The following X-ray was taken of a 50-year-old female with chronic backache. What is the most likely diagnosis?

'Hair on end' appearance in X-ray is characteristic of which condition?
Regarding bone tumors, which of the following statements are true or false? - Most common malignant tumor of bone is metastases. - Most common primary malignant bone tumor is multiple myeloma. - Codman triangle is specific for osteosarcoma. - IOC for skeletal metastases is CT scan. - Blow out bone metastases are seen in renal cell carcinoma.
Multiple punched out lesions on X-ray is seen in which of the following conditions?
Osteosarcoma is differentiated from myositis ossificans by radiology by which feature?
In Scurvy, Wimberger's sign is best seen in which location?
An X-ray of the right distal tibia and fibula is shown. What condition does it possibly represent?

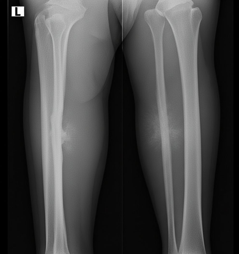
Which of the following is the most probable diagnosis given the provided X-ray?

The "salt and pepper" appearance of the skull is typically seen in which of the following conditions?
Which of the following conditions is characterized by the radiographic finding of floating teeth?
Explanation: ***Spondylolisthesis*** - **Anterior vertebral slippage** creating a **step-ladder deformity** on lateral lumbar spine X-ray is pathognomonic for spondylolisthesis. - The **Meyerding grading system** can classify the degree of slippage based on the percentage of vertebral body displacement forward. *Spondylolysis* - Refers to a **pars interarticularis defect** (stress fracture) without vertebral slippage, appearing as a **"collar on Scotty dog"** on oblique views. - Would not show the characteristic **anterior displacement** of one vertebra over another seen in this case. *Spondylosis* - Represents **degenerative changes** including **osteophyte formation** and **disc space narrowing** without vertebral slippage. - X-ray would show **joint space narrowing** and **bone spurs** rather than the step-ladder deformity of vertebral displacement. *Prolapsed inter-vertebral disc* - A **soft tissue abnormality** that is **not directly visible** on plain X-rays and requires MRI for visualization. - May show secondary signs like **reduced disc height** but would not demonstrate the clear **vertebral slippage** pattern seen here.
Explanation: **Explanation:** The **'Hair-on-end' appearance** (also known as the 'crew-cut' appearance) is a classic radiological sign seen on a lateral skull X-ray. It occurs due to **compensatory extramedullary hematopoiesis** in response to chronic hemolytic anemias. 1. **Why Sickle Cell Anemia is Correct:** In chronic hemolytic states like Sickle Cell Anemia and Thalassemia Major, the bone marrow undergoes massive hyperplasia to compensate for the shortened lifespan of RBCs. This expansion widens the diploic space of the skull and thins the outer table. The new bone trabeculae are laid down perpendicular to the inner table, creating the characteristic vertical striations that resemble hair standing on end. 2. **Why Other Options are Incorrect:** * **G6PD Deficiency:** While it causes hemolysis, it is typically episodic (triggered by oxidative stress) rather than chronic and severe enough to cause significant marrow expansion and skull remodeling. * **Rickets:** Characterized by defective mineralization of the osteoid. Key radiological features include cupping, fraying, and splaying of the metaphysis (e.g., at the wrist). * **Scurvy:** Caused by Vitamin C deficiency. Classic signs include the **Wimberger ring sign** (epiphyseal lucency), **Frankel’s line** (dense zone of provisional calcification), and **Pelkan spurs**. **High-Yield Clinical Pearls for NEET-PG:** * **Most Common Cause:** While seen in Sickle Cell, the 'hair-on-end' appearance is most classically associated with **Thalassemia Major**. * **Differential Diagnosis:** It can also be seen in Hereditary Spherocytosis and occasionally in Iron Deficiency Anemia (in severe, chronic pediatric cases). * **Note:** The **inner table** of the skull is usually preserved, while the outer table is thinned or obliterated.
Explanation: ### Explanation This question tests fundamental concepts in musculoskeletal oncology, a high-yield area for NEET-PG. 1. **Most common malignant tumor of bone is metastases (True):** Secondary tumors (metastases) are far more frequent than primary bone malignancies, especially in adults. 2. **Most common primary malignant bone tumor is multiple myeloma (True):** While Osteosarcoma is the most common *non-hematological* primary bone tumor, **Multiple Myeloma** (a plasma cell dyscrasia) is the most common primary malignancy of the bone overall. 3. **Codman triangle is specific for osteosarcoma (False):** The Codman triangle is a type of aggressive periosteal reaction. While classic for Osteosarcoma, it is **not specific**; it can be seen in Ewing’s sarcoma, osteomyelitis, or even subperiosteal hemorrhage. 4. **IOC for skeletal metastases is CT scan (False):** The Investigation of Choice (IOC) for screening skeletal metastases is **Technetium-99m Bone Scan** (high sensitivity). However, **MRI** is the most sensitive for early marrow changes. CT is used primarily for assessing cortical integrity or guiding biopsies. 5. **Blow out bone metastases are seen in renal cell carcinoma (True):** "Blow-out" or expansile lytic lesions are characteristic of **Renal Cell Carcinoma (RCC)** and **Thyroid Carcinoma** metastases. **High-Yield Clinical Pearls for NEET-PG:** * **Sunburst appearance:** Highly suggestive of Osteosarcoma. * **Onion-skin appearance:** Characteristic of Ewing’s Sarcoma. * **Osteoblastic (Sclerotic) Metastases:** Most common in Prostate Cancer. * **Osteolytic Metastases:** Most common in Lung, Breast, and RCC. * **Bone Scan "Cold" Lesions:** Multiple Myeloma and occasionally RCC (due to purely lytic nature).
Explanation: ### Explanation **Correct Answer: C. Multiple Myeloma** **Underlying Medical Concept:** Multiple myeloma is a plasma cell dyscrasia characterized by the neoplastic proliferation of plasma cells in the bone marrow. These cells produce **Osteoclast Activating Factors (OAFs)**, such as IL-6 and RANK-ligand, which stimulate osteoclasts and inhibit osteoblasts. This leads to purely lytic bone destruction. On X-ray, this manifests as classic **"punched-out" lesions**—sharply defined, circular radiolucencies without any surrounding reactive sclerosis (no white borders). These are most commonly seen in the skull (Raindrop skull), vertebrae, and pelvis. **Analysis of Incorrect Options:** * **A. Paget’s Disease:** Characterized by a mix of bone resorption and excessive formation. Radiologically, it shows cortical thickening, coarsened trabeculae, and bone enlargement. In the skull, it presents as *Osteoporosis circumscripta* (early) or a "Cotton wool" appearance (late). * **B. Craniopharyngioma:** A suprasellar tumor. The hallmark radiological finding is **suprasellar calcification** (seen in 90% of pediatric cases), not lytic bone lesions. * **C. Eosinophilic Granuloma (Langerhans Cell Histiocytosis):** While it can cause lytic lesions, it typically presents as a solitary "beveled-edge" lesion or a "hole-within-a-hole" appearance in the skull. Multiple lesions are less common than in myeloma. **High-Yield Clinical Pearls for NEET-PG:** * **Raindrop Skull:** Multiple punched-out lesions in the calvarium. * **Cold Bone Scan:** Multiple myeloma lesions are often "cold" on Technetium-99m bone scans because there is no osteoblastic activity. Skeletal survey (X-ray) or MRI is the preferred imaging. * **Winking Owl Sign:** Destruction of a vertebral pedicle, often seen in spinal metastases (rare in myeloma as it spares the pedicle early on). * **Bence-Jones Proteins:** Light chains found in urine; they do not show up on standard dipsticks.
Explanation: The key to differentiating **Myositis Ossificans (MO)** from **Osteosarcoma** lies in the pattern of mineralization, known as the **"Zonal Phenomenon."** ### 1. Why "Peripheral field of differentiation" is correct: In **Myositis Ossificans** (a benign, post-traumatic ossification), maturation occurs from the outside in. Radiologically, this presents as a well-defined **peripheral rim of mature lamellar bone** with a radiolucent, immature cellular center. Conversely, **Osteosarcoma** exhibits a "reverse" pattern: the most dense, mature neoplastic bone is located at the **center** of the lesion, while the periphery remains ill-defined, infiltrative, and immature as it invades surrounding tissues. ### 2. Why other options are incorrect: * **Location:** Both can occur in the metaphysis of long bones (e.g., distal femur). While MO is often intramuscular, it can be parosteal, mimicking surface osteosarcoma. * **Absence of osteomyelitic changes:** Neither condition typically presents with classic osteomyelitic features (like sequestrum or involucrum), making this a poor differentiating factor. * **Shape of swelling:** Both can present as large, irregular soft tissue masses. Shape is non-specific and unreliable for malignancy grading. ### 3. NEET-PG High-Yield Pearls: * **String Sign:** In MO, a thin radiolucent line (cleft) often separates the lesion from the underlying bone cortex, whereas Osteosarcoma usually involves or destroys the cortex. * **Codman’s Triangle/Sunburst Appearance:** These are classic periosteal reactions highly suggestive of **Osteosarcoma**, not MO. * **Biopsy Caution:** Early-stage MO can histologically mimic sarcoma due to high mitotic activity. Always correlate with the "Zonal Phenomenon" on CT/MRI before surgical intervention.
Explanation: **Explanation:** **Scurvy (Vitamin C deficiency)** primarily affects the sites of rapid endochondral bone growth. Vitamin C is essential for collagen synthesis; its deficiency leads to defective osteoid formation, though calcification of the cartilaginous matrix continues, resulting in characteristic radiological signs. **Why the Lower End of Femur is Correct:** Wimberger’s ring sign refers to a **circular, opaque radiodense halo** surrounding a lucent center in the epiphysis. It occurs because the center of the epiphysis is osteoporotic (lucent), while the periphery remains calcified (dense). This sign is most prominent and earliest seen at the **knees** (specifically the **lower end of the femur** and upper end of the tibia) and the wrists, as these are the most active sites of bone growth in children. Among the options, the lower end of the femur is the most classic and frequently cited site for identifying this sign. **Analysis of Incorrect Options:** * **B & D (Radius):** While the wrist (lower end of radius) is a common site for scorbutic changes, the lower end of the femur is the primary site of choice for identifying Wimberger’s sign due to the higher rate of growth. * **C (Patella):** The patella is a sesamoid bone that ossifies later in childhood. Scurvy typically presents in infants (6–24 months), a period during which the patella is not yet a primary site for assessing metabolic bone disease. **High-Yield Clinical Pearls for NEET-PG:** * **Frankel’s Line:** Dense zone of provisional calcification at the metaphysis. * **Trummerfeld Zone:** Lucent "scurvy line" (scorbutic zone) proximal to Frankel’s line representing a zone of debris/fracture. * **Pelkan Spur:** Marginal spurring due to outward extension of the zone of provisional calcification. * **Subperiosteal Hemorrhage:** Leads to "lifting" of the periosteum, visible as soft tissue swelling or calcification during healing. * **Wimberger’s Sign (Scurvy) vs. Wimberger’s Sign (Syphilis):** Do not confuse them. In **Congenital Syphilis**, Wimberger’s sign refers to focal erosion of the **medial aspect of the proximal tibial metaphysis**.
Explanation: ***Osteosarcoma*** - Typically presents as a **mixed lytic-sclerotic lesion** in the **metaphyseal region** of long bones, commonly affecting the distal femur or proximal tibia - Classic radiographic features include **Codman's triangle** (periosteal elevation) and **sunburst pattern** (radiating spicules of bone) *Ewing's sarcoma* - Predominantly affects the **diaphyseal region** of long bones, not the metaphysis like osteosarcoma - Characteristic **onion-skin appearance** due to laminated periosteal reaction, distinct from osteosarcoma's sunburst pattern *Soft tissue tumor with fibular involvement* - Soft tissue tumors typically show **soft tissue mass** without primary bone destruction or formation - Would not demonstrate the **aggressive bone formation** and **sclerotic changes** typical of primary bone tumors *Osteoclastoma* - Also known as **giant cell tumor (GCT)**, typically occurs in the **epiphyseal region** of long bones - Presents as a **soap-bubble appearance** with well-defined lytic lesions, lacking the mixed sclerotic pattern of osteosarcoma
Explanation: ***Fluorosis*** - **Osteosclerosis** with increased bone density and **calcification of ligaments and tendons** are pathognomonic X-ray features of skeletal fluorosis. - **Calcified interosseous membranes** between radius-ulna and tibia-fibula create characteristic "bamboo spine" appearance in advanced cases. *Caffey's disease* - Presents with **cortical hyperostosis** and **periosteal new bone formation** primarily affecting long bones in infants. - X-rays show **thickened cortices** with **soft tissue swelling**, not the diffuse sclerosis seen in fluorosis. *Rickets* - Characterized by **osteopenia**, **delayed ossification**, and **metaphyseal changes** like cupping and fraying. - X-rays show **bowing deformities**, **coxa vara**, and **widened growth plates**, opposite to the sclerotic changes in fluorosis. *Scurvy* - Shows **osteopenia** with **cortical thinning** and **metaphyseal corner fractures** (Pelkan's sign). - **Wimberger's ring** around metaphyses and **ground glass osteopenia** are typical, contrasting with fluorosis's increased density.
Explanation: **Explanation:** The "salt and pepper" appearance of the skull (also known as the pepper pot skull) is a classic radiological sign of **Hyperparathyroidism**. **1. Why Hyperparathyroidism is Correct:** In hyperparathyroidism, excess parathyroid hormone (PTH) stimulates osteoclastic activity, leading to diffuse bone resorption. In the calvarium, this manifests as multiple small, lucent areas (the "pepper") interspersed with areas of relatively preserved bone (the "salt"). This loss of definition between the inner and outer tables of the skull creates a granular, mottled appearance. **2. Analysis of Incorrect Options:** * **Multiple Myeloma:** Characterized by **"punched-out" lytic lesions**. These are sharply defined, circular lucencies without a sclerotic rim, unlike the diffuse, granular mottling of hyperparathyroidism. * **Sickle Cell Anemia:** Shows a **"hair-on-end" appearance** (or crew-cut sign). This is due to compensatory extramedullary hematopoiesis causing widening of the diploic space and vertical trabeculations. * **Fibrous Dysplasia:** Typically presents with a **"ground-glass" opacification** due to the replacement of normal bone with fibrous tissue and immature bone. **3. High-Yield Clinical Pearls for NEET-PG:** * **Subperiosteal bone resorption** is the most specific radiological sign of hyperparathyroidism, most commonly seen on the **radial aspect of the middle phalanges** of the 2nd and 3rd fingers. * Other signs include **Brown tumors** (osteoclastomas) and the **"Rugger-jersey spine"** (seen in secondary hyperparathyroidism/renal osteodystrophy). * **Distinction:** Do not confuse "Salt and Pepper Skull" (Hyperparathyroidism) with "Salt and Pepper Noise" on MRI (seen in Paragangliomas/Glomus tumors).
Explanation: **Explanation:** The radiographic finding of **"floating teeth"** occurs when there is extensive destruction of the alveolar bone (mandible or maxilla) surrounding the roots of the teeth. This loss of bony support makes the teeth appear as if they are suspended in mid-air. **1. Why Histiocytosis X (Langerhans Cell Histiocytosis - LCH) is correct:** LCH is characterized by the proliferation of Langerhans cells, leading to focal osteolytic "punched-out" lesions. When these lesions involve the alveolar process of the jaw, the destruction of the lamina dura and supporting bone is so complete that the teeth lose all bony attachment, creating the classic "floating-in-air" appearance. **2. Why the other options are incorrect:** * **Ectodermal Dysplasia:** Characterized by **hypodontia** (missing teeth) or **anodontia** (complete absence of teeth). The teeth that do erupt are often conical or peg-shaped, but the supporting bone remains intact. * **Cleidocranial Dysplasia:** Characterized by **supernumerary teeth** (extra teeth) and delayed eruption of permanent teeth, along with absent/hypoplastic clavicles. * **Osteopetrosis:** Characterized by increased bone density (**"Marble Bone Disease"**). Radiographically, the jaw appears extremely radiopaque, and there is a risk of osteomyelitis due to reduced vascularity, rather than osteolytic destruction. **Clinical Pearls for NEET-PG:** * **Differential Diagnosis for Floating Teeth:** Apart from LCH, consider **Cherubism**, **Aggressive Periodontitis**, and **Multiple Myeloma**. * **LCH Triad (Hand-Schüller-Christian disease):** Exophthalmos, Diabetes Insipidus, and Bone lesions (punched-out skull defects). * **Skull finding in LCH:** "Hole-within-a-hole" appearance or "Geographic skull."
Radiographic Anatomy of Bones and Joints
Practice Questions
Imaging of Fractures and Dislocations
Practice Questions
Arthritides: Inflammatory and Degenerative
Practice Questions
Metabolic Bone Diseases
Practice Questions
Bone and Soft Tissue Tumors
Practice Questions
Congenital Skeletal Anomalies
Practice Questions
Spine Imaging
Practice Questions
Skeletal Infections
Practice Questions
Sports Medicine Imaging
Practice Questions
Imaging of Prostheses and Implants
Practice Questions
Musculoskeletal Ultrasound
Practice Questions
MSK Interventional Procedures
Practice Questions
Get full access to all questions, explanations, and performance tracking.
Start For Free