Charcot's triad includes all of the following except?
Which of the following is NOT true about the triad of hemobilia?
Normal portal vein pressure is:
What is the most important hepatic function to consider after hepatic resection?
Which of the following is a non-selective shunt?
Which of the following is included in the Chilaiditi's sign criteria?
Bile duct injury is detected after 72 hours of surgery. What is the treatment option?
The following is a feature of:

What is a Klatskin tumor?
What is the preferred shunt procedure in a patient with portal hypertension who has acceptable operative risk and adequate liver function?
Explanation: **Explanation:** The correct answer is **Vomiting**. Charcot’s Triad is a classic clinical diagnostic tool used to identify **Acute Cholangitis**, a life-threatening condition caused by biliary obstruction and subsequent bacterial infection of the bile ducts. **Why Vomiting is the correct answer:** While patients with biliary disease may experience nausea or vomiting, it is not a defining component of Charcot’s Triad. The triad specifically focuses on the signs of infection and biliary stasis. **Analysis of the Triad (Incorrect Options):** 1. **Fever (with chills/rigors):** This is the most common presenting symptom (approx. 90% of cases), indicating systemic infection (bacteremia). 2. **Jaundice:** This indicates an obstruction in the biliary tree (usually due to gallstones or strictures) preventing the flow of conjugated bilirubin into the duodenum. 3. **Pain (Right Upper Quadrant):** This is typically steady and severe, caused by increased intraductal pressure and inflammation. **High-Yield Clinical Pearls for NEET-PG:** * **Reynold’s Pentad:** If Acute Cholangitis progresses to obstructive suppurative cholangitis, two more signs are added to Charcot’s Triad: **Altered Mental Status** and **Hypotension (Shock)**. * **Tokyo Guidelines (TG18):** Modern diagnosis of cholangitis relies on the Tokyo Guidelines, which incorporate systemic inflammation, cholestasis, and imaging evidence of biliary dilatation/etiology. * **Management:** The definitive treatment for Acute Cholangitis is **biliary decompression**, most commonly via **ERCP** (Endoscopic Retrograde Cholangiopancreatography), alongside IV antibiotics and fluid resuscitation.
Explanation: **Explanation:** Hemobilia refers to hemorrhage into the biliary tree. The classic presentation is defined by **Quincke’s Triad**, which consists of: 1. **Upper GI Bleeding:** Manifesting as hematemesis or melena. 2. **Jaundice:** Caused by blood clots obstructing the common bile duct (obstructive jaundice). 3. **Biliary Colic:** Severe, crampy abdominal pain resulting from the passage of clots through the bile ducts. **Why Fever is the correct answer:** Fever is **not** a component of Quincke’s Triad. While a patient with hemobilia could develop a fever if they have secondary ascending cholangitis, it is not part of the classic diagnostic triad. Fever is instead a component of **Charcot’s Triad** (Fever, Jaundice, RUQ pain), which is characteristic of acute cholangitis. **Analysis of Incorrect Options:** * **GI Bleeding (A):** This is the most common presenting feature of hemobilia as blood drains from the ampulla of Vater into the duodenum. * **Jaundice (C):** Occurs in roughly 60% of cases due to intraluminal obstruction by clotted blood. * **Colicky Pain (D):** This occurs because the gallbladder and bile ducts attempt to expel clots, mimicking the pain of gallstones. **High-Yield Clinical Pearls for NEET-PG:** * **Most Common Cause:** Iatrogenic trauma (e.g., liver biopsy, percutaneous transhepatic cholangiography, or cholecystectomy) is now the leading cause. * **Gold Standard Investigation:** Selective **Hepatic Angiography** is the investigation of choice for both diagnosis and therapeutic intervention. * **Management:** Most cases are managed via **Transarterial Embolization (TAE)**. Surgery is reserved for failed embolization or major vascular injuries.
Explanation: **Explanation:** The portal vein is formed by the union of the superior mesenteric vein and the splenic vein. In a healthy individual, the **normal portal venous pressure ranges between 5 and 10 mm Hg**. This pressure is slightly higher than the systemic venous pressure (central venous pressure), allowing blood to flow from the splanchnic circulation through the liver sinusoids and into the inferior vena cava. **Analysis of Options:** * **A (< 3 mm Hg) & B (3-5 mm Hg):** These values are too low. While the pressure in the Inferior Vena Cava (IVC) is typically near zero or very low, the resistance offered by the hepatic sinusoids necessitates a slightly higher pressure (5-10 mm Hg) in the portal system to maintain forward flow. * **D (10-12 mm Hg):** This range represents the threshold for **Portal Hypertension**. Portal hypertension is clinically defined as a portal venous pressure gradient (PVPG) > 5 mm Hg or an absolute portal pressure > 10-12 mm Hg. **Clinical Pearls for NEET-PG:** 1. **Portal Hypertension Definition:** Sustained elevation of portal pressure > 10 mm Hg. 2. **HVPG (Hepatic Venous Pressure Gradient):** This is the gold standard for measuring portal pressure (HVPG = Wedged Hepatic Venous Pressure minus Free Hepatic Venous Pressure). * **Normal HVPG:** 1–5 mm Hg. * **Clinically Significant Portal Hypertension (CSPH):** HVPG ≥ 10 mm Hg (predicts development of varices). * **Risk of Variceal Bleed:** Occurs when HVPG exceeds **12 mm Hg**. 3. **Most Common Cause:** Cirrhosis (intrahepatic sinusoidal cause) is the most common cause of portal hypertension worldwide.
Explanation: **Explanation:** The liver is the primary site for the synthesis of essential proteins, most notably **albumin** and **clotting factors** (except Factor VIII). Following a major hepatic resection, the remaining liver remnant must immediately compensate for the lost functional mass. **Why Hepatic Synthetic Function is Correct:** The most critical immediate concern post-resection is the maintenance of hemostasis and oncotic pressure. A decline in synthetic function leads to **hypoalbuminemia** (causing ascites and edema) and, more critically, **coagulopathy**. Since clotting factors have short half-lives (e.g., Factor VII has a half-life of 4–6 hours), a deficiency can lead to life-threatening hemorrhage. Monitoring the **Prothrombin Time (PT) and INR** is the most sensitive way to assess the functional reserve and regenerative capacity of the liver remnant. **Why Other Options are Incorrect:** * **B. Detoxification:** While the liver’s role in clearing ammonia and drugs is vital, clinical failure usually manifests later as encephalopathy. Synthetic failure (coagulopathy) is a more immediate threat to survival. * **C & D. Lipid and Vitamin Metabolism:** These are chronic metabolic functions. While important for long-term health, a temporary deficit in lipid processing or vitamin storage (like Vitamin A or D) does not pose an acute post-operative risk compared to the loss of clotting factors. **Clinical Pearls for NEET-PG:** * **MELD Score:** Uses INR (synthetic function), Bilirubin (excretory), and Creatinine to predict mortality. * **Child-Pugh Classification:** Uses Albumin and PT/INR as the two primary markers of synthetic function. * **Liver Regeneration:** The liver can regenerate to its original volume within 6–12 weeks, primarily through compensatory hyperplasia of the remaining lobes.
Explanation: **Explanation:** Portosystemic shunts are classified based on their effect on portal pressure and portal flow to the liver. The primary distinction lies in whether they decompress the entire portal venous system (non-selective) or only the variceal bed while maintaining prograde portal flow (selective). **Why Option C is Correct:** An **Interposition Shunt** (H-graft) uses a synthetic or venous graft to connect the superior mesenteric vein to the inferior vena cava. The diameter of the graft determines its selectivity. A **12mm (or larger) interposition shunt** is considered **non-selective** because the large diameter offers low resistance, effectively diverting all portal blood flow away from the liver into the systemic circulation. This total decompression reduces the risk of re-bleeding but carries a high risk of hepatic encephalopathy and liver failure due to the loss of hepatopetal flow. **Analysis of Incorrect Options:** * **A. DSRS (Distal Splenorenal Shunt/Warren Shunt):** This is the classic **selective shunt**. It decompresses the gastrosplenic venous bed (varices) into the left renal vein while preserving mesenteric portal flow to the liver. * **B. Inokuchi Shunt:** A **selective shunt** involving a left gastric vein-to-vena cava anastomosis. It is technically demanding and less commonly performed. * **D. 8mm Interposition Shunt:** This is a **partial (small-diameter) shunt**. By limiting the diameter to 8-10mm, it provides enough decompression to prevent bleeding while maintaining some prograde portal flow, thus reducing encephalopathy compared to the 12mm version. **High-Yield Clinical Pearls for NEET-PG:** * **Non-selective shunts:** Portacaval (End-to-side/Side-to-side), 12mm H-graft, Proximal Splenorenal shunt (Linton shunt). * **Selective shunts:** DSRS (Warren), Inokuchi. * **TIPS (Transjugular Intrahepatic Portosystemic Shunt):** Functionally acts as a **non-selective shunt**. * **Gold Standard for Variceal Bleeding:** Endoscopic Variceal Ligation (EVL) is the first line; shunts are reserved for refractory cases or Child-Pugh A patients.
Explanation: **Explanation:** The question refers to the criteria used to assess the severity and prognosis of **Chilaiditi syndrome**, specifically focusing on the biochemical parameters that indicate liver dysfunction or associated complications. **1. Why Serum Bilirubin is Correct:** Chilaiditi’s sign refers to the radiological finding of the transposition of the colon (usually the hepatic flexure) between the liver and the diaphragm. While often asymptomatic, when it causes symptoms (Chilaiditi syndrome), it can lead to intestinal obstruction or volvulus. In clinical scoring systems used to evaluate hepatobiliary stress or associated liver congestion in these patients, **Serum Bilirubin** is a key marker. Elevated bilirubin levels indicate biliary stasis or hepatic compression, helping clinicians decide between conservative management and surgical intervention. **2. Why the Other Options are Incorrect:** * **Nutritional Status:** While general health is important for any surgical patient, it is not a specific diagnostic or grading criterion for Chilaiditi’s sign. * **Serum Creatinine:** This is a marker of renal function. While relevant in multi-organ failure, it is not a primary component of the specific criteria for hepatobiliary transposition. * **Acid Phosphatase:** This enzyme is primarily a marker for prostate cancer or bone turnover and has no clinical relevance to the diagnosis or management of colonic transposition. **High-Yield Clinical Pearls for NEET-PG:** * **Chilaiditi’s Sign:** Radiological finding (asymptomatic). * **Chilaiditi’s Syndrome:** Radiological finding + Clinical symptoms (pain, nausea, obstruction). * **Pseudoperitoneum:** It is a common mimic of pneumoperitoneum. To differentiate, look for **haustral markings** of the colon under the diaphragm. * **Management:** Usually conservative (bed rest, bowel decompression). Surgery is indicated only for complications like volvulus or ischemia.
Explanation: ### Explanation The management of iatrogenic bile duct injury (BDI) depends primarily on the **timing of detection** and the **type of injury**. **Why ERCP and Stent is correct:** When a bile duct injury is detected late (after 72 hours), the surgical field is typically characterized by intense inflammation, bile peritonitis, or localized sepsis. Attempting a definitive surgical repair (like hepaticojejunostomy) in an inflamed, "friable" environment leads to high failure rates and strictures. * **ERCP (Endoscopic Retrograde Cholangiopancreatography)** is the gold standard for diagnosis and initial management. * **Stenting** bridges the leak, decreases the trans-sphincteric pressure gradient, and allows preferential flow of bile into the duodenum, facilitating the healing of minor leaks or lateral injuries. It stabilizes the patient and "cools down" the inflammation. **Why other options are incorrect:** * **CBD Exploration:** This is a surgical intervention. Performing surgery in an infected/inflamed field after 72 hours is contraindicated due to the risk of poor tissue handling and recurrent stricture. * **PTC (Percutaneous Transhepatic Cholangiography):** While useful for proximal injuries where ERCP fails, it is generally a second-line diagnostic/interventional tool compared to the less invasive ERCP. * **Observation:** Bile leaks rarely resolve spontaneously if there is distal resistance; observation carries a high risk of biliary peritonitis and sepsis. **Clinical Pearls for NEET-PG:** 1. **Intra-operative detection:** If the surgeon is experienced, perform immediate primary repair over a T-tube or Roux-en-Y Hepaticojejunostomy. 2. **Early Post-op (<72 hours):** If the patient is stable and no sepsis is present, surgical repair can be considered. 3. **Late Post-op (>72 hours):** Always adopt a **"Delayed Repair"** strategy. Control sepsis (drainage), perform ERCP/Stenting, and wait 6–12 weeks for inflammation to subside before definitive reconstruction. 4. **Most common cause:** Laparoscopic Cholecystectomy (Misidentification of the CBD as the Cystic Duct).
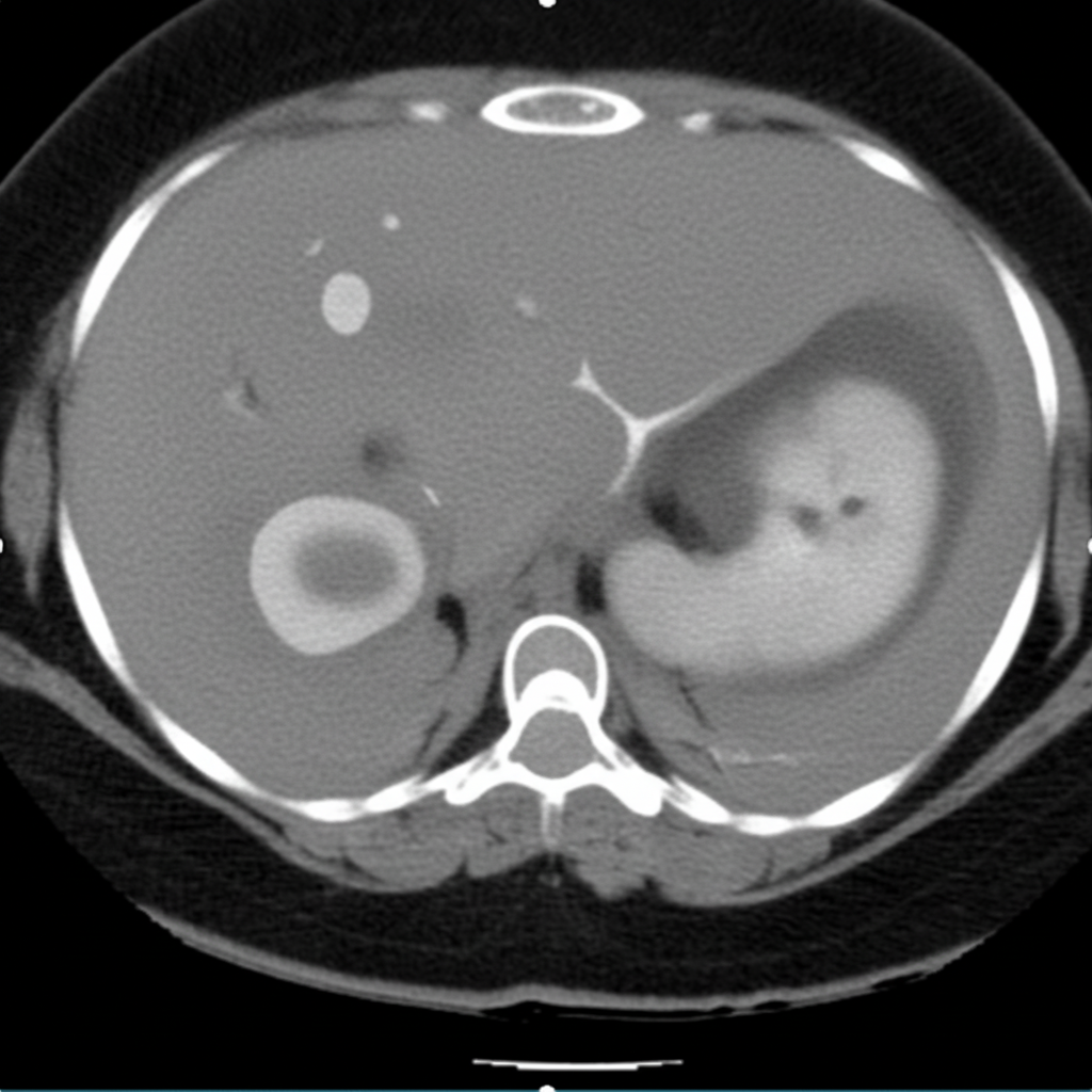
Explanation: ***Amoebic liver abscess*** - Characterized by **"anchovy sauce" pus** - a thick, reddish-brown fluid containing necrotic hepatocytes and blood. - Classic presentation includes **right upper quadrant pain**, fever, and **hepatomegaly** in patients with history of travel to endemic areas. *Lung abscess* - Typically produces **purulent, foul-smelling sputum** rather than the characteristic anchovy sauce appearance. - Chest X-ray shows **air-fluid levels** within lung parenchyma, not hepatic involvement. *Pancreatic abscess* - Associated with **severe epigastric pain** radiating to the back and elevated **serum amylase/lipase**. - Usually occurs as a complication of **acute pancreatitis** and lacks the characteristic anchovy sauce pus. *Subphrenic abscess* - Located in the **subphrenic space** between diaphragm and liver surface, not within liver parenchyma. - Typically follows **abdominal surgery** or **bowel perforation** and contains typical bacterial pus, not anchovy sauce.
Explanation: **Explanation:** A **Klatskin tumor** is a specific type of **cholangiocarcinoma** (bile duct cancer) that occurs at the **confluence of the right and left hepatic ducts**. Because this anatomical location marks the beginning of the **common hepatic duct**, it is classified as a perihilar bile duct tumor. * **Why Option A is correct:** Klatskin tumors arise at the junction of the primary hepatic ducts. Clinically, they present with painless, progressive obstructive jaundice. On imaging, they typically show dilated intrahepatic biliary ducts with a non-dilated extrahepatic gallbladder and common bile duct (CBD). * **Why Option B is incorrect:** Merkel Cell Carcinoma is a rare, aggressive neuroendocrine carcinoma of the skin, unrelated to the biliary tree. * **Why Option C is incorrect:** Adenocarcinoma of the anal canal is a gastrointestinal malignancy, but it is distinct from biliary tract cancers. * **Why Option D is incorrect:** A primitive neuroectodermal tumor (PNET) of the chest wall is known as a **Askin tumor**, which is often confused with Klatskin due to the phonetic similarity. **High-Yield Clinical Pearls for NEET-PG:** * **Bismuth-Corlette Classification:** Used to stage Klatskin tumors based on the extent of ductal involvement (Type I to IV). * **Tumor Marker:** **CA 19-9** is the most common marker used for monitoring. * **Risk Factors:** Primary Sclerosing Cholangitis (PSC), Choledochal cysts, and *Clonorchis sinensis* infection. * **Imaging:** MRCP is the gold standard for non-invasive diagnosis to visualize the biliary anatomy.
Explanation: **Explanation:** The management of portal hypertension focuses on reducing portal pressure while maintaining hepatic perfusion. In patients with **Child-Pugh Class A or B** (acceptable operative risk and adequate liver function), the goal is to prevent variceal bleeding without inducing hepatic encephalopathy. **Why Distal Splenorenal Shunt (DSRS) is correct:** DSRS, also known as the **Warren shunt**, is a **selective shunt**. It involves anastomosing the splenic vein to the left renal vein while disconnecting the portal and systemic circulations (by ligating the gastric veins). This selectively decompresses the esophageal varices (gastrosplenic circuit) while **maintaining portal venous flow** to the liver. Preserving this hepatopetal flow significantly reduces the risk of post-operative hepatic encephalopathy compared to non-selective shunts. **Why the other options are incorrect:** * **A & B (Portacaval Shunts):** These are **non-selective shunts**. They divert the entire portal blood flow away from the liver into the systemic circulation (IVC). While highly effective at stopping bleeds, they carry a very high risk of hepatic encephalopathy and accelerated liver failure due to the loss of nutrient-rich portal blood. * **C (Mesocaval Shunt):** This is a **partial or non-selective shunt** (depending on the diameter of the graft used). It is typically reserved for patients with previous upper abdominal surgery or portal vein thrombosis where a DSRS is technically impossible. **NEET-PG High-Yield Pearls:** * **Warren Shunt (DSRS):** Best for Child’s A/B; maintains portal perfusion; contraindicated in patients with ascites (as it doesn't decompress the sinusoidal pressure). * **TIPS (Transjugular Intrahepatic Portosystemic Shunt):** The preferred "bridge" to transplant or for refractory variceal bleeding. * **Sugiura Procedure:** A complex devascularization procedure used when shunting is not feasible. * **Most common cause of Portal HTN in India:** Non-cirrhotic portal fibrosis (NCPF) and Extrahepatic portal venous obstruction (EHPVO).
Liver Anatomy and Physiology
Practice Questions
Benign Liver Lesions
Practice Questions
Liver Abscess
Practice Questions
Hepatocellular Carcinoma
Practice Questions
Metastatic Liver Disease
Practice Questions
Cirrhosis and Portal Hypertension
Practice Questions
Liver Trauma
Practice Questions
Cholelithiasis and Cholecystitis
Practice Questions
Choledocholithiasis
Practice Questions
Biliary Tract Tumors
Practice Questions
ERCP and Its Complications
Practice Questions
Liver Transplantation Basics
Practice Questions
Get full access to all questions, explanations, and performance tracking.
Start For Free