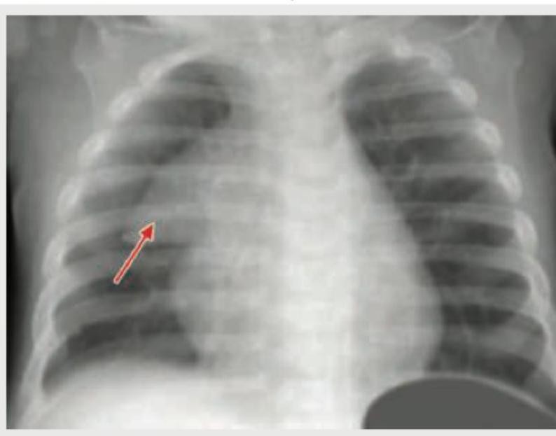
Comment on the arrow marked structure in CXR of an infant: (Recent NEET Pattern 2018-19)

A 9-year-old female child presents with history of headache and visual disturbances. X-Ray skull is shown below. What is the possible diagnosis? (Recent NEET Pattern 2018-19)

A child presents with the following appearance, seborrheic dermatitis, hepatosplenomegaly, and pancytopenia. X-ray of the skull is shown. What is the diagnosis?

A 6-year-old boy presents with severe anemia and organomegaly. Peripheral smear was performed. The X-ray of hand shows:

A "double bubble" sign on an antenatal ultrasound examination in a gravid woman is diagnostic of
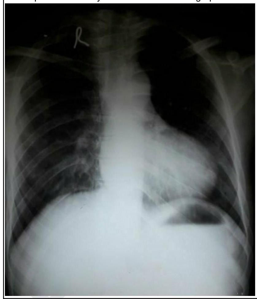
A child presents with cyanosis. His chest radiograph is shown below. What is the diagnosis?

What condition is associated with the sign seen in the given USG?

A young child presented with mild intermittent upper abdominal pain. X-ray is given below. What is the diagnosis?

Abdominal Ultrasonography in a 3 year old boy shows a solid circumscribed hypoechoic renal mass. Most likely diagnosis is-
The most likely diagnosis in a newborn who had a radiopaque shadow with an air-fluid level in the chest along with hemivertebrae of the 6th thoracic vertebra on plain X-ray is –
Explanation: ***Sail sign*** - The arrow points to an elevated, well-defined triangular shadow in the right upper mediastinum, characteristic of the **thymus gland** in an infant. - This appearance is known as the **"sail sign"** due to its resemblance to a boat's sail, caused by the normal shape of the thymus in young children. *Lingular lobe pneumonia* - Lingular lobe pneumonia would appear as an **area of consolidation** or opacification, usually in the left mid-to-lower lung field, which is not depicted here. - This pathology typically results in a loss of the normal markings of the lung parenchyma, unlike the clear outline seen in the image. *Pneumothorax* - A pneumothorax would present as a **collection of air** in the pleural space, characterized by the absence of lung markings in the affected area and a visible visceral pleural line. - There is no evidence of displaced lung tissue, collapsed lung, or an abnormal air collection in the image. *Dextrocardia* - Dextrocardia refers to a condition where the **heart is located on the right side** of the chest. - In this image, the cardiac silhouette is clearly on the left side, indicating a normally positioned heart.
Explanation: ***Craniopharyngioma*** - The X-ray skull image shows significant **intracranial calcifications**, which are a hallmark feature of **craniopharyngiomas**, especially in children (seen in 80-90% of cases). - Clinical symptoms like **headache** and **visual disturbances** are consistent with the mass effect of a suprasellar tumor like craniopharyngioma, which can compress the optic chiasm and cause hydrocephalus. - Craniopharyngioma is the **most common suprasellar tumor in children** and typically presents in this age group. *Hypothalamic hamartoma* - These are **non-neoplastic** lesions that typically do not present with diffuse calcifications on X-ray skull. - While they can cause endocrine abnormalities (precocious puberty) and gelastic seizures, headache and visual disturbances with calcifications point more toward craniopharyngioma. *Histiocytosis-X* - Histiocytosis-X (Langerhans cell histiocytosis) typically presents with **lytic bone lesions** (punched-out "geographic skull" lesions) on skull X-ray, not diffuse intracranial calcifications. - While it can affect the hypothalamic-pituitary axis causing diabetes insipidus, the dominant radiological finding would be bone destruction, not calcification. *Letterer-Siwe disease* - This is a severe, disseminated form of **Langerhans cell histiocytosis** (acute disseminated LCH) primarily affecting infants and young children under 2 years. - It usually presents with skin rash, hepatosplenomegaly, lymphadenopathy, and lytic bone lesions, but **intracranial calcifications are not a characteristic feature** on plain skull X-rays. - The age of presentation (9 years) and imaging findings make this diagnosis unlikely.
Explanation: ***Geographical skull*** - The combination of **seborrheic dermatitis**, **hepatosplenomegaly**, **pancytopenia**, and characteristic skull X-ray findings (multiple lytic lesions) in a child suggests **Langerhans Cell Histiocytosis (LCH)**. - The skull X-ray shows multiple, sharply demarcated, irregular lytic lesions of varying sizes, resembling a **map or "geographical" pattern**, which is characteristic of LCH. *Pepper pot skull* - This appearance is characterized by **numerous small lytic lesions** resembling tiny holes, typically seen in conditions causing widespread bone resorption, such as **hyperparathyroidism** or **multiple myeloma**. - The child's x-ray depicts larger, more irregular lytic lesions rather than diffuse small punctate ones. *Hair-on-end appearance* - This term describes **new bone formation perpendicular to the inner table of the skull**, giving the skull a "hair-on-end" or "sunburst" appearance on X-ray. - It is classically associated with severe **chronic hemolytic anemias** like **thalassemia major** and **sickle cell anemia**, which do not present with geographical skull lesions or the other clinical features mentioned. *Artifacts* - **Artifacts** are extraneous findings on an imaging study that are not due to the patient's anatomy or pathology (e.g., patient motion, metallic objects, processing errors). - The described and visual findings are consistent with specific bony lesions, not imaging errors.
Explanation: ***Squaring of metacarpals*** - The X-ray image shows **widening of the medullary space** and cortical thinning in the metacarpals, leading to a squared appearance. This is a classic finding in **beta-thalassemia major**, an inherited blood disorder characterized by severe anemia and organomegaly. - The associated microscopic image on the left likely shows **target cells**, which are also characteristic of thalassemia. *Hemarthrosis* - **Hemarthrosis** refers to bleeding into a joint space, which is typically seen in coagulopathies like **hemophilia**. - X-rays would show signs of joint distension, effusions, and eventually degenerative changes, but not the specific bone changes seen here. *Swan neck deformity* - A **swan neck deformity** is characterized by hyperextension of the proximal interphalangeal (PIP) joint and flexion of the distal interphalangeal (DIP) joint. - This deformity is classically associated with **rheumatoid arthritis** or other inflammatory arthropathies, not the described hematological disorder. *Subperiosteal resorption* - **Subperiosteal resorption** is a characteristic radiographic finding in **hyperparathyroidism**, often affecting the radial aspects of the middle phalanges. - It results from increased osteoclast activity and would not be the primary bone change seen in a young child with severe anemia and organomegaly.
Explanation: ***Duodenal atresia*** - The **"double bubble" sign** on antenatal ultrasound is highly characteristic of duodenal atresia, representing a dilated **stomach** and a dilated **proximal duodenum**. - This finding indicates an **obstruction distal to the pylorus**, preventing normal passage of fluid and gas. *Anencephaly* - Anencephaly is a severe birth defect where a baby is born without parts of the **brain** and **skull**, and it is characterized by the absence of the skull vault. - It is identified by the absence of the **cranial vault** and **cerebral hemispheres**, not by an abdominal "double bubble." *Meningomyelocele* - Meningomyelocele is a type of **spina bifida** where the spinal cord and meninges protrude through an opening in the back. - This condition is typically diagnosed by visualizing a **spinal defect** with a sac-like protrusion, not gastric or duodenal distension. *Hydronephrosis* - Hydronephrosis involves the **swelling of one or both kidneys** due to a buildup of urine, often caused by an obstruction in the urinary tract. - It is identified by **dilated renal pelves** and calyces on ultrasound, not the "double bubble" sign, which relates to the gastrointestinal tract.
Explanation: ***Tetralogy of Fallot (TOF)*** - The chest radiograph shows a **boot-shaped heart (coeur en sabot)** due to **right ventricular hypertrophy** and a **concave pulmonary artery segment** (absent main pulmonary artery segment), which is characteristic of TOF. - The patient also presents with **cyanosis**, a common symptom of TOF due to right-to-left shunting. *Transposition of great arteries (TGA)* - TGA typically presents with a **"egg-on-a-string" appearance** on chest radiograph, indicating a narrow superior mediastinum and increased pulmonary vascular markings, which is not seen here. - While patients with TGA are cyanotic, the cardiac silhouette on this radiograph is inconsistent with the classic TGA findings. *Ebstein's anomaly* - Ebstein's anomaly is characterized by **apical displacement of the tricuspid valve**, leading to a large right atrium and massive **cardiomegaly** on chest X-ray, often described as a "box-shaped" heart, which is not evident in the provided image. - While it causes cyanosis, the heart size in the image is not markedly enlarged enough to suggest Ebstein's anomaly. *Total anomalous pulmonary venous return (TAPVC)* - TAPVC typically presents with a **"snowman" or "figure-of-8" appearance** on chest X-ray due to a dilated superior vena cava and left brachiocephalic vein, or a small heart with increased pulmonary vascularity, neither of which is present in the image. - Although TAPVC causes cyanosis, the specific radiographic features like the "boot-shaped" heart rule out this diagnosis.
Explanation: ***Spina bifida*** - The ultrasound image displays the **"lemon sign"** (frontal bone indentation), which is a classic indicator of **spina bifida** on antenatal ultrasound. - The lemon sign is caused by **scalloping of the frontal bones** due to caudal displacement of brain tissue (Arnold-Chiari malformation type II) secondary to an open spinal defect. - This sign is most commonly seen in the **second trimester** and is associated with neural tube defects. *Anencephaly* - **Anencephaly** presents with absence of the cranial vault and cerebral hemispheres on ultrasound. - The characteristic finding is the **"frog-eye appearance"** with protruding orbits, not frontal bone scalloping. - This is incompatible with life and has a distinctly different ultrasound appearance. *Dandy-Walker malformation* - **Dandy-Walker malformation** shows an enlarged posterior fossa with cystic dilatation of the fourth ventricle and hypoplasia of the cerebellar vermis. - It may present with the **"banana sign"** (cerebellar compression), but not the lemon sign. - This is a posterior fossa abnormality, not associated with frontal bone changes. *Encephalocele* - **Encephalocele** presents as a herniation of brain tissue and meninges through a cranial defect, typically occipital. - Ultrasound shows a **cystic mass protruding from the skull**, not frontal bone indentation. - While it's a neural tube defect, it has a different ultrasound appearance than the lemon sign.
Explanation: ***Morgagni hernia*** - The X-ray shows a **gas-filled lesion** in the **right cardiophrenic angle**, which is characteristic of a Morgagni hernia, where abdominal contents (often colon or omentum) herniate through the foramen of Morgagni. - The mild intermittent **upper abdominal pain** in a child is consistent with the infrequent or non-specific symptoms these hernias can present, as they are often discovered incidentally. *Bochdalek hernia* - **Bochdalek hernias** typically occur posteriorly and laterally, predominately on the **left side**, and are usually identified in the **neonatal period** with severe respiratory distress. - The radiographic appearance would be of abdominal contents (bowel loops, liver, spleen) largely filling the ipsilateral hemithorax, causing significant mediastinal shift, which is not seen here. *Gastric volvulus* - **Gastric volvulus** involves abnormal rotation of the stomach, often presenting with acute symptoms like **epigastric pain, vomiting, and inability to pass a nasogastric tube (Borchardt's triad)**. - Radiographically, it would show a **distended stomach** with an abnormal position, often high in the chest, but without the distinct localized air-filled mass in the cardiophrenic angle. *Eventration of diaphragm* - **Diaphragmatic eventration** is an abnormal elevation of part or all of an intact hemidiaphragm, usually due to muscular hypoplasia. - The X-ray would show a **uniformly elevated hemidiaphragm** with normal continuity, and there would be no discrete air-filled structures above the diaphragm to suggest herniated bowel.
Explanation: ***Wilms tumor*** - **Wilms tumor** is the most common renal malignancy in children aged 2-5 years, often presenting as a **palpable abdominal mass** or an incidental finding on imaging. - The ultrasound finding of a **solid, circumscribed, hypoechoic renal mass** in a 3-year-old boy is highly characteristic of Wilms tumor. *Mesoblastic nephroma* - This is typically diagnosed in infants, usually before **6 months of age**, making it less likely in a 3-year-old. - While it is a solid renal mass, its incidence is significantly lower than Wilms tumor in this age group. *Renal cell carcinoma* - **Renal cell carcinoma (RCC)** is extremely rare in young children, predominantly affecting adults. - While RCC can present as a solid renal mass, the age of the patient (3 years old) makes this diagnosis highly improbable. *Oncocytoma* - **Renal oncocytoma** is a benign renal tumor that is almost exclusively seen in adults, typically older than 50 years. - Its occurrence in a 3-year-old child is virtually unheard of.
Explanation: ***Oesophageal duplication cyst*** - The presence of a **radiopaque shadow with an air-fluid level** in the chest, coupled with **hemivertebrae of the 6th thoracic vertebra**, is highly suggestive of an esophageal duplication cyst due to their common developmental origin and intrathoracic location. - **Esophageal duplication cysts** are foregut anomalies that can present as cystic masses containing fluid, and their close association with vertebral anomalies like hemivertebrae points to a developmental error during embryogenesis affecting both structures. *Bronchogenic cyst* - While bronchogenic cysts are also foregut anomalies and can appear as **radiopaque shadows**, they typically do not present with an **air-fluid level** unless secondarily infected or communicating with the airway, and their association with vertebral anomalies is less direct. - These cysts usually present as a **well-circumscribed, non-communicating mass**, and an air-fluid level usually indicates rupture or infection. *Congenital diaphragmatic hernia* - A congenital diaphragmatic hernia involves the **displacement of abdominal contents into the chest cavity** through a defect in the diaphragm, which would manifest as multiple intestinal loops and air-filled structures in the chest. - While it can present with air-fluid levels (from bowel gas), it is not typically associated with **hemivertebrae**, and the radiopaque shadow would be less defined as a single cyst. *Staphylococcal pneumonia* - Staphylococcal pneumonia in a newborn can lead to **pneumatoceles (air-filled cysts)** that may contain air-fluid levels, but it is an infectious process that would be accompanied by signs of infection like fever and respiratory distress. - This condition is unlikely to present with an associated **vertebral anomaly** like hemivertebrae, which points to a congenital developmental abnormality rather than an acquired infectious cause.
Normal Pediatric Developmental Anatomy
Practice Questions
Neonatal Imaging
Practice Questions
Pediatric Chest Imaging
Practice Questions
Pediatric Abdominal Imaging
Practice Questions
Pediatric Musculoskeletal Imaging
Practice Questions
Pediatric Neuroradiology
Practice Questions
Congenital Heart Disease Imaging
Practice Questions
Pediatric Oncology Imaging
Practice Questions
Child Abuse Imaging
Practice Questions
Pediatric Interventional Radiology
Practice Questions
Radiation Protection in Pediatrics
Practice Questions
Sedation in Pediatric Imaging
Practice Questions
Get full access to all questions, explanations, and performance tracking.
Start For Free