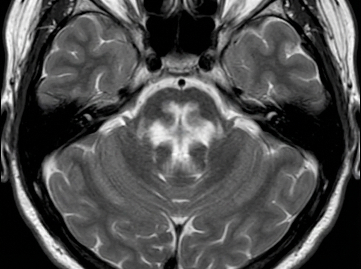
A 60-year-old male patient presented with spasticity in bilateral lower limbs. An MRI was performed and is shown below. What is the most likely diagnosis?

Bony clival erosion with intracranial calcification is seen in which of the following?
Which leukodystrophy characteristically presents with bilateral occipital lobe involvement?
Which area of the thalamus is involved in Wernicke's encephalopathy?
Which MRI finding is characteristic of a cavernous angioma?
A 45-year-old female presents with headache, vomiting, and deterioration of consciousness, two years after resection of a parietal lobe brain tumor. What is the most appropriate investigation to perform now?
Hair on end appearance on X-ray skull is seen in which of the following conditions?
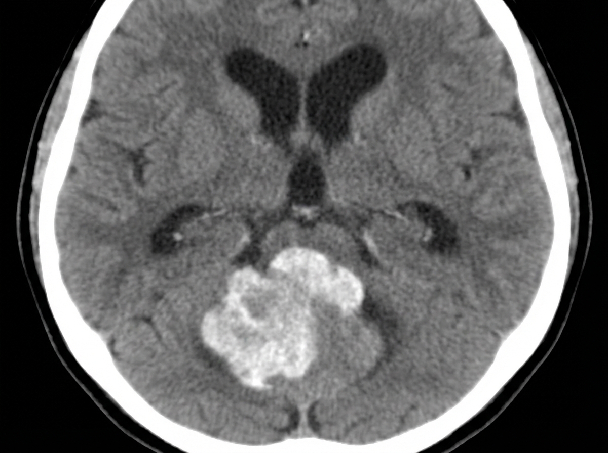
The given CT scan shows which brain lesion?

What is the initial imaging of choice for stroke?
What is the most definitive test for evaluating intracranial aneurysms?
Explanation: ***Multiple system atrophy with predominant cerebellar ataxia*** - The **hot cross bun sign** on MRI is pathognomonic for **MSA-C**, showing cruciform hyperintensity in the pons due to selective neuronal loss. - Bilateral lower limb spasticity indicates **pyramidal tract involvement**, which is characteristic of MSA-C along with cerebellar dysfunction. *Multiple system atrophy with predominant parkinsonism* - **MSA-P** typically shows the **putaminal rim sign** on MRI (hyperintense rim around the putamen), not the hot cross bun sign. - Clinical presentation would focus on **parkinsonian features** (bradykinesia, rigidity) rather than predominant spasticity. *Progressive supranuclear palsy* - **PSP** demonstrates the **hummingbird sign** or **penguin sign** on sagittal MRI due to midbrain atrophy. - Clinical features include **supranuclear gaze palsy** and **axial rigidity**, not bilateral lower limb spasticity. *Lewy body dementia* - **MRI findings** in Lewy body dementia are typically **non-specific** with mild cortical atrophy. - Clinical presentation involves **cognitive fluctuations**, **visual hallucinations**, and **REM sleep behavior disorder**, not spasticity.
Explanation: **Explanation:** **Chordomas** are rare, slow-growing, but locally aggressive malignant tumors arising from the remnants of the **primitive notochord**. In the skull base, they typically occur at the **clivus** (spheno-occipital synchondrosis). 1. **Why Chordoma is Correct:** * **Bony Erosion:** Because they arise from bone, chordomas are characterized by extensive, irregular **bone destruction/erosion** of the clivus. * **Calcification:** Intracranial calcification is seen in approximately 50–90% of cases. This is often "sequestra" (fragments of destroyed bone) rather than true intratumoral calcification. On MRI, they show a characteristic "honeycomb" appearance with high T2 signal. 2. **Why Other Options are Incorrect:** * **Craniopharyngioma:** While these frequently show calcification (especially the adamantinomatous type in children), they are suprasellar tumors that cause **sellar enlargement** or pressure erosion of the dorsum sellae, not primary clival destruction. * **Medulloblastoma:** This is a posterior fossa tumor arising from the roof of the 4th ventricle. It typically presents as a solid midline mass in children and does not cause clival erosion. * **Papilloma of the Choroid Plexus:** These are intraventricular tumors (lateral ventricles in children, 4th ventricle in adults). They present with hydrocephalus due to CSF overproduction, not bony destruction of the skull base. **High-Yield Pearls for NEET-PG:** * **Most common site for Chordoma:** Sacrococcygeal region (50%), followed by Spheno-occipital/Clival (35%). * **Radiological Sign:** "Thumb sign" (the tumor deforms the pons posteriorly). * **Differential Diagnosis:** Chondrosarcoma (often located off-midline at the petro-occipital fissure, whereas Chordoma is strictly midline). * **Histology:** Characterized by **Physaliphorous cells** (large cells with vacuolated, bubbly cytoplasm).
Explanation: **Explanation:** **X-linked Adrenoleukodystrophy (X-ALD)** is a peroxisomal disorder caused by a mutation in the *ABCD1* gene, leading to the accumulation of **Very Long Chain Fatty Acids (VLCFA)**. In the childhood cerebral form, the hallmark radiological finding is **symmetrical demyelination of the posterior white matter**, specifically involving the **occipital and parietal lobes**. This often spreads anteriorly and involves the splenium of the corpus callosum. A characteristic feature on contrast-enhanced MRI is the "zonal" enhancement at the leading edge of the lesion, representing active neuroinflammation. **Analysis of Incorrect Options:** * **MELAS (Mitochondrial Encephalomyopathy, Lactic Acidosis, and Stroke-like episodes):** While it frequently involves the occipital lobes, the lesions are "stroke-like" (cortical/subcortical) and do not follow vascular territories. It is a mitochondrial cytopathy, not a primary leukodystrophy. * **Canavan Disease:** Characterized by **diffuse** white matter involvement with a predilection for the **subcortical U-fibers** and involvement of the thalami and globus pallidus. A key finding is elevated **N-acetylaspartate (NAA)** on MR spectroscopy. * **Alexander Disease:** Classically presents with **frontal lobe** predominance (anterior-to-posterior gradient) and macrocephaly. **High-Yield Pearls for NEET-PG:** * **Adrenoleukodystrophy:** Posterior (Occipital) involvement + VLCFA elevation. * **Alexander Disease:** Anterior (Frontal) involvement + Rosenthal fibers on biopsy. * **Metachromatic Leukodystrophy:** "Butterfly" or "Tigroid" pattern of demyelination; spares subcortical U-fibers. * **Canavan Disease:** Spongiform degeneration + Diffuse involvement (including U-fibers) + High NAA peak. * **Krabbe Disease:** Thalamic hyperdensity on CT; involvement of posterior limb of internal capsule.
Explanation: **Explanation:** Wernicke’s Encephalopathy (WE) is an acute neurological emergency caused by **Thiamine (Vitamin B1) deficiency**, most commonly seen in chronic alcoholism. Thiamine is a co-factor for key enzymes in glucose metabolism; its deficiency leads to metabolic failure and characteristic cytotoxic/vasogenic edema in specific vulnerable brain regions. **Why the Dorsomedial Nucleus is Correct:** The **Dorsomedial (DM) nucleus** of the thalamus is one of the most frequently involved structures in WE. On MRI, this manifests as symmetrical T2/FLAIR hyperintensities. Involvement of the DM nucleus and the pulvinar is highly specific for the diagnosis. Damage to these thalamic nuclei, along with the mammillary bodies, contributes to the profound anterograde and retrograde amnesia seen if the condition progresses to Korsakoff Syndrome. **Analysis of Incorrect Options:** * **A. Mammillary Bodies:** While these are classic sites of involvement in WE (often showing atrophy or enhancement), they are **not** part of the thalamus itself; they are part of the hypothalamus/limbic system. * **C. Ventral Posterolateral (VPL) Nucleus:** This is the sensory relay station for the body (spinothalamic and medial lemniscus). It is typically spared in WE. * **D. Anterior Nucleus:** While involved in the Circuit of Papez, it is less characteristically or consistently affected in WE compared to the DM nucleus. **High-Yield Clinical Pearls for NEET-PG:** * **Classic Triad:** Encephalopathy (confusion), Ataxia, and Ophthalmoplegia (6th nerve palsy/nystagmus). * **MRI Findings:** Symmetrical T2/FLAIR hyperintensities in the **periaqueductal gray matter**, **dorsomedial thalami**, **tectal plate**, and **mammillary bodies**. * **Treatment:** Immediate IV Thiamine **before** glucose administration to prevent worsening of the metabolic crisis.
Explanation: **Explanation:** **Cavernous Angiomas** (also known as Cavernomas or Cavernous Malformations) are low-flow vascular malformations consisting of a "mulberry-like" cluster of dilated, thin-walled capillaries without intervening brain parenchyma. 1. **Why Option A is Correct:** On MRI, the characteristic appearance is a **"popcorn-like" or reticular lesion**. This is due to multiple locules containing blood products in various stages of degradation. A crucial diagnostic feature is the **hemosiderin rim**, which appears as a dark "halo" on T2-weighted and Gradient Echo (GRE/SWI) sequences due to the "blooming effect" of chronic hemorrhage. 2. **Why the Other Options are Incorrect:** * **B. Arterial feeders:** These are characteristic of **Arteriovenous Malformations (AVMs)**, which are high-flow lesions. Cavernomas are angiographically occult (not visible on angiography) because they lack major feeding arteries or draining veins. * **C. Well-defined nidus:** A nidus (a tangle of abnormal vessels) is the hallmark of an **AVM**, not a cavernoma. * **D. Phlebectasia:** This refers to dilated veins, typically associated with **Developmental Venous Anomalies (DVAs)**. While DVAs often coexist with cavernomas, phlebectasia itself is not the defining feature of the cavernoma. **High-Yield Clinical Pearls for NEET-PG:** * **Imaging Gold Standard:** MRI is the investigation of choice. **GRE or SWI sequences** are most sensitive for detecting the hemosiderin rim. * **Angiography:** Cavernomas are **"occult" on Digital Subtraction Angiography (DSA)** because of their low-flow nature. * **Clinical Presentation:** Most common symptoms are **seizures** and focal neurological deficits due to micro-hemorrhages. * **Zabramski Classification:** Used to grade cavernous malformations based on MRI appearance.
Explanation: **Explanation:** The clinical presentation of headache, vomiting, and deteriorating consciousness in a patient with a history of brain tumor resection suggests an **acute increase in intracranial pressure (ICP)**. This is a neurosurgical emergency. **Why CT scan is the correct answer:** In an emergency setting, **Non-Contrast Computed Tomography (NCCT)** is the investigation of choice. It is preferred over MRI because: 1. **Speed:** It is significantly faster, allowing for rapid intervention. 2. **Sensitivity for Hemorrhage:** It is highly sensitive for detecting acute intracranial hemorrhage (a common cause of sudden deterioration post-resection). 3. **Hydrocephalus/Mass Effect:** It quickly identifies midline shift, ventricular enlargement (hydrocephalus), or brain herniation. 4. **Accessibility:** It is more readily available and easier to monitor unstable patients during the scan. **Why other options are incorrect:** * **MRI:** While MRI offers superior soft-tissue resolution and is better for detecting tumor recurrence, it is time-consuming and less practical in an acutely deteriorating patient. * **18 FDG-PET scan:** This is a functional imaging modality used primarily to differentiate between **radiation necrosis and tumor recurrence**. It has no role in the emergency management of raised ICP. * **HMPAO-SPECT scan:** This is used for assessing cerebral blood flow (e.g., in brain death or dementia) and is not indicated for acute neurological deterioration. **Clinical Pearls for NEET-PG:** * **Investigation of Choice (IOC) for Acute Head Injury/Stroke:** NCCT. * **IOC for Tumor Characterization:** MRI with Contrast (Gadolinium). * **Differentiating Radiation Necrosis vs. Recurrence:** PET scan (Recurrence shows high uptake; Necrosis shows low uptake). * **Cushing’s Triad (Sign of raised ICP):** Hypertension, Bradycardia, and Irregular Respiration.
Explanation: **Explanation:** The **"Hair-on-end" appearance** (also known as the "crew-cut" or "bristled" appearance) is a classic radiological sign seen on a lateral X-ray of the skull. It occurs due to **compensatory extramedullary hematopoiesis** in response to chronic hemolytic anemia. 1. **Why Thalassemia is Correct:** In **Thalassemia major**, severe chronic anemia triggers the bone marrow to expand. The diploic space of the skull widens, and the outer table becomes thin. New bone is deposited in vertical striations (trabeculae) perpendicular to the inner table to support this expanding marrow, creating the characteristic "hair-on-end" look. 2. **Why Other Options are Incorrect:** * **Hydrocephalus:** Typically presents with "beaten silver" or "copper beaten" skull appearance due to increased intracranial pressure causing gyral impressions on the inner table. * **Chronic Malaria:** While it causes anemia, it rarely leads to the degree of marrow hyperplasia required to produce significant skull vault changes. * **Sickle Cell Anemia:** While it *can* occasionally show this appearance, it is much more characteristic and severe in **Thalassemia**. In Sickle Cell, the "H-shaped" vertebrae (Reynold’s sign) are a more specific high-yield finding. **High-Yield Clinical Pearls for NEET-PG:** * **Mnemonic:** "Hair-on-end" is seen in **T**halassemia, **S**ickle Cell, and **S**pherocytosis (The **TSS** conditions). * **Facial Features:** Marrow expansion in Thalassemia also involves the maxillary bones, leading to **"Chipmunk Facies"** (prominent cheekbones and malocclusion). * **Note:** The **Paranasal Sinuses** are often obliterated in Thalassemia due to marrow expansion, *except* for the ethmoid sinuses (which lack erythropoietic marrow).
Explanation: ***Medulloblastoma*** - Appears as a **hyperdense, homogeneously enhancing mass** in the **cerebellar vermis** with compression of the **4th ventricle** and associated **obstructive hydrocephalus**. - Commonly presents as a **midline posterior fossa tumor** in children, often showing **calcifications** and **cystic components** on CT imaging. *Subdural hematoma (SDH)* - Appears as a **crescent-shaped collection** between the **dura and brain surface**, typically **hypodense** (chronic) or **hyperdense** (acute) on CT. - Located in the **supratentorial compartment** along the cerebral convexity, not in the **posterior fossa** or cerebellar region. *Brain abscess* - Characterized by a **ring-enhancing lesion** with a **hypodense necrotic center** and significant **perilesional edema** on contrast-enhanced CT. - Typically shows a **thin, smooth wall** with enhancement and may have **gas bubbles** within the lesion, unlike the solid appearance of medulloblastoma. *Oligodendroglioma* - Appears as a **well-demarcated, heterogeneous mass** with characteristic **"eggshell" calcifications** in the **cerebral hemispheres**, particularly **frontal and parietal lobes**. - Typically located in the **supratentorial compartment** rather than the **posterior fossa**, and shows less enhancement compared to medulloblastoma.
Explanation: **Explanation:** The primary goal in the emergency management of an acute stroke is to differentiate between **Ischemic Stroke** and **Hemorrhagic Stroke**. **Why NCCT is the Correct Answer:** Non-contrast CT (NCCT) of the head is the **initial imaging of choice** because it is highly sensitive for detecting acute intracranial hemorrhage (which appears hyperdense/white). In the setting of a stroke, the immediate clinical priority is to rule out a bleed before initiating thrombolytic therapy (like tPA). NCCT is preferred in the emergency department because it is fast, widely available, and has fewer contraindications compared to MRI. **Analysis of Incorrect Options:** * **B. X-ray:** Conventional radiography cannot visualize brain parenchyma or distinguish between blood and brain tissue; it has no role in stroke diagnosis. * **C. MRI:** While Diffusion-Weighted Imaging (DWI) is the **most sensitive** sequence for detecting early ischemic changes (within minutes), MRI is time-consuming, expensive, and often less accessible in an emergency setting. It is not the *initial* choice. * **D. CECT:** Contrast is avoided initially because extravasated contrast can mimic the appearance of blood on a CT scan, potentially leading to a false diagnosis of hemorrhage. **High-Yield Clinical Pearls for NEET-PG:** * **Gold Standard for Early Ischemia:** Diffusion-Weighted MRI (DWI) is the most sensitive (detects ischemia within 15–30 minutes). * **Hyperdense MCA Sign:** An early sign of ischemic stroke on NCCT, representing a thrombus in the Middle Cerebral Arterial. * **ASPECTS Score:** A 10-point quantitative CT score used to assess the extent of early ischemic changes in the MCA territory. * **Door-to-CT Time:** Ideally should be within 20–25 minutes of hospital arrival.
Explanation: **Explanation:** **Digital Subtraction Angiography (DSA)**, often referred to simply as angiography, remains the **gold standard** and most definitive test for evaluating intracranial aneurysms. Its superiority lies in its high spatial resolution and its ability to provide dynamic, real-time visualization of blood flow. It allows for the precise assessment of the aneurysm's neck, its relationship to parent vessels, and the detection of small aneurysms (less than 3mm) that might be missed by non-invasive modalities. Furthermore, it allows for immediate therapeutic intervention (endovascular coiling). **Analysis of Incorrect Options:** * **CT Scan (NCCT):** This is the investigation of choice for diagnosing an acute **Subarachnoid Hemorrhage (SAH)**, but it cannot definitively characterize the underlying aneurysm itself. CT Angiography (CTA) is excellent for screening but lacks the resolution of DSA. * **MRI Scan:** While MRA (Magnetic Resonance Angiography) is useful for screening and follow-up without radiation, it is prone to flow artifacts and lacks the sensitivity required for definitive surgical or endovascular planning. * **PET Scan:** This is a functional imaging modality used primarily for oncology or evaluating brain metabolism (e.g., epilepsy or dementia); it has no role in the structural evaluation of vascular aneurysms. **High-Yield Clinical Pearls for NEET-PG:** * **Best Initial Test for SAH:** Non-contrast CT (NCCT) Head (shows hyperdensity in basal cisterns). * **Gold Standard for Aneurysm:** Digital Subtraction Angiography (DSA). * **Most Common Site:** Junction of the Anterior Communicating Artery (A-com) and Anterior Cerebral Artery. * **Most Common Presentation:** "Worst headache of life" (Thunderclap headache). * **Complication Timing:** Vasospasm typically occurs 4–14 days post-rupture; Nimodipine is used for prophylaxis.
Neuroanatomy for Radiologists
Practice Questions
Cerebrovascular Diseases
Practice Questions
Intracranial Tumors
Practice Questions
CNS Infections
Practice Questions
Demyelinating and Degenerative Diseases
Practice Questions
Head Trauma Imaging
Practice Questions
Spine Imaging: Trauma and Degenerative Disease
Practice Questions
Spine Tumors and Infections
Practice Questions
Pediatric Neuroradiology
Practice Questions
Congenital CNS Anomalies
Practice Questions
Functional Neuroimaging
Practice Questions
Neurointerventional Procedures
Practice Questions
Get full access to all questions, explanations, and performance tracking.
Start For Free