A patient presents with a forefinger injury from glass, with suspicion of a retained foreign body. What is the initial investigation of choice?
For the evaluation of blunt abdominal trauma, which of the following imaging modalities is ideal?
What is the full form of FAST?
A tripod fracture is a fracture of which bone?
A patient presents with a blood pressure of 90/60 mmHg and a pulse rate of 150 beats per minute following blunt abdominal trauma. What is the initial assessment tool you would use?
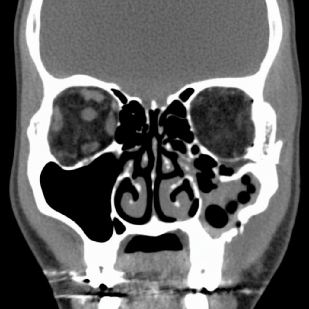
Based upon this coronal CT view of the face in a 25-year-old man with eye pain, what is the MOST likely diagnosis?

Splenic injury is best detected by:
The "tear drop sign" is characteristic of which of the following conditions?
A 19-year-old boy presents with a swollen lip and fractured maxillary central incisors following trauma. The encircled area in the radiograph shows:

Which imaging modality is the mainstay in trauma imaging?
Explanation: **Explanation:** The initial investigation of choice for a suspected retained foreign body (FB) in the extremities is a **Plain Radiograph (X-ray)**. 1. **Why Plain Radiograph is Correct:** Most foreign bodies encountered in trauma, such as glass, metal, and stone, are **radiopaque**. Glass, regardless of its lead content, is visible on X-rays in over 90% of cases if it is at least 2mm in size. X-rays are inexpensive, widely available, and highly effective at screening for these materials. Two orthogonal views (Anteroposterior and Lateral) are mandatory to localize the object accurately. 2. **Why other options are incorrect:** * **Ultrasonography (USG):** This is the investigation of choice for **radiolucent** foreign bodies (e.g., wood, thorns, plastic) that do not show up on X-ray. It is also excellent for guiding removal but is usually the second step after a negative X-ray. * **CT Scan:** While highly sensitive, it is not the "initial" choice due to higher radiation dose and cost. It is reserved for deep-seated foreign bodies in complex anatomical areas. * **MRI:** This is generally **contraindicated** as an initial step because if the foreign body is metallic, the magnetic field can cause it to migrate, leading to further tissue or neurovascular injury. **High-Yield Clinical Pearls for NEET-PG:** * **Radiopaque FBs (Visible on X-ray):** Metal, Glass, Stone, Pencil lead (graphite). * **Radiolucent FBs (Invisible on X-ray):** Wood, Thorns, Plastic, Cactus spines. * **Gold Standard for Wood/Organic matter:** Ultrasonography. * **Rule of Thumb:** If the history suggests glass or metal, start with an **X-ray**. If the history suggests wood or the X-ray is negative but clinical suspicion remains high, proceed to **USG**.
Explanation: In blunt abdominal trauma (BAT), **Computed Tomography (CT) with IV contrast** is the gold standard and the imaging modality of choice for hemodynamically stable patients. ### Why CT is the Correct Answer: * **Superior Sensitivity and Specificity:** CT is highly accurate in identifying and grading solid organ injuries (liver, spleen, kidneys) and detecting hemoperitoneum. * **Retroperitoneal Evaluation:** Unlike ultrasound, CT can reliably visualize the retroperitoneum, including the pancreas, duodenum, and major vessels. * **Hollow Viscus Injury:** It is the most sensitive tool for detecting signs of bowel injury (e.g., wall thickening, free air, or mesenteric hematoma). * **Whole-Body Imaging:** In polytrauma, CT allows for a "Pan-scan" to evaluate the head, chest, and pelvis simultaneously. ### Why Other Options are Incorrect: * **A. Ultrasonography:** While **FAST (Focused Assessment with Sonography for Trauma)** is the initial screening tool for hemodynamically unstable patients, it cannot grade organ injuries or reliably detect retroperitoneal pathology. * **C. Nuclear Scintigraphy:** This is too time-consuming and lacks the anatomical detail required for acute trauma management. * **D. Magnetic Resonance Imaging:** MRI is contraindicated in emergency settings due to long scan times, difficulty in monitoring unstable patients, and incompatibility with metallic life-support equipment. ### High-Yield Clinical Pearls for NEET-PG: * **Hemodynamically Unstable + Positive FAST:** Proceed directly to **Laparotomy**. * **Hemodynamically Stable:** **CECT (Contrast-Enhanced CT)** is the investigation of choice. * **CT "Shock Bowel":** Look for diffuse small bowel wall thickening and hyper-enhancement, indicating hypovolemic shock. * **Splenic Injury:** The spleen is the most commonly injured organ in blunt abdominal trauma.
Explanation: **Explanation:** **1. Why Option B is Correct:** FAST stands for **Focused Assessment with Sonography for Trauma**. It is a rapid bedside ultrasound examination performed by surgeons or emergency physicians as a primary screening tool in the evaluation of blunt or penetrating abdominal trauma. The goal is not to image every organ, but to identify the presence of **free intraperitoneal or pericardial fluid** (hemoperitoneum or hemopericardium), which appears anechoic (black) on ultrasound. **2. Analysis of Incorrect Options:** * **Option A:** While the abdomen is a major focus, this is a common misnomer. The term "Assessment" is broader and more accurate as it includes the pericardial view. * **Option C:** FAST does not involve "Tomography" (CT scans). It is strictly an ultrasound-based modality. * **Option D:** "Fast" is an adjective, not the formal medical expansion of the acronym. **3. Clinical Pearls for NEET-PG:** * **The Four Standard Views:** 1. **RUQ (Morison’s Pouch):** Between the liver and right kidney (most sensitive site for free fluid). 2. **LUQ (Splenorenal space):** Between the spleen and left kidney. 3. **Pelvic (Suprapubic):** Posterior to the bladder (Pouch of Douglas in females). 4. **Subxiphoid (Pericardial):** To rule out cardiac tamponade. * **E-FAST (Extended FAST):** Includes the **pleural spaces** to detect pneumothorax (absence of lung sliding) and hemothorax. * **Indication:** Primarily used in **hemodynamically unstable** patients. If a FAST is positive in an unstable patient, they usually proceed directly to laparotomy. * **Limitation:** FAST cannot reliably detect retroperitoneal bleeds or hollow viscus injuries. CT remains the gold standard for stable patients.
Explanation: **Explanation:** A **Tripod Fracture**, also known as a **Zygomaticomaxillary Complex (ZMC) fracture**, is a common facial injury typically resulting from direct blunt trauma to the cheek. The term "tripod" refers to the disruption of the three primary attachments of the zygoma to the rest of the facial skeleton. **Why Zygoma is Correct:** The zygomatic bone (cheekbone) is central to this fracture. The three fracture lines typically involve: 1. **Zygomaticofrontal suture:** Superiorly, at the lateral orbital rim. 2. **Zygomaticomaxillary suture:** Inferiorly, involving the infraorbital rim and the anterior wall of the maxillary sinus. 3. **Zygomaticotemporal suture:** Laterally, involving the zygomatic arch. *Note: Modern anatomy often includes a fourth point—the orbital floor/sphenozygomatic suture—leading some to prefer the term "tetrapod fracture."* **Why Other Options are Incorrect:** * **Mandible:** Mandibular fractures are often bilateral (e.g., "guardsman fracture") but do not follow the tripod pattern. * **Maxilla:** While the maxilla is involved in ZMC fractures, the primary bone displaced is the zygoma. Isolated maxillary fractures are usually classified under the **Le Fort** system. * **Nasal bone:** This is the most common facial fracture but involves the midline nasal bridge, not the lateral malar complex. **Clinical Pearls for NEET-PG:** * **Clinical Presentation:** Patients often present with flattening of the cheek, **infraorbital nerve anesthesia** (numbness of the upper lip/cheek), and **trismus** (difficulty opening the mouth due to impingement on the coronoid process). * **Imaging:** The **Water’s View** (occipitomental projection) is the classic X-ray used to visualize ZMC fractures, though **Non-contrast CT (NCCT) Face** is the gold standard. * **Complication:** Check for **diplopia** (double vision) due to entrapment of the inferior rectus muscle in the associated orbital floor fracture.
Explanation: ### Explanation **Correct Option: A. Ultrasound (USG)** The patient is presenting with **hemodynamic instability** (hypotension: 90/60 mmHg and tachycardia: 150 bpm) following blunt abdominal trauma. In an unstable patient, the primary goal is to rapidly identify the source of internal bleeding without moving the patient from the resuscitation area. The initial assessment tool of choice is **FAST (Focused Assessment with Sonography for Trauma)**. FAST is a rapid, bedside, non-invasive ultrasound examination used to detect free intraperitoneal or pericardial fluid (blood). It evaluates four areas: the Morison pouch (RUQ), the splenorenal recess (LUQ), the pelvis (suprapubic), and the pericardium (subxiphoid). **Why other options are incorrect:** * **B. CT Scan:** Although the "Gold Standard" for diagnosing solid organ injuries, it is **contraindicated in hemodynamically unstable patients**. The patient must be stable enough to be transported to the radiology suite ("Death in the Donut"). * **C. X-ray:** While a chest X-ray or pelvic X-ray is part of the primary survey, they cannot reliably detect hemoperitoneum or internal organ injury. * **D. MRI:** MRI has no role in the acute management of trauma due to its long acquisition time and incompatibility with resuscitation equipment. **Clinical Pearls for NEET-PG:** * **E-FAST:** An extension of FAST that includes the thorax to detect **pneumothorax** and **hemothorax**. * **Hemodynamically Stable + Trauma:** The investigation of choice is **CECT (Contrast-Enhanced CT)**. * **Hemodynamically Unstable + Positive FAST:** Proceed directly to **Emergency Laparotomy**. * **FAST Limitation:** It cannot reliably detect <250 ml of fluid and cannot distinguish between blood, urine, or ascites. It also poorly visualizes hollow viscus injuries and retroperitoneal bleeds.
Explanation: ***Blowout fracture*** - Classic coronal CT findings include the **teardrop sign** (herniated orbital fat into maxillary sinus) and **orbital floor disruption** with associated eye pain. - Typically occurs after **blunt trauma** to the orbit, causing increased intraorbital pressure and fracture of the thin orbital floor. *Maxillary sinusitis* - Would show **mucosal thickening** or **fluid levels** within the maxillary sinus, not orbital fat herniation. - Presents with **facial pain** and **nasal congestion** rather than isolated eye pain from orbital injury. *Neoplasm of the maxillary sinus* - Appears as a **soft tissue mass** with possible **bone destruction** and irregular margins on CT. - Typically presents with **chronic symptoms** like nasal obstruction and epistaxis, not acute eye pain in a young patient. *Orbital lipoma* - Shows as a **well-defined fatty mass** within the orbit with **homogeneous fat density** on CT. - Does not cause **orbital floor fracture** or herniation into the maxillary sinus, and is usually asymptomatic.
Explanation: **Explanation:** **Why CT is the correct answer:** Contrast-Enhanced Computed Tomography (CECT) is the **gold standard** and investigation of choice for evaluating splenic injury in hemodynamically stable patients. Its superiority lies in its high sensitivity and specificity (over 95%) for detecting parenchymal lacerations, subcapsular hematomas, and active extravasation of contrast ("blush"). Crucially, CT allows for the **grading of splenic injuries** (AAST Scale), which dictates whether a patient can be managed conservatively or requires surgical intervention. **Why other options are incorrect:** * **Ultrasonography (FAST):** While FAST (Focused Assessment with Sonography for Trauma) is the initial screening tool in the ER, it is primarily used to detect free intraperitoneal fluid (hemoperitoneum). It is poor at visualizing the splenic parenchyma directly and cannot reliably grade the injury. * **Diagnostic Peritoneal Lavage (DPL):** This is an invasive procedure used in hemodynamically unstable patients when ultrasound is unavailable. While sensitive for bleeding, it is non-specific (cannot identify the organ injured) and has been largely replaced by FAST and CT. * **Isotope Scan:** Technetium-99m sulfur colloid scans can show "cold spots" in splenic trauma, but they are time-consuming, lack detail, and are obsolete in acute emergency settings. **Clinical Pearls for NEET-PG:** * **Investigation of Choice (Stable):** CECT Abdomen. * **Investigation of Choice (Unstable):** FAST (if positive → Laparotomy). * **Most commonly injured organ** in blunt abdominal trauma: Spleen. * **Kehr’s Sign:** Referred pain to the left shoulder due to diaphragmatic irritation from splenic rupture. * **Ballance’s Sign:** Fixed dullness to percussion in the left flank and shifting dullness in the right flank.
Explanation: **Explanation:** The **"Tear Drop Sign"** is a classic radiological finding in **Orbital Floor Fractures** (specifically Blow-out fractures). It refers to a soft tissue mass hanging from the roof of the maxillary sinus on a Water’s view (occipitomental projection) or CT scan. This "teardrop" appearance is caused by the herniation of orbital fat and the **inferior rectus muscle** through the fractured orbital floor into the maxillary sinus. **Why the other options are incorrect:** * **Zygomatic bone fracture:** Typically presents with the "Tripod fracture" pattern (involving the zygomatic arch, inferior orbital rim, and zygomaticomaxillary buttress). It does not produce a localized teardrop herniation. * **Mandibular fracture:** These are usually diagnosed by identifying cortical breaks or displacement on an OPG (Orthopantomogram). Clinical signs include malocclusion and "step-off" deformities. * **Hyoid bone fracture:** A rare injury often associated with strangulation or direct neck trauma; it is diagnosed by lateral neck X-rays showing bone discontinuity, not sinus herniation. **High-Yield Clinical Pearls for NEET-PG:** * **Mechanism:** Blunt trauma to the eye (e.g., a cricket ball or fist) increases intraorbital pressure, causing the thin orbital floor (maxillary bone) to "blow out." * **Clinical Sign:** Patients often present with **diplopia** (double vision) on upward gaze due to entrapment of the inferior rectus muscle and **enophthalmos** (sunken eye). * **Associated Nerve:** The **infraorbital nerve** is frequently involved, leading to anesthesia or paresthesia of the cheek and upper lip. * **Black Eyebrow Sign:** Another radiological sign of orbital fracture representing intraorbital emphysema (air from the sinuses entering the orbit).
Explanation: ***Fragment of the fractured tooth*** - Following **dental trauma** with fractured central incisors, **tooth fragments** can become embedded in the soft tissues, particularly the lip, and appear as **radiopaque** structures on radiographs. - **Soft tissue radiographs** are essential in dental trauma cases to locate embedded **tooth fragments** that require surgical removal to prevent infection and foreign body reaction. *Calculus in the salivary duct* - **Sialolithiasis** (salivary stones) typically occurs in **major salivary ducts** like Wharton's duct or Stensen's duct, not in lip tissue. - These stones are usually associated with **salivary gland swelling** and **pain during eating**, which are not consistent with this trauma case. *Irritational calcinosis of the lips* - **Irritational calcinosis** is a rare condition involving **calcium deposits** in soft tissues due to chronic irritation, not acute trauma. - This condition typically develops over **months to years** and would not appear immediately following dental trauma. *None of the above* - Given the **clinical history** of dental trauma with fractured incisors and swollen lip, the radiopaque structure is most likely a **tooth fragment**. - The **temporal relationship** between trauma and radiographic findings makes tooth fragment the most probable diagnosis.
Explanation: **Explanation:** In the initial assessment of a trauma patient, **Plain Radiography (X-ray)** remains the mainstay and the first-line imaging modality. This is primarily due to its widespread availability, portability (allowing for bedside imaging in the resuscitation bay), and speed. Under the **ATLS (Advanced Trauma Life Support)** guidelines, the "Trauma Series" of X-rays—specifically the **Chest X-ray (CXR)** and **Pelvis X-ray (PXR)**—is crucial for identifying life-threatening conditions like tension pneumothorax, massive hemothorax, or unstable pelvic fractures during the primary survey. **Analysis of Options:** * **B. CT (Computed Tomography):** While CT is the "gold standard" for definitive diagnosis of internal organ injuries and craniofacial trauma, it is not the initial mainstay. It requires a hemodynamically stable patient and transport to the radiology suite, making it unsuitable for the immediate primary survey of an unstable patient. * **C. MRI:** MRI has limited utility in acute trauma due to long scan times, incompatibility with life-support equipment (metallic objects), and poor sensitivity for cortical bone fractures or acute hemorrhage compared to CT. * **D. Radionuclide Imaging:** This is used for functional assessment (e.g., bone scans for occult fractures) and has no role in the emergency management of acute trauma. **High-Yield Clinical Pearls for NEET-PG:** * **The Trauma Series:** Traditionally included Lateral C-spine, CXR, and PXR. Modern protocols often prioritize **eFAST** (Extended Focused Assessment with Sonography for Trauma) alongside CXR and PXR. * **Cervical Spine:** In many centers, CT has replaced X-ray for C-spine clearance if the patient is already undergoing a CT Polytrauma scan. * **Golden Hour:** The goal of plain films in trauma is to identify "killable" injuries within the first hour of management.
Trauma Imaging Protocols
Practice Questions
Head Trauma Imaging
Practice Questions
Spine Trauma Imaging
Practice Questions
Chest Trauma Imaging
Practice Questions
Abdominal Trauma Imaging
Practice Questions
Musculoskeletal Trauma Imaging
Practice Questions
Non-traumatic Neurological Emergencies
Practice Questions
Non-traumatic Thoracic Emergencies
Practice Questions
Non-traumatic Abdominal Emergencies
Practice Questions
Vascular Emergencies
Practice Questions
Pediatric Emergency Imaging
Practice Questions
Imaging of Non-accidental Trauma
Practice Questions
Get full access to all questions, explanations, and performance tracking.
Start For Free