What is not a feature of Sturge-Weber syndrome?
A 5-year-old child presents with a cystic lesion with an enhancing mural nodule in the cerebellar hemisphere on brain MRI. What is the most likely diagnosis?
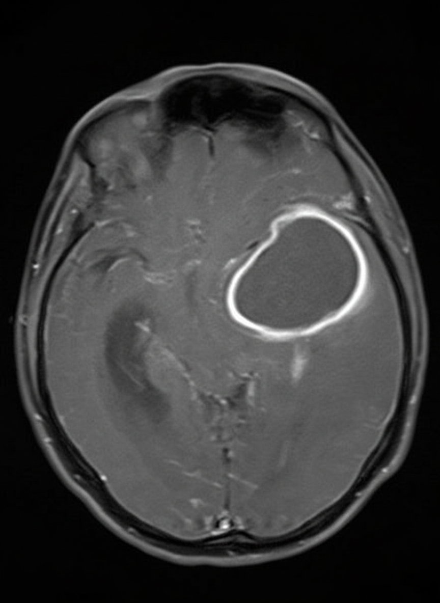
A 64-year-old man presents with headache and left-sided upper extremity weakness. The MRI of the brain is shown. What does the MRI exhibit?

Intracranial calcification is best diagnosed by?
Which of the following is NOT a typical finding of neurocysticercosis on CT scan?
Pepper pot appearance of the skull is seen in which of the following conditions?
Tigroid white matter is characteristically seen on MR spectroscopy in which of the following conditions?
A CT scan of the neck is shown below with an arrow pointing towards the upper cervical vertebrae. What does the arrow most likely indicate?

The salt and pepper effect in MRI of the salivary gland is characteristic of which condition?
Which of the following is not a cause of communicating hydrocephalus?
Explanation: **Sturge-Weber Syndrome (SWS)**, also known as encephalotrigeminal angiomatosis, is a neurocutaneous disorder (phakomatosis) characterized by a sporadic mutation in the **GNAQ gene**. It is defined by the triad of a facial port-wine stain, leptomeningeal angiomatosis, and glaucoma. ### **Explanation of Options** * **Empty Sella (Correct Answer):** This is not a feature of SWS. An empty sella occurs when the subarachnoid space extends into the sella turcica, flattening the pituitary gland. It is typically associated with **Idiopathic Intracranial Hypertension (Pseudotumor cerebri)**, not neurocutaneous syndromes. * **Rail Track Appearance:** This is a classic radiological hallmark of SWS. It refers to **gyriform cortical calcifications** (usually in the parietal and occipital lobes) that appear as parallel curvilinear opaque lines on a skull X-ray or CT scan. * **Hemiatrophy of the Brain:** The leptomeningeal angioma causes chronic venous ischemia and hypoxia in the underlying brain tissue. This leads to progressive cortical atrophy of the affected hemisphere, often accompanied by compensatory thickening of the skull (calvarial thickening) and enlargement of the paranasal sinuses (Dyke-Davidoff-Mason syndrome). * **Convulsion:** Seizures are the most common neurological complication of SWS (occurring in ~75-90% of cases), often starting in the first year of life due to cortical irritability from ischemia and calcification. ### **High-Yield Clinical Pearls for NEET-PG** * **Port-wine stain:** Usually follows the distribution of the **Ophthalmic (V1)** and Maxillary (V2) divisions of the Trigeminal nerve. * **Imaging of Choice:** **Contrast-enhanced MRI** is the most sensitive modality to detect leptomeningeal enhancement ("pial angioma"). * **"Tram-track" vs. "Rail-track":** Both terms describe the same cortical calcification pattern on imaging. * **Buphthalmos:** "Ox-eye" or enlarged globe due to congenital glaucoma is a frequent ophthalmic finding.
Explanation: **Explanation:** The clinical presentation of a **cystic lesion with an enhancing mural nodule** in the cerebellum of a child is the classic imaging hallmark of **Pilocytic Astrocytoma (Grade I)**. It is the most common primary brain tumor in children. **Why Pilocytic Astrocytoma is correct:** * **Demographics:** Typically occurs in the first two decades of life. * **Location:** Most commonly found in the posterior fossa (cerebellum). * **Imaging:** Characterized by a large fluid-filled cyst and a solid, intensely enhancing mural nodule. On MRI, the cyst wall usually does not enhance unless it contains tumor cells. **Why other options are incorrect:** * **Meningioma:** These are extra-axial, dural-based tumors that are rare in children and typically present as solid, intensely enhancing masses with a "dural tail" sign. * **Schwannoma:** Most commonly involves the CN VIII (Vestibulocochlear nerve) at the cerebellopontine angle. While they can be cystic, they are rare in 5-year-olds unless associated with Neurofibromatosis Type 2. * **Glioma:** While Pilocytic Astrocytoma is a type of low-grade glioma, "Glioma" is a broad category. In NEET-PG, when a specific classic presentation is given, the most specific histological diagnosis is preferred. **High-Yield Clinical Pearls for NEET-PG:** * **Histology:** Look for **Rosenthal fibers** (corkscrew-shaped eosinophilic bundles) and bipolar cells with long hair-like processes (pilocytes). * **Genetics:** Strongly associated with **BRAF gene** alterations and **Neurofibromatosis Type 1 (NF1)**, especially when involving the optic pathway (Optic Glioma). * **Differential Diagnosis:** Hemangioblastoma also presents as a "cyst with a nodule" but is more common in adults and associated with Von Hippel-Lindau (VHL) syndrome.
Explanation: ***The lesion shows a ring pattern of enhancement with intravenous contrast and has a nonenhancing necrotic center.*** - **Ring enhancement** with **central necrosis** is the hallmark finding of high-grade malignant brain lesions like **glioblastoma multiforme (GBM)** or **brain metastases**. - The **nonenhancing necrotic center** results from rapid tumor growth outpacing blood supply, leading to central tissue death while the viable tumor periphery enhances. *The lesion is regular in shape.* - Malignant brain tumors typically demonstrate **irregular, infiltrative borders** rather than regular geometric shapes. - **High-grade gliomas** characteristically show **butterfly-shaped** or **multifocal irregular patterns** due to their aggressive growth. *The lesion is well demarcated from surrounding brain tissue.* - Malignant lesions exhibit **poorly defined margins** with **infiltrative growth** into surrounding brain parenchyma. - **Primary brain tumors** like GBM characteristically show **ill-defined borders** unlike benign lesions such as meningiomas. *The lesion shows an absence of surrounding white-matter edema.* - **Vasogenic edema** is typically prominent around malignant brain lesions due to **disrupted blood-brain barrier**. - The **mass effect** and surrounding edema contribute to clinical symptoms like headache and neurological deficits in this patient.
Explanation: **Explanation:** **1. Why CT Scan is the Correct Answer:** Computed Tomography (CT) is the **gold standard** for detecting intracranial calcification. This is because CT is highly sensitive to the high electron density of calcium, which causes significant attenuation of the X-ray beam. On a CT scan, calcium appears as a bright, hyperdense (white) area with high Hounsfield Units (HU), typically ranging from **+100 to over +1000 HU**. It can detect even minute, punctate calcifications that other modalities might miss. **2. Why Other Options are Incorrect:** * **Plain X-ray Skull:** While X-rays can show large calcifications (like a calcified pineal gland), they lack the sensitivity and spatial resolution to detect small or deep-seated lesions. It is largely obsolete for this purpose. * **FDG-PET Scan:** This is a functional imaging modality used to assess glucose metabolism (e.g., in tumors or epilepsy). It does not provide structural detail regarding mineralization. * **MRI:** MRI is generally **inferior** to CT for identifying calcium. On standard sequences (T1/T2), calcium can have variable appearances (often dark/hypointense), making it difficult to distinguish from flowing blood (flow voids) or air. While specialized sequences like **SWI (Susceptibility Weighted Imaging)** are sensitive to calcium, CT remains the diagnostic benchmark. **High-Yield Clinical Pearls for NEET-PG:** * **Most common physiological intracranial calcification:** Pineal gland (seen in >50% of adults). * **Sturge-Weber Syndrome:** Characterized by "tram-track" cortical calcification. * **Oligodendroglioma:** The brain tumor most famously associated with calcification (70-90% of cases). * **Fahr’s Disease:** Idiopathic, massive bilateral basal ganglia calcification. * **TORCH Infections:** CMV typically causes **periventricular** calcification, while Toxoplasmosis causes **scattered/diffuse** parenchymal calcification.
Explanation: **Explanation:** Neurocysticercosis (NCC), caused by the larval stage of *Taenia solium*, presents with varying imaging features depending on the stage of the parasite's life cycle. **Why "High density lesions" is the correct answer:** On a non-contrast CT (NCCT), NCC typically presents as either low-density (cystic) or calcified lesions. **High-density (hyperdense) lesions** are not a characteristic feature of NCC. While the scolex within a cyst may appear as a tiny hyperdense dot ("hole-with-dot" appearance), the lesion itself is not inherently high-density. Hyperdense lesions on CT usually suggest acute hemorrhage or highly cellular tumors, neither of which are typical for NCC. **Analysis of incorrect options:** * **Parenchymal calcification:** This is the most common finding in the **nodular calcified stage** (final stage), representing the death of the parasite. * **Low density non-enhancing lesion:** This corresponds to the **vesicular stage**, where the viable parasite lives inside a fluid-filled cyst that has a density similar to CSF. * **Diffuse cerebral edema:** This occurs during the **encephalitic form** of NCC, usually due to a heavy parasitic load triggering a massive host immune response, or during the colloidal vesicular stage where localized edema is common. **NEET-PG High-Yield Pearls:** * **Stages of NCC:** Vesicular (Cyst with scolex) → Colloidal vesicular (Ring enhancement + Edema) → Granular nodular (Decreasing edema) → Nodular calcified (Calcified speck). * **Pathognomonic finding:** A cystic lesion with an eccentric hyperdense scolex (**"Hole-with-dot" sign**). * **Drug of Choice:** Albendazole is preferred over Praziquantel due to better CNS penetration. Steroids must be administered before antiparasitic drugs to prevent inflammation-induced seizures.
Explanation: **Explanation:** **Hyperparathyroidism (Correct Answer):** The "Pepper pot skull" (also known as the **salt-and-pepper skull**) is a classic radiologic sign of **Hyperparathyroidism** (primary, secondary, or tertiary). It occurs due to increased parathyroid hormone (PTH) levels, which stimulate osteoclastic activity. This leads to multiple small, diffuse, punctate lucencies (resorption) interspersed with areas of normal bone density, creating a mottled appearance. **Analysis of Incorrect Options:** * **Multiple Myeloma:** Characterized by **"Raindrop skull"** or "punched-out" lesions. Unlike the diffuse mottling of hyperparathyroidism, these are well-circumscribed, sharp, non-sclerotic lytic lesions of varying sizes. * **Sickle Cell Anemia:** Characterized by a **"Hair-on-end"** appearance. This results from compensatory extramedullary hematopoiesis causing widening of the diploic space and thinning of the outer table with vertical striations. * **Fibrous Dysplasia:** Classically shows a **"Ground-glass"** appearance on X-ray/CT. It involves the replacement of normal bone with fibrous tissue, often causing expansion of the bone and a smoky, hazy density. **High-Yield Clinical Pearls for NEET-PG:** * **Subperiosteal bone resorption** (especially on the radial aspect of the middle phalanges) is the *most sensitive* and pathognomonic sign of hyperparathyroidism. * Other skeletal features of hyperparathyroidism include **Brown tumors** (osteoclastomas) and the **Rugger-jersey spine** (seen in renal osteodystrophy). * **Distinction:** Pepper pot = Hyperparathyroidism; Punched-out/Raindrop = Multiple Myeloma.
Explanation: **Explanation:** The **"Tigroid" appearance** (or leopard-skin pattern) is a classic radiological sign characterized by linear or punctate areas of preserved myelin (darker signal) against a background of diffuse demyelination (brighter signal) in the white matter. **1. Why Pelizaeus-Merzbacher Disease (PMD) is correct:** PMD is an X-linked recessive **hypomyelinating leukodystrophy** caused by mutations in the **PLP1 gene**. The "Tigroid" pattern occurs because of islands of relatively preserved myelin around the perivascular spaces amidst a sea of deficient myelin. While this pattern is most famously associated with **Metachromatic Leukodystrophy (MLD)**, it is also a hallmark of PMD. *Note: The question mentions MR Spectroscopy; however, the "Tigroid" pattern is primarily a structural MRI finding (T2/FLAIR). In PMD, spectroscopy typically shows reduced NAA and elevated choline/myo-inositol.* **2. Why the other options are incorrect:** * **Pantothenate kinase deficiency (PKAN):** Characterized by the **"Eye of the Tiger"** sign (central T2 hyperintensity surrounded by hypointense hemosiderin) in the globus pallidus, not a tigroid white matter pattern. * **Neuroferritinopathy & Aceruloplasminemia:** These are disorders of iron metabolism (NBIA). They present with iron deposition in the basal ganglia (T2 hypointensity) rather than the specific white matter sparing seen in PMD. **Clinical Pearls for NEET-PG:** * **Tigroid Pattern:** Seen in **Metachromatic Leukodystrophy (MLD)** and **Pelizaeus-Merzbacher Disease (PMD)**. * **Eye of the Tiger:** Pathognomonic for **PKAN**. * **Macrocephaly + Leukodystrophy:** Think **Canavan disease** (elevated NAA on spectroscopy) or **Alexander disease** (frontal predominance). * **PMD Clinical Triad:** Nystagmus, spasticity, and developmental delay in an infant male.
Explanation: ***Cervical spine injury*** - CT scan showing abnormal findings at the **upper cervical vertebrae** with an arrow pointing to the area suggests **traumatic injury** or **fracture**. - Upper cervical spine injuries (C1-C2) are critical and can involve **atlantoaxial dislocation** or **odontoid fractures** requiring immediate evaluation. *Calcification of the posterior longitudinal ligament* - **OPLL (Ossification of Posterior Longitudinal Ligament)** typically appears as **continuous calcified bands** along the posterior vertebral bodies. - More commonly seen in the **lower cervical spine** (C5-C6) and presents as **chronic degenerative changes**, not acute findings. *Normal CT findings* - Normal cervical spine CT shows **intact vertebral bodies**, **clear joint spaces**, and **normal alignment** without abnormal densities. - The presence of an arrow indicating a specific finding suggests **pathological changes** rather than normal anatomy. *Vascular lesion* - Vascular abnormalities like **arteriovenous malformations** or **aneurysms** would show **contrast enhancement** on CT angiography. - Typically appear as **serpentine structures** or **abnormal vessel patterns**, not as bony abnormalities in the cervical spine.
Explanation: **Explanation:** The **"salt and pepper" appearance** on MRI of the parotid and submandibular glands is a classic imaging hallmark of **Sjogren Syndrome**. 1. **Why Sjogren Syndrome is correct:** This appearance is caused by the chronic inflammatory process of the disease. The **"pepper" (dark spots)** represents areas of punctate calcification, fibrosis, or hemosiderin deposits. The **"salt" (bright spots)** represents areas of fatty replacement, focal lymphocytic infiltration, or small cystic dilatations of the salivary ducts (sialectasis). On T2-weighted images, the heterogeneous mixture of high-signal intensity (fluid/fat) and low-signal intensity (fibrosis/calcification) creates this characteristic mottled pattern. 2. **Why other options are incorrect:** * **Thalassemia & Sickle Cell Anemia:** These conditions are associated with "salt and pepper" appearance in the **skull vault (calvaria)** on X-ray/CT due to marrow hyperplasia and trabecular changes, not in the salivary glands on MRI. * **Condensing Osteitis:** This is a periapical inflammatory bone reaction (sclerotic bone) usually found at the root apex of a tooth; it does not involve salivary gland parenchyma. **NEET-PG High-Yield Pearls:** * **Sjogren Syndrome:** Look for the clinical triad of dry eyes (xerophthalmia), dry mouth (xerostomia), and a connective tissue disease (e.g., Rheumatoid Arthritis). * **Imaging Gold Standard:** While MRI shows the salt and pepper sign, **Sialography** (traditionally) shows a "cherry blossom" or "leafless tree" appearance due to globular sialectasis. * **Differential Diagnosis:** The "salt and pepper" sign is also classically used to describe **Glomus tumors (Paragangliomas)** on MRI, where the "pepper" represents high-flow vascular void streaks. Always correlate with the anatomical location mentioned in the question.
Explanation: ### Explanation Hydrocephalus is classified into **Communicating (Non-obstructive)**, where CSF flows freely between the ventricles and the subarachnoid space, and **Non-communicating (Obstructive)**, where there is a physical blockage within the ventricular system. **Why Option B is the Correct Answer:** **Vein of Galen Malformation (VOGM)** typically causes **obstructive (non-communicating) hydrocephalus**. The dilated aneurysmal malformation of the vein of Galen physically compresses the **Aqueduct of Sylvius** from the outside. This leads to a blockage of CSF flow between the third and fourth ventricles. (Note: In rare cases, it can cause high-output heart failure leading to venous hypertension, but its classic presentation in radiology exams is extrinsic aqueductal compression). **Analysis of Incorrect Options:** * **A. Choroid Plexus Papilloma:** This causes communicating hydrocephalus through two mechanisms: overproduction of CSF that exceeds the absorption capacity of arachnoid granulations, and spontaneous micro-hemorrhages leading to arachnoiditis. * **C. Achondroplasia:** This is a classic cause of communicating hydrocephalus due to a **narrowed foramen magnum** and jugular foramina, which leads to increased intracranial venous pressure and impaired CSF absorption at the arachnoid villi. * **D. Meningeal Metastasis:** Carcinomatous meningitis causes inflammation and infiltration of the arachnoid villi, preventing the reabsorption of CSF into the dural venous sinuses, thus causing communicating hydrocephalus. **NEET-PG High-Yield Pearls:** * **Most common cause of communicating hydrocephalus:** Post-meningitic or post-hemorrhagic (SAH) fibrosis of arachnoid villi. * **Most common cause of obstructive hydrocephalus:** Aqueductal stenosis. * **Normal Pressure Hydrocephalus (NPH):** A form of communicating hydrocephalus characterized by the triad of **Wet, Wacky, and Wobbly** (Urinary incontinence, Dementia, Magnetic Gait). * **Imaging Gold Standard:** MRI is the investigation of choice to differentiate between communicating and obstructive types by visualizing the patency of the aqueduct.
Neuroanatomy for Radiologists
Practice Questions
Cerebrovascular Diseases
Practice Questions
Intracranial Tumors
Practice Questions
CNS Infections
Practice Questions
Demyelinating and Degenerative Diseases
Practice Questions
Head Trauma Imaging
Practice Questions
Spine Imaging: Trauma and Degenerative Disease
Practice Questions
Spine Tumors and Infections
Practice Questions
Pediatric Neuroradiology
Practice Questions
Congenital CNS Anomalies
Practice Questions
Functional Neuroimaging
Practice Questions
Neurointerventional Procedures
Practice Questions
Get full access to all questions, explanations, and performance tracking.
Start For Free