In subclavian steal syndrome, there is reversal of blood flow in which artery?
Suprasellar calcification is characteristic of which of the following conditions?
The Lyre sign is observed in which of the following conditions?
What is the characteristic 'thumb sign' on CT head indicative of?
Dawson's fingers on MRI are diagnostic of which condition?
Since 15-20 days, a 40-year-old man is unable to look properly upwards. On CT scan study, a cystic lesion within the inferior oblique muscle with probable mural eccentric 'dot' is noted. What is the most-likely diagnosis?
A 30-year-old female presents with headache and transient obscurations of her vision. On examination, no focal neurological deficit was seen. Which one of the following would you start her on?
Which of the following is the classic CT appearance of an acute subdural hematoma?
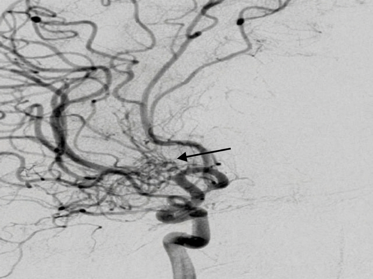
A 20-year-old man from hilly areas presented with epistaxis. DSA showing the sphenopalatine branch of the maxillary artery is provided. The arrow most likely points to which pathology?

The 'swirl sign' is associated with which of the following conditions?
Explanation: **Explanation:** **Subclavian Steal Syndrome (SSS)** occurs due to a high-grade stenosis or total occlusion of the **subclavian artery** proximal to the origin of the **vertebral artery**. 1. **Why Option A is correct:** Because of the proximal obstruction, the pressure in the distal subclavian artery drops below the pressure in the cerebral circulation. To compensate and supply blood to the affected arm, blood is "stolen" from the brain. It flows up the contralateral vertebral artery, across the basilar artery, and then travels **retrograde (downward)** through the **ipsilateral vertebral artery** to reach the subclavian artery distal to the blockage. Thus, the reversal of flow occurs in the vertebral artery on the same side as the lesion. 2. **Why other options are incorrect:** * **Option B:** The contralateral vertebral artery maintains normal antegrade flow to provide the blood that is eventually diverted. * **Options C & D:** While the subclavian artery is the site of the *pathology* (stenosis), the flow within it remains antegrade (though diminished). The "steal" phenomenon specifically refers to the reversal of flow in the tributary vessel (the vertebral artery). **Clinical Pearls for NEET-PG:** * **Clinical Presentation:** Patients often present with upper limb ischemia (claudication, coldness) and vertebrobasilar insufficiency (vertigo, syncope, diplopia), especially when exercising the affected arm. * **Physical Exam:** A significant difference in blood pressure (usually **>20 mmHg**) between the two arms is a classic finding. * **Diagnosis:** Color Doppler Ultrasound is the initial investigation of choice (shows "systolic deceleration" or "retrograde flow"). Digital Subtraction Angiography (DSA) remains the gold standard. * **Side Predilection:** The **left side** is more commonly affected than the right.
Explanation: **Explanation:** **Craniopharyngioma** is the most common suprasellar tumor in children and is the classic answer for suprasellar calcification. These tumors arise from remnants of **Rathke’s pouch**. The characteristic "90% Rule" applies here: approximately 90% of pediatric craniopharyngiomas (adamantinomatous type) show calcification on CT, along with cystic components containing "motor-oil" fluid. **Analysis of Incorrect Options:** * **Option A (Toxoplasmosis, CMV, Cysticercosis):** These typically present with **intraparenchymal** calcifications rather than suprasellar ones. Toxoplasmosis causes scattered/diffuse calcifications, CMV causes **periventricular** calcifications, and Cysticercosis (NCC) shows "starry sky" appearances in the parenchyma. * **Option B (Medulloblastoma):** This is an infratentorial tumor arising from the **roof of the 4th ventricle** in the posterior fossa. While it may show faint calcification (10-20%), its location is not suprasellar. * **Option D (Meningioma):** While meningiomas can calcify (psammoma bodies) and occur in the suprasellar region (suprasellar notch), they are primarily tumors of adults and appear as intensely enhancing, solid extra-axial masses with a "dural tail" rather than the cystic-calcified appearance of craniopharyngiomas. **High-Yield Clinical Pearls for NEET-PG:** * **Craniopharyngioma Bimodal Age Distribution:** 5–14 years and 50–75 years. * **Visual Deficit:** Often presents with **bitemporal hemianopia** due to compression of the optic chiasm. * **MRI Appearance:** T1-hyperintense cysts (due to high protein/cholesterol) and heterogeneous enhancement. * **Differential for Suprasellar Mass (SATCHMO):** **S**ella turcica (adenoma), **A**neurysm, **T**eratoma/Craniopharyngioma, **C**hiasmatic glioma, **H**ypothalamic hamartoma, **M**eningioma, **O**ptic nerve glioma.
Explanation: **Explanation:** The **Lyre sign** is a classic radiological hallmark of a **Carotid Body Tumor** (also known as a chemodectoma or carotid body paraganglioma). This sign refers to the characteristic **splaying of the carotid bifurcation** (the internal and external carotid arteries) caused by a highly vascular mass located within the carotid notch. On angiography or CT/MRI, this widening resembles the strings of a lyre (a musical instrument). **Why the other options are incorrect:** * **Meningioma:** Typically shows a "Dural tail sign" on MRI and is often associated with psammoma bodies. * **Acoustic Neuroma (Vestibular Schwannoma):** Characterized by the "Ice cream cone appearance" as it expands the internal auditory canal and protrudes into the cerebellopontine angle. * **Sagittal Sinus Thrombosis:** Classically associated with the "Empty Delta sign" on contrast-enhanced CT, representing a filling defect in the superior sagittal sinus. **High-Yield Clinical Pearls for NEET-PG:** 1. **Salt and Pepper Appearance:** On MRI (T2/T1+C), carotid body tumors show a "salt and pepper" pattern due to high-flow flow voids (salt) and focal hemorrhages (pepper). 2. **Fontaine’s Sign:** Clinically, these tumors are mobile horizontally but fixed vertically because they are attached to the carotid bifurcation. 3. **Shamblin Classification:** Used to grade these tumors based on their degree of encasement of the carotid vessels. 4. **Origin:** They arise from the **extra-adrenal paraganglia** (neural crest cells) located at the carotid bifurcation.
Explanation: **Explanation:** The **'Thumb sign'** (also known as the 'clivus thumb sign') is a classic radiological feature of a **Chordoma**. Chordomas are rare, slow-growing, but locally aggressive midline tumors arising from the remnants of the primitive **notochord**. When these tumors occur at the **clivus** (the most common intracranial site), they project posteriorly, indenting the pons. On a sagittal CT or MRI, this indentation creates a characteristic appearance where the tumor looks like a "thumb" pressing into the brainstem. **Why the other options are incorrect:** * **Metastasis:** While metastases can involve the clivus, they typically present as multifocal, osteolytic lesions without the specific midline "thumb-like" indentation of the pons. * **Glioblastoma Multiforme (GBM):** This is an intra-axial high-grade glioma. It typically presents as a ring-enhancing mass within the cerebral hemispheres, not as an extra-axial midline clival mass. * **Astrocytoma:** These are primary intraparenchymal tumors. While they can occur in the brainstem (pontine glioma), they cause expansion of the pons rather than external compression from the clivus. **High-Yield Clinical Pearls for NEET-PG:** * **Location:** Chordomas most commonly occur at the **Sacrococcygeal** region (50%), followed by the **Clivus** (35%) and vertebral bodies (15%). * **Imaging:** On CT, they appear as midline, destructive bone lesions with irregular calcifications. On MRI, they are characteristically **T2 hyperintense**. * **Histopathology:** Look for **Physaliphorous cells** (large cells with vacuolated, bubbly cytoplasm). * **Immunohistochemistry:** Chordomas are positive for **Brachyury** (highly specific), S100, and Cytokeratin.
Explanation: **Explanation:** **Multiple Sclerosis (MS)** is the correct answer. **Dawson’s fingers** are a classic radiologic hallmark of MS seen on MRI (best visualized on T2-weighted or FLAIR sequences). They represent **perivenular demyelinating plaques** oriented perpendicular to the lateral ventricles. This specific orientation occurs because the inflammatory process follows the path of the medullary veins (periventricular veins) as they drain toward the ventricular surface. **Analysis of Incorrect Options:** * **Hyperparathyroidism:** Associated with skeletal changes like "Salt and Pepper" skull or subperiosteal bone resorption, but not specific brain parenchymal lesions. * **Psoriatic arthropathy:** An inflammatory arthritis characterized by "Pencil-in-cup" deformity on X-ray, involving joints rather than the central nervous system. * **Multiple exostosis (Diaphyseal Aclasis):** A genetic condition characterized by multiple benign cartilaginous tumors (osteochondromas) growing out of the metaphyses of long bones. **NEET-PG High-Yield Pearls:** * **Location:** Dawson’s fingers are found in the **callososeptal interface**. * **McDonald Criteria:** MRI is the gold standard for diagnosing MS by demonstrating "dissemination in space" and "dissemination in time." * **Other MRI signs in MS:** "Open-ring" enhancement (suggests active demyelination) and "Black holes" (T1 hypointensities indicating permanent axonal loss). * **CSF Finding:** Presence of **Oligoclonal bands** (IgG) on electrophoresis is a classic biochemical marker.
Explanation: ### Explanation **Correct Answer: B. Ocular cysticercosis** The clinical presentation and imaging findings are classic for **orbital cysticercosis**, caused by the larval stage of *Taenia solium*. * **Why it is correct:** The presence of a **cystic lesion** within an extraocular muscle (EOM) containing an **eccentric mural 'dot'** is the pathognomonic radiological sign of a **scolex**. In this case, the involvement of the inferior oblique muscle explains the patient's inability to look upwards (diplopia/restricted ocular motility). The most common site for orbital cysticercosis is the extraocular muscles, with the superior rectus being the most frequently involved, followed by the medial rectus. **Analysis of Incorrect Options:** * **A. Ocular dermoid:** These are congenital choristomas, usually presenting as firm, non-tender masses at the superotemporal quadrant (limbal dermoids). On CT, they typically show fat density (-20 to -100 HU) rather than a fluid-filled cyst with a scolex. * **C. Toxocara infection:** This typically presents as **endophthalmitis** or a posterior pole granuloma (leukocoria). It is an intraocular infection and does not present as a discrete cyst with a scolex within the extraocular muscles. * **D. Ocular lymphangioma:** These are vascular malformations that appear as multiloculated, cystic masses that often cross anatomical planes. They frequently show "chocolate cysts" (fluid-fluid levels) due to internal hemorrhage, but they do not contain a scolex. **Clinical Pearls for NEET-PG:** * **Pathognomonic Sign:** Cyst with an eccentric scolex ("hole-with-dot" appearance) on USG, CT, or MRI. * **Most common EOM involved:** Superior rectus (though any muscle can be affected). * **Management:** Medical management with oral **Albendazole** and **Corticosteroids** (to prevent inflammatory response to dying larvae) is the treatment of choice. Surgery is reserved for subretinal or intravitreal cysts. * **Differential:** Always rule out Neurocysticercosis (NCC) by performing a brain scan in patients with orbital cysticercosis.
Explanation: ### Explanation The clinical presentation of a young, overweight female with headaches and transient visual obscurations, in the absence of focal neurological deficits, is classic for **Idiopathic Intracranial Hypertension (IIH)**, also known as Pseudotumor Cerebri. **1. Why Acetazolamide is Correct:** Acetazolamide is a carbonic anhydrase inhibitor and the **first-line medical treatment** for IIH. It works by reducing the production of cerebrospinal fluid (CSF) at the choroid plexus, thereby lowering intracranial pressure (ICP). This helps alleviate headaches and protects the optic nerve from damage (papilledema). **2. Why the Other Options are Incorrect:** * **Bromocriptine:** A dopamine agonist used primarily in the treatment of prolactinomas or Parkinson’s disease; it has no role in managing CSF dynamics. * **Corticosteroids:** While they can lower ICP in cases of vasogenic edema (e.g., brain tumors), they are generally avoided in IIH due to significant side effects (weight gain, which exacerbates IIH) and the risk of rebound intracranial hypertension upon withdrawal. * **Furosemide:** A loop diuretic that can be used as an adjunct if Acetazolamide is not tolerated or insufficient, but it is not the primary drug of choice. **3. NEET-PG High-Yield Pearls for IIH:** * **Demographics:** Classically seen in "Fat, Female, Fertile, of Forty" (though it occurs in younger patients too). * **Modified Dandy Criteria:** Used for diagnosis (includes symptoms of increased ICP, normal neuroimaging, normal CSF composition, and elevated opening pressure >25 cm H₂O). * **Radiological Signs:** Empty sella turcica, flattening of the posterior globe, distension of the optic nerve sheath, and transverse venous sinus stenosis. * **Gold Standard Treatment:** Weight loss is the most important long-term intervention; Acetazolamide is the medical mainstay. Surgical options include optic nerve sheath fenestration or CSF shunting if vision is threatened.
Explanation: ### Explanation **1. Why Option C is Correct:** An **Acute Subdural Hematoma (SDH)** occurs due to the rupture of **bridging veins** that drain from the cerebral cortex into the dural sinuses. On a non-contrast CT (NCCT), blood appears **hyperdense (bright white)** because of high hemoglobin concentration. The blood collects in the potential space between the dura mater and the arachnoid mater. Because it is not restricted by cranial sutures but is limited by dural reflections (like the falx), it spreads along the brain's surface, resulting in a characteristic **crescent-shaped (concavo-convex)** appearance. **2. Why Other Options are Incorrect:** * **Options A & D (Lentiform-shaped):** This "lemon-shaped" or biconvex appearance is characteristic of an **Epidural Hematoma (EDH)**. EDHs are usually arterial (middle meningeal artery) and are restricted by cranial sutures where the dura is firmly attached to the bone. * **Option B (Crescent-shaped hypodense):** While the shape is correct for an SDH, **hypodensity (darker than brain)** indicates a **Chronic Subdural Hematoma** (typically >3 weeks old), where the blood has liquefied and the hemoglobin has broken down. **3. High-Yield Clinical Pearls for NEET-PG:** * **Shape vs. Source:** SDH = Crescent (Bridging Veins); EDH = Lentiform (Middle Meningeal Artery). * **Suture Lines:** SDH **crosses** suture lines but does not cross dural attachments (falx/tentorium). EDH **does not cross** suture lines. * **Density Evolution:** * Acute (<3 days): Hyperdense (White) * Subacute (3–21 days): Isodense (Grey) * Chronic (>21 days): Hypodense (Black) * **Concave vs. Convex:** SDH has a **concave** inner margin (following the brain contour); EDH has a **convex** inner margin.
Explanation: ***Arteriovenous Malformation (AVM)*** - **DSA** shows characteristic **nidus** with early venous filling and abnormal vascular tangle in the **sphenopalatine territory**, typical of cerebral AVM. - Young males from **hilly areas** (high altitude) have increased risk of **cerebral AVMs** due to chronic hypoxia and vascular stress. *Rhinosporidiosis* - A **fungal infection** causing **nasal polyps** with characteristic **sporangia**, not vascular abnormalities on DSA. - Would show **soft tissue masses** on imaging, not the vascular nidus pattern seen in AVMs. *Angiofibroma* - **Juvenile nasopharyngeal angiofibroma** appears as a **hypervascular mass** with intense contrast enhancement but lacks the **nidus pattern**. - Typically arises from the **sphenopalatine foramen** as a solid tumor, not tangled vessels with early venous drainage. *Pseudoaneurysm* - Shows a **saccular outpouching** with contrast pooling and delayed washout, not the tangled vessel pattern. - Usually results from **trauma** or **infection**, presenting as a focal arterial wall defect rather than a nidus.
Explanation: **Explanation:** The **'Swirl Sign'** is a critical radiological finding on non-contrast CT (NCCT) scans of the head, specifically associated with an **Epidural Hematoma (EDH)**. It represents an area of low attenuation (hypodensity) within a high-attenuation (hyperdense) extra-axial clot. **1. Why Epidural Hematoma is correct:** The swirl sign indicates **hyperacute, active bleeding**. The hypodense "swirl" represents unclotted, liquid blood, while the surrounding hyperdense area represents blood that has already clotted. Its presence is a surgical emergency as it predicts rapid hematoma expansion and clinical deterioration. **2. Why other options are incorrect:** * **Subdural Hematoma (SDH):** While SDH can show mixed density (e.g., acute-on-chronic), the specific "swirl" morphology is classically described for EDH. SDH typically presents as a crescent-shaped collection. * **Subarachnoid Hemorrhage (SAH):** This presents as hyperdensity within the sulci, cisterns, and Sylvian fissures, not as a focal swirling mass. * **Acute Bleeding:** While the swirl sign *does* represent active bleeding, in the context of NEET-PG, it is a specific sign used to identify the nature of an **Epidural Hematoma**. **High-Yield Clinical Pearls for NEET-PG:** * **EDH Shape:** Biconvex/Lentiform (does not cross sutures). * **Source of Bleed:** Most commonly the **Middle Meningeal Artery**. * **Clinical Hallmark:** The **Lucid Interval** (temporary improvement before rapid decline). * **Management:** If the swirl sign is present, immediate neurosurgical evacuation is usually indicated regardless of the initial volume, due to the high risk of herniation.
Neuroanatomy for Radiologists
Practice Questions
Cerebrovascular Diseases
Practice Questions
Intracranial Tumors
Practice Questions
CNS Infections
Practice Questions
Demyelinating and Degenerative Diseases
Practice Questions
Head Trauma Imaging
Practice Questions
Spine Imaging: Trauma and Degenerative Disease
Practice Questions
Spine Tumors and Infections
Practice Questions
Pediatric Neuroradiology
Practice Questions
Congenital CNS Anomalies
Practice Questions
Functional Neuroimaging
Practice Questions
Neurointerventional Procedures
Practice Questions
Get full access to all questions, explanations, and performance tracking.
Start For Free