Which type of Maastricht classification is a brought dead patient?
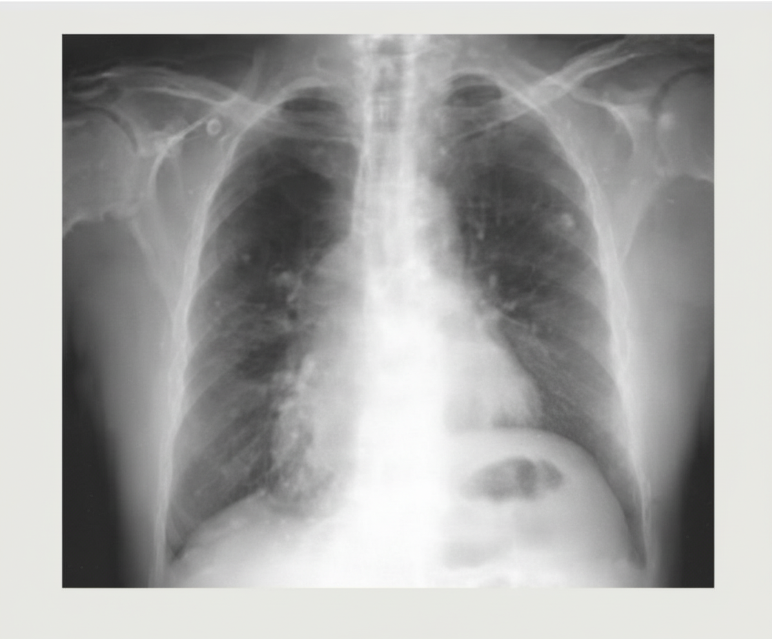
A 32-year-old male who underwent a lung transplant 1 year ago, with a history of acute rejection requiring increased immunosuppression, now presents with low-grade fever, generalized fatigue, and weight loss. Chest x-rays are obtained. What is the most likely diagnosis?

Who performed the first autologous renal transplantation?
Recovery of renal functions after renal transplant usually takes how long?
Hypothermia (0deg to 4deg C) is a critical component of successful organ cold storage because:
Which disease does not recur in the kidney after renal transplant?
What is considered a contraindication for liver transplant?
Highest chance of success in renal transplant is seen when the donor is:
Which of the following organs obtained from a cadaver is not used for transplant?
Which of the following is a criterion for a pancreas donor?
Explanation: The **Maastricht Classification** is used to categorize **Donors after Circulatory Death (DCD)**. This classification is crucial for determining the viability of organs based on the duration of warm ischemia. ### **Explanation of Options** * **Type 1: Brought Dead (Correct):** This category includes patients who are dead on arrival (DOA) at the hospital. These are "uncontrolled" donors because the exact time of cardiac arrest is often unknown, leading to significant warm ischemia. * **Type 2: Unsuccessful Resuscitation:** This refers to patients who suffer a witnessed cardiac arrest (usually in the ER or hospital) but cannot be revived despite full cardiopulmonary resuscitation (CPR) efforts. This is also an "uncontrolled" donor category. * **Type 3: Awaiting Cardiac Arrest:** These are "controlled" donors. These patients have non-survivable injuries, and a decision has been made to withdraw life-sustaining treatment (WLST). Organ procurement begins immediately after the heart stops. * **Type 4: Cardiac Arrest while Brain Dead:** This occurs when a patient who is already diagnosed as brain dead (a heart-beating donor) suffers a sudden cardiac arrest before organ retrieval can be completed. ### **High-Yield Clinical Pearls for NEET-PG** * **Uncontrolled DCD:** Types 1, 2, and 5 (sudden death in an inpatient). * **Controlled DCD:** Types 3 and 4 (better graft outcomes due to shorter warm ischemia). * **Warm Ischemia Time:** This is the period between the cessation of perfusion and the initiation of cold storage. It is highest in Type 1 donors, making their organs (especially kidneys) more prone to delayed graft function. * **Most common DCD type used clinically:** Type 3.
Explanation: ***Posttransplant lymphoproliferative disorder (PTLD)*** - **PTLD** is strongly associated with **EBV reactivation** in immunocompromised transplant recipients, especially those with **increased immunosuppression** following acute rejection episodes. - Presents with **constitutional B-symptoms** (fever, fatigue, weight loss) and typically shows **pulmonary nodules or masses** on chest imaging in lung transplant patients. *Squamous cell carcinoma* - While transplant recipients have **increased malignancy risk**, squamous cell carcinoma typically develops **years to decades** post-transplant, not within 1 year. - Usually presents as **localized skin lesions** or **bronchial masses**, not with generalized constitutional symptoms and systemic involvement. *Aspergilloma* - Represents a **fungal ball** within pre-existing **pulmonary cavities** and typically occurs in patients with underlying lung disease like **tuberculosis** or **sarcoidosis**. - Presents with **hemoptysis** and **productive cough**, not constitutional symptoms, and appears as a **mobile mass within a cavity** on imaging. *Phantom tumor or pseudotumor* - Refers to **loculated pleural fluid** that mimics a mass on chest X-ray, commonly seen in **congestive heart failure** patients. - Represents **inflammatory fluid collection**, not a true neoplastic process, and would not cause systemic constitutional symptoms like fever and weight loss.
Explanation: **Explanation:** The correct answer is **Hardy (James D. Hardy)**. In 1963, James Hardy performed the first **autologous renal transplantation** (autotransplantation). This procedure involves removing a patient's own kidney and reimplanting it into a different site (usually the iliac fossa) within the same individual. It is clinically indicated for complex ureteral injuries, renal artery aneurysms, or extensive ureteral tumors where "bench surgery" is required before reimplantation. **Analysis of Options:** * **Hardy (A):** Beyond autotransplantation, James Hardy is a monumental figure in transplant history, having also performed the first human lung transplant (1963) and the first xenogeneic heart transplant (1964). * **Kavosis (B):** Likely refers to Kavoussi, who is a pioneer in **laparoscopic urology** and performed the first laparoscopic live donor nephrectomy in 1995. * **Higgins (C):** Charles Higgins is known for his work on hormone therapy for prostate cancer (Nobel Prize) and contributions to urological oncology, not the first autotransplant. * **Studer (D):** Known for the **Studer Pouch**, an orthotopic ileal neobladder construction used after radical cystectomy. **High-Yield Clinical Pearls for NEET-PG:** * **First Successful Human Kidney Transplant:** Performed by **Joseph Murray** (1954) between identical twins (Isograft). * **First Cadaveric Renal Transplant:** Performed by **Yurii Voronoy** (1933), though it was technically unsuccessful due to rejection. * **Site of Renal Transplant:** Usually the **Right Iliac Fossa** (extraperitoneal). * **Vascular Anastomosis:** Renal artery is typically joined to the Internal Iliac artery (end-to-end) or External Iliac artery (end-to-side).
Explanation: **Explanation:** The recovery of renal function following a kidney transplant is a gradual process that depends on the resolution of pre-existing uremic complications and the stabilization of the new graft. While urine output often begins immediately (in living donor transplants), the complete normalization of metabolic functions, erythropoiesis, and the stabilization of serum creatinine typically takes about **1 month**. * **Why Option B is correct:** By the end of the first month, the acute inflammatory response to surgery subsides, immunosuppressant dosages reach steady-state maintenance levels, and the graft undergoes functional hypertrophy to meet the metabolic demands of the recipient. * **Why Option D is incorrect:** While the "immediate" post-operative phase (first 7 days) shows a rapid drop in creatinine, the patient is still in a state of flux, high-dose steroid transition, and risk for hyperacute or accelerated acute rejection. * **Why Options A & C are incorrect:** 15 days is often too early to declare full functional recovery, especially if there was Delayed Graft Function (DGF). Conversely, 6 months refers more to the long-term "set-point" of the graft (nadir creatinine) rather than the initial recovery of renal homeostasis. **High-Yield Clinical Pearls for NEET-PG:** * **Immediate Function:** Most common in living donor transplants. * **Delayed Graft Function (DGF):** Defined as the need for dialysis within the first week post-transplant; more common in deceased donor (cadaveric) transplants due to longer cold ischemia time. * **Hyperacute Rejection:** Occurs within minutes to hours; mediated by pre-formed antibodies (Type II Hypersensitivity). * **Acute Rejection:** Most common within the first 3 months; primarily T-cell mediated (Type IV Hypersensitivity).
Explanation: **Explanation:** The primary goal of organ preservation is to minimize the damage caused by **warm ischemia**. When an organ is removed from its blood supply, it shifts from aerobic to anaerobic metabolism, leading to ATP depletion, lactic acidosis, and eventual cell death. **Why Option D is Correct:** Hypothermia (0°C to 4°C) is the cornerstone of cold storage because it significantly **reduces the metabolic rate** (by approximately 10-12 fold). By slowing down cellular metabolism and the activity of degradative lysosomal enzymes (autolysis), the organ’s limited energy stores are preserved, and the accumulation of toxic metabolic byproducts is delayed. This extends the "ex-vivo" life of the organ, allowing time for transport and HLA matching. **Analysis of Incorrect Options:** * **Option A:** While oxygen solubility increases slightly in cold liquids, it is insufficient to support aerobic metabolism. Cold storage relies on **metabolic suppression**, not oxygen delivery. * **Option B:** While cooling does inhibit microbial growth, this is a secondary benefit. The primary purpose of hypothermia in transplantation is to prevent **ischemic cellular injury**, not infection control. * **Option C:** This is partially true but less precise than Option D. While it diminishes energy requirements, the critical factor is the **inhibition of enzymatic destruction** (like the Na+/K+ ATPase pump failure and lysosomal leakage) that occurs when metabolism is not slowed. **High-Yield Clinical Pearls for NEET-PG:** * **Q10 Effect:** For every 10°C drop in temperature, the metabolic rate decreases by 2-3 times. * **Preservation Solutions:** Solutions like **University of Wisconsin (UW)** or **Euro-Collins** are used. They are "intracellular-like" (high Potassium, low Sodium) to prevent cell swelling during cold storage. * **Maximum Cold Ischemia Times:** Heart/Lungs (4–6 hours), Liver (12–16 hours), Kidney (up to 48–72 hours).
Explanation: **Explanation:** The correct answer is **Alport syndrome**. This is because Alport syndrome is a genetic disorder caused by mutations in the genes encoding the **Type IV collagen** alpha chains (COL4A3, COL4A4, or COL4A5). Since the defect is intrinsic to the patient’s own genetic makeup and basement membrane structure, the transplanted kidney—which comes from a donor with normal collagen genes—will possess a normal glomerular basement membrane (GBM). Therefore, the disease cannot "recur" in the donor tissue. Interestingly, a small percentage of Alport patients may develop **Anti-GBM disease (de novo Goodpasture syndrome)** post-transplant because their immune system recognizes the normal Type IV collagen in the graft as foreign. **Analysis of Incorrect Options:** * **Amyloidosis:** This is a systemic metabolic process. The underlying plasma cell dyscrasia or chronic inflammation continues to produce amyloid proteins, which will eventually deposit in the new graft. * **Goodpasture Syndrome:** This is an autoimmune disease mediated by circulating anti-GBM antibodies. If the transplant is performed while antibody titers are still high, the antibodies will attack the new kidney. * **Diabetic Nephropathy:** As long as the patient remains diabetic, the systemic metabolic environment (hyperglycemia) will eventually cause characteristic histological changes (Kimmelstiel-Wilson nodules) in the transplanted kidney. **High-Yield Clinical Pearls for NEET-PG:** * **Most common disease to recur post-transplant:** MPGN Type II (Dense Deposit Disease) — nearly 100% recurrence. * **Most common cause of graft loss due to recurrence:** FSGS (Focal Segmental Glomerulosclerosis). * **Oxalosis:** High rate of recurrence; often requires a combined liver-kidney transplant. * **IgA Nephropathy:** Frequently recurs histologically, but rarely leads to early graft loss.
Explanation: ### Explanation In transplant surgery, the primary goal is to ensure long-term survival and optimal utility of the donor organ. **Metastasis (Option C)** is a definitive contraindication for liver transplantation because the systemic spread of malignancy implies that replacing the liver will not cure the patient. Furthermore, the mandatory post-transplant immunosuppression would accelerate the growth of micrometastases elsewhere in the body, leading to rapid recurrence and poor outcomes. **Analysis of Incorrect Options:** * **Acute Fulminant Hepatic Failure (Option A):** This is a **primary indication** for emergency liver transplantation (e.g., paracetamol toxicity or viral hepatitis) when the patient meets the King’s College Criteria. * **Metabolic Disease (Option B):** Conditions like Wilson’s disease, Alpha-1 antitrypsin deficiency, and Crigler-Najjar syndrome type 1 are classic indications, as the liver is the site of the underlying enzymatic defect. * **Primary Liver Malignancy (Option D):** Hepatocellular Carcinoma (HCC) is a common indication for transplant, provided it falls within the **Milan Criteria** (single lesion ≤5 cm or up to 3 lesions each ≤3 cm). **High-Yield Clinical Pearls for NEET-PG:** * **Absolute Contraindications:** Extrahepatic malignancy (metastasis), active extrahepatic infection/sepsis, advanced cardiopulmonary disease, and active substance abuse (alcohol/drugs). * **Milan Criteria:** The gold standard for selecting HCC patients for transplant to ensure low recurrence rates. * **MELD Score:** Used for organ allocation; it includes Bilirubin, Creatinine, and INR. * **Most common indication (Adults):** Cirrhosis (HCV/Alcohol). * **Most common indication (Pediatrics):** Biliary Atresia.
Explanation: **Explanation:** The success of a renal transplant is primarily determined by the degree of **HLA (Human Leukocyte Antigen) matching** between the donor and the recipient. **1. Why Identical Twin is Correct:** Identical (monozygotic) twins are genetically identical, meaning they share a **100% HLA match** (6/6 antigens). Because the recipient’s immune system recognizes the donor tissue as "self," there is virtually no risk of host-versus-graft rejection. This eliminates the need for long-term maintenance immunosuppression, leading to the highest graft survival rates and the best long-term outcomes. **2. Why Other Options are Incorrect:** * **Father/Mother (Options B & C):** These are "Haploidentical" donors. A child inherits one HLA haplotype from each parent, resulting in only a **50% (3/6) match**. While successful, they carry a higher risk of rejection compared to an identical twin. * **Sister (Option D):** Siblings have a 25% chance of being a perfect HLA match, a 50% chance of being a half-match, and a 25% chance of being a total mismatch. While a "HLA-identical sibling" is the second-best choice after an identical twin, the option simply states "Sister," which does not guarantee a 100% match. **High-Yield Clinical Pearls for NEET-PG:** * **Order of Donor Preference:** Identical Twin > HLA-identical Sibling > Parent/Haploidentical Sibling > Deceased (Cadaveric) Donor. * **First Successful Transplant:** Performed by Joseph Murray in 1954 between identical twins (the Herrick brothers). * **Hyperacute Rejection:** Occurs within minutes/hours due to pre-formed antibodies (Type II Hypersensitivity). * **Most Common Site:** The donor kidney is usually placed in the **Right Iliac Fossa** (extraperitoneal) for easier vascular access and ureteral implantation.
Explanation: **Explanation:** The correct answer is **D. Urinary bladder**. In transplant surgery, organs and tissues are harvested from cadaveric donors (typically brain-dead or heart-beating donors) based on their functional necessity and the feasibility of the procedure. **Why Urinary Bladder is not used:** The urinary bladder is currently **not** a standard organ for transplantation. This is primarily because the bladder is a complex muscular reservoir that requires intricate neural coordination for storage and voiding. Transplanting a bladder would involve difficult reinnervation that current medical technology cannot reliably achieve. Furthermore, for patients with end-stage bladder disease or malignancy, effective alternatives exist, such as **urinary diversion** (e.g., Ileal conduit) or **neobladder reconstruction** using the patient's own bowel segments (enterocystoplasty). **Analysis of Incorrect Options:** * **A. Blood vessels:** Vascular allografts (arteries and veins) are frequently harvested from cadavers and used in bypass surgeries or complex reconstructions when autologous grafts are unavailable. * **B. Lung:** Lung transplantation is a standard procedure for end-stage pulmonary diseases like COPD, cystic fibrosis, and ILD. * **C. Liver:** The liver is one of the most commonly transplanted cadaveric organs, used for end-stage liver disease and acute liver failure. **High-Yield Clinical Pearls for NEET-PG:** * **Most common organ transplanted:** Kidney (followed by Liver). * **Most common tissue transplanted:** Cornea. * **Warm Ischemia Time:** The time an organ remains at body temperature after its blood supply is cut off. The heart and lungs are most sensitive (approx. 4–6 hours). * **Preservation Solution:** University of Wisconsin (UW) solution is the gold standard for multi-organ preservation.
Explanation: ### Explanation **Correct Answer: A. No history of diabetes** The primary goal of pancreas transplantation is to restore endogenous insulin secretion and achieve a normoglycemic state. Therefore, the most critical criterion for a donor is **intact endocrine function**. A history of diabetes (Type 1 or Type 2) implies pancreatic beta-cell dysfunction or exhaustion, making the organ unsuitable for transplantation. Ideal donors are typically aged 10–40 years, have no history of glucose intolerance, and have normal serum amylase/lipase levels. **Analysis of Incorrect Options:** * **B. No history of liver donation:** This is incorrect. Combined liver-pancreas transplants or sequential donations are common. The liver and pancreas can be harvested from the same deceased donor simultaneously. * **C. No replaced hepatic artery:** This is a common anatomical variation (up to 15–20%) where the right hepatic artery arises from the SMA. While this requires careful surgical dissection and vascular reconstruction (the "Y-graft" technique using the donor iliac artery), it is **not** a contraindication to donation. * **D. No previous splenectomy:** While the tail of the pancreas is anatomically related to the splenic hilum, a prior splenectomy does not preclude pancreas donation, provided the pancreatic blood supply and parenchyma remain undamaged. **High-Yield Clinical Pearls for NEET-PG:** * **Most common indication:** Type 1 Diabetes Mellitus with end-stage renal disease (usually performed as a **Simultaneous Kidney-Pancreas (SKP) transplant**). * **Vascular Supply:** The donor pancreas is typically harvested with the **Celiac axis and SMA**, which are reconstructed using a **Y-graft** (Donor Iliac Artery) to the recipient's Common Iliac Artery. * **Venous Drainage:** Most modern transplants use **systemic venous drainage** (to the IVC or Iliac vein), though portal drainage is more physiological. * **Exocrine Drainage:** Can be **Bladder drainage** (monitored via urinary amylase) or **Enteric drainage** (more common now due to fewer metabolic complications).
Immunology of Transplantation
Practice Questions
Immunosuppression
Practice Questions
Organ Procurement
Practice Questions
Kidney Transplantation
Practice Questions
Liver Transplantation
Practice Questions
Pancreas Transplantation
Practice Questions
Heart Transplantation
Practice Questions
Lung Transplantation
Practice Questions
Small Bowel Transplantation
Practice Questions
Complications of Transplantation
Practice Questions
Transplantation in Special Populations
Practice Questions
Ethical Issues in Transplantation
Practice Questions
Get full access to all questions, explanations, and performance tracking.
Start For Free