Which of the following is the most common cause of pancreatic pseudocyst?
Complications of chronic pancreatitis include the following, except:
Which of the following is the most diagnostic investigation for acute pancreatitis?
What are the common causes of acute pancreatitis?
A chronic alcoholic presents with repeated episodes of severe intractable abdominal pain. On evaluation, the pancreatic duct was found to be dilated and stones were noted in the tail of the pancreas. What is the most appropriate management?
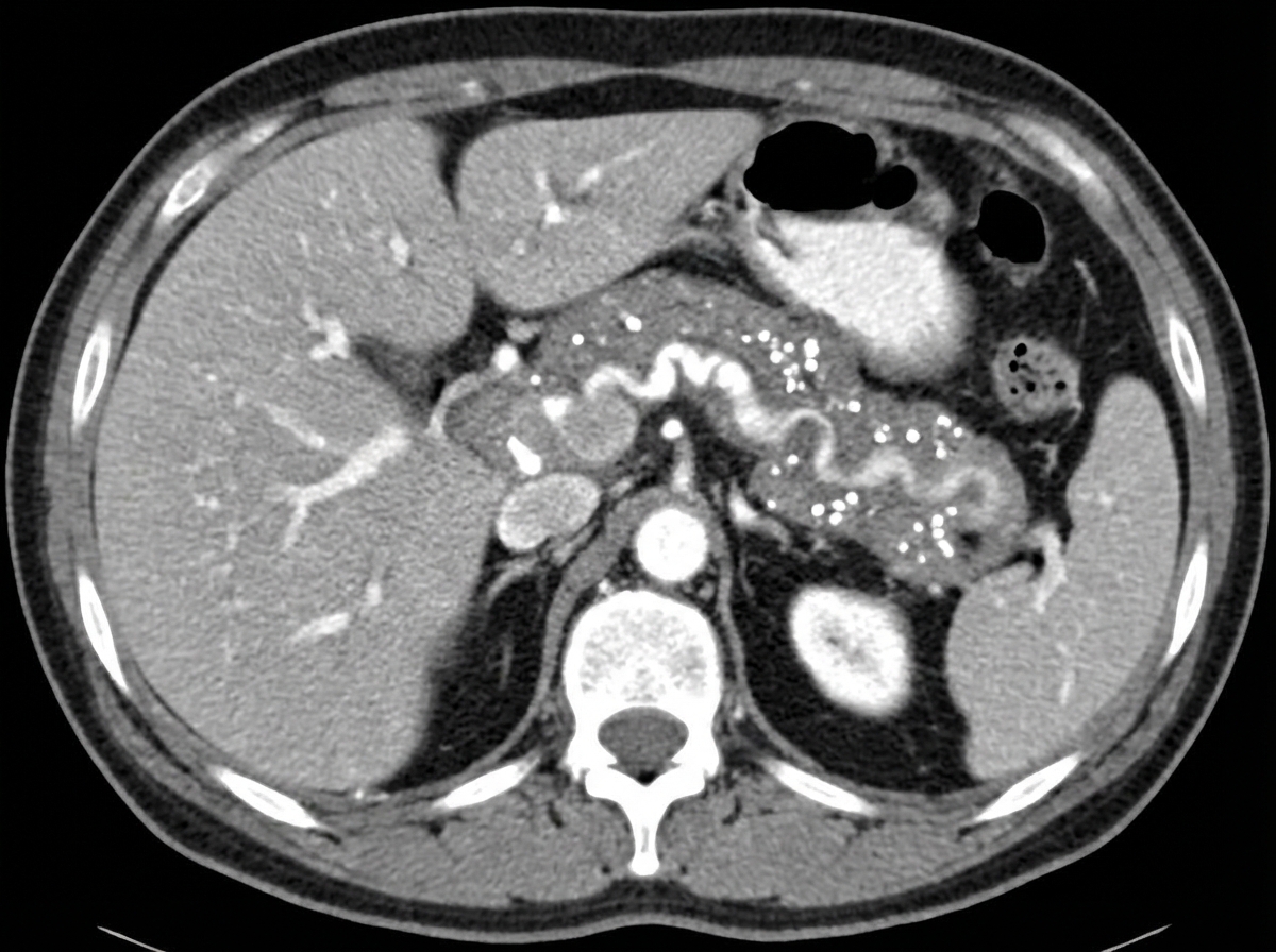
A 30-year-old known alcoholic patient presented with severe abdominal pain. On examination, a rigid abdomen is noted. The patient has a history of multiple episodes of abdominal pain over the last 4-5 years and has lost 5 kg of weight in the past 6 months. Serum lipase and amylase levels are normal. CECT abdomen was performed. What is the most likely diagnosis?

A patient presents with upper abdominal pain and vomiting. His pulse is 110/min and BP is 70/40 mm Hg. A diagnosis of pancreatitis is made. What is the next appropriate management?
A 41-year-old woman with a history of multiple endocrine neoplasia syndrome presents with severe diarrhea associated with low gastric acid secretion and a normal gastrin level. Her family history includes parathyroid, pancreatic, and/or pituitary adenomas. Which of the following serum assays would be best to evaluate the possible cause of the diarrhea?
What is the most common complication of chronic pancreatitis?
A 42-year-old man presents with recurrent right upper quadrant pain for 2 years. Sonography is negative for gallstones, and the common bile duct is normal. Upper GI endoscopy is also normal, and there is no peptic ulcer disease. Biliary dyskinesia is suspected, and the patient undergoes further evaluation. Which of the following stimulates gallbladder contraction?
Explanation: ### Explanation **Correct Answer: B. Pancreatitis** A **pancreatic pseudocyst** is a localized collection of fluid, pancreatic enzymes, and necrotic debris surrounded by a wall of granulation tissue (lacking a true epithelial lining, hence "pseudo"). 1. **Why Pancreatitis is Correct:** Chronic and acute pancreatitis are the leading causes of pseudocysts. In **chronic pancreatitis**, they occur in approximately 20–40% of cases due to ductal obstruction or leakage. In **acute pancreatitis**, they typically develop 4–6 weeks after the initial episode as a complication of ductal disruption or peripancreatic fluid collections. 2. **Why Incorrect Options are Wrong:** * **Carcinoma of the pancreas:** While tumors can cause ductal obstruction leading to distal cysts, they are a rare cause of pseudocysts compared to inflammatory conditions. * **Trauma:** Blunt abdominal trauma (e.g., handlebar injuries in children) is the most common cause of pseudocysts in the **pediatric population**, but it ranks second to pancreatitis in adults. * **ERCP:** Post-ERCP pancreatitis can lead to a pseudocyst, but this is a specific iatrogenic subtype and not the most common overall cause. ### NEET-PG High-Yield Pearls * **Definition:** Requires **>4 weeks** to develop (to allow for the formation of the fibrous wall). * **Most Common Site:** The **lesser sac** (omental bursa), posterior to the stomach. * **Diagnosis:** **CECT** is the gold standard investigation. * **Management:** Most small (<6 cm) and asymptomatic cysts resolve spontaneously. * **Surgical Indication:** If symptomatic or complicated (infection, hemorrhage, or gastric outlet obstruction), internal drainage is preferred (**Cystogastrostomy** or **Cystojejunostomy**). * **Biochemical Marker:** High amylase levels in the aspirated fluid.
Explanation: **Explanation:** Chronic pancreatitis is a progressive inflammatory disease characterized by irreversible structural damage, leading to various local and systemic complications. **Why "Renal artery aneurysm" is the correct answer:** Renal artery aneurysms are not associated with chronic pancreatitis. However, **pseudoaneurysms** of peripancreatic arteries are a well-known complication. These occur due to the leakage of proteolytic enzymes (especially elastase) which erode the arterial walls. The most commonly involved artery is the **splenic artery**, followed by the gastroduodenal and pancreaticoduodenal arteries. The renal artery is anatomically distant from the inflammatory process of the pancreas. **Analysis of incorrect options:** * **Portal hypertension:** Specifically "Left-sided" or **Sinistral portal hypertension** occurs due to splenic vein thrombosis. The splenic vein runs along the posterior aspect of the pancreas and is prone to thrombosis due to adjacent inflammation. * **Obstructive jaundice:** This occurs in about 5–10% of patients due to fibrotic narrowing or stricture of the intrapancreatic portion of the Common Bile Duct (CBD) as it passes through the hardened head of the pancreas. * **Duodenal obstruction:** Chronic inflammation and fibrosis in the head of the pancreas or the presence of a pseudocyst can cause extrinsic compression of the second part of the duodenum, leading to gastric outlet obstruction. **NEET-PG High-Yield Pearls:** * **Most common complication:** Pseudocyst formation. * **Most common cause (India):** Tropical pancreatitis (though Alcohol is the leading cause globally). * **Chain of Lakes appearance:** Classic ERCP finding showing dilated main pancreatic duct with multiple strictures. * **Triad of Chronic Pancreatitis:** Steatorrhea, Diabetes Mellitus, and Pancreatic calcifications.
Explanation: ### Explanation The diagnosis of acute pancreatitis requires at least two of the following three criteria: characteristic abdominal pain, serum amylase or lipase levels $\geq 3$ times the upper limit of normal, and characteristic findings on cross-sectional imaging (CT/MRI). **Why Serum Lipase is the Correct Answer:** Serum lipase is considered the **most diagnostic** and preferred biochemical marker because it is more **specific** to the pancreas than amylase. While amylase levels return to normal within 3–5 days, lipase remains elevated for 7–14 days, making it more useful for patients presenting late. Furthermore, lipase is more sensitive in cases of alcoholic pancreatitis and hypertriglyceridemia-induced pancreatitis, where amylase levels may be falsely low or normal. **Analysis of Incorrect Options:** * **Serum Amylase:** Although widely used and rises early (within 6–12 hours), it lacks specificity. It can be elevated in various non-pancreatic conditions like salivary gland disease, bowel obstruction, and ectopic pregnancy. It also has a shorter half-life. * **Serum P-isoamylase:** This is more specific than total amylase as it isolates the pancreatic fraction; however, it is not routinely available in clinical practice and does not surpass the diagnostic utility of lipase. * **Serum LDH:** LDH is a marker of systemic inflammation and tissue necrosis. While it is a component of the **Ranson Criteria** used to predict the **prognosis** and severity of pancreatitis, it has no role in the primary diagnosis. **High-Yield Clinical Pearls for NEET-PG:** * **Most specific imaging:** Contrast-Enhanced CT (CECT) is the gold standard for assessing complications (necrosis), but it is best performed **72 hours after** symptom onset. * **Early prognostic marker:** Rising Hematocrit or BUN levels are excellent early indicators of severity. * **Urinary Trypsinogen-2:** A highly sensitive bedside screening test for acute pancreatitis.
Explanation: The correct answer is **A. Hypocalcemia**. In the context of this question, it is the "odd one out" because it is a **consequence** of acute pancreatitis, not a cause. ### **Explanation of the Correct Answer** **Hypocalcemia** is a classic laboratory finding and a prognostic marker in acute pancreatitis (included in Ranson’s Criteria). It occurs due to **saponification**: proteolytic enzymes release fatty acids from retroperitoneal fat, which then bind to calcium ions to form "calcium soaps." Conversely, **Hypercalcemia** (e.g., due to hyperparathyroidism) is a known *cause* of pancreatitis, as high calcium levels can activate trypsinogen within the pancreatic parenchyma. ### **Analysis of Incorrect Options (Causes of Pancreatitis)** * **B. Valproic acid therapy:** This is a well-documented drug-induced cause of pancreatitis. Other high-yield drugs include Azathioprine, Thiazides, Sulfonamides, and Estrogens. * **C. Biliary tract disease:** Gallstones are the **most common cause** of acute pancreatitis worldwide (approx. 40%), caused by the reflux of bile into the pancreatic duct or ampullary obstruction. * **D. Blunt trauma:** Trauma is a common cause, especially in children (e.g., bicycle handlebar injuries) or due to compression of the pancreas against the vertebral column in seatbelt injuries. ### **High-Yield Clinical Pearls for NEET-PG** * **Mnemonic for Causes:** **I GET SMASHED** (Idiopathic, Gallstones, Ethanol, Trauma, Steroids, Mumps, Autoimmune, Scorpion sting, Hypercalcemia/Hypertriglyceridemia, ERCP, Drugs). * **Most Common Cause:** Gallstones (1st), Alcohol (2nd). * **Scorpion Sting:** Specifically the *Tityus trinitatis* species. * **Prognosis:** Hypocalcemia (<8 mg/dL) within 48 hours is a sign of severe disease and poor prognosis.
Explanation: **Explanation:** The patient presents with classic features of **Chronic Calcific Pancreatitis (CCP)**. The primary indication for surgery in CCP is intractable abdominal pain that fails medical management. **1. Why Pancreaticojejunostomy is correct:** The underlying pathophysiology of pain in CCP is often high intraductal pressure due to ductal obstruction (stones/strictures). When the **Main Pancreatic Duct (MPD) is dilated (typically >5-7 mm)**, the procedure of choice is a drainage operation. The **Partington-Rochelle procedure** (a modified Lateral Pancreaticojejunostomy) involves longitudinal opening of the MPD and anastomosis with a Roux-en-Y jejunal limb. This decompresses the entire ductal system, providing significant pain relief while preserving endocrine and exocrine function. **2. Why other options are incorrect:** * **Pancreatic Tail Resection:** This is a resectional procedure. While the stones are in the tail, CCP is a global disease of the gland. Resection is usually reserved for localized disease (e.g., tumors) or when the duct is not dilated (Frey’s or Whipple’s, depending on the site of the inflammatory mass). * **Percutaneous removal of stone:** This is technically difficult and does not address the underlying ductal hypertension or strictures throughout the gland. * **Medical management:** The question specifies "intractable" pain, implying that conservative measures (analgesics, enzyme supplements, lifestyle changes) have already failed. **Clinical Pearls for NEET-PG:** * **Duct size matters:** If MPD >7 mm, perform **Drainage** (Partington-Rochelle). If there is an inflammatory mass in the head, perform **Hybrid** (Frey’s procedure). * **Puestow Procedure:** An older version of drainage involving tail resection and invagination into the jejunum (rarely done now). * **Chain of Lakes Appearance:** The classic radiological finding on ERCP/MRCP in chronic pancreatitis. * **Most common cause:** Alcohol (Western world/General), though Tropical Pancreatitis is common in specific Indian cohorts.
Explanation: ***Chronic pancreatitis*** - **Chronic alcohol use** with recurrent abdominal pain episodes over **4-5 years** and **weight loss** are classic features of chronic pancreatitis with **pancreatic insufficiency**. - **Normal serum lipase and amylase** levels are typical in chronic pancreatitis due to **pancreatic atrophy** and loss of enzyme-producing cells, unlike acute pancreatitis. *Acute pancreatitis* - Would typically present with **markedly elevated serum lipase and amylase** levels, which are normal in this case. - Usually has an **acute onset** rather than the chronic, recurrent pattern described over **4-5 years**. *Adenocarcinoma of pancreas* - More commonly affects patients **>60 years old** and presents with **painless jaundice** rather than recurrent abdominal pain. - **Weight loss** occurs but is usually more **rapid and severe**, and the **rigid abdomen** is less characteristic. *Periampullary carcinoma* - Typically presents with **obstructive jaundice**, **pale stools**, and **dark urine** due to **biliary obstruction**. - **Painless jaundice** is the hallmark feature, not the chronic abdominal pain pattern seen here.
Explanation: **Explanation:** The patient is presenting with acute pancreatitis complicated by **hypovolemic and distributive shock** (Pulse 110/min, BP 70/40 mmHg). In the management of acute pancreatitis, the most critical initial step is aggressive fluid resuscitation to maintain organ perfusion and prevent multi-organ dysfunction syndrome (MODS). **1. Why Immediate IV fluids is correct:** Acute pancreatitis causes significant "third-spacing" of fluid due to systemic inflammation and increased capillary permeability. This leads to profound intravascular volume depletion. Immediate administration of isotonic crystalloids (preferably Ringer’s Lactate) is the cornerstone of initial management to stabilize hemodynamics and prevent acute tubular necrosis (ATN). **2. Why other options are incorrect:** * **Removal of necrosed tissues:** Surgical debridement (necrosectomy) is never an initial step. It is generally reserved for infected necrosis, typically occurring 3–4 weeks after the onset of symptoms. * **Start enteral nutrition first:** While enteral nutrition is preferred over parenteral nutrition in pancreatitis to maintain the gut barrier, it is only initiated once the patient is hemodynamically stable. * **IV antibiotics:** Pancreatitis is primarily a chemical inflammation. Prophylactic antibiotics are not routinely recommended unless there is a documented infection (e.g., infected necrosis or cholangitis). **High-Yield Clinical Pearls for NEET-PG:** * **Fluid of Choice:** Ringer’s Lactate is preferred over Normal Saline as it may reduce systemic inflammation. * **Monitoring:** The best indicator of adequate fluid resuscitation is **Urine Output** (target >0.5 ml/kg/hr). * **Early Complication:** The most common cause of death in the first week of acute pancreatitis is **Organ Failure** (due to SIRS); after two weeks, it is **Sepsis/Infection**. * **Diagnosis:** Requires 2 out of 3: (1) Typical abdominal pain, (2) Serum Amylase/Lipase >3x normal, (3) Characteristic findings on imaging (CECT).
Explanation: This question describes a classic presentation of **Verner-Morrison Syndrome** (also known as **WDHA syndrome**: Watery Diarrhea, Hypokalemia, and Achlorhydria), caused by a **VIPoma**. ### **Explanation of the Correct Answer** The patient has **MEN1 syndrome** (suggested by the family history of parathyroid, pancreatic, and pituitary tumors). VIPomas are functional pancreatic neuroendocrine tumors (pNETs) that secrete **Vasoactive Intestinal Peptide (VIP)**. * **Mechanism:** VIP stimulates intestinal secretion of water and electrolytes and inhibits gastric acid secretion. * **Clinical Features:** This leads to "pancreatic cholera"—massive, tea-colored watery diarrhea (>3L/day) that persists even during fasting, resulting in hypokalemia and **achlorhydria/hypochlorhydria** (low gastric acid). Since the gastrin level is normal, Zollinger-Ellison Syndrome is ruled out. ### **Why Other Options are Incorrect** * **A. Glucagon:** Secreted by Glucagonomas. Presents with the "4Ds": Diabetes, Dermatitis (Necrolytic Migratory Erythema), Deep vein thrombosis, and Depression. It does not typically cause massive watery diarrhea with low acid. * **C. Cholecystokinin (CCK):** CCKomas are extremely rare. CCK stimulates gallbladder contraction and pancreatic enzyme secretion; it is not a recognized cause of WDHA syndrome. * **D. Serotonin:** Associated with Carcinoid Syndrome. While it causes diarrhea, it is usually accompanied by cutaneous flushing, wheezing, and right-sided heart valve lesions. It does not cause achlorhydria. ### **High-Yield Clinical Pearls for NEET-PG** * **WDHA Syndrome Mnemonic:** **W**atery **D**iarrhea, **H**ypokalemia, **A**chlorhydria. * **MEN1 Association:** VIPomas occur in about 5% of MEN1 patients. * **Diagnosis:** Elevated fasting serum VIP levels (>200 pg/mL). * **Localization:** Most VIPomas are found in the **tail of the pancreas** and are often >3 cm at diagnosis. * **Management:** Initial stabilization with fluids/electrolytes and **Octreotide** (somatostatin analog) to control diarrhea before surgical resection.
Explanation: **Explanation:** **Pseudocyst of the pancreas** is the most common complication of chronic pancreatitis, occurring in approximately **20–40%** of patients. It develops when pancreatic secretions are walled off by a fibrous capsule (lacking an epithelial lining) due to ductal obstruction or chronic inflammation. While many are asymptomatic, they can lead to pain, gastric outlet obstruction, or infection. **Analysis of Options:** * **B. Pseudocyst (Correct):** Its high prevalence in the natural history of chronic calcific pancreatitis makes it the leading complication. * **A. Ascites:** Pancreatic ascites occurs due to a leak from a pseudocyst or direct ductal disruption. While a classic board topic, it is significantly less common than the formation of the pseudocyst itself. * **C. Splenic Vein Thrombosis:** This occurs in about 5–10% of cases due to the proximity of the vein to the inflamed pancreas. It leads to "left-sided" or "sinistral" portal hypertension and gastric varices, but it is less frequent than pseudocysts. * **D. Pancreatic Enteric Fistula:** This is a rare complication resulting from the erosion of a pseudocyst or the duct into adjacent hollow viscera (e.g., duodenum or colon). **NEET-PG High-Yield Pearls:** * **Most common cause of Chronic Pancreatitis:** Alcohol (Adults), Cystic Fibrosis (Children). * **Classic Triad:** Steatorrhea, Diabetes Mellitus, and Pancreatic Calcifications (pathognomonic). * **Management of Pseudocyst:** Observation if asymptomatic; **Cystogastrostomy** (Endoscopic or Surgical) if symptomatic or enlarging. * **Chain of Lakes Appearance:** Seen on ERCP/MRCP due to alternating stenosis and dilatation of the main pancreatic duct.
Explanation: **Explanation:** The patient presents with symptoms suggestive of **biliary dyskinesia** (biliary-type pain in the absence of gallstones or structural obstruction). The physiological control of gallbladder motility is primarily hormonal and neural. **Why Cholecystokinin (CCK) is Correct:** CCK is the most potent physiological stimulus for gallbladder contraction. It is a peptide hormone secreted by the **I-cells of the duodenum and proximal jejunum** in response to the presence of fat and amino acids in the intestinal lumen. CCK acts via two mechanisms: 1. **Direct Action:** It binds to CCK-A receptors on the gallbladder smooth muscle, causing contraction. 2. **Indirect Action:** It triggers a vagovagal reflex and stimulates the relaxation of the **Sphincter of Oddi**, ensuring the coordinated delivery of bile into the duodenum. **Why the Other Options are Incorrect:** * **Vagal Section:** The Vagus nerve (Parasympathetic) provides excitatory input to the gallbladder. A vagotomy (vagal section) leads to gallbladder atony, stasis, and an increased risk of gallstone formation, rather than contraction. * **Secretin:** Secreted by S-cells, its primary role is to stimulate the secretion of bicarbonate-rich pancreatic juice and hepatic bile. While it may weakly augment CCK, it does not directly cause gallbladder contraction. * **Epinephrine:** Sympathetic stimulation (via beta-adrenergic receptors) generally causes **relaxation** of the gallbladder wall to allow for bile storage. **High-Yield Clinical Pearls for NEET-PG:** * **HIDA Scan:** The gold standard for diagnosing biliary dyskinesia. A CCK-stimulated HIDA scan showing a **Gallbladder Ejection Fraction (GBEF) < 35%** is diagnostic. * **Somatostatin:** Inhibits CCK release and gallbladder contraction (long-term octreotide use often leads to gallstones). * **Motilin:** Responsible for gallbladder emptying during the interdigestive (fasting) phase.
Pancreatic Anatomy and Physiology
Practice Questions
Acute Pancreatitis
Practice Questions
Chronic Pancreatitis
Practice Questions
Pancreatic Pseudocysts
Practice Questions
Pancreatic Adenocarcinoma
Practice Questions
Cystic Neoplasms of Pancreas
Practice Questions
Neuroendocrine Tumors of Pancreas
Practice Questions
Pancreatic Trauma
Practice Questions
Pancreatectomy Techniques
Practice Questions
Whipple Procedure
Practice Questions
Pancreatic Anastomosis
Practice Questions
Complications of Pancreatic Surgery
Practice Questions
Get full access to all questions, explanations, and performance tracking.
Start For Free