According to Couinaud's classification, how many lobes are present in the liver?
Which of the following is NOT a risk factor for malignant transformation in an asymptomatic patient with a gall bladder polyp identified on ultrasound?
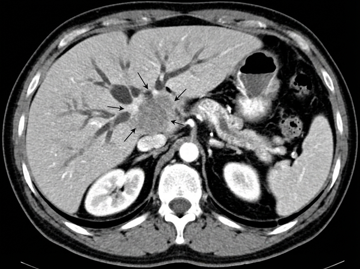
A 70-year-old male presented with progressive jaundice for 6 weeks, fever, pruritis along with abdominal pain and significant weight loss. Lab findings reveal total serum bilirubin of 22 mg/dL, minimally elevated SGOT/SGPT, and increased alkaline phosphatase. A CT abdomen and ERCP were performed. What is the most common site of this pathology?

Which of the following are included in the Child criteria?
A patient presents with abdominal pain, jaundice, and melena. What is the most likely diagnosis?
A 50-year-old man presents with a one-week history of fever and abdominal pain. An abdominal ultrasound revealed a hypoechoic liver lesion, and a CECT was performed for characterization. Which of the following statements regarding the lesion is false?
Okuda staging for HCC includes all except?
Which of the following is a criterion for assessing the prognosis of a portosystemic shunt?
What is the ideal treatment for stenosis of the sphincter of Oddi?
Which of the following is an indication for surgical removal of polypoid lesions of the gallbladder?
Explanation: **Explanation:** **Couinaud’s classification** is the most widely used system for functional liver anatomy. It divides the liver into **8 independent segments** (often referred to as "functional lobes") based on their vascular inflow, outflow, and biliary drainage. 1. **Why 8 is correct:** Each of the 8 segments has its own dedicated branch of the portal vein, hepatic artery, and bile duct (the portal triad). They are separated by the three main hepatic veins. This surgical anatomy allows for "segmentectomy"—the removal of a specific segment without compromising the blood supply or drainage of the remaining liver. * *Note:* Segment I is the Caudate lobe, which is unique as it receives blood from both right and left portal branches and drains directly into the IVC. 2. **Why other options are incorrect:** * **3:** This does not correspond to any major anatomical or functional classification. * **4:** This refers to the **morphological (anatomical) lobes** visible on the surface: Right, Left, Caudate, and Quadrate, divided by surface landmarks like the falciform ligament. * **6:** This is an incorrect number for both Couinaud and Goldsmith-Woodburne classifications. **High-Yield Clinical Pearls for NEET-PG:** * **Cantlie’s Line:** An imaginary line from the IVC to the gallbladder fossa that divides the liver into functional Right and Left halves (Hemilivers). * **Segment IV:** Known as the **Quadrate lobe**. It is part of the functional Left lobe but the anatomical Right lobe. * **Surgical Landmark:** The **Hepatic Veins** run in the planes (scissurae) between segments, while the **Portal Triads** are central to each segment.
Explanation: **Explanation:** The management of gallbladder (GB) polyps is primarily focused on identifying the risk of progression to gallbladder carcinoma. According to current clinical guidelines (such as the ESGE/ESGAR guidelines), the size threshold for concern is **10 mm**, not 5 mm. **1. Why Option C is the Correct Answer:** A polyp size **greater than 5 mm** is generally considered low risk. Most polyps under 10 mm are benign cholesterol polyps. The risk of malignancy increases significantly when a polyp reaches or exceeds **10 mm**, which is the standard indication for cholecystectomy in an asymptomatic patient. Therefore, "greater than 5 mm" is not a definitive risk factor for malignant transformation. **2. Analysis of Incorrect Options (Risk Factors):** * **Age > 60 years (Option A):** Advanced age is a well-documented risk factor for gallbladder malignancy. Patients over 50–60 years with polyps require stricter surveillance or lower thresholds for surgery. * **Rapid increase in size (Option B):** Any documented growth (especially >2 mm per year) suggests biological activity and potential malignancy, necessitating surgical intervention. * **Associated Gallstones (Option D):** The presence of concomitant cholelithiasis increases the risk of mucosal irritation and is a recognized risk factor for malignant transformation in a polypoid lesion. **Clinical Pearls for NEET-PG:** * **Size Threshold:** <6 mm (Surveillance); 6–9 mm (Close follow-up/consider surgery if other risk factors exist); **≥10 mm (Cholecystectomy recommended).** * **Sessile vs. Pedunculated:** Sessile polyps (broad-based) have a higher malignant potential than pedunculated ones. * **Primary Sclerosing Cholangitis (PSC):** This is a major risk factor. In patients with PSC, **any** GB polyp (regardless of size) is an indication for cholecystectomy due to the high risk of cancer. * **Single vs. Multiple:** Single polyps are more likely to be neoplastic; multiple polyps are often cholesterol polyps.
Explanation: ***Hilum*** - The **hilum** is the most common site of **cholangiocarcinoma** (~60-70%), known as **Klatskin tumor**, presenting with the classic **obstructive jaundice pattern** seen in this case. - **Hilar tumors** cause early biliary obstruction leading to **high alkaline phosphatase**, **high bilirubin**, and **minimal transaminase elevation**, classified by **Bismuth-Corlette system**. *Intrahepatic bile duct* - **Intrahepatic cholangiocarcinoma** represents only ~20-25% of all cholangiocarcinomas, making it less common than hilar tumors. - These tumors typically present as **mass lesions** rather than causing early **obstructive jaundice** with such pronounced biochemical changes. *Distal common bile duct* - **Distal cholangiocarcinoma** accounts for ~20-30% of cases and would cause similar **obstructive pattern** but is less common than hilar location. - These tumors are often **resectable** unlike hilar tumors, and may present with **palpable gallbladder** (**Courvoisier's sign**). *Proximal common bile duct* - **Proximal common bile duct** tumors are relatively uncommon compared to **hilar cholangiocarcinoma**. - The anatomical distinction between proximal CBD and hilar tumors is often unclear, with **hilar involvement** being the predominant pattern in this region.
Explanation: The **Child-Pugh Score** (or Child-Turcotte-Pugh score) is a clinical tool used to assess the prognosis of chronic liver disease and cirrhosis. It is a high-yield topic for NEET-PG, as it determines surgical risk and priority for liver transplantation. ### **Explanation of the Correct Option** The original **Child-Turcotte classification** (1964) and the modified **Child-Pugh score** (1973) utilize five specific parameters to categorize patients into Classes A, B, or C. These parameters are: 1. **Serum Bilirubin** (Measures excretory function) 2. **Serum Albumin** (Measures synthetic function) 3. **Ascites** (Clinical assessment) 4. **Encephalopathy** (Clinical assessment) 5. **Prothrombin Time (PT) / INR** (Measures synthetic function) While **Serum Creatinine** is not part of the Child-Pugh score, it is a critical component of the **MELD Score** (Model for End-Stage Liver Disease), which is often tested alongside Child's criteria. In the context of this specific question format (which appears to be a "multiple-choice" variation focusing on biochemical markers), **Serum Bilirubin** is the definitive Child parameter. ### **Analysis of Incorrect Options** * **B & C (Nutritional Status):** While "Nutritional Status" was part of the original 1964 Child-Turcotte criteria, it was replaced by **INR/Prothrombin Time** in the modified Child-Pugh score because nutrition is subjective and difficult to quantify. * **D (Acid Phosphatase):** This is a marker for prostatic pathology or bone turnover and has no role in assessing hepatic reserve or Child-Pugh grading. ### **NEET-PG Clinical Pearls** * **Mnemonic (ABCDE):** **A**lbumin, **B**ilirubin, **C**oagulation (INR), **D**istension (Ascites), **E**ncephalopathy. * **MELD Score:** Uses **Bilirubin, Creatinine, and INR**. It is superior to Child-Pugh for predicting 3-month mortality and is used for organ allocation. * **Surgical Risk:** Child Class A is generally fit for surgery; Class B requires caution; Class C is a contraindication for elective major surgery.
Explanation: **Explanation:** The clinical presentation described—**abdominal pain, jaundice, and melena**—is the classic **Quincke’s Triad**, which is pathognomonic for **Hemobilia** (bleeding into the biliary tree). 1. **Why Hemobilia is correct:** Hemobilia occurs when there is a communication between a blood vessel and the bile duct. The blood clots in the biliary tree, causing **obstructive jaundice** and biliary colic (**abdominal pain**). When the blood eventually enters the duodenum, it manifests as upper GI bleeding, typically as **melena** or hematemesis. The most common cause today is iatrogenic trauma (e.g., liver biopsy, PTBD, or cholecystectomy). 2. **Why the other options are incorrect:** * **Acute Cholangitis:** Presents with **Charcot’s Triad** (fever, jaundice, and RUQ pain). While it shares two features with the question, it does not typically cause GI bleeding (melena). * **Gallbladder Carcinoma:** Usually presents with weight loss, anorexia, and persistent jaundice. While it can cause bleeding if it invades local structures, it does not classically present with this specific triad. * **Acute Pancreatitis:** Characterized by severe epigastric pain radiating to the back and vomiting. Jaundice may occur if there is common bile duct compression, but melena is not a standard feature. **NEET-PG High-Yield Pearls:** * **Quincke’s Triad:** Pain + Jaundice + GI Bleed = Hemobilia. * **Most common cause:** Iatrogenic (Trauma/Procedures). * **Investigation of choice:** Selective Hepatic Angiography (both diagnostic and therapeutic). * **Management:** Most cases are managed by **Transarterial Embolization (TAE)**. Surgery is reserved for failed embolization.
Explanation: ### Explanation The clinical presentation of fever, abdominal pain, and a hypoechoic liver lesion on imaging in an older male is highly suggestive of a **Pyogenic Liver Abscess (PLA)**. **Why Option C is the correct (False) statement:** Historically, portal vein spread (from appendicitis or diverticulitis) was the most common route. However, in modern practice, **biliary tract disease** (e.g., gallstones, strictures, or malignancy causing ascending cholangitis) has become the **most common source** of infection, accounting for 40–60% of cases. Hematogenous spread via the hepatic artery (usually from endocarditis or dental infections) is less common. **Analysis of other options:** * **Option A (True):** *E. coli* remains the most common aerobic organism isolated globally. However, *Klebsiella pneumoniae* is increasingly common, especially in diabetic patients and in Southeast Asian populations. * **Option B (True):** The **right lobe** is the most common site (involved in ~75% of cases). This is attributed to its larger size and the "streaming effect" of portal blood flow, which preferentially directs flow from the superior mesenteric vein to the right lobe. **High-Yield Clinical Pearls for NEET-PG:** * **Gold Standard Investigation:** Triple-phase CECT (shows a peripheral enhancing rim with a central non-enhancing necrotic area—the "cluster sign"). * **Most common symptom:** Fever (more common than jaundice or palpable mass). * **Management:** The mainstay of treatment is **percutaneous needle aspiration or catheter drainage** combined with long-term intravenous antibiotics. Surgical drainage is reserved for ruptured abscesses or failed percutaneous attempts. * **Amoebic vs. Pyogenic:** Amoebic abscesses are usually solitary, located in the subdiaphragmatic area of the right lobe, and present with "anchovy sauce" pus.
Explanation: The **Okuda Staging System** is a prognostic classification for Hepatocellular Carcinoma (HCC) that combines elements of liver function with tumor characteristics. It is particularly useful in advanced cases to predict survival. ### **Explanation of the Correct Answer** **Option C (Prothrombin Time)** is the correct answer because it is **not** a component of the Okuda system. While Prothrombin Time (PT/INR) is a vital part of the Child-Pugh score (used to assess liver cirrhosis), the Okuda system utilizes **Serum Bilirubin** instead to assess the excretory function of the liver. ### **Analysis of Incorrect Options** The Okuda system uses four specific parameters, each scored as positive or negative based on a threshold: * **A. Ascites:** Included as a clinical marker of portal hypertension and liver failure (Positive if clinically detectable). * **B. Albumin:** Included as a marker of the liver's synthetic function (Positive if <3 g/dL). * **D. Tumor size:** Included to assess the extent of the malignancy (Positive if the tumor involves >50% of the liver area). * *(Note: The fourth parameter not listed in the options is **Serum Bilirubin**, positive if >3 mg/dL).* ### **Clinical Pearls for NEET-PG** * **Okuda Scoring:** * Stage I (Not advanced): 0 points. * Stage II (Moderately advanced): 1–2 points. * Stage III (Very advanced): 3–4 points. * **Comparison:** Unlike the **BCLC (Barcelona Clinic Liver Cancer)** staging, which is the current gold standard for treatment algorithms, the Okuda system is older and primarily focuses on prognosis in advanced disease. * **High-Yield Fact:** If a question asks for the staging system that includes **Portal Vein Invasion** or **Performance Status**, think of **BCLC** or **CLIP (Cancer of the Liver Italian Program)** scores.
Explanation: **Explanation:** The prognosis and outcome of a portosystemic shunt are primarily determined by the **type of shunt** performed. Shunts are classified into three categories: **Total** (e.g., end-to-side portacaval), **Partial** (e.g., small-diameter prosthetic H-graft), and **Selective** (e.g., Distal Splenorenal/Warren shunt). The underlying medical concept is the preservation of **portal perfusion**. Total shunts divert all portal blood away from the liver, leading to a high incidence of hepatic encephalopathy and accelerated liver failure. Selective shunts, however, decompress varices while maintaining mesenteric blood flow to the liver, resulting in significantly better long-term metabolic prognosis and quality of life. **Analysis of Incorrect Options:** * **Serum Albumin & Serum Bilirubin (Options A & C):** These are components of the **Child-Pugh Score**, which assesses the *severity of underlying liver disease* and surgical risk (operability), rather than the specific prognosis of the shunt procedure itself. * **Resistant Ascites (Option B):** This is an *indication* for a shunt (specifically a Side-to-Side portacaval shunt or TIPS) rather than a prognostic criterion for the shunt’s success. **High-Yield Clinical Pearls for NEET-PG:** * **Gold Standard Selective Shunt:** Distal Splenorenal Shunt (Warren Shunt). * **Best Shunt for Ascites:** Side-to-Side Portacaval Shunt (it decompress the hepatic sinusoids). * **Most Common Cause of Shunt Failure:** Thrombosis of the shunt. * **TIPS (Transjugular Intrahepatic Portosystemic Shunt):** Acts as a side-to-side shunt; the main complication is stenosis/occlusion.
Explanation: **Explanation:** The treatment of choice for **Sphincter of Oddi Dysfunction (SOD)**, specifically Type I (stenosis) and Type II (functional), has shifted from invasive surgery to minimally invasive endoscopic techniques. **Why Endoscopic Sphincterotomy is Correct:** Endoscopic Retrograde Cholangiopancreatography (ERCP) with **Endoscopic Sphincterotomy (EST)** is the gold standard treatment. It involves an electrosurgical incision of the biliary and/or pancreatic sphincter. It is preferred because it is less invasive than open surgery, has a high success rate in relieving biliary pain and improving laboratory values, and carries a lower morbidity rate compared to transduodenal approaches. **Analysis of Incorrect Options:** * **A. Transduodenal Sphincteroplasty:** This was historically the treatment of choice. While effective, it requires a formal laparotomy and duodenotomy, leading to longer recovery times and higher surgical risks. It is now reserved for cases where ERCP fails or is technically impossible (e.g., altered anatomy). * **C & D. Choledochojejunostomy / Choledochoduodenostomy:** These are biliary bypass (drainage) procedures. They are indicated for distal common bile duct (CBD) strictures, chronic pancreatitis, or "sump syndrome," but they are considered "overkill" for isolated sphincter stenosis and do not address the primary pathology at the sphincter itself. **NEET-PG High-Yield Pearls:** * **Milwaukee Classification:** SOD is classified into three types. Type I (Stenosis) shows dilated CBD (>10mm) and delayed contrast drainage (>45 mins); it responds best to EST. * **Manometry:** Sphincter of Oddi Manometry (SOOM) is the "Gold Standard" for diagnosis, specifically for Type II. A basal pressure **>40 mmHg** is diagnostic. * **Risk:** Post-ERCP pancreatitis is the most common complication of EST; prophylactic pancreatic stents are often used to mitigate this risk.
Explanation: ### Explanation Gallbladder polyps are common incidental findings on ultrasonography. The primary clinical concern is distinguishing benign mucosal projections (like cholesterol polyps) from premalignant adenomas or early-stage gallbladder carcinoma. **Why the Correct Answer is Right:** **Presence of clinical symptoms** (Option B) is a definitive indication for cholecystectomy, regardless of the polyp's size. If a patient presents with biliary-type pain (biliary colic) or complications like cholecystitis or pancreatitis attributable to the polyp, surgical removal is indicated to alleviate symptoms and prevent recurrence. **Analysis of Incorrect Options:** * **Option A (Size > 0.5 cm):** The standard threshold for surgery based on size alone is **> 1 cm (10 mm)**. Polyps between 6–9 mm are typically monitored with serial imaging unless other risk factors are present. * **Option C (Age > 25 years):** Age is a risk factor, but the high-yield threshold is **age > 50 or 60 years**. A 25-year-old with a small, asymptomatic polyp does not require surgery. * **Option D (Multiple small lesions):** Multiple lesions are more commonly **cholesterol polyps**, which have no malignant potential. A **solitary (sessile) polyp** is actually more concerning for malignancy than multiple small ones. **High-Yield Clinical Pearls for NEET-PG:** * **Size is the most important predictor of malignancy:** Polyps > 10 mm have a high risk of being cancerous. * **Indications for Cholecystectomy in GB Polyps:** 1. Symptomatic polyps (any size). 2. Asymptomatic polyps > 10 mm. 3. Polyps of any size associated with **Primary Sclerosing Cholangitis (PSC)**. 4. Polyps > 6 mm in patients with additional risk factors (Age > 50, sessile morphology, or thickened GB wall). * **Most common type:** Cholesterol polyps (benign).
Liver Anatomy and Physiology
Practice Questions
Benign Liver Lesions
Practice Questions
Liver Abscess
Practice Questions
Hepatocellular Carcinoma
Practice Questions
Metastatic Liver Disease
Practice Questions
Cirrhosis and Portal Hypertension
Practice Questions
Liver Trauma
Practice Questions
Cholelithiasis and Cholecystitis
Practice Questions
Choledocholithiasis
Practice Questions
Biliary Tract Tumors
Practice Questions
ERCP and Its Complications
Practice Questions
Liver Transplantation Basics
Practice Questions
Get full access to all questions, explanations, and performance tracking.
Start For Free