Diffuse axonal injury is best detected by which imaging modality?
What is the best investigation of choice for a lesion of the temporal bone?
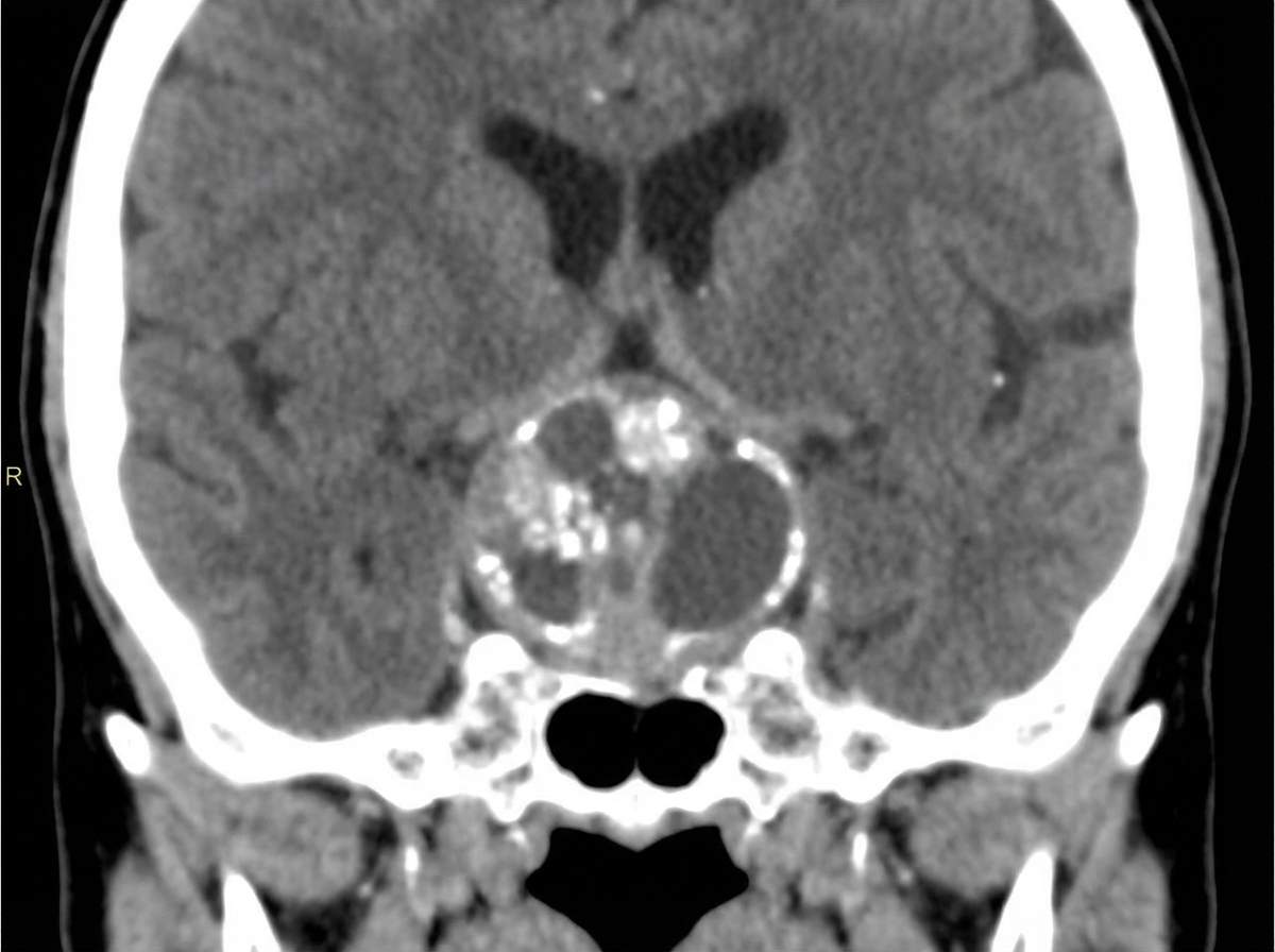
What is the diagnosis for a 10-year-old child presented with vision problems, given the CT scan below?

What does a angiogram of the basilar artery bifurcation show?
What is NOT a feature of Sturge Weber syndrome?
What is the typical Hounsfield unit (HU) value of cerebrospinal fluid (CSF) within the ventricles?
Which of the following is characteristic of Lhermitte-Duclos disease?
A lesion of the first cervical spinal nerve would cause functional impairment of which structure?

Rail-road calcification in the brain is characteristically found in which of the following conditions?
Which of the following techniques is best for differentiating recurrence of a brain tumor from radiation therapy-induced necrosis?
Explanation: **Explanation:** **Diffuse Axonal Injury (DAI)** is a form of traumatic brain injury caused by high-velocity acceleration-deceleration or rotational forces, leading to the shearing of axons at the interface of tissues with different densities (typically the gray-white matter junction). **Why MRI is the Correct Answer:** MRI is the gold standard and most sensitive modality for detecting DAI. While conventional MRI sequences (T1/T2) are superior to CT, specialized sequences are even more effective: * **Susceptibility-Weighted Imaging (SWI)** and **Gradient Echo (GRE):** These are the most sensitive for detecting "hemorrhagic" DAI (petechial hemorrhages) due to the paramagnetic effect of hemosiderin. * **Diffusion-Weighted Imaging (DWI):** Highly sensitive for detecting "non-hemorrhagic" DAI by identifying areas of cytotoxic edema. **Why Other Options are Incorrect:** * **CT Scan (NCCT/CECT):** CT is often the first-line investigation in trauma to rule out life-threatening bleeds (EDH/SDH), but it is notoriously insensitive for DAI. In over 50–80% of DAI cases, the CT scan appears completely **normal** despite the patient being in a deep coma (Clinico-radiological dissociation). * **Transcranial Doppler:** This is used to measure cerebral blood flow velocity (e.g., in vasospasm post-SAH) and has no role in the structural diagnosis of axonal shearing. **High-Yield Clinical Pearls for NEET-PG:** * **Most common sites for DAI:** Gray-white matter junction (most common) > Corpus Callosum (Splenium) > Brainstem (Dorsolateral aspect). * **Clinical Hallmark:** A patient with a low GCS score (coma) whose CT scan is disproportionately normal. * **Grading:** Grade I (Gray-white junction), Grade II (Corpus callosum), Grade III (Brainstem). * **Prognosis:** DAI is one of the most common causes of persistent vegetative state following head trauma.
Explanation: **Explanation:** The **Temporal Bone** is one of the most anatomically complex structures in the human body, characterized by intricate bony channels, air cells (mastoid), and tiny ossicles. **Why CT is the Investigation of Choice:** High-Resolution Computed Tomography (HRCT) is the gold standard for temporal bone imaging because of its superior ability to visualize **cortical bone and air-filled spaces**. It provides excellent spatial resolution for evaluating the middle ear ossicles, the bony labyrinth of the inner ear, the facial nerve canal, and the mastoid air cells. It is indispensable for diagnosing chronic otitis media (cholesteatoma), temporal bone fractures, and otosclerosis. **Analysis of Incorrect Options:** * **X-ray:** Plain films (e.g., Schuller’s or Towne’s views) are largely obsolete due to the superimposition of structures and poor sensitivity compared to CT. * **USG:** Ultrasound cannot penetrate the thick cortical bone of the skull, making it useless for deep-seated temporal bone lesions. * **MRI:** While MRI is superior for evaluating **soft tissues** (e.g., Acoustic Neuroma/Vestibular Schwannoma, facial nerve tumors, or intracranial complications of ear infections), it cannot visualize the bony anatomy or ossicular chain with the precision required for primary temporal bone assessment. **High-Yield Clinical Pearls for NEET-PG:** * **HRCT (1mm or less slices):** Best for bony details, ossicles, and cholesteatoma. * **MRI with Gadolinium:** Best for Internal Auditory Meatus (IAM) pathologies like Vestibular Schwannoma. * **"Ice Cream Cone" Appearance:** On CT, the head of the malleus and the body of the incus form this landmark; its disruption indicates ossicular dislocation. * **Mondini Malformation:** Best diagnosed on CT (shows a small cochlea with only 1.5 turns).
Explanation: ***Craniopharyngioma*** - Most common **suprasellar tumor** in children, typically presenting with **visual field defects** due to **optic chiasm compression**. - Classic CT features include **calcifications** (90% in children) and **cystic-solid mixed appearance** in the suprasellar region. *Pituitary macroadenoma* - Extremely rare in **pediatric patients** and typically presents with **endocrine dysfunction** rather than isolated vision problems. - CT shows **homogeneous enhancement** without the characteristic **calcifications** seen in craniopharyngiomas. *Germinoma* - More commonly affects the **pineal region** rather than suprasellar area, causing **Parinaud syndrome** and **hydrocephalus**. - CT typically shows **homogeneous hyperdense mass** without calcifications and responds dramatically to **radiation therapy**. *Lipoma* - Appears as **hypodense lesion** with **fat attenuation** (-50 to -100 HU) on CT, distinctly different from craniopharyngioma. - Usually **asymptomatic** and rarely causes **mass effect** or visual disturbances in children.
Explanation: **Explanation:** The **basilar artery bifurcation** (the point where the basilar artery divides into the two posterior cerebral arteries) is one of the most common sites for the formation of **saccular (berry) aneurysms** in the posterior circulation. **1. Why Aneurysm is correct:** Angiography is the gold standard for visualizing vascular lumen abnormalities. At arterial bifurcations, hemodynamic stress and structural weakness in the tunica media lead to the formation of aneurysms. A "top of the basilar" aneurysm is a classic radiological finding. When an angiogram is performed in this region, it is most frequently indicated to evaluate the size, neck, and morphology of such an aneurysm for surgical clipping or endovascular coiling. **2. Why other options are incorrect:** * **Brain Tumor:** While tumors can be vascular, they are primarily diagnosed via MRI or CT. Angiography might show "tumor blush" or vessel displacement, but it is not the primary diagnostic tool for a tumor at a bifurcation. * **Arteriovenous Malformation (AVM):** AVMs appear as a "bag of worms" (nidus) with early venous drainage. While they can occur anywhere, the specific mention of the *bifurcation* point is a classic descriptor for aneurysmal pathology. * **Atherosclerotic Block:** While atherosclerosis can affect the basilar artery, it usually presents as diffuse narrowing or irregular stenosis along the length of the vessel rather than a focal finding specifically at the bifurcation. **High-Yield Clinical Pearls for NEET-PG:** * **Most common site for Berry Aneurysm:** Junction of the Anterior Communicating Artery (ACom) and Anterior Cerebral Artery (ACA). * **Most common posterior circulation site:** Basilar artery apex (bifurcation). * **Clinical Presentation:** Rupture leads to **Subarachnoid Hemorrhage (SAH)**, characterized by a "thunderclap headache." * **Gold Standard Investigation:** Digital Subtraction Angiography (DSA).
Explanation: **Sturge-Weber Syndrome (SWS)**, also known as encephalotrigeminal angiomatosis, is a neurocutaneous disorder (phakomatosis) characterized by a sporadic mutation in the **GNAQ gene**. It is primarily defined by a vascular malformation involving the capillary-venous network of the face, eyes, and leptomeninges. ### Why "Empty Sella" is the Correct Answer **Empty sella** is a condition where the pituitary gland is flattened or shrunk within the sella turcica, often associated with idiopathic intracranial hypertension. It is **not** a feature of SWS. The hallmark intracranial pathology of SWS is a **leptomeningeal angioma**, typically involving the pia mater of the occipital and parietal lobes. ### Explanation of Incorrect Options * **Rail track appearance (Option A):** This refers to the classic **"tram-track" calcifications** seen on a skull X-ray or CT scan. These are cortical and subcortical calcifications (not in the vessels themselves) that occur due to chronic ischemia underlying the leptomeningeal angioma. * **Hemiatrophy of the brain (Option B):** The affected hemisphere often undergoes progressive atrophy due to impaired venous drainage and chronic hypoxia. This leads to compensatory thickening of the skull vault and enlargement of the paranasal sinuses (Dyke-Davidoff-Mason syndrome). * **Convulsion (Option C):** Seizures are the most common neurological clinical feature (occurring in ~75-90% of cases), often starting in the first year of life due to cortical irritability from ischemia and calcification. ### High-Yield Clinical Pearls for NEET-PG * **Port-wine stain:** A cutaneous capillary malformation (Nevus Flammeus) usually in the **V1/V2 distribution** of the trigeminal nerve. * **Glaucoma:** The most common ocular manifestation (buphthalmos may be present). * **Imaging Gold Standard:** **Contrast-enhanced MRI** is the most sensitive modality to detect leptomeningeal enhancement ("pial angiomatosis"). * **Skull X-ray:** Shows the characteristic curvilinear, parallel "tram-track" calcifications.
Explanation: ### Explanation **Correct Answer: C. 0 HU** The **Hounsfield Unit (HU)** scale is a quantitative scale used in Computed Tomography (CT) to describe radiodensity. It is calibrated using water as the reference point. By definition, **distilled water at standard pressure and temperature is assigned a value of 0 HU**. Since Cerebrospinal Fluid (CSF) is a clear, colorless ultrafiltrate of plasma consisting primarily of water (with minimal proteins and glucose), its density on a CT scan is approximately **0 to 15 HU**. In the ventricles and subarachnoid space, it appears near-black (hypodense). #### Analysis of Incorrect Options: * **A. -1000 HU:** This is the density of **Air**. It appears pitch black on CT. * **B. -100 HU:** This represents **Fat** (typically ranges from -50 to -100 HU). Fat is the only endogenous soft tissue that has a negative HU value. * **D. 70 HU:** This represents **Acute Blood** (Hyperdense). Fresh intracranial hemorrhage typically ranges from +50 to +80 HU due to the globin protein content. #### High-Yield Clinical Pearls for NEET-PG: * **Hounsfield Scale Reference Points:** * **Air:** -1000 HU * **Fat:** -50 to -100 HU * **Water/CSF:** 0 to 15 HU * **White Matter:** ~20–30 HU (Lower than gray matter due to myelin/fat) * **Gray Matter:** ~35–45 HU * **Acute Hemorrhage:** +50 to +80 HU * **Bone/Calcification:** +400 to +1000 HU * **Clinical Application:** If the fluid within the ventricles measures significantly higher than 0–15 HU, consider **ventriculitis** (pus/debris) or **intraventricular hemorrhage**. If it measures lower (negative), consider **Pneumocephalus** (air) or **Lipoma**.
Explanation: **Lhermitte-Duclos Disease (LDD)**, also known as **Dysplastic Cerebellar Gangliocytoma**, is a rare, slow-growing WHO Grade I tumor characterized by the replacement of normal cerebellar internal granular cells with hypertrophied ganglion cells. ### **Explanation of Options** * **A. Thickened cerebellar folia (Correct):** The hallmark of LDD is the focal expansion of the cerebellar cortex. On MRI, this appears as a "striated" or **"tiger-striped" pattern** due to the thickening of cerebellar folia with alternating layers of high and low signal intensity on T2-weighted images. This occurs because the tumor causes a disorganized hypertrophy of the cerebellar layers rather than a destructive mass effect. * **B. Atrophic cerebellar folia:** This is the opposite of what occurs in LDD. Atrophy is seen in chronic alcohol abuse, phenytoin toxicity, or paraneoplastic syndromes, where the folia shrink and the sulci widen. * **C. Vermian hypoplasia:** This is a feature of **Dandy-Walker Malformation** or Joubert Syndrome, involving a developmental failure of the cerebellum, not a neoplastic/dysplastic thickening. * **D. Septum pellucidum agenesis:** This is characteristic of **Septo-optic Dysplasia** (De Morsier syndrome), not cerebellar pathology. ### **High-Yield Clinical Pearls for NEET-PG** * **Association:** LDD is considered a pathognomonic feature of **Cowden Syndrome** (PTEN Hamartoma Tumor Syndrome). If you see LDD, screen the patient for breast, thyroid (follicular), and endometrial cancers. * **Imaging Gold Standard:** MRI is the modality of choice. Look for the **"Tiger-striped appearance"** in the posterior fossa. * **Contrast Enhancement:** Typically, there is **no enhancement** (or very minimal) on post-gadolinium sequences. * **Genetics:** Mutations in the **PTEN gene** on chromosome 10.
Explanation: ***Structure C*** - The **first cervical spinal nerve (C1)** primarily provides **motor innervation** to the **suboccipital muscles** including rectus capitis posterior major/minor and obliquus capitis superior/inferior. - These muscles are responsible for **fine head movements** and **postural control** of the head on the neck, making Structure C the correct target of C1 innervation. *Structure A* - This structure would likely be innervated by **different cervical nerve levels** or **cranial nerves** rather than the C1 spinal nerve. - The **C1 nerve** has a very **specific motor distribution** limited to suboccipital muscles and does not supply this structure. *Structure B* - The **C1 spinal nerve** lacks significant **cutaneous sensory components** and has minimal involvement with structures outside the suboccipital region. - This structure would be innervated by **other cervical levels** (C2-C8) or **cranial nerves** depending on its anatomical location. *Structure D* - The **first cervical nerve** does not provide innervation to this structure, which would be supplied by **different spinal nerve levels**. - **C1's motor distribution** is highly **specialized** and limited to the deep neck extensor muscles in the suboccipital triangle.
Explanation: **Explanation:** **Sturge-Weber Syndrome (SWS)**, also known as encephalotrigeminal angiomatosis, is a neurocutaneous disorder characterized by a facial port-wine stain, glaucoma, and leptomeningeal angiomas. The "rail-road" or "tram-track" calcification is a pathognomonic radiological sign of SWS. * **Why it occurs:** The underlying pathology is a vascular malformation of the pia mater. Chronic ischemia and venous stasis associated with these angiomas lead to **cortical atrophy** and **dystrophic calcification** in the underlying cerebral cortex (specifically layers II and III). On a CT scan or skull X-ray, these parallel lines of calcification follow the gyri and sulci, resembling tram tracks or rail-road tracks. **Analysis of Incorrect Options:** * **Meningioma:** Characteristically shows "psammomatous" calcification (punctate/speckled) and the "dural tail sign" on MRI, but not rail-road patterns. * **Tolosa-Hunt Syndrome:** This is an idiopathic inflammatory condition of the cavernous sinus presenting with painful ophthalmoplegia. It does not typically feature intracranial calcification. * **Tuberculous Meningitis:** Often shows basal exudates and hydrocephalus. While it can lead to intracranial calcifications during the healing phase, they are usually nodular or clumped (granulomas), not curvilinear or rail-road shaped. **High-Yield Clinical Pearls for NEET-PG:** * **Imaging Gold Standard:** CT is most sensitive for detecting the calcifications; MRI with gadolinium is best for visualizing the leptomeningeal enhancement. * **Classic Triad:** Facial port-wine stain (V1/V2 distribution), leptomeningeal angioma, and glaucoma. * **Associated Sign:** "Dyke-Davidoff-Mason syndrome" (atrophy of one cerebral hemisphere with compensatory skull thickening and sinus hyperpneumatization) can be seen in advanced SWS.
Explanation: **Explanation:** Differentiating **tumor recurrence** from **radiation necrosis** is a common clinical challenge because both entities can present with similar symptoms and appear as enhancing lesions on conventional imaging. **Why PET Scan is the Correct Answer:** The differentiation relies on **metabolic activity**. * **Tumor Recurrence:** Malignant cells are hypermetabolic and show high uptake of radiopharmaceuticals like **18F-FDG** (Fluorodeoxyglucose) or amino acid tracers (e.g., 11C-Methionine). * **Radiation Necrosis:** This represents dead tissue and inflammatory changes, which are hypometabolic and show **low or absent uptake**. Therefore, PET imaging (specifically FDG-PET or Amino Acid PET) is the gold standard for functional differentiation. **Why Other Options are Incorrect:** * **MRI and Contrast-enhanced MRI (A & B):** While MRI is the modality of choice for initial diagnosis, it lacks specificity here. Both recurrence and necrosis cause a breakdown of the blood-brain barrier, leading to **contrast enhancement** and perilesional edema. Standard MRI cannot reliably distinguish between the two. (Note: Advanced MRI techniques like MR Spectroscopy or Perfusion MRI are better, but PET remains the classic exam answer). * **CT Scan (D):** CT has poor soft-tissue resolution for the brain and cannot assess the metabolic status of the tissue. **Clinical Pearls for NEET-PG:** * **MR Spectroscopy (MRS):** Look for a **Choline peak** (marker of cell membrane turnover). High Choline = Recurrence; Low Choline/High Lactate = Necrosis. * **MR Perfusion:** High **rCBV** (relative Cerebral Blood Volume) suggests recurrence (neovascularization), while low rCBV suggests necrosis. * **Hot vs. Cold:** On PET, a "Hot" lesion (increased uptake) indicates tumor, while a "Cold" lesion indicates necrosis.
Neuroanatomy for Radiologists
Practice Questions
Cerebrovascular Diseases
Practice Questions
Intracranial Tumors
Practice Questions
CNS Infections
Practice Questions
Demyelinating and Degenerative Diseases
Practice Questions
Head Trauma Imaging
Practice Questions
Spine Imaging: Trauma and Degenerative Disease
Practice Questions
Spine Tumors and Infections
Practice Questions
Pediatric Neuroradiology
Practice Questions
Congenital CNS Anomalies
Practice Questions
Functional Neuroimaging
Practice Questions
Neurointerventional Procedures
Practice Questions
Get full access to all questions, explanations, and performance tracking.
Start For Free