In intervertebral disc prolapse, what does a Schmorl node on MRI imply?
What is the characteristic appearance of a subdural hematoma on CT scan?
The dural tail sign is highly suggestive of which of the following?
Focal bilateral thalamic, posterior internal capsule showing hyperdensity and calcification in CT scan and extensive involvement of deep white matter is characteristic of which condition?
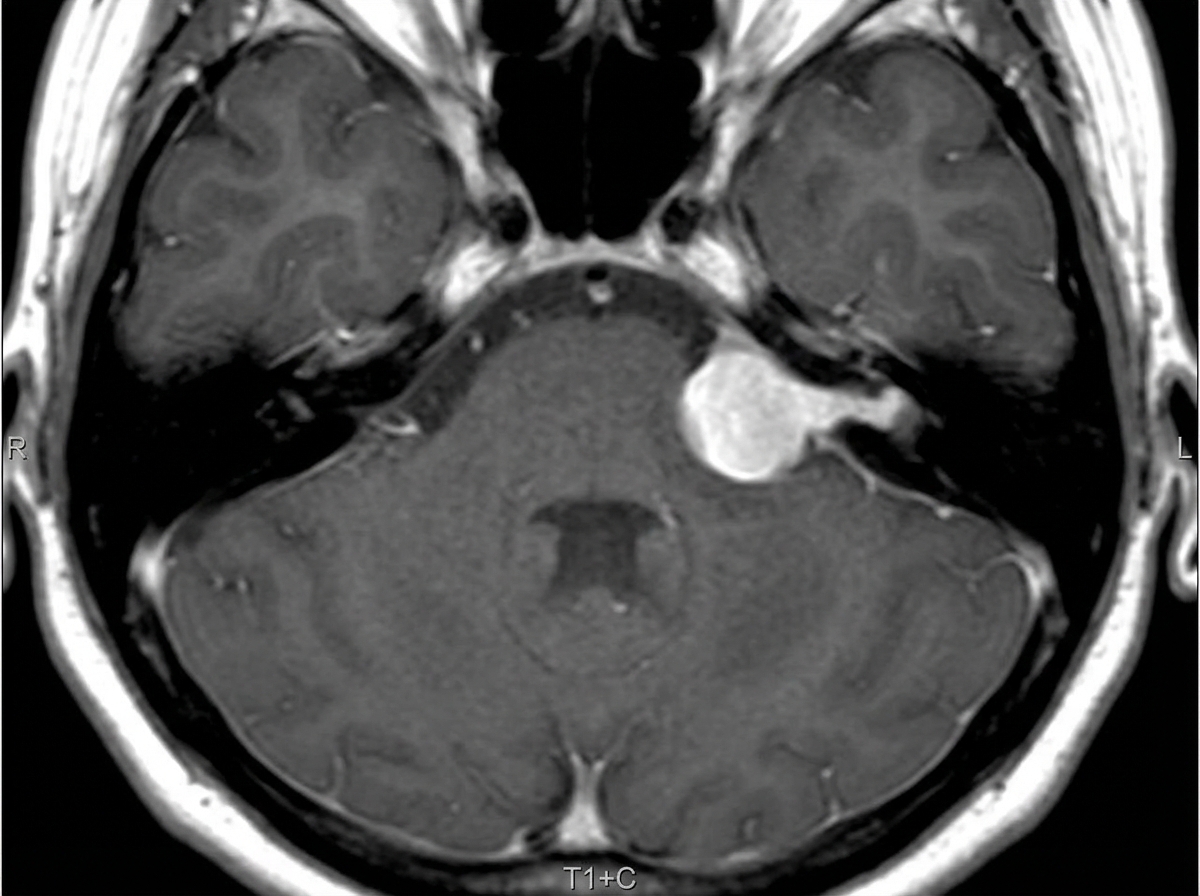
This classical "Ice-cream cone" appearance of an intensely enhancing lesion at the right CP angle recess suggests:

A tumour showing dural enhancement with a tail is characteristic of which of the following entities?
What condition is characterized by a "tram track" appearance on a CT scan of the head?
Wine glass appearance on T2W-MRI Brain is seen with which condition?
All of the following are MRI features of Mesial temporal sclerosis, except:
Trouser leg appearance in myelography is typically seen in which type of spinal cord tumor?
Explanation: **Explanation:** A **Schmorl node** is defined as the herniation of the nucleus pulposus through the vertebral body endplate into the adjacent vertebral body. While it represents a form of disc displacement, it is considered an **incidental finding** in the majority of cases. **1. Why "Not significant" is correct:** In the context of intervertebral disc prolapse (IVDP), clinical symptoms like radiculopathy or myelopathy are caused by *posterior* or *posterolateral* herniation into the spinal canal or neural foramina. Schmorl nodes are *vertical* herniations. They are frequently seen in asymptomatic individuals (prevalence up to 75% in autopsy) and usually do not correlate with the patient's acute symptoms or the need for surgical intervention. Therefore, they are clinically "not significant" regarding the management of symptomatic disc disease. **2. Why other options are incorrect:** * **Significant:** Schmorl nodes do not cause nerve root compression or spinal stenosis, which are the hallmarks of "significant" IVDP. * **Good prognosis:** The presence of a Schmorl node does not predict a better recovery from a separate symptomatic disc herniation. * **Not prognostic:** While they don't predict outcomes, the term "not significant" better describes their status as a common, benign radiological variant in the context of a diagnostic workup. **High-Yield Clinical Pearls for NEET-PG:** * **Scheuermann’s Disease:** Multiple Schmorl nodes, along with anterior wedging of vertebrae and kyphosis, are diagnostic hallmarks of this condition in adolescents. * **Modic Changes:** Acute Schmorl nodes may show inflammatory changes (edema) on MRI, but chronic ones are asymptomatic. * **Common Site:** Most frequently found in the **thoracolumbar junction** (T8-L1). * **Differential Diagnosis:** Must be distinguished from "limbus vertebrae" (herniation beneath the ring apophysis).
Explanation: ### Explanation **Subdural Hematoma (SDH)** occurs due to the tearing of **bridging cortical veins** as they cross the subdural space to drain into the dural venous sinuses. **Why the correct answer is right:** In an acute SDH, blood collects in the potential space between the dura mater and the arachnoid mater. Because this space is not restricted by cranial sutures (unlike the epidural space), the blood spreads widely over the cerebral hemisphere. It follows the natural curvature of the brain, resulting in a **crescent-shaped** or **concavo-convex** appearance. On a non-contrast CT (NCCT), acute blood appears **hyperdense** (bright white) due to high hemoglobin concentration. **Analysis of Incorrect Options:** * **A & C (Convex / Biconvex hyperdensity):** These describe an **Epidural Hematoma (EDH)**. EDHs are typically caused by arterial bleeding (e.g., middle meningeal artery) and are limited by dural attachments at cranial sutures, forcing the blood into a lens-shaped or lemon-shaped configuration. * **D (Concavo-convex hypodensity):** This describes a **Chronic Subdural Hematoma**. Over time (usually >3 weeks), the blood undergoes liquefaction and degradation, appearing dark (hypodense) on CT. **High-Yield Clinical Pearls for NEET-PG:** * **Source of Bleed:** Bridging veins (SDH) vs. Middle Meningeal Artery (EDH). * **Suture Lines:** SDH **crosses** suture lines but is limited by dural reflections (falx/tentorium). EDH **does not** cross suture lines. * **Mixed Density:** A "swirl sign" or mixed density in an SDH suggests active hyperacute bleeding. * **Elderly & Alcoholics:** These groups are at higher risk for SDH due to cerebral atrophy, which increases the tension on bridging veins.
Explanation: **Explanation:** The **Dural Tail Sign** refers to the thickening and enhancement of the dura mater immediately adjacent to a mass on contrast-enhanced MRI. It is highly characteristic of **Meningioma**, occurring in approximately 60–75% of cases. **Why Meningioma is the correct answer:** The sign is caused by reactive vascularity and congestion of the adjacent dura rather than direct tumor invasion. In Meningioma (an extra-axial tumor), the lesion arises from the arachnoid cap cells, leading to this tapering enhancement that resembles a "tail" extending from the base of the tumor. **Analysis of Incorrect Options:** * **Metastases:** While dural metastases (e.g., from breast or prostate cancer) can occasionally mimic a dural tail, they are much less common and typically present with multiple lesions or a known primary malignancy. * **Glioma:** These are intra-axial tumors (arising within the brain parenchyma). They do not typically involve the dura unless they are high-grade (like Glioblastoma) and invade the periphery, but they do not produce a classic dural tail. * **Acoustic Neuroma (Vestibular Schwannoma):** This is a common differential for a CPA (cerebellopontine angle) mass. However, Schwannomas typically show an acute angle with the petrous bone and **lack** a dural tail, whereas Meningiomas in the same location show a broad base and a positive dural tail. **NEET-PG High-Yield Pearls:** * **Most common site:** Parasagittal region. * **Imaging Gold Standard:** Contrast-enhanced MRI. * **Histology:** Look for **Psammoma bodies** (concentric calcifications) and whorled patterns. * **Other causes of Dural Tail:** Sarcoidosis, Syphilis, and Wegener’s granulomatosis (though Meningioma is the most common association).
Explanation: **Explanation:** **Krabbe’s Disease (Globoid Cell Leukodystrophy)** is an autosomal recessive lysosomal storage disorder caused by a deficiency of the enzyme **galactocerebrosidase**. This leads to the accumulation of psychosine, which is toxic to oligodendrocytes. **Why Krabbe’s Disease is correct:** The hallmark CT finding in the early infantile stage is **hyperdensity** (with or without frank calcification) involving the **thalami**, caudate nuclei, and **posterior limb of the internal capsule**. This is a highly specific "spotter" for Krabbe’s. MRI typically shows symmetric T2 hyperintensity in the deep white matter, often sparing the subcortical U-fibers initially, and may show "tigroid" patterns or enhancement of the cranial nerves (especially the optic nerve). **Why other options are incorrect:** * **Alexander’s Disease:** Characterized by a **frontal lobe predominance** of white matter involvement and macrocephaly. It does not typically present with thalamic hyperdensity. * **Metachromatic Leukodystrophy (MLD):** Shows a characteristic **"tigroid" or "leopard skin" pattern** of demyelination due to spared perivascular white matter. Thalamic hyperdensity is not a feature. * **Multiple Sclerosis:** A primary demyelinating disease of adults (usually) presenting with asymmetric, focal "Dawson’s fingers" (periventricular plaques) rather than diffuse deep white matter involvement with thalamic calcification. **High-Yield Clinical Pearls for NEET-PG:** 1. **Krabbe’s:** Look for "Thalamic Hyperdensity" on CT and "Optic nerve enlargement/enhancement" on MRI. 2. **Canavan Disease:** Associated with **elevated NAA peak** on MR Spectroscopy and macrocephaly. 3. **Adrenoleukodystrophy:** Characterized by **posterior (occipito-parietal) predominance** of white matter changes. 4. **Pelizaeus-Merzbacher:** Classic "tigroid" appearance with near-total lack of normal myelin.
Explanation: ***Acoustic schwannoma*** - The classical **"ice-cream cone"** appearance consists of intense enhancement with the **cone portion extending into the internal auditory canal (IAC)** and the **ball portion in the CP angle cistern**. - **Acoustic schwannomas** characteristically show **homogeneous intense enhancement** and have a predilection for the **cerebellopontine angle** with IAC extension. *Epidermoid cyst* - Epidermoid cysts typically show **no enhancement** or minimal rim enhancement, unlike the intense enhancement described. - They appear **hyperintense on DWI** and follow **CSF signal** on T1 and T2, not showing the solid enhancing pattern. *Arachnoid cyst* - Arachnoid cysts show **no enhancement** and perfectly follow **CSF signal intensity** on all sequences. - They appear as **simple fluid collections** without the solid enhancing mass characteristic of the ice-cream cone sign. *High grade glioma* - High grade gliomas rarely occur at the **CP angle** and typically show **heterogeneous enhancement** with necrosis and surrounding edema. - They demonstrate **ring enhancement** or irregular enhancement patterns, not the homogeneous intense enhancement of acoustic schwannomas.
Explanation: ### Explanation **Meningioma** is the correct answer because the **"Dural Tail Sign"** is a classic radiological hallmark of this tumor. #### Why Meningioma is Correct: The dural tail sign refers to the thickening and enhancement of the dura mater immediately adjacent to a peripheral intracranial tumor. In meningiomas, this occurs due to **reactive vascularity and fibrovascular proliferation** of the dura, rather than direct tumor invasion. On contrast-enhanced MRI, this appears as a tapering linear enhancement extending away from the tumor mass along the dural surface. While not 100% pathognomonic, it is highly suggestive of meningioma (seen in ~60-72% of cases). #### Why Other Options are Incorrect: * **Medulloblastoma:** These are primitive neuroectodermal tumors (PNET) typically located in the posterior fossa (cerebellar vermis) of children. They show intense enhancement but do not typically exhibit a dural tail. * **Glioma:** These are intra-axial tumors (arising within the brain parenchyma). Since they are not primary dural-based tumors, they do not show a dural tail sign. * **Acoustic Neuroma (Vestibular Schwannoma):** While these are extra-axial tumors like meningiomas, they arise from the CN VIII sheath. They typically present with an "ice-cream cone" appearance in the internal auditory canal and rarely show a dural tail. #### NEET-PG High-Yield Pearls: * **Most common** primary intracranial tumor: Meningioma. * **Histology:** Look for **Psammoma bodies** (laminated calcifications) and whorled patterns. * **Imaging:** Meningiomas are typically **isointense** on T1/T2 and show **intense, homogenous enhancement** on contrast. * **Other causes of Dural Tail:** Glioblastoma (rarely), Sarcoidosis, and Metastases. However, in exams, always prioritize Meningioma.
Explanation: **Explanation:** **Sturge-Weber Syndrome (SWS)**, also known as encephalotrigeminal angiomatosis, is the correct answer. The "tram track" appearance on a non-contrast CT scan refers to **gyriform cortical calcifications**. These occur due to chronic ischemia caused by an underlying leptomeningeal angioma (usually on the same side as a facial Port-wine stain). This leads to calcium deposition in the second and third layers of the cerebral cortex, tracing the outlines of the sulci and gyri, resembling parallel railroad tracks. **Analysis of Incorrect Options:** * **Von Hippel-Lindau (VHL):** Characterized by retinal and CNS **hemangioblastomas** (typically in the cerebellum or spine), renal cell carcinoma, and pheochromocytoma. It does not feature gyriform calcification. * **Tuberous Sclerosis (TS):** Features **subependymal nodules** (which can calcify) and cortical tubers. While calcification is common, it presents as discrete nodules or "candle guttering" along the ventricles, not a "tram track" pattern. * **Neurofibromatosis (NF):** NF1 is associated with optic gliomas, Lisch nodules, and sphenoid wing dysplasia. NF2 is associated with bilateral vestibular schwannomas. Neither typically presents with intracranial tram-track calcifications. **High-Yield Clinical Pearls for NEET-PG:** * **Triad of SWS:** Facial capillary malformation (Port-wine stain in the $V_1/V_2$ distribution), leptomeningeal angioma, and glaucoma. * **Imaging Gold Standard:** **Contrast-enhanced MRI** is the most sensitive modality to detect the leptomeningeal enhancement (pial angioma) early in life, before calcifications develop. * **Skull X-ray:** Can also demonstrate the "tram track" sign in older children. * **Associated finding:** Enlargement and enhancement of the ipsilateral choroid plexus.
Explanation: **Explanation:** **Amyotrophic Lateral Sclerosis (ALS)** is a progressive neurodegenerative disease involving both upper and lower motor neurons. The characteristic **"Wine Glass Appearance"** on T2-weighted or FLAIR MRI sequences is a classic radiological sign of ALS. 1. **Why ALS is correct:** In ALS, there is degeneration and gliosis of the **Corticospinal Tracts (CST)**. On coronal MRI sections, this appears as symmetrical hyperintensities extending from the internal capsule, through the cerebral peduncles, and down into the pons. The shape formed by these diverging hyperintense tracts resembles the stem and bowl of a wine glass. 2. **Why the other options are incorrect:** * **Metachromatic Leukodystrophy:** Characterized by a **"Tigroid pattern"** or "Leopard skin appearance" due to spared perivascular myelin islands within areas of demyelination. * **Canavan Disease:** Presents with diffuse, symmetric white matter involvement and is uniquely associated with a **marked elevation of N-acetylaspartate (NAA)** on MR Spectroscopy. * **Creutzfeldt-Jakob Disease (CJD):** Typically shows the **"Hockey stick sign"** (hyperintensity in the pulvinar and dorsomedial thalamus) or "Pulvinar sign." **High-Yield Clinical Pearls for NEET-PG:** * **Motor Neuron Disease (MND):** ALS is the most common form. It characteristically **spares** the extraocular muscles and anal sphincter. * **Motor Cusp Sign:** Another MRI finding in ALS where there is hypointensity of the precentral gyrus (motor cortex) on T2/FLAIR due to iron deposition. * **Riluzole:** A glutamate antagonist used to slow progression; it is a frequently tested pharmacological fact.
Explanation: **Mesial Temporal Sclerosis (MTS)**, also known as Hippocampal Sclerosis, is the most common cause of drug-resistant focal epilepsy. It involves neuronal loss and gliosis within the hippocampus and adjacent structures. ### **Explanation of the Correct Answer** The correct answer is **D (None of the above)** because all three listed options (A, B, and C) are recognized MRI features of MTS. In the context of an "except" question, if all statements are true, "None of the above" is the logical choice. ### **Analysis of Options** * **Atrophy of Hippocampus (Option B):** This is the **most sensitive and specific** finding. MRI shows a decrease in hippocampal volume and an associated **increase in T2/FLAIR signal intensity** (due to gliosis). * **Atrophy of Fornix (Option A):** The fornix is the major efferent pathway of the hippocampus. Chronic hippocampal atrophy leads to Wallerian degeneration of the ipsilateral fornix and mammillary bodies. * **Blurring of Grey-White Matter Junction (Option C):** This occurs in the anterior temporal lobe. It is a secondary sign reflecting underlying cortical dysplasia or metabolic changes associated with chronic seizures. ### **High-Yield Clinical Pearls for NEET-PG** * **Gold Standard Imaging:** MRI is the modality of choice. The best sequences are **Coronal T2 and FLAIR** (perpendicular to the long axis of the hippocampus). * **Secondary Signs:** 1. Dilatation of the temporal horn of the lateral ventricle (ex-vacuo). 2. Loss of hippocampal internal architecture (loss of "digitations"). 3. Atrophy of the mammillary bodies. * **Clinical Presentation:** Typically presents as **Complex Partial Seizures** (Temporal Lobe Epilepsy), often preceded by a history of febrile seizures in childhood.
Explanation: **Explanation:** The **"Trouser leg appearance"** (also known as the "Capping" or "Inverted V" sign) is a classic myelographic finding characteristic of **Intramedullary tumors**. **1. Why Intramedullary tumor is correct:** Intramedullary tumors (e.g., Ependymoma, Astrocytoma) originate within the spinal cord parenchyma. As the tumor grows, it causes **fusiform enlargement** of the spinal cord. On a myelogram, the contrast column is displaced peripherally and thinned as it passes the expanded cord. When the contrast meets the poles of the enlarged cord, it splits into two narrow streams, resembling the legs of a pair of trousers. **2. Why other options are incorrect:** * **Extradural tumors (e.g., Metastases):** These arise outside the dural sac. They cause a "ragged" or "brush-like" appearance due to complete or partial block, displacing the entire dural sac away from the bone. * **Intradural extramedullary tumors (e.g., Meningioma, Schwannoma):** These arise outside the cord but inside the dura. They typically produce a **"Meniscus sign"** or "Cup-shaped" defect, displacing the spinal cord to the opposite side rather than expanding it. **Clinical Pearls for NEET-PG:** * **Most common intramedullary tumor in adults:** Ependymoma (often associated with NF-2). * **Most common intramedullary tumor in children:** Astrocytoma. * **MRI** is now the gold standard for spinal cord imaging, but myelographic signs remain high-yield for exams. * **Summary of Myelography Signs:** * *Intramedullary:* Trouser leg appearance / Fusiform cord widening. * *Intradural Extramedullary:* Meniscus sign / Diamond sign. * *Extradural:* Curtain sign / Feathered edge.
Neuroanatomy for Radiologists
Practice Questions
Cerebrovascular Diseases
Practice Questions
Intracranial Tumors
Practice Questions
CNS Infections
Practice Questions
Demyelinating and Degenerative Diseases
Practice Questions
Head Trauma Imaging
Practice Questions
Spine Imaging: Trauma and Degenerative Disease
Practice Questions
Spine Tumors and Infections
Practice Questions
Pediatric Neuroradiology
Practice Questions
Congenital CNS Anomalies
Practice Questions
Functional Neuroimaging
Practice Questions
Neurointerventional Procedures
Practice Questions
Get full access to all questions, explanations, and performance tracking.
Start For Free