The following test was performed on the patient. Which is correct about the patient?

All of the following agents are used in the imaging technique shown below except:

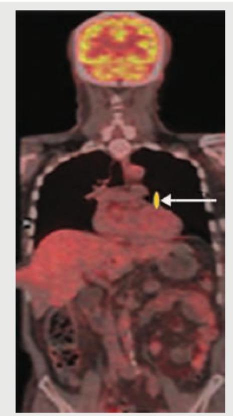
The following image shows:

A long distance runner complains of pain in the foot causing reduction in his performance. His X-ray and MRI foot are normal. He was advised to undergo a nuclear scan as shown below. Which tracer is used in this scan? (Recent NEET Pattern 2016-17)

The following image shows: (Recent NEET Pattern 2016-17)

A patient was started on RCHOP regimen for NHL. The investigation shown below was done to monitor response to treatment. What is the investigation?

Comment on the diagnosis from the thyroid scan shown below. (AIIMS May 2017)

Positron Emission Tomography (PET) used in Preoperative staging of Gastro Oesophageal tumours is to detect
Best way to localize extra-adrenal pheochromocytoma:
Radiopharmaceutical used for phagocyte study scan:
Explanation: ***Pain decreases on standing still*** - The image depicts the measurement of **Ankle-Brachial Index (ABI)**, a diagnostic test for **Peripheral Artery Disease (PAD)**. - **Intermittent claudication** is the hallmark symptom of PAD, characterized by cramping pain in the legs that develops **after walking a certain distance** and is **relieved by rest** (standing still). - This occurs because the narrowed arteries cannot supply adequate blood flow during exercise, causing muscle ischemia and pain that resolves when activity ceases. *Pain is present on first step of walking* - This is **incorrect** for claudication, which requires time to develop as muscles become ischemic during sustained activity. - Pain on the **first step** would suggest **musculoskeletal pathology** (arthritis, plantar fasciitis) or **neurological issues** (nerve compression), not vascular claudication. - Claudication distance is a key diagnostic feature - patients can walk a reproducible distance before pain begins. *Pain is present at rest* - **Rest pain** indicates **critical limb ischemia**, a severe form of PAD where blood flow is inadequate even at rest. - This represents advanced arterial disease beyond simple claudication and requires urgent evaluation for revascularization. - Rest pain typically affects the forefoot and is worse at night when lying flat. *Pain increases on limb dependency* - Actually, **limb dependency (hanging the leg down)** typically **relieves pain** in severe PAD by using gravity to improve distal perfusion. - Patients with critical limb ischemia often sleep with legs dependent or dangle feet off the bed for relief. - This is opposite to **venous insufficiency**, where elevation improves symptoms.
Explanation: ***Gadolinium*** - The image shown is a **PET scan**, which utilizes radiotracers that emit positrons, typically labeled with isotopes like 18F, 11C, 15O, or 13N. - **Gadolinium** is used as a contrast agent in **Magnetic Resonance Imaging (MRI)**, enhancing signal intensity by shortening T1 relaxation times, which is a different imaging modality. *18 Fluoride* - **18 Fluoride (18F-FDG)** is the most commonly used radiotracer in PET scans. - It is a glucose analog that accumulates in metabolically active cells, such as cancer cells, making it useful for **oncologic imaging**. *FLT* - **FLT (3'-deoxy-3'-[18F]fluorothymidine)** is another PET radiotracer. - It measures **cellular proliferation** by reflecting DNA synthesis, making it useful for assessing tumor growth rate. *FMISO* - **FMISO ([18F]fluoromisonidazole)** is a PET radiotracer used to detect **hypoxia** (low oxygen levels) in tissues. - It is often used in oncology to identify hypoxic regions within tumors, which can be resistant to radiation therapy.
Explanation: ***Bone scintigraphy*** - This image displays a typical **bone scan** appearance, characterized by diffuse uptake throughout the skeletal system, with focal areas of increased tracer accumulation (hot spots) indicating increased bone turnover. - The visualization of the entire skeleton with this characteristic intensity and distribution of radioactive tracer is unique to **bone scintigraphy**. *Whole body MRI* - Whole body MRI images would exhibit detailed **anatomical structures** with varying signal intensities depending on tissue composition and MRI sequence, and would not show this uniform skeletal uptake pattern. - MRI is excellent for **soft tissue contrast** and bone marrow evaluation but does not produce the diffuse, radionuclide-based signal seen here. *Whole body CT scan* - A whole body CT scan provides highly detailed **cross-sectional anatomical images** based on X-ray attenuation, showing bone density and soft tissue. - It would not show the diffuse radionuclide uptake pattern characteristic of a bone scan but rather precise **structural details**. *Projectional radiography* - Projectional radiography (X-rays) would provide a 2D image of bone structures by showing differential absorption of X-rays, resulting in a distinct, shadow-like representation of bones. - It does not involve radioactive tracer uptake and therefore would not present this **diffuse uptake pattern** of the entire skeleton.
Explanation: ***18-F Fluoride*** - Among the listed PET tracers, **18-F Fluoride** is the bone-seeking radiotracer used for bone imaging - 18-F Fluoride PET provides high-resolution imaging of bone turnover and blood flow, and can detect stress fractures with high sensitivity - It localizes to areas of increased bone metabolism and osteoblastic activity, making it effective for detecting subtle stress injuries - **Note:** In routine clinical practice, **Tc-99m MDP (methylene diphosphonate)** is the standard tracer for conventional bone scintigraphy to detect stress fractures; however, among the PET tracers listed here, 18-F Fluoride is the appropriate bone imaging agent *FMISO (Fluoromisonidazole)* - **FMISO** is a **hypoxia tracer** used in PET imaging to identify areas of low oxygen tension - Primarily used in oncology to assess tumor hypoxia, not for bone or musculoskeletal imaging - Not indicated for evaluating stress fractures or bone metabolism *FLT (Fluorothymidine)* - **FLT** is a **proliferation tracer** that measures cellular DNA synthesis and proliferation - Mainly used in oncology to assess tumor growth and treatment response - Does not assess bone metabolism or detect stress fractures *64-Cu-ATSM* - **64-Cu-ATSM** is another **hypoxia tracer** used in PET imaging, similar to FMISO - Used to evaluate tissue hypoxia in cancer imaging - Not indicated for musculoskeletal injuries or bone metabolism assessment
Explanation: ***PET-CT scan*** - The image displays a **fusion of anatomical detail** (like bone and organ outlines, typical of CT) and **metabolic activity** (represented by areas of increased tracer uptake, characteristic of PET). - The anatomical structures are visible in grayscale/darker tones, while areas of high metabolic activity (e.g., in the brain, heart, and liver) are shown in vivid colors (red, orange, yellow), indicating the combined nature of PET-CT. *PET scan* - A standalone PET scan would primarily show areas of **metabolic activity** and tracer uptake, but with significantly **less anatomical detail** and structural context compared to the image provided. - While it would show areas of high activity in colors, the underlying structural images (like rib cage, outline of organs) would be absent or very blurred. *MUGA scan* - A MUGA scan (Multi-Gated Acquisition scan) is used to assess **cardiac function** and primarily shows the heart chambers in motion to calculate ejection fraction. - The image provided is a whole-body scan, not focused on cardiac motion, and displays different imaging modalities. *HIDA scan* - A HIDA scan (Hepatobiliary Iminodiacetic Acid scan) is a nuclear medicine imaging test used to diagnose problems of the **liver, gallbladder, and bile ducts**. - This scan would exclusively show the hepatobiliary system and its function, which is not what is depicted in this comprehensive whole-body image.
Explanation: ***PET scan*** - The image displays a **whole-body imaging technique** with areas of increased **radiotracer uptake**, characteristic of **PET-CT (positron emission tomography) scans** using **FDG (fluorodeoxyglucose)**. - **FDG-PET-CT** is the **gold standard** for **staging and monitoring treatment response** in lymphomas, including NHL treated with RCHOP regimen. - It detects areas of **high metabolic activity** typical of viable tumor cells, and response is assessed using **Deauville criteria** or **Lugano classification**. - Post-treatment PET-CT helps differentiate between **residual viable tumor** and **fibrotic tissue**, which is crucial for management decisions. *HIDA scan* - A HIDA (hepatobiliary iminodiacetic acid) scan primarily evaluates the **hepatobiliary system** (gallbladder and bile ducts) for conditions like **acute cholecystitis** or bile duct obstruction. - It uses Tc-99m labeled radiopharmaceutical and does not produce a whole-body image with generalized metabolic uptake as shown. *MUGA scan* - A MUGA (multi-gated acquisition) scan is used to assess **cardiac function**, specifically the **left ventricular ejection fraction (LVEF)**. - It's often performed **before and during anthracycline therapy** (like doxorubicin in RCHOP) to monitor for cardiotoxicity. - It focuses on the heart and does not provide a whole-body metabolic assessment for tumor response. *Bone scintigraphy* - **Bone scintigraphy** (bone scan) uses Tc-99m MDP to visualize **bone metabolism** and detect fractures, infections, or skeletal metastases. - While it uses a radiotracer, the uptake pattern is limited to the skeletal system and shows **osteoblastic activity**, unlike PET-CT which shows soft tissue and nodal metabolic activity throughout the body.
Explanation: ***Hypersecreting adenoma*** - The thyroid scan shows a **single, intensely "hot" nodule**, indicating increased uptake of the radioactive tracer in a localized area. - This pattern is characteristic of a **hyperfunctioning thyroid adenoma**, where the adenoma produces hormones independently, leading to suppression of the rest of the normal thyroid tissue (which appears "cold" or has reduced uptake). *Papillary cancer thyroid* - Papillary thyroid cancer typically appears as a **"cold" nodule** on a thyroid scan, meaning it has reduced or no tracer uptake. - Malignant nodules generally do **not accumulate iodine** as efficiently as normal thyroid tissue or hyperfunctioning benign nodules. *Grave's disease* - Grave's disease presents with **diffuse uptake of the tracer** throughout the entire thyroid gland, not a single localized hot nodule. - The entire gland is generally enlarged and hyperactive, showing **symmetrically increased uptake**. *Lateral aberrant thyroid* - A lateral aberrant thyroid refers to **ectopic thyroid tissue** usually found in the neck, often in lymph nodes due to metastatic papillary carcinoma. - While it involves thyroid tissue outside the normal gland, it wouldn't typically manifest as a single hyperfunctioning nodule within the main thyroid gland, and most ectopic thyroid tissue would show varying uptake depending on its function or if it's metastatic cancer.
Explanation: ***Distant metastatic disease*** - **PET scans** are highly sensitive for detecting metabolically active lesions, making them excellent for identifying **distant metastases** in organs such as the liver, lungs, and bone, which significantly impacts surgical planning. - Identifying **distant metastatic disease** with PET helps in determining if the patient is a candidate for curative surgery or if palliative treatment is more appropriate. *Local spread* - While PET can show increased metabolic activity in the primary tumor, its resolution is often insufficient to precisely delineate the **local extent** of tumor invasion into adjacent tissues, which is better evaluated by **endoscopic ultrasound (EUS)** or **CT scan**. - Assessing local invasion is crucial for determining resectability, but PET's primary role isn't detailed local staging. *Lymph node status* - **PET scans** can detect metabolically active lymph nodes, but they have limitations in differentiating between inflammatory and malignant nodes, especially for very small metastases, leading to potential false positives or negatives. - **Endoscopic ultrasound (EUS)** with fine-needle aspiration (FNA) is generally considered superior for accurate regional **lymph node staging** in gastroesophageal cancer. *Extension into stomach* - The precise **intramural extension** of the tumor within the esophagus and into the stomach is often difficult to determine accurately with PET due to its relatively poor spatial resolution compared to other imaging modalities like **endoscopic ultrasound (EUS)** and **CT**. - **Endoscopic assessment** directly visualizes the tumor and can determine its macroscopic extent into the stomach more precisely than PET.
Explanation: ***Nuclear medicine scan (MIBG scan)*** - **Iodine-131-metaiodobenzylguanidine (MIBG) scan** is the imaging modality of choice for localizing extra-adrenal pheochromocytomas due to its high specificity for **neuroendocrine tumors** like pheochromocytomas and paragangliomas. - MIBG is structurally similar to **norepinephrine** and is actively taken up by adrenergic neurons, allowing visualization of hypersecreting chromaffin cells wherever they are located in the body. *X-ray* - **X-rays** provide limited soft tissue detail and are generally not useful for localizing pheochromocytomas, especially extra-adrenal ones. - They may show calcifications in some tumors but lack the sensitivity and specificity needed for definitive localization. *Clinical examination* - A **clinical examination** can identify signs and symptoms suggestive of pheochromocytoma (e.g., hypertension, palpitations, sweating) but cannot localize the tumor itself. - Localization requires **imaging studies** due to the variable and often deep-seated location of these tumors. *VMA excretion* - **Vanillylmandelic acid (VMA) excretion** is a biochemical test used to diagnose pheochromocytoma by measuring catecholamine metabolites in urine. - While it confirms the presence of a catecholamine-secreting tumor, it provides **no information about the tumor's location**.
Explanation: ***Sulfur colloid scan*** - **Sulfur colloid** is readily phagocytosed by **Kupffer cells** in the liver and spleen, making it useful for evaluating their function. - This scan allows for the assessment of the **reticuloendothelial system's phagocytic activity**, which involves various phagocytes. *MDP scan* - **MDP (methylene diphosphonate)** is used primarily for **bone scans** to detect bone abnormalities, infections, or tumors. - It accumulates in areas of increased **osteoblastic activity**, not phagocytic activity. *Thallium 201* - **Thallium 201** is largely used in **myocardial perfusion imaging** to assess blood flow to the heart muscle. - It acts as a potassium analog and is taken up by viable myocardial cells, not phagocytes. *Technetium pertechnetate scan* - **Technetium pertechnetate** is commonly used for **thyroid scans**, Meckel's diverticulum scans, and brain scans. - It accumulates in glandular tissues with active transport mechanisms involving iodide, and is not involved in phagocyte studies.
Physics of Nuclear Medicine
Practice Questions
Radiopharmaceuticals
Practice Questions
Radiation Detection in Nuclear Medicine
Practice Questions
Thyroid Scintigraphy
Practice Questions
Bone Scintigraphy
Practice Questions
Renal Nuclear Medicine
Practice Questions
Cardiac Nuclear Medicine
Practice Questions
Pulmonary Nuclear Medicine
Practice Questions
Neurological Nuclear Medicine
Practice Questions
PET/CT Principles and Applications
Practice Questions
Radionuclide Therapy
Practice Questions
Radiation Safety in Nuclear Medicine
Practice Questions
Get full access to all questions, explanations, and performance tracking.
Start For Free