Which investigation is the initial choice for determining the etiology of subarachnoid hemorrhage?
Intracranial calcification is characteristic of which of the following conditions?
What is the best radiographic view for a fracture of the C1-C2 vertebrae?
J-shaped sella is/are seen in which of the following conditions?
What is the investigation of choice for temporal bone injury?
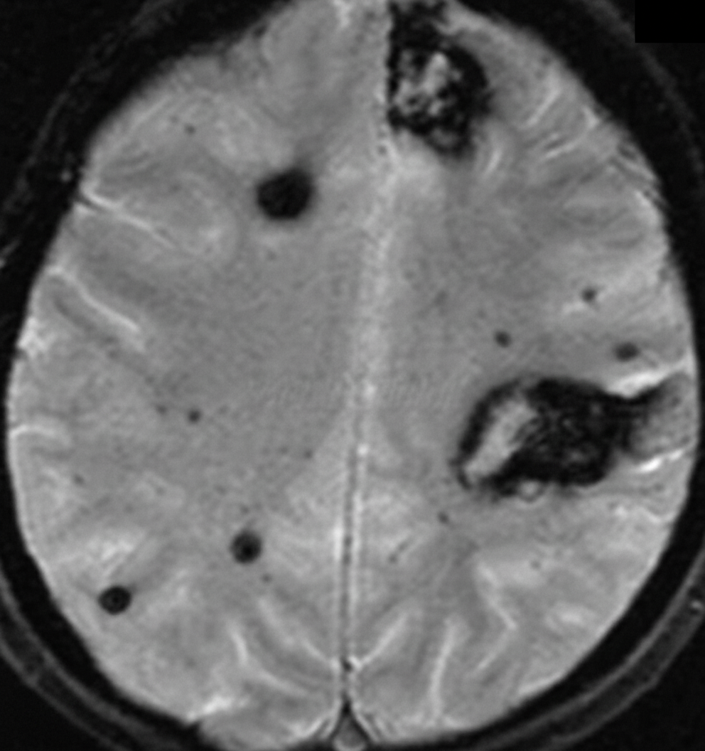
A 40-year-old man presented to the emergency room with loss of consciousness. He is a known alcoholic and hypertensive. His non-contrast CT head was normal, and his GCS is 8. An urgent MRI was performed. What is the most likely diagnosis?

Basal ganglia calcification is seen in all of the following conditions except?
Which condition is characterized by 'tram-track calcification' in the brain?
A patient presented with contralateral hemiplegia and sub-periosteal bleeding. What is the initial investigation of choice?
A male was brought unconscious to the hospital with external injuries. CT brain showed no midline shift, but basal cisterns were compressed with multiple small hemorrhages. What is the diagnosis?
Explanation: **Explanation:** The question asks for the initial investigation to determine the **etiology** (cause) of a subarachnoid hemorrhage (SAH), not the initial investigation to diagnose the presence of blood. **1. Why Four-vessel Digital Subtraction Angiography (DSA) is correct:** While a CT scan confirms the diagnosis of SAH, **DSA remains the "Gold Standard"** for identifying the underlying cause, which is most commonly a ruptured berry aneurysm (85% of cases). It provides superior spatial resolution, allows for a 360-degree evaluation of vascular anatomy, and identifies small aneurysms or arteriovenous malformations (AVMs) that might be missed by non-invasive imaging. Furthermore, it allows for immediate therapeutic intervention (endovascular coiling). **2. Why other options are incorrect:** * **Non-contrast CT (NCCT):** This is the **investigation of choice for the initial diagnosis** of SAH (sensitivity >95% in the first 24 hours), as it is highly sensitive to acute blood. However, it rarely identifies the specific etiology (e.g., the exact site or morphology of an aneurysm). * **Contrast-enhanced CT (CECT):** This has limited utility in the acute setting of SAH and is generally superseded by CT Angiography (CTA). * **MRI:** While sensitive for subacute or chronic blood (using FLAIR or SWI sequences), it is time-consuming and less sensitive than CT in the hyperacute phase. **Clinical Pearls for NEET-PG:** * **First investigation to diagnose SAH:** NCCT Head. * **Most sensitive investigation for SAH:** Lumbar Puncture (looking for xanthochromia), performed if NCCT is negative but clinical suspicion is high. * **Gold Standard for etiology:** Four-vessel DSA. * **Commonest site of Berry Aneurysm:** Junction of the Anterior Communicating Artery (A-com) and Anterior Cerebral Artery.
Explanation: **Explanation:** **Sturge-Weber Syndrome (SWS)**, also known as encephalotrigeminal angiomatosis, is a neurocutaneous disorder characterized by a facial port-wine stain, glaucoma, and leptomeningeal angiomas. The hallmark radiological finding in SWS is **intracranial calcification**. This occurs due to chronic hypoxia and venous stasis underlying the leptomeningeal angioma, leading to cortical atrophy and "tram-track" or "railroad track" calcifications (gyriform calcifications) typically seen on CT scans in the parietal and occipital lobes. **Analysis of Incorrect Options:** * **Stevens-Johnson Syndrome (B):** A severe mucocutaneous hypersensitivity reaction, usually drug-induced. It involves extensive epidermal necrolysis but does not cause intracranial calcifications. * **Papillon-Lefèvre Syndrome (C):** An autosomal recessive disorder characterized by palmoplantar keratoderma and early-onset periodontitis. It is associated with dural calcifications (e.g., falx cerebri), but not the characteristic parenchymal intracranial calcifications seen in neurocutaneous syndromes. * **Hallermann-Streiff Syndrome (D):** A rare genetic disorder involving craniofacial abnormalities (bird-like facies), cataracts, and hypotrichosis. It does not feature intracranial calcifications. **High-Yield Clinical Pearls for NEET-PG:** * **Imaging Gold Standard:** CT is the most sensitive modality to detect the "tram-track" calcifications. * **MRI Findings:** Shows "pial enhancement" due to the leptomeningeal angioma and enlarged ipsilateral choroid plexus. * **Clinical Triad:** Facial port-wine stain (Trigeminal nerve distribution, V1/V2), seizures, and glaucoma. * **Other Calcifications:** Remember **Tuberous Sclerosis** (Subependymal nodules/tubers) and **Fahr’s Disease** (Basal ganglia calcification) as common differentials for intracranial calcifications.
Explanation: The **Odontoid view** (also known as the **Open-mouth view**) is the gold standard radiographic projection for evaluating the C1 (Atlas) and C2 (Axis) vertebrae. ### Why the Odontoid View is Correct The upper cervical spine is normally obscured in a standard AP view by the overlying mandible and the base of the skull. By opening the mouth wide, these structures are displaced, allowing a clear view of the **dens (odontoid process)**, the **atlanto-axial joints**, and the **lateral masses of C1**. This view is essential for diagnosing: * **Jefferson fractures** (burst fracture of C1): Indicated by lateral displacement of the C1 lateral masses. * **Odontoid fractures**: Visualizing fractures through the dens. ### Why Other Options are Incorrect * **AP View:** The mandible and occiput superimpose over the upper cervical vertebrae, making C1 and C2 invisible or poorly defined. * **Lateral View:** While excellent for seeing the "Pre-vertebral space" and the "Atlantodental interval (ADI)," it cannot visualize the lateral masses or the symmetry of the atlanto-axial joint. * **Oblique View:** Primarily used to visualize the **neural foramina** and facet joints of the lower cervical spine (C3-C7), not the C1-C2 complex. ### Clinical Pearls for NEET-PG * **Rule of Spence:** On an odontoid view, if the combined lateral displacement of C1 lateral masses over C2 is **>6.9 mm**, it indicates a rupture of the **Transverse Axial Ligament**. * **Harris Ring:** A radiopaque ring seen on the **Lateral view** of C2; a break in this ring suggests a Hangman’s fracture. * **Gold Standard Imaging:** While the Odontoid view is the best *radiographic* view, **Non-contrast CT (NCCT)** is the overall gold standard for diagnosing cervical spine fractures in trauma.
Explanation: ### Explanation The **J-shaped sella** (also known as the **omega sella**) is a classic radiological sign seen on a lateral skull X-ray or sagittal MRI. It is characterized by an elongated, flattened sella turcica with a shallow anterior notch, resembling the letter ‘J’ or the Greek letter ‘$\Omega$’. #### Why "All of the Above" is Correct: The J-shaped sella occurs due to the erosion or remodeling of the **tuberculum sellae** and the **chiasmatic sulcus**. The conditions listed cause this through different mechanisms: 1. **Optic Chiasm Glioma (Option C):** This is the most common cause. The tumor grows near the optic chiasm, causing pressure erosion of the anterior aspect of the sella turcica, leading to its characteristic elongation. 2. **Mucopolysaccharidoses (Option A):** Specifically Hurler syndrome (MPS I) and Hunter syndrome (MPS II). Dysostosis multiplex leads to defective bone formation and deposition of glycosaminoglycans, resulting in a wide, shallow sella. 3. **Achondroplasia (Option B):** In this condition, the skull base is shortened due to premature synchondrosis, which alters the morphology of the sella turcica into a J-shape. #### High-Yield Clinical Pearls for NEET-PG: * **Normal Sella:** Usually has a "cup-shaped" appearance. * **Empty Sella Syndrome:** Characterized by an enlarged sella filled with CSF, with a flattened pituitary gland. * **Ballooned Sella:** Typically seen in **Pituitary Adenomas**, where the sella expands in all directions. * **Other causes of J-shaped sella:** Chronic compensated hydrocephalus and neurofibromatosis type 1 (NF1). * **Key Distinction:** While "J-shaped sella" is often associated with optic gliomas in pediatric exams, always look for "All of the above" if MPS or Achondroplasia are listed.
Explanation: **Explanation:** The temporal bone is a complex anatomical structure containing the auditory and vestibular apparatus. For any suspected temporal bone injury (trauma), **High-Resolution Computed Tomography (HRCT)** is the investigation of choice. **1. Why CT scan is the Correct Answer:** CT provides superior spatial resolution for visualizing cortical bone and delicate intratemporal structures. It is the gold standard for identifying: * **Fracture lines:** Differentiating between longitudinal (more common) and transverse (higher risk of facial nerve palsy) fractures. * **Ossicular chain integrity:** Detecting dislocations (e.g., incudostapedial joint) or fractures. * **Pneumocranium/CSF otorrhea:** Identifying bony defects in the tegmen tympani or tegmen mastoideum. **2. Why other options are incorrect:** * **MRI:** While excellent for soft tissues (e.g., evaluating the facial nerve or membranous labyrinth), it cannot visualize bony architecture or fracture lines clearly. * **Angiography:** Reserved only if vascular injury (e.g., internal carotid artery dissection or sigmoid sinus thrombosis) is suspected following the initial CT. * **Plain X-ray:** Obsolete in modern trauma management due to the overlapping of complex cranial structures, which leads to very low sensitivity. **High-Yield Clinical Pearls for NEET-PG:** * **Longitudinal Fractures:** Most common (80%); usually caused by lateral blows; often associated with conductive hearing loss. * **Transverse Fractures:** Less common (20%); caused by frontal/occipital blows; higher risk of **sensorineural hearing loss** and **facial nerve injury**. * **Iceberg Sign:** On CT, a soft tissue density in the middle ear (hemotympanum) may be the only sign of an underlying fracture.
Explanation: ***Diffuse axonal injury*** - **Normal CT** with severe neurological deficit (**GCS 8**) suggests microscopic injury requiring **MRI** for detection, characteristic of diffuse axonal injury. - **MRI sequences** like **SWI/GRE** show **microhemorrhages** at **grey-white junction** and **corpus callosum**, pathognomonic for DAI in trauma patients. *Cerebral amyloid angiopathy* - Typically affects **elderly patients over 65 years** with recurrent **lobar hemorrhages**, not a 40-year-old. - Characterized by **cortical-subcortical hemorrhages** in specific lobar distributions, not diffuse microscopic injury. *Subarachnoid hemorrhage* - Would be **visible on non-contrast CT** in acute phase (within 24-48 hours) as **hyperdense blood** in subarachnoid spaces. - Associated with **severe headache**, **neck stiffness**, and **photophobia**, not isolated loss of consciousness with normal CT. *Subdural hematoma* - Appears as **hyperdense crescent-shaped lesion** on **CT scan**, easily visible and would not require MRI for diagnosis. - More common in **elderly patients** or those with **brain atrophy**, presenting with **focal neurological deficits** rather than diffuse injury pattern.
Explanation: **Explanation:** Basal ganglia calcification (BGC) is a common radiological finding with a wide differential diagnosis. The correct answer is **Wilson’s Disease** because it is characterized by the deposition of **copper**, not calcium. On MRI, Wilson’s disease typically presents with T2-hyperintensities in the basal ganglia (the "Giant Panda" sign), but calcification is not a feature of the disease. **Analysis of Options:** * **Hypoparathyroidism:** This is the most common endocrine cause of BGC. Low parathyroid hormone levels lead to hyperphosphatemia, which results in the deposition of calcium hydroxyapatite in the basal ganglia and gray-white matter junctions. * **Fahr’s Syndrome:** This is a rare genetic neurodegenerative condition characterized by idiopathic, massive, and symmetrical intracranial calcifications, primarily affecting the basal ganglia, thalamus, and cerebellum. * **Perinatal Hypoxia:** Ischemic or hypoxic insults during the neonatal period can lead to "dystrophic calcification" in the basal ganglia (specifically the putamen and thalamus) as the damaged neural tissue heals. **High-Yield Clinical Pearls for NEET-PG:** * **Physiological Calcification:** Small amounts of calcification in the globus pallidus can be a normal aging finding in patients >40 years. * **Infectious Causes:** TORCH infections (especially CMV and Toxoplasmosis) are major causes of intracranial calcification in neonates. * **Cockayne Syndrome:** A rare autosomal recessive disorder featuring "bird-like" facies and prominent basal ganglia calcification. * **Imaging Gold Standard:** **CT scan** is significantly more sensitive than MRI for detecting and characterizing intracranial calcification.
Explanation: **Explanation:** **Sturge-Weber Syndrome (SWS)**, also known as encephalotrigeminal angiomatosis, is the correct answer. The characteristic **'tram-track' calcification** (also called railroad track sign) refers to curvilinear, parallel lines of calcification seen on a CT scan or skull X-ray. This occurs due to calcification of the underlying atrophic cortical gray matter (specifically layers II and III) beneath a leptomeningeal venous angioma. It typically involves the occipital and parietal lobes. **Analysis of Incorrect Options:** * **Toxoplasmosis:** Characterized by **scattered, nodular intracranial calcifications** (usually in the basal ganglia and corticomedullary junction) rather than linear cortical patterns. * **Tuberous Sclerosis:** Features **subependymal nodules** (candle-guttering appearance) and cortical hamartomas (tubers) which may calcify, but they do not form a tram-track pattern. * **Syphilis:** Neurosyphilis may present with "gummas" or vasculitis, but it is not typically associated with specific patterns of intracranial calcification. **High-Yield Clinical Pearls for NEET-PG:** * **SWS Triad:** 1. Port-wine stain (Nevus flammeus) in the V1/V2 distribution of the trigeminal nerve; 2. Leptomeningeal angioma (ipsilateral); 3. Glaucoma. * **Imaging Gold Standard:** **Contrast-enhanced MRI** is the most sensitive modality to detect leptomeningeal enhancement (pial angiomatosis) early in life, before calcifications develop. * **GNAQ Gene:** SWS is caused by a somatic mutation in the *GNAQ* gene; it is sporadic and not inherited. * **Clinical Presentation:** Often presents with refractory seizures, hemiparesis, and intellectual disability.
Explanation: **Explanation:** The clinical presentation of **contralateral hemiplegia** (weakness on one side of the body) combined with **sub-periosteal bleeding** (often referring to a cephalhematoma or traumatic skull injury in this context) strongly suggests an **acute intracranial hemorrhage** or a traumatic brain injury (TBI). **1. Why CT Scan is the Correct Answer:** Non-Contrast Computed Tomography (NCCT) of the head is the **initial investigation of choice** in acute neurological emergencies. * **Speed:** It is rapid, making it ideal for unstable patients. * **Sensitivity:** It is highly sensitive (nearly 100%) for detecting **acute blood** (which appears hyperdense/white). * **Bone Pathology:** It is superior to MRI for identifying associated skull fractures or sub-periosteal involvement. * **Availability:** It is widely available in emergency departments. **2. Why Other Options are Incorrect:** * **Chest X-ray:** While useful for systemic trauma assessment, it provides no information regarding intracranial pathology or hemiplegia. * **MRI:** Although more sensitive for diffuse axonal injury or posterior fossa strokes, it is time-consuming, expensive, and difficult to perform on unstable patients. It is generally the "investigation of choice" for chronic conditions or subacute infarcts, but not the *initial* step in acute trauma/hemorrhage. * **PET Scan:** This is a functional imaging modality used primarily in oncology and dementia workups; it has no role in the acute management of hemiplegia. **Clinical Pearls for NEET-PG:** * **Acute Blood on CT:** Appears **Hyperdense** (White). * **Chronic Blood on CT:** Appears **Hypodense** (Black). * **Epidural Hematoma (EDH):** Biconvex/Lens-shaped; does not cross sutures. * **Subdural Hematoma (SDH):** Crescent-shaped; can cross sutures. * **Gold Standard for Stroke:** NCCT Head is the first step to rule out hemorrhage before starting thrombolysis.
Explanation: **Explanation:** The clinical presentation of an unconscious patient with a high-impact head injury, where CT findings show minimal mass effect (no midline shift) but significant signs of increased intracranial pressure (compressed basal cisterns) and punctate hemorrhages, is classic for **Diffuse Axonal Injury (DAI)**. **Why D is Correct:** DAI occurs due to sudden rotational acceleration/deceleration forces causing shearing of axons. The hallmark of DAI on imaging is **multiple small, petechial hemorrhages** located at specific interfaces: the grey-white matter junction (most common), corpus callosum, and brainstem. A key diagnostic clue is the **clinicoradiological dissociation**: the patient’s clinical state (comatose/GCS <8) is much worse than what the initial CT scan suggests. **Why Incorrect Options are Wrong:** * **A & B (Cortical Contusion/Laceration):** These are focal injuries typically found at the site of impact (coup) or opposite to it (contrecoup), usually involving the frontal and temporal poles. They present as larger, localized areas of edema and hemorrhage, often causing a midline shift. * **C (Multiple Infarcts):** These typically follow a vascular territory or "watershed" distribution and are usually seen in embolic events or severe hypoxia, not acutely following trauma with external injuries. **High-Yield Clinical Pearls for NEET-PG:** * **Gold Standard Investigation:** **MRI (specifically Susceptibility Weighted Imaging - SWI)** is the most sensitive sequence for detecting the microhemorrhages of DAI that CT might miss. * **Grading (Adams Classification):** * **Grade I:** Grey-white matter junction. * **Grade II:** Corpus callosum (Splenium). * **Grade III:** Brainstem (Dorsolateral aspect). * **Key Phrase:** Look for "Clinicoradiological dissociation" or "Normal CT in a comatose patient" to suspect DAI.
Neuroanatomy for Radiologists
Practice Questions
Cerebrovascular Diseases
Practice Questions
Intracranial Tumors
Practice Questions
CNS Infections
Practice Questions
Demyelinating and Degenerative Diseases
Practice Questions
Head Trauma Imaging
Practice Questions
Spine Imaging: Trauma and Degenerative Disease
Practice Questions
Spine Tumors and Infections
Practice Questions
Pediatric Neuroradiology
Practice Questions
Congenital CNS Anomalies
Practice Questions
Functional Neuroimaging
Practice Questions
Neurointerventional Procedures
Practice Questions
Get full access to all questions, explanations, and performance tracking.
Start For Free