Which of the following is the most vascular tumor?
A cystic lesion with calcification is noted in the suprasellar region. What is the most likely diagnosis?
Craniosynostosis occurs due to premature fusion of which suture(s)?
A 63-year-old man complains of worsening headache and right-sided weakness. CT of the head is shown below. What is the most likely diagnosis?
Soap bubble calcification is a feature of which condition?
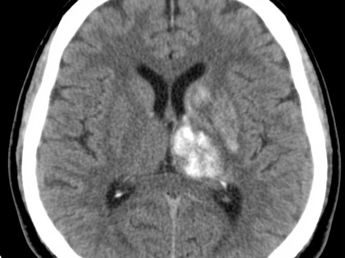
A hypertensive patient was admitted with right hemiplegia. A plain CT scan shows what?

Basal exudates, infarcts, and hydrocephalus are findings observed in brain imaging studies. What is the most likely diagnosis?
A patient presents with subarachnoid hemorrhage. NCCT reveals blood in the fourth ventricle. The bleeding is most likely to occur from an aneurysm of which of the following arteries?
Premature filling of veins on cerebral angiography is a feature of?
What is the most common cause of intracranial calcification?
Explanation: **Explanation:** **Meningioma** is the correct answer because it is a highly vascular, extra-axial tumor that derives its blood supply primarily from the **external carotid artery (ECA)**, specifically the middle meningeal artery. On angiography, meningiomas classically demonstrate a **"Sunburst" or "Spoked-wheel" appearance** of the feeding vessels and a prolonged, intense **"Mother-in-law blush"** (starts early, stays late). **Analysis of Incorrect Options:** * **Glioblastoma (GBM):** While GBM is characterized by significant neo-angiogenesis and "vascular endothelial proliferation," it is an intra-axial tumor. Its vascularity is often disorganized with areas of central necrosis, unlike the uniform, intense enhancement seen in meningiomas. * **Epidermoid Tumor:** These are "pearly tumors" that are **avascular**. On MRI, they are characteristically T1-hypointense, T2-hyperintense, and show **restricted diffusion on DWI**, but they do not enhance with contrast. * **Neurocytoma:** Central neurocytomas are intraventricular tumors. While they show moderate vascularity (often with a "soap-bubble" appearance on imaging), they do not reach the hypervascularity levels of a meningioma. **High-Yield Clinical Pearls for NEET-PG:** * **Dural Tail Sign:** A classic MRI finding in meningioma (though not pathognomonic). * **Psammoma Bodies:** Histological hallmark representing laminated calcifications. * **Hyperostosis:** Meningiomas often cause thickening of the overlying bone. * **Most common site:** Parasagittal/falcine region. * **Association:** Neurofibromatosis Type 2 (NF2) is associated with multiple meningiomas.
Explanation: **Explanation:** The correct answer is **Craniopharyngioma**. This is a benign, slow-growing tumor derived from the remnants of **Rathke’s pouch**. The classic imaging triad for a craniopharyngioma (specifically the adamantinomatous type) is a **suprasellar mass** that is **cystic**, contains **calcification**, and shows **solid component enhancement**. In the pediatric population, calcification is seen in approximately 90% of cases, making it a hallmark feature for NEET-PG questions. **Why other options are incorrect:** * **Meningioma:** While common in the suprasellar region (tuberculum sellae), they are typically **solid, intensely enhancing**, and dural-based. While they can show psammomatous calcification, they are rarely cystic. * **Pituitary Adenoma:** These are the most common sellar masses. However, they are usually **isointense** to gray matter on MRI and **rarely calcify** (less than 1–2%). They typically cause expansion of the sella turcica. * **Oligodendroglioma:** Although known for "chunky" calcifications, these are **intra-axial** tumors usually located in the cortical-subcortical white matter of the cerebral hemispheres (frontal lobe), not the suprasellar cistern. **High-Yield Clinical Pearls for NEET-PG:** * **Bimodal Distribution:** Peaks at 5–14 years and 50–75 years. * **Types:** *Adamantinomatous* (Children, "machinery oil" fluid, calcified) vs. *Papillary* (Adults, solid, rarely calcified). * **Clinical Presentation:** Bitemporal hemianopia (due to optic chiasm compression) and endocrine dysfunction (growth retardation or diabetes insipidus). * **Radiology Sign:** "Machinery oil" appearance of cyst fluid on gross pathology.
Explanation: **Explanation:** **Craniosynostosis** is defined as the premature pathological fusion of one or more cranial sutures. In a normal infant, sutures remain open to allow for rapid brain growth; if a suture closes too early, the skull cannot expand perpendicular to that suture, leading to compensatory overgrowth at the remaining open sutures and a resultant abnormal head shape (**Virchow’s Law**). * **Why Option D is correct:** Craniosynostosis is a general term. It does not refer to a specific suture but rather the process of premature fusion. This can involve the **sagittal**, **coronal** (unicoronal or bicoronal), **lambdoid**, or **metopic** sutures, either in isolation or in combination (as seen in syndromes like Apert or Crouzon). **Analysis of Suture Involvement:** * **Sagittal Suture (Option A):** The most common type (50-60%). Leads to **Scaphocephaly** (or Dolichocephaly), resulting in a long, narrow, boat-shaped head. * **Coronal Suture (Option B):** Unilateral fusion leads to **Plagiocephaly**; bilateral fusion leads to **Brachycephaly** (short, wide head). * **Lambdoid Suture (Option C):** The rarest form. Leads to posterior plagiocephaly (flattening of the back of the head). **High-Yield Clinical Pearls for NEET-PG:** 1. **Metopic Suture Fusion:** Leads to **Trigonocephaly** (triangular-shaped forehead). 2. **Harlequin Eye Deformity:** A classic radiological sign seen on X-ray/CT in **coronal synostosis**, caused by the elevation of the greater wing of the sphenoid. 3. **Copper Beaten Skull (Luckenschadel):** Associated with chronic increased intracranial pressure, often seen in syndromic craniosynostosis. 4. **Diagnosis:** While clinical exam is primary, **3D-CT Reconstruction** is the gold standard imaging modality for surgical planning.
Explanation: ### Explanation **Correct Answer: B. Brain tumor** The clinical presentation of a 63-year-old patient with a **progressive, worsening headache** and focal neurological deficits (right-sided weakness) is highly suggestive of a space-occupying lesion (SOL). On CT, brain tumors typically present as an intra-axial mass with surrounding **vasogenic edema** (finger-like projections), mass effect (midline shift), and potential contrast enhancement. In an elderly patient, the most likely diagnoses are Glioblastoma Multiforme (GBM) or Metastasis. **Why other options are incorrect:** * **Aneurysmal bleed:** This typically presents as a **Subarachnoid Hemorrhage (SAH)**. On CT, it appears as hyperdense (white) blood in the basal cisterns and sulci, presenting clinically as a "thunderclap headache" (sudden onset), not a progressive one. * **Lacunar infarct:** These are small (<15 mm) ischemic strokes in deep structures (basal ganglia/pons) caused by lipohyalinosis. On CT, they appear as small, well-defined hypodense areas without significant mass effect or edema. * **Vasculitis:** CNS vasculitis usually presents with multifocal ischemic or hemorrhagic strokes of varying ages. CT findings are often non-specific or show multiple small infarcts, rather than a single large mass lesion. **NEET-PG High-Yield Pearls:** * **Vasogenic Edema:** Seen in tumors and abscesses; involves white matter and spares gray matter (looks like fingers on CT/MRI). * **Cytotoxic Edema:** Seen in cerebral ischemia; involves both gray and white matter (loss of sulcal-gyral differentiation). * **Ring Enhancement:** Differential includes **MAGIC DR** (Metastasis, Abscess, Glioma, Infarct, Contusion, Demyelination, Radiation necrosis). * **Investigation of Choice:** While CT is the initial screening tool in the ER, **Contrast-enhanced MRI** is the gold standard for characterizing brain tumors.
Explanation: **Explanation:** **Paragonimiasis (Paragonimus westermani)** is a parasitic infection caused by lung flukes, which can occasionally involve the Central Nervous System (CNS). The characteristic imaging finding in cerebral paragonimiasis is the **"Soap Bubble" appearance**. This occurs due to multiple, clustered, ring-enhancing lesions or granulomas that undergo peripheral calcification. These aggregated calcified cysts resemble a cluster of soap bubbles on a CT scan or X-ray, making it a pathognomonic sign for this condition. **Analysis of Incorrect Options:** * **Toxoplasmosis:** Typically presents with multiple ring-enhancing lesions (often in the basal ganglia) and may show calcification in congenital cases or post-treatment. However, the calcifications are usually **nodular or scattered**, not "soap bubble" in appearance. * **Corpus Callosal Lipoma:** This is a midline fat-containing lesion. While it can show calcification, it typically presents with a characteristic **"Bracket sign"** (curvilinear calcification along the periphery of the lipoma), not soap bubble clusters. **High-Yield Clinical Pearls for NEET-PG:** * **Soap Bubble Appearance (Radiology):** 1. **Paragonimiasis:** Intracranial calcified cysts. 2. **Giant Cell Tumor (GCT) of Bone:** Eccentric, expansile lytic lesion in the epiphysis. 3. **Ameloblastoma:** Multilocular radiolucency in the mandible. 4. **Chordoma:** Destructive bone lesion (often sacrum/clivus). * **Cerebral Paragonimiasis** is most common in East Asia and should be suspected in patients with eosinophilia, seizures, and clustered intracranial calcifications.
Explanation: ***Hemorrhage in the left thalamus and internal capsule*** - **Hypertensive hemorrhages** commonly occur in the **thalamus** and **internal capsule**, appearing as **hyperdense** (bright white) lesions on plain CT scan. - Left-sided lesions in these structures cause **contralateral hemiplegia** (right-sided weakness) due to disruption of **motor pathways**. *Hemorrhage in the left frontal lobe* - Frontal lobe hemorrhage would typically cause **behavioral changes** and **personality disorders** rather than pure hemiplegia. - The **motor cortex** involvement would cause more **focal weakness** rather than complete hemiplegia affecting the entire right side. *Ischemic infarct in the internal capsule* - **Acute ischemic infarcts** appear **hypodense** (dark) on CT, but are often **not visible** in the first 24 hours. - Plain CT has **poor sensitivity** for acute ischemic strokes, especially in small vessel territories like the internal capsule. *Ischemic infarct in the left parietal lobe* - Parietal lobe infarcts primarily cause **sensory deficits** and **neglect syndromes** rather than motor hemiplegia. - **Acute ischemic changes** are typically **not visible** on plain CT in the first few hours after symptom onset.
Explanation: ### Explanation The classic triad of **basal exudates, infarcts, and hydrocephalus** on neuroimaging is highly pathognomonic for **Tubercular Meningitis (TBM)**. 1. **Why Tubercular Meningitis is correct:** * **Basal Exudates:** *M. tuberculosis* has a predilection for the base of the brain (interpeduncular cistern, ambient cisterns). These thick, gelatinous exudates appear as intense enhancement on contrast-enhanced CT or MRI. * **Infarcts:** The exudates surround the Circle of Willis, leading to **vasculitis** of the small perforating arteries (e.g., lenticulostriate arteries), most commonly resulting in infarcts in the basal ganglia and internal capsule (the "Medial Striate Syndrome"). * **Hydrocephalus:** This is usually **communicating** type, caused by the exudates obstructing the basal cisterns and interfering with CSF resorption at the arachnoid villi. 2. **Why the other options are incorrect:** * **Viral Meningitis:** Typically presents with normal imaging or mild meningeal enhancement; it does not cause thick basal exudates or infarcts. * **Herpes Encephalitis:** Characteristically involves the **temporal lobes** and limbic system (insular cortex, cingulate gyrus). It presents with edema and hemorrhage rather than basal exudates. * **Cerebral Malaria:** Imaging often shows diffuse cerebral edema or small petechial hemorrhages, but not the specific triad of basal exudates and hydrocephalus. ### High-Yield Pearls for NEET-PG: * **Most common site for TBM infarcts:** Basal ganglia (due to involvement of the Medial Striate arteries). * **Tuberculoma:** The most common "ring-enhancing lesion" in India; shows a "target sign" (central calcification) on CT. * **Gold Standard Diagnosis:** CSF GeneXpert (CBNAAT) or culture, though imaging is often the first clue. * **Hydrocephalus in TBM:** Usually communicating; however, it can be obstructive if a tuberculoma blocks the Aqueduct of Sylvius.
Explanation: ### Explanation The correct answer is **Posterior inferior cerebellar artery (PICA)**. #### 1. Why PICA is the Correct Answer The **Posterior Inferior Cerebellar Artery (PICA)** is the largest branch of the vertebral artery. Its anatomical course is intimately related to the medulla and the **fourth ventricle**. Specifically, the PICA gives off branches that supply the choroid plexus of the fourth ventricle. When an aneurysm of the PICA (especially at its origin or the distal segments) ruptures, the blood frequently tracks directly into the fourth ventricle through the **Foramina of Luschka or Magendie**, or via direct rupture through the ventricular roof. This makes PICA aneurysms the most common vascular source for isolated or predominant fourth ventricular hemorrhage. #### 2. Why Other Options are Incorrect * **Anterior Communicating Artery (A-com):** Rupture typically leads to blood in the interhemispheric fissure, the suprasellar cistern, or the **horns of the lateral ventricles** (via the septum pellucidum). * **Basilar Tip Region:** Aneurysms here usually result in blood in the interpeduncular and prepontine cisterns. If it enters the ventricular system, it typically involves the **third ventricle** first. * **Anterior Inferior Cerebellar Artery (AICA):** While AICA is in the posterior fossa, it is primarily associated with the internal auditory canal and the cerebellopontine angle. It is a much rarer site for aneurysms compared to PICA. #### 3. Clinical Pearls for NEET-PG * **PICA Location:** It originates from the **Vertebral Artery** (high-yield: PICA is the most common site for vertebral artery system aneurysms). * **Wallenberg Syndrome:** Occlusion of the PICA (or the parent vertebral artery) leads to Lateral Medullary Syndrome. * **Rule of Thumb:** If blood is localized to the **fourth ventricle** without significant supratentorial blood, look for a **PICA aneurysm** or a **vertebral artery dissection**. * **Most common site for SAH overall:** Anterior Communicating Artery (A-com).
Explanation: ### Explanation **Correct Answer: C. Arteriovenous malformation** **Underlying Concept:** In a normal cerebral circulation, blood flows from arteries to capillaries and then to veins. This transition creates a physiological delay known as the **"capillary phase."** In an **Arteriovenous Malformation (AVM)**, there is a direct communication between arteries and veins through a **nidus**, bypassing the high-resistance capillary bed. This "shunting" results in rapid transit of contrast, leading to the **premature filling of veins** (early venous drainage) during the arterial phase of a cerebral angiogram. This is the classic angiographic hallmark of AVMs. **Analysis of Incorrect Options:** * **A. Trauma:** While trauma can cause vascular injuries like dissections or hematomas, it typically results in slowed flow or extravasation, not premature venous filling (unless a traumatic AV fistula forms, but AVM is the more classic association for this sign). * **B. Brain tumour:** Highly vascular tumors (like Glioblastoma) can occasionally show early venous drainage due to neoangiogenesis, but it is not as pathognomonic or rapid as seen in AVMs. * **D. Arterial occlusion:** This leads to a **delayed** or absent filling of the distal vascular bed and slow venous return due to reduced perfusion. **High-Yield Pearls for NEET-PG:** * **Gold Standard Investigation:** Digital Subtraction Angiography (DSA) remains the gold standard for diagnosing and characterizing AVMs. * **Spetzler-Martin Grading:** Used to assess the surgical risk of AVMs based on size, eloquence of adjacent brain, and venous drainage pattern. * **Classic Triad of AVM:** Hemorrhage (most common presentation), Seizures, and Focal neurological deficits. * **Other Angiographic Signs:** Look for "enlarged feeding arteries" and "dilated draining veins."
Explanation: **Explanation:** Intracranial calcifications are frequently encountered in neuroimaging and are broadly categorized into physiological and pathological types. **Why Pineal Calcification is Correct:** **Pineal gland calcification** is the **most common cause** of intracranial calcification overall. It is considered a physiological process associated with aging. It is rarely seen in children under 6 years of age, but its prevalence increases significantly after puberty, being visible in approximately 50-70% of adults on CT scans. It serves as an important midline marker; a displacement of a calcified pineal gland >2mm from the midline suggests a space-occupying lesion (mass effect). **Analysis of Incorrect Options:** * **Intracranial Aneurysm:** While chronic aneurysms (especially giant ones) can show curvilinear "eggshell" calcification in their walls, this is a pathological finding and far less common than physiological pineal calcification. * **Meningioma:** This is the most common extra-axial tumor to calcify (seen in ~20-25% of cases, often as psammomatous bodies), but it is a specific pathological entity rather than a frequent incidental finding. * **Tuberculoma:** These often calcify during the healing phase (forming a "target sign"), but their prevalence is geographically dependent and significantly lower than the near-universal occurrence of physiological calcification. **High-Yield Clinical Pearls for NEET-PG:** * **Most common physiological calcification:** Pineal gland (followed by Choroid Plexus). * **Choroid Plexus calcification:** Usually occurs in the atrial portion of the lateral ventricles. * **Habenular calcification:** Shows a characteristic "C-shape" and is located just anterior to the pineal gland. * **Basal Ganglia calcification:** If seen in young patients, evaluate for Fahr’s disease or hypoparathyroidism. * **Rule of Thumb:** Pineal calcification in a child **under 6 years** is suspicious for a pineal region tumor (e.g., Pineoblastoma).
Neuroanatomy for Radiologists
Practice Questions
Cerebrovascular Diseases
Practice Questions
Intracranial Tumors
Practice Questions
CNS Infections
Practice Questions
Demyelinating and Degenerative Diseases
Practice Questions
Head Trauma Imaging
Practice Questions
Spine Imaging: Trauma and Degenerative Disease
Practice Questions
Spine Tumors and Infections
Practice Questions
Pediatric Neuroradiology
Practice Questions
Congenital CNS Anomalies
Practice Questions
Functional Neuroimaging
Practice Questions
Neurointerventional Procedures
Practice Questions
Get full access to all questions, explanations, and performance tracking.
Start For Free