Which of the following is FALSE about brown pigment stones?
What is the approximate association of choledocholithiasis in patients with cholelithiasis?
Which of the following is NOT a risk factor for malignant change in an asymptomatic patient with a gallbladder polyp identified on ultrasound?
Courvoisier's law is related to which of the following?
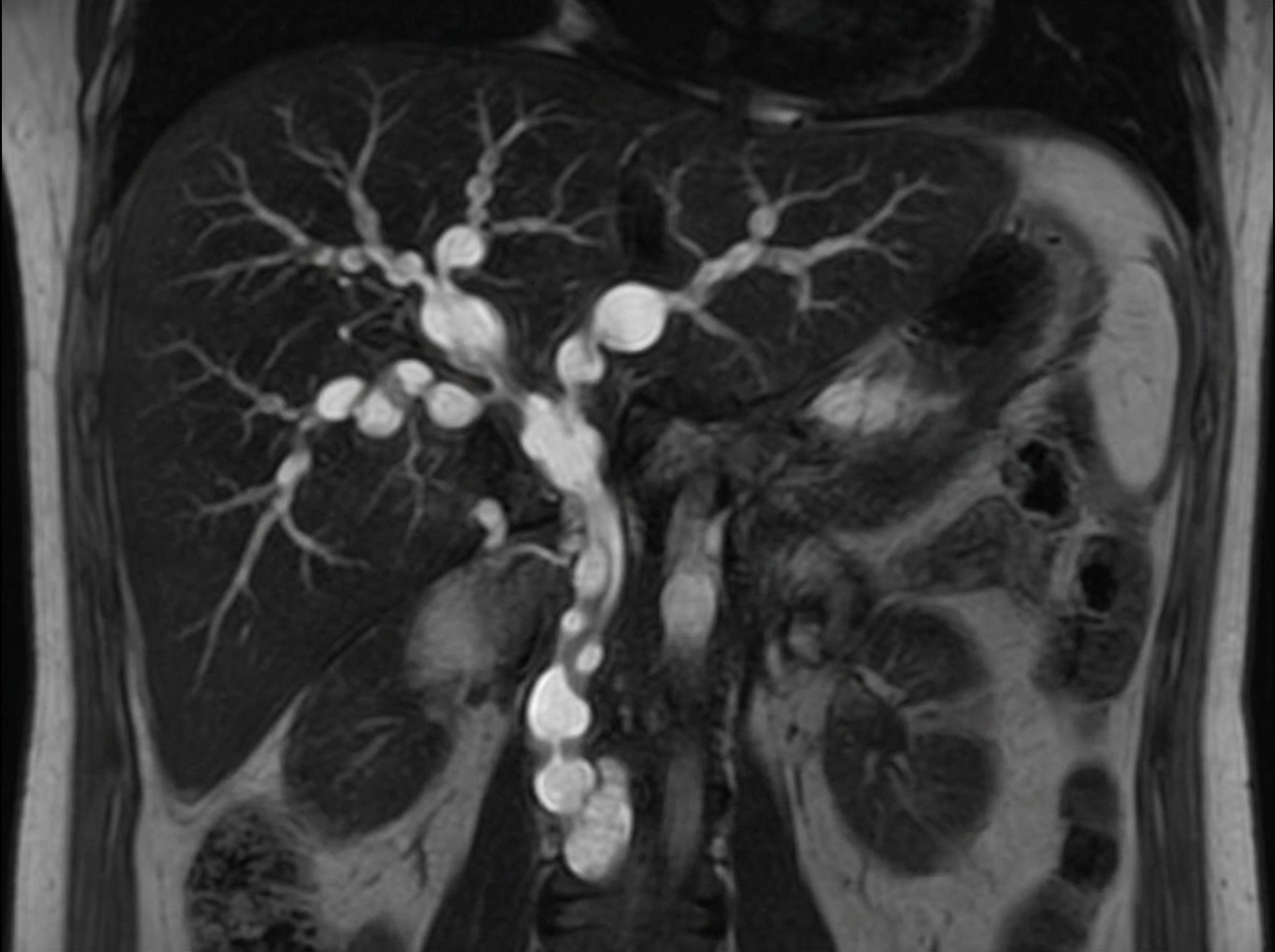
A 45-year-old male presented with recurrent attacks of cholangitis. MRCP and ERCP findings are suggestive of this condition. What is the treatment of choice for this condition?

According to Pugh's classification, moderate to severe hepatic insufficiency is managed by which of the following?
What is the most common cause of hemobilia?
Amoebic liver abscess ruptures most commonly into which cavity?
Which of the following is a characteristic feature of periampullary carcinoma?
Bleeding adjacent to the Triangle of Calot should be controlled by which method?
Explanation: **Explanation:** Brown pigment stones are a specific subtype of gallstones primarily formed within the **bile ducts** (primary common bile duct stones). **Why Option B is the Correct Answer (The False Statement):** Brown pigment stones are **more common in Asian populations** rather than Caucasians. In Western (Caucasian) populations, cholesterol stones are the most prevalent, whereas brown pigment stones are frequently associated with biliary stasis and parasitic infections (like *Clonorchis sinensis* or *Ascaris lumbricoides*) common in Southeast Asia. **Analysis of Other Options:** * **Option A (True):** Their pathogenesis is rooted in **biliary stasis** (motility disorders) and **infection**. Bacteria (like *E. coli*) produce the enzyme **beta-glucuronidase**, which deconjugates bilirubin diglucuronide into insoluble free bilirubin, leading to stone formation. * **Option C (True):** Unlike hard, crystalline cholesterol stones or brittle black pigment stones, brown stones have an earthy, **soft, and crumbly texture**, making them easy to crush. * **Option D (True):** They are composed of calcium bilirubinate, **calcium palmitate** (soaps), and a variable amount of **cholesterol** (usually around 10-25%). **High-Yield Clinical Pearls for NEET-PG:** * **Location:** Brown stones are typically **primary duct stones** (formed in the CBD), whereas black stones are usually formed in the gallbladder. * **Black vs. Brown Pigment Stones:** * **Black stones:** Associated with chronic hemolysis and cirrhosis; found in the gallbladder; sterile. * **Brown stones:** Associated with infection/stasis; found in the ducts; infected. * **Radiology:** Pigment stones are generally **radiolucent** (though brown stones may occasionally show faint calcification due to calcium palmitate).
Explanation: **Explanation:** The presence of stones in the common bile duct (choledocholithiasis) is a frequent complication of gallbladder stones (cholelithiasis). In approximately **15%** of patients undergoing cholecystectomy for symptomatic gallstones, concomitant CBD stones are discovered. These are typically "secondary stones" that have migrated from the gallbladder through the cystic duct. **Analysis of Options:** * **15% (Correct):** This is the standard epidemiological figure cited in major surgical textbooks (like Bailey & Love and Sabiston). The incidence increases with age, potentially reaching 20-25% in elderly populations, but 15% remains the classic high-yield figure for exams. * **<5% (Incorrect):** This underestimates the prevalence. While asymptomatic CBD stones exist, the rate of migration is significantly higher than 5% in symptomatic patients. * **20-35% (Incorrect):** This range is too high for the general population, though it may be seen in specific high-risk subgroups (e.g., patients with ascending cholangitis or very dilated ducts). * **50% (Incorrect):** This is an overestimation; most patients with gallstones do not develop CBD stones. **Clinical Pearls for NEET-PG:** * **Primary vs. Secondary Stones:** Secondary stones (migrated) are usually cholesterol stones. Primary CBD stones (formed in the duct) are typically **brown pigment stones** associated with stasis or infection. * **Predictors:** The strongest predictors for choledocholithiasis are jaundice (elevated bilirubin), dilated CBD on ultrasound (>6mm), and elevated Alkaline Phosphatase (ALP). * **Management:** The gold standard for diagnosis and therapeutic clearance is **ERCP** (Endoscopic Retrograde Cholangiopancreatography), usually performed before or during cholecystectomy. * **Courvoisier’s Law:** In a patient with obstructive jaundice, if the gallbladder is palpable, the obstruction is unlikely to be due to a stone (as stones cause a fibrotic, non-distensible gallbladder).
Explanation: **Explanation:** The management of gallbladder (GB) polyps is primarily focused on identifying the risk of progression to gallbladder carcinoma. According to current clinical guidelines (including ESGAR and ESGE), the size threshold for concern is **10 mm**, not 5 mm. **1. Why Option C is the correct answer:** A polyp size of **greater than 5 mm** is generally considered low risk. Most polyps under 10 mm are benign cholesterol polyps. Surgical intervention (cholecystectomy) is typically recommended only when a polyp reaches **≥ 10 mm**, as the risk of malignancy increases significantly beyond this point. Therefore, "greater than 5 mm" is not a standard risk factor for malignancy in an asymptomatic patient. **2. Analysis of Incorrect Options (Risk Factors):** * **Age > 60 years (Option A):** Advanced age is a well-established risk factor for gallbladder malignancy. Patients over 50–60 years with polyps require more aggressive monitoring or surgery. * **Rapid increase in size (Option B):** Any lesion that demonstrates rapid growth on serial imaging is highly suspicious for malignancy and warrants immediate cholecystectomy. * **Presence of associated gallstones (Option C):** The presence of concomitant cholelithiasis increases the risk of neoplastic changes in the gallbladder mucosa, making even smaller polyps (6–9 mm) a candidate for surgery. **Clinical Pearls for NEET-PG:** * **Size Threshold:** < 6 mm (Follow-up), 6–9 mm (Follow-up or surgery if risk factors present), ≥ 10 mm (Cholecystectomy). * **Sessile vs. Pedunculated:** Sessile polyps (broad-based) have a higher malignant potential than pedunculated ones. * **Primary Sclerosing Cholangitis (PSC):** This is a high-risk condition; any GB polyp in a PSC patient, regardless of size, is an indication for cholecystectomy. * **Most common type:** Cholesterol polyps (benign) are the most common, usually multiple and < 10 mm.
Explanation: **Explanation:** **Courvoisier’s Law** states that in a patient with obstructive jaundice, if the gallbladder is palpable, the cause is unlikely to be a gallstone. This is because gallstones usually cause chronic inflammation and fibrosis, resulting in a shrunken, non-distensible gallbladder. Conversely, a palpable gallbladder in the presence of jaundice suggests a malignant obstruction of the common bile duct (e.g., periampullary carcinoma or head of pancreas cancer), where the gallbladder is healthy and can distend due to backpressure. **Analysis of Options:** * **A. Jaundice (Correct):** The law specifically differentiates between causes of obstructive jaundice (calculous vs. malignant). * **B. Ureteric calculi:** This is unrelated. Ureteric stones typically present with renal colic and hematuria, not gallbladder distension. * **C. Portal hypertension:** This presents with features like splenomegaly, ascites, and esophageal varices, but Courvoisier’s Law does not apply here. * **D. Length of skin flap:** This refers to the "Rule of Halves" or specific reconstructive principles, not Courvoisier’s Law. **High-Yield Clinical Pearls for NEET-PG:** * **Exceptions to Courvoisier’s Law:** 1. Double impaction of stones (one in the cystic duct and one in the CBD). 2. Oriental cholangiohepatitis. 3. Mucocele of the gallbladder with a stone in the CBD. * **Terrier’s Sign:** The actual physical finding of a palpable, non-tender gallbladder in a jaundiced patient. * **Most common cause of Courvoisier Law positivity:** Carcinoma of the head of the pancreas.
Explanation: ***Liver transplantation*** - Primary sclerosing cholangitis (PSC) is a **progressive disease** with no effective medical therapy, making **liver transplantation** the only definitive treatment for advanced disease. - Given the **recurrent cholangitis** and characteristic **MRCP/ERCP findings** (beaded appearance), this patient likely has end-stage PSC requiring transplantation. *ERCP with stenting* - ERCP with stenting is a **palliative procedure** used for **dominant strictures** in PSC to improve bile drainage temporarily. - It does **not halt disease progression** and is not considered the definitive treatment for PSC. *High dose ursodeoxycholic acid* - **Ursodeoxycholic acid (UDCA)** has shown **no proven benefit** in PSC and may actually worsen outcomes in high doses. - Current guidelines **do not recommend UDCA** for PSC treatment due to lack of efficacy in preventing disease progression. *High dose prednisolone* - **Corticosteroids** like prednisolone are **not effective** in PSC and do not improve long-term outcomes. - PSC is **not an autoimmune condition** that responds to immunosuppression like autoimmune hepatitis does.
Explanation: **Explanation:** The Child-Pugh classification (or Child-Turcotte-Pugh score) is used to assess the prognosis of chronic liver disease and cirrhosis. It evaluates five parameters: Bilirubin, Albumin, INR, Ascites, and Encephalopathy. **Why Orthotopic Liver Transplantation (OLT) is correct:** The Child-Pugh score categorizes patients into three classes: * **Class A (5–6 points):** Mild insufficiency (Good operative risk). * **Class B (7–9 points):** Moderate insufficiency. * **Class C (10–15 points):** Severe insufficiency. Patients in **Class B and C** represent moderate to severe hepatic insufficiency. For these patients, the liver's functional reserve is significantly compromised, making them candidates for **Orthotopic Liver Transplantation**, which is the definitive treatment for end-stage liver disease (ESLD). **Why other options are incorrect:** * **Sclerotherapy:** This is a localized treatment for bleeding esophageal varices (a complication of portal hypertension) but does not address the underlying hepatic insufficiency. * **Conservative management:** While used for Class A or as a bridge to transplant, it cannot reverse moderate to severe liver failure. * **Shunt surgery:** Procedures like Portosystemic shunts are used to decompress portal hypertension. However, in patients with poor hepatic reserve (Class B/C), shunts can precipitate hepatic encephalopathy and further liver failure; hence, they are generally avoided in favor of transplantation. **High-Yield Clinical Pearls for NEET-PG:** * **Mnemonic for Child-Pugh:** **A**lbumin, **B**ilirubin, **C**oagulation (INR), **D**egree of Ascites, **E**ncephalopathy. * **MELD Score:** Currently used for prioritizing liver transplant allocation; it uses Bilirubin, Creatinine, and INR. * **Child-Pugh Class C** has a 1-year survival rate of only ~45%, making transplant the only viable long-term option.
Explanation: **Explanation:** **Hemobilia** refers to hemorrhage into the biliary tree. The most common cause is **Iatrogenic trauma (Option B)**. This is primarily due to the increasing frequency of invasive hepatobiliary procedures such as Percutaneous Transhepatic Cholangiography (PTC), liver biopsies, and endoscopic retrograde cholangiopancreatography (ERCP). These procedures can create an abnormal communication between a branch of the hepatic artery (or portal vein) and the bile duct. **Analysis of Options:** * **Iatrogenic trauma (Correct):** Accounts for approximately 40-60% of cases in modern clinical practice due to the rise of interventional radiology and laparoscopic surgery. * **Blunt trauma (Option C):** While a significant cause, it ranks second to iatrogenic causes. It typically results from central liver lacerations or subcapsular hematomas that rupture into the biliary system. * **Carcinoma (Option A):** Hepatocellular carcinoma or cholangiocarcinoma can cause hemobilia through direct erosion into ducts, but this is relatively rare compared to procedural trauma. * **Cirrhosis (Option D):** While cirrhosis leads to portal hypertension and varices, it does not typically cause direct bleeding into the bile ducts unless associated with a procedure or malignancy. **Clinical Pearls for NEET-PG:** * **Sandeblom’s Triad (Quinke’s Triad):** The classic presentation of hemobilia consists of **Biliary colic (pain)**, **Obstructive jaundice**, and **Upper GI bleeding** (melena/hematemesis). * **Investigation of Choice:** Selective **Hepatic Angiography** is the gold standard for both diagnosis and therapeutic intervention. * **Management:** Most cases are managed via **Transarterial Embolization (TAE)**. Surgery is reserved for failed embolization or major ductal injury.
Explanation: **Explanation:** Amoebic liver abscess (ALA), caused by *Entamoeba histolytica*, is most commonly located in the **superior-posterior aspect of the right lobe** of the liver. Due to this anatomical positioning, the abscess tends to enlarge superiorly toward the diaphragm. **1. Why Pleural is correct:** The most common site of extrahepatic rupture is the **pleural cavity** (specifically the right side). As the abscess expands, it causes reactive inflammation of the diaphragm, leading to adhesions. It then erodes through the diaphragm into the pleural space, often resulting in an "anchovy sauce" colored empyema or a hepatobronchial fistula. **2. Analysis of Incorrect Options:** * **Peritoneal (Option A):** While rupture into the peritoneal cavity is the second most common site and leads to acute peritonitis, it occurs less frequently than intrathoracic rupture because the abscess typically moves toward the "path of least resistance" (the diaphragm) rather than downward into the free peritoneum. * **Pericardial (Option C):** This is a rare but life-threatening complication. It occurs almost exclusively from abscesses located in the **left lobe** of the liver. It can lead to sudden cardiac tamponade. **3. Clinical Pearls for NEET-PG:** * **Most common site of ALA:** Right lobe (due to the bulk of liver tissue and portal blood flow distribution). * **Classic presentation:** High-grade fever, right upper quadrant pain, and "anchovy sauce" pus on aspiration. * **Investigation of choice:** Ultrasound is the initial screening tool; Triple-phase CT is highly sensitive. * **Treatment:** Metronidazole is the drug of choice. Aspiration is indicated only if the abscess is large (>10 cm), located in the left lobe (risk of pericardial rupture), or fails to respond to medical therapy.
Explanation: **Explanation:** **Periampullary carcinoma** refers to a group of neoplasms arising within 2 cm of the ampulla of Vater. These include tumors of the head of the pancreas, the ampulla, the distal common bile duct (CBD), and the second part of the duodenum. **Why Option A is Correct:** The hallmark of periampullary carcinoma is **early, progressive, and painless obstructive jaundice**. Because these tumors originate in close anatomical proximity to the distal CBD and the ampulla, even a small tumor can cause significant mechanical compression or infiltration of the biliary outflow tract. This leads to an early rise in conjugated bilirubin levels before the tumor becomes large enough to cause systemic symptoms or a palpable mass. **Why Other Options are Incorrect:** * **Option B (Late jaundice):** Unlike tumors of the body or tail of the pancreas, which present with late-stage jaundice after metastasis or significant growth, periampullary tumors obstruct the bile duct almost immediately. * **Option C (Hemolytic jaundice):** This is caused by the breakdown of RBCs (pre-hepatic). Periampullary carcinoma causes **obstructive (post-hepatic)** jaundice characterized by clay-colored stools and dark urine. * **Option D (No jaundice):** Jaundice is the most common presenting symptom (seen in >80% of cases). **NEET-PG High-Yield Pearls:** * **Courvoisier’s Law:** In a patient with painless obstructive jaundice, if the gallbladder is palpable, the cause is unlikely to be gallstones (it is usually a periampullary malignancy). * **Fluctuating Jaundice:** Classically associated with **ampullary carcinoma** due to the intermittent sloughing of the tumor, which temporarily relieves the obstruction. * **Double Duct Sign:** Seen on ERCP/MRCP, showing simultaneous dilatation of both the CBD and the pancreatic duct. * **Treatment of Choice:** Whipple’s procedure (Pancreaticoduodenectomy).
Explanation: **Explanation:** The **Triangle of Calot** is a critical anatomical space during cholecystectomy, bounded by the cystic duct, common hepatic duct, and the inferior surface of the liver. It contains the **cystic artery**, which is the most common source of bleeding in this area. **1. Why Manual Pressure is Correct:** In the event of sudden hemorrhage near the Triangle of Calot, the first and safest step is **manual pressure** (using a finger or a peanut gauze). This achieves temporary hemostasis without damaging vital structures. It allows the surgeon to clear the field, visualize the anatomy, and identify the specific bleeder. If manual pressure fails to control a major bleed from the cystic artery, the **Pringle Maneuver** (compressing the hepatoduodenal ligament) may be employed. **2. Why Other Options are Incorrect:** * **Blind Clipping:** This is the most dangerous maneuver. Blindly applying clips in a pool of blood can lead to accidental injury or ligation of the **Right Hepatic Artery** or the **Common Bile Duct (CBD)**, resulting in ischemic liver injury or biliary strictures. * **Kocher’s Artery Forceps:** Similar to clipping, blind application of forceps can crush the CBD or hepatic ducts. * **Stitching:** Suturing in a narrow, bloody field risks "taking a bite" of the CBD or portal vein, leading to catastrophic complications. **Clinical Pearls for NEET-PG:** * **Moynihan’s Hump (Caterpillar Turn):** A tortuous right hepatic artery that lies close to the cystic duct; it is highly susceptible to injury if bleeding is controlled blindly. * **Critical View of Safety (CVS):** The gold standard technique to prevent CBD injury, requiring the clearance of the lower part of the gallbladder from the liver bed and identification of only two structures (cystic duct and artery) entering the gallbladder. * **Boundaries of Calot’s Triangle:** Cystic duct (inferior), Common Hepatic Duct (medial), and Liver surface (superior). Note: The original description used the Cystic Artery as the superior boundary.
Liver Anatomy and Physiology
Practice Questions
Benign Liver Lesions
Practice Questions
Liver Abscess
Practice Questions
Hepatocellular Carcinoma
Practice Questions
Metastatic Liver Disease
Practice Questions
Cirrhosis and Portal Hypertension
Practice Questions
Liver Trauma
Practice Questions
Cholelithiasis and Cholecystitis
Practice Questions
Choledocholithiasis
Practice Questions
Biliary Tract Tumors
Practice Questions
ERCP and Its Complications
Practice Questions
Liver Transplantation Basics
Practice Questions
Get full access to all questions, explanations, and performance tracking.
Start For Free