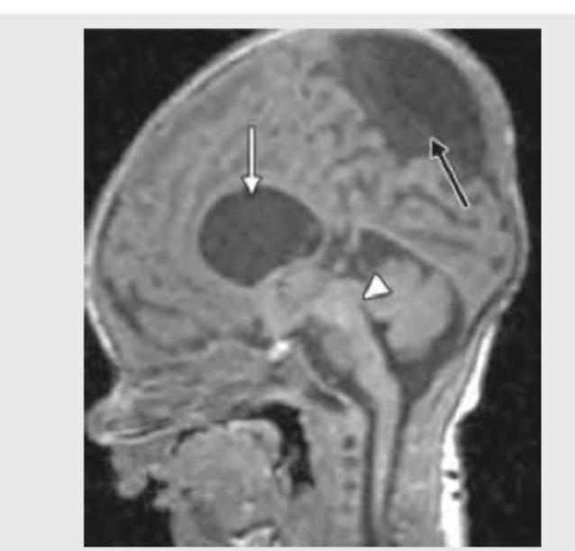
The MRI head of this infant with macrocephaly shows which of the following?

The given MRI head shows:

What does the CECT head show?

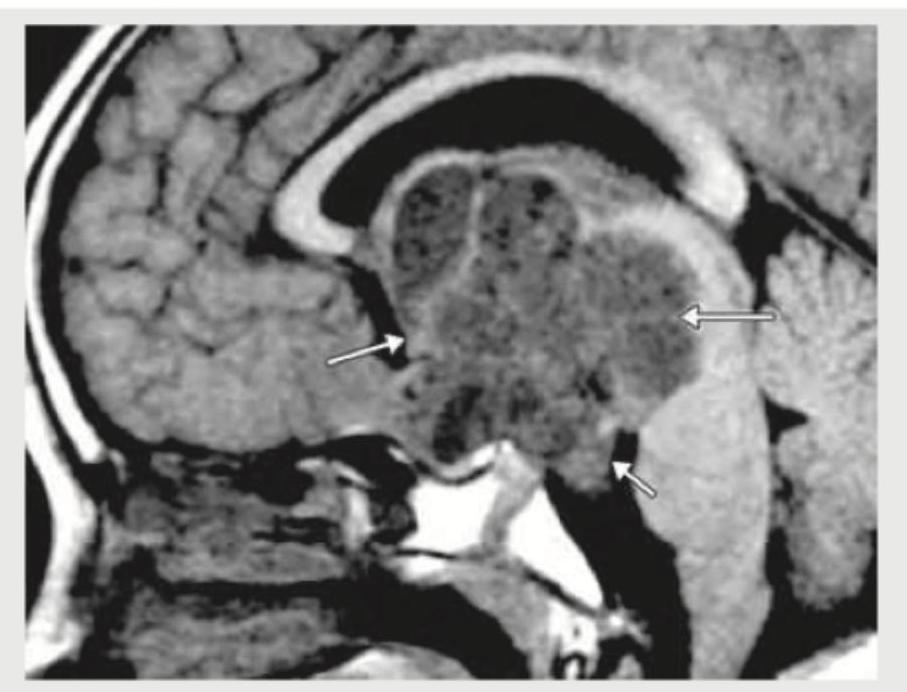
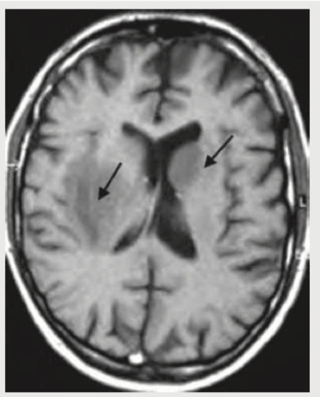
The given MRI head shows:

A 25-year-old AIDS patient who had stopped taking ART for 6 months presented with seizures and altered sensorium. MRI head of the patient shows:

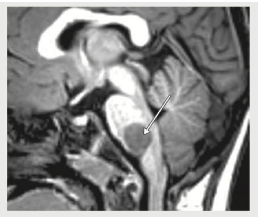
A 35-year-old immunocompromised patient presents with headache and altered sensorium. The following contrast-enhanced MRI head shows:

The digital subtraction angiography given below shows? (AIIMS Nov 2017)

A 6 month infant was brought with complaints of a failure to gain weight and a large head. On examination, increased head circumference, bounding pulses and features of heart failure were noted. On cranial auscultation loud cranial bruit was heard. MRI head shows? (Recent NEET Pattern 2018-19)

What does the given chest X-ray show?

A 50-year-old woman presents with daily early morning frontal headache and projectile vomiting. The image shows:

Explanation: ***Dandy-Walker syndrome*** - The MRI image clearly shows a **large posterior fossa cyst** (dilated fourth ventricle, indicated by the white arrow on top) communicating with the fourth ventricle and **agenesis/hypoplasia of the cerebellar vermis** (indicated by the white arrowhead). These are the classic features of Dandy-Walker syndrome. - The presence of **macrocephaly** in the infant is consistent with the obstructive hydrocephalus often associated with Dandy-Walker malformation, due to impaired CSF flow from the dilated fourth ventricle. *Aqueductal stenosis* - Aqueductal stenosis would primarily cause **dilatation of the lateral and third ventricles**, with a normal-sized fourth ventricle. - It would not typically present with a large posterior fossa cyst or cerebellar vermis hypoplasia/agenesis. *Tubercular meningitis* - Tubercular meningitis usually presents with **basilar meningeal enhancement** and sometimes hydrocephalus, but not with severe structural malformations of the cerebellum and fourth ventricle as seen here. - Imaging findings would include basal exudates, infarctions, and occasionally tuberculomas. *Neurocysticercosis* - Neurocysticercosis causes **cysts within the brain parenchyma** (often with an eccentric scolex) or within the ventricular system, typically in older children or adults from endemic areas. - It does not cause the characteristic posterior fossa malformation with vermian agenesis and communication with the fourth ventricle seen in the image.
Explanation: ***Craniopharyngioma*** - This MRI shows a suprasellar **cystic and solid mass** with heterogeneous signal intensity, which is characteristic of a craniopharyngioma. - The location extending into the **third ventricle** and the heterogeneous nature with possible calcifications (though not clearly visible in this T1 image) are typical features. *Pontine glioma* - A **pontine glioma** would be located within the **pons** (part of the brainstem), typically showing an expansive lesion intrinsic to the brainstem. - The lesion in the image is clearly suprasellar and not originating from the pons. *Cerebellar astrocytoma* - A **cerebellar astrocytoma** would be located within the **cerebellum**, in the posterior fossa, commonly presenting as a cystic lesion with a mural nodule. - The pictured mass is above the sella turcica, indicating a supratentorial location, and not within the cerebellum. *Pinealoma* - A **pinealoma** arises in the **pineal gland** region, posterior to the third ventricle and superior to the superior colliculi. - The lesion in the image is anterior to this location, in the suprasellar cistern and extending into the third ventricle, which is not consistent with a pinealoma.
Explanation: ***Brain abscess*** - The CECT image displays a **hypodense lesion with a well-defined hyperdense rim** after contrast administration, characteristic of a ring-enhancing lesion - The arrow specifically points to a **fluid-level within the lesion**, suggesting a collection of fluid with varying densities, a key feature of pyogenic brain abscess - Brain abscess typically presents with **thick, smooth, and uniform ring enhancement** with a hypodense necrotic center, exactly as seen in this image - The presence of a **fluid-fluid level** is highly suggestive of an abscess with pus and debris layering *Ring enhancing lesion* - While this is a correct **descriptive finding** of what is seen on imaging, it is not the most specific diagnosis - "Ring enhancing lesion" is a **general radiological term** that encompasses multiple pathologies including abscesses, necrotic tumors, metastases, and tuberculomas - In medical education and clinical practice, identifying the **specific diagnosis** (brain abscess) is more valuable than just describing the imaging pattern *Brain infarction* - **Brain infarction** typically appears as a **hypodense area** on CT corresponding to ischemic tissue - Infarcts generally do not show ring enhancement in acute or subacute phases - There is no evidence of **wedge-shaped hypodensity** or vascular territory distribution consistent with infarction *Pneumocephalus* - **Pneumocephalus** refers to the presence of **air within the cranial vault** - Air would appear as sharply demarcated, very low-density (black/hypodense) areas on CT scans - The observed lesion with fluid level and ring enhancement is not consistent with **intracranial air**
Explanation: ***Pontine glioma*** - The MRI image clearly shows an **intramedullary lesion** diffusely enlarging the **pons**, consistent with a pontine glioma. - Pontine gliomas, particularly **diffuse intrinsic pontine gliomas (DIPGs)**, are characterized by their location within the brainstem and often have poorly defined borders. *Craniopharyngioma* - Craniopharyngiomas typically arise from the **suprasellar region** near the pituitary gland and optic chiasm. - They are usually characterized by **cystic and solid components** and often show calcifications, which are not seen in the provided image. *Cerebellar astrocytoma* - Cerebellar astrocytomas are located in the **cerebellum**, a region posterior to the brainstem. - While they can be cystic or solid, their primary location is distinct from the **pons** as seen in the MRI. *Pinealoma* - A pinealoma is a tumor of the **pineal gland**, located in the midline dorsal to the midbrain. - This location is superior and posterior to the pons, and the image does not show a lesion in the pineal region.
Explanation: ***Toxoplasma*** - The MRI shows multiple **ring-enhancing lesions**, particularly in the basal ganglia and corticomedullary junction, which are characteristic of **Toxoplasma encephalitis** in an immunocompromised patient with AIDS. - The patient's history of **seizures** and **altered sensorium** in the context of advanced AIDS and cessation of ART strongly points towards an opportunistic infection like toxoplasmosis. *Cryptococcus infection* - Cryptococcal infections in AIDS patients frequently manifest as **meningitis** or **meningoencephalitis**, rather than focal brain lesions seen here. - While it can cause **cryptococcomas**, they are less common than Toxoplasma lesions and often appear as non-enhancing or minimally enhancing lesions, or associated with dilated Virchow-Robin spaces. *TB meningitis* - **Tuberculous meningitis** typically presents with meningeal enhancement, **basal exudates**, and sometimes **tuberculomas**. - While tuberculomas can be ring-enhancing, they are usually fewer in number and often associated with hydrocephalus, unlike the pattern seen in the image. *Herpes simplex encephalitis* - **Herpes simplex encephalitis (HSE)** characteristically affects the **temporal and frontal lobes**, leading to edema and sometimes hemorrhagic changes. - The lesions seen in the image are more multifocal and less restricted to the typical HSE regions.
Explanation: ***Ring enhancing lesions*** - The image distinctly shows multiple circular structures with a bright outer rim and a darker center, characteristic of **ring-enhancing lesions**. - These lesions often suggest conditions like **abscesses, metastases, or certain neuroinflammatory diseases** that cause breakdown of the blood-brain barrier. *Starry sky appearance* - This term is typically used in the context of certain lymphomas or small cell carcinoma, referring to the presence of numerous small, bright, and often uniform lesions against a darker background. - The lesions in the provided image are larger, less uniform, and clearly display a distinct ring enhancement, which doesn't fit the "starry sky" description. *Soap bubble appearance* - This appearance is characteristic of **cryptococcomas** or certain types of **arachnoid cysts**, presenting as multiloculated, often thin-walled cystic lesions. - The image does not show the typical fluid-filled, interconnected cysts associated with a "soap bubble" appearance; instead, it shows solid-appearing lesions with peripheral enhancement. *Dense MCA sign* - The **dense MCA sign** is a finding on **non-contrast CT scans** where the middle cerebral artery appears hyperdense due to a thrombus, indicating an acute ischemic stroke. - This finding is specific to **CT imaging** and acute stroke, and the provided image is an MRI, showing distinct enhancing lesions rather than a thrombosed artery.
Explanation: ***Carotid-cavernous fistula*** - The image shows early opacification of the **cavernous sinus** and cerebral veins (indicated by the arrow) directly from the internal carotid artery, which is characteristic of a carotid-cavernous fistula. - This high-flow shunt between the arterial and venous systems leads to venous congestion and often presents with **pulsatile exophthalmos**, chemosis, and ophthalmoplegia. *Intra-cranial pseudo-aneurysm* - A pseudo-aneurysm typically appears as a sac-like outpouching from an artery, lacking a true vessel wall, and would not show direct early venous filling. - Pseudo-aneurysms are often caused by **trauma** or infection and may present with signs of hemorrhage if ruptured. *Angiofibroma tumor blush* - An angiofibroma would appear as a **hypervascular mass** with a dense, persistent tumor blush on angiography, but it would not show early direct shunting into veins. - These tumors are typically found in the nasopharynx and present with symptoms like **epistaxis** and nasal obstruction. *Vein of Galen malformation* - A **Vein of Galen malformation** is a developmental anomaly involving an arteriovenous fistula that drains into a dilated median prosencephalic vein, often presenting in infants with high-output heart failure. - While it is an arteriovenous malformation, its typical location and presentation are different from the findings shown in this image, which demonstrates shunting in the region of the cavernous sinus.
Explanation: ***Vein of Galen formation*** - The clinical presentation of **failure to thrive**, **macrocephaly**, **bounding pulses**, **heart failure**, and a **loud cranial bruit** in an infant is highly characteristic of a **Vein of Galen malformation (VOGM)**. The image would show a dilated vein of Galen. - VOGMs are high-flow arteriovenous malformations that can lead to significant hemodynamic stress on the heart and hydrocephalus due to obstruction of CSF pathways. *Arachnoid cyst* - While arachnoid cysts can cause **macrocephaly** and, less commonly, obstructive hydrocephalus, they generally do not present with **heart failure**, **bounding pulses**, or a **cranial bruit**. - MRI would show a CSF-filled cyst that follows CSF signal on all sequences and typically does not enhance. *Arnold-Chiari malformation* - Arnold-Chiari malformations involve downward displacement of cerebellar tonsils or vermis through the foramen magnum and are associated with hydrocephalus, but they do not typically cause **heart failure**, **bounding pulses**, or a **cranial bruit**. - Clinical features usually relate to brain stem compression or hydrocephalus, such as apnea, stridor, or feeding difficulties. *Dandy-Walker syndrome* - Dandy-Walker syndrome is characterized by hypoplasia of the cerebellar vermis and cystic dilation of the fourth ventricle, often leading to **hydrocephalus** and **macrocephaly**. - However, it does not explain the **bounding pulses**, **heart failure**, or **cranial bruit** seen in this patient, which point to a vascular anomaly.
Explanation: ***Pneumoperitoneum*** - The chest X-ray shows **free air under the diaphragm**, visible as a lucent (dark) crescent between the liver/spleen and the diaphragm (indicated by the arrow on the right side of the patient). - This finding is diagnostic of **pneumoperitoneum**, which is often caused by a perforated abdominal viscus like a peptic ulcer or bowel perforation. *Emphysema* - **Emphysema** is a lung condition characterized by over-inflated alveoli and air trapping within the lungs, leading to hyperlucency of the lung fields and flattened diaphragms. - It does not present as free air below the diaphragm but rather as changes within the lung parenchyma. *Diaphragmatic hernia* - A **diaphragmatic hernia** involves the protrusion of abdominal organs into the chest cavity through a defect in the diaphragm. - This would typically show abdominal contents (e.g., bowel loops or stomach) above the diaphragm in the thoracic cavity, not free air below it. *Diaphragmatic eventration* - **Diaphragmatic eventration** is an abnormal elevation of part or all of an intact hemidiaphragm due to thinning and weakness of the diaphragmatic muscle. - It causes an elevated diaphragm but does not involve free air in the peritoneal cavity.
Explanation: **Meningioma** - The MRI shows a **well-circumscribed, extra-axial mass** that is significantly enhancing, particularly in the frontal lobe near the convexity. Histopathology of a meningioma characteristically features **whorls of meningothelial cells** and **psammoma bodies** (calcified concentric lamellae), which are visible in the image. - The clinical symptoms of **early morning headaches** and **projectile vomiting** are indicative of **increased intracranial pressure**, which can be caused by any space-occupying lesion, including a meningioma, especially if it grows to a significant size. *Medulloblastoma* - This is a highly malignant brain tumor typically occurring in the **cerebellum of children**, not usually seen in a 50-year-old woman in the frontal lobe. - Histologically, medulloblastomas are composed of small, round, **blue cells** with little cytoplasm (small blue cell tumor), which is distinct from the provided image. *Glioma* - **Gliomas** originate within the brain parenchyma and are often **poorly circumscribed** with an infiltrative growth pattern, which contrasts with the well-defined lesion seen on MRI. - While gliomas can cause increased intracranial pressure, their diverse histological appearances depend on their specific subtype (e.g., astrocytoma, oligodendroglioma), none of which perfectly match the characteristic **whorls and psammoma bodies** seen here. *Glioblastoma multiforme* - **Glioblastoma multiforme** (GBM) is a highly aggressive grade IV astrocytoma, characterized by **ring-enhancing lesions** with central necrosis and significant edema on MRI. - Histologically, GBM exhibits features like **pseudopalisading necrosis**, microvascular proliferation, and pleomorphic tumor cells, which are not depicted in the provided histopathology image.
Neuroanatomy for Radiologists
Practice Questions
Cerebrovascular Diseases
Practice Questions
Intracranial Tumors
Practice Questions
CNS Infections
Practice Questions
Demyelinating and Degenerative Diseases
Practice Questions
Head Trauma Imaging
Practice Questions
Spine Imaging: Trauma and Degenerative Disease
Practice Questions
Spine Tumors and Infections
Practice Questions
Pediatric Neuroradiology
Practice Questions
Congenital CNS Anomalies
Practice Questions
Functional Neuroimaging
Practice Questions
Neurointerventional Procedures
Practice Questions
Get full access to all questions, explanations, and performance tracking.
Start For Free