Vertebra plana is seen in which of the following conditions?
Multiple lytic lesions of the skull with beveled edges are seen in:
Which one of the following conditions is not associated with cupping and fraying of metaphyses of long bones in children?
Wimberger ring sign is present in which condition?
The Scottish terrier sign is typically observed in which radiographic view?
'Ring sign' is seen in:
What is the abnormality shown in this shoulder radiograph?

In a patient presenting with shoulder pain and no clear history of trauma, what does this radiograph most likely suggest?

What is the possible diagnosis based on the provided X-ray image?

Which of the following lesions has a radiographic soap bubble appearance, with a characteristic feature of 'pumping action'?
Explanation: **Explanation:** **Vertebra Plana** refers to the uniform collapse of a vertebral body, resulting in a thin, pancake-like appearance (wafer-thin vertebra) while the adjacent intervertebral discs remain preserved. **Why Paget's Disease is the Correct Answer:** While the classic "Vertebra Plana" is most famously associated with Eosinophilic Granuloma, the question asks where it is *seen*. In **Paget’s Disease**, although the vertebra typically becomes enlarged (Picture Frame Vertebra) or sclerotic (Ivory Vertebra), late-stage osteolytic activity and structural weakening can lead to a complete collapse or "Vertebra Plana." In the context of this specific MCQ set, Paget's is a recognized cause of pathological vertebral collapse. **Analysis of Incorrect Options:** * **A. Eosinophilic Granuloma (Langerhans Cell Histiocytosis):** This is actually the **most common cause** of vertebra plana in children. If this were a "single best answer" question without specific context, EG is usually the primary choice. However, in many clinical scenarios or specific exam patterns, Paget's is tested as a metabolic cause. * **B. Trauma:** While trauma causes vertebral fractures (like wedge or burst fractures), it rarely results in the symmetrical, uniform "wafer-thin" collapse characteristic of vertebra plana unless there is underlying pathology. * **D. Malignancy:** Metastases or Multiple Myeloma typically cause irregular destruction or "pedicle sign" (winking owl). While they can cause collapse, the term "Vertebra Plana" is more specifically reserved for the uniform collapse seen in EG or Paget's. **High-Yield Clinical Pearls for NEET-PG:** * **Mnemonic for Vertebra Plana (MELT):** **M**etastasis/Myeloma, **E**osinophilic Granuloma (Most common in kids), **L**ymphoma, **T**uberculosis/Trauma. * **Picture Frame Vertebra:** Seen in Paget’s Disease (thickened cortex). * **Ivory Vertebra:** Seen in Paget’s, Lymphoma, and Osteoblastic Metastases (Prostate CA). * **Codfish Vertebra:** Biconcave appearance seen in Osteoporosis.
Explanation: ### Explanation **Correct Answer: A. Eosinophilic granuloma** **Why it is correct:** Eosinophilic granuloma (EG) is the most common and localized form of **Langerhans Cell Histiocytosis (LCH)**. The classic radiological hallmark in the skull is a "punched-out" lytic lesion. The characteristic **"beveled edge"** appearance occurs because the destruction of the inner table of the skull is more extensive than that of the outer table (or vice versa), creating slanted margins. When a central piece of bone remains within the lucency, it is termed a **"button sequestrum."** **Why the other options are incorrect:** * **B. Metastases:** While skull metastases (e.g., from breast or lung cancer) cause multiple lytic lesions, they typically have ill-defined, irregular margins and lack the specific beveled edge morphology. * **C. Multiple Myeloma:** This presents with multiple, uniform, "punched-out" lytic lesions that are typically small and sharply defined. However, they do not exhibit beveled edges or a button sequestrum. * **D. Neuroblastoma:** In children, metastatic neuroblastoma to the skull usually causes sutural widening (diastasis) and "hair-on-end" periosteal reaction rather than discrete beveled-edge lucencies. **High-Yield Clinical Pearls for NEET-PG:** * **LCH Triad (Hand-Schüller-Christian disease):** Exophthalmos, Diabetes Insipidus, and Bone lesions. * **Vertebra Plana:** EG is the most common cause of a single collapsed vertebral body (pancake vertebra) in children. * **Floating Teeth:** Mandibular involvement in LCH leads to loss of alveolar bone, making teeth appear as if they are floating. * **Birbeck Granules:** On electron microscopy, LCH cells show characteristic "tennis-racket" shaped granules.
Explanation: **Explanation:** The hallmark radiological features of **cupping** (concave deformity), **fraying** (shaggy/irregular margins), and **splaying** (widening) of the metaphyses are characteristic of conditions where there is a failure of normal mineralization or a primary disorder of the growth plate. **1. Why Lead Poisoning is the Correct Answer:** In **Lead Poisoning (Plumbism)**, the characteristic radiological finding is a **"Lead Line."** This appears as a dense, transverse **radiopaque (white) band** at the metaphysis. It occurs due to impaired resorption of calcified cartilage and increased calcium deposition, rather than a failure of mineralization. There is no cupping or fraying; instead, the metaphysis appears denser than normal. **2. Analysis of Incorrect Options:** * **Rickets (Option A):** The classic cause of cupping and fraying. It is due to a failure of osteoid mineralization, leading to an accumulation of non-rigid osteoid that "cups" under the pressure of the weight-bearing epiphysis. * **Metaphyseal Dysplasia (Option C):** Specifically **Schmid-type metaphyseal chondrodysplasia** mimics rickets radiologically, presenting with significant metaphyseal irregularities, cupping, and bowing of long bones. * **Hypophosphatasia (Option D):** A genetic disorder characterized by low alkaline phosphatase levels. It results in defective bone mineralization that radiologically resembles severe rickets, including metaphyseal fraying. **High-Yield Clinical Pearls for NEET-PG:** * **Rickets:** Earliest sign is the disappearance of the **Zone of Provisional Calcification**. * **Lead Lines:** Most prominent at the "fast-growing" ends (knees and wrists). They are NOT caused by lead deposition itself, but by thickened bone trabeculae. * **Scurvy:** Look for **Wimberger’s ring** (dense epiphysis), **Frankel’s line** (dense metaphysis), and **Trummerfeld zone** (lucent scorbutic zone). Unlike Rickets, Scurvy does *not* typically cause cupping.
Explanation: **Explanation:** **Wimberger Ring Sign** is a classic radiographic feature of **Scurvy (Vitamin C deficiency)**. It refers to a thin, sclerotic (dense) rim of calcification surrounding a radiolucent (pale) epiphysis. This occurs because Vitamin C deficiency leads to defective osteoid formation; while the center of the epiphysis becomes osteoporotic and lucent, the zone of provisional calcification at the periphery remains dense, creating a "halo" or "ring" appearance. **Analysis of Options:** * **Scurvy (Correct):** In addition to Wimberger’s sign, other high-yield signs include **Frankel’s line** (dense zone of provisional calcification), **Trummerfeld zone** (lucent scorbutic zone), and **Pelkan spurs** (marginal osteophytes). * **Rickets:** Characterized by "Cupping, Fraying, and Splaying" of the metaphysis and an increased growth plate width. It does not feature the ring-like epiphyseal calcification seen in scurvy. * **Secondary Syphilis:** Typically presents with periostitis or "Wimberger’s **Sign**" (not Ring sign). *Note the distinction:* Wimberger’s sign in syphilis refers to localized bone destruction/erosion of the medial aspect of the proximal tibial metaphysis. * **Tuberculosis:** Usually presents with Phemister’s triad (juxta-articular osteopenia, peripheral joint erosions, and gradual joint space narrowing) or spinal involvement (Pott’s disease). **NEET-PG High-Yield Pearls:** * **Wimberger Ring Sign:** Scurvy (Epiphysis). * **Wimberger Sign:** Congenital Syphilis (Metaphysis). * **White line of Frankel:** Scurvy (dense metaphyseal line). * **Ground glass osteoporosis:** Common in Scurvy due to lack of collagen matrix.
Explanation: The **Scotty Dog (Scottish Terrier) sign** is a classic radiographic finding seen on **oblique views** of the lumbar spine. It is used to identify the integrity of the **pars interarticularis**. ### Why the Oblique View is Correct In a 45-degree oblique radiograph, the various components of the lumbar vertebrae align to resemble the silhouette of a Scottish Terrier dog: * **Eye:** Pedicle * **Nose:** Transverse process * **Ear:** Superior articular facet * **Foreleg:** Inferior articular facet * **Neck:** **Pars interarticularis** * **Body:** Lamina The clinical significance lies in the "neck" of the dog. A break or lucency in the neck indicates **spondylolysis** (a defect in the pars interarticularis). If the dog appears to be wearing a collar or is "decapitated," the diagnosis is confirmed. ### Why Other Options are Incorrect * **AP View:** Best for assessing vertebral body alignment, pedicle shadows ("winking owl sign"), and transverse processes, but it overlaps the posterior elements, making the pars difficult to visualize. * **PA View:** Similar to the AP view; it does not provide the necessary angular perspective to project the posterior elements in the "dog" configuration. * **Lateral View:** Best for assessing **spondylolisthesis** (forward slippage of vertebrae) and disc space height, but it does not clearly isolate the pars interarticularis from the surrounding bone as the oblique view does. ### NEET-PG High-Yield Pearls * **Spondylolysis:** A defect in the pars interarticularis (the "collar" on the dog). * **Spondylolisthesis:** Forward displacement of one vertebra over another; best graded using the **Meyerding Classification** on a **Lateral view**. * **Winking Owl Sign:** Seen on **AP view**; indicates destruction of a pedicle, often due to spinal metastasis. * **Bamboo Spine:** Classic for Ankylosing Spondylitis (seen on AP/Lateral views).
Explanation: The **'Ring sign'** (also known as **Wimberger’s sign**) is a classic radiological feature of **Scurvy** (Vitamin C deficiency). ### 1. Why Scurvy is Correct In Scurvy, there is a defect in osteoid formation due to impaired collagen synthesis. However, calcium deposition continues at the zone of provisional calcification. This results in a **dense, sclerotic rim** surrounding a radiolucent (osteoporotic) center of the epiphyseal ossification center. This appearance mimics a ring, hence the name 'Ring sign'. ### 2. Why Other Options are Incorrect * **Congenital Syphilis:** While it also features a "Wimberger’s sign," it is distinct. In syphilis, **Wimberger’s sign** refers to **destructive erosions of the medial aspect of the proximal tibial metaphysis**, not a ring-like epiphysis. * **Gaucher’s Disease:** The characteristic radiological finding here is the **'Erlenmeyer Flask deformity'** (flaring of the femoral metaphysis) and 'H-shaped' vertebrae due to bone marrow infiltration. ### 3. NEET-PG High-Yield Pearls for Scurvy Beyond the Ring sign, remember these high-yield radiological features of Scurvy: * **Frankel’s Line:** Dense white line at the metaphysis (zone of provisional calcification). * **Trummerfeld Zone:** A lucent "scurvy line" just proximal to Frankel’s line (representing a zone of debris/fracture). * **Pelkan Spur:** Marginal metaphyseal spurs caused by the healing of subperiosteal hemorrhages. * **Subperiosteal Hemorrhage:** Leads to significant periosteal elevation (visible during the healing phase).
Explanation: ***Posterior dislocation of the shoulder*** - Classic radiographic signs include the **"light bulb" sign** (fixed internal rotation of humeral head) and **trough line** (reverse Hill-Sachs lesion). - Shows **empty glenoid fossa** and **widened joint space** on AP view, distinguishing it from anterior dislocation. *Anterior dislocation of the shoulder* - Would show the humeral head positioned **inferior and medial** to the glenoid fossa on AP radiograph. - Associated with **Hill-Sachs lesion** (compression fracture of posterolateral humoral head), not the trough line seen in posterior dislocation. *Chondrosarcoma* - Appears as a **destructive bone lesion** with **chondroid matrix calcification** and soft tissue mass. - Shows **cortical destruction** and **aggressive bone changes**, not joint displacement or dislocation. *Simple bone cyst* - Presents as a **well-defined, lytic lesion** in the metaphysis with **thin cortical margins**. - Typically occurs in **proximal humerus** of children/adolescents, appearing as a fluid-filled cavity without joint involvement.
Explanation: ***Calcific tendinitis*** - Radiograph shows **calcium deposits** within the **supraspinatus tendon** or other rotator cuff tendons, appearing as dense white opacities near the greater tuberosity. - Clinical presentation of **shoulder pain without trauma** is characteristic, often with **night pain** and restricted range of motion. *Shoulder dislocation* - Would show **loss of normal humeral head-glenoid relationship** with the humeral head positioned anteriorly, posteriorly, or inferiorly relative to the glenoid fossa. - Typically presents with **severe pain**, **inability to move the arm**, and obvious deformity following trauma. *Acromioclavicular dislocation* - Radiograph would demonstrate **separation** or **step-off** between the **acromion** and **distal clavicle** at the AC joint. - Usually results from **direct trauma** to the shoulder, such as a fall onto the lateral aspect of the shoulder. *Hill-Sachs lesion* - Appears as a **compression fracture** of the **posterolateral humeral head**, creating an indentation or flattening on the bone surface. - Associated with **anterior shoulder dislocation** and would require a history of significant trauma or recurrent dislocations.
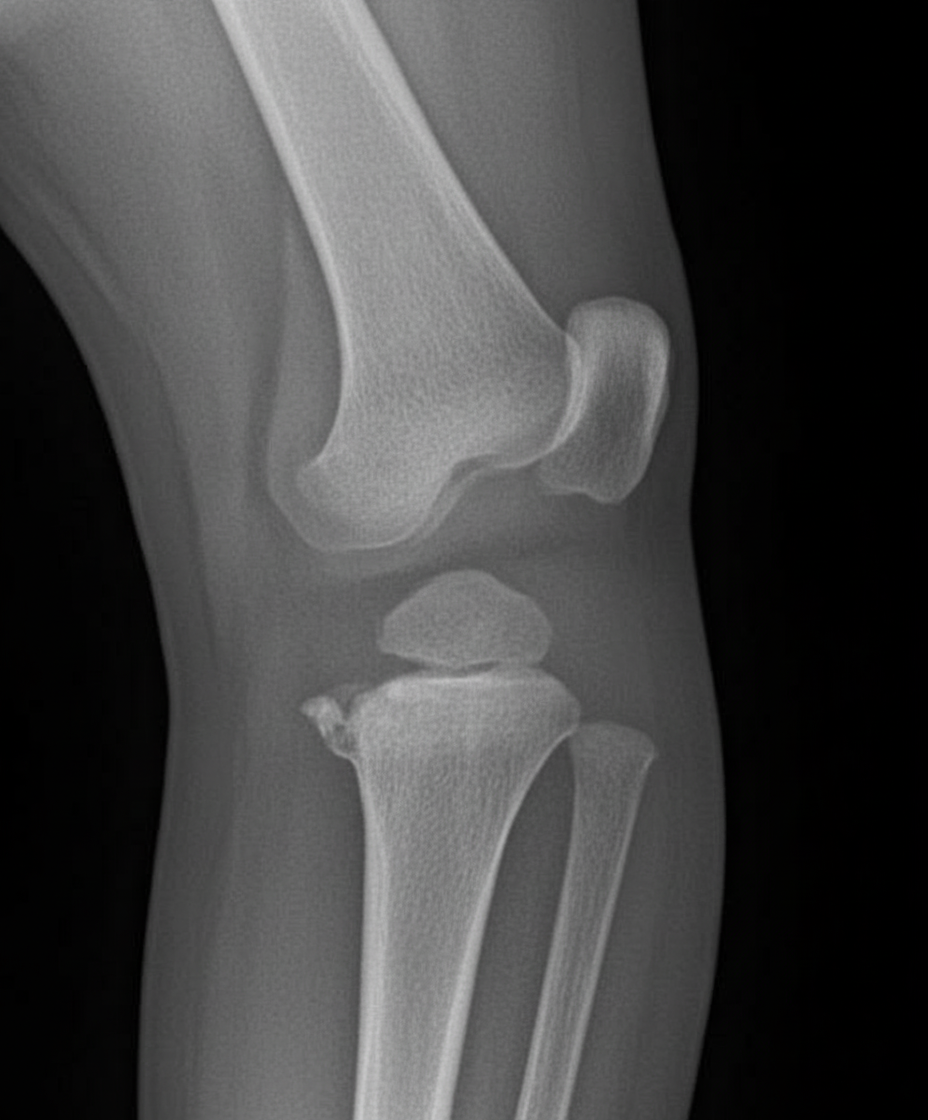
Explanation: ***Osgood-Schlatter disease*** - X-ray shows **tibial tuberosity fragmentation** and **irregularity** on lateral knee view, characteristic of this condition in adolescents - Presents as **anterior knee pain** below the patella with **tibial tubercle prominence** in active adolescents during growth spurts *Pellegrini-Stieda lesion* - Appears as **calcification** along the **medial collateral ligament** attachment at the medial femoral condyle on AP knee X-ray - Results from **chronic MCL injury** and shows **linear calcification** rather than tibial tuberosity changes *SLAP tear* - **Superior labrum anterior-posterior tear** of the shoulder **glenoid labrum** cannot be diagnosed on plain X-rays - Requires **MRI** or **MR arthrography** for visualization as it involves **soft tissue structures** not visible on X-ray *Segond fracture* - Shows as a **small avulsion fracture** of the **lateral tibial plateau** on AP knee X-ray - Associated with **ACL injury** and appears as a **small bony fragment** at the lateral joint line, not tibial tuberosity
Explanation: **Explanation:** The correct answer is **Central Hemangioma**. This is a rare intraosseous vascular malformation, most commonly involving the mandible. **1. Why Central Hemangioma is correct:** Radiographically, central hemangiomas often present as a multilocular radiolucency with a **"soap bubble," "honeycomb," or "sunburst" appearance**. The pathognomonic clinical feature mentioned is the **"pumping action" or "pumping phenomenon."** This occurs because the lesion is highly vascular and under arterial pressure; if a needle is inserted or pressure is applied, the plunger of the syringe may be pushed back spontaneously, or the tooth within the lesion may exhibit a rhythmic pulsation. **2. Why other options are incorrect:** * **Ameloblastoma:** While it classically presents with a "soap bubble" or "honeycomb" appearance, it is a benign epithelial tumor, not a vascular one. It lacks the pulsatile "pumping action." * **Central Giant Cell Granuloma (CGCG):** This typically shows a multilocular radiolucency with wispy, ill-defined septations. It does not exhibit vascular pulsations. * **Odontogenic Keratocyst (OKC):** Known for its characteristic growth along the internal aspect of the jaw (anteroposterior expansion) with minimal cortical expansion, it does not show the pumping phenomenon. **High-Yield Pearls for NEET-PG:** * **Aspiration is mandatory:** Always aspirate any suspected multilocular radiolucency before biopsy to rule out central hemangioma, as surgical intervention can lead to life-threatening hemorrhage. * **Radiographic variants:** Central hemangiomas can also show a **"Spoke-wheel"** appearance or **"Sunray"** appearance (radiating striae from a central point). * **Phleboliths:** The presence of small, rounded calcifications (phleboliths) within soft tissues is a diagnostic clue for vascular lesions.
Radiographic Anatomy of Bones and Joints
Practice Questions
Imaging of Fractures and Dislocations
Practice Questions
Arthritides: Inflammatory and Degenerative
Practice Questions
Metabolic Bone Diseases
Practice Questions
Bone and Soft Tissue Tumors
Practice Questions
Congenital Skeletal Anomalies
Practice Questions
Spine Imaging
Practice Questions
Skeletal Infections
Practice Questions
Sports Medicine Imaging
Practice Questions
Imaging of Prostheses and Implants
Practice Questions
Musculoskeletal Ultrasound
Practice Questions
MSK Interventional Procedures
Practice Questions
Get full access to all questions, explanations, and performance tracking.
Start For Free