Whipple's triad in insulinoma includes all of the following EXCEPT:
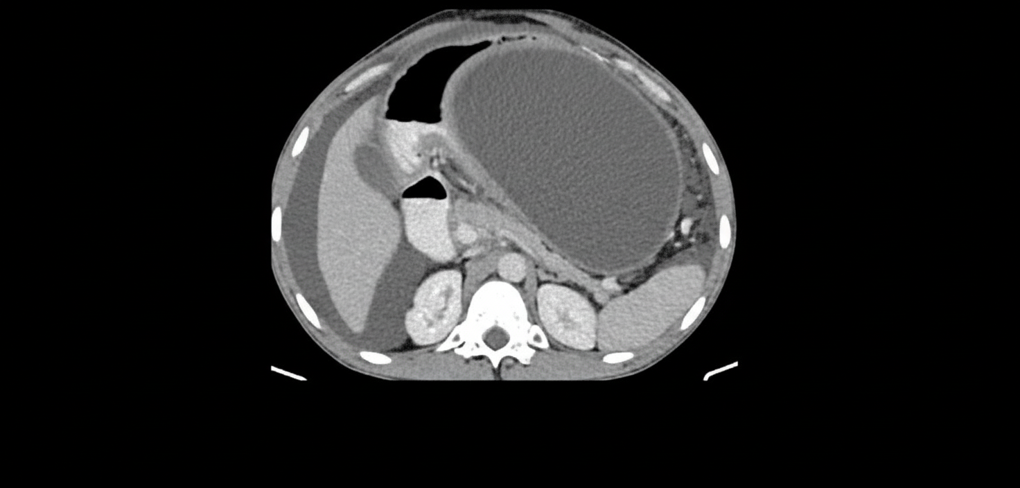
A 30-year-old patient presents with severe upper abdominal pain and elevated serum lipase. A CECT scan was performed and is shown. What is the next line of management?

Cullen's sign is seen in which of the following conditions?
All of the following are true about pancreatic cancer, EXCEPT:
Which of the following is FALSE about annular pancreas?
Which of the following criteria is NOT included in Ranson's criteria for predicting the severity of pancreatitis?
Whipple's operation is done for the treatment of which condition?
Which of the following does not affect prognosis in acute pancreatitis?
Localization in insulinoma is best with:
Which of the following clinical manifestations is most characteristic of a gastrinoma?
Explanation: **Explanation:** Whipple’s triad is the classic clinical diagnostic criteria for **Insulinoma**, the most common functioning neuroendocrine tumor of the pancreas. The triad consists of: 1. **Symptoms of hypoglycemia** (neuroglycopenic or autonomic) typically occurring during fasting or exercise. 2. **Documented low blood glucose** (usually <45–50 mg/dL) at the time of symptoms. 3. **Immediate relief of symptoms** following the administration of glucose. **Analysis of Options:** * **Option A (Correct Answer):** ACTH is **not** the treatment of choice. The definitive treatment for a localized insulinoma is **surgical resection** (enucleation or pancreatectomy). Medical management for symptomatic control includes Diazoxide (which inhibits insulin release) or Somatostatin analogues (Octreotide). * **Option B:** This is a component of Whipple’s triad. The rapid resolution of confusion or sweating after oral or IV glucose confirms the symptoms were due to hypoglycemia. * **Option C:** Biochemical confirmation of hypoglycemia (typically <45 mg/dL in women and <55 mg/dL in men) is a core component. * **Option D:** Insulinomas are characterized by fasting hypoglycemia because the tumor secretes insulin autonomously, regardless of blood glucose levels. **NEET-PG High-Yield Pearls:** * **Diagnosis:** The "Gold Standard" is the **72-hour supervised fast**. * **Biochemical markers:** Elevated Insulin (>3 µU/mL), elevated C-peptide (>0.6 ng/mL), and elevated Pro-insulin, with an absence of sulfonylureas in urine/plasma. * **Localization:** Endoscopic Ultrasound (EUS) is highly sensitive. Intraoperative ultrasound is the most sensitive method for localization during surgery. * **Association:** 10% of insulinomas are associated with **MEN-1 syndrome** (usually multiple tumors).
Explanation: ***Internal drainage*** - **Large pancreatic pseudocysts** (>6 cm) that are symptomatic require **internal drainage** via **cystogastrostomy** or **cystojejunostomy** to create permanent communication with the GI tract. - This approach provides **definitive treatment** with lower recurrence rates and avoids the complications associated with external drainage systems. *Conservative management* - Reserved for **small, asymptomatic pseudocysts** (<6 cm) that may resolve spontaneously over time. - **Large symptomatic pseudocysts** like this case require active intervention due to risk of complications like **rupture**, **infection**, or **biliary obstruction**. *External drainage* - Primarily indicated for **infected pancreatic collections** or **necrotizing pancreatitis** with sepsis requiring immediate drainage. - Results in **high recurrence rates** and potential for **pancreaticocutaneous fistula** formation, making it suboptimal for sterile pseudocysts. *Endoscopic retrograde cholangiopancreatography (ERCP)* - Useful for **pancreatic duct strictures** or **stones** but not the primary treatment for **mature pseudocysts**. - May be considered if there is associated **pancreatic duct disruption** or **biliary obstruction**, but internal drainage remains the definitive management.
Explanation: **Explanation:** **Cullen’s sign** is defined as superficial edema and bruising (ecchymosis) in the subcutaneous fatty tissue around the **umbilicus**. It is a classic clinical sign of **retroperitoneal hemorrhage**. 1. **Why Hemorrhagic Pancreatitis is Correct:** In severe acute pancreatitis, pancreatic enzymes (elastase and lipases) cause the digestion of blood vessels, leading to retroperitoneal bleeding. This blood tracks forward from the retroperitoneum along the **falciform ligament** to the umbilicus, manifesting as periumbilical bluish discoloration. 2. **Analysis of Other Options:** * **Ectopic Pregnancy:** While Cullen’s sign *can* be seen in a ruptured ectopic pregnancy due to hemoperitoneum, it is most classically associated with hemorrhagic pancreatitis in surgical exams. However, in the context of this question, pancreatitis is the primary surgical association. * **Liver/Biliary Cirrhosis:** These conditions are associated with portal hypertension, which may cause **Caput Medusae** (dilated periumbilical veins), but not ecchymosis or retroperitoneal hemorrhage. **High-Yield Clinical Pearls for NEET-PG:** * **Grey Turner’s Sign:** Ecchymosis involving the **flanks**; also indicates retroperitoneal hemorrhage (tracks via the posterior limb of the transverse mesocolon to the lateral abdominal wall). * **Fox’s Sign:** Ecchymosis of the **inguinal ligament** (seen in hemorrhagic pancreatitis). * **Bryant’s Sign:** Scrotal ecchymosis. * **Prognostic Value:** These signs are not pathognomonic for pancreatitis but indicate severe disease with a high mortality rate (often associated with a high Ranson’s or APACHE II score).
Explanation: **Explanation:** Pancreatic adenocarcinoma is one of the most lethal malignancies, characterized by aggressive biology and late clinical presentation. **1. Why Option D is the Correct Answer (The Exception):** The 5-year survival rate for pancreatic cancer is notoriously low, typically ranging from **5% to 10%** overall. Even in patients who undergo successful surgical resection (Whipple’s procedure), the 5-year survival rarely exceeds 20–25%. Therefore, the statement claiming a 40% survival rate is factually incorrect and represents the "exception." **2. Analysis of Other Options:** * **Option A:** Pancreatic cancer has a **poor prognosis** due to early lymphatic and vascular invasion, lack of early symptoms, and resistance to conventional chemotherapy. * **Option B:** The **head of the pancreas** is the most common site (approx. 65–75% of cases). These often present earlier than body/tail tumors due to obstructive jaundice (Courvoisier’s Law). * **Option C:** Approximately **80–90%** of patients present with locally advanced or metastatic disease, making them **inoperable** at the time of diagnosis. Only 10–20% are candidates for curative resection. **Clinical Pearls for NEET-PG:** * **Risk Factors:** Smoking (strongest environmental factor), chronic pancreatitis, DM, and BRCA2 mutations. * **Tumor Marker:** **CA 19-9** (used for monitoring response to therapy, not for screening). * **Investigation of Choice:** **Triple-phase Contrast-Enhanced CT (CECT)** is the gold standard for diagnosis and staging (resectability). * **Double Duct Sign:** Dilatation of both the common bile duct and the pancreatic duct on imaging, highly suggestive of a head of pancreas mass.
Explanation: **Explanation:** **Annular pancreas** is a rare congenital anomaly where a ring of pancreatic tissue encircles the second part of the duodenum. This occurs due to the failure of the **ventral pancreatic bud** to rotate properly behind the duodenum, leading to extrinsic duodenal obstruction. **Why Option D is the correct (False) statement:** The treatment of choice for annular pancreas is **Duodenoduodenostomy** (a bypass procedure). **Gastrojejunostomy** is not the preferred remedy because it does not adequately decompress the duodenum proximal to the obstruction and can lead to complications like stomal ulcers and blind loop syndrome. Direct resection of the pancreatic ring is also avoided due to the high risk of pancreatic fistulas and damage to the underlying common bile duct. **Analysis of other options:** * **Option A:** There is a strong clinical association between annular pancreas and chromosomal abnormalities, most notably **Down’s syndrome** (Trisomy 21). * **Option B:** Since the obstruction occurs at the second part of the duodenum (usually distal to the ampulla of Vater), the resulting vomiting is typically **bilious**. * **Option C:** Like duodenal atresia, an X-ray of an infant with annular pancreas often shows the **"Double-bubble sign,"** representing air in the dilated stomach and the proximal duodenum. **NEET-PG High-Yield Pearls:** * **Embryology:** Caused by the failure of the bifid ventral pancreatic bud to rotate. * **Presentation:** Can present in neonates (vomiting) or adults (peptic ulcers/pancreatitis). * **Imaging:** "Double-bubble" on X-ray; "Crocodile jaw" appearance on CT. * **Surgery of Choice:** Diamond-shaped Duodenoduodenostomy.
Explanation: **Explanation:** Ranson’s Criteria is a classic clinical scoring system used to predict the severity and mortality of **Acute Pancreatitis**. It assesses parameters at two time points: at admission and during the first 48 hours. **1. Why Option B is the correct answer:** Serum amylase levels are diagnostic for acute pancreatitis but have **no prognostic value**. A very high amylase level does not correlate with the severity of the disease or the risk of complications. Therefore, it is not included in Ranson’s, APACHE II, or Glasgow scoring systems. **2. Analysis of Incorrect Options (Included in Ranson’s at Admission):** The mnemonic **GAWOT** is used for criteria at admission (for non-gallstone pancreatitis): * **G - Glucose:** > 200 mg/dL * **A - Age:** > 55 years (Option C) * **W - WBC count:** > 16,000/mm³ (Option A) * **O - AST:** > 250 U/L (Option D) * **T - LDH:** > 350 IU/L **3. Clinical Pearls for NEET-PG:** * **48-hour criteria (Mnemonic: BUCHAS):** BUN increase (>5 mg/dL), Calcium (<8 mg/dL), Hematocrit drop (>10%), Arterial PO2 (<60 mmHg), Base deficit (>4 mEq/L), and Fluid Sequestration (>6L). * **Mortality Prediction:** A score of 0–2 has <1% mortality, while a score of >6 indicates a mortality rate of approximately 40%. * **Modified Ranson’s:** Note that for **Gallstone-induced pancreatitis**, the thresholds change (e.g., Age > 70, WBC > 18,000). * **High-Yield Fact:** The most sensitive marker for predicting severity within the first 24 hours is often considered to be **APACHE II** or **CRP** (>150 mg/L at 48 hours).
Explanation: **Explanation:** **Whipple’s Operation**, medically known as a **Pancreaticoduodenectomy**, is the standard surgical procedure for resectable tumors of the pancreatic head and the periampullary region. **Why Option B is Correct:** The head of the pancreas shares a common blood supply (gastroduodenal and pancreaticoduodenal arteries) and anatomical proximity with the duodenum and the distal common bile duct. Therefore, a malignancy in the pancreatic head requires an "en-bloc" resection of the pancreatic head, the duodenum, the gallbladder, the distal bile duct, and sometimes the gastric antrum (Classic Whipple). **Analysis of Incorrect Options:** * **A. Hepatocellular carcinoma:** This is a primary liver malignancy treated by liver resection (hepatectomy) or transplantation, not pancreatic surgery. * **C. Small intestinal tumors:** While the duodenum is removed in a Whipple, tumors of the jejunum or ileum are treated with segmental bowel resection and mesenteric lymphadenectomy. * **D. Acute pancreatitis:** This is primarily a medical emergency managed with aggressive fluid resuscitation and supportive care. Surgery (necrosectomy) is reserved only for infected necrosis, not a Whipple procedure. **NEET-PG High-Yield Pearls:** * **Indications:** Carcinoma of the pancreatic head, Ampullary CA, Distal CBD CA, and Duodenal CA (collectively called Periampullary Carcinomas). * **Reconstruction (The "3 Anastomoses"):** Pancreaticojejunostomy (most crucial, site of potential leak), Choledochojejunostomy, and Gastrojejunostomy. * **Complications:** The most common cause of mortality post-Whipple is a **pancreatic fistula/leak**. The most common delayed complication is delayed gastric emptying. * **Modified Version:** **PPPD** (Pylorus-Preserving Pancreaticoduodenectomy) preserves the entire stomach and pylorus to improve nutritional outcomes.
Explanation: In acute pancreatitis, the **severity of the disease is not correlated with the absolute level of serum amylase or lipase.** While these enzymes are essential for diagnosis, their magnitude does not reflect the degree of pancreatic necrosis or predict clinical outcomes. A patient with mild interstitial pancreatitis may have amylase levels >10,000 IU/L, while a patient with severe necrotizing pancreatitis may have near-normal levels if the gland is extensively destroyed. **Analysis of Options:** * **Amylase > 8000 IU/L (Correct):** As per established scoring systems (Ranson’s, Glasgow/Imrie, APACHE II), amylase levels are excluded because they lack prognostic value. * **Leucocytosis > 19,000 (Incorrect):** Elevated WBC count is a key component of Ranson’s Criteria (at admission) and the Glasgow score, indicating a systemic inflammatory response. * **Albumin < 3.2 gm/dL (Incorrect):** Hypoalbuminemia is a marker of capillary leak and poor nutritional status; it is a specific parameter in the Glasgow (Imrie) scoring system. * **Age > 60 years (Incorrect):** Advanced age is a significant prognostic factor in almost all scoring systems (Ranson’s >55 years; Glasgow >55 years; APACHE II) due to reduced physiological reserve. **High-Yield Clinical Pearls for NEET-PG:** 1. **Ranson’s Criteria:** Remember the "GALAW" (at admission) and "CHOBBS" (at 48 hours) mnemonic. Amylase is notably absent. 2. **BISAP Score:** A simple bedside tool using **B**UN, **I**mpaired mental status, **S**IRS, **A**ge (>60), and **P**leural effusion. 3. **Gold Standard for Severity:** Contrast-Enhanced CT (CECT) performed after 72 hours is the best imaging modality to assess necrosis (Balthazar grading). 4. **Most Common Cause:** Gallstones (overall), followed by Alcohol.
Explanation: **Explanation:** Insulinomas are the most common functional neuroendocrine tumors (NETs) of the pancreas. They are typically small (<2 cm), solitary, and hypervascular. **1. Why Selective Arteriography is Correct:** Insulinomas are characteristically **hypervascular** lesions. Selective arteriography (often combined with calcium stimulation, known as the **ASVS or Arterial Calcium Stimulation Venous Sampling** test) is considered the most sensitive preoperative modality for localization when non-invasive imaging fails. While intraoperative ultrasound (IOUS) is the overall "gold standard" for localization during surgery, among the provided options, selective arteriography offers the highest sensitivity for identifying these small, vascular tumors. **2. Why Other Options are Incorrect:** * **A & B (CT and MRI):** While these are the initial screening tools, they often fail to detect insulinomas because the tumors are frequently too small to be distinguished from normal pancreatic parenchyma. * **C (Somatostatin Receptor Scintigraphy/Octreoscan):** Unlike other NETs (like gastrinomas), only about 50% of insulinomas express somatostatin receptors (SSTR2). Therefore, SRS has a low sensitivity for insulinoma and is not the preferred localization study. **Clinical Pearls for NEET-PG:** * **Whipple’s Triad:** Symptoms of hypoglycemia, low plasma glucose (<50 mg/dL), and relief of symptoms after glucose administration. * **The "10% Rule":** 10% are multiple, 10% are malignant, and 10% are associated with MEN-1 syndrome. * **Best Initial Test:** Multidetector CT (MDCT). * **Most Sensitive Preoperative Test:** Endoscopic Ultrasound (EUS) or Selective Arteriography with Calcium Stimulation. * **Most Sensitive Overall:** Intraoperative Ultrasound (IOUS) + Palpation (detects >95%).
Explanation: ### Explanation **Correct Answer: B. Post-prandial abdominal pain, weight loss, chronic mesenteric vessel occlusion** The question describes the classic triad of **Chronic Mesenteric Ischemia (CMI)**, also known as "intestinal angina." While the prompt mentions Gastrinoma in the context, the clinical manifestations provided in the options specifically align with mesenteric vascular pathology. 1. **Why Option B is Correct:** * **Post-prandial abdominal pain:** In CMI, atherosclerosis typically narrows the mesenteric arteries (SMA/IMA). After eating, the gut requires increased blood flow for digestion. The narrowed vessels cannot meet this demand, leading to intestinal ischemia and severe pain (usually 15–30 minutes after meals). * **Weight loss:** This is a hallmark of CMI. Patients develop "sitophobia" (fear of eating) because of the anticipated pain, leading to significant voluntary starvation and weight loss. * **Chronic mesenteric vessel occlusion:** CMI is a chronic process, most commonly caused by atherosclerotic plaque at the origin of the mesenteric vessels. 2. **Why Other Options are Incorrect:** * **Acute mesenteric vessel occlusion (A & C):** This presents as a surgical emergency with sudden, catastrophic "pain out of proportion to physical findings," often due to an embolism. It does not present with chronic weight loss or predictable post-prandial patterns. * **Pre-prandial pain/Weight gain (C & D):** Pain before meals is more characteristic of duodenal ulcers (relieved by food). Weight gain is inconsistent with any ischemic bowel disease. **High-Yield Clinical Pearls for NEET-PG:** * **Diagnosis:** The gold standard for CMI is **CT Angiography**. * **Vessel Involvement:** CMI usually requires significant stenosis of at least **two out of the three** major visceral arteries (Celiac axis, SMA, and IMA). * **Gastrinoma (Zollinger-Ellison Syndrome) Connection:** While the options describe CMI, remember that Gastrinomas typically present with **refractory peptic ulcers** and **diarrhea**. If a patient has a Gastrinoma in the "Gastrinoma Triangle," the primary symptom is abdominal pain due to hyperchlorhydria, not vascular occlusion.
Pancreatic Anatomy and Physiology
Practice Questions
Acute Pancreatitis
Practice Questions
Chronic Pancreatitis
Practice Questions
Pancreatic Pseudocysts
Practice Questions
Pancreatic Adenocarcinoma
Practice Questions
Cystic Neoplasms of Pancreas
Practice Questions
Neuroendocrine Tumors of Pancreas
Practice Questions
Pancreatic Trauma
Practice Questions
Pancreatectomy Techniques
Practice Questions
Whipple Procedure
Practice Questions
Pancreatic Anastomosis
Practice Questions
Complications of Pancreatic Surgery
Practice Questions
Get full access to all questions, explanations, and performance tracking.
Start For Free