What is the frequency range of sound waves typically used for transabdominal ultrasonography?
Hyperchoice hepatic metastases on USG are seen in which of the following malignancies?
Which one of the following congenital malformations of the fetus can be diagnosed in the first trimester by ultrasound?
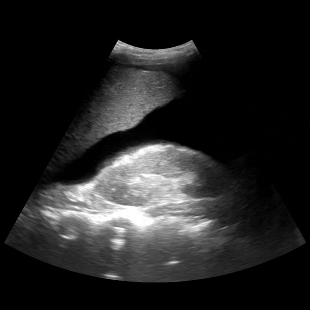
Comment on the provided ultrasound image?

At what gestational age can ultrasound detect cardiac activity?
Which of the following probes is used for transcranial ultrasonography?
The twin peak sign is seen in which of the following conditions?
Time sector scanning of neonates is preferred because of which most practical reason?
What is the ultrasound frequency range typically used for diagnostic purposes in obstetrics?
T-sign is seen in which type of twin pregnancy?
Explanation: **Explanation:** The choice of ultrasound frequency involves a fundamental trade-off between **penetration depth** and **axial resolution**. Lower frequencies penetrate deeper into tissues but offer lower resolution, while higher frequencies provide superior detail but cannot travel deep into the body. * **Correct Answer (B) 3.5-5.0 MHz:** This is the standard frequency range for **transabdominal ultrasonography**. In an adult, abdominal organs (liver, kidneys, spleen, gravid uterus) are located several centimeters deep. This range provides the optimal balance, allowing the sound waves to penetrate the abdominal wall and reach deep structures while maintaining sufficient image quality for diagnosis. **Analysis of Incorrect Options:** * **(A) 2.5-3.5 MHz:** These very low frequencies are typically reserved for **deep obstetric scanning** in obese patients or for **echocardiography**, where penetration through thick chest walls or deep pelvic structures is the primary requirement. * **(C) 5.0-7.5 MHz:** This range is used for **transvaginal (TVS)** or **transrectal (TRS)** probes. Since the transducer is placed closer to the organs of interest (uterus/prostate), less penetration is needed, allowing for higher resolution. * **(D) 7.5-10 MHz:** These high frequencies are used for **superficial structures** such as the thyroid, breast, testes, and musculoskeletal (MSK) imaging. They provide excellent resolution but have very poor penetration. **High-Yield Clinical Pearls for NEET-PG:** * **Piezoelectric Effect:** The conversion of electrical energy into mechanical (sound) energy by crystals (e.g., Lead Zirconate Titanate) is the basis of USG. * **A-Mode:** Used in ophthalmology for axial length measurement. * **M-Mode:** Used for assessing moving structures (fetal heart rate, cardiac valves). * **Doppler Effect:** Used to measure the velocity and direction of blood flow.
Explanation: **Explanation:** The echogenicity of hepatic metastases on ultrasound (USG) is a high-yield topic for NEET-PG. While most liver metastases are hypoechoic, **hyperechoic (bright)** metastases are characteristic of specific primary tumors. **Why Option B is Correct:** **Carcinoma of the colon**, particularly **mucinous adenocarcinoma**, is the most common cause of hyperechoic liver metastases. The increased echogenicity is primarily due to **calcifications** within the tumor tissue or the presence of highly reflective interfaces within the mucin-producing cells. Other common causes of hyperechoic metastases include Renal Cell Carcinoma (RCC), Breast Carcinoma, and Neuroendocrine tumors (e.g., Carcinoid). **Analysis of Incorrect Options:** * **Option A (Carcinoma of Ovary):** While ovarian cancer can metastasize to the liver, it typically presents as peritoneal seeding or surface scalloping. When parenchymal, they are often cystic or complex, but not classically described as primarily hyperechoic unless there is significant psammomatous calcification. * **Option C (Urinary Bladder Carcinoma):** These are relatively rare causes of liver metastases compared to GI malignancies and do not typically present with a hyperechoic signature. * **Option D (Mucinous Cystadenoma):** This is a benign (though potentially pre-malignant) cystic neoplasm of the liver or pancreas. It is a primary lesion, not a metastatic one. **High-Yield Clinical Pearls for NEET-PG:** 1. **Hypoechoic Metastases:** Most common; typically from Lung, Breast (can be both), and Lymphoma. 2. **Target/Bull’s Eye Sign:** A hypoechoic halo around a hyperechoic center; highly suggestive of malignancy (often Bronchogenic Carcinoma). 3. **Calcified Metastases:** Think Mucinous Adenocarcinoma of the Colon or Stomach. 4. **Cystic Metastases:** Think Cystadenocarcinoma (Ovary/Pancreas) or Sarcomas (Leiomyosarcoma).
Explanation: **Explanation:** **Anencephaly** is the correct answer because it is one of the most severe neural tube defects that can be reliably diagnosed during the late first trimester (11–14 weeks). The diagnosis is based on the absence of the cranial vault (acrania) and the subsequent degeneration of the brain tissue. On ultrasound, this presents as the characteristic **"Mickey Mouse appearance"** (in the coronal view) or the **"Frog-eye sign"** (due to prominent orbits). **Analysis of Incorrect Options:** * **Inencephaly:** While a severe neural tube defect involving extreme retroflexion of the head, it is much rarer than anencephaly and often requires second-trimester imaging for a definitive diagnosis of the spinal defects involved. * **Microcephaly:** This is a diagnosis of exclusion and growth. It is typically not diagnosed until the late second or third trimester, as it relies on head circumference measurements falling significantly below the mean (usually >3 SD) as the pregnancy progresses. * **Holoprosencephaly:** Although severe forms (alobar) can sometimes be suspected in the first trimester by the absence of the "butterfly sign" (choroid plexus), a definitive diagnosis is usually deferred to the second trimester when the structural development of the midline structures and face can be better visualized. **High-Yield Clinical Pearls for NEET-PG:** * **Acrania-Anencephaly Sequence:** Acrania (absent skull) precedes anencephaly. Once the brain is exposed to amniotic fluid, it undergoes chemical erosion. * **The "Butterfly Sign":** In a normal 11–14 week scan, the choroid plexus fills the lateral ventricles, appearing like a butterfly. Its absence is a marker for holoprosencephaly. * **Biochemical Marker:** Anencephaly is associated with significantly elevated **Alpha-Fetoprotein (AFP)** in maternal serum.
Explanation: ***FAST positive*** - The ultrasound shows **free anechoic fluid** in **Morrison's pouch** (hepatorenal space), indicating **hemoperitoneum**. - A **FAST positive** result suggests significant intra-abdominal bleeding requiring immediate surgical evaluation in trauma patients. *FAST inconclusive* - This term indicates **technical difficulties** or **suboptimal visualization** preventing proper assessment of fluid collections. - Requires **repeat examination** or alternative imaging modalities like **CT scan** for definitive evaluation. *FAST negative* - A negative FAST shows **no free fluid** in any of the **four standard views** (pericardial, right upper quadrant, left upper quadrant, pelvis). - Does **not rule out** all intra-abdominal injuries, as **retroperitoneal bleeding** may not be detected. *FAST equivocal* - Refers to **borderline findings** where fluid presence is **uncertain** or **minimal amounts** are detected. - Requires **clinical correlation** and often **serial examinations** or **CT imaging** for clarification.
Explanation: **Explanation:** In early pregnancy, the detection of cardiac activity is a critical milestone for confirming a viable intrauterine pregnancy. On a high-resolution **Transvaginal Ultrasound (TVS)**, the fetal heart pole and cardiac flickering can typically be visualized when the embryo reaches a crown-rump length (CRL) of **2–4 mm**, which corresponds to a gestational age of **5.5 to 6 weeks**. * **Option A (5-6 weeks):** This is the correct window. By the end of the 5th week, the primitive heart tube begins to beat. TVS can reliably detect this activity between 5.5 and 6 weeks. * **Option B & C (6-8 weeks):** While cardiac activity is certainly visible during this time, these options are "late." By 6.5 to 7 weeks, cardiac activity should be visible even on Transabdominal Ultrasound (TAS). * **Option D (8-10 weeks):** This is well beyond the initial detection period. By this stage, the embryo has developed into a fetus with clearly identifiable limbs and movement. **High-Yield Clinical Pearls for NEET-PG:** 1. **Discriminatory Milestones (TVS):** * **Gestational Sac:** 4.5–5 weeks. * **Yolk Sac:** 5–5.5 weeks (First intragestational structure seen). * **Cardiac Activity:** 5.5–6 weeks. 2. **The "Rule of 10":** If using **Transabdominal Ultrasound (TAS)**, milestones are generally delayed by about 1 week compared to TVS. 3. **Diagnosis of Pregnancy Failure:** According to the SRU criteria, pregnancy is considered non-viable if there is a **CRL ≥ 7 mm** with no cardiac activity on TVS. 4. **Heart Rate:** In early pregnancy (6 weeks), the normal fetal heart rate is approximately 100–115 bpm, increasing to 140–170 bpm by 9 weeks.
Explanation: **Explanation:** The correct answer is **C. Sectoral probe** (also known as a Phased Array probe). **Why Sectoral Probe is Correct:** Transcranial Doppler (TCD) or ultrasonography requires imaging the brain through narrow "acoustic windows" in the skull (such as the temporal bone, orbit, or foramen magnum) where the bone is thinnest. A **Sectoral probe** has a small footprint but produces a wide, fan-shaped field of view. This allows the ultrasound beam to be steered through a small physical gap while still visualizing deep intracranial structures and vasculature. Furthermore, it uses **low frequencies (typically 1–3 MHz)**, which are essential for better penetration through the dense cortical bone of the skull. **Why Other Options are Incorrect:** * **Linear Probe:** These use high frequencies (5–15 MHz) for high resolution but have poor penetration. They produce a rectangular image and are used for superficial structures like the thyroid, breast, or scrotum. * **Curvilinear Probe:** These have a large footprint and are used primarily for abdominal and obstetric imaging. Their size makes them unsuitable for the small acoustic windows of the skull. * **Endocavitary Probe:** These are specialized high-frequency probes designed for insertion into body cavities (transvaginal or transrectal) and are not used for cranial imaging. **High-Yield Clinical Pearls for NEET-PG:** * **Acoustic Windows:** The four standard windows for TCD are Transtemporal (most common), Transorbital, Transforaminal (Suboccipital), and Submandibular. * **Clinical Use:** TCD is the gold standard for monitoring **vasospasm** following Subarachnoid Hemorrhage (SAH) and for screening stroke risk in children with **Sickle Cell Anemia**. * **Frequency Rule:** Lower frequency = Higher penetration (used for deep/bony structures); Higher frequency = Higher resolution (used for superficial structures).
Explanation: **Explanation:** The **Twin Peak Sign** (also known as the **Lambda (λ) sign**) is a crucial sonographic marker used to determine chorionicity in multiple gestations. It is seen in **Diamniotic Dichorionic (DADC)** pregnancies. **1. Why Option D is correct:** In a dichorionic pregnancy, there are two separate placentas. When these placentas are adjacent, the chorionic tissue (placental tissue) projects into the base of the inter-twin membrane. This creates a thick, triangular wedge of tissue at the junction, resembling the Greek letter Lambda (λ). This sign is most reliably seen during the first trimester (10–14 weeks). **2. Why other options are incorrect:** * **Option A (Monochorionic Diamniotic):** These pregnancies share a single placenta. The inter-twin membrane is thin and lacks intervening placental tissue, resulting in the **"T-sign"** (where the membrane meets the placenta at a 90-degree angle). * **Option B & C:** Dichorionic monoamniotic pregnancies are physiologically impossible (dichorionic always implies diamniotic). Conjoined twins occur in late-splitting monochorionic monoamniotic pregnancies where no inter-twin membrane exists at all. **Clinical Pearls for NEET-PG:** * **Lambda Sign = Dichorionic:** High predictive value for two placentas. * **T-Sign = Monochorionic:** Indicates a shared placenta; carries a higher risk for Twin-to-Twin Transfusion Syndrome (TTTS). * **Membrane Thickness:** In DADC, the membrane is typically >2 mm (4 layers); in MCDA, it is <2 mm (2 layers). * **Best Time for Chorionicity:** Ultrasound between **10–14 weeks** is the "gold standard" period for identifying these signs.
Explanation: **Explanation:** **1. Why "Open Fontanelles" is the Correct Answer:** In neonatal neurosonography, the skull acts as a significant barrier to ultrasound waves because bone reflects and absorbs sound, preventing visualization of the underlying brain parenchyma. The **anterior fontanelle** serves as a "physiologic acoustic window." By using a **sector (phased array) transducer**, which has a small footprint, the radiologist can scan through this narrow opening to obtain a wide, fan-shaped field of view of the entire neonatal brain. Once the fontanelles close (typically by 12–18 months), this window is lost, and CT or MRI becomes necessary. **2. Analysis of Incorrect Options:** * **B. Inexpensive equipment:** While ultrasound is generally more cost-effective than MRI, the "preference" for sector scanning in neonates is based on anatomical accessibility and diagnostic capability, not the price of the machine. * **C. Children are more cooperative:** This is clinically incorrect. Neonates and infants are often uncooperative and move frequently. Ultrasound is preferred because it is fast, portable (can be done bedside in the NICU), and does not require sedation, unlike MRI. * **D. Better resolution:** Resolution depends on the frequency of the transducer (MHz), not the scanning format. While high-frequency probes provide excellent resolution, the primary reason for choosing sector scanning is the ability to bypass the bony vault via the fontanelle. **3. Clinical Pearls for NEET-PG:** * **Acoustic Window:** The **Anterior Fontanelle** is the primary window for coronal and sagittal views. The **Mastoid Fontanelle** is used to better visualize the cerebellum and posterior fossa. * **Transducer Choice:** A high-frequency (5–10 MHz) **sector or phased array probe** is used due to its small footprint. * **Indications:** It is the gold standard for screening preterm neonates for **Intraventricular Hemorrhage (IVH)** and Periventricular Leukomalacia (PVL).
Explanation: **Explanation:** In diagnostic ultrasound, the frequency range is determined by the trade-off between **penetration depth** and **axial resolution**. 1. **Why 1–20 MHz is correct:** Most diagnostic imaging, including obstetrics, falls within this range. * **Lower frequencies (2–5 MHz):** These have longer wavelengths and better penetration, making them ideal for transabdominal scans in pregnancy to reach the deep-seated fetus. * **Higher frequencies (7.5–15 MHz):** These offer superior resolution but limited penetration, used for transvaginal scans (TVS) in early pregnancy or superficial structures (breast, thyroid). * The broad range of 1–20 MHz covers the entire spectrum of clinical obstetric and general diagnostic needs. 2. **Why other options are incorrect:** * **20–40 MHz:** These frequencies are used for very superficial, high-resolution imaging, such as **Intravascular Ultrasound (IVUS)** or specialized ophthalmic/dermatologic scans. They cannot penetrate deep enough for fetal imaging. * **40–80 MHz (Options C & D):** These are considered "Ultra-high frequency" ultrasound, primarily used in experimental research or biomicroscopy. At these levels, penetration is limited to only a few millimeters. **High-Yield Clinical Pearls for NEET-PG:** * **Inverse Relationship:** Frequency is inversely proportional to penetration depth but directly proportional to image resolution. * **Piezoelectric Effect:** The conversion of electrical energy to mechanical (sound) energy by crystals (e.g., Lead Zirconate Titanate/PZT) is the fundamental principle of USG. * **Safety:** Ultrasound is non-ionizing. In obstetrics, the **ALARA** (As Low As Reasonably Achievable) principle is followed to minimize thermal and mechanical indices. * **Speed of Sound:** The average speed of sound in human soft tissue is **1540 m/s**.
Explanation: ### Explanation The **T-sign** is a classic ultrasonographic marker used to determine **chorionicity** in twin pregnancies, typically assessed between 10–14 weeks of gestation. **1. Why Diamniotic Monochorionic (MCDA) is correct:** In a monochorionic diamniotic pregnancy, there is a single placenta (monochorionic) but two separate amniotic sacs. The dividing membrane is composed of only **two layers of amnion** (without intervening chorion). This membrane is very thin and meets the single placenta at a perpendicular angle without any placental tissue extending into the base, creating a sharp **"T" junction**. **2. Analysis of Incorrect Options:** * **Dichorionic Diamniotic (DCDA):** This type features the **Lambda sign (λ)** or **Twin-peak sign**. Because there are two separate placentas (which may be fused), the dividing membrane is thick, consisting of four layers (two amnions and two chorions). Placental tissue projects into the base of the membrane, creating a triangular shape resembling the Greek letter lambda. * **Monochorionic Monoamniotic (MCMA):** In this type, there is no dividing membrane at all. Therefore, neither a T-sign nor a Lambda sign is seen. * **Dichorionic Monoamniotic:** This is physiologically impossible; if there are two chorions (two placentas), there must be two amniotic sacs. **3. High-Yield Clinical Pearls for NEET-PG:** * **Chorionicity** is best determined in the **first trimester** (10–14 weeks). After this, the signs become less reliable as the sacs compress. * **Lambda Sign = DCDA** (Think: "D" for Double/Dichorionic). * **T-sign = MCDA** (Think: "M" for Monochorionic/Thin membrane). * MCDA pregnancies are at specific risk for **Twin-to-Twin Transfusion Syndrome (TTTS)** due to vascular anastomoses in the single placenta.
Physics of Ultrasound
Practice Questions
Instrumentation and Techniques
Practice Questions
Abdominal Ultrasonography
Practice Questions
Pelvic Ultrasonography
Practice Questions
Obstetric Ultrasonography
Practice Questions
Small Parts Ultrasonography
Practice Questions
Musculoskeletal Ultrasonography
Practice Questions
Vascular Ultrasonography
Practice Questions
Pediatric Ultrasonography
Practice Questions
Contrast-Enhanced Ultrasound
Practice Questions
Ultrasound-Guided Interventions
Practice Questions
Doppler Ultrasound Principles and Applications
Practice Questions
Get full access to all questions, explanations, and performance tracking.
Start For Free