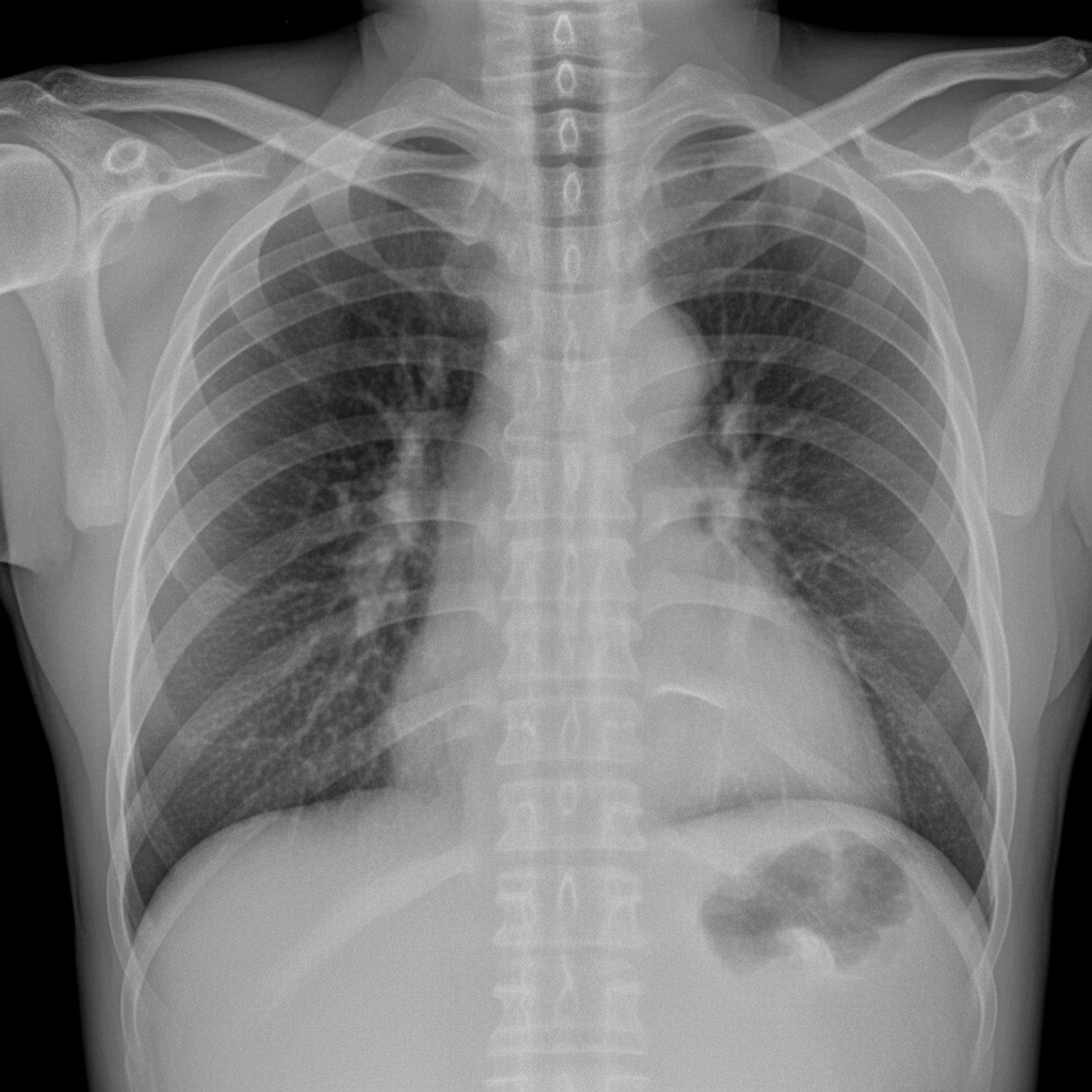
A 45-year-old male with a history of chronic duodenal ulcer presented to the emergency department in a state of shock. After resuscitation, investigations were performed. A chest X-ray is provided. What is the preferred treatment option?

Which of the following is false regarding Barrett's esophagus?
Which of the following treatment modalities is NOT used for the management of acute blood loss due to ruptured esophageal varices?
Indications for surgery in Bronchiectasis include all of the following except?
Which of the following is a predisposing factor for carcinoma of the esophagus?
Cattle's maneuver is mobilization of:
Which of the following statements about Zenker's diverticulum is TRUE?
A 50-year-old male presented with progressive dysphagia for 4 months to solids, significant weight loss, loss of appetite, odynophagia, a hoarse voice, and cervical lymphadenopathy. Upper GI endoscopy with biopsy was performed. Which of the following barium findings would most likely correspond with this condition?
In intestinal anastomosis, what layer primarily provides strength?
Which of the following statements is NOT true regarding Curling's ulcer?
Explanation: ***Modified Graham's repair*** - The **chest X-ray showing pneumoperitoneum** (free air under diaphragm) indicates **perforated duodenal ulcer**, and Modified Graham's **omental patch repair** is the preferred emergency procedure for hemodynamically unstable patients. - This procedure provides rapid **control of perforation** with minimal operative time and risk, followed by **PPI therapy** and **H. pylori eradication** post-operatively. *Truncal vagotomy with antrectomy* - This **definitive anti-ulcer surgery** carries **prohibitive operative risk** in a shocked patient with acute perforation. - The procedure involves **extensive resection** and **anastomosis**, requiring longer operative time and greater physiological stress. *Truncal vagotomy with gastrojejunostomy* - This **elective procedure** is inappropriate for **acute perforation** in an unstable patient due to increased operative complexity. - **Gastrojejunostomy** does not address the **immediate life-threatening perforation** and adds unnecessary surgical risk. *Billroth I gastrectomy* - This **major resective surgery** involving **gastroduodenal anastomosis** is contraindicated in hemodynamically unstable patients. - The procedure carries **high morbidity and mortality** in the acute setting and is reserved for **elective management** of complications.
Explanation: ### Explanation **Barrett’s Esophagus** is a condition where the normal stratified squamous epithelium of the lower esophagus is replaced by metaplastic columnar epithelium (intestinal metaplasia) due to chronic gastroesophageal reflux disease (GERD). **Why Option B is False:** A **Barrett’s ulcer** typically occurs **within the columnar-lined segment** (the metaplastic area), not above the new squamocolumnar junction. These ulcers are deep, prone to bleeding, and can lead to stricture formation. In contrast, ulcers occurring at the squamocolumnar junction (the "Z-line") are usually superficial erosions associated with reflux esophagitis. **Analysis of Other Options:** * **Option A:** Barrett’s is classified by length. **Short-segment Barrett’s** involves <3 cm of columnar epithelium, while **Long-segment Barrett’s** involves ≥3 cm. This is a standard endoscopic classification. * **Option C:** Peptic strictures in Barrett’s esophagus characteristically occur at the **new squamocolumnar junction** (the proximal limit of the metaplasia). This is because the squamous epithelium above the junction is more susceptible to acid injury than the acid-resistant columnar metaplasia below it. * **Option D:** It is a well-established **premalignant condition**, increasing the risk of **Esophageal Adenocarcinoma** by approximately 30–40 times compared to the general population. **High-Yield Clinical Pearls for NEET-PG:** * **Gold Standard Diagnosis:** Endoscopy with biopsy showing **Intestinal Metaplasia** (presence of **Goblet cells**). * **Surveillance:** Done via the **Seattle Protocol** (4-quadrant biopsies every 1–2 cm). * **Management of Dysplasia:** High-grade dysplasia is managed with endoscopic mucosal resection (EMR) or radiofrequency ablation (RFA). * **Most common site for Adenocarcinoma:** Lower third of the esophagus (arising from Barrett’s).
Explanation: The management of esophageal varices is divided into two distinct phases: **Acute Management** (stopping active bleeding) and **Prophylaxis** (preventing the first or subsequent bleeds). ### 1. Why Propranolol is the Correct Answer **Propranolol** is a non-selective beta-blocker. It works by reducing portal venous pressure through two mechanisms: decreasing cardiac output ($\beta_1$ effect) and causing splanchnic vasoconstriction ($\beta_2$ effect). However, it takes time to achieve therapeutic levels and can cause hypotension, which is dangerous in a patient already in hemorrhagic shock. Therefore, it is used for **primary and secondary prophylaxis**, but it has **no role in the management of acute, active bleeding.** ### 2. Why the Other Options are Incorrect * **Endoscopic Band Ligation (EBL):** This is the **gold standard** and first-line endoscopic treatment for acute variceal bleeding. It involves placing elastic bands around the varices to cause ischemia and thrombosis. * **Endoscopic Sclerotherapy (EST):** This involves injecting a sclerosant (e.g., Ethanolamine oleate) into or around the vein. While EBL is preferred due to fewer complications, EST remains a valid modality for acute control. * **Octreotide:** This is a synthetic somatostatin analogue. It causes selective splanchnic vasoconstriction, reducing portal blood flow. It is the **pharmacological drug of choice** during the acute phase. ### 3. Clinical Pearls for NEET-PG * **Initial Step:** Hemodynamic stabilization (Airway, Breathing, Circulation) is always the first priority. * **Drug of Choice (Acute):** Terlipressin (most effective for reducing mortality) or Octreotide. * **Procedure of Choice (Acute):** Endoscopic Band Ligation (EBL). * **Refractory Bleeding:** If endoscopy fails, use **Balloon Tamponade** (Sengstaken-Blakemore tube) as a bridge to **TIPS** (Transjugular Intrahepatic Portosystemic Shunt). * **Prophylaxis:** Propranolol or Nadolol are used to prevent bleeding in patients with known large varices.
Explanation: In the management of bronchiectasis, surgery is primarily reserved for patients who fail medical therapy and have **localized disease** that can be safely resected. ### **Explanation of the Correct Answer** **Option A (Severe hemoptysis)** is the correct answer because it is generally considered a **contraindication** or a situation where surgery is deferred in favor of less invasive interventions. In the acute setting of massive/severe hemoptysis, the first-line treatment is **Bronchial Artery Embolization (BAE)**. Surgery in an unstable patient with active bleeding carries high mortality and morbidity. Resection is only considered electively once the patient is stabilized and the site of bleeding is localized. ### **Analysis of Other Options** * **B. Copious symptoms with localized disease:** This is the classic indication. If a patient has persistent cough and sputum production confined to a single lobe/segment that doesn't respond to antibiotics and chest physiotherapy, surgical resection (e.g., lobectomy) offers a potential cure. * **C. Recurrent or severe bleeding:** While "severe" bleeding is managed by BAE initially, **recurrent** episodes of significant bleeding from a localized area are a strong indication for elective surgery to prevent future life-threatening events. * **D. Recurrent infections:** Patients suffering from frequent, localized exacerbations that lead to lung scarring or abscess formation despite optimal medical management are ideal candidates for surgery. ### **NEET-PG High-Yield Pearls** * **Gold Standard Investigation:** High-Resolution CT (HRCT) scan (shows "Signet ring sign" or "Tram-track opacities"). * **Most Common Cause (Worldwide):** Post-infectious (Tuberculosis). * **Surgical Prerequisite:** Adequate pulmonary reserve (FEV1 > 1L) and disease localization to one or two lobes. * **Kartagener Syndrome:** A subset of bronchiectasis (Triad: Situs inversus, Bronchiectasis, Sinusitis).
Explanation: **Explanation:** The correct answer is **Tylosis (Option A)**. Tylosis palmaris et plantaris is an autosomal dominant condition characterized by hyperkeratosis of the palms and soles. It is associated with a mutation in the **RHBDF2 gene**. It carries the highest known genetic risk for developing **Squamous Cell Carcinoma (SCC)** of the esophagus, with a lifetime risk approaching **95%** by age 65. **Analysis of Options:** * **Tylosis (A):** This is the strongest predisposing factor among the choices. It specifically leads to SCC, usually in the middle or upper third of the esophagus. * **Achalasia (B):** While Achalasia is a known risk factor for SCC (due to chronic stasis and esophagitis), the question asks for "the" predisposing factor in a context where Tylosis represents a near-certain genetic predisposition. * **Barrett’s Esophagus (C):** This is the primary precursor for **Adenocarcinoma**, not SCC. While it is a major risk factor, Tylosis has a much higher relative risk and penetrance for its respective cancer type. * **Hiatus Hernia (D):** A hiatus hernia itself is not premalignant. It predisposes to GERD, which may lead to Barrett’s, but it is not a direct predisposing factor for carcinoma. **High-Yield Clinical Pearls for NEET-PG:** * **Squamous Cell Carcinoma (SCC):** Most common worldwide. Risk factors: Smoking, Alcohol, Tylosis, Achalasia, Plummer-Vinson Syndrome, and Lye ingestion. * **Adenocarcinoma:** Most common in the West (and increasing in India). Risk factors: GERD, Barrett’s Esophagus (metaplasia from squamous to columnar), Obesity, and Smoking. * **Location:** SCC typically involves the upper/middle third; Adenocarcinoma involves the lower third/GE junction. * **Tylosis Rule:** If a patient has hyperkeratosis of palms/soles and dysphagia, the diagnosis is SCC until proven otherwise.
Explanation: **Explanation:** **Cattell-Braasch maneuver** (often referred to as Cattle’s maneuver) is a surgical technique used to provide extensive exposure to the retroperitoneal structures. It involves the **medial rotation of the right colon and the small bowel mesentery**. 1. **Why Option D is correct:** The maneuver begins with an incision along the white line of Toldt on the right side, mobilizing the **cecum and ascending colon** (Note: The question uses "descending," but in surgical literature, it refers to the right-sided mobilization of the ascending colon/cecum). By mobilizing these structures and the root of the small bowel mesentery up to the ligament of Treitz, the surgeon gains access to the entire infra-duodenal abdominal aorta, inferior vena cava (IVC), right ureter, and the third and fourth parts of the duodenum. 2. **Why other options are incorrect:** * **Option A & B:** Mobilization of the sigmoid or descending colon (left-sided) is part of the **Mattox maneuver** (Left-sided medial visceral rotation), used to expose the suprarenal aorta. * **Option C:** While the small bowel is mobilized as part of the Cattell-Braasch maneuver, it is done in conjunction with the right colon to achieve full retroperitoneal exposure, not in isolation. **Clinical Pearls for NEET-PG:** * **Cattell-Braasch:** Right-sided medial visceral rotation. Best for exposing the **IVC** and superior mesenteric artery. * **Mattox Maneuver:** Left-sided medial visceral rotation. Best for exposing the **entire length of the abdominal aorta**. * **Kocher Maneuver:** Specifically refers to the mobilization of the **duodenum** to expose the head of the pancreas or the common bile duct. * **Key Landmark:** The "White line of Toldt" is the avascular plane incised to begin these mobilizations.
Explanation: **Explanation:** Zenker’s diverticulum is a **pulsion diverticulum** occurring through a point of weakness in the posterior pharyngeal wall known as **Killian’s dehiscence** (located between the thyropharyngeus and cricopharyngeus muscles). **1. Why Option C is Correct:** The definitive management of Zenker’s diverticulum involves addressing both the sac and the underlying cause (cricopharyngeal hypertrophy). While the standard approach is **Cricopharyngeal Myotomy** with either diverticulectomy (simple excision) or diverticulopexy, "simple excision" (diverticulectomy) is a recognized surgical treatment component. In modern practice, endoscopic stapling (Dohlman’s procedure) is also frequently performed. **2. Why Other Options are Incorrect:** * **Option A:** It is rarely asymptomatic. Patients typically present with **halitosis** (due to undigested food in the sac), dysphagia, regurgitation, and nocturnal coughing. * **Option B:** It is a **false diverticulum** (containing only mucosa and submucosa) occurring in the **upper esophagus/hypopharynx**, not the mid-esophagus. Mid-esophageal diverticula are usually "traction" diverticula related to mediastinal lymphadenopathy (e.g., TB). * **Option D:** It is a disease of the **elderly** (typically >60 years) due to age-related incoordination of the upper esophageal sphincter. It is not seen in children. **High-Yield NEET-PG Pearls:** * **Location:** Killian’s Dehiscence (between two parts of the inferior constrictor). * **Diagnosis:** **Barium Swallow** is the gold standard (shows a "pouch"). * **Contraindication:** Avoid blind nasogastric tube insertion or esophagoscopy due to the high risk of **perforation**. * **Boyce’s Sign:** A gurgling sound heard on pressing the swelling in the neck.
Explanation: ### Explanation **Correct Option: B (Irregular filling defect with mucosal ulceration and luminal narrowing)** The clinical presentation—progressive dysphagia (solids > liquids), significant weight loss, anorexia, odynophagia, hoarseness (suggesting recurrent laryngeal nerve involvement), and cervical lymphadenopathy—is a classic triad for **Esophageal Carcinoma**. In malignant lesions, the barium swallow typically demonstrates: * **Irregular filling defects:** Representing the exophytic tumor mass protruding into the lumen. * **Mucosal ulceration:** Indicating the friable, necrotic nature of the malignancy. * **Shouldering effect:** Abrupt narrowing of the lumen with shelf-like margins. * **Luminal narrowing:** Resulting in the "rat-tail" appearance (unlike the smooth "bird’s beak" of achalasia). --- ### Why Other Options are Incorrect: * **Option A:** While wall thickening occurs, an "irregular mucosal surface" is non-specific and can be seen in severe esophagitis. The presence of a filling defect and ulceration is more pathognomonic for malignancy. * **Option C:** This describes **Achalasia Cardia**. Barium swallow shows a dilated esophagus with a smooth, symmetrical "bird’s beak" or "rat-tail" tapering. It lacks the irregular mucosal destruction seen in cancer. * **Option D:** Esophageal diverticula (e.g., Zenker’s or traction diverticula) present as outpouchings of the barium column, not as irregular filling defects or luminal narrowing. --- ### Clinical Pearls for NEET-PG: * **Gold Standard Investigation:** Upper GI Endoscopy (UGIE) with biopsy is the investigation of choice for diagnosis. * **Staging:** Contrast-Enhanced CT (CECT) is used for distant metastasis; **Endoscopic Ultrasound (EUS)** is the most accurate for T and N staging. * **Hoarseness:** In esophageal cancer, this signifies advanced disease (T4) due to infiltration of the recurrent laryngeal nerve. * **Barium Swallow Sign:** Look for the **"Apple Core" appearance** or **"Shouldering effect"** in malignant strictures.
Explanation: **Explanation:** In gastrointestinal surgery, the **submucosa** is the most critical layer for the structural integrity of an anastomosis. This is because the submucosa is rich in **collagen and elastin fibers**, which provide the necessary tensile strength to hold sutures and prevent dehiscence. While other layers are easily torn or lack structural density, the dense connective tissue of the submucosa ensures that the stitches do not "cheese-wire" through the tissue under tension. **Analysis of Options:** * **A. Mucosa:** This is the innermost epithelial lining. It is structurally weak and primarily functions in absorption and secretion; it provides no mechanical strength to an anastomosis. * **C. Serosa:** While the serosa is vital for achieving a **watertight seal** (due to its ability to exude fibrin and facilitate rapid healing), it is thin and lacks the fibrous density required to hold sutures under tension. Note: The esophagus and distal rectum lack a serosa, making their anastomoses more prone to leaks. * **D. Muscularis mucosa:** This is a thin, delicate layer of smooth muscle within the mucosa. It is far too fragile to contribute to the overall strength of a surgical repair. **High-Yield Clinical Pearls for NEET-PG:** * **The "Holding Layer":** In any GI surgery question, the submucosa is always the "holding layer." * **Serosa’s Role:** It provides the "seal," not the "strength." * **Suture Technique:** Extramucosal (Seromuscular) sutures (like the Lembert suture) are designed to catch the submucosa while avoiding the lumen to minimize infection risk. * **Esophageal Vulnerability:** The esophagus is notorious for anastomotic leaks because it lacks a serosal layer.
Explanation: ### Explanation **Curling’s ulcer** and **Cushing’s ulcer** are both types of stress-induced gastroduodenal ulcers, but they have distinct etiologies and characteristics. **Why Option B is the correct answer (The False Statement):** Option B describes **Cushing’s ulcer**, not Curling’s ulcer. Cushing’s ulcers are associated with **increased intracranial pressure** (head injury, tumors, or craniotomy). They are typically deep, solitary, and have a high risk of perforation. In contrast, Curling’s ulcers are specifically associated with **severe burn injuries**. **Analysis of other options (True Statements):** * **Option A & D:** Curling’s ulcers typically present as **multiple, shallow, painless erosions** (Option A). While they usually involve the fundus and body of the stomach, they can occasionally present as solitary penetrating ulcers in the duodenum (Option D), though this is less common than the multiple erosion pattern. * **Option C:** This is the classic definition. Curling’s ulcers occur in patients with extensive burns due to reduced mucosal blood flow (hypovolemia) and subsequent mucosal ischemia. **Clinical Pearls for NEET-PG:** * **Curling’s Ulcer:** Burn patients $\rightarrow$ Hypovolemia $\rightarrow$ Ischemia $\rightarrow$ Multiple shallow erosions. (Mnemonic: **Burn**ed by the **Curling** iron). * **Cushing’s Ulcer:** CNS injury $\rightarrow$ Vagal stimulation $\rightarrow$ Hypersecretion of Gastric Acid $\rightarrow$ Deep solitary ulcer. (Mnemonic: **Cush**ion the **Head**). * **Prophylaxis:** Both are managed/prevented using H2 blockers or Proton Pump Inhibitors (PPIs) and early enteral feeding. * **Most common site:** The stomach is the most common site for stress ulcers overall, but Curling's specifically has a high predilection for the **first part of the duodenum**.
Esophageal Disorders
Practice Questions
Gastric Disorders
Practice Questions
Small Intestine Pathology
Practice Questions
Appendicitis
Practice Questions
Inflammatory Bowel Disease
Practice Questions
Intestinal Obstruction
Practice Questions
Gastrointestinal Bleeding
Practice Questions
Diverticular Disease
Practice Questions
Anorectal Disorders
Practice Questions
Colorectal Neoplasms
Practice Questions
Gastrointestinal Stomas
Practice Questions
Bariatric Surgery Principles
Practice Questions
Get full access to all questions, explanations, and performance tracking.
Start For Free