What is the investigation of choice for an acoustic neuroma measuring 1 cm in diameter?
What is the characteristic finding on CT in a tuberculosis case?
All of the following are true about hemangioblastoma except?
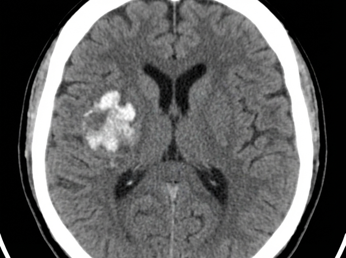
The NCCT shows the presence of which of the following?

In cerebral angiography, in which vessel is the dye injected?
Which of the following is associated with old chronic trauma?
The 'delta sign' on CT is characteristic of which of the following conditions?
Tram track calcification is seen in which of the following conditions?
Which of the following is not true regarding ossified posterior longitudinal ligament (OPLL)?
What is the typical appearance of CSF on a T1-weighted MRI scan?
Explanation: **Explanation:** **Acoustic Neuroma (Vestibular Schwannoma)** is a benign tumor arising from the Schwann cells of the 8th cranial nerve. For any suspected retrocochlear pathology, **MRI Scan** is the gold standard and investigation of choice. 1. **Why MRI is Correct:** MRI provides superior soft-tissue contrast, allowing for the visualization of the internal auditory canal (IAC) and the cerebellopontine (CP) angle. Specifically, **Gadolinium-enhanced T1-weighted sequences** are highly sensitive, capable of detecting even tiny intracanalicular tumors (less than 5 mm). T2-weighted sequences (like FIESTA or CISS) are also excellent for visualizing the nerve complex within the CSF. 2. **Why other options are incorrect:** * **CT Scan:** While CT can show widening of the internal auditory canal or bone erosion in large tumors, it lacks the resolution to detect small (1 cm) tumors and is prone to "bone hardening" artifacts in the posterior fossa. * **Plain X-ray:** This is an obsolete method. It can only show gross bony changes in very advanced cases and cannot visualize the tumor itself. * **Air Encephalography:** This is a historical, invasive technique where air was injected into the subarachnoid space. It has been entirely replaced by non-invasive cross-sectional imaging. **High-Yield Clinical Pearls for NEET-PG:** * **Most common symptom:** Progressive unilateral sensorineural hearing loss (SNHL). * **Bilateral Acoustic Neuromas:** Pathognomonic for **Neurofibromatosis Type 2 (NF2)**. * **Radiological Sign:** The "Ice-cream cone" appearance (where the "cone" is the intracanalicular component and the "scoop" is the CP angle component). * **Gold Standard:** Gadolinium-enhanced MRI.
Explanation: ### Explanation **Correct Option: A. Exudate seen in basal cistern** Tuberculous meningitis (TBM) is characterized by a thick, gelatinous inflammatory exudate that has a predilection for the **basal cisterns** (suprasellar cistern, Sylvian fissures, and perimesencephalic cisterns). On a contrast-enhanced CT scan, these exudates appear as intense, vivid enhancement obliterating the normal CSF spaces at the base of the brain. This is considered the most characteristic imaging hallmark of CNS tuberculosis. **Analysis of Incorrect Options:** * **B. Noncommunicating hydrocephalus:** While hydrocephalus is the most common complication of TBM, it is typically **communicating** in nature due to the inflammatory exudates obstructing the basal cisterns and interfering with CSF resorption at the arachnoid villi. Noncommunicating (obstructive) hydrocephalus is less common. * **C. Calcification commonly seen in umbilicus:** This is a distractor. Calcification in CNS TB is typically seen in healed tuberculomas or chronic meningitis, but it is not described as "umbilical." * **D. Ventriculitis is a common finding:** While ventriculitis and ependymal enhancement can occur, they are non-specific and much less common than basal exudates or hydrocephalus. **High-Yield Clinical Pearls for NEET-PG:** * **Triad of TBM on CT:** Basal exudates (enhancement), Hydrocephalus, and Infarcts (typically in the "Medial Striate" and "Thalamoperforating" arteries—the **Basal Ganglia** region). * **Tuberculoma:** On CT/MRI, it may show a "Target Sign" (central calcification or enhancement surrounded by a rim of enhancement). * **Gold Standard:** CSF analysis showing high protein, low sugar, and lymphocytic pleocytosis.
Explanation: **Explanation:** Hemangioblastoma is a benign, WHO Grade I vascular tumor. The correct answer is **D** because hemangioblastomas are **not premalignant**; they do not undergo malignant transformation or metastasize. They are slow-growing, benign lesions, though they can cause significant morbidity due to their location and associated edema. **Analysis of Options:** * **Option A:** It is indeed the **most common primary intra-axial tumor** of the adult posterior fossa (cerebellum). While metastases are the most common overall, among primary tumors, hemangioblastoma leads in this demographic. * **Option B:** Radiologically, the classic presentation (60% of cases) is a **sharply demarcated cyst with a highly enhancing mural nodule** that abuts the pial surface. They can also present as purely solid masses (30%). * **Option C:** These tumors are known for ectopic hormone production. They can secrete **erythropoietin**, leading to secondary **polycythemia** in approximately 10–20% of patients. **High-Yield Clinical Pearls for NEET-PG:** * **Association:** 25% of cases are associated with **von Hippel-Lindau (VHL) syndrome** (Chromosome 3p). In VHL, tumors are often multiple and occur at a younger age. * **Location:** 80% occur in the cerebellum; other sites include the spinal cord and brainstem. * **Imaging Sign:** On angiography, they show a dense vascular blush. On MRI, look for "flow voids" within the mural nodule due to high vascularity. * **Tumor Markers:** They are typically **Inhibin-alpha positive**, which helps differentiate them from metastatic renal cell carcinoma (which is Inhibin-negative).
Explanation: ***Right intra-parenchymal hemorrhage*** - **NCCT** shows a **hyperdense lesion** within the right cerebral parenchyma, indicating acute blood within brain tissue. - The hemorrhage is confined to the **brain parenchyma** rather than ventricular spaces, with characteristic **mass effect** and surrounding edema. *Left intraventricular hemorrhage* - Blood would be confined to the **ventricular system** on the left side, appearing as hyperdensity within ventricles. - **NCCT** would show blood filling the **lateral ventricles** rather than parenchymal tissue involvement. *Right intraventricular hemorrhage* - Blood would be limited to the **right ventricular system**, not extending into brain parenchyma. - Appears as **hyperdense material** within ventricles without the parenchymal mass effect seen here. *Left intra-parenchymal hemorrhage* - Would show **hyperdense lesion** in the left cerebral hemisphere, not the right side. - **Laterality** is incorrect based on the NCCT findings showing right-sided parenchymal involvement.
Explanation: **Explanation:** **Correct Answer: D. Carotid Artery** Cerebral angiography is the gold standard for visualizing the vascular anatomy of the brain. To obtain high-resolution images of the intracranial circulation, the contrast medium (dye) must be delivered as close to the target area as possible to prevent dilution. Therefore, the dye is injected into the **Carotid artery** (specifically the Internal Carotid Artery for the anterior circulation) or the **Vertebral artery** (for the posterior circulation). **Analysis of Incorrect Options:** * **A. Brachial artery:** While historically used in some retrograde techniques, it is not the standard site for dye injection in modern cerebral angiography as it does not provide direct, selective access to the cerebral vessels. * **B. Cubital vein:** Injection into a vein (Intravenous) results in significant dilution of the contrast by the time it reaches the heart and lungs before entering the arterial system. This is used for CT Angiography (CTA), but not for conventional Digital Subtraction Angiography (DSA). * **C. Femoral artery:** This is the most common **access site** (Seldinger technique) for inserting the catheter. However, the dye itself is not "injected" here for brain imaging; the catheter is threaded from the femoral artery up to the carotid or vertebral arteries before the injection occurs. **High-Yield Clinical Pearls for NEET-PG:** * **Gold Standard:** Digital Subtraction Angiography (DSA) remains the gold standard for diagnosing cerebral aneurysms and Arteriovenous Malformations (AVMs). * **Seldinger Technique:** The standard method for arterial access, usually via the Common Femoral Artery. * **Complication:** The most feared complication of cerebral angiography is an embolic stroke (dislodging a plaque during catheter manipulation). * **Contrast:** Non-ionic, low-osmolar iodinated contrast is preferred to minimize neurotoxicity.
Explanation: ### Explanation **Subdural Hematoma (SDH)** is the correct answer because it is uniquely characterized by its ability to transition through acute, subacute, and **chronic** stages. Chronic SDH typically occurs weeks to months after a seemingly minor head injury, especially in elderly patients or those on anticoagulants. This happens because the bridging veins are stretched due to age-related brain atrophy; when they tear, blood slowly accumulates in the potential space between the dura and arachnoid mater. Over time, the blood liquefies and a vascularized membrane forms, which can lead to recurrent micro-bleeding and expansion. **Why other options are incorrect:** * **Extradural Hematoma (EDH):** Usually associated with **acute** arterial trauma (Middle Meningeal Artery) and skull fractures. It is a surgical emergency and does not typically present as a "chronic" traumatic entity. * **Subarachnoid Hemorrhage (SAH):** Most commonly caused by trauma (acute) or ruptured aneurysms. While it can have long-term sequelae (like hydrocephalus), the bleed itself is an acute event. * **Putaminal Bleed:** This is a type of intraparenchymal hemorrhage most commonly associated with **hypertension**, not trauma. **NEET-PG High-Yield Pearls:** * **Imaging Appearance:** On CT, Chronic SDH appears **hypodense** (dark) and **crescent-shaped**. Acute SDH is hyperdense (bright). * **The "Concave-Convex" Rule:** SDH is **concave** (crescentic) and can cross suture lines. EDH is **biconvex** (lentiform) and does not cross suture lines. * **Clinical Presentation:** Chronic SDH is often called the "Great Mimicker" in the elderly because it can present as progressive dementia, gait changes, or focal neurological deficits long after the inciting trauma is forgotten.
Explanation: ### Explanation The **'Delta sign'** (also known as the **Empty Delta sign**) is a classic neuroimaging finding pathognomonic for **Superior Sagittal Sinus Thrombosis**. **1. Why Sagittal Sinus Thrombosis is correct:** On a **contrast-enhanced CT (CECT)**, the dural venous sinus normally enhances brightly. In the presence of a thrombus, the contrast outlines the triangular perimeter of the sinus (the collateral venous channels and the dura), while the central clot remains non-enhancing (lucent). This creates a dark triangle surrounded by a bright border, resembling the Greek letter delta (Δ). This sign is typically seen on axial cuts at the posterior aspect of the superior sagittal sinus. **2. Why the other options are incorrect:** * **Grandenigo syndrome:** This is a triad of petrous apicitis (suppurative otitis media), abducens nerve (CN VI) palsy, and retro-orbital pain (CN V involvement). Imaging typically shows enhancement or opacification of the petrous apex, not a delta sign. * **Subdural hematoma (SDH):** Characterized by a **crescent-shaped (concave)** hyperdensity that crosses suture lines but is limited by dural reflections (like the falx). * **Extradural hematoma (EDH):** Characterized by a **biconvex/lens-shaped** hyperdensity that does not cross suture lines. **3. High-Yield Clinical Pearls for NEET-PG:** * **Dense Triangle Sign:** This is the non-contrast CT equivalent of the delta sign, where the fresh thrombus appears hyperdense before contrast is administered. * **Gold Standard Investigation:** While CT is often the first-line screening tool, **MR Venogram (MRV)** is the investigation of choice for diagnosing dural venous sinus thrombosis. * **Common Presentation:** A young female (often postpartum or on OCPs) presenting with a severe headache, seizures, and papilledema. * **Cord Sign:** A hyperdense linear appearance of a thrombosed cortical vein on non-contrast CT.
Explanation: **Sturge-Weber Syndrome (Encephalotrigeminal Angiomatosis)** is the correct answer. The hallmark of this neurocutaneous syndrome is a leptomeningeal angioma (usually involving the occipital and parietal lobes) [1]. This vascular malformation leads to chronic cortical ischemia, resulting in cortical atrophy and **gyriform (tram-track) calcifications** [1], [2]. These calcifications occur in the second and third layers of the cerebral cortex, appearing on a CT scan or skull X-ray as parallel curvilinear opaque lines that follow the convolutions of the gyri [1]. **Analysis of Incorrect Options:** * **Eosinophilic Granuloma:** A form of Langerhans Cell Histiocytosis (LCH) that typically presents as a "punched-out" lytic bone lesion in the skull without calcification. * **Weber-Christian Syndrome:** A rare inflammatory disease of the subcutaneous fat (relapsing febrile nodular nonsuppurative panniculitis); it has no primary neurological or calcification features. * **Neurofibroma:** A benign nerve sheath tumor associated with Neurofibromatosis Type 1. While NF1 has skeletal and CNS manifestations (like sphenoid wing dysplasia), it does not feature tram-track intracranial calcifications. **High-Yield Clinical Pearls for NEET-PG:** * **Triad of Sturge-Weber:** Port-wine stain (Nevus flammeus in the V1/V2 distribution), Leptomeningeal angioma, and Glaucoma [1]. * **Imaging Gold Standard:** **Contrast-enhanced MRI** is the most sensitive modality to detect leptomeningeal enhancement ("pial angiomatosis") [1]. * **CT Finding:** CT is superior for visualizing the classic "tram-track" calcifications [1]. * **Other "Tram-track" signs in Radiology:** 1. **Optic Nerve Sheath Meningioma** (on axial CT/MRI). 2. **Membranoproliferative Glomerulonephritis (MPGN)** (on renal biopsy). 3. **Bronchiectasis** (thickened airway walls on CXR/HRCT).
Explanation: **Explanation:** **1. Why Option A is the correct (false) statement:** Ossified Posterior Longitudinal Ligament (OPLL) most commonly involves the **cervical spine** (specifically C4–C6), not the thoracic spine. While it can occur in the thoracic and lumbar regions, the cervical predominance is a classic hallmark, particularly in East Asian populations. **2. Analysis of incorrect options:** * **Option B (Gradient Echo MRI):** GRE sequences are highly sensitive to magnetic susceptibility effects. The mineralized/ossified ligament causes "blooming" artifacts, which makes the ossification appear larger than it is, thus **overestimating** the degree of canal stenosis. * **Option C (MRI is best for diagnosis):** This is technically the **incorrect** statement in clinical practice, as **Non-Contrast CT (NCCT)** is the gold standard for diagnosing and characterizing the pattern of ossification. However, in the context of this specific question format, Option A is the "most" false. *Note: MRI is superior for evaluating associated cord changes (myelomalacia).* * **Option D (Low signal intensity):** Because the ligament has undergone ossification and lacks mobile protons, it typically appears as a **hypointense (dark) band** on both T1 and T2-weighted images. **Clinical Pearls for NEET-PG:** * **Gold Standard Diagnosis:** NCCT Spine (shows the "double layer" sign). * **Associations:** Strongly associated with **Diffuse Idiopathic Skeletal Hyperostosis (DISH)** and Diabetes Mellitus. * **Classification:** Can be continuous, segmental, mixed, or circumscribed. * **Clinical Presentation:** Often leads to compressive myelopathy or radiculopathy.
Explanation: **Explanation:** In Magnetic Resonance Imaging (MRI), the signal intensity of tissues depends on their relaxation times ($T1$ and $T2$). Cerebrospinal Fluid (CSF) is a simple fluid with a very long $T1$ relaxation time. On a **T1-weighted image**, tissues with long relaxation times do not have enough time to recover their longitudinal magnetization before the next pulse, resulting in a low signal. Therefore, **CSF appears dark or hypointense.** **Analysis of Options:** * **Option A (Hypointense):** Correct. On T1W sequences, "Water is Dark." This provides excellent anatomical detail, making it easier to distinguish the brain parenchyma from the ventricular system and subarachnoid spaces. * **Option B (Hyperintense):** Incorrect. CSF appears bright (hyperintense) on **T2-weighted images**. T2W sequences are often referred to as "pathology sequences" because most pathological lesions (edema, inflammation) contain water and appear bright, similar to CSF. * **Option C (Isointense):** Incorrect. Isointense means having the same signal as the surrounding gray or white matter. CSF is significantly darker than brain tissue on T1W scans. **High-Yield Clinical Pearls for NEET-PG:** * **T1 vs. T2 Mnemonic:** **T1** = **O**ne = Dark (CSF is dark); **T2** = **T**wo = **H**2O is Bright (CSF is white). * **FLAIR (Fluid Attenuated Inversion Recovery):** This is a T2-weighted sequence where the signal from free-flowing CSF is "nullified" (made dark). It is the gold standard for detecting periventricular demyelinating plaques in **Multiple Sclerosis**. * **Hyperintense T1 signals:** While CSF is dark, substances like **Fat, Melanin, Proteinaceous fluid, and Gadolinium contrast** appear bright (hyperintense) on T1W images.
Neuroanatomy for Radiologists
Practice Questions
Cerebrovascular Diseases
Practice Questions
Intracranial Tumors
Practice Questions
CNS Infections
Practice Questions
Demyelinating and Degenerative Diseases
Practice Questions
Head Trauma Imaging
Practice Questions
Spine Imaging: Trauma and Degenerative Disease
Practice Questions
Spine Tumors and Infections
Practice Questions
Pediatric Neuroradiology
Practice Questions
Congenital CNS Anomalies
Practice Questions
Functional Neuroimaging
Practice Questions
Neurointerventional Procedures
Practice Questions
Get full access to all questions, explanations, and performance tracking.
Start For Free