Submentovertex projection is useful in viewing which of the following?
In a PA view of an X-ray chest, which of the following does NOT form the right border of the heart?
Which of the following structures does not form the right border of the heart on an X-ray?
What is the best radiographic view for visualizing the sella turcica?
Which of the following interpretations cannot be associated with the given radiograph?

What is the other name for the Gardner's view?
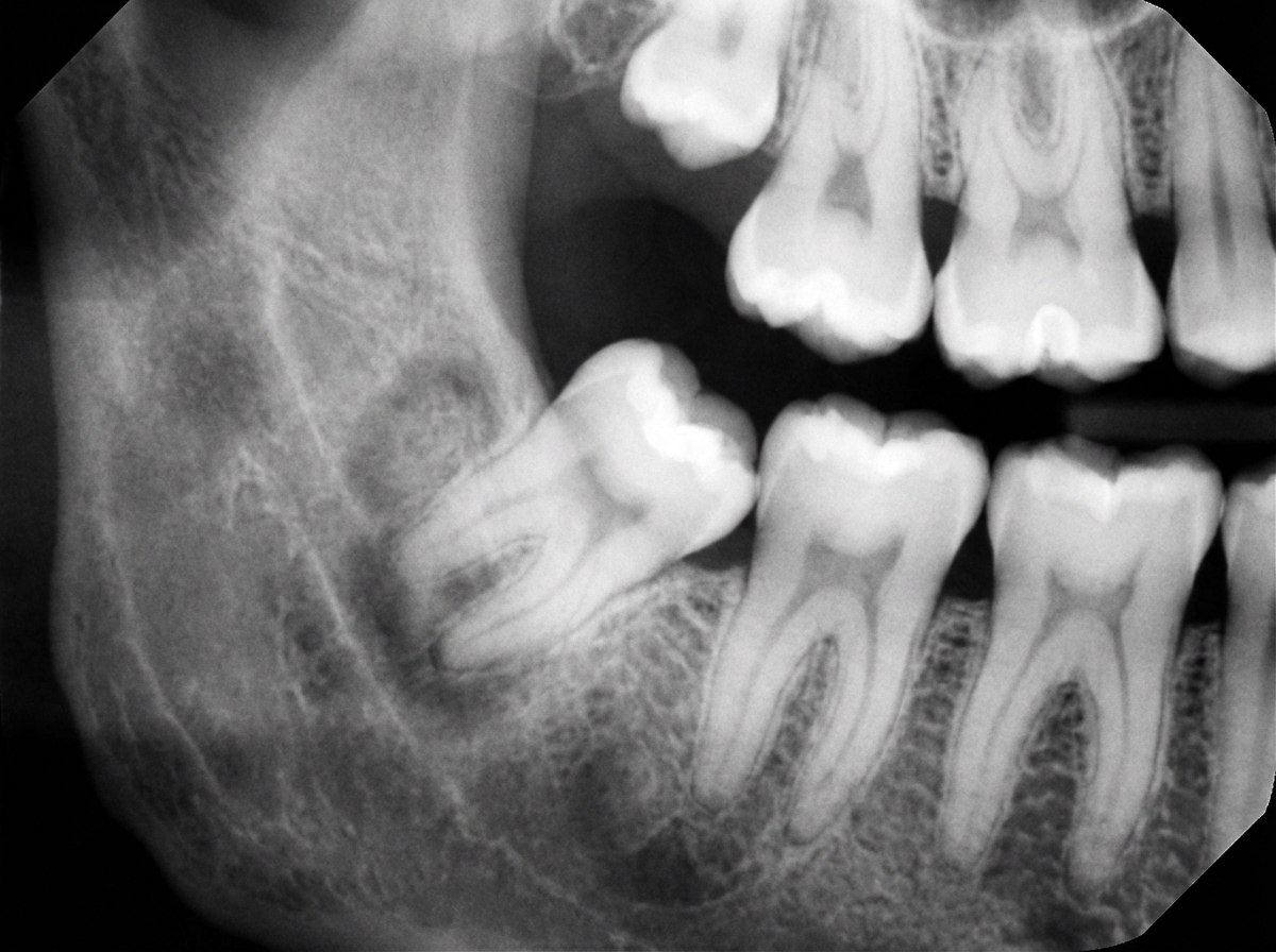
A radiolucency associated with a completely formed, unerupted tooth is due to what?
A lateral skull view is used to assess which characteristic of palatal tori?
A ghost-like shadow is typically seen in which radiological examination?
Which of the following is the best projection for viewing the coronoid process?
Explanation: The **Submentovertex (SMV) projection**, also known as the **Jug-handle view** or **Base view**, is a specialized radiographic technique where the X-ray beam enters from below the chin (submental) and exits through the vertex of the skull. ### **Why "All of the Above" is Correct:** The SMV projection provides a unique axial perspective of the craniofacial structures that are often obscured in standard frontal or lateral views: 1. **Fractures of the Zygomatic Arch:** This is the "gold standard" conventional view for the zygomatic arches. By reducing the exposure (underexposure), the arches stand out like "jug handles," making it easy to identify depressed fractures. 2. **Fractures of the Base of Skull:** It provides an excellent view of the **sphenoid sinus**, ethmoid air cells, and the foramina of the skull base (specifically Foramen Ovale, Foramen Spinosum, and Foramen Lacerum). 3. **Body of Mandible:** It demonstrates the curvature and integrity of the mandibular body and symphysis from an inferior-superior aspect, useful for detecting medial/lateral displacements. ### **Clinical Pearls for NEET-PG:** * **Contraindication:** Never perform an SMV view in patients with suspected **cervical spine injury**, as the required extreme neck hyperextension can be fatal. * **Waters' View (Occipitomental):** Best for Maxillary sinuses and orbital floor (blow-out fractures). * **Caldwell View (Occipitofrontal):** Best for Frontal and Ethmoid sinuses. * **Towne’s View:** Best for the Occipital bone and Condylar processes of the mandible. * **Key Landmark:** In a well-positioned SMV view, the mandibular symphysis should be superimposed over the frontal bone.
Explanation: In a standard PA (Postero-Anterior) view of a chest X-ray, the cardiac silhouette is formed by specific anatomical structures. Understanding these borders is crucial for identifying chamber enlargement. ### **Why Option D is Correct** The **Left Atrial Appendage (LAA)** is located on the **left border** of the heart, situated between the pulmonary artery segment and the left ventricle. Under normal conditions, the LAA is flat or slightly concave; however, it becomes prominent ("straightening of the left heart border") in conditions like mitral stenosis. It does not contribute to the right border. ### **Analysis of Incorrect Options (Right Border Components)** The right heart border is formed by three main structures (from top to bottom): * **A. Superior Vena Cava (SVC):** Forms the straight upper part of the right border. * **C. Right Atrium (RA):** Forms the prominent lower convex segment of the right border. * **B. Inferior Vena Cava (IVC):** May be seen as a small vertical shadow at the cardiophrenic angle, especially during deep inspiration. ### **High-Yield Clinical Pearls for NEET-PG** * **Left Border Components:** Aortic arch (knuckle), Pulmonary artery, Left atrial appendage, and Left ventricle. * **Right Ventricle (RV):** The RV is the most anterior chamber and **does not form any border** on a PA view; it forms the anterior border on a Lateral view. * **Left Atrium (LA):** The LA is the most posterior chamber and does not form a border on the PA view unless it is pathologically enlarged (forming a "double atrial shadow" on the right). * **Water Bottle Heart:** Characteristic of massive pericardial effusion. * **Boot-shaped Heart (Coeur en Sabot):** Seen in Tetralogy of Fallot due to RV hypertrophy.
Explanation: In a standard Postero-Anterior (PA) view of a chest X-ray, the cardiac silhouette is formed by specific chambers and great vessels. Understanding these borders is a high-yield topic for NEET-PG. ### **Why the Arch of Aorta is the Correct Answer** The **Arch of Aorta** (specifically the "aortic knuckle") forms the **upper part of the left border** of the heart, not the right. It appears as a rounded projection just above the pulmonary trunk on the left side of the mediastinum. ### **Analysis of Incorrect Options (Right Border Components)** The right border of the heart is formed by three main structures (from top to bottom): * **Superior Vena Cava (SVC):** Forms the upper straight part of the right border. * **Right Atrium:** Forms the main convex part of the right border. This is the most prominent component. * **Inferior Vena Cava (IVC):** May form a small, short vertical segment at the lowest part of the right border, just before it meets the diaphragm (the cardiophrenic angle). ### **High-Yield Clinical Pearls for NEET-PG** * **Left Border Formation:** Formed by the Arch of Aorta (Aortic knuckle), Pulmonary Trunk, Left Auricle, and the **Left Ventricle** (which forms the apex). * **Right Ventricle:** It is the most anterior chamber and **does not form any border** on a PA view; it forms the anterior surface (sternocostal surface). * **Left Atrium:** It is the most posterior chamber and does not form a border on a normal PA view. If enlarged (e.g., Mitral Stenosis), it may create a "double atrial shadow" on the right side. * **Water Bottle Heart:** Characteristic of massive pericardial effusion, where both borders are displaced laterally.
Explanation: The **sella turcica** is a saddle-shaped depression in the sphenoid bone that houses the pituitary gland. Understanding its radiographic anatomy is crucial for identifying pituitary pathologies and craniofacial abnormalities. ### Why the Lateral View is Correct The **Lateral View** of the skull is the gold standard for visualizing the sella turcica. In this projection, the X-ray beam is perpendicular to the sagittal plane, allowing for a clear profile view of the **tuberculum sellae** (anterior boundary), the **sella floor**, and the **dorsum sellae** (posterior boundary). This view is essential for measuring the dimensions of the sella and detecting signs of "ballooning" or erosion caused by pituitary macroadenomas. ### Why Other Options are Incorrect * **Anteroposterior (AP) View:** The dense structures of the frontal bone and the occiput overlap with the sphenoid bone, making it impossible to visualize the contours of the sella turcica. * **Oblique View:** This is primarily used for visualizing the optic foramina or the zygomatic arches; it distorts the midline anatomy of the skull base. * **Open Mouth View (Waters’ or Odontoid):** This view is designed to visualize the dens (odontoid process) of the C2 vertebra or the maxillary sinuses. It does not provide a profile of the sphenoid anatomy. ### High-Yield Clinical Pearls for NEET-PG * **Empty Sella Syndrome:** Characterized by an enlarged sella turcica on X-ray, but MRI reveals it is filled with CSF rather than a tumor. * **Double Floor Sign:** On a lateral X-ray, the appearance of two sellar floors suggests asymmetric erosion, often due to a pituitary adenoma. * **J-shaped Sella:** Associated with conditions like Hurler syndrome, achondroplasia, or optic chiasm gliomas. * **Gold Standard:** While lateral X-ray is the best *radiographic* view, **MRI** is the definitive investigation of choice for the pituitary gland.
Explanation: ***Periapical cemental dysplasia*** - This is a **fibro-osseous lesion** that occurs at the **apex of vital, normally erupted teeth**, typically mandibular incisors and canines, not impacted molars. - It involves **vital teeth with normal pulp** and has no association with **impacted third molars** or their complications. *Recurrent pericoronitis* - Common complication of **impacted third molars** where the **operculum** (gum flap) becomes inflamed and infected. - Radiographically shows **impacted tooth** with possible **bone loss** around the crown area and **radiolucent areas** indicating infection. *Peripheral sclerosing osteitis* - Also known as **condensing osteitis**, it appears as **radiopaque sclerotic bone** around infected or impacted teeth. - Commonly seen around **impacted third molars** as a **reactive bone formation** in response to chronic low-grade infection. *Impacted 3rd molar* - Clearly visible on radiographs as a **tooth that has not erupted** into its normal position. - Shows the **crown and root formation** of the wisdom tooth trapped beneath the **second molar** or **alveolar bone**.
Explanation: **Explanation:** The **Gardner’s view** is a specialized intraoral radiographic technique primarily used in dental and maxillofacial imaging. It is also known as the **Two molar view**. **1. Why "Two molar view" is correct:** The Gardner’s view is specifically designed to visualize the **mandibular molar region** (specifically the second and third molars) and the surrounding alveolar bone. It is an intraoral periapical or occlusal variation used when standard views are difficult to obtain due to a patient's gag reflex or anatomical constraints. It allows for a clear view of the relationship between the impacted third molar and the mandibular canal. **2. Why the other options are incorrect:** * **Bregma menton view:** This is an extraoral projection (Submentovertex view) used to visualize the base of the skull, sphenoid sinus, and zygomatic arches. * **Lateral oblique view of mandible:** This is an extraoral view used to visualize the body, ramus, and angle of the mandible, often used when OPG is unavailable. * **Lower oblique occlusal:** While this is an intraoral view, it is used specifically to detect sialoliths (stones) in the submandibular gland duct (Wharton’s duct), not specifically for molar visualization. **High-Yield Clinical Pearls for NEET-PG:** * **Gardner’s View:** Key for assessing **impacted mandibular third molars**. * **Water’s View:** Best for Maxillary Sinus. * **Caldwell’s View:** Best for Frontal and Ethmoid Sinuses. * **Town’s View:** Best for the Mandibular Condyles and Occipital bone. * **Submentovertex (SMV):** Best for the Zygomatic Arch (Jug-handle view).
Explanation: **Explanation:** The correct answer is **Dentigerous cyst** (also known as a follicular cyst). This is the most common type of non-inflammatory odontogenic cyst. **Why it is correct:** A dentigerous cyst originates from the separation of the **follicle** (reduced enamel epithelium) from around the crown of an **unerupted tooth**. Radiologically, it presents as a well-defined, unilocular **radiolucency** attached to the cemento-enamel junction (CEJ) of a completely formed but unerupted tooth. The most common sites are the mandibular third molars and maxillary canines. **Why other options are incorrect:** * **Impaction:** This refers to the clinical state where a tooth fails to erupt into the dental arch within the expected time. While a dentigerous cyst is associated with an impacted tooth, "impaction" itself is a condition, not the cause of the radiolucency. * **Periodontal cyst:** These are typically inflammatory in nature (e.g., periapical/radicular cyst) and are associated with the apex of a **non-vital, erupted tooth**, rather than an unerupted one. * **Odontogenic cyst:** This is a broad category that includes dentigerous cysts, keratocysts, and radicular cysts. While a dentigerous cyst *is* an odontogenic cyst, "Dentigerous cyst" is the most specific and accurate diagnosis for a radiolucency surrounding an unerupted crown. **High-Yield NEET-PG Pearls:** * **Radiological Hallmark:** A radiolucency larger than 3-4 mm surrounding the crown of an unerupted tooth is suggestive of a cyst rather than a normal dental follicle. * **Attachment:** The cyst always attaches at the **cemento-enamel junction (CEJ)**. * **Potential Complications:** If left untreated, it can lead to bone expansion, root resorption of adjacent teeth, or rarely, transform into an Ameloblastoma or Squamous Cell Carcinoma.
Explanation: **Explanation:** **Palatal tori (Torus palatinus)** are benign bony exostoses located along the midline of the hard palate. While clinical examination and occlusal radiographs are standard for diagnosis, a **lateral skull view** is specifically utilized to evaluate the **bone pattern** (internal architecture). 1. **Why "Bone Pattern" is correct:** The lateral projection allows for the visualization of the density and trabecular arrangement of the outgrowth without the superimposition of the teeth or the alveolar process that occurs in frontal views. It helps clinicians differentiate between a dense cortical mass and a more cancellous (spongy) bone pattern, which is crucial if surgical reduction is planned. 2. **Why other options are incorrect:** * **Extent & Location:** These are best assessed via clinical inspection or **Maxillary Occlusal views**, which provide a "bird's-eye" perspective of the palate's dimensions and its relationship to the dental arch. * **Pneumatization:** This term refers to air-filled cavities (like sinuses). Tori are solid bony growths and do not undergo pneumatization; therefore, this is not a relevant characteristic for assessment. **High-Yield Clinical Pearls for NEET-PG:** * **Definition:** Torus palatinus is a slow-growing, sessile, nodular mass of bone. * **Demographics:** More common in females (2:1 ratio) and typically appears in the second or third decade of life. * **Clinical Significance:** Usually asymptomatic; however, they may interfere with the stability and fit of a **maxillary complete denture**, necessitating surgical removal (resection). * **Differential Diagnosis:** Must be distinguished from salivary gland tumors (which are soft tissue masses) and palatal abscesses.
Explanation: **Explanation:** The correct answer is **B. OPG (Orthopantomogram)**. **Why OPG is the correct answer:** In Orthopantomography, a **"ghost image"** (or artifactual shadow) is a unique phenomenon caused by the rotational nature of the X-ray source and detector. It occurs when an anatomical structure or a dense object (like an earring, metal plate, or the ramus of the mandible) is located between the X-ray source and the **center of rotation**, outside the focal trough. Because the object is intercepted by the beam twice, it appears on the opposite side of the real image. These ghost images are characterized by being: 1. Located on the **opposite side** of the real object. 2. **Higher** in position than the real image. 3. **Blurred and magnified** horizontally. **Why other options are incorrect:** * **MRI:** Uses magnetic fields and radiofrequency; while it has "aliasing" or "wrap-around" artifacts, it does not produce the specific "ghost shadow" characteristic of rotational radiography. * **CT:** Uses a stationary center of rotation and complex reconstruction algorithms. Artifacts here are typically "streaks" (from metal) or "rings," not ghost shadows. * **Cephalogram:** This is a static lateral or PA view of the skull. Since there is no rotational movement around the patient, objects appear only once as distinct shadows. **High-Yield NEET-PG Pearls:** * **Common Ghost Images:** The most common anatomical ghost image is the **hard palate** or the **mandibular ramus**. * **Clinical Tip:** Patients are asked to remove jewelry (earrings, necklaces) and dentures before an OPG to prevent ghost images from obscuring diagnostic details (e.g., an earring ghost shadow can mimic a lesion in the maxillary sinus). * **The "Airway" Shadow:** A radiolucent (dark) shadow over the maxillary teeth roots occurs if the patient does not press their tongue against the roof of the mouth during the scan.
Explanation: **Explanation:** The **PA (Postero-Anterior) view of the skull** is the preferred projection for visualizing the **coronoid process** of the mandible. In this view, the central ray is perpendicular to the film, allowing the coronoid process to be projected into the space between the zygomatic arch and the maxilla, minimizing superimposition. It is also excellent for assessing the mandibular rami and the body of the mandible for mediolateral displacements. **Analysis of Incorrect Options:** * **Transpharyngeal (Parma’s View):** This is a lateral oblique projection primarily used to visualize the **condylar neck** and the head of the mandible, specifically for detecting fractures or erosions in the TMJ. * **Transorbital (Zimmer’s View):** This view is specifically designed to visualize the **condylar head** and neck through the orbit. It is the best view for detecting high-neck condylar fractures in the mediolateral plane. * **Reverse Towne’s Projection:** This is the gold standard for viewing the **condylar processes** and the mandibular neck. It is particularly useful when there is a suspected medially displaced condylar fracture. **High-Yield Clinical Pearls for NEET-PG:** * **Best view for Condyle:** Reverse Towne’s (displacements) or Transorbital (high fractures). * **Best view for Zygomatic Arch:** Submentovertex (SMV) or "Jug-handle" view. * **Best view for Maxillary Sinus:** Waters’ view (Occipitomental). * **Best view for Frontal/Ethmoid Sinus:** Caldwell’s view (Occipitofrontal). * **Coronoid Process Hyperplasia:** A rare cause of restricted mouth opening; best initially screened with a panoramic radiograph (OPG) but confirmed with CT.
Radiographic Anatomy of Skull and Face
Practice Questions
Radiographic Anatomy of Spine
Practice Questions
Radiographic Anatomy of Chest
Practice Questions
Radiographic Anatomy of Abdomen
Practice Questions
Radiographic Anatomy of Extremities
Practice Questions
Cross-sectional Anatomy: Brain and Head
Practice Questions
Cross-sectional Anatomy: Neck
Practice Questions
Cross-sectional Anatomy: Thorax
Practice Questions
Cross-sectional Anatomy: Abdomen and Pelvis
Practice Questions
Vascular Anatomy
Practice Questions
Developmental Anatomy Variations
Practice Questions
Anatomic Landmarks for Interventional Procedures
Practice Questions
Get full access to all questions, explanations, and performance tracking.
Start For Free