Which of the following is NOT a cause of acute pancreatitis?
Pancreatic pseudocyst most commonly occurs after which condition?
What is the commonest cyst to arise in the pancreas after an attack of acute pancreatitis or pancreatic trauma?
Insulinoma is most commonly located in which part of the pancreas?
True about Insulinoma is:
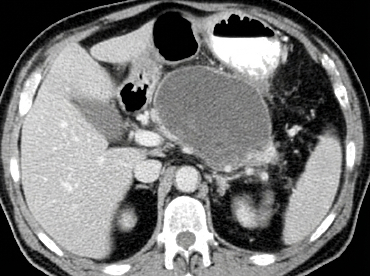
A chronic alcoholic presented with repeated episodes of non-bilious vomiting after meals. Based on CECT findings, what is the diagnosis?

Which branch of the portal vein is involved in chronic pancreatitis?
Which of the following is NOT a cause of acute pancreatitis?
A 25-year-old female presents with episodes of bizarre behavior, memory lapse, and unconsciousness. She also demonstrated previous episodes of extreme hunger, sweating, and tachycardia. During one of these episodes, her blood sugar was tested and was found to be 40 mg/dL. Which of the following would most appropriately indicate a diagnosis of insulinoma?
Which of the following statements is NOT true regarding a pseudocyst of the pancreas?
Explanation: **Explanation:** The correct answer is **D. Magnetic resonance cholangiopancreatography (MRCP)**. MRCP is a non-invasive diagnostic imaging technique that uses MRI to visualize the biliary and pancreatic ducts. Unlike **ERCP (Endoscopic Retrograde Cholangiopancreatography)**, which involves cannulation of the ampulla and injection of contrast under pressure—a known trigger for post-procedure pancreatitis—MRCP does not involve physical instrumentation of the ducts and therefore **cannot** cause acute pancreatitis. **Analysis of Incorrect Options:** * **A. Hypercalcemia:** High calcium levels lead to the activation of trypsinogen to trypsin within the pancreatic parenchyma and can cause the formation of calcium stones in the ducts, leading to inflammation. * **B. Thrombotic Thrombocytopenic Purpura (TTP):** TTP causes microvascular thrombosis. Ischemia resulting from these microthrombi in the pancreatic vasculature can trigger acute pancreatitis. * **C. Cystic Fibrosis:** This condition leads to thick, inspissated secretions that obstruct the pancreatic ducts, causing premature enzyme activation and chronic/recurrent acute pancreatitis. **Clinical Pearls for NEET-PG:** * **Most Common Cause:** In India and globally, Gallstones (1st) and Alcohol (2nd) are the leading causes. * **Iatrogenic Cause:** ERCP is a high-yield cause of acute pancreatitis (occurring in ~3-5% of cases), whereas MRCP is safe. * **Drug-induced:** Common culprits include Azathioprine, Sulfonamides, Valproate, and Thiazides. * **Scoring:** Remember the **Modified Glasgow** or **Ranson’s Criteria** for predicting severity. * **Investigation of Choice:** **CECT abdomen** (performed after 72 hours) is the gold standard for assessing pancreatic necrosis.
Explanation: **Explanation:** A **pancreatic pseudocyst** is a localized collection of fluid, pancreatic enzymes, and debris, walled off by a rim of fibrous or granulation tissue. Unlike true cysts, it lacks an epithelial lining. **1. Why Pancreatitis is the Correct Answer:** Pancreatitis is the most common cause of pseudocysts, accounting for approximately **70-80% of cases**. It occurs as a complication of both acute and chronic pancreatitis. Following an episode of acute pancreatitis, peripancreatic fluid collections that persist for more than **4 weeks** develop a mature wall of granulation tissue, officially becoming a pseudocyst. In chronic pancreatitis, they often form due to ductal obstruction or leakage. **2. Analysis of Incorrect Options:** * **Trauma (Option A):** While blunt abdominal trauma (e.g., handlebar injuries in children) can cause ductal disruption leading to pseudocysts, it is a much less frequent cause than inflammatory pancreatitis. * **Pancreatic Surgery (Option C):** Post-operative collections are usually classified as pancreatic fistulas or localized abscesses. While a pseudocyst can technically form, it is a rare complication compared to the inflammatory etiology. * **Pancreatic Malignancy (Option D):** Malignancy typically presents with solid masses or cystic neoplasms (like Mucinous Cystadenoma). While a tumor can obstruct a duct and cause secondary pancreatitis, the primary cause remains the inflammatory process. **High-Yield Clinical Pearls for NEET-PG:** * **Location:** Most commonly found in the **lesser sac**. * **Diagnosis:** **CECT** is the gold standard for diagnosis and assessing wall maturity. * **Management:** Most (up to 50%) resolve spontaneously. Intervention (Endoscopic cystogastrostomy or surgical drainage) is indicated only if the cyst is **symptomatic**, infected, or causing complications (e.g., gastric outlet obstruction). * **Rule of 6:** Historically, cysts >6 cm and persisting >6 weeks were considered for surgery, though modern management is now primarily **symptom-driven**.
Explanation: **Explanation:** **1. Why Pseudocyst is Correct:** A **Pseudocyst** is the most common cystic lesion of the pancreas, accounting for approximately 75–80% of all pancreatic cysts. It typically develops as a complication of **acute pancreatitis** (occurring in about 10% of cases) or **pancreatic trauma**. Pathologically, it is a collection of amylase-rich fluid enclosed by a wall of **granulation or fibrous tissue**. Crucially, it lacks an epithelial lining, which is why it is termed a "pseudo" cyst. It usually takes 4–6 weeks to form after the initial inflammatory insult. **2. Why Other Options are Incorrect:** * **Serous Cyst (Serous Cystadenoma):** These are true primary neoplastic cysts lined by glycogen-rich cuboidal epithelium. They are usually benign ("grandmother tumor") and are not caused by inflammation or trauma. * **Mucinous Cyst (Mucinous Cystadenoma):** These are neoplastic cysts with malignant potential, typically found in the tail of the pancreas in middle-aged women. They are not secondary to pancreatitis. * **Malignant Cyst:** While some cysts (like Mucinous Cystadenocarcinoma) are malignant, they arise from neoplastic transformation rather than as a direct sequela of acute trauma or inflammation. **3. Clinical Pearls for NEET-PG:** * **Timing:** A pseudocyst requires **>4 weeks** to develop. Collections occurring <4 weeks are termed "Acute Fluid Collections." * **Location:** Most common in the **lesser sac**. * **Management:** Most resolve spontaneously. Intervention (Endoscopic or Surgical Cystogastrostomy) is indicated if the cyst is symptomatic, infected, or >6 cm and persisting for >6 weeks. * **Gold Standard Investigation:** Contrast-Enhanced CT (CECT) is the investigation of choice.
Explanation: **Explanation:** The correct answer is **D. Equally distributed**. **Understanding the Concept:** Insulinomas are the most common functional neuroendocrine tumors (NETs) of the pancreas. Unlike many other pancreatic pathologies (such as ductal adenocarcinoma, which predominantly occurs in the head), insulinomas arise from the beta cells of the islets of Langerhans. These islets are scattered throughout the entire parenchyma of the gland. Consequently, insulinomas occur with **equal frequency** in the head, body, and tail of the pancreas. **Why other options are incorrect:** * **A, B, and C:** While specific tumors like Gastrinomas are more common in the "Gastrinoma Triangle" (often involving the head/duodenum), and pancreatic adenocarcinomas favor the head (approx. 60-70%), insulinomas do not show a predilection for any specific anatomical segment. Selecting any single part of the pancreas as the "most common" site is a frequent distractor in exams. **High-Yield Clinical Pearls for NEET-PG:** 1. **The Rule of 90s:** Approximately 90% of insulinomas are solitary, 90% are benign, 90% are <2 cm in size, and 90% are intrapancreatic. 2. **Whipple’s Triad:** Essential for diagnosis—(1) Symptoms of hypoglycemia during fasting, (2) Low blood glucose (<50 mg/dL), and (3) Relief of symptoms after glucose administration. 3. **Localization:** Since they are small and equally distributed, **Endoscopic Ultrasound (EUS)** is the most sensitive preoperative imaging, while **Intraoperative Ultrasound (IOUS)** combined with palpation is the gold standard for localization during surgery. 4. **Association:** While most are sporadic, multiple insulinomas are often associated with **MEN-1 syndrome**.
Explanation: **Explanation:** **Insulinoma** is the most common functional neuroendocrine tumor (NET) of the pancreas, arising from the **beta cells** of the Islets of Langerhans. **Why Option C is correct:** Insulinomas autonomously secrete insulin. Endogenous insulin production involves the cleavage of proinsulin into equimolar amounts of **insulin and C-peptide**. Therefore, in a patient with an insulinoma, both serum insulin and C-peptide levels are characteristically **elevated**. This is a crucial diagnostic marker used to differentiate endogenous hyperinsulinism (Insulinoma) from factitious hypoglycemia (exogenous insulin injection), where C-peptide levels would be suppressed. **Analysis of Incorrect Options:** * **A. Alpha cell tumor:** Insulinomas arise from **Beta cells**. Glucagonomas arise from Alpha cells. * **B. Most of them are malignant:** Approximately **90% of insulinomas are benign**, solitary, and small (<2 cm). Only about 10% are malignant. * **D. Not associated with MEN 1:** Insulinoma is the second most common pancreatic NET associated with **MEN 1 syndrome** (after Gastrinoma). While most insulinomas are sporadic, 5-10% occur in the context of MEN 1. **Clinical Pearls for NEET-PG:** * **Whipple’s Triad:** 1. Symptoms of hypoglycemia during fasting, 2. Low blood glucose (<50 mg/dL), 3. Relief of symptoms after glucose administration. * **Diagnosis:** The gold standard is the **72-hour supervised fast**. * **Localization:** Intraoperative ultrasound (IOUS) combined with surgical palpation is the most sensitive method for localization. * **Treatment:** Surgical enucleation is usually sufficient for benign, solitary tumors. Medical management includes **Diazoxide**, which inhibits insulin release.
Explanation: ***Pseudocyst*** - **CECT** shows a **fluid-density collection** with **thin walls** in the peripancreatic region, which is characteristic of a **pancreatic pseudocyst**. - The **non-bilious vomiting** occurs due to **gastric compression** by the pseudocyst, commonly seen in chronic alcoholics with recurrent pancreatitis. *Gastric outlet obstruction* - Would show **gastric distension** and **delayed gastric emptying** on CECT, but lacks the characteristic **peripancreatic fluid collection**. - Typically presents with **bilious vomiting** and **succussion splash**, which are not described here. *Carcinoma pancreas* - **CECT** would reveal a **solid mass** with **irregular margins** and possible **vascular encasement**, not a fluid collection. - Usually presents with **painless jaundice**, **weight loss**, and **abdominal pain**, rather than isolated post-prandial vomiting. *Chronic pancreatitis* - **CECT** shows **pancreatic calcifications**, **ductal dilatation**, and **parenchymal atrophy**, not a fluid collection. - Typically presents with **steatorrhea**, **diabetes mellitus**, and **chronic abdominal pain**, rather than episodic vomiting.
Explanation: **Explanation:** The correct answer is **D. Splenic vein**. **1. Why the Splenic Vein is Correct:** The splenic vein runs along the posterior surface of the body and tail of the pancreas. In chronic pancreatitis, persistent inflammation and peripancreatic fibrosis lead to compression or thrombosis of this vein (Splenic Vein Thrombosis). This results in **"Sinistral" (Left-sided) Portal Hypertension**. The blood is diverted through the short gastric veins into the gastric fundus, leading to isolated **gastric varices** while the liver function and esophageal veins often remain normal. **2. Why the Other Options are Incorrect:** * **A. Superior Mesenteric Vein (SMV):** While the SMV lies posterior to the neck of the pancreas, it is less commonly involved in the inflammatory process of chronic pancreatitis compared to the splenic vein. SMV involvement is more characteristic of pancreatic head malignancy. * **B. Inferior Mesenteric Vein (IMV):** The IMV usually drains into the splenic vein or the junction of the SMV and splenic vein. It is anatomically further from the primary site of pancreatic inflammation. * **C. Left branch of portal vein:** This is an intrahepatic structure or located at the porta hepatis, far from the pancreatic parenchyma affected by chronic pancreatitis. **3. Clinical Pearls for NEET-PG:** * **Classic Triad of Sinistral Hypertension:** Chronic pancreatitis + Splenic vein thrombosis + Gastric varices (with a normal liver). * **Treatment of Choice:** Splenectomy is the definitive treatment for symptomatic gastric varices due to splenic vein thrombosis. * **Puestow Procedure:** Often used in chronic pancreatitis with a dilated main pancreatic duct (>6mm); it involves a lateral pancreaticojejunostomy. * **Chain of Lakes Appearance:** A classic radiological finding in chronic pancreatitis on ERCP/MRCP due to alternating stenosis and dilatation of the pancreatic duct.
Explanation: **Explanation:** The correct answer is **Hypocalcemia**. In fact, it is **Hypercalcemia** (high serum calcium levels) that is a known cause of acute pancreatitis. Elevated calcium levels lead to the activation of trypsinogen into trypsin within the pancreatic parenchyma, causing autodigestion. Conversely, hypocalcemia is a *consequence* or a prognostic marker of severe acute pancreatitis (as seen in Ranson’s criteria), resulting from the saponification of calcium by fatty acids in areas of fat necrosis. **Analysis of other options:** * **Gallstones (Option B):** The most common cause of acute pancreatitis worldwide (approx. 40%). Obstruction of the ampulla of Vater increases pancreatic ductal pressure, triggering enzyme activation. * **Trauma (Option C):** Blunt abdominal trauma (e.g., handlebar injury) can compress the pancreas against the vertebral column, causing ductal injury and inflammation. * **Mumps (Option A):** A classic viral cause of pancreatitis, especially in children. Other viral causes include Coxsackievirus and Cytomegalovirus. **High-Yield Clinical Pearls for NEET-PG:** * **Mnemonic for Causes:** **I GET SMASHED** (Idiopathic, Gallstones, Ethanol, Trauma, Steroids, Mumps, Autoimmune, Scorpion sting, Hypercalcemia/Hypertriglyceridemia, ERCP, Drugs like Azathioprine/Thiazides). * **Most common cause:** Gallstones (1st), Alcohol (2nd). * **Scorpion sting:** Specifically the *Tityus trinitatis* species causes pancreatitis. * **Hypertriglyceridemia:** Usually occurs when serum levels exceed 1000 mg/dL.
Explanation: ### Explanation The clinical presentation of bizarre behavior, sweating, and tachycardia associated with low blood sugar (40 mg/dL) strongly suggests an **Insulinoma**, the most common functional neuroendocrine tumor of the pancreas. **1. Why Option D is Correct:** The diagnosis of insulinoma is clinically established using **Whipple’s Triad**, which consists of: * Symptoms of hypoglycemia (neuroglycopenic or autonomic). * Low plasma glucose levels (<50 mg/dL) during the episode. * **Relief of symptoms** promptly after the administration of glucose. Option D directly describes this triad, which remains the gold standard for clinical suspicion before biochemical confirmation (via 72-hour fasting test). **2. Why Other Options are Incorrect:** * **Option A:** Insulin antibodies are typically checked to rule out *Factitious Hypoglycemia* (exogenous insulin injection), not to diagnose insulinoma. * **Option B:** Glucagon levels are irrelevant for diagnosing insulinoma; glucagonomas present with necrolytic migratory erythema and diabetes, not hypoglycemia. * **Option C:** While CT scans are used for **localization**, they are not diagnostic of the disease itself. Small insulinomas (<2 cm) are often missed on routine CT; biochemical diagnosis must always precede imaging. **3. NEET-PG High-Yield Pearls:** * **Most common site:** Evenly distributed throughout the head, body, and tail of the pancreas. * **Rule of 10s:** 10% are malignant, 10% are multiple, and 10% are associated with **MEN-1 syndrome**. * **Biochemical Gold Standard:** 72-hour supervised fast showing high insulin (>3 μU/mL), high C-peptide (>0.6 ng/mL), and low plasma glucose. * **Localization:** Endoscopic Ultrasound (EUS) is the most sensitive preoperative modality; Intraoperative Ultrasound (IOUS) is the most sensitive overall.
Explanation: **Explanation:** A pancreatic pseudocyst is a collection of fluid rich in pancreatic enzymes, enclosed by a wall of fibrous or granulation tissue (lacking a true epithelial lining). **Why Option D is the Correct Answer (The False Statement):** Percutaneous aspiration is **not** the treatment of choice because it is associated with a very high recurrence rate (over 70-90%) and a significant risk of introducing infection, converting a sterile pseudocyst into a pancreatic abscess. The treatment of choice for a symptomatic or complicated pseudocyst is **internal drainage** (e.g., cystogastrostomy), provided the cyst wall is "mature" (usually after 6 weeks). **Analysis of Other Options:** * **Option A:** Pseudocysts are frequently associated with persistently **elevated serum amylase** levels. If amylase remains high weeks after an episode of acute pancreatitis, a pseudocyst should be suspected. * **Option B:** The most common clinical presentation is an **epigastric mass** accompanied by pain, early satiety, or nausea due to the cyst's pressure on the stomach. * **Option C:** **Cystogastrostomy** (surgical or endoscopic) is considered an ideal treatment for cysts approximating the posterior wall of the stomach, as it allows internal drainage of the fluid. **NEET-PG High-Yield Pearls:** * **Definition:** A "pseudo" cyst lacks an epithelial lining (unlike true cysts). * **Timing:** Most pseudocysts require **6 weeks** for the wall to mature (become firm enough to hold sutures for internal drainage). * **Indications for Intervention:** Size >6 cm or persistence >6 weeks are traditional markers, but currently, intervention is primarily indicated if the cyst is **symptomatic** or **complicated** (infection, hemorrhage, or rupture). * **Investigation of Choice:** Contrast-Enhanced CT (CECT) scan.
Pancreatic Anatomy and Physiology
Practice Questions
Acute Pancreatitis
Practice Questions
Chronic Pancreatitis
Practice Questions
Pancreatic Pseudocysts
Practice Questions
Pancreatic Adenocarcinoma
Practice Questions
Cystic Neoplasms of Pancreas
Practice Questions
Neuroendocrine Tumors of Pancreas
Practice Questions
Pancreatic Trauma
Practice Questions
Pancreatectomy Techniques
Practice Questions
Whipple Procedure
Practice Questions
Pancreatic Anastomosis
Practice Questions
Complications of Pancreatic Surgery
Practice Questions
Get full access to all questions, explanations, and performance tracking.
Start For Free