What is the most specific but late radiographic feature of scurvy?
What are dark radiolucent shadows appearing at the neck of teeth, most obvious on the mesial and distal aspect?
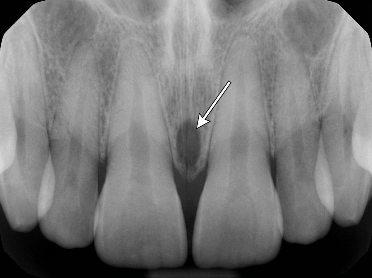
The structure marked with arrows is:

Waters view is best used for visualization of which sinus?
All of the following materials are radiopaque in nature except?
If the floor of the anatomic snuffbox and origin of the abductor pollicis brevis are damaged, which of the following bones is most likely to be involved?
On a routine radiographic exam, a well-defined radiolucent lesion was seen in the body of the mandible of a 17-year-old boy. At the time of operation, it proved to be an empty cavity. This is a(an) ____?
Which substance is most radiodense?
Which anatomical structure is best visualized on a periorbital view X-ray?
A "crew cut" appearance on skull X-ray is typically seen in which of the following conditions?
Explanation: **Explanation:** Scurvy (Vitamin C deficiency) leads to defective collagen synthesis, resulting in impaired osteoid formation. While bone resorption continues, the mineralization of the zone of provisional calcification remains intact, leading to characteristic radiographic signs. **Why Option D is Correct:** The **Trummerfeld zone** (Scorbutic zone) is a radiolucent band located in the metaphysis, just proximal to the zone of provisional calcification. It represents a "zone of debris" where weakened, fractured bone trabeculae have failed to form. It is considered the **most specific** radiographic feature of scurvy, but it appears **late** in the disease process as the structural integrity of the metaphysis collapses. **Analysis of Incorrect Options:** * **A. Ground glass appearance:** This refers to the generalized osteopenia of the shaft due to the loss of trabecular detail. It is an early, non-specific sign. * **B. Pencil outlining of the epiphysis (Wimberger sign):** This is a thin, sharp sclerotic margin surrounding a radiolucent epiphysis. While characteristic, it is not as specific as the Trummerfeld zone. * **C. White line of Frankel:** This is a dense, sclerotic line at the metaphysis representing the thickened zone of provisional calcification. It is one of the earliest signs, not a late one. **High-Yield Clinical Pearls for NEET-PG:** * **Pelkan Spur:** Lateral bony protrusions at the metaphysis caused by healing subperiosteal hemorrhages. * **Subperiosteal Hemorrhage:** The most characteristic clinical feature, though not visible on X-ray until healing/calcification begins. * **Key Mnemonic:** Scurvy involves "White lines" (Frankel) and "Black lines" (Trummerfeld). * **Differential:** Unlike Rickets (where the provisional zone of calcification is lost), in Scurvy, it is **widened and dense**.
Explanation: **Explanation:** The correct answer is **Radiation Caries**. This condition is a common complication in patients undergoing radiotherapy for head and neck cancers. **1. Why Radiation Caries is correct:** Radiation caries typically manifests as **dark radiolucent shadows** at the **cervical (neck) region** of the teeth. This occurs due to two main factors: * **Xerostomia:** Radiation damages the salivary glands, leading to a drastic reduction in saliva flow and its buffering capacity. * **Direct Radiation Effect:** It can alter the organic matrix of the tooth, making it more susceptible to decalcification. The lesions characteristically begin on the **mesial and distal surfaces** at the cemento-enamel junction (CEJ) and can eventually lead to the amputation of the crown. **2. Why other options are incorrect:** * **Rampant Caries:** This refers to a sudden, widespread outbreak of rapidly progressing caries affecting multiple teeth, including surfaces usually immune to decay. While it looks similar, it is not specifically localized to the neck of the teeth in the context of radiation history. * **Early Childhood Caries (ECC):** This is specific to infants and young children, often involving the maxillary incisors due to prolonged bottle feeding (nursing bottle syndrome). It does not typically present as isolated cervical radiolucencies in an adult radiological context. **3. NEET-PG High-Yield Pearls:** * **Cervical Burnout:** This is an important **radiographic artifact** that mimics radiation caries. It appears as a radiolucent band at the neck of the tooth due to the anatomical configuration (lesser density of the tooth between the enamel cap and the alveolar bone). * **Distinguishing Feature:** Unlike cervical burnout, true radiation caries will show a loss of tooth surface integrity and clinical cavitation. * **Prevention:** Use of topical fluoride gels and meticulous oral hygiene is mandatory for post-radiation patients.
Explanation: ***Incisive foramen*** - Appears as a **midline radiolucency** between the maxillary central incisors on periapical or occlusal radiographs - Represents the **opening** of the incisive canal at the oral surface of the hard palate, allowing passage of **nasopalatine vessels and nerves** *Empty trabeculae* - Refers to **trabecular bone spaces** that appear as small radiolucencies throughout bone tissue - These are **scattered** throughout the maxilla and mandible, not localized as a single midline structure *Incisive canal* - Represents the **entire bony canal** extending from the nasal floor to the oral cavity - Appears as a **vertical radiolucent line** on lateral views, not the circular opening seen in this case *Midline suture* - Appears as a **thin vertical radiolucent line** between the maxillary bones - Extends **superiorly** from the alveolar crest, different from the rounded foramen appearance
Explanation: **Explanation:** The **Waters view** (also known as the Occipitomental view) is the gold standard radiographic projection for evaluating the **Maxillary sinus**. In this position, the patient’s chin is tilted up against the film, placing the petrous part of the temporal bone below the floor of the maxillary sinuses. This prevents bony overlap and provides a clear, unobstructed view of the maxillary antra, making it ideal for detecting sinusitis, air-fluid levels, or fractures of the orbital floor (blow-out fractures). **Analysis of Incorrect Options:** * **Frontal Sinus:** Best visualized using the **Caldwell view** (Occipitofrontal view). In this view, the frontal sinus is projected above the frontonasal suture without superimposition. * **Ethmoid Sinus:** While partially visible on a Caldwell view, the ethmoid air cells are best evaluated via **CT scans** (gold standard). Radiographically, the Caldwell view provides the best screening for anterior ethmoids. * **Sphenoid Sinus:** Best visualized using the **Lateral view** or an **Open-mouth Waters view** (where the sphenoid sinus is projected through the open oral cavity). **Clinical Pearls for NEET-PG:** * **Caldwell View:** Petrous ridge falls in the lower 1/3rd of the orbit. * **Waters View:** Petrous ridge falls just below the maxillary sinus. * **Submentovertex (SMV) View:** Best for the skull base, sphenoid sinus, and zygomatic arches. * **Gold Standard:** For all Paranasal Sinuses (PNS) pathology, **Non-Contrast CT (NCCT)** is now the investigation of choice.
Explanation: In dental radiology, the appearance of a material on an X-ray depends on its **atomic number** and **density**. Materials that absorb more X-ray photons appear white (**radiopaque**), while those that allow photons to pass through appear dark (**radiolucent**). ### Why Composite is the Correct Answer **Composite resins** are primarily composed of an organic polymer matrix (like BIS-GMA) and inorganic fillers. While modern composites often incorporate heavy metal fillers (like barium, strontium, or zirconium) to make them radiopaque, **older or traditional formulations** were inherently radiolucent. In the context of this classic board question, composite is considered the "least radiopaque" or potentially radiolucent compared to metallic or high-density cement options. This can sometimes make it difficult to distinguish from secondary caries on a radiograph. ### Explanation of Incorrect Options * **Amalgam (D):** This is a metallic alloy containing silver, tin, and mercury. Due to its high atomic number, it is the **most radiopaque** dental material, appearing stark white. * **Gutta-percha (C):** Used in root canal obturation, it contains barium sulfate as a filler specifically to ensure it is radiopaque so clinicians can verify the quality of the root filling. * **Zinc Phosphate (A):** This is a traditional dental base/cement. The presence of zinc (a heavy metal) makes it significantly more radiopaque than dentin, allowing it to be clearly visualized under crowns or fillings. ### NEET-PG High-Yield Pearls * **Radiopacity Hierarchy:** Amalgam > Gold > Gutta-percha > Zinc Phosphate > Composite > Dentin > Enamel. * **Clinical Significance:** If a composite is too radiolucent, it can mimic **secondary caries** (which appear radiolucent due to demineralization). * **Key Additives:** Barium, Strontium, and Zirconium are added to modern dental materials specifically to increase their radiopacity for diagnostic clarity.
Explanation: The question tests your knowledge of carpal bone anatomy and its clinical correlations. The correct answer is **B (Scaphoid)**. ### **Anatomical Rationale** The **Scaphoid** is the most lateral bone of the proximal carpal row and plays a dual role in the landmarks mentioned: 1. **Floor of the Anatomic Snuffbox:** The snuffbox is bounded medially by the extensor pollicis longus and laterally by the extensor pollicis brevis and abductor pollicis longus. The scaphoid (along with the trapezium) forms the floor. 2. **Muscle Origin:** The **Abductor Pollicis Brevis (APB)**, a thenar muscle, originates primarily from the flexor retinaculum and the tubercles of the **scaphoid** and **trapezium**. ### **Analysis of Options** * **Option A (Lunate):** Located in the center of the proximal row. It is the most commonly dislocated carpal bone but does not form the floor of the snuffbox. * **Option C (Triquetrum):** Located on the medial (ulnar) side of the wrist; it does not relate to the thumb musculature or the snuffbox. * **Option D (Pisiform):** A sesamoid bone in the tendon of the flexor carpi ulnaris. It serves as an attachment for the abductor digiti minimi, not the thumb muscles. ### **NEET-PG High-Yield Pearls** * **Scaphoid Fractures:** The most common carpal bone fracture. Tenderness in the anatomic snuffbox is pathognomonic. * **Blood Supply:** The scaphoid has a retrograde blood supply (distal to proximal). Fractures at the waist often lead to **Avascular Necrosis (AVN)** of the proximal pole. * **Radiology:** If a fracture is suspected but X-rays are negative, a "Scaphoid view" (ulnar deviation) or MRI is indicated.
Explanation: ### Explanation The correct answer is **Traumatic Bone Cyst (TBC)**, also known as a Simple Bone Cyst or Solitary Bone Cyst. **1. Why Traumatic Bone Cyst is Correct:** The hallmark of a Traumatic Bone Cyst is that it is a **"pseudocyst"** (lacking an epithelial lining) which, upon surgical exploration, is found to be an **empty, air-filled cavity** or contains only a small amount of serosanguinous fluid. Radiographically, it appears as a well-defined radiolucency, typically in the mandible of young patients (second decade). A classic diagnostic feature is its **scalloped border** extending between the roots of the teeth without causing root resorption or tooth displacement. **2. Why the Other Options are Incorrect:** * **A. Osteoporotic bone marrow:** This refers to focal areas of hematopoietic marrow that appear radiolucent but contain fatty or cellular marrow, not an empty cavity. * **B. Aneurysmal bone cyst (ABC):** Unlike TBC, an ABC is a reactive lesion filled with **blood-filled sinusoidal spaces**. It typically causes significant cortical expansion and "blow-out" appearances, which are absent here. * **C. Odontogenic keratocyst (OKC):** An OKC is a true cyst with a distinct **keratinized epithelial lining**. It is filled with thick, "cheesy" keratin debris, not empty space, and often shows aggressive growth. **3. High-Yield Clinical Pearls for NEET-PG:** * **Age/Site:** Most common in the 10–20 age group; predominantly involves the posterior mandible. * **Pathogenesis:** Though the exact cause is unknown, the "Hemorrhage-clot-trauma theory" suggests it results from intramedullary hemorrhage that fails to organize and instead liquefies. * **Radiology:** Look for the **"scalloping"** effect between teeth. * **Vitality:** Teeth associated with a TBC are almost always **vital**. * **Treatment:** Surgical "curettage" of the bony walls induces bleeding, which leads to clot formation and subsequent bone healing.
Explanation: In radiology, **radiodensity** refers to the ability of a substance to attenuate (block) X-rays. The more X-rays a substance absorbs, the whiter it appears on a radiograph. This property is determined by the substance’s physical density and its effective atomic number. **Why Bone is the Correct Answer:** Bone is the most radiodense naturally occurring substance in the human body. It contains high concentrations of calcium and phosphorus, which have high atomic numbers. These elements effectively absorb X-ray photons, preventing them from reaching the film/detector, thus appearing **radiopaque (white)**. On the Hounsfield Scale (CT scan), bone has the highest values, typically ranging from **+400 to +1000 HU**. **Analysis of Incorrect Options:** * **Fluid (A):** Water and simple fluids have a neutral density. On CT, water is the baseline at **0 HU**. It is significantly less dense than bone. * **Soft Tissue (B):** This category includes muscles and organs. While denser than fat or air, soft tissue is composed primarily of water and organic molecules, making it much less radiodense than mineralized bone (**+40 to +80 HU**). * **Brain (C):** Brain parenchyma is a specialized soft tissue. Gray matter (~35-40 HU) and white matter (~25-30 HU) are slightly less dense than general muscle and far less dense than bone. **High-Yield Clinical Pearls for NEET-PG:** * **The Five Basic Densities (from least to most dense):** Air (Black) → Fat → Fluid/Soft Tissue → Bone/Calcium → Metal (Whitest). * **Hounsfield Units (HU) to Remember:** * Air: -1000 * Fat: -50 to -100 * Water: 0 * Acute Blood: +60 to +80 * Bone: +400 to +1000 * **Contrast Media:** Substances like Barium or Iodine are more radiodense than bone, which is why they are used to opacify lumens and vessels.
Explanation: **Explanation:** The **Internal Auditory Meatus (IAM)** is best visualized using the **Periorbital view** (also known as the **Transorbital view**). In this radiographic projection, the X-ray beam is directed straight through the orbits. Because the orbits provide a "radiolucent window" of air and thin bone, the dense petrous pyramids of the temporal bone—which house the IAM—can be projected clearly within the orbital shadows without overlapping dense cranial structures. This view is classically used to compare the symmetry of both IAMs, looking for widening which may indicate an acoustic neuroma. **Analysis of Incorrect Options:** * **A. Orbital Fissure:** While located within the orbit, the superior and inferior orbital fissures are better evaluated using the **Caldwell’s view** (20° PA view) or dedicated CT imaging. * **B. Pterion:** This is the junction of the frontal, parietal, temporal, and sphenoid bones on the lateral aspect of the skull. It is best visualized on a **Lateral view** of the skull. * **C. Zygoma:** The zygomatic arch and malar bones are best visualized using the **Submentovertex (SMV) view** (Jug-handle view) or the **Waters’ view**. **High-Yield Clinical Pearls for NEET-PG:** * **Stenvers’ View:** Best for the petrous ridge, mastoid process, and internal ear. * **Towne’s View:** Best for the occipital bone and for visualizing the internal auditory canals from a different angle. * **Waters’ View:** The gold standard for **Maxillary sinuses**. * **Caldwell’s View:** Best for **Frontal and Ethmoid sinuses**.
Explanation: **Explanation:** The **"crew cut" appearance** (also known as the "hair-on-end" appearance) on a skull X-ray is a classic radiological sign of **extramedullary hematopoiesis**. In chronic hemolytic anemias like **Thalassemia Major**, the body attempts to compensate for severe, chronic anemia by expanding the bone marrow. This leads to the widening of the diploic space and the thinning of the outer table of the skull. The characteristic vertical striations seen on X-ray are actually new bone trabeculae forming perpendicular to the skull vault, resembling a short haircut. **Analysis of Options:** * **Thalassemia (Correct):** This is the most common cause of the "crew cut" appearance due to intense marrow hyperplasia. It is also frequently seen in **Sickle Cell Anemia**. * **Megaloblastic Anemia:** While this involves ineffective erythropoiesis, it does not typically cause the massive marrow expansion required to produce vertical trabeculations in the skull. * **Autoimmune Hemolytic Anemia (AIHA):** AIHA is usually an acquired, shorter-term condition. The "hair-on-end" sign requires chronic, congenital marrow stimulation starting from childhood. * **Ultrasonography:** This is a diagnostic modality, not a clinical condition. It is irrelevant to the pathology described. **NEET-PG High-Yield Pearls:** 1. **Other Causes:** Besides Thalassemia and Sickle Cell, this sign can rarely be seen in Hereditary Spherocytosis and Iron Deficiency Anemia (in severe, prolonged cases). 2. **Facial Changes:** Marrow expansion in Thalassemia also involves the maxillary bones, leading to **"Chipmunk Facies"** (prominent cheekbones and malocclusion). 3. **Sparing:** Note that the **occipital bone** is often spared in Thalassemia because it contains less red marrow compared to the frontal and parietal bones.
Radiographic Anatomy of Skull and Face
Practice Questions
Radiographic Anatomy of Spine
Practice Questions
Radiographic Anatomy of Chest
Practice Questions
Radiographic Anatomy of Abdomen
Practice Questions
Radiographic Anatomy of Extremities
Practice Questions
Cross-sectional Anatomy: Brain and Head
Practice Questions
Cross-sectional Anatomy: Neck
Practice Questions
Cross-sectional Anatomy: Thorax
Practice Questions
Cross-sectional Anatomy: Abdomen and Pelvis
Practice Questions
Vascular Anatomy
Practice Questions
Developmental Anatomy Variations
Practice Questions
Anatomic Landmarks for Interventional Procedures
Practice Questions
Get full access to all questions, explanations, and performance tracking.
Start For Free