Identify the type of diaphragmatic hernia shown in the X-ray.
Identify the fracture:
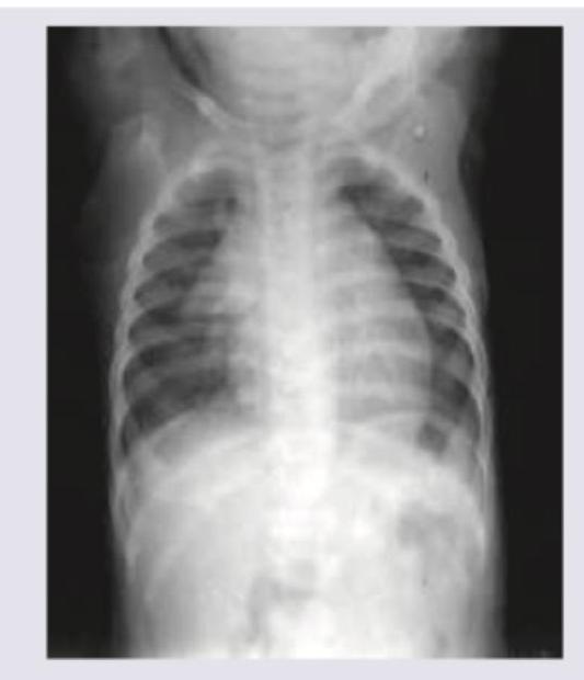
A 24-hour-old baby with severe respiratory distress was admitted to the ICU. A chest X-ray of the neonate is given. What is the most probable diagnosis?
Identify the radiological investigation and finding shown in the image below:

The following image shows presence of:

The figure shows:

Infantogram shows presence of:

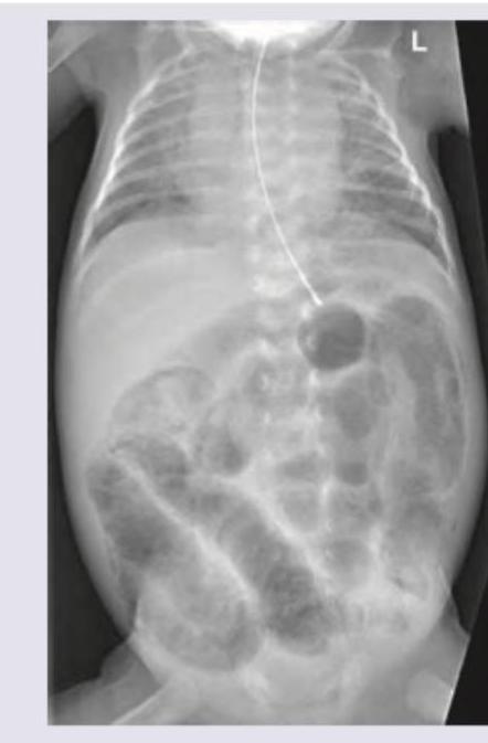
Identify the condition on the basis of infantogram shown in the image:

A newborn presents with bilious vomiting on the first day of life. X-ray abdomen shows:

The given image shows presence of:

Explanation: ***Bochdalek hernia*** - This is the most common type of congenital diaphragmatic hernia (CDH), accounting for over 80% of cases, and is characterized by a defect in the **posterolateral** aspect of the diaphragm. - The X-ray shows classic findings: multiple **gas-filled bowel loops** in the left hemithorax, causing **mediastinal shift** to the right and compression of the left lung, which is consistent with a left-sided Bochdalek hernia. *Morgagni hernia* - This is a rare, **anteromedial** diaphragmatic defect that occurs through the **foramen of Morgagni**, typically on the right side. - It is less common than Bochdalek hernia and often discovered incidentally in older children or adults, presenting with less severe respiratory symptoms. *Hiatal hernia* - This involves the protrusion of the upper part of the stomach through the **esophageal hiatus** into the chest. - It is a midline defect and typically presents with **gastroesophageal reflux disease (GERD)**, not the extensive herniation of multiple abdominal organs seen in this neonatal X-ray. *Traumatic diaphragmatic hernia* - This is an **acquired** condition resulting from severe blunt or penetrating trauma to the chest or abdomen, not a congenital defect. - While it can appear similar on imaging, the clinical context of a newborn (as suggested by the image) makes a congenital cause like Bochdalek hernia the most likely diagnosis.
Explanation: ***Depressed fracture*** - This radiograph clearly shows an inward displacement of a segment of the skull, which is the defining characteristic of a **depressed fracture**. This type of fracture is often described as a "ping-pong" fracture in infants due to the pliability of their skulls. - These fractures are clinically significant as they can be associated with underlying **dural tears**, **cortical contusions**, or **intracranial hemorrhage**, often necessitating surgical evaluation and intervention. *Linear fracture* - A linear fracture would appear as a sharp, lucent line on the radiograph without any displacement or depression of the bone fragments. - This is the most common type of skull fracture, but it does not match the visible **indentation** of the cranial vault seen in the image. *Hinge fracture* - A hinge fracture is a type of **basilar skull fracture** that runs across the floor of the middle cranial fossa, effectively separating the skull base into two halves. - This is a severe injury, not depicted in the image, which shows a fracture of the **parietal bone** in the cranial vault, not the base. *Gutter fracture* - A gutter fracture is a specific subtype of depressed fracture, typically caused by a tangential impact (e.g., a bullet grazing the skull), which carves out a trough or "gutter" in the bone. - While it involves depression, the term is more specific. The fracture shown is better classified by the general term **depressed fracture**, which accurately describes the inward buckling of the bone.
Explanation: ***Congenital Diaphragmatic Hernia (CDH)*** - The image shows loops of **gas-filled bowel** (multiple curvilinear lucencies) in the left hemithorax, confirming the presence of abdominal contents in the chest cavity, which is pathognomonic for **CDH** (most commonly through the **Bochdalek defect**). - There is significant **mediastinal shift** to the right, leading to compression of the right lung (pulmonary hypoplasia) and severe respiratory distress in the neonate. *Congenital Pulmonary Airway Malformation (CPAM)* - CPAM (previously CCAM) usually presents as a **mass of cysts** (Type 1 is large cysts, Type 2 is small cysts) within the lung parenchyma, which are not typically associated with gas-filled loops of bowel extending from the abdomen. - While CPAM can cause mediastinal shift, the defining feature in CDH is the presence of **abdominal viscera** above the diaphragm, which is clearly visible. *Congenital lobar emphysema* - This condition involves **hyperinflation** of one or more lobes (most commonly the upper lobes) due to air trapping, resulting in an abnormally large, radiolucent lobe on X-ray. - It would show a large area of hyperlucency and possible collapse of adjacent lung tissue but would **not show intestinal loops** in the chest cavity. *Neonatal pneumonia* - Neonatal pneumonia typically presents with generalized or focal **opacification/consolidation** (white patches) rather than distinct, gas-filled cystic appearances resembling bowel loops. - While pneumonia causes respiratory distress, it does **not cause the mediastinal shift** or the visualization of abdominal organs in the chest seen here.
Explanation: ***IVP showing horse shoe kidney*** - The image displays features consistent with an **Intravenous Pyelogram (IVP)**, a radiological study of the urinary tract using contrast. The large, fused renal structures at the inferior poles, forming a "U" or "horseshoe" shape, are characteristic of a **horseshoe kidney**. - In a horseshoe kidney, the **lower poles of both kidneys are fused**, typically anterior to the great vessels, which is visible here through the opacified collecting systems. *Barium enema ulcerative colitis* - A **barium enema** visualizes the colon, and typical findings in **ulcerative colitis** include loss of haustra, narrowing, and mucosal irregularities, which are not seen in this image. - The structures shown here are clearly **intravenous contrast-filled renal collecting systems**, not intestinal loops. *Hysterosalpingogram suggestive of PID* - A **hysterosalpingogram (HSG)** is an imaging test for the uterus and fallopian tubes, visualized after contrast injection. - While **pelvic inflammatory disease (PID)** can cause tubal abnormalities (e.g., hydrosalpinx), the image clearly shows structures resembling kidneys and ureters, not female reproductive organs. *Micturition cystourethrogram suggestive of VUR* - A **micturating cystourethrogram (MCUG)** assesses the bladder and urethra, primarily for **vesicoureteral reflux (VUR)**, where urine flows backward into the ureters and kidneys from the bladder. - This image shows contrast in the renal collecting systems and ureters, but it's consistent with an **IVP and an anatomical variant** (horseshoe kidney), not reflux from the bladder as would be observed during active micturition in an MCUG.
Explanation: ***Vesico-ureteric reflux*** - The image, likely a **voiding cystourethrogram (VCUG)**, shows **contrast material filling the bladder and extending upwards into both ureters and renal pelves**. This **retrograde flow of urine** from the bladder into the upper urinary tract is diagnostic of **vesicoureteral reflux (VUR)**. - VUR can lead to **recurrent urinary tract infections** and potential **kidney damage** due to pressure and infection. *Posterior urethral valves* - Posterior urethral valves typically cause an obstruction to urine flow from the bladder, leading to marked bladder distension and often significant bilateral hydronephrosis and hydroureter. - While VUR can coexist with PUV, the primary finding in this image is the reflux itself rather than signs of distal urethral obstruction. *Bladder stone* - A bladder stone would appear as a filling defect or a high-density area within the bladder, which is not depicted in this image. - The image shows the bladder uniformly filled with contrast, with no obvious intraluminal masses or calcifications. *Bladder rupture* - Bladder rupture would demonstrate extravasation of contrast material outside the confines of the bladder into the surrounding peritoneum or retroperitoneum, which is not seen here. - The contrast remains contained within the bladder and refluxes only into the collecting systems.
Explanation: ***Sail sign*** - The image displays a prominent triangular shadow in the right upper mediastinum, consistent with the **thymus gland** in a pediatric chest X-ray. - This characteristic appearance, resembling a **sailboat's sail**, is a normal finding in infants and young children and is known as the sail sign. *Right upper lobe consolidation* - **Consolidation** would appear as an area of increased opacity in the lung parenchyma, which is not clearly visible in the right upper lobe. - The opacity present is specifically located in the mediastinal region and has the typical shape and borders of the normal thymus. *Gas under diaphragm* - **Gas under the diaphragm** is typically seen as a crescent-shaped lucency beneath the diaphragm, usually indicative of a **pneumoperitoneum**. - No such free air is visible below either hemidiaphragm in this image. *Box shaped heart* - A **box-shaped heart** is a classic finding in **Ebstein's anomaly**, where the heart appears enlarged and more square due to atrialization of the right ventricle. - The cardiac silhouette in this image does not exhibit this specific morphology and appears within normal limits for a pediatric patient.
Explanation: ***Sacrococcygeal teratoma*** - The image shows a large, well-defined mass extending from the **sacrococcygeal region** of the infant. The presence of both soft tissue and calcifications within the mass (suggesting varying tissue types) is characteristic of a **teratoma**. - **Sacrococcygeal teratomas (SCTs)** are the most common germ cell tumors of childhood, typically presenting as external masses projecting from the lower back/buttocks. *Hemangioma* - A hemangioma is a **benign vascular tumor** that would typically appear as a soft tissue mass without the presence of internal calcifications or complex structures visible on plain radiography. - While they can be large, their radiological appearance would be primarily of **soft tissue density**, and they don't commonly arise with such distinct bony involvement or complex internal architecture. *Myelomeningocele* - A myelomeningocele is a form of **spina bifida** where the spinal cord and meninges protrude through a defect in the vertebral column, often presenting as a fluid-filled sac. - While it occurs in the same anatomical region, the image depicts a **solid, heterogeneous mass** with calcifications rather than a herniated neural tissue with cerebrospinal fluid. *Arnold-Chiari malformation* - Arnold-Chiari malformation is a structural defect in the **cerebellum**. - It involves the downward displacement of the cerebellar tonsils through the foramen magnum and would not present as an external mass in the sacrococcygeal region.
Explanation: ***Congenital diaphragmatic hernia*** - The infantogram shows loops of **bowel within the thoracic cavity**, displacing the heart and mediastinum. - This classic appearance, with visible **gas-filled loops** in the chest, is characteristic of a congenital diaphragmatic hernia, typically on the left side (Bochdalek hernia). *Cystic adenomatoid malformation* - This condition involves an abnormal growth of lung tissue forming **cysts**; these cysts typically appear as discrete radiolucencies or a solid mass within the lung. - Unlike in the image, it does not typically show distinct **bowel loops in the chest cavity**. *Pneumomediastinum* - This condition is characterized by air in the **mediastinum**, which would appear as lucency outlining the mediastinal structures, such as the heart and great vessels. - It does not involve the presence of **abdominal contents** within the chest cavity. *Congenital lobar emphysema* - This condition presents with **hyperinflation of a single lobe** (usually left upper lobe) causing mass effect and mediastinal shift. - It appears as a hyperlucent, overexpanded lobe, but does not show **bowel gas pattern** or abdominal contents in the thorax.
Explanation: ***Duodenal atresia*** - The X-ray image shows a classic "double bubble" sign, which is pathognomonic for **duodenal atresia**, caused by air trapped in the stomach and the proximal dilated duodenum. - There is an absence of distal bowel gas, indicating a complete obstruction beyond the duodenum. *Jejunal atresia* - While jejunal atresia also presents with intestinal obstruction, it typically shows **multiple dilated loops of small bowel** proximal to the obstruction, not just two distinct air-filled structures. - The "double bubble" sign is not characteristic of jejunal atresia, as the obstruction occurs further down the small intestine. *Pneumatosis intestinalis* - **Pneumatosis intestinalis** is characterized by the presence of gas within the bowel wall, often appearing as linear lucencies or bubbly patterns on X-ray. - This finding is typically associated with **necrotizing enterocolitis** and is not seen in the provided image. *Hirschsprung's disease* - **Hirschsprung's disease** is characterized by the absence of ganglion cells in the distal colon, leading to a functional obstruction. - X-rays typically show a **dilated colon proximal to the aganglionic segment** and often a paucity of gas in the rectum, but not the specific "double bubble" sign seen here.
Explanation: ***Schamroth's window*** - The image illustrates the physical exam maneuver used to assess for **Schamroth's window test**, where the distal phalanges of two opposing fingers are pressed together. - The presence of a **diamond-shaped space (window)** in the center, as shown, indicates a negative test, meaning clubbing is absent. Its absence signifies positive clubbing. *Hamman crunch sign* - This refers to a **crunching sound** heard over the precordium synchronous with the heartbeat, indicating **mediastinal emphysema** or pneumomediastinum. - It is an **auditory sign**, not a visual one involving the digits as depicted in the image. *Pemberton sign* - This sign is observed in patients with a **retrosternal goiter**, where facial plethora, distended neck veins, and respiratory distress occur upon raising both arms above the head. - It is a test for **superior vena cava obstruction** and has no relation to finger examination. *Oliver sign* - The Oliver sign is a **tracheal tugging** sensation felt upon palpation of the cricoid cartilage while the patient extends their neck, indicative of **aortic aneurysm**. - This sign is related to the great vessels and is not a digital examination.
Normal Pediatric Developmental Anatomy
Practice Questions
Neonatal Imaging
Practice Questions
Pediatric Chest Imaging
Practice Questions
Pediatric Abdominal Imaging
Practice Questions
Pediatric Musculoskeletal Imaging
Practice Questions
Pediatric Neuroradiology
Practice Questions
Congenital Heart Disease Imaging
Practice Questions
Pediatric Oncology Imaging
Practice Questions
Child Abuse Imaging
Practice Questions
Pediatric Interventional Radiology
Practice Questions
Radiation Protection in Pediatrics
Practice Questions
Sedation in Pediatric Imaging
Practice Questions
Get full access to all questions, explanations, and performance tracking.
Start For Free