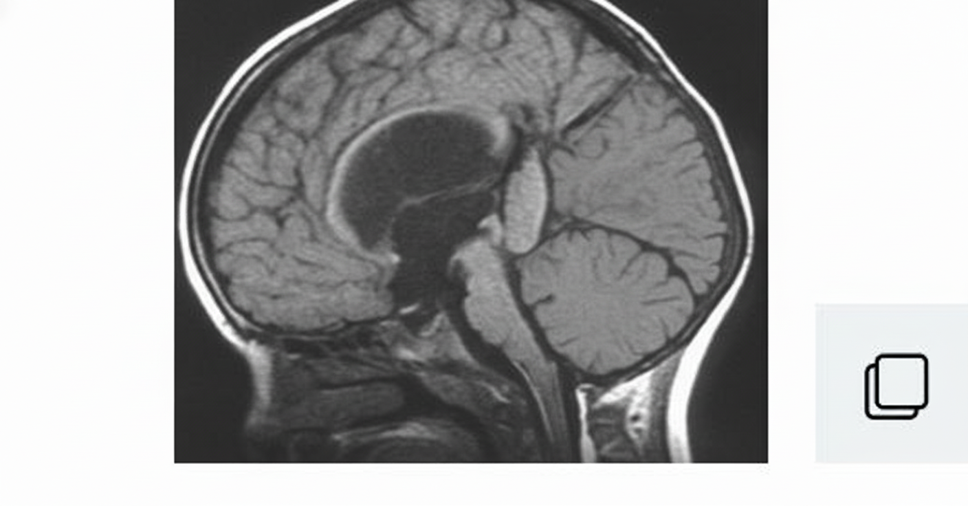
What is your diagnosis in this infant who was found to have hydrocephalus?

Dumb-bell appearance of spinal cord tumours is seen in which of the following?
"Lemon sign" and "Banana sign" on Antenatal Ultrasound are seen in which condition?
What is the first investigation of choice for a spinal cord tumor?
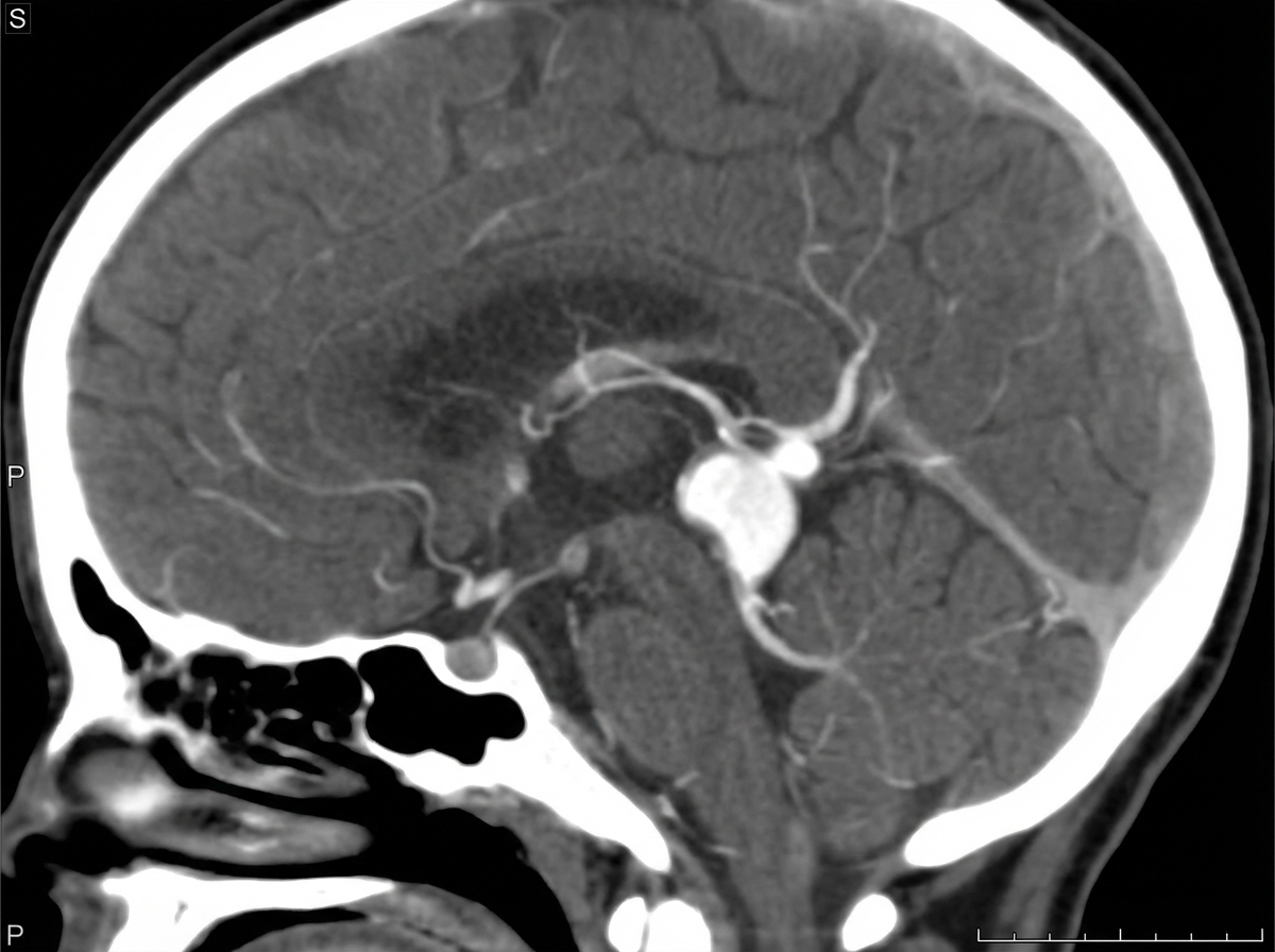
A neonate presents with a left-to-right shunt and high cardiac output heart failure. CT angiography of the neonate is shown. What is the diagnosis?

Calcification of the Posterior Longitudinal Ligament is best diagnosed by which imaging modality?
A cystic lesion with suprasellar calcification on X-ray is a feature of which of the following?
What condition is characterized by the 'rare orbit sign'?
Which of the following is FALSE regarding Dandy-Walker malformation?
What is true regarding Cerebrospinal Fluid (CSF) on Magnetic Resonance Imaging (MRI)?
Explanation: ***Dandy-Walker malformation*** - Characterized by **posterior fossa cyst**, **cerebellar vermis hypoplasia**, and **elevated tentorium** with associated hydrocephalus in infants. - Classic triad includes **cystic dilatation of fourth ventricle**, **absent or hypoplastic cerebellar vermis**, and **enlarged posterior fossa**. *Chiari malformation* - Features **cerebellar tonsillar herniation** through the foramen magnum, not posterior fossa cystic changes. - Type I typically presents in adolescents/adults with **headaches** and **syringomyelia**, while Type II involves **myelomeningocele**. *Vein of Galen malformation* - Presents as **arteriovenous malformation** in the **quadrigeminal cistern** with high-flow vascular lesion. - Causes hydrocephalus due to **mass effect** and **venous obstruction**, but lacks cerebellar vermis abnormalities. *Holoprosencephaly* - Involves **failure of forebrain division** resulting in **absent or incomplete interhemispheric fissure**. - Associated with **facial dysmorphism** and **monoventricle formation**, not posterior fossa abnormalities.
Explanation: **Explanation:** The **"Dumb-bell" (or hourglass) appearance** is a classic radiological sign of a **Neurofibroma** (or Schwannoma). These are nerve sheath tumors that arise from the spinal nerve roots. As the tumor grows, it expands within the spinal canal (intradural-extramedullary component) and extends through the narrow intervertebral foramen into the paravertebral space. This constriction by the bony foramen creates the characteristic "waist," resulting in a dumb-bell shape. On imaging, this is often associated with the widening of the intervertebral foramen and erosion of adjacent pedicles. **Analysis of Incorrect Options:** * **Astrocytoma:** These are **intramedullary** tumors (arising within the cord substance). They typically cause focal or diffuse cord expansion rather than extending through the foramina. * **Meningioma:** While these are common intradural-extramedullary tumors, they are usually well-circumscribed, globular, and often show a "dural tail" sign. They rarely extend through the foramen to form a dumb-bell shape. * **Glioblastoma:** This is a high-grade primary malignancy, usually intracranial. Spinal glioblastomas are rare, intramedullary, and highly infiltrative, not presenting with a dumb-bell configuration. **NEET-PG High-Yield Pearls:** * **Most common cause of Dumb-bell tumor:** Schwannoma (more common than Neurofibroma). * **Location:** Neurofibromas are typically **Intradural-Extramedullary**. * **Radiological Sign:** Look for **widening of the neural foramen** on a plain X-ray or CT. * **Association:** Multiple neurofibromas are strongly associated with **Neurofibromatosis Type 1 (NF1)**.
Explanation: **Explanation:** The **Lemon sign** and **Banana sign** are classic sonographic markers of **Arnold-Chiari Malformation Type II**, typically associated with open neural tube defects (like myelomeningocele). * **Lemon Sign:** This refers to the scalloping or flattening of the frontal bones of the fetal skull, giving it a lemon-like shape. It occurs due to low intraspinal pressure causing a downward shift of the brain, which leads to a decrease in intracranial pressure and subsequent inward collapse of the frontal bones. * **Banana Sign:** This refers to the characteristic shape of the cerebellum. As the hindbrain herniates through the foramen magnum (caudal displacement), the cerebellum becomes compressed and curved around the brainstem, losing its usual "dumbbell" shape and appearing like a banana. This is often associated with obliteration of the **Cisterna Magna**. **Analysis of Incorrect Options:** * **A. Down Syndrome (Trisomy 21):** Associated with markers like increased Nuchal Translucency (NT), absent nasal bone, echogenic intracardiac focus, and duodenal atresia ("Double bubble sign"). * **C. Turner Syndrome (45, XO):** Characteristically associated with **Cystic Hygroma** and increased NT. * **D. Klinefelter Syndrome (47, XXY):** Usually does not present with specific structural anomalies on routine antenatal ultrasound. **High-Yield Clinical Pearls for NEET-PG:** * The **Lemon sign** is most reliable in the second trimester (before 24 weeks) and may disappear as the skull ossifies. * The **Banana sign** is a more specific and sensitive predictor of spina bifida than the lemon sign. * **Ventriculomegaly** (hydrocephalus) is the most common associated finding in Chiari II malformations.
Explanation: **Explanation:** **MRI (Magnetic Resonance Imaging)** is the investigation of choice for spinal cord tumors due to its superior **soft-tissue contrast resolution** and multiplanar imaging capabilities. It allows for the precise localization of tumors into three categories: intramedullary (within the cord), extramedullary-intradural, and extradural. MRI is highly sensitive in detecting cord edema, syrinx formation, and the relationship of the tumor to the spinal cord and nerve roots. **Gadolinium-enhanced MRI** is specifically used to further characterize the lesion and define its vascularity. **Why other options are incorrect:** * **Myelography:** Once the gold standard, it is now obsolete. It is invasive (requiring lumbar puncture and contrast injection) and provides indirect evidence of a tumor (e.g., a filling defect) without showing the internal architecture of the cord. * **CT Scan:** While excellent for evaluating bony anatomy and calcifications, CT has poor soft-tissue resolution for the spinal cord and is limited by "bone-hardening" artifacts within the spinal canal. * **Plain X-ray:** This is often the initial screening tool for back pain but is insensitive for soft tissue. It only shows secondary signs like pedicle erosion (Winking Owl sign), vertebral destruction, or widening of the interpedicular distance. **Clinical Pearls for NEET-PG:** * **Most common intramedullary tumor:** Ependymoma (Adults), Astrocytoma (Children). * **Most common intradural-extramedullary tumors:** Nerve sheath tumors (Schwannoma/Neurofibroma) and Meningiomas. * **Drop Metastasis:** MRI of the entire neuraxis is required for tumors like Medulloblastoma or Ependymoma. * **Investigation of choice for Spinal Trauma:** Non-contrast CT (to check for fractures); however, MRI is used to assess cord injury.
Explanation: ***Vein of Galen malformation*** - Causes **left-to-right arteriovenous shunting** that directly leads to **high-output cardiac failure** in neonates due to the large volume of blood bypassing normal capillary resistance. - CT angiography typically shows a **dilated midline venous structure** in the posterior third ventricle region with prominent **feeding arteries** and **venous drainage**. *Sagittal venous thrombosis* - Would present with **venous stasis** and **increased intracranial pressure**, not left-to-right shunting or cardiac failure. - CT angiography shows **absent flow** in the superior sagittal sinus with possible **venous infarcts**, not arteriovenous connections. *Intracranial hemorrhage* - Presents with **mass effect** and **neurological deterioration**, not cardiac symptoms or shunting. - CT shows **hyperdense blood products** in brain parenchyma, ventricles, or subarachnoid space, not vascular malformations. *Arnold-Chiari malformation* - A **structural brain malformation** involving **cerebellar tonsillar herniation** through the foramen magnum. - Does not cause **cardiac failure** or **arteriovenous shunting**, and appears as **posterior fossa crowding** on imaging.
Explanation: **Explanation:** **Ossification of the Posterior Longitudinal Ligament (OPLL)** is a condition where the ligament becomes progressively calcified, potentially leading to spinal canal stenosis and myelopathy. 1. **Why CT is the Correct Answer:** Computed Tomography (CT) is the **gold standard** for diagnosing OPLL. It has superior spatial resolution for bone and mineralized tissues. CT can precisely characterize the thickness, extent, and morphology of the calcification (e.g., continuous, segmental, or circumscribed types). It is essential for surgical planning to determine the degree of canal narrowing and the presence of the "double-layer sign," which indicates dural involvement. 2. **Why Other Options are Incorrect:** * **X-Ray:** While large calcifications may be visible on a lateral view, X-rays lack the sensitivity to detect early ossification and cannot accurately assess the degree of spinal canal compromise due to overlying bony shadows. * **MRI:** MRI is the best modality for evaluating the **spinal cord** (detecting myelomalacia or edema), but it is notoriously poor at visualizing cortical bone or calcification. On MRI, OPLL appears as a "signal void" (dark), which can be easily confused with a simple disc herniation or osteophytes. * **PET:** This is a functional imaging modality used primarily for oncology and inflammation; it has no role in the structural diagnosis of ligamentous calcification. **High-Yield Pearls for NEET-PG:** * **Most Common Site:** Cervical spine (specifically C4–C6). * **Epidemiology:** Most common in the East Asian population (traditionally called "Japanese disease"). * **Clinical Presentation:** Often presents with **Cervical Spondylotic Myelopathy** (gait instability, hand clumsiness). * **Radiological Sign:** Look for a dense radio-opaque band posterior to the vertebral bodies on a CT scan.
Explanation: **Explanation:** The presence of a **cystic lesion** with **suprasellar calcification** on imaging is the classic hallmark of **Craniopharyngioma**. These are benign (WHO Grade I) tumors derived from the remnants of **Rathke’s pouch**. * **Why Craniopharyngioma is correct:** It is the most common suprasellar tumor in children. Radiologically, it follows the **"Rule of 90s"**: 90% are cystic, 90% show calcification (especially the Adamantinomatous type), and 90% enhance on contrast. On X-ray, the calcification is often described as "curvilinear" or "nodular" in the suprasellar region. **Analysis of Incorrect Options:** * **Astrocytoma:** While Pilocytic Astrocytomas can occur in the optic chiasm (suprasellar), they are typically solid-cystic and calcification is much less common (approx. 10-20%) compared to craniopharyngioma. * **Oligodendroglioma:** These are known for high rates of calcification (70-90%), but they are typically **cortical/subcortical** tumors (frontal lobe) rather than suprasellar. * **Meningioma:** Suprasellar (tuberculum sellae) meningiomas are usually **solid** and intensely enhancing. While they can show psammomatous calcification, they lack the prominent cystic component characteristic of craniopharyngiomas. **High-Yield Pearls for NEET-PG:** * **Bimodal distribution:** Peaks at 5–14 years and 50–75 years. * **Adamantinomatous type:** Common in children; "machine oil" fluid (cholesterol crystals); high calcification rate. * **Papillary type:** Common in adults; solid; rarely calcifies. * **Clinical Triad:** Visual field defects (Bitemporal hemianopia), Endocrine deficiency (Growth retardation/Diabetes Insipidus), and increased intracranial pressure.
Explanation: ### Explanation The **'Bare Orbit Sign'** is a classic radiological hallmark of **Neurofibromatosis Type 1 (NF1)**. It refers to the appearance of the orbit on a frontal skull radiograph or CT scan where the normal bony landmarks (specifically the greater wing of the sphenoid) are absent. **1. Why Neurofibromatosis Type I is Correct:** The sign is caused by **sphenoid wing dysplasia**, a characteristic skeletal manifestation of NF1. The absence or hypoplasia of the greater wing of the sphenoid leads to a defect in the posterior orbital wall. This results in: * An "empty" or "bare" appearance of the orbit. * Communication between the orbit and the middle cranial fossa, which can lead to **pulsatile exophthalmos** as the brain's pulsations are transmitted to the globe. **2. Why the Other Options are Incorrect:** * **Neurofibromatosis Type II:** Characterized primarily by bilateral vestibular schwannomas (MISME syndrome). It does not typically involve sphenoid wing dysplasia. * **Sturge-Weber Syndrome:** A phakomatosis characterized by port-wine stains and leptomeningeal angiomas. Classic imaging finding is "tram-track" cortical calcifications. * **Tuberous Sclerosis:** Associated with cortical tubers, subependymal nodules (SENs), and subependymal giant cell astrocytomas (SEGAs). It does not cause orbital wall defects. **3. Clinical Pearls for NEET-PG:** * **Sphenoid Wing Dysplasia:** One of the diagnostic criteria for NF1. * **Associated Finding:** Often seen in conjunction with **orbital neurofibromas** (plexiform type). * **Other NF1 Skeletal Signs:** Tibial pseudoarthrosis, "scalloping" of posterior vertebral bodies, and ribbon ribs. * **Buphthalmos:** NF1 can also cause an enlarged globe (ox-eye) due to congenital glaucoma.
Explanation: **Explanation:** **Dandy-Walker Malformation (DWM)** is a congenital posterior fossa anomaly characterized by a specific triad: hypoplasia/agenesis of the cerebellar vermis, cystic dilatation of the fourth ventricle, and an enlarged posterior fossa with upward displacement of the tentorium and torcula. **Why Microcephaly is the correct (False) option:** In DWM, the massive cystic expansion of the fourth ventricle and the resulting obstructive hydrocephalus typically lead to **macrocephaly** (enlarged head circumference) and bulging fontanelles in infants. Microcephaly is not a feature of DWM; rather, it is associated with conditions like TORCH infections or Zika virus. **Analysis of other options:** * **Hypoplasia of the vermis:** This is the hallmark anatomical defect. The vermis is often rotated superiorly and is incomplete. * **Hydrocephalus:** Occurs in approximately 70-90% of patients due to atresia of the Foramina of Luschka and Magendie or associated aqueductal stenosis. * **Ataxia:** Since the cerebellum (responsible for coordination) is malformed, patients commonly present with developmental delay, hypotonia, and cerebellar ataxia. **NEET-PG High-Yield Pearls:** * **Classic Triad:** 1. Vermian hypoplasia, 2. Cystic 4th ventricle, 3. Enlarged posterior fossa. * **Torcular-Herophili sign:** The confluence of sinuses (torcula) is displaced upwards (above the level of the lambdoid suture) due to the large cyst. * **Associated Anomalies:** Agenesis of the corpus callosum is the most common associated CNS finding. * **Differential Diagnosis:** Mega Cisterna Magna (normal vermis and 4th ventricle) and Arachnoid Cyst (mass effect on a normal cerebellum).
Explanation: **Explanation:** In Magnetic Resonance Imaging (MRI), the appearance of tissues is determined by their relaxation times ($T1$ and $T2$). Cerebrospinal Fluid (CSF) is a simple fluid with a long $T1$ relaxation time and a long $T2$ relaxation time. * **Correct Answer (B):** On **T2-weighted images**, tissues with long relaxation times appear bright. Since CSF has a high water content, it appears **hyper-intense (white)**. This is a hallmark of T2 imaging, often referred to as the "H2O is bright on T2" rule. **Analysis of Incorrect Options:** * **Option A:** On **T1-weighted images**, fluids with long relaxation times appear **hypo-intense (dark)**. T1 is excellent for visualizing anatomy, where CSF provides a dark background against the grey and white matter. * **Option C:** **FLAIR (Fluid Attenuated Inversion Recovery)** is essentially a T2-weighted sequence where the signal from free-flowing water (CSF) is suppressed or "nulled." Therefore, CSF appears **dark** on FLAIR, allowing for better visualization of periventricular pathologies like Multiple Sclerosis plaques. * **Option D:** On **Diffusion-Weighted Imaging (DWI)**, CSF shows "restricted diffusion" only if it is highly viscous (like an abscess). Normal CSF allows free movement of water molecules and appears **hypo-intense (dark)** on DWI and bright on the corresponding ADC map. **High-Yield Clinical Pearls for NEET-PG:** * **T1 vs. T2:** Remember **T1 = Dark** fluid; **T2 = Bright** fluid. * **FLAIR:** Best for identifying edema or lesions near the ventricles (e.g., MS, infarcts). * **DWI:** The gold standard for diagnosing **Acute Ischemic Stroke** (appears hyper-intense due to cytotoxic edema). * **Pathology:** If CSF-like signal on T1/T2 does *not* suppress on FLAIR, consider an **Epidermoid cyst** rather than an Arachnoid cyst.
Neuroanatomy for Radiologists
Practice Questions
Cerebrovascular Diseases
Practice Questions
Intracranial Tumors
Practice Questions
CNS Infections
Practice Questions
Demyelinating and Degenerative Diseases
Practice Questions
Head Trauma Imaging
Practice Questions
Spine Imaging: Trauma and Degenerative Disease
Practice Questions
Spine Tumors and Infections
Practice Questions
Pediatric Neuroradiology
Practice Questions
Congenital CNS Anomalies
Practice Questions
Functional Neuroimaging
Practice Questions
Neurointerventional Procedures
Practice Questions
Get full access to all questions, explanations, and performance tracking.
Start For Free