Which of the following conditions is NOT characterized by the radiographic abnormality shown in the X-ray skull?

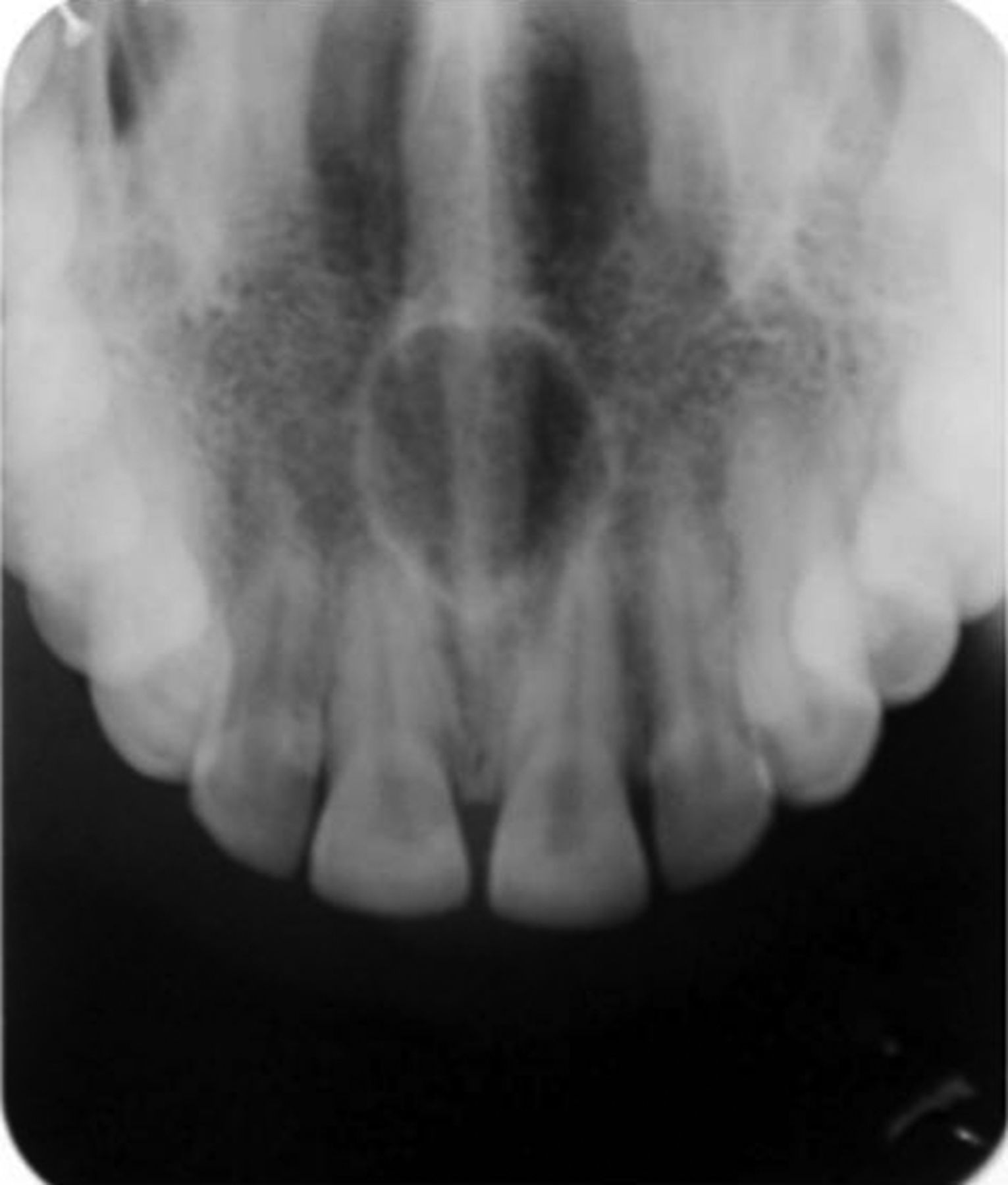
The radiolucency shown by the following radiograph is due to:

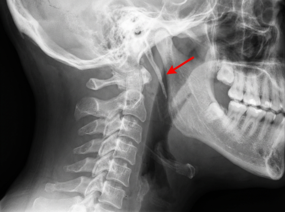
The X-ray shown below is diagnostic of what? The finding in the X-ray is marked with a red arrow.

A bull's eye type of appearance in IOP is seen in which condition?
In an anterior maxillary occlusal projection, the central ray of the X-ray beam enters the patient's face through which point?
An X-ray film of the skull is provided. What is the diagnosis?

A 25-year-old female presenting with amenorrhea and galactorrhea is suspected to have a malignancy of the pituitary gland. Which of the following radiologic views is most useful for visualising the sella turcica?
What is the minimal amount of dentinal destruction that becomes evident on a radiograph?
Which of the following views is recommended for radiological examination of the maxillary sinus?
Floating teeth sign is seen in which of the following conditions?
Explanation: ***Paget's disease*** - Paget's disease characteristically shows a **cotton-wool appearance** or **osteoporosis circumscripta** pattern on skull X-rays, not punched-out lytic lesions. - The radiographic pattern involves **mixed lytic and sclerotic changes** with bone thickening, distinctly different from the discrete lytic lesions shown. *Multiple Myeloma* - Multiple myeloma classically presents with **punched-out lytic lesions** without sclerotic borders on skull X-rays. - These lesions result from **plasma cell infiltration** causing bone destruction and appear as well-defined radiolucent areas. *Histiocytosis X* - Histiocytosis X (Langerhans cell histiocytosis) produces **punched-out lytic skull lesions** with sharply defined margins. - The lesions often have a **beveled edge** appearance and can occur in multiple sites throughout the skull. *Hyperparathyroidism* - Hyperparathyroidism causes **salt-and-pepper skull** appearance with multiple small lytic lesions throughout the calvarium. - The **subperiosteal bone resorption** and generalized osteopenia create a pattern of diffuse lytic changes in the skull bones.
Explanation: ***Nasopalatine cyst*** - Classic **midline anterior maxillary** radiolucency located in the **incisive canal/nasopalatine foramen** region, often with a characteristic **heart-shaped** or **inverted pear** appearance. - Most common **non-odontogenic cyst** of the maxilla, arising from embryonic remnants of the **nasopalatine duct**. *Solitary bone cyst* - Typically occurs in the **mandible** (especially posterior region) rather than the anterior maxilla, appearing as a **unilocular radiolucency**. - More common in **younger patients** and often **asymptomatic**, but location doesn't match the midline anterior maxillary presentation. *Ameloblastoma* - Predominantly affects the **posterior mandible** and presents as a **multilocular** ("soap bubble" or "honeycomb") radiolucency. - **Aggressive benign tumor** that causes significant **expansion** and **cortical thinning**, unlike the typical presentation of a midline maxillary radiolucency. *Nasolabial cyst* - **Soft tissue cyst** located in the **nasolabial fold** that typically appears **radiopaque** on conventional radiographs. - Causes **obliteration of the nasolabial fold** and **swelling** rather than presenting as a radiolucency within bone structure.
Explanation: ***Eagle syndrome*** - X-ray shows **elongated styloid process** (>25mm) which is pathognomonic for Eagle syndrome, causing **throat pain** and **dysphagia**. - The **calcified stylohyoid ligament** or elongated styloid process is clearly visible on plain radiographs, making this a definitive radiological diagnosis. *Trigeminal neuralgia* - This is a **clinical diagnosis** based on characteristic **sharp, electric shock-like pain** in trigeminal nerve distribution. - **No specific radiological findings** are seen on plain X-rays; diagnosis relies on clinical presentation and sometimes MRI. *Cervical cord compression* - Requires **MRI or CT myelography** to visualize cord compression and cannot be diagnosed on plain X-rays. - Plain radiographs may show **degenerative changes** but cannot demonstrate actual cord compression or neurological involvement. *Non specific myalgia* - This is a **clinical syndrome** with muscle pain and tenderness without any radiological abnormalities. - **Normal X-ray findings** are expected, and diagnosis is based purely on clinical examination and history.
Explanation: ### Explanation The **"Bull's Eye" appearance** in an Intraoral Periapical (IOP) radiograph is a classic radiological sign used to determine the buccolingual position of an impacted mandibular third molar. **1. Why Lingually Placed is Correct:** When a mandibular third molar is positioned **lingually**, its long axis becomes parallel to the direction of the X-ray beam (perpendicular to the film). This results in an "end-on" view of the tooth. On the radiograph, the occlusal surface appears as a dense, circular radiopacity (the "target") surrounded by the radiolucency of the follicular space (the "halo"), mimicking a **Bull's Eye**. **2. Analysis of Incorrect Options:** * **Buccally placed mandibular third molar:** While a buccal impaction also involves a horizontal shift, it typically does not produce the perfectly centered "Bull's Eye" appearance due to the increased object-to-film distance and the specific anatomy of the external oblique ridge, which often obscures the clarity compared to lingual placement. * **Inverted mandibular third molar:** This refers to a tooth positioned upside down (crown pointing towards the inferior border of the mandible). It appears as a reversed tooth structure, not a circular target. * **Distoangular impaction:** This describes the angulation of the tooth where the crown is tilted posteriorly. It is visualized as a tilted tooth on a 2D radiograph, not an end-on circular image. **3. High-Yield Facts for NEET-PG:** * **SLOB Rule (Same Lingual, Opposite Buccal):** This is the gold standard for localization. If the object moves in the same direction as the tube head, it is Lingual; if it moves in the opposite direction, it is Buccal. * **Right-Angle Technique (Miller’s Technique):** Uses two radiographs at right angles to each other (e.g., a periapical and an occlusal view) to localize objects in the third dimension. * **Clinical Pearl:** The Bull's Eye appearance is a specific application of the **"End-on" effect** in radiology, where a cylindrical or conical object appears circular when the X-ray beam passes through its long axis.
Explanation: **Explanation:** The **Anterior Maxillary Occlusal Projection** is a specialized intraoral radiographic technique used to visualize the anterior maxilla, including the incisors, the anterior portion of the nasal septum, and the hard palate. **1. Why the Correct Answer is Right:** In this projection, the patient is positioned with the occlusal plane parallel to the floor. The X-ray tube head is angled at **+65 degrees** (vertical angulation) to the film. To capture the anterior maxillary anatomy accurately and minimize distortion, the central ray is directed through the **tip of the nose** toward the center of the film packet. This specific entry point ensures that the beam passes through the apical region of the maxillary incisors. **2. Why the Incorrect Options are Wrong:** * **The tip of the chin (A):** This is the entry point for the **Mandibular Occlusal Projections** (specifically the anterior mandibular occlusal view, where the beam is angled at -55 degrees). * **The bridge of the nose (C):** This point is too superior. Directing the beam here would result in excessive overlap of the nasal bones and frontal process of the maxilla, obscuring the dental anatomy. * **The glabella (D):** This is the entry point for a **Standard Maxillary Occlusal Projection** (topographic), where the beam is angled at +65 to +75 degrees to view the entire palate, rather than just the anterior segment. **3. High-Yield Clinical Pearls for NEET-PG:** * **Vertical Angulation:** Remember **+65°** for Anterior Maxillary Occlusal and **-55°** for Anterior Mandibular Occlusal. * **Indications:** Occlusal radiographs are the "gold standard" for detecting **sialoliths** (salivary stones) in the submandibular duct and for locating **supernumerary teeth** (like mesiodens). * **Film Size:** Occlusal radiographs use **Size 4** film (the largest intraoral film).
Explanation: ***Osteoma*** - Classic skull X-ray appearance shows a **dense, well-circumscribed, homogeneous ivory-like bony protrusion**, typically on the **frontal bone** or **paranasal sinuses**. - **Benign bone tumor** with characteristic **sclerotic appearance** and **smooth, round contours** without soft tissue involvement. *Osteoblastoma* - Appears as a **mixed lytic-sclerotic lesion** with **irregular borders** and possible **expansion** of bone cortex. - Typically larger than **2 cm** and shows **heterogeneous density** rather than the homogeneous ivory appearance of osteoma. *Sinusitis* - X-ray shows **fluid levels** or **opacification** within the **paranasal sinuses**, not solid bony masses. - May demonstrate **mucosal thickening** and **air-fluid levels** but lacks the dense bony protrusion seen here. *Multiple myeloma* - Characteristic **punched-out lytic lesions** with **no sclerotic margins** throughout the skull ("raindrop skull"). - Shows **multiple round radiolucent areas** without the dense, ivory-like appearance of osteoma.
Explanation: **Explanation:** **1. Why the Correct Answer is Right:** The **Lateral view of the skull** is the gold standard conventional radiographic projection for visualizing the **sella turcica**. In this view, the sella turcica is seen in profile, allowing for the assessment of its floor, the anterior and posterior clinoid processes, and the dorsum sellae. In cases of pituitary tumors (like a prolactinoma suggested by amenorrhea and galactorrhea), a lateral X-ray may show "ballooning" of the sella, erosion of the clinoid processes, or a "double floor" appearance. **2. Why the Incorrect Options are Wrong:** * **Oblique view:** This is primarily used to visualize the optic foramina or the zygomatic arches, but it causes overlap of the sphenoid structures, making the sella difficult to interpret. * **Water’s view (Occipitomental):** This is the best view for the **maxillary sinuses** and facial fractures. The sella is obscured by the facial bones in this projection. * **Caldwell’s view (Occipitofrontal):** This is ideal for the **frontal and ethmoid sinuses** and the orbital rims. The sella turcica is projected behind the ethmoid air cells and is not seen in profile. **3. Clinical Pearls for NEET-PG:** * **Gold Standard Imaging:** While lateral X-ray is the classic anatomical answer, **Contrast-enhanced MRI** is the investigation of choice (IOC) for pituitary pathology. * **Normal Dimensions:** The normal anteroposterior diameter of the sella turcica is <15 mm, and the depth is <12 mm. * **Empty Sella Syndrome:** A condition where the sella is filled with CSF, causing the pituitary gland to flatten against the floor; it is often an incidental finding on lateral imaging. * **Prolactinoma:** The most common functional pituitary tumor, classically presenting with the triad of amenorrhea, galactorrhea, and infertility.
Explanation: **Explanation:** The detection of dental caries or dentinal destruction on a radiograph depends on the threshold of demineralization. For a lesion to become radiographically visible, there must be a significant loss of mineral content to alter the attenuation of the X-ray beam. **1. Why Option B (40 microns) is correct:** Radiographic evidence of dentinal destruction typically becomes apparent only after the lesion has progressed significantly. Studies in oral radiology indicate that approximately **40 microns** of dentinal destruction (or a 30-50% loss of calcium and phosphorus) is the minimum threshold required to produce a detectable change in radiodensity on a standard intraoral periapical radiograph (IOPA). Below this level, the surrounding sound tooth structure masks the lesion, leading to the clinical rule that "radiographs always underestimate the actual depth of the lesion." **2. Why other options are incorrect:** * **Options A (30 microns) and C (20 microns):** These values represent microscopic changes. At these stages, the mineral loss is insufficient to create a visible radiolucency against the dense background of enamel and dentin. * **Option D (200 microns):** This represents an advanced stage of destruction. While clearly visible on a radiograph, it is far beyond the *minimal* threshold of detection. **High-Yield Clinical Pearls for NEET-PG:** * **The "Iceberg" Effect:** Clinical caries is always more advanced than it appears on a radiograph. * **Demineralization Threshold:** At least **30% to 50%** of the bone or tooth mineral must be lost before it is visible on a conventional radiograph. * **Best View:** The **Bitewing radiograph** is the gold standard for detecting interproximal (Class II) caries and assessing the depth of dentinal involvement. * **Mach Band Effect:** An optical illusion often mistaken for dentinal caries; it appears as a radiolucent line at the junction of two objects of different densities (e.g., DEJ).
Explanation: ### Explanation **Correct Answer: A. Water’s View** **Water’s view (Occipitomental projection)** is the gold standard radiographic view for evaluating the **maxillary sinuses**. In this position, the patient’s chin is tilted up against the image receptor, which projects the dense petrous part of the temporal bone below the floor of the maxillary sinuses. This provides a clear, unobstructed view of the antrum, making it ideal for detecting sinusitis, air-fluid levels, and fractures of the orbital floor (blow-out fractures) or zygomatic arch. **Analysis of Incorrect Options:** * **B. Caldwell View (Occipitofrontal projection):** This view is best for visualizing the **frontal and ethmoid sinuses**. In this position, the petrous ridges are projected over the lower third of the orbits, obscuring the maxillary sinuses. * **C. Ferguson’s View:** This is a specialized view used in orthopedics to evaluate the **lumbosacral junction** (L5-S1) or to assess scoliosis. It is not used for paranasal sinus imaging. * **D. Skyline View:** This is a tangential view used to visualize the **patella** and the patellofemoral joint space. **High-Yield Clinical Pearls for NEET-PG:** * **Water’s View with Open Mouth:** This modification allows for the visualization of the **sphenoid sinus** through the open oral cavity. * **Submentovertex (SMV) View:** The preferred view for the **sphenoid sinus** and the base of the skull. * **Lateral View:** Best for assessing the **adenoids** and the anterior/posterior extent of the frontal sinuses. * **Gold Standard:** While X-rays are common screening tools, **Non-Contrast CT (NCCT) of the Paranasal Sinuses** is the investigation of choice for chronic sinusitis and preoperative planning.
Explanation: **Explanation:** The **"Floating Teeth" sign** is a classic radiological feature characterized by the extensive destruction of the alveolar bone (mandible or maxilla), causing the teeth to lose their bony support. This makes the teeth appear as if they are "floating" in space on a radiograph. **1. Why Histiocytosis is Correct:** The most common cause of this sign is **Langerhans Cell Histiocytosis (LCH)**, specifically the Eosinophilic Granuloma variant. In LCH, abnormal proliferation of Langerhans cells leads to focal, "punched-out" lytic lesions. When these lesions involve the alveolar process of the jaw, the bone surrounding the roots of the teeth is destroyed, leaving the teeth suspended only by soft tissue. **2. Analysis of Incorrect Options:** * **Metastasis:** While metastatic deposits can cause bone destruction in the jaw, they typically present as ill-defined, moth-eaten radiolucencies rather than the classic "floating teeth" appearance. * **Osteitis Fibrosa (Cystica):** Seen in hyperparathyroidism, this condition leads to generalized bone resorption and "Brown tumors." While it can cause loss of the *lamina dura* around teeth, it rarely results in the complete "floating" appearance. * **Asbestosis:** This is a restrictive lung disease caused by asbestos fiber inhalation. It involves pleural plaques and pulmonary fibrosis and has no primary radiological manifestation in the jaw or teeth. **3. Clinical Pearls for NEET-PG:** * **Differential Diagnosis for Floating Teeth:** Apart from LCH, consider **Cherubism**, **Multiple Myeloma**, **Burkitt’s Lymphoma**, and severe **Periodontitis**. * **LCH Triad (Hand-Schüller-Christian disease):** Exophthalmos, Diabetes Insipidus, and Bone lesions (often skull). * **Radiology Tip:** Look for "punched-out" lesions without a sclerotic rim in the skull—this is another high-yield LCH feature.
Radiographic Anatomy of Skull and Face
Practice Questions
Radiographic Anatomy of Spine
Practice Questions
Radiographic Anatomy of Chest
Practice Questions
Radiographic Anatomy of Abdomen
Practice Questions
Radiographic Anatomy of Extremities
Practice Questions
Cross-sectional Anatomy: Brain and Head
Practice Questions
Cross-sectional Anatomy: Neck
Practice Questions
Cross-sectional Anatomy: Thorax
Practice Questions
Cross-sectional Anatomy: Abdomen and Pelvis
Practice Questions
Vascular Anatomy
Practice Questions
Developmental Anatomy Variations
Practice Questions
Anatomic Landmarks for Interventional Procedures
Practice Questions
Get full access to all questions, explanations, and performance tracking.
Start For Free