-35%), followed by the angle and the symphysis/parasymphysis. This occurs because the condyle is a structural weak point designed to fail to prevent the mandible from being driven into the middle cranial fossa during impact. * **Option B:** **Malocclusion** (a change in the "bite") is the hallmark clinical sign of a displaced mandible fracture. Patients often report that "their teeth don't fit together anymore." * **Option C:** The **Orthopantomogram (OPG)** or **Panorex** is the gold standard screening radiograph for diagnosing mandible fractures as it provides a single panoramic view of the entire bone from condyle to condyle. **3. Clinical Pearls for NEET-PG:** * **Guardsman Fracture:** A midline symphysis fracture combined with bilateral condylar fractures, typically caused by a direct blow to the chin. * **Ring Bone Principle:** The mandible functions like a ring; if you see one fracture, always look for a second fracture on the contralateral side. * **Physical Exam:** Look for the **"Tongue Blade Test"**—if a patient can crack a wooden tongue depressor between their teeth, a fracture is unlikely. * **Treatment:** Most fractures require **Open Reduction and Internal Fixation (ORIF)** or Maxillomandibular Fixation (MMF).
Explanation: ### Explanation **Correct Answer: B. Temporo-parietal** **1. Why Temporo-parietal is correct:** An Extradural Hematoma (EDH) most commonly occurs due to arterial bleeding into the space between the inner table of the skull and the dura mater. The **Temporo-parietal region** is the most frequent site because the bone (pterion) is thinnest here, making it highly susceptible to fractures. This area overlies the **Middle Meningeal Artery (MMA)**, specifically its anterior branch. Trauma to this region often results in a skull fracture that lacerates the MMA, leading to the classic biconvex (lens-shaped) hematoma seen on CT. **2. Why other options are incorrect:** * **Frontal (A):** While the second most common site, it is less frequent than the temporo-parietal region. * **Occipital (C):** Rare for EDH; trauma here is more likely to cause posterior fossa hematomas or parenchymal contusions. * **Brain stem (D):** This is an intracranial structure. EDH is an extracerebral collection; primary brain stem injuries are usually related to Diffuse Axonal Injury (DAI) or Duret hemorrhages. **3. Clinical Pearls for NEET-PG:** * **Classic Presentation:** History of head trauma → **Lucid Interval** (temporary improvement before rapid deterioration) → Ipsilateral pupil dilation (due to 3rd nerve compression) → Contralateral hemiparesis. * **Imaging:** Non-contrast CT (NCCT) shows a **hyperdense, biconvex/lenticular** shape that does *not* cross suture lines (but can cross the midline). * **Source of Bleed:** Arterial (85%) - Middle Meningeal Artery; Venous (15%) - Dural venous sinuses (common in children). * **Management:** Urgent surgical evacuation via burr hole or craniotomy if the volume is >30ml or GCS is decreasing.
Explanation: This question tests your knowledge of the contraindications of specific drugs in trauma and burn management. ### **Why Option C is Incorrect (The Correct Answer)** Succinylcholine is a depolarizing neuromuscular blocker that causes a transient release of potassium from muscle cells. In burn patients, there is an **upregulation of extrajunctional acetylcholine receptors**. Administering succinylcholine can lead to a massive, life-threatening **hyperkalemic response**, potentially causing cardiac arrest. * **Timeline:** While generally safe in the first 24–48 hours post-burn, it is strictly contraindicated after the first 48 hours and for up to 1–2 years post-injury. In an emergency setting where the exact time of injury or baseline potassium is unknown, it is safer to use non-depolarizing agents like **Rocuronium**. ### **Analysis of Other Options** * **Option A (Correct Practice):** Immediate cooling with running tap water (15°C) for 20 minutes reduces tissue damage, limits burn depth, and provides analgesia. Ice should be avoided as it causes vasoconstriction. * **Option B (Correct Practice):** Burn injuries are excruciating. Intravenous opioids (e.g., Morphine or Fentanyl) are the gold standard for analgesia. * **Option D (Correct Practice):** Fluid resuscitation is the cornerstone of management for major burns (typically >15-20% TBSA) to prevent hypovolemic shock, usually guided by the **Parkland Formula**. ### **High-Yield Clinical Pearls for NEET-PG** * **Parkland Formula:** 4 mL × Body Weight (kg) × % TBSA of Ringer’s Lactate (half in first 8 hours, half in next 16 hours). * **Drug of Choice for Intubation in Burns:** Rocuronium (Non-depolarizing). * **Silver Sulfadiazine:** Contraindicated in pregnancy, newborns, and on the face (causes staining). * **Inhalation Injury:** Suspect if there are singed nasal hairs or carbonaceous sputum; requires early prophylactic intubation.
Explanation: **Explanation:** The patient presents with **hypovolemic shock** (tachycardia 140/min, hypotension 80/50 mmHg) and abdominal distension following blunt trauma. This clinical picture suggests a massive hemoperitoneum. **1. Why FAST scan is the correct answer:** In an **unstable** trauma patient, the primary goal is to identify the source of hemorrhage rapidly without moving the patient from the resuscitation area. **FAST (Focused Assessment with Sonography for Trauma)** is the investigation of choice because it is bedside, non-invasive, rapid, and highly sensitive for detecting free intraperitoneal fluid (blood). It evaluates four areas: Hepatorenal pouch (Morison’s), Splenorenal recess, Pelvis (Pouch of Douglas), and the Pericardium. **2. Why other options are incorrect:** * **CT Abdomen:** While the gold standard for identifying specific organ injuries, it is **contraindicated in hemodynamically unstable patients** because it requires transporting the patient to the radiology suite ("Death begins in the CT scanner"). * **Abdominal Paracentesis:** This is an invasive procedure with a higher risk of bowel injury compared to ultrasound. It has largely been replaced by FAST or DPL (Diagnostic Peritoneal Lavage). * **Plain X-ray Abdomen:** This has very limited utility in acute trauma. It cannot reliably detect hemoperitoneum and only shows free air (perforation), which is not the immediate life-threatening priority in a shocked patient. **Clinical Pearls for NEET-PG:** * **Hemodynamically Unstable + Positive FAST:** Proceed directly to **Emergency Laparotomy**. * **Hemodynamically Stable + Positive FAST:** Proceed to **CECT Abdomen** to grade the injury. * **E-FAST:** An extended version of FAST that includes the thorax to rule out PTX (Pneumothorax) and Hemothorax. * **DPL:** Indicated only if FAST is unavailable or inconclusive in an unstable patient. A "positive" DPL is >100,000 RBCs/mm³ or >500 WBCs/mm³.
Explanation: ***Plan for insertion of a chest tube*** - In **traumatic hemothorax** or **large pneumothorax** following chest trauma, **chest tube insertion** is the definitive emergency management to drain blood/air and prevent cardiovascular compromise. - **Tube thoracostomy** allows continuous drainage, lung re-expansion, and monitoring of ongoing bleeding, which is crucial in trauma patients. *Order for HRCT Scan* - **HRCT** is not the immediate next step in **emergency trauma** management when chest X-ray already shows significant pleural collection. - Delays definitive treatment and is inappropriate when **hemodynamic instability** or **respiratory compromise** may be present. *Thoracocentesis* - **Needle thoracocentesis** is inadequate for **traumatic hemothorax** as it cannot provide continuous drainage or handle large volumes of blood. - Reserved for **diagnostic purposes** or small pleural effusions, not for emergency trauma management with significant collections. *Observe and monitor* - **Conservative management** is inappropriate for significant **post-traumatic pleural collections** that can cause respiratory compromise. - Risk of **tension pneumothorax**, **hemodynamic instability**, or **delayed complications** makes observation insufficient in trauma patients.
Explanation: **Explanation:** **Battle’s sign** is a classic clinical indicator of a **basilar skull fracture**, specifically involving the **petrous part of the temporal bone**. It manifests as ecchymosis (bruising) over the mastoid process. This occurs because blood from the fracture site tracks along the path of the posterior auricular artery. It typically takes 24–72 hours to appear after the initial **head injury**, making it a sign of delayed presentation rather than immediate trauma. **Analysis of Options:** * **Option B (Correct):** Head injury is the primary cause. A fracture at the base of the skull allows blood to extravasate into the subcutaneous tissue behind the ear. * **Option A & C:** Orbital cellulitis and conjunctivitis are inflammatory/infectious conditions of the eye. While they may cause redness or swelling (chemosis), they do not produce mastoid ecchymosis. * **Option D:** Liver failure can lead to systemic bruising (purpura/petechiae) due to coagulopathy, but it does not present with localized mastoid bruising unless preceded by trauma. **NEET-PG High-Yield Pearls:** 1. **Raccoon Eyes:** Periorbital ecchymosis associated with fractures of the **anterior cranial fossa**. 2. **Halo Sign:** Used to detect CSF leakage; a drop of fluid on gauze shows a central spot of blood surrounded by a clear ring of CSF. 3. **CSF Otorrhea/Rhinorrhea:** Indicates a dural tear; never pack the nose or ear in these cases to avoid retrograde meningitis. 4. **Hemotympanum:** Blood behind the tympanic membrane, another sign of temporal bone fracture.
Explanation: **Explanation:** Berry (saccular) aneurysms are acquired lesions resulting from hemodynamic stress and structural weaknesses in the arterial wall, specifically at the bifurcations of the **Circle of Willis**. **1. Why Anterior Communicating Artery (A-com) is correct:** Statistically, the **Anterior Communicating Artery** is the most common site for Berry aneurysms, accounting for approximately **30-35%** of all cases. These aneurysms typically occur at the junction of the A-com and the anterior cerebral artery (ACA). **2. Analysis of Incorrect Options:** * **Origin of Posterior Communicating Artery (P-com):** This is the **second most common** site (approx. 30-35%). A clinical hallmark of P-com aneurysms is **ipsilateral 3rd cranial nerve palsy** (pupil-involved) due to direct compression. * **Vertebro-basilar artery:** Aneurysms in the posterior circulation (vertebrobasilar system) are less common, accounting for only about **10-15%** of cases. The most common site in this system is the basilar artery apex. * **Anterior choroidal artery:** This is a relatively rare site for saccular aneurysms compared to the major junctions of the Circle of Willis. **3. NEET-PG High-Yield Pearls:** * **Most common presentation:** Subarachnoid Hemorrhage (SAH) presenting as a "thunderclap headache" or "worst headache of life." * **Risk Factors:** Polycystic Kidney Disease (ADPKD), Ehlers-Danlos syndrome, Coarctation of the aorta, and hypertension. * **Gold Standard Investigation:** Digital Subtraction Angiography (DSA). * **Screening Investigation:** CT Angiography (CTA) or MR Angiography (MRA). * **Distribution:** 85-90% occur in the anterior circulation; 10-15% in the posterior circulation.
Initial Assessment of Trauma Patient
Practice Questions
Advanced Trauma Life Support (ATLS) Principles
Practice Questions
Chest Trauma
Practice Questions
Abdominal Trauma
Practice Questions
Head Trauma
Practice Questions
Spinal Trauma
Practice Questions
Extremity Trauma
Practice Questions
Vascular Trauma
Practice Questions
Genitourinary Trauma
Practice Questions
Burns Management
Practice Questions
Mass Casualty Management
Practice Questions
Damage Control Surgery
Practice Questions
Get full access to all questions, explanations, and performance tracking.
Start For Free