J-Shaped sella turica is seen in which condition?
Which of the following represents a midline intra-cranial cyst?
On MRI, how can epidermoids be differentiated from arachnoid cysts?
A patient presents with loss of consciousness following a road traffic accident. CT scan shows multiple spotty hemorrhages and full basal cisterns. What is the most likely diagnosis?
An expansile lytic lesion at the skull base, typically involving the clivus with specks of calcification, is suggestive of which of the following?
Which MRI sequence is used to detect cytotoxic edema before vasogenic edema?
How can an epidermoid cyst be differentiated from an arachnoid cyst?
Which type of hemorrhage classically presents as a lenticular shape on imaging?
What is the imaging modality of choice for diagnosing brain metastases?
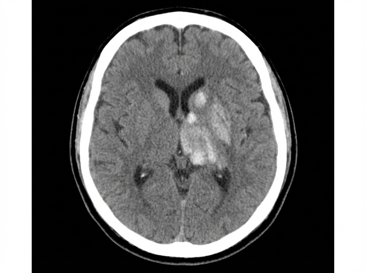
A patient presents with the CT finding shown in the image. Which one of the following signs is this finding most likely to produce?

Explanation: **Explanation:** The **J-shaped sella** (also known as the "omega sella") is a classic radiological sign where the sella turcica appears elongated horizontally with a flattened tuberculum sellae, resembling the letter 'J' or the Greek letter omega ($\Omega$). **1. Why Hurler’s Disease is Correct:** Hurler’s disease (Mucopolysaccharidosis Type I) is the prototypical cause of a J-shaped sella. The deformity occurs due to the deposition of glycosaminoglycans (GAGs) in the connective tissue of the skull base and the dura mater. This leads to a thickened, enlarged chiasmatic sulcus and an abnormal configuration of the sphenoid bone, creating the characteristic elongated appearance. **2. Why Other Options are Incorrect:** * **Multiple Myeloma:** This typically presents with "punched-out" lytic lesions in the calvarium. It does not specifically alter the structural shape of the sella turcica into a J-shape. * **Pinealoma:** These are tumors of the pineal gland located posterior to the third ventricle. While they can cause obstructive hydrocephalus and increased intracranial pressure (leading to "beaten silver" appearance or erosion of the clinoid processes), they do not cause a J-shaped sella. **3. Clinical Pearls & High-Yield Facts for NEET-PG:** * **Differential Diagnosis for J-shaped Sella:** * **Mucopolysaccharidoses:** Hurler’s, Hunter’s, and Morquio syndrome. * **Achondroplasia:** Due to abnormal endochondral bone formation at the skull base. * **Optic Nerve Glioma:** A classic cause (especially in Neurofibromatosis Type 1) due to the enlargement of the optic chiasm. * **Chronic Hydrocephalus:** In children, due to pressure effects on the sphenoid bone. * **Radiology Tip:** Do not confuse J-shaped sella with **Empty Sella Syndrome**, where the sella is enlarged and filled with CSF, but the bony contours remain rounded.
Explanation: ### Explanation **Correct Answer: B. Dandy-Walker cyst** The **Dandy-Walker Malformation (DWM)** is characterized by a triad of findings: cystic dilatation of the fourth ventricle, complete or partial agenesis of the cerebellar vermis, and an enlarged posterior fossa with upward displacement of the tentorium and torcula. Because the fourth ventricle and the cerebellar vermis are **midline structures**, the resulting retrocerebellar cyst is centrally located in the midline of the posterior fossa. **Analysis of Incorrect Options:** * **A. Choroid plexus cyst:** These are typically found within the lateral ventricles (specifically the atrium). Since the lateral ventricles are paired, lateralized structures, these cysts are usually **eccentric/lateral**, not midline. * **C. Unilateral hydrocephalus:** This occurs due to the obstruction of a single Foramen of Monro, leading to the enlargement of one lateral ventricle. By definition, this is an **asymmetric/lateral** process. * **D. Porencephalic cyst:** These are focal areas of encephalomalacia that communicate with the ventricular system, usually resulting from a localized vascular insult (infarct) or trauma. They occur within the **cerebral hemispheres** and are typically lateralized. **NEET-PG High-Yield Pearls:** * **Dandy-Walker Triad:** 1. Vermian agenesis, 2. Cystic 4th ventricle, 3. Enlarged posterior fossa. * **Key Radiographic Sign:** "Torcular-lambdoid inversion" (the torcula lies above the level of the lambdoid suture due to the enlarged posterior fossa). * **Differential Diagnosis:** A **Blake’s Pouch Cyst** also presents as a midline posterior fossa cyst but features a *normal* vermis and a non-enlarged posterior fossa. * **Arachnoid Cysts:** While they can be midline (e.g., suprasellar or quadrigeminal plate), they are most commonly found in the **middle cranial fossa** (lateral).
Explanation: **Explanation:** The differentiation between an **epidermoid cyst** and an **arachnoid cyst** is a classic high-yield topic in neuroradiology, as both typically appear as extra-axial lesions that are isointense to CSF on T1 and T2-weighted imaging. **Why Restricted Diffusion is the Correct Answer:** The gold standard for differentiation is **Diffusion-Weighted Imaging (DWI)**. * **Epidermoid cysts** show **restricted diffusion** (appearing bright/hyperintense on DWI and dark on ADC maps) due to their solid content of desquamated keratin and cholesterol crystals. * **Arachnoid cysts** contain simple fluid (CSF) and show **facilitated diffusion** (appearing dark on DWI), similar to normal cerebrospinal fluid. **Analysis of Incorrect Options:** * **A. Contrast enhancement:** Neither epidermoid nor arachnoid cysts typically show internal enhancement. While the wall of an epidermoid might rarely show minimal enhancement, it is not a reliable differentiating feature. * **B. Smooth margins:** Both lesions generally exhibit smooth or scalloped margins, though epidermoids are more likely to "encase" vessels and nerves rather than displace them. * **D. CSF signal on FLAIR:** On FLAIR sequences, an arachnoid cyst will suppress completely (becoming dark like CSF). While epidermoids often fail to suppress fully (appearing "dirty" or heterogeneously bright), this finding is less definitive and reliable than the restricted diffusion seen on DWI. **High-Yield Pearls for NEET-PG:** * **Location:** Epidermoids are most commonly found in the **Cerebellopontine (CP) angle** (most common congenital lesion here). * **Morphology:** Epidermoids are known as "pearly tumors" and have a "cauliflower-like" growth pattern that creeps into subarachnoid spaces. * **Chemical Shift:** Epidermoids do not contain macroscopic fat; therefore, they do not show a chemical shift artifact (unlike dermoid cysts).
Explanation: **Explanation:** **Diffuse Axonal Injury (DAI)** is the most likely diagnosis. It occurs due to high-velocity rotational acceleration-deceleration forces (e.g., road traffic accidents), leading to the shearing of axons. 1. **Why it is correct:** The classic CT presentation of DAI includes **multiple small, punctate (spotty) hemorrhages** typically located at the **gray-white matter junction**, corpus callosum, or brainstem. While CT is often normal in mild cases, "full basal cisterns" indicate significant cerebral edema and increased intracranial pressure, which are common in severe DAI. 2. **Why incorrect options are wrong:** * **Brain Contusion:** These are "bruises" of the brain, usually larger and localized to the cortical surface (often frontal or temporal lobes) due to direct impact (coup/contrecoup), rather than deep-seated spotty hemorrhages. * **Subdural Hematoma:** This presents as a crescentic, hyperdense collection that crosses suture lines, not as multiple parenchymal spots. * **Multiple Infarcts:** These typically follow vascular territories and are usually hypodense on CT; they are rarely the primary finding immediately following acute trauma. **Clinical Pearls for NEET-PG:** * **Imaging Gold Standard:** **MRI (Susceptibility Weighted Imaging - SWI)** is the most sensitive sequence for detecting the microhemorrhages of DAI. * **Clinical-Radiological Dissociation:** A hallmark of DAI is a patient with a very low GCS (comatose) despite a relatively "normal-looking" or minimally involved initial CT scan. * **Common Sites:** Gray-white matter junction (most common) > Corpus callosum (Splenium) > Brainstem (Dorsolateral aspect).
Explanation: **Explanation:** The correct answer is **Secondaries in bone**. The clivus is a common site for metastatic deposits, particularly from primary tumors of the prostate, breast, lung, and kidney. On imaging, these typically present as **expansile lytic lesions**. The "specks of calcification" mentioned in the question often represent residual fragments of destroyed bone (sequestra) or reactive bone formation rather than matrix mineralization. **Analysis of Options:** * **Secondaries in bone (Correct):** Metastases are the most common malignant lesions of the skull base in adults. They often present with multiple cranial nerve palsies (Garcin syndrome) and appear as destructive, lytic areas. * **Osteosarcoma:** While it can cause lytic/blastic lesions, it is rare at the skull base and typically presents with a characteristic "sunburst" periosteal reaction and a dense osteoid matrix, which is not the primary description here. * **Fibrous Histiocytoma:** This is a rare bone tumor that usually affects the long bones (metaphysis). It lacks the specific predilection for the clivus seen in metastatic disease. **NEET-PG High-Yield Pearls:** 1. **Chordoma:** The most important differential for a midline clival lesion. It shows a "thumbprint" indentation on the pons and characteristic **physaliphorous cells** on histology. 2. **Chondrosarcoma:** Usually occurs **off-midline** (petro-occipital fissure) and shows "popcorn" calcification. 3. **Plasmacytoma:** Another cause of purely lytic "punched-out" lesions in the skull, often part of Multiple Myeloma. 4. **Ecchordosis Physaliphora:** A benign notochordal remnant at the clivus that mimics a small chordoma but lacks enhancement.
Explanation: **Explanation:** **Diffusion-Weighted Imaging (DWI)** is the most sensitive MRI sequence for detecting early ischemic changes. The core concept lies in the movement of water molecules (Brownian motion). In **cytotoxic edema** (seen in early stroke), the failure of the Na+/K+ ATPase pump causes water to shift from the extracellular space into the intracellular space. This intracellular water is "restricted" in its movement. DWI detects this **restricted diffusion**, appearing as a **hyperintense (bright)** signal within minutes of an arterial occlusion (as early as 30 minutes). **Why other options are incorrect:** * **T1WI & T2WI:** These sequences rely on changes in total tissue water content (**vasogenic edema**). It takes several hours (usually >6 hours) for enough water to accumulate to be visible on T2/FLAIR (appearing bright) or T1 (appearing dark). Therefore, they are insensitive to hyperacute stroke. * **SWI (Susceptibility Weighted Imaging):** This sequence is highly sensitive to paramagnetic substances like blood (hemorrhage), iron, and calcium. It is used to rule out hemorrhage or detect "microbleeds," not to visualize early cytotoxic edema. **High-Yield Clinical Pearls for NEET-PG:** * **ADC (Apparent Diffusion Coefficient):** Always correlate DWI with ADC maps to rule out "T2 shine-through." True restricted diffusion (infarct) shows **High signal on DWI** and **Low signal on ADC**. * **Earliest Sign on CT:** Loss of insular ribbon sign or obscuration of the lentiform nucleus. * **DWI-FLAIR Mismatch:** If a lesion is bright on DWI but normal on FLAIR, the stroke is likely <4.5 hours old, making the patient a candidate for thrombolysis.
Explanation: **Explanation:** The differentiation between an epidermoid cyst and an arachnoid cyst is a classic high-yield topic in neuroradiology. While both appear as fluid-filled lesions that are **isointense to CSF** (dark on T1, bright on T2) and show no enhancement, **MRI** is the definitive modality for differentiation, specifically through the use of **Diffusion-Weighted Imaging (DWI).** * **Epidermoid Cyst:** Shows **restricted diffusion** (appears bright/hyperintense on DWI) due to its solid content of desquamated keratin and cholesterol. * **Arachnoid Cyst:** Shows **no restriction** (appears dark on DWI), behaving exactly like free-flowing cerebrospinal fluid. **Why other options are incorrect:** * **CT Scan:** Both lesions appear as low-attenuation (hypodense) masses similar to water. While epidermoids may have slightly irregular margins compared to the smooth borders of arachnoid cysts, CT cannot reliably distinguish them. * **USG:** Ultrasound has limited utility in adult neuroimaging due to the bony calvarium, though it may be used in infants through open fontanelles; however, it lacks the specificity of MRI. * **Myelography:** This is an invasive technique primarily used for spinal pathologies and does not provide the tissue characterization required to differentiate these intracranial lesions. **High-Yield NEET-PG Pearls:** 1. **Location:** Epidermoid cysts are most commonly found in the **Cerebellopontine (CP) angle** (most common congenital lesion here). 2. **FLAIR Sequence:** On FLAIR MRI, arachnoid cysts completely suppress (turn black), whereas epidermoid cysts often appear "dirty" or heterogeneously bright. 3. **Growth Pattern:** Epidermoid cysts are "soft" and tend to **encase** surrounding vessels and nerves rather than displacing them.
Explanation: ### Explanation **1. Why Extradural Hemorrhage (EDH) is Correct:** An Extradural (Epidural) hemorrhage occurs when blood collects between the inner table of the skull and the dura mater, most commonly due to a rupture of the **middle meningeal artery** following a temporal bone fracture. The dura mater is firmly attached to the skull at the **cranial sutures**. Because the expanding hematoma cannot easily cross these suture lines, it is forced inward toward the brain, resulting in a characteristic **biconvex or lenticular (lens-like) shape** on a CT scan. **2. Why the Other Options are Incorrect:** * **Subdural Hemorrhage (SDH):** Occurs between the dura and arachnoid mater (usually due to tearing of bridging veins). Unlike EDH, it is not limited by sutures and spreads along the brain's convexity, appearing **crescent-shaped (concavo-convex)**. * **Subarachnoid Hemorrhage (SAH):** Bleeding into the subarachnoid space (often from a ruptured berry aneurysm). It presents as hyperdensity within the **sulci, fissures, and basal cisterns** (often described as a "star-like" pattern). * **Intracerebral Hemorrhage (ICH):** Bleeding within the brain parenchyma itself. It typically appears as a **hyperdense globoid mass** within the lobes or basal ganglia, often associated with surrounding edema. **3. Clinical Pearls for NEET-PG:** * **Lucid Interval:** Classically associated with EDH (the patient regains consciousness temporarily before deteriorating). * **Suture Rule:** EDH **does not** cross suture lines (but can cross the midline/dural reflections), whereas SDH **does** cross suture lines (but does not cross the midline). * **Source of Bleed:** EDH is usually arterial (Middle Meningeal Artery); SDH is usually venous (Bridging Veins). * **Imaging Choice:** Non-contrast CT (NCCT) Head is the gold standard for acute intracranial hemorrhage.
Explanation: **Explanation:** **MRI with Gadolinium contrast** is the gold standard and imaging modality of choice for diagnosing brain metastases. Its superiority lies in its high soft-tissue contrast and multiplanar imaging capabilities. MRI is significantly more sensitive than CT for detecting small lesions (especially those <5 mm), identifying lesions in the posterior fossa (where CT has bone-streak artifacts), and differentiating between solitary and multiple lesions—a distinction crucial for surgical planning. **Analysis of Options:** * **CECT (Contrast-Enhanced CT):** While often the first-line screening tool in emergency settings due to speed and availability, it lacks the sensitivity of MRI. It may miss small cortical or posterior fossa metastases. * **MRS (Magnetic Resonance Spectroscopy):** This is a functional imaging technique used to differentiate metastases from other lesions (like abscesses or primary gliomas) by analyzing metabolite peaks (e.g., high choline, low NAA). It is an adjunct, not the primary diagnostic modality. * **PET (Positron Emission Tomography):** While useful for systemic staging and finding the primary tumor, PET has limited utility for primary brain diagnosis due to the high baseline glucose metabolism of the normal brain (high background noise). **Clinical Pearls for NEET-PG:** * **Most common source:** Lung cancer (most common overall), followed by Breast cancer and Melanoma. * **Location:** Most metastases occur at the **gray-white matter junction** due to narrowing of blood vessels trapping tumor emboli. * **Distribution:** 80% occur in the cerebral hemispheres, following the distribution of blood flow. * **Imaging Hallmark:** "Ring-enhancing lesions" with significant perilesional vasogenic edema.
Explanation: ***Hemiplegia*** - CT shows a lesion in the **internal capsule**, which contains the **corticospinal tract** responsible for motor control. - Damage to this area causes **pure motor hemiplegia** without sensory or cognitive deficits. *Uniocular blindness* - Requires damage to the **optic nerve** or **central retinal artery**, not the internal capsule. - Would present as **monocular vision loss** with an **afferent pupillary defect**. *Alexia without agraphia* - Results from lesions in the **left occipital lobe** and **splenium of corpus callosum**. - Patients can write but cannot read, requiring **disconnection** between visual and language areas. *Hemiballismus* - Caused by lesions in the **subthalamic nucleus** (body of Luys), not the internal capsule. - Presents as **violent, flinging movements** of the contralateral limbs due to **basal ganglia dysfunction**.
Neuroanatomy for Radiologists
Practice Questions
Cerebrovascular Diseases
Practice Questions
Intracranial Tumors
Practice Questions
CNS Infections
Practice Questions
Demyelinating and Degenerative Diseases
Practice Questions
Head Trauma Imaging
Practice Questions
Spine Imaging: Trauma and Degenerative Disease
Practice Questions
Spine Tumors and Infections
Practice Questions
Pediatric Neuroradiology
Practice Questions
Congenital CNS Anomalies
Practice Questions
Functional Neuroimaging
Practice Questions
Neurointerventional Procedures
Practice Questions
Get full access to all questions, explanations, and performance tracking.
Start For Free