Which procedure is being performed in the image shown?

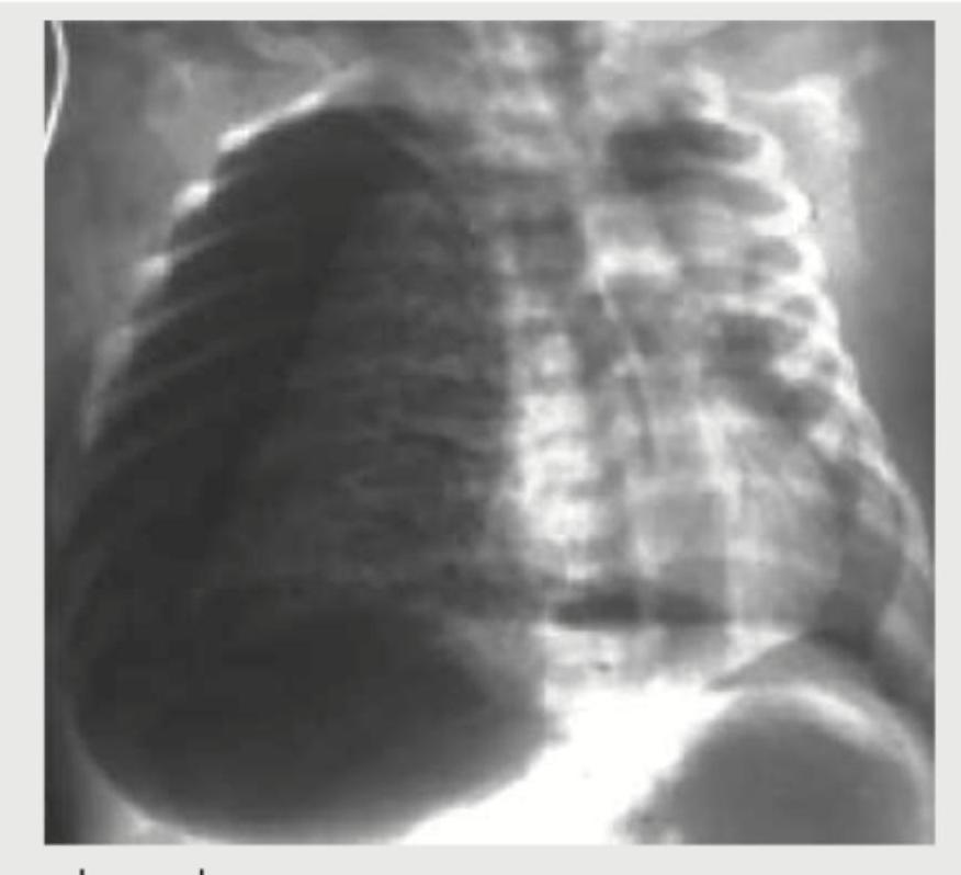
A 1-week-old neonate presents with anoxic spells and single S2. CXR shows all except:

ECG shows which electrolyte abnormality?

Excretory urogram in a two-year-old child with recurrent UTI shows:

An 11-month-old child presents with recurrent episodes of UTI. MCUG shows VUR:

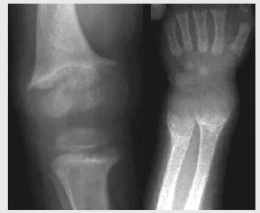
The given radiograph is diagnostic of:

The CT head of this infant with macrocephaly shows:

The CT abdomen of a 10-year-old child with high grade fever for last 5 days shows:

A 6-month-old child is on Vancomycin for pneumonia for 2 days. He develops worsening of respiratory distress and $\mathrm{SpO}_{2}$ falls to $80 \%$. The CXR performed is shown below. What is the diagnosis?

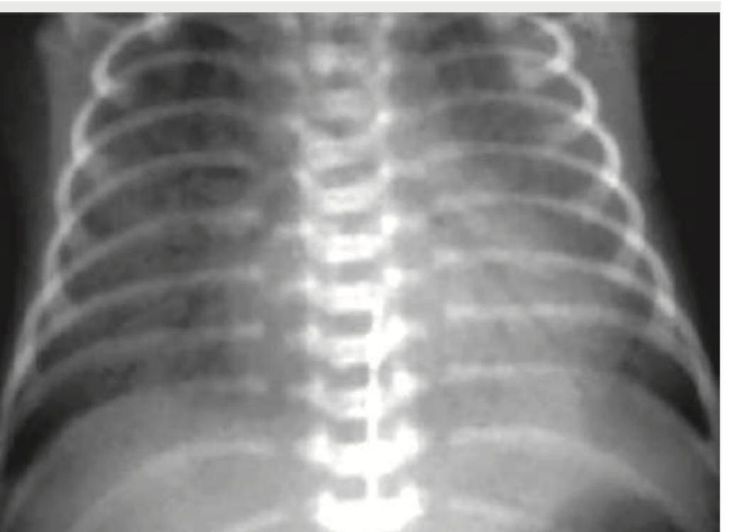
A 1-day-old neonate, born via home delivery, is brought with respiratory distress. The given CXR shows:

Explanation: ***Percutaneous mitral balloon valvotomy*** - The image clearly depicts a **balloon catheter** being advanced through the heart chambers to the mitral valve, where it is inflated to open the valve orifice. - This procedure is specifically performed to relieve **mitral stenosis** by physically separating fused valve leaflets using the **Inoue balloon technique** or other balloon devices. - The transseptal approach shown is characteristic of mitral valve balloon procedures. *Percutaneous aortic balloon valvuloplasty* - This procedure targets the **aortic valve**, not the mitral valve, and is used primarily for aortic stenosis. - The catheter approach for aortic valvuloplasty is typically **retrograde through the femoral artery**, not transseptal as shown in this image. *Percutaneous mitral valve repair* - Mitral valve repair involves techniques like the **MitraClip procedure** where clips are used to coapt the valve leaflets, or the placement of annuloplasty devices. - These methods do not involve inflating a balloon across the valve as depicted in the image. *Percutaneous coronary intervention* - This procedure involves addressing blockages in the **coronary arteries**, which supply blood to the heart muscle. - The image shows a catheter inside the heart chambers, specifically targeting the **mitral valve**, not the coronary arteries.
Explanation: ***Pulmonary plethora*** - Pulmonary plethora, or **increased pulmonary vascular markings**, indicates increased blood flow to the lungs, which is not characteristic of Tetralogy of Fallot as it involves **pulmonary outflow obstruction**. - Tetralogy of Fallot leads to **decreased pulmonary blood flow**, resulting in **pulmonary oligemia** (reduced vascular markings) on CXR. *Boot-shaped heart* - This is a classic radiographic finding in **Tetralogy of Fallot** due to **right ventricular hypertrophy** and an upturned cardiac apex caused by **pulmonary hypoplasia**. - The image appears to show early signs of a boot-shaped heart (Coeur en sabot), consistent with the clinical picture of a cyanotic neonate with anoxic spells. *Right-sided aortic arch* - A **right-sided aortic arch** is seen in approximately 25% of patients with Tetralogy of Fallot and is a recognized associated anomaly. - While not universally present, its occurrence is significant enough to be considered a feature of the condition, making it a possible finding. *Right ventricular hypertrophy* - **Right ventricular hypertrophy** is one of the four defining features of **Tetralogy of Fallot** (together with ventricular septal defect, pulmonary stenosis, and an overriding aorta). - While not always directly visible as an enlarged chamber on a CXR, its presence is inferred by the **boot-shaped heart** configuration and the physiological adaptations to pulmonary outflow obstruction.
Explanation: ***Hyperkalemia*** - The ECG shows **peaked T waves** (especially prominent in V2-V5), **prolonged PR interval**, and a **widened QRS complex**, which are classic findings of hyperkalemia. - As hyperkalemia worsens, the T waves become taller and more symmetrical, PR interval lengthens, and the QRS complex widens, eventually leading to a **sine wave pattern** and cardiac arrest. *Hypocalcemia* - Hypocalcemia typically manifests with a **prolonged QT interval** on the ECG due to changes in ventricular repolarization. - It does not cause peaked T waves or QRS widening. *Hypercalcemia* - Hypercalcemia is associated with a **shortened QT interval** on the ECG due to accelerated repolarization. - Other common findings might include Osborn waves or J waves in severe cases, but not the changes seen here. *Hypokalemia* - Hypokalemia typically presents with **prominent U waves**, **flattened or inverted T waves**, and a prolonged QT interval. - The ECG in the image clearly shows peaked T waves, which is the opposite of the T wave changes seen in hypokalemia.
Explanation: ***Drooping water lily sign*** - This sign is characteristic of a **duplex collecting system** with a **dilated, obstructed upper pole ureter** and calyx, typically associated with an **ectopic ureterocele**. - The displaced lower pole calyces are pushed laterally and inferiorly by the dilated upper pole system, creating the appearance of a "drooping lily" or "drooping flower." - In children with recurrent UTIs, this finding indicates an underlying anatomical anomaly—specifically an **obstructed upper pole moiety in a duplex kidney**—which predisposes to stasis and infection. - **Most specific sign** for this condition on excretory urogram. *Horse shoe kidney* - A **horseshoe kidney** is a congenital fusion anomaly where the two kidneys are fused (usually at lower poles) across the midline. - Characteristic IVU findings include medially oriented lower poles, high ureteric insertion, and abnormal renal axis. - Does not cause the drooping lily appearance or typically present with recurrent UTI in this pattern. *Flower vase kidney* - **Flower vase sign** is a recognized radiological finding describing the appearance of **infundibular stenosis**, where the calyx is dilated but the infundibulum (connecting neck) is narrowed, resembling a flower vase. - This is a different entity from the drooping lily sign and represents focal obstruction at the infundibulum level rather than upper pole obstruction in a duplex system. - Not associated with the clinical scenario of recurrent UTI in a child with duplex kidney anomaly. *Duplication of kidney* - While a **duplex collecting system** (duplicated collecting system) is indeed present in this condition, this is a descriptive anatomical term rather than a specific radiological sign. - The **drooping water lily sign** is the more precise and specific descriptor for the characteristic IVU appearance of an obstructed upper pole moiety in a duplex kidney. - "Duplication" alone does not convey the specific pathology (obstruction) causing the recurrent UTIs.
Explanation: ***Grade III*** - The MCUG image demonstrates **reflux into the pelvicalyceal system** with tortuosity of the ureter. There is also evidence of **mild calyectasis**. This degree of reflux, characterized by reflux into the renal pelvis and calyces with mild dilatation and blunting, aligns with Grade III VUR. - Recurrent UTIs in a child are a common presentation that warrants investigation for VUR, and a Grade III VUR requires close monitoring and may necessitate intervention to prevent renal damage. *Grade I* - Grade I VUR involves reflux only into the **ureter** and does not reach the renal pelvis or calyces. - The provided image clearly shows contrast extending beyond the ureter into the collecting system of the kidney, ruling out Grade I. *Grade II* - Grade II VUR is characterized by reflux into the **renal pelvis and calyces** without any dilation or blunting of the calyces or tortuosity of the ureter. - The image shows some degree of **dilatation of the calyces and tortuosity of the ureter**, which is more severe than Grade II and indicative of Grade III. *Grade IV* - Grade IV VUR involves more significant findings, including **moderate dilation of the renal pelvis and calyces** with moderate blunting of the fornices. There is significant ureteral tortuosity. - While there is some dilation and tortuosity in the image, it does not reach the severe level typically seen in Grade IV, which would involve more pronounced blunting and more extensive hydronephrosis.
Explanation: ***Correct Option: Rickets*** - The radiograph displays classic signs of **rickets**, including **widened and frayed growth plates** (physeal plates) in the long bones, particularly visible at the distal femur and wrist - Other features often seen in rickets, and suggested by the image, are **cupping and splaying of the metaphyses**, indicating defective mineralization of bone - Rickets results from vitamin D deficiency leading to impaired calcium and phosphate metabolism, causing defective bone mineralization *Incorrect Option: Scurvy* - Scurvy, due to **vitamin C deficiency**, presents with distinct radiological findings such as the **Wimberger ring sign** (opacification outlining the epiphysis) and **corner fractures** (Pelkan spurs), which are not prominently depicted - While periosteal hemorrhage can occur in scurvy, the characteristic widening and fraying of growth plates seen here are more indicative of rickets - Scurvy affects collagen formation, not mineralization like rickets *Incorrect Option: Battered baby syndrome* - Images in **battered baby syndrome** (child abuse) typically show **multiple fractures at different stages of healing**, epiphyseal separations, and metaphyseal corner fractures - These features are distinct from the bone mineralization defects characteristic of rickets, and there are no clear signs of multiple traumatic injuries - The systematic bilateral changes seen in rickets would not be typical of inflicted trauma *Incorrect Option: Osteogenesis imperfecta* - **Osteogenesis imperfecta** is characterized by extreme **bone fragility** leading to frequent fractures, often with associated blue sclerae and hearing loss - The radiographic findings would predominantly be multiple fractures and osteopenia (reduced bone density), without the specific growth plate abnormalities seen in rickets - This is a collagen disorder causing generalized bone weakness, not a mineralization disorder
Explanation: ***Dandy-Walker syndrome*** - The image shows a **markedly enlarged posterior fossa** with a **cystic dilatation** that communicates with the fourth ventricle (indicated by arrows on the axial scan). There is also **hypoplasia of the cerebellar vermis** and **hydrocephalus**, characteristic features of Dandy-Walker syndrome. - This condition is a congenital brain malformation affecting the cerebellum and the fluid-filled spaces around it, leading to symptoms like macrocephaly due to hydrocephalus. *Aqueductal stenosis* - Aqueductal stenosis would primarily cause **dilatation of the lateral and third ventricles**, with a normal-sized fourth ventricle due to the blockage. - It would not typically present with the characteristic large posterior fossa cyst and cerebellar vermian hypoplasia seen here. *Tubercular meningitis* - Tubercular meningitis on imaging typically shows **basal meningeal enhancement**, hydrocephalus, and sometimes infarctions or tuberculomas. - It does not present with a primary cerebellum malformation or a large posterior fossa cyst as demonstrated in the image. *Neurocysticercosis* - Neurocysticercosis involves parasitic cysts (larval stage of *Taenia solium*) in the brain parenchyma, subarachnoid space, or ventricles, often seen as **cystic lesions with a scolex**. - While it can cause hydrocephalus if cysts block CSF flow, it does not involve the specific malformations of the posterior fossa and cerebellum seen in Dandy-Walker syndrome.
Explanation: ***Liver abscess*** - The CT image shows a well-defined, **hypodense lesion** within the right lobe of the liver, consistent with the characteristic appearance of a **liver abscess**, especially in a child presenting with **high-grade fever**. - Liver abscesses are collections of pus that can form in the liver, often presenting with fever, abdominal pain, and leukocytosis. *Typhlitis* - This condition involves inflammation of the **cecum** and ascending colon, often seen in **immunocompromised patients** (neutropenic enterocolitis). - CT findings would typically show **cecal wall thickening** and surrounding inflammation, which is not depicted in the image. *Acute pancreatitis* - This is an inflammation of the pancreas, usually presenting with severe **epigastric pain** radiating to the back. - CT findings would include **pancreatic edema**, fat stranding, and potentially fluid collections around the pancreas, none of which are evident in the provided image. *Biloma* - A biloma is a collection of **bile** that occurs due to leakage from the biliary tree, usually after trauma or surgery. - While it appears as a fluid collection, it typically lacks the often **irregular enhancing rim** or internal septations sometimes seen in abscesses, and the clinical context of high fever points more towards an infectious process.
Explanation: ***Pneumothorax*** - The CXR shows marked hyperlucency and absent lung markings on the right side, along with a collapsed lung (seen as a dense shadow centrally), characteristic of a **pneumothorax**. - Worsening respiratory distress and a significant drop in saturation in a child with pneumonia receiving vancomycin (suggesting severe infection) could indicate a complication like a tension pneumothorax, which requires urgent intervention. *Lung abscess* - A lung abscess typically appears as a **cavitated lesion** with an air-fluid level, usually within the lung parenchyma. - While pneumonia can lead to abscess formation, the CXR image does not show a circumscribed cavitary lesion but rather a generalized collapse of lung tissue. *Empyema* - Empyema is characterized by **pus in the pleural space** and would typically manifest as a **pleural effusion** with a fluid level when erect, or diffuse opacification of the hemithorax. - The image distinctly shows a clear space with absent lung markings and a displaced lung, which is not consistent with merely fluid accumulation. *Segmental collapse* - **Segmental collapse (atelectasis)** would appear as an area of **increased density** within the lung itself, with crowding of vessels and bronchi, and possibly displacement of fissures and mediastinum towards the affected side. - This is distinct from the hyperlucent appearance of the right hemithorax and the clear displacement of the lung boundary seen in the image.
Explanation: ***Congenital diaphragmatic hernia*** - The chest X-ray likely shows bowel loops within the chest cavity, mediastinal shift, and an absent or poorly defined diaphragmatic outline, which are classic signs of a **congenital diaphragmatic hernia**. - A 1-day-old neonate with respiratory distress and these radiographic findings strongly suggests this diagnosis, as it results from incomplete **closure of the diaphragm** enabling abdominal organs to herniate into the thorax. *Hyaline membrane disease* - Characterized by **diffuse reticulogranular infiltrates** and **air bronchograms** due to surfactant deficiency. - Does not typically present with bowel loops in the chest or mediastinal shift. *Meconium aspiration syndrome* - CXR typically reveals **patchy infiltrates**, **hyperinflation**, and sometimes **pneumothorax** or **pleural effusions**. - There is no evidence of bowel in the chest or mediastinal shift characteristic of diaphragmatic hernia. *Transient Tachypnea of newborn* - CXR findings usually include **prominent perihilar streaking**, **fluid in the fissures**, and **hyperinflation**. - This condition resolves within 24-48 hours and doesn't involve herniated abdominal organs in the chest space.
Normal Pediatric Developmental Anatomy
Practice Questions
Neonatal Imaging
Practice Questions
Pediatric Chest Imaging
Practice Questions
Pediatric Abdominal Imaging
Practice Questions
Pediatric Musculoskeletal Imaging
Practice Questions
Pediatric Neuroradiology
Practice Questions
Congenital Heart Disease Imaging
Practice Questions
Pediatric Oncology Imaging
Practice Questions
Child Abuse Imaging
Practice Questions
Pediatric Interventional Radiology
Practice Questions
Radiation Protection in Pediatrics
Practice Questions
Sedation in Pediatric Imaging
Practice Questions
Get full access to all questions, explanations, and performance tracking.
Start For Free