Which projection allows for viewing gross osseous changes from a lateral aspect?
A 50-year-old male presents with fever, chills, malaise, and fatigue. Cardiac examination reveals a new holosystolic murmur radiating to the axilla. Transesophageal echocardiography is performed with the probe in the mid-esophagus, facing anteriorly. Which cardiac chamber is anatomically closest to the probe?
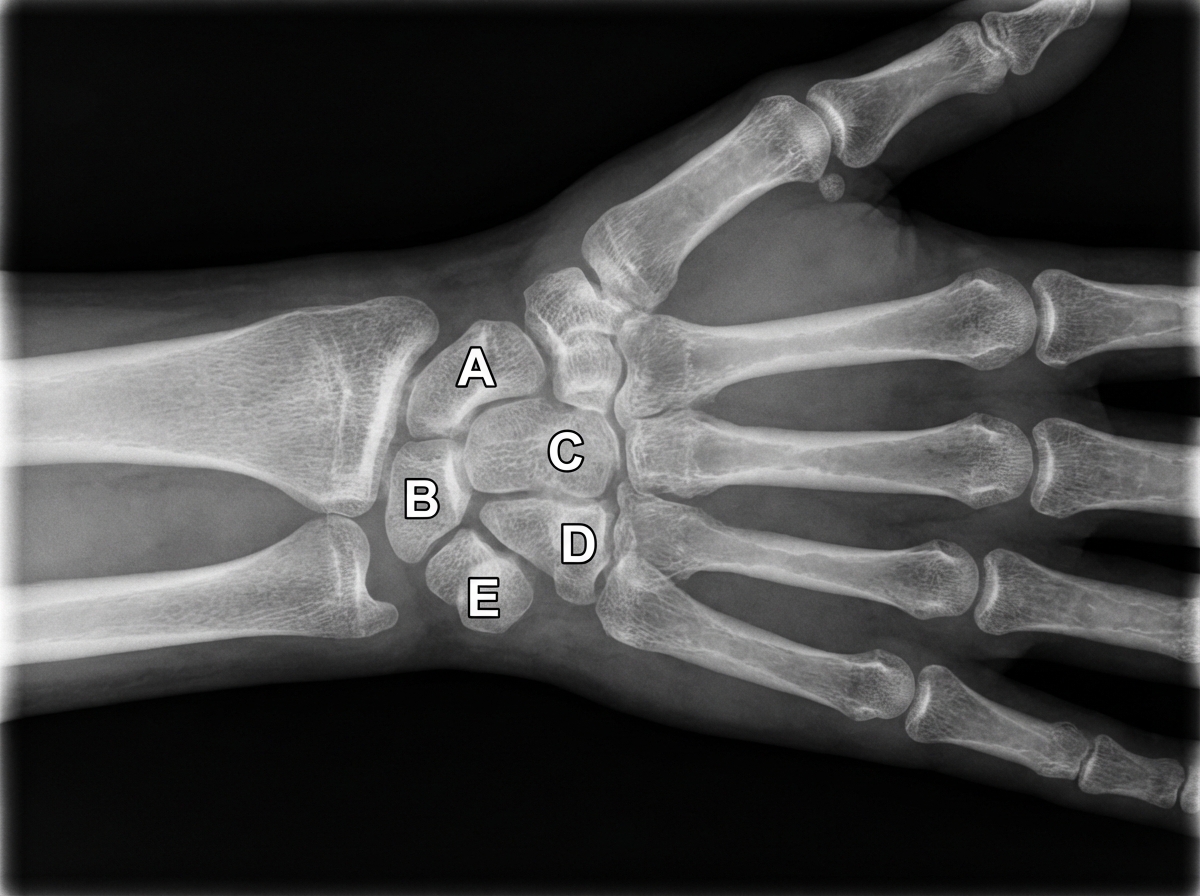
Destruction of the structure indicated by the letter E in the radiograph of the wrist and hand most likely causes weakness of which of the following muscles?

Zygoma fractures are best visualized on which radiographic view?
The "salt and pepper" appearance on an intraoral periapical radiograph is characteristic of which condition?
What are the radiological features seen in hyperparathyroidism?
What is the X-ray view used for visualizing the inferior orbital fissure?
Physiological calcification of the skull is radiologically seen in which of the following structures?
Which extraoral X-ray view is required for a fracture of the mandible?
An X-ray of the lower third of the forearm shows which of the following findings?

Explanation: **Explanation:** The **Transcranial projection** (specifically the Schuller’s method) is a lateral oblique view primarily used to visualize the **Temporomandibular Joint (TMJ)**. In this projection, the X-ray beam is angled cranio-caudally (usually 20-25 degrees) to bypass the dense petrous ridge of the temporal bone on the opposite side. This allows for a clear, **lateral aspect** view of the mandibular condyle, the articular eminence, and the glenoid fossa, making it the gold standard conventional radiograph for detecting **gross osseous changes** such as erosions, osteophytes, or fractures in the TMJ. **Analysis of Incorrect Options:** * **B. Transorbital:** This projection is designed to view the internal auditory canal and the petrous pyramids through the orbit. It is an AP (Anteroposterior) view, not a lateral one. * **C. Transpharyngeal (Parma’s Method):** While this also views the TMJ from a lateral aspect, the beam is directed through the sigmoid notch of the opposite side. It is less effective than the transcranial view for gross osseous detail because of the high degree of magnification and distortion. * **D. Translaryngeal:** This is not a standard radiographic projection for osseous structures; it typically refers to clinical procedures or specific soft tissue imaging of the larynx. **NEET-PG High-Yield Pearls:** * **Schuller’s View:** The most common transcranial view; it is excellent for evaluating the **mastoid air cells** and TMJ. * **Townes View:** The best projection for viewing the **condylar neck** and fractures of the condyle in an AP plane. * **Water’s View:** The best view for the **maxillary sinus** and orbital floor (blow-out fractures). * **Submentovertex (SMV) View:** Used to visualize the zygomatic arches ("Jug-handle view").
Explanation: **Explanation:** The correct answer is **Left atrium**. This question tests the anatomical relationship between the esophagus and the heart, which is fundamental for interpreting Transesophageal Echocardiography (TEE). **1. Why Left Atrium is Correct:** The esophagus descends in the posterior mediastinum, directly posterior to the heart. The **left atrium (LA)** is the most posterior chamber of the heart. Consequently, when a TEE probe is positioned in the mid-esophagus and directed anteriorly, it sits immediately behind the LA, separated only by the pericardium. This proximity makes TEE the "gold standard" for visualizing LA thrombi, mitral valve pathology (as suggested by the holosystolic murmur radiating to the axilla, indicating mitral regurgitation), and vegetations in infective endocarditis. **2. Why Other Options are Incorrect:** * **Right Atrium:** Located to the right and slightly anterior to the left atrium; it is not the primary posterior-most structure. * **Left Ventricle:** Positioned anteriorly and to the left of the LA. While visible on TEE, it is further from the mid-esophageal probe than the LA. * **Right Ventricle:** This is the **most anterior** chamber of the heart, situated directly behind the sternum. It is the furthest chamber from the esophageal probe. **Clinical Pearls for NEET-PG:** * **Posterior-most chamber:** Left Atrium (Enlargement can cause dysphagia—*Dysphagia Megalatriata*—or hoarseness due to recurrent laryngeal nerve compression—*Ortner’s Syndrome*). * **Anterior-most chamber:** Right Ventricle (Most commonly injured in penetrating chest trauma). * **TEE Utility:** Superior to Transthoracic Echo (TTE) for detecting vegetations < 2mm and left atrial appendage thrombi.
Explanation: ***Flexor carpi ulnaris*** - Structure E in the wrist radiograph is the **pisiform bone**, which serves as the primary insertion site for the **flexor carpi ulnaris (FCU)** muscle. - Destruction of the pisiform bone would directly compromise the **mechanical advantage** and strength of the FCU, leading to weakness in wrist flexion and ulnar deviation. *Flexor carpi radialis* - This muscle inserts at the **base of the second and third metacarpals**, not at the pisiform bone (structure E). - Destruction of the pisiform would not directly affect the **flexor carpi radialis** as it has a separate insertion site on the radial side of the wrist. *Palmaris longus* - The palmaris longus inserts into the **palmar aponeurosis** and **flexor retinaculum**, not the pisiform bone. - This muscle would remain functionally intact even with pisiform destruction, as its insertion is in the **central palm** rather than at bony landmarks. *Brachioradialis* - This muscle inserts at the **styloid process of the radius**, which is located on the lateral (radial) aspect of the forearm. - The **brachioradialis** is primarily a **forearm flexor** and would be unaffected by pisiform bone destruction on the ulnar side of the wrist.
Explanation: **Explanation:** The **Waters view (Occipitomental projection)** is the gold standard radiographic view for evaluating the midface and paranasal sinuses. In this position, the patient’s chin touches the film while the nose is kept 1–2 cm away, causing the dense petrous pyramids to be projected below the maxillary sinuses. This provides an unobstructed view of the **Zygomatic complex**, the orbital rims, and the maxillary sinuses. It is particularly useful for identifying the "Tripod fracture" (Zygomaticomaxillary complex fracture). **Analysis of Incorrect Options:** * **Submentovertex (SMV) view:** Also known as the "Jug-handle view," it is primarily used to visualize the **Zygomatic arches** in isolation. While it shows the arch, the Waters view is superior for the Zygomatic bone (body) and its articulations. * **Reduced SMV:** This is a variation used to prevent overexposure of the arches but remains specific to the arch rather than the entire zygoma. * **Reverse Towne’s projection:** This view is the investigation of choice for visualizing the **condylar and subcondylar fractures** of the mandible, as it displaces the mastoid processes to show the condylar necks. **High-Yield Clinical Pearls for NEET-PG:** * **Waters View:** Best for Maxillary sinus, Zygoma, and Orbital floor (blow-out fractures). * **Caldwell View (Occipitofrontal):** Best for Frontal and Ethmoid sinuses and the superior orbital rim. * **Towne’s View:** Best for the Occipital bone and Mandibular condyles. * **Submentovertex View:** Best for the Sphenoid sinus and Zygomatic arches.
Explanation: **Explanation:** The **"salt and pepper"** appearance on an intraoral periapical (IOPA) radiograph is a classic feature of **Thalassemia**. This appearance results from the compensatory expansion of the bone marrow due to chronic hemolytic anemia. The trabecular pattern of the jawbone undergoes remodeling, where some trabeculae are lost while others are thickened, leading to a granular, mottled radiolucency and radiopacity resembling a mixture of salt and pepper. **Analysis of Options:** * **Thalassemia (Correct):** In addition to the "salt and pepper" jaw, the skull often shows a **"Hair-on-end"** appearance (widening of the diploic space with vertical striations) due to extreme marrow hyperplasia. * **Sjogren Syndrome:** Characterized by a **"cherry blossom"** or **"snowstorm"** appearance on sialography due to punctate sialectasis, not bone trabecular changes. * **Sickle Cell Anemia:** While it also shows marrow hyperplasia, the characteristic radiographic finding in the jaws is a **"stepladder"** appearance (horizontal alignment of trabeculae between teeth). * **Condensing Osteitis:** This is a localized periapical radiopacity (focal sclerosing osteomyelitis) resulting from low-grade chronic inflammation, usually at the apex of a non-vital tooth. **High-Yield Clinical Pearls for NEET-PG:** * **Hair-on-end appearance:** Seen in Thalassemia, Sickle Cell Anemia, and Hereditary Spherocytosis. * **Ground glass appearance:** Characteristic of Fibrous Dysplasia. * **Cotton wool appearance:** Characteristic of Paget’s disease (late stage). * **Sunburst appearance:** Characteristic of Osteosarcoma. * **Thalassemia Facies:** "Chipmunk facies" due to maxillary overgrowth and malocclusion.
Explanation: Hyperparathyroidism (HPT) is characterized by excessive secretion of Parathyroid Hormone (PTH), which stimulates osteoclastic activity, leading to generalized bone resorption. The radiological features are a direct manifestation of this increased bone turnover. **Explanation of Features:** 1. **Loss of Lamina Dura (Option A):** This is one of the **earliest** radiographic signs of HPT. The lamina dura is the thin layer of compact bone lining the tooth socket. Its resorption makes the teeth appear to "float" in the alveolar bone. 2. **Osteitis Fibrosa Cystica (Option B):** In chronic, severe HPT, bone is replaced by fibrous tissue. This leads to the formation of **Brown Tumors** (hemosiderin-laden cysts), which appear as well-defined, expansile lytic lesions. 3. **Erosion of the Skull (Option C):** PTH causes resorption of the trabecular bone in the cranium. This results in a characteristic "mottled" or punctate appearance known as the **"Salt and Pepper Skull."** This involves the loss of definition of the inner and outer tables (dura mater interface). **Why "All of the Above" is Correct:** All three features are classic hallmarks of the skeletal involvement in hyperparathyroidism. While subperiosteal resorption of the radial aspect of the middle phalanges is the most specific sign, the options provided represent the systemic nature of the disease across the dental, long bone, and cranial anatomy. **High-Yield Clinical Pearls for NEET-PG:** * **Most Specific Sign:** Subperiosteal bone resorption (especially the radial aspect of the 2nd and 3rd middle phalanges). * **Rugger-Jersey Spine:** Characterized by bands of increased bone density at the upper and lower endplates of vertebrae (common in secondary HPT/Renal Osteodystrophy). * **Soft Tissue Calcification:** Nephrocalcinosis and chondrocalcinosis are frequently associated findings. * **Brown Tumors:** These are NOT true neoplasms; they are reactive lesions that may regress after the parathyroidectomy.
Explanation: ### Explanation **Correct Answer: D. Towne’s view** **Why Towne’s view is correct:** Towne’s view (Anteroposterior axial projection) is primarily used to visualize the occipital bone and the posterior cranial fossa. However, in maxillofacial radiology, it is the specific projection used to visualize the **inferior orbital fissure (IOF)**. By tilting the tube caudally (usually 30°), the facial structures are projected in a way that the IOF is seen clearly within the lower part of the orbit, free from the overlap of the petrous temporal bone. It is also the best view for the **condylar process of the mandible**. **Why other options are incorrect:** * **Water’s view (Occipitomental):** This is the gold standard for **maxillary sinuses**. It provides an excellent view of the orbital floor and the zygomatic arch (Tripod fractures), but the IOF is usually obscured. * **Caldwell’s view (Occipitofrontal):** This view is best for the **frontal and ethmoid sinuses**. It also clearly shows the superior orbital fissure (SOF) and the orbital rims, but not the inferior fissure. * **Lateral skull view:** This is used to visualize the sella turcica, sphenoid sinus, and facial profiles. The bilateral orbital structures are superimposed, making it impossible to isolate the inferior orbital fissure. **High-Yield Clinical Pearls for NEET-PG:** * **Superior Orbital Fissure:** Best seen in **Caldwell’s view**. * **Optic Foramen:** Best seen in **Rhese view** (Parieto-orbital oblique). * **Zygomatic Arch:** Best seen in **Submentovertex (SMV) view** (Jug-handle view). * **Blow-out Fracture:** Initial screening is done via **Water’s view** (look for the "Teardrop sign"). * **Towne’s View Tip:** Remember it for two "C"s: **C**ondyle and **C**ranial base (occiput).
Explanation: **Explanation:** Physiological calcifications are intracranial calcifications that occur due to aging or metabolic changes without an underlying disease process. They are common incidental findings on CT scans and skull X-rays. **1. Why Option C is Correct:** The most common sites for physiological calcification include: * **Pineal Gland:** Seen in about 50-70% of adults. A shift of a calcified pineal gland (>2mm) on a skull X-ray can indicate a space-occupying lesion. * **Choroid Plexus:** Usually occurs in the atrial portion of the lateral ventricles. It is often bilateral and symmetric. * **Basal Ganglia:** Specifically the globus pallidus. While often associated with Fahr’s syndrome (pathological), minor punctate calcification in the basal ganglia is considered physiological in elderly patients (usually >40 years). * **Other sites:** Habenular commissure, Dura mater (falx cerebri, tentorium cerebelli), and the Petroclinoid ligaments. **2. Why Other Options are Incorrect:** * **Options A & C:** These are identical in your list; both correctly identify the triad of Pineal, Choroid, and Basal Ganglia. * **Option B:** The **Red Nucleus** does not undergo physiological calcification. Calcification in the brainstem is rare and usually pathological. * **Option D:** While Pineal and Choroid are correct, this option is incomplete as Basal Ganglia is also a recognized physiological site. **High-Yield Clinical Pearls for NEET-PG:** * **Pineal Gland Size:** A calcified pineal gland larger than **1 cm** in diameter may suggest a pineal neoplasm (e.g., Pineocytoma). * **Age Factor:** Calcification of the pineal gland in a child **under 6 years** of age is considered suspicious for a tumor and requires further investigation. * **Habenular Calcification:** It is located just anterior to the pineal gland and has a characteristic **"C-shape"** appearance.
Explanation: ### Explanation **Correct Answer: B. Posterioanterior (PA) View** The **Posterioanterior (PA) view of the mandible** is the standard extraoral projection used to evaluate fractures of the mandibular body, ramus, and symphysis. In this view, the patient’s forehead and nose touch the film, which minimizes magnification and provides a clear visualization of the mediolateral displacement of fracture fragments. It is particularly useful for detecting fractures of the **mandibular ramus and angle**. **Analysis of Incorrect Options:** * **A. Submentovertex (SMV):** Also known as the "Jug handle view," it is primarily used to visualize the **zygomatic arches**, sphenoid sinus, and the base of the skull. It is not the primary choice for mandibular body fractures. * **C. Water’s View (Occipitomental):** This is the gold standard for visualizing the **maxillary sinuses** and mid-facial fractures (Le Fort fractures, zygomatic complex). The mandible is often superimposed or out of focus in this projection. * **D. Towne’s View (Reverse Towne’s):** This view is specifically used to visualize the **mandibular condyles** and the condylar neck. While it images part of the mandible, the PA view is the more comprehensive general survey for the mandibular body and ramus. **High-Yield Clinical Pearls for NEET-PG:** * **Gold Standard for Mandible:** While the PA view is a standard extraoral film, the **Orthopantomogram (OPG)** is the most common initial screening tool for mandibular fractures. * **Condylar Fractures:** If a fracture of the condyle is suspected, **Towne’s view** is the specific investigation of choice. * **Symphysis/Parasymphysis:** For fractures in the midline of the mandible, a **Mandibular Occlusal view** is often added to the PA view for better detail. * **Triple Fracture:** Always look for multiple fractures in the mandible (the "Pretzel logic"); a blow to one side often causes a fracture on the contralateral side (e.g., symphysis fracture with contralateral condylar fracture).
Explanation: ***Styloid process of radius lies distal to the styloid process of ulna*** - On a normal **anteroposterior (AP) X-ray** of the distal forearm, the **radial styloid process** extends approximately **1-1.5 cm more distally** than the ulnar styloid process. - This anatomical relationship is crucial for assessing **radial shortening** in fractures like **Colles' fracture**, where loss of this relationship indicates malunion. *Styloid process of radius and ulna at the same level* - This finding would indicate **radial shortening**, commonly seen after **distal radius fractures** with inadequate reduction. - Normal anatomy shows the **radial styloid** extending more distally, so equal levels suggest pathology. *Styloid process of ulna lies distal to the radius styloid process* - This reversed relationship is **anatomically impossible** in normal circumstances and would suggest severe **displacement** or **malunion**. - Such findings would indicate significant **trauma** with altered bone alignment requiring surgical intervention. *Styloid process of radius and ulna lies proximally* - This description is **anatomically vague** and doesn't specify the relative positions of the two styloid processes. - The styloid processes are **distal anatomical landmarks** at the wrist level, not proximal structures in the forearm.
Radiographic Anatomy of Skull and Face
Practice Questions
Radiographic Anatomy of Spine
Practice Questions
Radiographic Anatomy of Chest
Practice Questions
Radiographic Anatomy of Abdomen
Practice Questions
Radiographic Anatomy of Extremities
Practice Questions
Cross-sectional Anatomy: Brain and Head
Practice Questions
Cross-sectional Anatomy: Neck
Practice Questions
Cross-sectional Anatomy: Thorax
Practice Questions
Cross-sectional Anatomy: Abdomen and Pelvis
Practice Questions
Vascular Anatomy
Practice Questions
Developmental Anatomy Variations
Practice Questions
Anatomic Landmarks for Interventional Procedures
Practice Questions
Get full access to all questions, explanations, and performance tracking.
Start For Free