Which embryonic structure, identified earliest on ultrasound, confirms pregnancy?
What does the "sea shore sign" on ultrasound indicate?
What is the most commonly used piezoelectric crystal?
A patient has a surgical cause of obstructive jaundice. Which of the following can Ultrasound NOT detect?
The double bleb sign on ultrasound is indicative of which of the following?
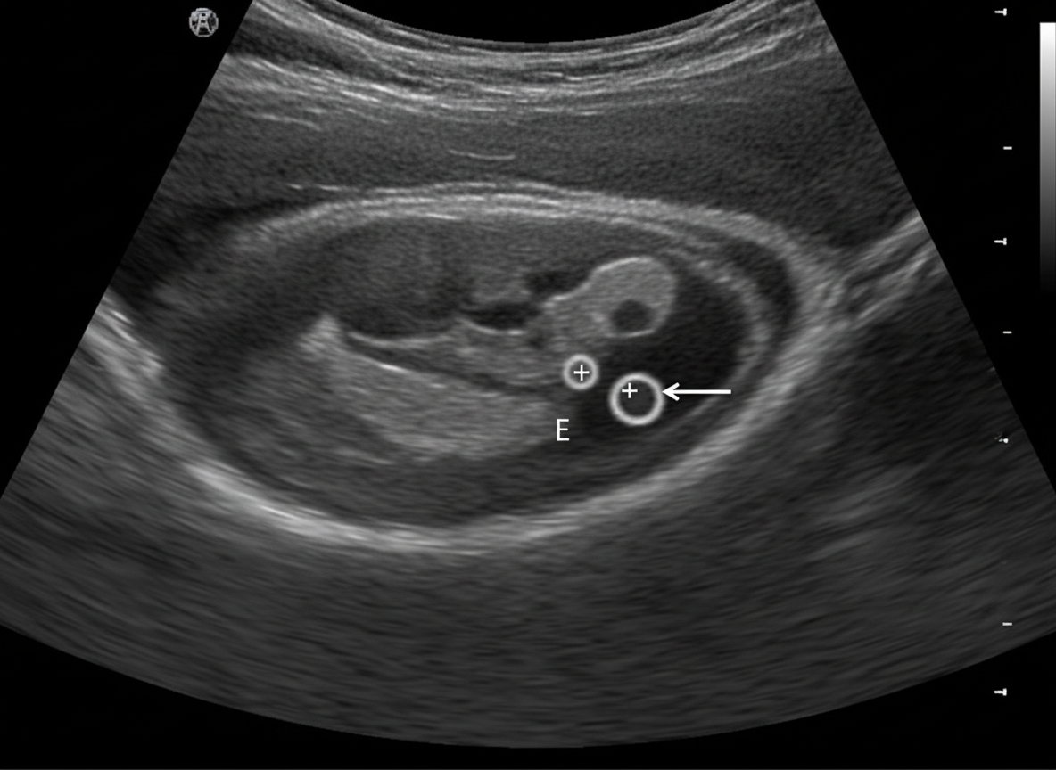
A sonogram demonstrates a Crown-Rump Length (CRL) of an 8-week fetus. The arrow in the image points to which of the following structures?

Which of the following imaging modalities is NOT included in the PI-RADS reporting scheme for prostate glands?
What is the investigation of choice to detect a 4 mm nodule in the pancreas?
Which of the following statements regarding Doppler ultrasound is incorrect?
Evaluation of cardiac valve motion and fetal heart rate is done in which mode of ultrasound?
Explanation: **Explanation:** The **Gestational Sac (GS)** is the earliest sonographic finding of an intrauterine pregnancy. It is a fluid-filled structure surrounded by an echogenic rim (the decidual reaction). On Transvaginal Sonography (TVS), it can be visualized as early as **4.5 to 5 weeks** of gestation, typically when the serum β-hCG levels reach the "discriminatory zone" (1500–2000 mIU/mL). Identifying the GS within the uterus is the first definitive step in confirming an intrauterine pregnancy. **Analysis of Incorrect Options:** * **Fetal Pole (A):** This is the thickening on the margin of the yolk sac that represents the developing embryo. It appears after the gestational sac and yolk sac, usually around **5.5 to 6 weeks**. * **Fetal Heart Activity (B):** This is the first sign of a **viable** pregnancy. It is typically detected via TVS when the fetal pole reaches 5mm in length (approximately **6 to 6.5 weeks**). While it confirms life, it is not the *earliest* structure seen. * **Fetal Skeleton (D):** This is a late finding. Mineralization of the fetal skeleton begins around the 8th week but is generally not clearly visible on routine ultrasound until the **second trimester**. **High-Yield Clinical Pearls for NEET-PG:** * **Order of Appearance (TVS):** Gestational Sac (5 wks) → Yolk Sac (5.5 wks) → Fetal Pole/Cardiac activity (6 wks). * **Double Decidual Sign:** Two concentric echogenic rings surrounding the GS; helps distinguish a true gestational sac from a "pseudogestational sac" seen in ectopic pregnancies. * **Mean Sac Diameter (MSD):** If the MSD is **>25 mm** and no embryo is visible, it indicates a failed pregnancy (anembryonic gestation).
Explanation: **Explanation:** The **"Sea Shore Sign"** is a characteristic finding on **M-mode (Motion mode)** ultrasonography of a **normal lung**. It represents the interface between stationary and moving structures: 1. **The "Sea" (Linear patterns):** The top half of the image consists of horizontal parallel lines representing the stationary chest wall tissues (skin, subcutaneous fat, and intercostal muscles). 2. **The "Shore/Beach" (Granular/Sandy appearance):** Below the hyperechoic pleural line, the image appears grainy or speckled. This "sandy" appearance is caused by the dynamic movement of the lung sliding against the pleura during respiration. **Analysis of Incorrect Options:** * **A. Pneumothorax:** In a pneumothorax, air separates the parietal and visceral pleura, abolishing lung sliding. On M-mode, this appears as horizontal parallel lines throughout the entire depth of the image (both above and below the pleural line), known as the **"Barcode Sign"** or **"Stratosphere Sign."** * **C. Pleural Effusion:** This typically presents as an anechoic (black) space between the parietal and visceral pleura. On M-mode, the lung may be seen floating in the fluid, often referred to as the **"Sinusoid Sign."** * **D. Pulmonary Edema:** This is characterized by **B-lines** (comet-tail artifacts) on B-mode ultrasound due to thickened interlobular septa. **High-Yield Clinical Pearls for NEET-PG:** * **Lung Sliding:** Its presence (B-mode) or the Sea Shore sign (M-mode) has a **100% Negative Predictive Value** for pneumothorax at that specific point. * **Lung Point:** This is the most specific sign of a pneumothorax, representing the transition zone where the lung begins to separate from the chest wall. * **A-Lines:** Horizontal hyperechoic lines (reverberation artifacts) seen in normal lungs or pneumothorax.
Explanation: **Explanation:** The **Piezoelectric Effect** is the fundamental principle behind ultrasound imaging, where mechanical pressure is converted into electrical energy (and vice versa). The transducer contains crystals that vibrate when an electric current is applied, producing ultrasound waves. **Why Lead Zirconate Titanate (PZT) is the correct answer:** While various materials exhibit piezoelectric properties, **Lead Zirconate Titanate (PZT)** is a synthetic ceramic that is the most widely used material in modern medical ultrasound transducers. It is preferred because of its high electromechanical coupling coefficient and high efficiency in converting energy, which results in superior image resolution and sensitivity compared to natural crystals. **Analysis of Incorrect Options:** * **A. Quartz:** This is a naturally occurring piezoelectric crystal. While it was used in early experiments, it is inefficient for modern medical imaging because it requires very high voltages and has poor energy conversion. * **C. Barium Zirconate:** While Barium titanate was the first ceramic used for ultrasound, it has largely been replaced by PZT due to PZT’s better thermal stability and higher operating temperatures. * **D. Titanium:** Titanium is a metal used frequently in orthopedic implants and ultrasound housing, but it does not possess piezoelectric properties itself. **High-Yield Clinical Pearls for NEET-PG:** * **Curie Point:** This is the critical temperature above which a PZT crystal loses its piezoelectric properties. Therefore, ultrasound probes **must never be autoclaved** (heat sterilized). * **Reverse Piezoelectric Effect:** This occurs when electricity is applied to the crystal to produce sound waves (used during **transmission**). * **Direct Piezoelectric Effect:** This occurs when returning echoes (sound) hit the crystal to produce electricity (used during **reception**). * **Matching Layer:** Placed in front of the crystal to reduce the acoustic impedance mismatch between the crystal and the patient's skin.
Explanation: ### Explanation **Correct Option: B. Peritoneal deposits** Ultrasound (USG) is the initial screening modality for obstructive jaundice due to its high sensitivity for detecting ductal dilatation and gallstones. However, USG has significant limitations in detecting **peritoneal deposits** (peritoneal carcinomatosis). These deposits are often small, flat, or located in "blind spots" like the subdiaphragmatic space or between bowel loops, where overlying bowel gas obscures visualization. Contrast-Enhanced Computed Tomography (CECT) or Diagnostic Laparoscopy are the preferred modalities for staging and identifying peritoneal spread. **Analysis of Incorrect Options:** * **A. Biliary tree obstruction:** USG is excellent at identifying the *presence* and *level* of obstruction. It can easily differentiate between intrahepatic and extrahepatic biliary radical dilatation (IHBRD/EHBRD). * **C. Gall bladder stones:** USG is the **gold standard** for diagnosing cholelithiasis, showing highly reflective echogenic foci with posterior acoustic shadowing. * **D. Ascites:** USG is extremely sensitive and can detect as little as 5–10 mL of peritoneal fluid. It is the first-line investigation to confirm ascites and guide paracentesis. **High-Yield Clinical Pearls for NEET-PG:** * **First-line investigation for Jaundice:** Ultrasound. * **Best investigation for Choledocholithiasis (CBD stones):** MRCP (Non-invasive) or EUS (Endoscopic Ultrasound). * **Double Duct Sign:** Dilatation of both the Common Bile Duct and the Pancreatic Duct, typically seen on USG/CT in periampullary carcinoma or carcinoma of the head of the pancreas. * **Courvoisier’s Law:** In a patient with obstructive jaundice, if the gallbladder is palpable, the obstruction is unlikely to be due to a stone (usually malignancy).
Explanation: **Explanation:** The **"Double Bleb Sign"** is a classic early sonographic marker of an intrauterine pregnancy, typically visible at approximately **5.5 to 6 weeks** of gestation. It describes the visualization of two small cystic structures—the **amniotic sac** and the **yolk sac**—situated side-by-side within the chorionic cavity, with the embryonic disc (the future fetus) sandwiched between them. * **Why Option B is Correct:** The "blebs" represent the developing amniotic sac and the yolk sac. At this early stage, the amniotic sac is very small and roughly equal in size to the yolk sac. Seeing these two structures together confirms the presence of an embryo, even if the embryo itself is too small to be clearly resolved. **Analysis of Incorrect Options:** * **Option A:** Two gestational sacs would indicate a diamniotic-dichorionic twin pregnancy, but they would appear as two separate larger rings rather than two small adjacent blebs within one sac. * **Option C & D:** While ultrasound is used to diagnose ectopic and heterotopic pregnancies, the double bleb sign specifically refers to the internal architecture of a gestational sac, usually implying an intrauterine location. **High-Yield Clinical Pearls for NEET-PG:** * **Timing:** The double bleb sign is seen before the amnion expands to fill the chorionic cavity. * **Yolk Sac:** It is the first structure to be seen within the gestational sac (at ~5 weeks). * **Mean Sac Diameter (MSD):** The double bleb sign is usually visible when the MSD is approximately 20 mm. * **Significance:** Its presence is a highly reliable indicator of a true intrauterine pregnancy, helping to differentiate a gestational sac from a "pseudogestational sac" (often seen in ectopic pregnancies).
Explanation: ***Yolk sac*** - The **yolk sac** appears as a round, **echogenic ring** measuring approximately **3-5 mm** in diameter, located adjacent to the embryo within the gestational sac at 8 weeks gestation. - It serves as an important **sonographic landmark** for confirming **intrauterine pregnancy** and provides early nutrition to the developing embryo before placental circulation is established. *Blighted ovum* - A **blighted ovum** (anembryonic pregnancy) refers to an **empty gestational sac** without a visible embryo or yolk sac. - Since this case shows a **measurable CRL** indicating a viable 8-week fetus, a blighted ovum is not possible. *Pseudo-gestational sac* - A **pseudo-gestational sac** is associated with **ectopic pregnancy** and appears as fluid collection in the uterine cavity without a true **decidual reaction**. - The presence of a **measurable embryo with CRL** confirms an **intrauterine pregnancy**, ruling out this possibility. *Gestational sac* - The **gestational sac** is the larger, **anechoic (dark)** fluid-filled structure that surrounds the entire pregnancy, not the small echogenic ring being pointed to. - At 8 weeks, the gestational sac measures approximately **25-30 mm**, much larger than the structure indicated by the arrow.
Explanation: The **PI-RADS (Prostate Imaging-Reporting and Data System)** is a standardized scheme used to evaluate and report multiparametric MRI (mpMRI) of the prostate for suspected malignancy. ### **Explanation of the Correct Answer** **Option A (Magnetic Resonance Spectroscopy):** In the current version of PI-RADS (v2.1), **MR Spectroscopy is NOT included**. While it was part of the original PI-RADS v1, it was removed because it is technically demanding, time-consuming, and did not significantly improve diagnostic accuracy compared to the core sequences. ### **Explanation of Incorrect Options** The PI-RADS v2.1 assessment is based on three core components of **Multiparametric MRI (mpMRI)**: * **Option D (T2-weighted imaging):** This is the anatomical backbone of the exam. It is the **dominant sequence** for evaluating the **Transition Zone (TZ)**. * **Option C (Diffusion-weighted MRI - DWI):** This assesses water molecule movement (cellularity). It is the **dominant sequence** for evaluating the **Peripheral Zone (PZ)**. * **Option B (Dynamic contrast enhancement - DCE):** This evaluates the vascularity of the lesion. It is used as a "tie-breaker" in the peripheral zone to upgrade a PI-RADS 3 lesion to a PI-RADS 4. ### **High-Yield Clinical Pearls for NEET-PG** * **Dominant Sequences:** Remember **PZ = DWI** and **TZ = T2W**. * **Scoring:** PI-RADS scores range from **1 (Very low risk)** to **5 (Very high risk)** of clinically significant prostate cancer. * **Anatomy:** Most prostate cancers (70-75%) occur in the **Peripheral Zone**. * **Biparametric MRI:** A newer trend that uses only T2W and DWI (omitting contrast/DCE) to save time and cost.
Explanation: **Explanation:** The correct answer is **Endoscopic Ultrasound (EUS)**. **Why EUS is the Investigation of Choice:** The pancreas is a retroperitoneal organ, making it difficult to visualize small lesions via transabdominal ultrasound due to overlying bowel gas. EUS involves placing a high-frequency transducer in the stomach or duodenum, directly adjacent to the pancreas. This proximity allows for the use of high-frequency sound waves, providing **superior spatial resolution**. EUS is currently the most sensitive modality for detecting small pancreatic lesions (<2 cm), with a sensitivity exceeding 90-95%, whereas CT and MRI often miss nodules smaller than 1 cm. **Analysis of Incorrect Options:** * **PET Scan:** While useful for detecting metabolic activity and distant metastasis, PET has poor spatial resolution and is not indicated for the primary detection of tiny anatomical nodules. * **CECT (Contrast-Enhanced CT):** This is the "gold standard" for staging and assessing resectability of pancreatic cancer, but its sensitivity drops significantly for lesions smaller than 10 mm. * **MRI/MRCP:** Excellent for characterizing ductal anatomy and cystic lesions, but it remains less sensitive than EUS for detecting solid nodules in the 4–5 mm range. **High-Yield Clinical Pearls for NEET-PG:** * **EUS-FNA:** EUS not only detects the nodule but also allows for **Fine Needle Aspiration (FNA)** for cytological confirmation, making it the most accurate diagnostic tool. * **Insulinomas:** For small, occult neuroendocrine tumors (like insulinomas) not seen on CT, EUS is the investigation of choice. * **Double Duct Sign:** On imaging, the simultaneous dilatation of the common bile duct and pancreatic duct suggests a lesion in the head of the pancreas or ampulla.
Explanation: **Explanation:** The correct answer is **A**, as the statement "Monophasic tracing indicates abnormal flow" is a generalization that is not always true. **1. Why Option A is the correct (incorrect statement):** In Doppler ultrasound, the "phasicity" of a waveform depends on the **vascular resistance** of the organ being supplied. * **Low-resistance vessels** (e.g., Internal Carotid Artery, Renal Artery, Hepatic Artery) normally show **monophasic flow** with continuous forward flow during diastole to ensure constant perfusion to vital organs. * **High-resistance vessels** (e.g., resting Femoral Artery) normally show **triphasic flow**. Therefore, a monophasic tracing is **normal** for certain vessels and only indicates pathology (like proximal stenosis) when found in a vessel that should normally be triphasic. **2. Analysis of other options:** * **Option B:** Doppler measures the frequency shift, which is used to calculate the **velocity** of blood flow using the Doppler equation. * **Option C:** Color Doppler uses a color map (typically BART: Blue Away, Red Towards) to indicate the **direction** of flow relative to the transducer. * **Option D:** By measuring peak systolic velocity (PSV) and end-diastolic velocity (EDV), Doppler is the gold standard for non-invasively assessing the **degree of stenosis** (e.g., Carotid artery stenosis). **High-Yield Clinical Pearls for NEET-PG:** * **BART Sign:** Blue Away, Red Towards (refers to the transducer). * **Spectral Broadening:** Indicates turbulent flow, often seen just distal to a stenosis. * **Tardus Parvus Effect:** A small, late peak (monophasic) seen **distal** to a significant arterial obstruction. * **Aliasing:** An artifact occurring when the Nyquist limit is exceeded; it is corrected by increasing the Pulse Repetition Frequency (PRF).
Explanation: **Explanation:** The correct answer is **M-mode (Motion mode)**. In ultrasound, **M-mode** is used to display the movement of structures over time. It works by taking a single line of a B-mode image and displaying it repeatedly along a time axis. This provides high temporal resolution, making it the gold standard for evaluating rapidly moving structures such as **cardiac valve leaflets** (e.g., mitral valve excursion) and measuring the **fetal heart rate** during early pregnancy. **Analysis of Incorrect Options:** * **A-mode (Amplitude mode):** This is the simplest form where echoes are displayed as vertical spikes on a baseline. The height of the spike represents the amplitude (strength) of the echo. It is primarily used in ophthalmology for axial length measurements of the eye. * **B-mode (Brightness mode):** This is the standard 2D grayscale ultrasound. It converts echo amplitudes into pixels of varying brightness to create a structural image. While it shows anatomy, it lacks the temporal precision of M-mode for tracking rapid motion. * **D-mode (Doppler mode):** This utilizes the Doppler shift to evaluate the velocity and direction of blood flow within vessels, rather than the anatomical motion of valves or heart walls. **High-Yield Clinical Pearls for NEET-PG:** * **M-mode** is essential for calculating **Ejection Fraction (EF)** using the Teichholz formula and diagnosing **cardiac tamponade** (by showing right ventricular collapse). * In lung ultrasound, a normal M-mode shows the **"Seashore sign,"** while a pneumothorax shows the **"Barcode sign" or "Stratosphere sign."** * **Real-time B-mode** is the most commonly used mode in general radiology for abdominal and pelvic imaging.
Physics of Ultrasound
Practice Questions
Instrumentation and Techniques
Practice Questions
Abdominal Ultrasonography
Practice Questions
Pelvic Ultrasonography
Practice Questions
Obstetric Ultrasonography
Practice Questions
Small Parts Ultrasonography
Practice Questions
Musculoskeletal Ultrasonography
Practice Questions
Vascular Ultrasonography
Practice Questions
Pediatric Ultrasonography
Practice Questions
Contrast-Enhanced Ultrasound
Practice Questions
Ultrasound-Guided Interventions
Practice Questions
Doppler Ultrasound Principles and Applications
Practice Questions
Get full access to all questions, explanations, and performance tracking.
Start For Free