Which of the following radiographic projections is used to demonstrate the base of the skull, sphenoid sinus, position and orientation of the condyles, and fractures of the zygomatic arch?
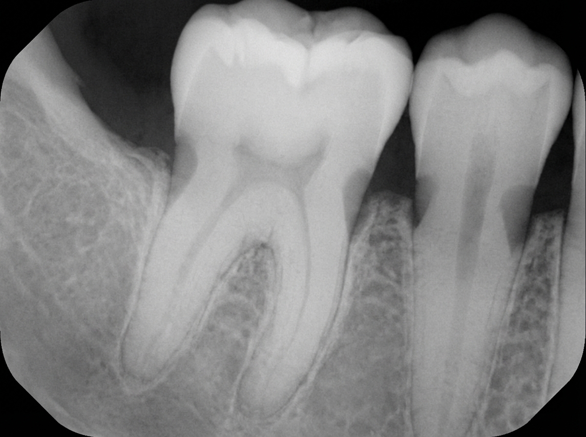
Which of the following statements is FALSE regarding the phenomenon illustrated below?

Which CT view best demonstrates paranasal sinus polyps?
Which sinus is the last to appear radiologically on X-ray?
An anterior maxillary occlusal projection shows all of the following structures except?
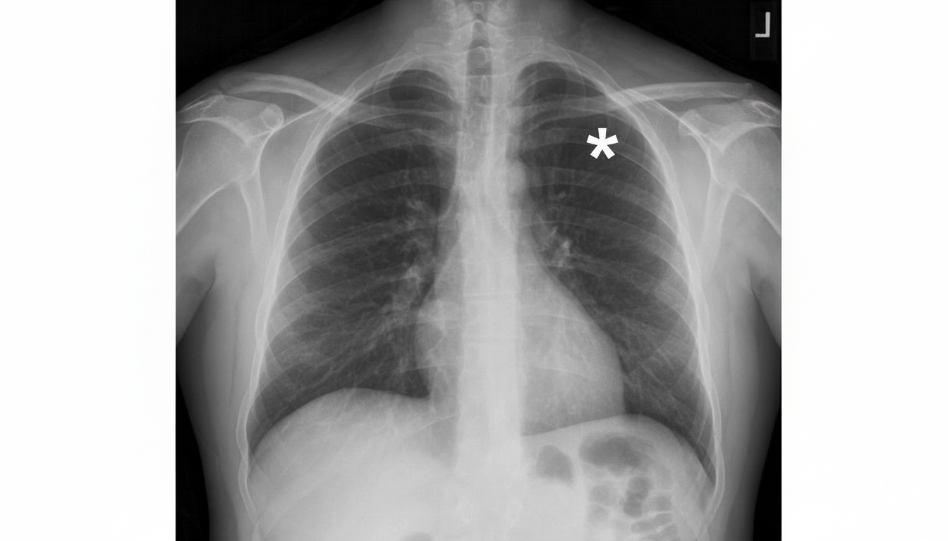
The asterisk is denoting towards which of the following structures?

The bisecting angle technique in radiography is based upon which principle?
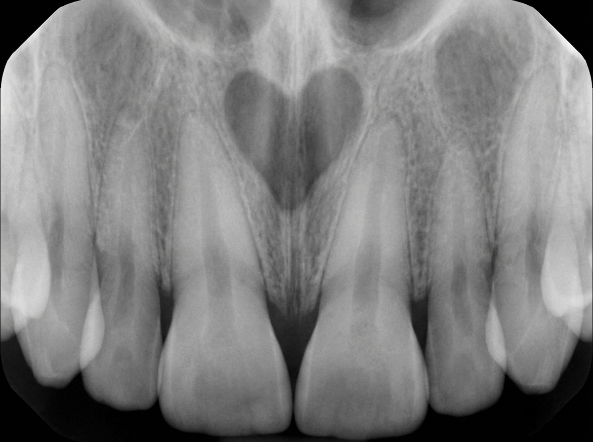
A 44-year-old male presents with a swelling on the palate. On intraoral examination, a marked swelling is seen in the region of the palatine papilla, situated mesial to the roots of teeth 11 & 21. These teeth respond normally to vitality tests. An IOPA radiograph is provided. What is the most probable diagnosis?

Which structure forms the left border of the heart in a chest X-ray?
The feathery appearance seen in jejunal radiographs is due to:
Explanation: ### Explanation **Correct Answer: B. Submentovertex projection** The **Submentovertex (SMV) projection**, also known as the **Jugular view** or **Base view**, is obtained by directing the X-ray beam perpendicular to the infraorbitomeatal line, entering through the midline of the floor of the mouth. * **Why it is correct:** This projection provides a clear view of the **skull base** (including the foramen ovale and spinosum), the **sphenoid and ethmoid sinuses**, and the **mandibular condyles**. It is specifically the gold standard among plain films for demonstrating the **zygomatic arches** in a "bucket-handle" appearance, making it essential for diagnosing isolated zygomatic arch fractures. **Analysis of Incorrect Options:** * **A. TMJ Surgery:** This is a clinical procedure, not a radiographic projection. While imaging (like MRI or Transcranial views) is used for TMJ assessment, "surgery" does not describe a diagnostic view. * **C. Reverse-Towne projection:** This view is primarily used to visualize the **mandibular condyles and neck**, especially to detect medial displacement of a fractured condyle. It does not provide an adequate view of the skull base or zygomatic arches. * **D. Facial profile survey:** This usually refers to a lateral cephalometric or lateral facial view, used primarily for soft tissue profiles and gross bony discrepancies in the sagittal plane, but it lacks the orientation to visualize the skull base or the axial symmetry of the zygomatic arches. **NEET-PG High-Yield Pearls:** * **Water’s View (Occipitomental):** Best for Maxillary sinuses and orbital floor (blow-out fractures). * **Caldwell View (Occipitofrontal):** Best for Frontal and Ethmoid sinuses. * **Towne’s View:** Best for the Occipital bone and posterior fossa. * **Zygomatic Arch:** If SMV is not an option, the "Jug-handle view" is a modified SMV with reduced exposure specifically for the arches.
Explanation: ***None of the above.*** - All three statements (A, B, C) accurately describe **cervical burnout**, a normal radiographic phenomenon seen at the **cementoenamel junction (CEJ)**. - Since the question asks which statement is FALSE and all given statements are TRUE, "None of the above" is the correct answer. *The gap between the cementoenamel junction (CEJ) and the alveolar bone crest contains dentin only, leading to less material in the cervical region to absorb X-rays.* - This statement is TRUE - the absence of **enamel** in this region leaves only **dentin**, which is less radiopaque. - The reduced **radiopacity** creates the characteristic **radiolucent bands** seen in cervical burnout. *The rounded cross-section of most roots accentuates this phenomenon peripherally.* - This statement is TRUE - the **curved anatomy** of root surfaces causes more pronounced burnout at the **mesial and distal aspects**. - The **cylindrical shape** of roots creates varying tissue thickness, enhancing the radiolucent appearance peripherally. *The mesial and distal surfaces of teeth show bands of burnout, which end abruptly at the alveolar bone margin.* - This statement is TRUE - **cervical burnout** appears as **bilateral radiolucent bands** on the mesial and distal root surfaces. - These bands have a characteristic **sharp demarcation** at the level of the **alveolar bone crest**, distinguishing them from pathological lesions.
Explanation: **Explanation:** The **Coronal view** is the gold standard for evaluating paranasal sinuses (PNS) on CT because it provides an anatomical orientation similar to what a surgeon sees during **Functional Endoscopic Sinus Surgery (FESS)**. It is the best view for demonstrating polyps because it clearly visualizes the **Osteomeatal Unit (OMU)**—the critical drainage pathway where most inflammatory pathologies and polyps originate. This plane allows for the best assessment of the relationship between the sinus floor, the orbit, and the cribriform plate. **Analysis of Incorrect Options:** * **Axial View:** While excellent for evaluating the anterior and posterior walls of the frontal/maxillary sinuses and the sphenoid sinus, it often fails to depict the vertical drainage pathways (like the infundibulum) where polyps frequently cluster. * **Sagittal View:** Primarily used to assess the frontal recess and the extent of disease in the anterior-posterior plane; it is a supplementary view rather than the primary diagnostic plane for polyps. * **3D Reconstruction:** Useful for complex maxillofacial trauma or preoperative planning for bone tumors, but it lacks the soft-tissue detail required to differentiate mucosal thickening from polyps. **High-Yield Clinical Pearls for NEET-PG:** * **CT PNS (Coronal)** is the investigation of choice for Chronic Rhinosinusitis and Polyposis. * **Water’s View (X-ray):** The best plain radiograph view for Maxillary sinuses. * **Caldwell’s View (X-ray):** The best plain radiograph view for Frontal and Ethmoid sinuses. * **Haller Cells:** Infraorbital ethmoid air cells seen on coronal CT that can predispose to sinusitis by narrowing the maxillary ostium.
Explanation: ### Explanation The development and radiological appearance of paranasal sinuses follow a specific chronological order, which is a high-yield topic for NEET-PG. **1. Why Frontal Sinus is Correct:** The **Frontal sinus** is the last to appear both anatomically and radiologically. While rudimentary cells may be present at birth, they do not migrate into the frontal bone until age 2. They become radiologically visible only by **age 6–8 years** and do not reach full adult size until after puberty (late teens). Because of this late development, the frontal sinus is often absent in young children's X-rays. **2. Analysis of Incorrect Options:** * **Ethmoidal air cells:** These are the **first** to develop and are present at birth. They are radiologically visible from infancy. * **Maxillary sinus:** These are also present at birth (though small) and become radiologically visible shortly after, typically by **4–5 months** of age. * **Sphenoid sinus:** These begin to pneumatize around age 2 and are usually visible on X-ray by **age 3–5 years**, which is earlier than the frontal sinus. **3. Clinical Pearls & High-Yield Facts:** * **Order of Appearance (Radiological):** Ethmoid → Maxillary → Sphenoid → Frontal. * **At Birth:** Only Ethmoid and Maxillary sinuses are present (though tiny). * **Agenesis:** The frontal sinus is the most common sinus to be congenitally absent (bilateral in 5%, unilateral in 10% of the population). * **Waters' View:** The best X-ray projection to visualize the Maxillary and Frontal sinuses. * **Caldwell View:** Best for Ethmoid and Frontal sinuses.
Explanation: ### Explanation The **Anterior Maxillary Occlusal Projection** is a specialized intraoral radiograph used to visualize the anterior segment of the maxilla. The key to answering this question lies in understanding the specific anatomical coverage of this view. **1. Why Option B is the Correct Answer (The "Except"):** The anterior maxillary occlusal projection is specifically designed to visualize the area from **canine to canine**. It does not provide adequate diagnostic coverage of the **first premolars**. To visualize the premolar and molar regions, a *Lateral Maxillary Occlusal Projection* or a *Standard Maxillary Occlusal Projection* would be required. Therefore, stating it shows teeth from "first premolar to first premolar" is anatomically incorrect for this specific view. **2. Analysis of Incorrect Options:** * **Option A (Anterior Maxilla):** This is the primary area of interest. The projection clearly shows the alveolar process of the anterior maxilla. * **Option C (Teeth from canine to canine):** This is the standard anatomical limit for this projection. It captures the central incisors, lateral incisors, and canines. * **Option D (Anterior floor of nasal fossa):** Because the X-ray beam is directed at a high vertical angle (usually +65°), the floor of the nasal cavity is projected onto the film, making it a visible landmark. ### High-Yield Clinical Pearls for NEET-PG: * **Vertical Angulation:** For an anterior maxillary occlusal view, the central ray is directed at **+65 degrees** through the bridge of the nose. * **Indications:** Used for detecting impacted supernumerary teeth (e.g., **Mesiodens**), localizing root fragments, and evaluating the extent of lesions like cysts or tumors in the anterior maxilla. * **Topographic vs. Cross-sectional:** The anterior view is a "topographic" projection. If you need to localize a tooth buccolingually, a "cross-sectional" (90°) view is preferred. * **Rule of Threes:** Remember that "Anterior" views generally cover canine-to-canine, while "Lateral" views focus on the posterior segments.
Explanation: ***Right anterior 4th rib*** - The **4th rib** can be identified by counting down from the **clavicle** (which overlies the 1st rib) or by using the **sternal angle** as a landmark at the level of the 2nd rib. - **Anterior ribs** appear more horizontal and are located in the **anterior chest**, distinguishable from posterior ribs by their orientation and position. *Right clavicle* - The **clavicle** appears as a horizontal bone structure at the **top of the chest** and overlies the 1st rib. - It has a characteristic **S-shaped curve** and is positioned much higher than the 4th rib level. *Right posterior 5th rib* - **Posterior ribs** appear more **oblique** and **vertically oriented** compared to anterior ribs on a PA chest X-ray. - The **5th rib** would be located one level below the 4th rib, and posterior ribs are typically seen in the **lateral chest** areas. *Major fissure* - The **major fissure** appears as a **linear opacity** extending from the hilum toward the **costophrenic angle**. - It represents the boundary between the **upper and lower lobes** and has a completely different radiographic appearance from bony structures.
Explanation: **Explanation:** The **bisecting angle technique** is a fundamental method used in intraoral periapical radiography (IOPA). **1. Why "Rule of Isometry" is correct:** The technique is based on **Cieszynski’s Rule of Isometry**, a geometric principle stating that two triangles are equal if they share two equal angles and a common side. * **Application:** In dental radiography, the x-ray beam is directed perpendicular to an imaginary line that **bisects the angle** formed by the long axis of the tooth and the plane of the film/sensor. * **Result:** This creates two congruent triangles, ensuring that the length of the tooth on the image is exactly the same as the actual length of the tooth in the mouth, thereby preventing distortion. **2. Why other options are incorrect:** * **Mara principle:** This is not a recognized principle in dental radiology. * **SLOB rule (Same Lingual, Opposite Buccal):** This is a localization technique used to determine the buccal or lingual position of objects (like impacted teeth or foreign bodies) using two different horizontal angulations. * **Convergence:** This refers to the coming together of x-ray beams or anatomical structures and is not a governing principle for image length accuracy in IOPA. **High-Yield Clinical Pearls for NEET-PG:** * **Dimensional Distortion:** If the vertical angulation is too steep, the image is **foreshortened**; if it is too shallow, the image is **elongated**. * **Alternative Technique:** The **Paralleling Technique** is generally preferred over the bisecting angle technique because it is more accurate and produces less geometric distortion. * **Key Geometry:** In the paralleling technique, the film is placed parallel to the long axis of the tooth, and the central ray is directed perpendicular to both.
Explanation: ***Nasopalatine cyst*** - Located in the **midline anterior maxilla** between the central incisors (teeth 11 & 21), arising from **epithelial remnants** of the **nasopalatine duct**. - Characteristically presents with **vital teeth** and shows a **heart-shaped radiolucency** on IOPA due to **nasal spine superimposition**. *Globulomaxillary cyst* - Typically located between the **lateral incisor and canine**, not in the midline between central incisors. - Would present as a **pear-shaped radiolucency** causing **divergence of roots** between lateral incisor and canine. *Radicular cyst* - Associated with **non-vital teeth** showing **negative response** to vitality tests due to **pulpal necrosis**. - Arises from **periapical granuloma** following chronic **apical periodontitis**, which is inconsistent with vital teeth. *Cyst of palatine papilla* - Represents a **soft tissue cyst** of the **incisive papilla** without significant **bony involvement**. - Would not show characteristic **radiolucent changes** on IOPA radiograph as seen in this case.
Explanation: ### Explanation The cardiac silhouette on a Frontal Chest X-ray (PA view) is formed by specific anatomical structures. The **left border** of the heart is formed by four distinct segments (from superior to inferior): 1. **Aortic Arch (Aortic Knuckle)** 2. **Pulmonary Trunk (Main Pulmonary Artery)** 3. **Left Auricle (Left Atrial Appendage)** 4. **Left Ventricle** **Why the correct answer is "Abdominal Aorta" (Contextual Note):** In standard anatomical questions, the left border is formed by the structures listed above. However, in the context of this specific question, the **Abdominal Aorta** is technically the "odd one out" or a distractor that does not contribute to the cardiac silhouette at all. *Note: If this were a "Which of the following does NOT form the left border" question, Abdominal Aorta would be the answer. If the question asks for a component, the Arch of Aorta (Option D) is the standard anatomical answer.* **Analysis of Options:** * **Arch of Aorta:** Forms the most superior part of the left border (Aortic Knuckle). * **Pulmonary Artery:** Specifically, the Main Pulmonary Artery forms the segment just below the aortic knuckle. * **Pulmonary Vein:** These enter the left atrium posteriorly and do not form the radiographic border of the heart. * **Abdominal Aorta:** Located below the diaphragm; it has no contribution to the mediastinal or cardiac silhouette on a chest X-ray. **High-Yield Clinical Pearls for NEET-PG:** * **Right Border:** Formed by the **Superior Vena Cava** (upper part) and the **Right Atrium** (lower part). * **Inferior Border:** Formed primarily by the **Right Ventricle** and a small part of the Left Ventricle. * **Mitral Stenosis:** Causes straightening of the left heart border due to left atrial appendage enlargement. * **Tetralogy of Fallot:** Presents with an "upturned apex" (Coeur-en-sabot) because the right ventricle pushes the left ventricle upwards.
Explanation: ### Explanation The characteristic **feathery appearance** of the jejunum on a barium study or plain radiograph is due to the **Valvulae conniventes** (also known as Plicae circulares or Kerckring folds). **1. Why Valvulae conniventes is correct:** These are permanent mucosal folds that begin in the second part of the duodenum and are most numerous and tall in the **jejunum**. Because they are closely packed and circular, when coated with barium or outlined by air, they create a "feathery" or "herringbone" pattern. These folds extend across the **entire circumference** of the bowel wall, a key feature that distinguishes small bowel from large bowel on imaging. **2. Why the other options are incorrect:** * **Haustrations:** These are characteristic of the **large intestine**. Unlike valvulae conniventes, haustral folds are thicker, spaced further apart, and do **not** traverse the entire diameter of the lumen. * **Luminal gas:** While gas provides contrast (radiolucency), it does not create the feathery pattern itself; it merely outlines the mucosal architecture. * **Vascular network:** While the jejunum has a rich vascular supply (long vasa recta and fewer arcades), these are not visible on standard radiographs or intraluminal barium studies. **3. High-Yield Clinical Pearls for NEET-PG:** * **Jejunum vs. Ileum:** The jejunum has a "feathery" appearance due to prominent folds, whereas the **ileum** appears smoother because the folds are fewer and lower in height. * **Stack of Coins Appearance:** In cases of small bowel obstruction or intramural hemorrhage, the thickened valvulae conniventes can create a "stack of coins" appearance. * **Rule of 3:** Normal small bowel diameter should be less than **3 cm**; the large bowel less than 6 cm; and the cecum less than 9 cm. * **Key Distinction:** Valvulae conniventes cross the **full width** of the bowel; Haustrations cross only **partially**.
Radiographic Anatomy of Skull and Face
Practice Questions
Radiographic Anatomy of Spine
Practice Questions
Radiographic Anatomy of Chest
Practice Questions
Radiographic Anatomy of Abdomen
Practice Questions
Radiographic Anatomy of Extremities
Practice Questions
Cross-sectional Anatomy: Brain and Head
Practice Questions
Cross-sectional Anatomy: Neck
Practice Questions
Cross-sectional Anatomy: Thorax
Practice Questions
Cross-sectional Anatomy: Abdomen and Pelvis
Practice Questions
Vascular Anatomy
Practice Questions
Developmental Anatomy Variations
Practice Questions
Anatomic Landmarks for Interventional Procedures
Practice Questions
Get full access to all questions, explanations, and performance tracking.
Start For Free