What is the most likely diagnosis based on the clinical presentation and MRI findings shown?

What is the most likely diagnosis in an imaging study showing a large posterior fossa?
Which is correct about the intracranial bleeding shown below?

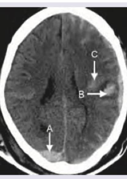
Which of the following is correct about the image shown below?

Eye of the tiger appearance in NCCT is seen in:

All are true about CNS malformation shown below except:

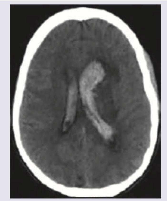
The NCCT head scan of a 45-year-old head injury patient shows:

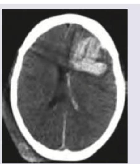
The given NCCT shows the presence of:

Which of the following is correct about the NCCT shown below? (Recent NEET Pattern 2016-17)

The following X-ray skull shows:

Explanation: ***Hypothalamic hamartoma*** - The image shows a young girl with signs of **precocious puberty** (breast development), and the MRI scan reveals a lesion (indicated by the arrow) consistent with a **hypothalamic hamartoma**. - **Hypothalamic hamartomas** are non-cancerous growths that can secrete **gonadotropin-releasing hormone (GnRH)**, leading to central precocious puberty. *Simmond's disease* - Simmond's disease refers to **panhypopituitarism**, characterized by an extreme deficiency of all pituitary hormones. - This typically results in **hypogonadism** and **failure of secondary sexual characteristics** to develop, which is the opposite of what is seen in the image. *Non-functioning pituitary tumor* - A non-functioning pituitary tumor does **not secrete hormones** and would not cause precocious puberty. - These tumors often present with symptoms related to **mass effect**, such as headaches or visual field defects. *McCune-Albright syndrome* - McCune-Albright syndrome is characterized by a triad of **precocious puberty**, **café-au-lait spots**, and **fibrous dysplasia of bone**. - While it causes precocious puberty, the image does not provide evidence of café-au-lait spots or fibrous dysplasia, and an MRI showing a distinct hypothalamic lesion points away from this diagnosis.
Explanation: ***Dandy-Walker malformation*** - Characterized by **hypoplasia of the cerebellar vermis** and cystic dilation of the fourth ventricle. - This leads to a **markedly enlarged posterior fossa**, often with upward displacement of the tentorium. *Arnold-Chiari malformation* - Involves **downward displacement of the cerebellar tonsils** through the foramen magnum. - This condition typically presents with a **small posterior fossa**, not an enlarged one. *Hydrocephalus* - Refers to an **accumulation of cerebrospinal fluid (CSF)** within the brain's ventricles. - While it can cause ventricular enlargement, it doesn't primarily involve an **enlarged posterior fossa** as a defining feature. *Platybasia* - A congenital anomaly where the **base of the skull is flattened**, leading to an upward angulation of the clivus. - This condition affects the skull base but does not directly cause a **large posterior fossa**; it can be associated with other congenital anomalies.
Explanation: ***Chronic subdural hematoma, hypodensity*** - The image displays a crescent-shaped collection of fluid with **hypodense characteristics** (darker than brain parenchyma) that crosses suture lines, which is typical for a subdural hematoma. - The **hypodensity indicates older, chronic blood** where the hemoglobin has degraded, differentiating it from acute (hyperdense) or subacute (isodense) collections. *Acute subdural hematoma, hypodensity* - An **acute subdural hematoma** would typically appear **hyperdense** (bright) on CT due to fresh blood. - The observed collection is clearly hypodense, ruling out an acute presentation. *Chronic epidural hematoma, hyperdensity* - An **epidural hematoma** is typically **lenticular (lens-shaped)** and does not cross suture lines, unlike the crescent shape seen here. - While chronic blood *can* be hypodense, an epidural hematoma by definition is outside the dura mater and would not present with this morphology. *Acute epidural hematoma, hyperdensity* - An **acute epidural hematoma** is characterized by a **lenticular (lens-shaped) hyperdense** collection of blood, which is distinctly different from the crescent-shaped, hypodense collection in the image. - Epidural hematomas occur between the dura mater and the skull, typically from arterial injury, and are bound by sutures.
Explanation: ***A = Extradural hemorrhage, B = Subdural hemorrhage, C = Contusion*** - Image **A** shows a **biconvex (lenticular)** shape, typically indicating an **extradural (epidural) hemorrhage** due to arterial bleeding, often from the middle meningeal artery. This collection is limited by the cranial sutures. - Image **B** (pointed to directly by the arrow) shows a **crescent-shaped** collection of blood that extends along the surface of the brain, consistent with a **subdural hemorrhage**, usually caused by venous bleeding from bridging veins. - Image **C** points to an area within the brain parenchyma that appears heterogeneous with scattered hyperdensities and hypodensities, characteristic of a **contusion** (bruising of the brain tissue). *A = Subdural hemorrhage, B = Extradural hemorrhage, C = Contusion* - This option incorrectly identifies the characteristic shapes of extradural and subdural hemorrhages. **Extradural hemorrhages** are typically biconvex (*lenticular*), while **subdural hemorrhages** are crescent-shaped, directly opposite to what is suggested for A and B here. - The imaging features for A and B in the provided image unequivocally differentiate them, making this option incorrect. *A = Contusion, B = Subdural hemorrhage, C = Extradural hemorrhage* - This option misidentifies all three lesions. The lesion at **A** is clearly an extradural hematoma due to its shape and location, not a contusion. - The lesion at **C** is intraparenchymal and heterogeneous, consistent with a contusion, not an extradural hemorrhage which would be located outside the brain parenchyma. *A = Extradural hemorrhage, B = Subdural hemorrhage, C = Subarachnoid hemorrhage* - While A and B are correctly identified as extradural and subdural hemorrhages, respectively, the lesion at **C** is incorrectly identified as a subarachnoid hemorrhage. - A **subarachnoid hemorrhage** would appear as hyperdensity within the sulci and basal cisterns, which is not what is shown by arrow C; C points to an intraparenchymal lesion typical of a contusion.
Explanation: ***Pantothenate kinase-associated neurodegeneration*** - The **"eye of the tiger" sign** on NCCT (or more typically on T2-weighted MRI) is pathognomonic for **Pantothenate kinase-associated neurodegeneration (PKAN)**, previously known as Hallervorden-Spatz disease. - This sign is characterized by a central region of **pallidal hyperintensity** surrounded by a rim of hypointensity in the globus pallidus, reflecting iron accumulation and neuronal loss. *Huntington chorea* - Huntington's chorea is characterized by **atrophy of the caudate and putamen** seen on NCCT or MRI, leading to an enlargement of the frontal horns of the lateral ventricles. - It does not present with the "eye of the tiger" sign, which is specific to iron deposition in the globus pallidus. *Multiple system atrophy* - Multiple system atrophy (MSA) typically shows **atrophy of the cerebellum**, brainstem, and putamen, along with the "hot cross bun" sign in the pons in some variants. - The "eye of the tiger" sign is not a feature of MSA; it is characterized by different imaging findings related to neurodegeneration in specific brain regions. *Multiple sclerosis* - Multiple sclerosis (MS) is characterized by **demyelinating lesions** in the white matter of the brain and spinal cord, which appear as hyperintense lesions on T2-weighted MRI. - These lesions are distributed throughout the central nervous system, and the "eye of the tiger" sign is not associated with MS.
Explanation: ***Large posterior fossa*** - The image shown, consistent with a **Chiari II malformation**, typically features a **small posterior fossa**, not a large one. - A small posterior fossa contributes to the crowding and herniation of cerebellar structures through the foramen magnum. *Herniation of cerebellar tonsil* - **Chiari II malformation** is characterized by the **downward displacement of the cerebellar tonsils** through the foramen magnum. - This herniation can lead to obstruction of CSF flow and associated neurological symptoms. *Herniation of cerebellar vermis* - The image suggests a **Chiari II malformation**, which involves the **caudal displacement of the cerebellar vermis** and fourth ventricle into the spinal canal. - This is a hallmark feature distinguishing it from other Chiari malformations. *Association with myelomeningocele* - **Chiari II malformation** has a strong and consistent association with **myelomeningocele**, a severe form of spina bifida. - Most patients with myelomeningocele will also have a Chiari II malformation, indicating a common developmental origin.
Explanation: ***All of the above*** - The NCCT image clearly demonstrates hyperdense (bright) blood within the brain parenchyma, distending the ventricles, and filling the sulci, indicating **intraparenchymal, intraventricular, and subarachnoid hemorrhages** simultaneously. - Head trauma can cause a combination of these bleeding patterns due to the significant forces involved, leading to diffuse axonal injury, contusions, and vessel rupture in multiple compartments. *Intraparenchymal bleed* - While there is clear evidence of hyperdense blood within the **brain parenchyma**, this option alone does not encompass all the bleeding observed. - The image shows more widespread involvement than just an isolated intraparenchymal hemorrhage. *Intraventricular bleed* - There is readily apparent hyperdensity within the **ventricles**, confirming an intraventricular hemorrhage. - However, this is not the only location of bleeding on the scan. *Subarachnoid bleed* - The image shows hyperdensity within the **sulci**, consistent with blood in the subarachnoid space. - Like the other options, this is only a partial description of the overall bleeding pattern seen.
Explanation: ***Left intraparenchymal hemorrhage*** - This **NCCT image** demonstrates a **hyperdense lesion** (bright white area) within the **frontal lobe** of the brain. - The location is clearly within the **brain parenchyma** and on the **left side** of the image, indicating an intraparenchymal hemorrhage. *Left intraventricular hemorrhage* - This would appear as hyperdensity **within the ventricles**, which are the fluid-filled spaces of the brain. - The hemorrhage in the image is located in the brain tissue, not within a ventricular cavity. *Right intraventricular hemorrhage* - A right intraventricular hemorrhage would be seen as hyperdensity **within the right ventricle**. - The lesion shown is on the opposite side (left) and within the brain parenchyma, not in the ventricular system. *Right intraparenchymal hemorrhage* - This would appear as a hyperdense lesion **within the brain parenchyma on the right side of the brain**. - The hemorrhage visible in the image is clearly situated on the **left side**, ruling out a right-sided hemorrhage.
Explanation: ***Intraparenchymal hemorrhage*** - The image shows a **hyperdense (bright)** lesion within the brain parenchyma, indicated by the arrows. This appearance on non-contrast CT (NCCT) is characteristic of **acute hemorrhage** (blood) within the brain tissue. - The location and morphology are consistent with blood accumulating directly within the brain substance rather than in the subarachnoid space or as a diffuse cerebral edema. *Acute ischemic stroke* - An **acute ischemic stroke** on NCCT typically appears as a **hypodense (darker)** area due to **edema** and cell death, usually after several hours. The lesion shown in the image is hyperdense. - Early signs of acute ischemic stroke (within the first few hours) can include subtle changes like loss of gray-white matter differentiation or hyperdense vessel signs, but not a distinct hyperdense parenchymal lesion as seen here. *Acute hemorrhagic stroke* - While technically a hemorrhagic stroke, this option is too broad. Hemorrhagic stroke encompasses both intraparenchymal hemorrhage and subarachnoid hemorrhage. - The specific location of the blood within the brain tissue, as opposed to solely in the subarachnoid space, makes "intraparenchymal hemorrhage" a more precise diagnosis. *Subarachnoid hemorrhage* - **Subarachnoid hemorrhage (SAH)** would appear as hyperdensity (blood) in the **sulci, fissures**, and **basal cisterns** surrounding the brain, not within the brain parenchyma itself. - The image clearly shows the lesion within the brain tissue, not in the subarachnoid spaces.
Explanation: ***Thalassemia*** - The X-ray shows changes consistent with **extramedullary hematopoiesis** in the skull, a classical finding in severe **thalassemia**. - This typically manifests as a **'hair-on-end' appearance** due to widening of the diploic space and thinning of the outer table of the skull from expanded bone marrow. - This is most commonly seen in **beta-thalassemia major** due to chronic severe anemia and compensatory marrow expansion. *Rickets* - Rickets primarily affects **growing bones** and presents with widened growth plates, bowing of long bones, and changes in the rib cage (rachitic rosary). - While it can affect skull ossification (craniotabes, frontal bossing), it does not typically show the **'hair-on-end' appearance** seen in this image. - Skull changes in rickets show delayed ossification rather than marrow hyperplasia. *Sickle cell disease* - While sickle cell disease can also cause **'hair-on-end' appearance** due to marrow hyperplasia, it is **less common and less pronounced** than in thalassemia. - Sickle cell predominantly affects African populations, whereas thalassemia is more common in Mediterranean, Middle Eastern, and Asian populations. - The degree of skull changes shown is more characteristic of thalassemia major. *Iron deficiency anemia* - Iron deficiency anemia, even when severe and chronic, does **not typically cause** the 'hair-on-end' appearance. - Skull changes in iron deficiency are minimal as the marrow hyperplasia is not as marked as in hemolytic anemias. - Iron deficiency causes **microcytic hypochromic anemia** without the massive compensatory erythropoiesis seen in thalassemia.
Neuroanatomy for Radiologists
Practice Questions
Cerebrovascular Diseases
Practice Questions
Intracranial Tumors
Practice Questions
CNS Infections
Practice Questions
Demyelinating and Degenerative Diseases
Practice Questions
Head Trauma Imaging
Practice Questions
Spine Imaging: Trauma and Degenerative Disease
Practice Questions
Spine Tumors and Infections
Practice Questions
Pediatric Neuroradiology
Practice Questions
Congenital CNS Anomalies
Practice Questions
Functional Neuroimaging
Practice Questions
Neurointerventional Procedures
Practice Questions
Get full access to all questions, explanations, and performance tracking.
Start For Free