Which of the following is a characteristic radiological finding of an epidermoid cyst?
What is the investigation of choice in the clinical suspicion of stroke?
A 50-year-old female presented with left-sided lower limb weakness and mild headaches. Her weakness worsened slowly over the past 5 years. She has a history of cranial irradiation 6 years ago. Her husband has also noted a slight change in her behavior over the past 5 years. Contrast-enhanced MRI showed a sellar/suprasellar space-occupying lesion (SOL). Which of the following is the most common gyri involved and the most common genetic abnormality in the condition suggested by the MRI findings?
Extensive involvement of deep white matter with hyperdense thalamic lesion on non-contrast CT scan of the brain is seen in which of the following conditions?
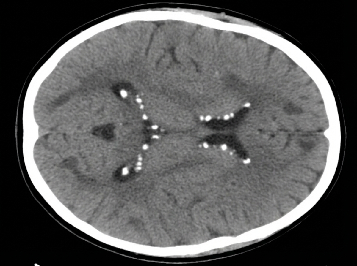
A 12-year-old boy presents with seizures. His mother reports multiple previous hospitalizations for difficult-to-control seizures. A CT scan was performed. What is the diagnosis?

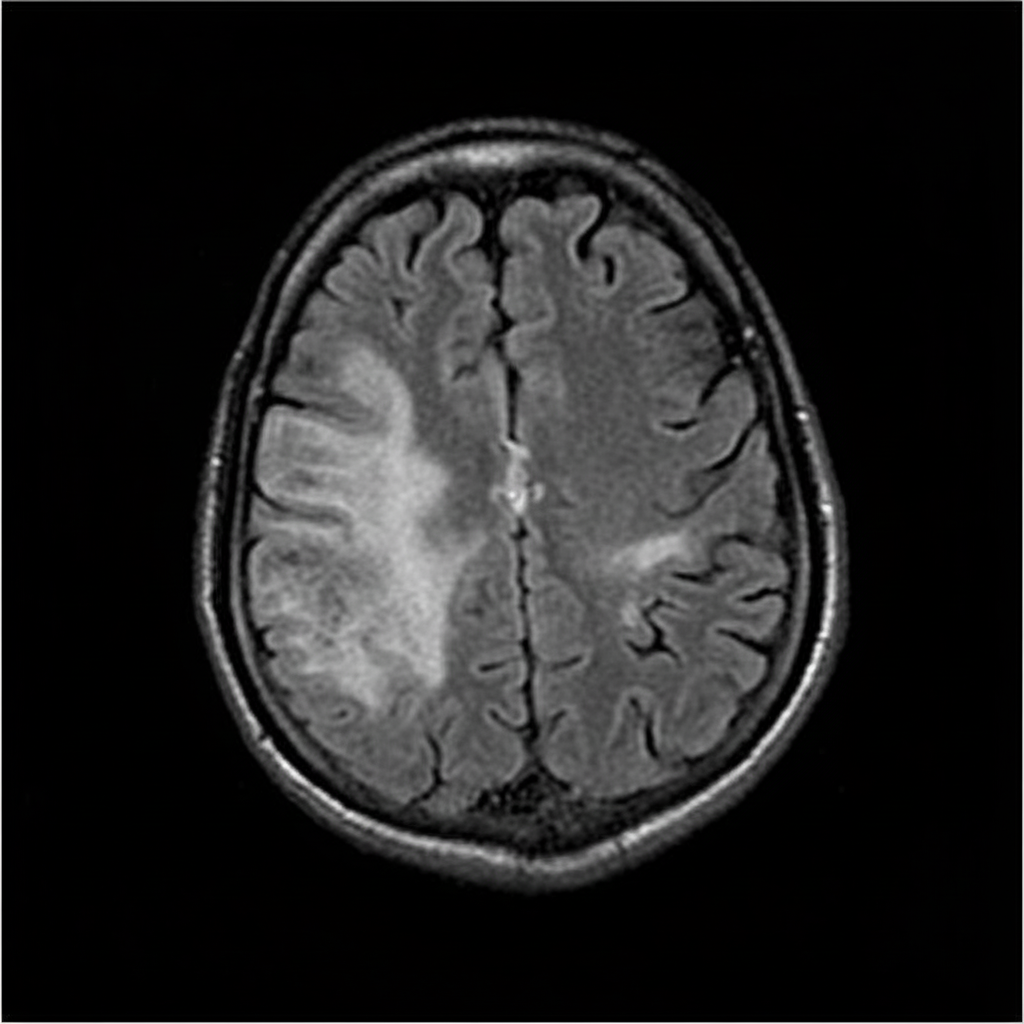
The MRI finding shown in the image is characteristic of which of the following pathologies?

Which of the following is true regarding cerebral venous sinuses?
Which of the following imaging sequences is most useful in differentiating between an arachnoid cyst and an epidermoid cyst?
Which one of the following tumors shows calcification on CT Scan?
Presence of calcification on an intracranial lesion is best made out by?
Explanation: **Explanation:** **Epidermoid cysts** are benign, slow-growing congenital lesions resulting from the entrapment of ectodermal elements during neural tube closure. They are often referred to as "pearly tumors" due to their macroscopic appearance. **1. Why Option B is Correct:** The hallmark radiological feature of an epidermoid cyst is **restricted diffusion**, which manifests as a **high signal (hyperintensity) on Diffusion-Weighted Imaging (DWI)**. This occurs because the cyst contains solid flakes of desquamated keratin and cholesterol crystals, which create a highly organized, viscous environment that restricts the Brownian motion of water molecules. This is the most crucial sequence for differentiating an epidermoid cyst from an arachnoid cyst. **2. Why the Other Options are Incorrect:** * **Option A:** Low signal on DWI is characteristic of an **arachnoid cyst**, which contains simple CSF. * **Option C:** On **FLAIR**, epidermoid cysts typically show a **low signal** (similar to CSF), though they may appear slightly "dirty" or heterogeneously hyperintense compared to pure CSF. However, they are not classically "high signal" like a solid tumor or edema. * **Option D:** **STIR** is a fat-suppression sequence. While epidermoid cysts contain cholesterol, they do not contain macroscopic fat (unlike dermoid cysts), so STIR is not the diagnostic sequence of choice. **High-Yield Clinical Pearls for NEET-PG:** * **Location:** Most common in the **Cerebellopontine (CP) angle** (it is the 3rd most common CP angle tumor after vestibular schwannoma and meningioma). * **Morphology:** They are described as **"cauliflower-like"** or **"plastic"** because they tend to encase and creep around cranial nerves and vessels rather than displacing them. * **CT Appearance:** Typically hypodense (resembling CSF), often making them difficult to distinguish from arachnoid cysts without MRI. * **Dermoid vs. Epidermoid:** Dermoid cysts are usually midline, contain hair/fat, and show high signal on T1 (due to fat). Epidermoid cysts are usually off-midline and follow CSF signal on T1/T2.
Explanation: **Explanation:** In the acute management of a suspected stroke, the primary clinical objective is to differentiate between **ischemic stroke** and **hemorrhagic stroke**. This distinction is critical because the treatment for ischemia (thrombolysis) is contraindicated and potentially fatal in the presence of a hemorrhage. **Why Noncontrast Head CT (NCCT) is the Correct Choice:** NCCT is the gold standard initial investigation because it is highly sensitive for detecting **acute intracranial hemorrhage**, which appears immediately as a hyperdense (white) area. It is fast, widely available, and cost-effective. While NCCT may appear normal in the early stages of an ischemic stroke (the "hyperacute" phase), its main role is to **rule out bleed** so that fibrinolytic therapy (like tPA) can be safely initiated. **Why Other Options are Incorrect:** * **Contrast Head CT:** Intravenous contrast can mimic the appearance of blood (hyperdensity) on a CT scan, potentially masking a small hemorrhage or leading to a false diagnosis of a bleed. * **MRI (Noncontrast/Contrast):** While Diffusion-Weighted Imaging (DWI) MRI is the most sensitive sequence for detecting early *ischemic* changes (within minutes), MRI is time-consuming, less available in emergency settings, and has more contraindications (e.g., pacemakers). It is generally reserved for stable patients or cases where the diagnosis is uncertain. **High-Yield Clinical Pearls for NEET-PG:** * **"Time is Brain":** The goal is a "Door-to-CT" time of <25 minutes. * **Earliest CT sign of Ischemic Stroke:** The **"Hyperdense Middle Cerebral Artery (MCA) sign"** (representing a thrombus). * **Diffusion-Weighted Imaging (DWI):** The most sensitive imaging modality for hyperacute ischemic stroke (detects changes within 15–30 minutes). * **Ischemic Penumbra:** The salvageable brain tissue around the infarct core, best identified using CT or MR Perfusion imaging.
Explanation: ### Explanation **Diagnosis: Parasagittal Meningioma** The clinical presentation of slowly progressive lower limb weakness, behavioral changes (frontal lobe involvement), and a history of cranial irradiation strongly suggests a **Meningioma**. Meningiomas are the most common extra-axial tumors in adults and are frequently associated with prior radiation exposure. 1. **Why Option A is Correct:** * **Anatomical Localization:** The patient has left-sided lower limb weakness. The motor homunculus for the lower limb is located on the medial aspect of the cerebral hemisphere in the **Anterior Paracentral Gyrus**. A parasagittal or suprasellar meningioma compressing this area leads to contralateral leg weakness. * **Genetic Abnormality:** The most common genetic alteration in meningiomas (found in ~50-60% of cases) is the **deletion or mutation of the NF2 gene on chromosome 22q12**. 2. **Why Other Options are Incorrect:** * **Posterior Paracentral Gyrus (Options B & D):** This area corresponds to the primary **sensory** cortex for the lower limb. While a lesion here would cause sensory deficits, the primary complaint is motor weakness, which points to the anterior (motor) portion. * **Deletion 20q (Options B & C):** This is not a characteristic genetic marker for meningiomas. Chromosome 22q loss is the hallmark "high-yield" association for NEET-PG. 3. **Clinical Pearls & High-Yield Facts:** * **MRI Appearance:** Meningiomas are typically isointense on T1/T2 and show **intense, homogenous enhancement** with a characteristic **"Dural Tail Sign."** * **Psammoma Bodies:** Histologically, these are laminated calcifications commonly seen in the psammomatous subtype. * **Foster Kennedy Syndrome:** Large olfactory groove meningiomas can cause ipsilateral optic atrophy, contralateral papilledema, and anosmia. * **Risk Factors:** Female gender (progesterone receptors), NF2, and ionizing radiation.
Explanation: ### Explanation The correct answer is **Krabbe disease** (Globoid Cell Leukodystrophy). **1. Why Krabbe Disease is Correct:** Krabbe disease is an autosomal recessive lysosomal storage disorder caused by a deficiency of the enzyme **galactocerebrosidase**. This leads to the accumulation of psychosine, which is toxic to oligodendrocytes. * **Radiological Hallmark:** On a non-contrast CT (NCCT), Krabbe disease characteristically shows **hyperdensity in the thalami**, caudate nuclei, and posterior limb of the internal capsule. This is attributed to the presence of dense "globoid cells" and calcification. * **White Matter Involvement:** It involves extensive symmetric demyelination of the deep white matter, often starting posteriorly (parieto-occipital) and spreading anteriorly. **2. Why Other Options are Incorrect:** * **Alexander Disease:** Characterized by **frontal lobe** predominance of white matter changes. A key finding is "Rosenthal fibers" on pathology and macrocephaly clinically. * **Metachromatic Leukodystrophy (MLD):** The most common leukodystrophy. It shows a characteristic **"tigroid" or "leopard skin" pattern** (sparing of perivenular myelin) on MRI. It typically does *not* show hyperdense thalami on CT. * **Canavan Disease:** Characterized by diffuse white matter involvement with a hallmark of **elevated N-acetylaspartate (NAA) peak** on MR spectroscopy and macrocephaly. **3. High-Yield Clinical Pearls for NEET-PG:** * **Hyperdense Thalami on CT:** Think Krabbe disease or GM1 Gangliosidosis. * **Macrocephaly + Leukodystrophy:** Think Alexander disease or Canavan disease. * **Tigroid Pattern:** Pathognomonic for MLD. * **Parieto-occipital Predominance:** Seen in Krabbe and X-linked Adrenoleukodystrophy (ALD).
Explanation: ***Tuberous sclerosis*** - Characterized by **subependymal calcified nodules** and **cortical tubers** on CT, which are pathognomonic findings in children with refractory seizures. - Classic presentation includes **difficult-to-control seizures** in childhood, often associated with **developmental delay** and **autism spectrum disorders**. *Sturge Weber Syndrome* - CT typically shows **pial angiomatosis** with **gyriform calcifications** in the occipital and parietal regions, not subependymal nodules. - Associated with **port-wine stain** facial birthmark and **glaucoma**, which are not mentioned in this case. *Neurofibromatosis* - CT findings include **neurofibromas** and **optic gliomas**, not the calcified nodules seen in tuberous sclerosis. - Typically presents with **café-au-lait spots** and **neurofibromas** rather than primarily seizure disorders. *Von Hippel Lindau Syndrome* - CT shows **cerebellar hemangioblastomas** and **retinal angiomas**, not cortical tubers or subependymal nodules. - Primarily affects **young adults** rather than children and rarely presents with seizures as the main symptom.
Explanation: ***Multiple Sclerosis*** - **Periventricular white matter lesions** (Dawson's fingers) on **FLAIR MRI** are pathognomonic for multiple sclerosis, showing demyelinating plaques perpendicular to ventricles. - The **finger-like projections** extending from ventricles represent perivenular inflammation and demyelination characteristic of MS pathophysiology. *Sturge-Weber syndrome* - Typically shows **tram-track calcifications** in the cortex on CT imaging, not periventricular white matter lesions. - Associated with **leptomeningeal angiomatosis** and cortical atrophy, distinctly different from the shown MRI pattern. *Neurofibromatosis* - MRI findings include **schwannomas**, **optic gliomas**, and **café-au-lait spots**, not periventricular white matter lesions. - **Neurofibromas** along nerve pathways and **sphenoid wing dysplasia** are characteristic imaging features, absent in this case. *Tuberous Sclerosis* - Characteristic findings include **cortical tubers**, **subependymal nodules**, and **candle-guttering calcifications** on imaging. - **Subependymal giant cell astrocytomas** near the foramen of Monro are typical, not the periventricular pattern shown.
Explanation: ### Explanation **1. Why the Correct Answer is Right:** The **transverse sinuses** are frequently **asymmetrical** in the general population. In approximately 60-70% of individuals, the **right transverse sinus** is larger (dominant) as it is the direct continuation of the superior sagittal sinus via the torcular herophili. The left transverse sinus is often hypoplastic. Recognizing this anatomical variation is crucial in radiology to avoid misdiagnosing a small or asymmetric sinus as venous thrombosis. **2. Why the Incorrect Options are Wrong:** * **Option B:** Cerebral venous thrombosis (CVT) typically causes **exophthalmos** (proptosis), chemosis, and ophthalmoplegia, particularly in cavernous sinus thrombosis, due to impaired venous drainage from the orbit. Enophthalmos (sunken eyes) is not a feature of CVT. * **Option C:** This is a distractor. While the "empty delta sign" is a classic finding of CVT on contrast-enhanced CT, the question asks what is **true regarding the sinuses** themselves. More importantly, the empty delta sign is a *radiological sign of pathology*, not a physiological characteristic of the sinuses. (Note: In some contexts, this option is considered "true" for the disease, but in anatomy-based questions, the asymmetry of the transverse sinus is the fundamental anatomical fact). * **Option D:** Cerebral venous sinuses are located between the periosteal and meningeal layers of the **dura mater**. They communicate with **subarachnoid space** (via arachnoid granulations for CSF drainage) and **diploic/emissary veins**, but they do not communicate with the subdural space (which is a pathological space). **Clinical Pearls for NEET-PG:** * **Empty Delta Sign:** Seen on contrast CT as a central non-enhancing area (thrombus) surrounded by enhancing dural collateral circulation in the superior sagittal sinus. * **Reverse Bromage Sign:** Seen in CVT. * **Investigation of Choice:** **MR Venography (MRV)** is the gold standard for diagnosing Cerebral Venous Thrombosis. * **Trousseau’s Sign:** Migratory thrombophlebitis can involve cerebral sinuses in paraneoplastic syndromes.
Explanation: **Explanation:** The differentiation between an **Arachnoid Cyst** and an **Epidermoid Cyst** is a classic high-yield topic in neuroradiology. While both appear as CSF-like (hypointense on T1 and hyperintense on T2) extra-axial lesions, their internal composition differs significantly. **Why FLAIR is the correct answer:** * **Arachnoid Cysts** contain pure cerebrospinal fluid (CSF). On **FLAIR (Fluid Attenuated Inversion Recovery)** sequences, the signal from free-flowing water/CSF is suppressed, making the cyst appear **completely dark (hypointense)**, just like the ventricles. * **Epidermoid Cysts** contain solid debris (keratin, cholesterol crystals). This "dirty" fluid does not suppress on FLAIR and appears **hyperintense (bright/heterogeneous)** compared to CSF. * *Note:* **Diffusion-Weighted Imaging (DWI)** is also a gold standard for this differentiation (Epidermoids show restricted diffusion/bright signal), but among the given options, FLAIR is the definitive choice. **Analysis of Incorrect Options:** * **B. T1 weighted MRI:** Both lesions typically appear hypointense on T1, making them difficult to distinguish based on signal intensity alone. * **C. Smooth margin:** Both lesions can have smooth, well-defined margins, though epidermoid cysts are more likely to have an "irregular" or "cauliflower" appearance as they encase vessels and nerves. This is a morphological feature, not an imaging sequence. * **D. Contrast enhancement:** Neither arachnoid nor epidermoid cysts typically show internal or wall enhancement. **High-Yield Clinical Pearls for NEET-PG:** 1. **Epidermoid Cyst:** Often described as a "pearly tumor" intraoperatively; it tends to grow around and encase neurovascular structures rather than displacing them. 2. **DWI Key:** If DWI were an option, it is the most sensitive sequence (Epidermoid = Bright/Restricted; Arachnoid = Dark). 3. **Location:** Arachnoid cysts are most common in the **Middle Cranial Fossa**, while Epidermoids are most common in the **Cerebellopontine (CP) angle**.
Explanation: **Explanation:** **Meningioma (Correct Answer):** Meningiomas are the most common extra-axial tumors in adults. Calcification is a hallmark feature, seen in approximately **20–25% of cases** on CT scans. This is often due to the presence of **psammoma bodies** (laminated calcifications). On a non-contrast CT (NCCT), meningiomas typically appear as well-circumscribed, hyperdense dural-based masses that show intense homogenous enhancement after contrast administration. **Analysis of Incorrect Options:** * **CNS Lymphoma:** Typically appears as a hyperdense mass on NCCT due to high cellularity and a high nuclear-to-cytoplasmic ratio, but **calcification is extremely rare** in untreated cases. * **Medulloblastoma:** While these are hyperdense on CT due to dense cell packing, calcification occurs in less than 10% of cases. They are primarily midline posterior fossa tumors in children. * **Ependymoma:** While ependymomas (especially the infratentorial type) *can* show calcification (about 50% of cases), **Meningioma** is the classic and more frequently tested association for intracranial calcification in the context of adult tumors in NEET-PG. *Note: If the question specifically targeted pediatric posterior fossa tumors, Ependymoma would be a stronger candidate for calcification than Medulloblastoma.* **High-Yield Pearls for NEET-PG:** * **Most common intracranial tumor to calcify:** Craniopharyngioma (up to 90% in children). * **Most common glial tumor to calcify:** Oligodendroglioma ("90% calcify"). * **Dural Tail Sign:** Highly suggestive of Meningioma (though not pathognomonic). * **Hyperostosis:** Thickening of the adjacent bone is a classic CT finding in Meningioma.
Explanation: **Explanation:** The detection of intracranial calcification is a high-yield topic in neuroradiology. The correct answer is **CT Scan** because it is the gold standard for identifying calcium due to its high sensitivity to electron density. **1. Why CT Scan is the Correct Answer:** Calcium has a high atomic number, which causes significant attenuation of X-ray beams. On a CT scan, this appears as **hyperdensity** (bright white), typically measuring >100 Hounsfield Units (HU). CT can detect even minute, punctate calcifications that other modalities might miss, making it essential for diagnosing conditions like oligodendrogliomas, craniopharyngiomas, or neurocysticercosis (granulomatous stage). **2. Why Other Options are Incorrect:** * **MRI:** While certain sequences (like Susceptibility Weighted Imaging - SWI) can detect mineral deposits, calcium often has a variable appearance on standard T1/T2 sequences (usually dark/hypointense). It is difficult to distinguish calcium from hemorrhage or flow voids on MRI. * **USG:** Ultrasound is limited in adults due to the thick cranial vault (bone) which reflects sound waves. It is only useful in neonates through the open fontanelle. * **Contrast Study:** Contrast (Iodine or Gadolinium) is used to check for blood-brain barrier breakdown or vascularity. It can actually mask calcification by making the surrounding lesion bright, making it harder to differentiate pre-existing calcium. **Clinical Pearls for NEET-PG:** * **Most common physiological intracranial calcification:** Pineal gland (seen in >50% of adults). * **"Popcorn" calcification:** Classic for Cavernous Hemangioma. * **"Tram-track" calcification:** Pathognomonic for Sturge-Weber Syndrome. * **Best MRI sequence for calcium/blood:** SWI (Susceptibility Weighted Imaging) or Gradient Echo (GRE).
Neuroanatomy for Radiologists
Practice Questions
Cerebrovascular Diseases
Practice Questions
Intracranial Tumors
Practice Questions
CNS Infections
Practice Questions
Demyelinating and Degenerative Diseases
Practice Questions
Head Trauma Imaging
Practice Questions
Spine Imaging: Trauma and Degenerative Disease
Practice Questions
Spine Tumors and Infections
Practice Questions
Pediatric Neuroradiology
Practice Questions
Congenital CNS Anomalies
Practice Questions
Functional Neuroimaging
Practice Questions
Neurointerventional Procedures
Practice Questions
Get full access to all questions, explanations, and performance tracking.
Start For Free