A 56-year-old female presents with chronic lower back pain. A lateral lumbar spine X-ray is provided. Based on the radiological findings, which of the following is the most likely diagnosis?
Which is the earliest imaging modality used to detect ankylosing spondylitis?
What are the correct diagnoses for lesions A and B shown in the image?

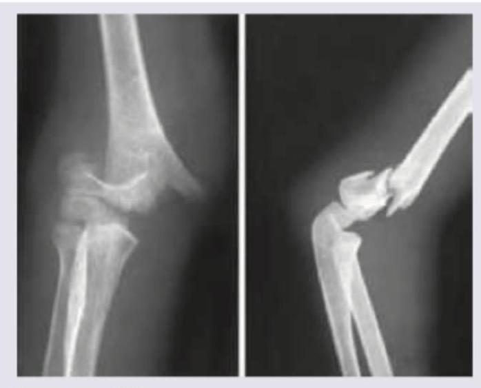
A 7-year-old child presents to the emergency department after a fall on an outstretched hand. The following X-ray of the elbow shows:

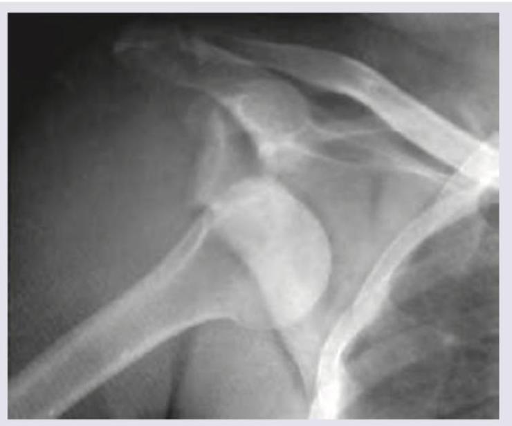
What is correct about the finding in X-ray shoulder?

Identify the lesion in a 20-year-old male whose foot X-ray is shown below:

What is shown in the image given below?

What is the most likely diagnosis based on the MRI findings?

The image of X-ray spine shows?

The image shows a characteristic "Christmas tree" appearance. Identify the organ/structure depicted.

Explanation: ***Spondylolisthesis*** - The lateral X-ray view demonstrates classic evidence of **anterior displacement** (slippage) of the superior vertebral body relative to the inferior body (shown by the red measurement line). - This condition is often due to a defect in the **pars interarticularis** (spondylolysis), indicated by the yellow arrows, causing mechanical instability and chronic pain. *Spondylitis* - Refers specifically to **inflammation** of the spinal vertebrae, seen in conditions like **Ankylosing Spondylitis** or infectious processes (e.g., spinal tuberculosis). - Radiological findings would include bone erosions, endplate destruction, or squaring of vertebrae, not clear mechanical vertebral slippage. *Osteosarcoma* - This is a primary malignant bone tumor, usually presenting radiographically as a solitary, aggressively lytic, or **sclerotic mass** with poorly defined margins. - It does not cause the characteristic pattern of forward vertebral body slip and pars defect visible in this chronic mechanical pathology. *Vertebral fracture* - An acute **compression fracture** results in a loss of vertebral height, often a wedge-shaped deformity, which is not the predominant finding here. - While traumatic fracture-dislocation can cause displacement, the image shows a chronic slip pattern, often secondary to a **spondylolysis** (pars defect), rather than an acute traumatic bone break.
Explanation: ***MRI sacroiliac joint*** - **Most sensitive modality** for detecting early ankylosing spondylitis - Detects **bone marrow edema** and active sacroiliitis before structural changes appear - Shows **inflammatory changes** in cartilage, synovium, and entheses - Can identify disease **years before X-ray changes** become apparent - STIR and T1-weighted sequences with contrast are particularly useful *Incorrect: X-ray* - Detects only **late structural changes** (erosions, sclerosis, fusion) - Takes **several years** for radiographic sacroiliitis to develop - Low sensitivity in early disease stages - Still used for initial screening due to availability and cost *Incorrect: Bone scan* - Shows **non-specific** increased uptake in sacroiliac joints - Lower sensitivity and specificity compared to MRI - Cannot differentiate inflammatory from mechanical causes - Largely replaced by MRI in current practice *Incorrect: CT sacroiliac joint* - Better than X-ray for detecting **bony erosions** and structural detail - Still detects structural rather than inflammatory changes - Higher radiation exposure than X-ray - Less sensitive than MRI for early disease
Explanation: ***A= Giant cell tumour, B= Aneurysmal bone cyst*** - Image A shows a **lytic lesion** in the distal radius, extending to the articular surface without sclerotic margins, which is characteristic of a **giant cell tumor (GCT)**. GCTs are typically epiphyseal/metaphyseal and bone-expanding. - Image B shows an **expansile, lytic lesion** in the proximal humerus with internal septations and trabeculations, giving a **"soap bubble" appearance**, classic for an **aneurysmal bone cyst (ABC)**. *A= Simple bone cyst, B= Aneurysmal bone cyst* - A **simple bone cyst (unicameral bone cyst)** is usually centrally located in the metaphysis of long bones, often with a **"fallen fragment sign"** if fractured, and is typically radiolucent and expansile without internal septations. Image A does not show these features. - While Image B is consistent with an aneurysmal bone cyst, Image A is not a simple bone cyst. *A= Aneurysmal bone cyst, B= Simple bone cyst* - As described, Image A is consistent with a **giant cell tumor**, not an aneurysmal bone cyst, due to its characteristic location and aggressive lytic nature near the joint. - Image B shows features of an **aneurysmal bone cyst**, not a simple bone cyst, given its multiseptated appearance. *A= Osteochondroma, B= Aneurysmal bone cyst* - An **osteochondroma** appears as a **bone outgrowth** with a cartilaginous cap, typically arising from the metaphysis and pointing away from the joint. This is clearly not what is seen in Image A. - Image B is consistent with an **aneurysmal bone cyst**, but Image A does not represent an osteochondroma.
Explanation: ***Supracondylar fracture humerus*** - The image displays a clear **fracture of the distal humerus**, specifically above the condyles, with significant displacement of the distal fragment. - This type of fracture commonly occurs in children due to a fall on an outstretched hand and carries a risk of neurovascular compromise due to its proximity to vital structures like the **brachial artery** and **median nerve**. *Fracture tibia* - The image shows bones of the arm, specifically around the elbow joint, not the lower leg. - Fractures of the tibia would appear in an X-ray of the lower leg, typically involving the shaft or ends of the **shin bone**. *Fracture radius* - While the **radius** is visible in the image as one of the forearm bones, the primary fracture site is clearly in the **humerus** above the elbow joint, not the radius itself. - A radial fracture would involve the bone on the thumb side of the forearm. *Colles fracture* - A **Colles fracture** is a specific type of fracture of the **distal radius**, characterized by dorsal displacement of the distal fragment and typically occurs near the wrist joint. - The image clearly depicts a fracture localized to the **elbow region**, not the wrist, and involves the humerus.
Explanation: ***AP shoulder view with anterior dislocation*** - The humeral head is displaced **inferiorly and medially** relative to the glenoid, which is the characteristic finding of **anterior shoulder dislocation** on an AP radiograph - Anterior dislocations account for **95% of all shoulder dislocations** and typically result from a fall on an outstretched arm with the shoulder in abduction and external rotation - The AP view clearly shows loss of normal glenohumeral articulation with the humeral head positioned **anterior and inferior** to the glenoid fossa *AP shoulder view with posterior dislocation* - Posterior dislocations show the humeral head fixed in **internal rotation** with the characteristic **"light bulb" sign** (symmetric rounded appearance) - The humeral head typically appears **medially positioned** but not inferiorly displaced as seen in anterior dislocations - This represents only 2-5% of shoulder dislocations and is often associated with seizures or electrocution *Lateral view with anterior dislocation of shoulder* - This is an **AP view**, not a lateral view - A lateral view (Y-scapular view) would show the scapula in a **Y-shaped configuration** with the humeral head positioned anterior to the glenoid in cases of anterior dislocation - The lateral view is useful for confirming the direction of dislocation seen on AP radiographs *Lateral view with posterior dislocation of shoulder* - This is an **AP view**, not a lateral view - On a true lateral (Y-scapular) view, posterior dislocation would show the humeral head displaced **posteriorly** relative to the glenoid - Posterior dislocations are frequently missed on AP views alone, making lateral views essential for complete evaluation
Explanation: ***Mycetoma*** - The X-ray image shows a **lytic lesion** with surrounding sclerosis in the calcaneus, indicated by the arrow, which is characteristic of **mycetoma**. The histological image reveals an inflammatory infiltrate with **pigmented fungal grains (brown aggregates)**, confirming the diagnosis. - Mycetoma is a chronic granulomatous infection of subcutaneous tissues, often extending to bone, particularly in the foot. Its characteristic features include **grains (colonies of microorganisms)** within the lesions. *Ochronosis* - Ochronosis would show **dark discoloration of cartilage** and connective tissues due to **homogentisic acid** deposition, leading to degenerative arthritis. This would appear on X-ray as **calcification of cartilage** (e.g., intervertebral discs, menisci) rather than focal lytic lesions with grains. - The histological image would show characteristic **ochre-colored pigment deposits**, not fungal grains. *Haemophilic pseudo-tumour* - A haemophilic pseudo-tumour is a rare complication of hemophilia, often presenting as a **large, expanding lesion** within bone or soft tissue, typically due to recurrent hemorrhage. - X-rays would reveal a **well-defined, expansile lesion** with cortical thinning or bone destruction, and histology would show features of chronic hemorrhage, fibrous tissue, and hemosiderin deposition, not fungal grains. *Pigmented villonodular synovitis* - This condition involves **proliferation of synovial tissue**, often affecting large joints like the knee or hip, leading to bone erosions and cysts. - Histology would show **hyperplastic synovium** with hemosiderin deposition, multinucleated giant cells, and lipid-laden macrophages, but not fungal grains as seen in the microscopy image.
Explanation: ***Lipoma*** - The image displays a soft, mobile, and **well-demarcated subcutaneous mass** on the wrist, which is characteristic of a lipoma. - Lipomas are **benign tumors** composed of mature fat cells and are one of the most common soft tissue tumors, often occurring on the trunk, neck, upper thighs, upper arms, and forearms. *Radial artery aneurysm* - A radial artery aneurysm would typically present as a **pulsatile mass** in the anatomical course of the radial artery, and would often involve symptoms of vascular compression or compromise. - The mass in the image does not visibly appear to be pulsatile, and it is located dorsally, not directly over the radial artery which is more volar. *Liposarcoma* - Liposarcomas are **malignant tumors** that can be difficult to distinguish from lipomas clinically, but they are generally larger, firmer, deeper, and may show rapid growth or cause pain. - While they are composed of fat cells, the visual appearance of this lesion is more consistent with a benign growth. Imaging (MRI) and biopsy would be needed for definitive diagnosis. *Enchondroma* - An enchondroma is a **benign cartilaginous tumor** that arises within the bone, most commonly in the small bones of the hands and feet. - It would not typically present as a visible, soft tissue mass on the surface, but rather as an intraosseous lesion, sometimes causing bone expansion or pathological fractures.
Explanation: ***Eumycetoma*** - The image displays multiple **interconnected, thick-walled lesions with central foci of high signal intensity**, often described as a **"dot-in-circle" sign**, which is characteristic of **eumycetoma** on MRI. - This pattern reflects the **granules within abscesses and granulomatous tissue**, typical of this chronic fungal infection, specifically in the context of soft tissue involvement. *Spina ventosa* - **Spina ventosa** refers to a **cystic expansion of bone**, typically seen in tuberculosis of the short tubular bones (e.g., phalanges). - While it involves bone, the radiographic findings are distinct, presenting as **fusiform expansion with lytic lesions** rather than the numerous soft tissue lesions with central foci seen here. *Tophaceous gout* - **Tophaceous gout** involves deposits of **monosodium urate crystals** in soft tissues and joints, appearing as well-defined, heterogeneous masses on imaging. - Unlike eumycetoma, these deposits do not typically show the characteristic **"dot-in-circle" sign** and are often associated with erosions and sclerosis in adjacent bones. *Cysticercosis* - **Cysticercosis** results from larval cysts of *Taenia solium* and typically presents as **single or multiple cysts with a scolex** within them ("hole-with-dot" appearance) in various tissues, including muscle and brain. - The cystic lesions of cysticercosis are usually more discrete and do not demonstrate the extensive, interconnected, and granular morphology characteristic of eumycetoma.
Explanation: ***Fish vertebra*** - The image shows **biconcave vertebral body deformities** (marked by the arrow), where both the superior and inferior endplates are collapsed centrally, resembling the shape of a fish vertebra. - This appearance is typically seen in conditions like **severe osteoporosis** or metabolic bone diseases (e.g., **osteomalacia**). *Osteoporotic spine* - While **osteoporosis can lead to fractures and vertebral body collapse**, "osteoporotic spine" is a broader diagnosis. - The specific pattern of **biconcave collapse** seen here is more precisely described as fish vertebra, often a consequence of severe osteoporosis. *Anterior beaking vertebra* - **Anterior beaking** refers to a localized projection or pointed anterior vertebral body, often seen in conditions like mucopolysaccharidoses or trauma. - This is distinct from the **central biconcave collapse** visible in the provided image. *Vertebra plana* - **Vertebra plana** describes a vertebral body that has **uniformly collapsed in height**, making it very flat. - The image shows a **biconcave deformity** with central compression, not a uniform flattening of the entire vertebral body.
Explanation: ***Thyroid*** - The **"Christmas tree" appearance** on scintigraphy is pathognomonic for **multinodular goiter**, where multiple hot and cold nodules create a characteristic branching pattern - The thyroid's anatomical structure with **bilateral lobes** connected by an **isthmus** naturally resembles a tree shape, enhanced by nodular changes *Liver* - Liver scintigraphy would show **uniform hepatic parenchyma** with portal and hepatic vein patterns, not the nodular branching appearance - The liver lacks the **bilateral symmetrical structure** with central isthmus that creates the tree-like morphology *Parotid gland* - Parotid gland imaging shows a **more uniform lobular pattern** without the distinctive isthmus connection - Would not demonstrate the **characteristic bilateral lobe configuration** that creates the Christmas tree silhouette *Lymph node* - Lymph nodes show **cortical and medullary architecture** with follicular patterns on imaging - Lack the **thyroid's distinctive anatomical structure** of two lobes connected by an isthmus that creates the tree appearance
Radiographic Anatomy of Bones and Joints
Practice Questions
Imaging of Fractures and Dislocations
Practice Questions
Arthritides: Inflammatory and Degenerative
Practice Questions
Metabolic Bone Diseases
Practice Questions
Bone and Soft Tissue Tumors
Practice Questions
Congenital Skeletal Anomalies
Practice Questions
Spine Imaging
Practice Questions
Skeletal Infections
Practice Questions
Sports Medicine Imaging
Practice Questions
Imaging of Prostheses and Implants
Practice Questions
Musculoskeletal Ultrasound
Practice Questions
MSK Interventional Procedures
Practice Questions
Get full access to all questions, explanations, and performance tracking.
Start For Free