A 20-year-old young man presents with exertional dyspnea, headache, and giddiness. On examination, there is hypertension and LVH. X-ray chest shows notching of the anterior ends of the ribs. Which of the following represents the most likely diagnosis?
Left Pleural effusion is detected best in which position?
A single retrocardiac air-fluid level on a chest radiograph typically implies the presence of what?
Kerley B lines in a chest X-ray are a radiological feature of which of the following conditions?
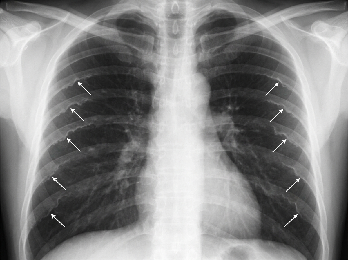
The sign marked by the arrows pointing to the ribs, in the provided chest X-ray, is diagnostic of which of the following conditions?

A 'tear drop heart' is seen in which of the following conditions?
The bone algorithm is used as a principle in which of the following modalities?
Hilar lymph nodes showing eggshell calcification are seen in all of the following EXCEPT?
Hilar markings in a normal chest X-ray are formed by all of the following except:
What is the best method for detecting minimal bronchiectasis?
Explanation: ### Explanation **Correct Answer: C. Coarctation of the aorta** The clinical presentation of hypertension in a young male, left ventricular hypertrophy (LVH), and specific rib changes is classic for **Coarctation of the Aorta**. In this condition, there is a narrowing of the aorta (usually distal to the left subclavian artery). To bypass the obstruction, extensive collateral circulation develops via the internal mammary and intercostal arteries. The **dilated, tortuous intercostal arteries** erode the lower margins of the ribs, leading to the characteristic **"Rib Notching" (Roesler’s Sign)**. * **Key Detail:** Notching typically involves the **3rd to 8th ribs**. It is seen on the **inferior/posterior** aspect (though the question mentions "anterior ends," in standard radiology, it is the inferior-posterior aspect of the ribs that is classically notched). * **Radiological Sign:** The "Figure of 3" sign on X-ray (pre-stenotic and post-stenotic dilatation) and the "E-sign" on barium swallow. **Why other options are incorrect:** * **A. Pheochromocytoma:** While it causes hypertension and headache, it does not produce collateral circulation or rib notching. * **B. Carcinoid syndrome:** Presents with flushing, diarrhea, and right-sided heart failure; it has no association with rib notching or aortic narrowing. * **D. Superior mediastinal syndrome:** Usually caused by a mass obstructing the SVC. While it may show dilated neck veins, it does not cause lower-body hypertension or the specific rib notching pattern seen in coarctation. **High-Yield Clinical Pearls for NEET-PG:** * **Rib Notching (Inferior):** Coarctation of aorta, Blalock-Taussig shunt, or subclavian artery stenosis. * **Rib Notching (Superior):** Hyperparathyroidism, Polio, or Osteogenesis Imperfecta. * **Radio-femoral delay:** The hallmark physical exam finding in Coarctation. * **Turner Syndrome:** Frequently associated with Coarctation of the Aorta (approx. 15-20% of cases).
Explanation: **Explanation:** The detection of pleural effusion on a radiograph depends on the volume of fluid and the patient's positioning. In a standard upright chest X-ray, fluid gravitates to the base, first obscuring the costophrenic angle. However, the **Lateral Decubitus view** is the most sensitive radiographic projection for detecting small amounts of free-flowing pleural fluid. **Why Left Lateral Decubitus is correct:** In this position, the patient lies on their left side. Gravity causes free-flowing pleural fluid to layer along the dependent (lowest) lateral chest wall. This creates a distinct linear opacity between the lung and the ribs. This view can detect as little as **5–10 mL** of fluid, whereas an upright PA view requires at least 150–200 mL to blunt the costophrenic angle. **Analysis of Incorrect Options:** * **Supine:** In a supine position, fluid layers posteriorly. This results in a vague, ground-glass opacification ("veiling opacity") of the entire hemithorax, making it difficult to quantify or confirm small effusions. * **Axial:** While CT scans (axial slices) are highly sensitive, the question refers to standard radiographic positions. Furthermore, "axial" is a plane of imaging, not a patient position used for conventional X-rays. * **Right Lateral Decubitus:** This would be used to detect a **right-sided** effusion. If a patient with a left effusion lies on their right side, the fluid moves toward the mediastinum, making it harder to visualize. **Clinical Pearls for NEET-PG:** * **Minimum fluid for detection:** * Lateral Decubitus: 5–10 mL (Most sensitive X-ray) * Lateral View (Upright): 50–75 mL (Blunts posterior costophrenic sulcus) * PA View (Upright): 150–200 mL (Blunts lateral costophrenic angle) * **USG Chest** is more sensitive than X-ray and is the gold standard for bedside localization and guided aspiration. * **Subpulmonic effusion:** Suspect this if there is "apparent" elevation of the diaphragm with the apex of the curve shifted laterally.
Explanation: **Explanation:** The presence of a **retrocardiac air-fluid level** on a frontal chest X-ray is a classic radiological sign of a **sliding hiatal hernia**. In this condition, the gastroesophageal junction and a portion of the gastric fundus protrude through the esophageal hiatus into the posterior mediastinum. On a radiograph, the herniated stomach appears as a soft tissue mass containing an air-fluid level, situated directly behind the heart shadow (often overlapping the cardiac silhouette). **Analysis of Options:** * **Sliding Hiatal Hernia (Correct):** This is the most common cause of a retrocardiac gas bubble. It is typically an incidental finding but can be associated with GERD. * **Gastric Volvulus:** While this also involves the stomach in the chest, it usually presents with a much larger, "upside-down" stomach, often with two distinct air-fluid levels and acute clinical symptoms (Borchardt's triad), rather than a simple retrocardiac bubble. * **Pericardial Effusion:** This manifests as a "water-bottle" heart or globular enlargement of the cardiac silhouette. It does not contain air-fluid levels unless there is a rare infection by gas-forming organisms (pneumopericardium). * **Lung Abscess:** While these contain air-fluid levels, they are typically located within the lung parenchyma (peripheral) rather than the midline retrocardiac space. **NEET-PG High-Yield Pearls:** * **Lateral View:** Always confirm a hiatal hernia on a lateral X-ray; it will be seen in the **posterior mediastinum**. * **Differential Diagnosis:** A retrocardiac air-fluid level can also be seen in **Achalasia Cardia** (dilated esophagus with food debris) or an **epiphrenic diverticulum**. * **Morgagni Hernia:** Occurs anteriorly (retrosternal), whereas **Bochdalek Hernia** occurs posteriorly (usually on the left) and is more common in neonates.
Explanation: **Explanation:** **Kerley B lines** are short (1–2 cm), thin, horizontal peripheral lines seen at the lung bases, perpendicular to the pleural surface. They represent **interstitial edema** caused by the thickening of the interlobular septa due to fluid accumulation or cellular infiltration. 1. **Why Mitral Regurgitation (MR) is correct:** Chronic or acute Mitral Regurgitation leads to increased pressure in the left atrium, which is transmitted backward into the pulmonary veins (**Pulmonary Venous Hypertension**). This increased hydrostatic pressure causes fluid to leak into the pulmonary interstitium, manifesting as Kerley B lines on a chest X-ray. It is a classic sign of congestive heart failure (CHF). 2. **Analysis of Incorrect Options:** * **Respiratory failure:** This is a clinical diagnosis based on blood gases (hypoxia/hypercapnia). While some causes (like ARDS) show opacities, Kerley B lines are not a primary diagnostic feature of respiratory failure itself. * **Renal failure:** While fluid overload in renal failure *can* cause pulmonary edema, it typically presents with more diffuse, central "bat-wing" opacities rather than isolated septal lines, unless it leads to secondary heart failure. * **Liver failure:** Usually presents with pleural effusions (hepatic hydrothorax) or basal atelectasis, but not typically with interstitial septal thickening. **High-Yield Clinical Pearls for NEET-PG:** * **Kerley A lines:** Longer (2–6 cm) lines radiating from the hila toward the periphery (represent lymphatic congestion). * **Differential Diagnosis for Kerley B lines:** Remember the mnemonic **"CHAL"**: **C**HF (most common), **H**odgkin’s lymphoma/Lymphangitic carcinomatosis, **A**lveolar proteinosis, and **L**ymphangiectasia. * **Stages of Pulmonary Edema on CXR:** 1. Cephalization (Upper lobe venous diversion). 2. Kerley B lines (Interstitial edema). 3. Bat-wing appearance (Alveolar edema).
Explanation: ***Coarctation of aorta*** - **Rib notching** (Roesler's sign) occurs due to **dilated intercostal arteries** that serve as collateral circulation, eroding the **inferior margins of ribs 3-8**. - This classic radiological finding develops as intercostal arteries enlarge to bypass the **aortic narrowing**, creating characteristic scalloping of the rib undersurfaces. *Hyperthyroidism* - Causes **osteoporosis** and **generalized bone demineralization**, not specific rib notching or erosion patterns. - Chest X-ray may show **cardiomegaly** or **enlarged thyroid**, but intercostal artery dilatation does not occur. *Chronic renal failure* - Results in **renal osteodystrophy** with **rugger jersey spine**, **brown tumors**, and **looser zones**, not rib notching. - Bone changes are metabolic in nature due to **hyperparathyroidism** and **vitamin D deficiency**, not vascular collateralization. *Multiple myeloma* - Produces **punched-out lytic lesions** and **pathological fractures** throughout the skeleton, including ribs. - Creates **discrete round lesions** rather than the smooth **inferior rib erosions** characteristic of vascular notching.
Explanation: **Explanation:** The **'tear drop heart'** (also known as a vertical or pendulous heart) is a classic radiological sign of **Chronic Emphysema** or Chronic Obstructive Pulmonary Disease (COPD). **Why Chronic Emphysema is correct:** In emphysema, there is permanent enlargement of air spaces and destruction of alveolar walls, leading to **hyperinflation** of the lungs. This hyperinflation causes the diaphragm to become flattened and pushed downwards. As the diaphragm descends, it pulls the mediastinum and the heart inferiorly. Consequently, the heart appears elongated, narrow, and centrally placed, resembling a "tear drop." **Why the other options are incorrect:** * **Pulmonary Vein Obstruction:** Typically leads to pulmonary venous hypertension, characterized by Kerley B lines and cephalization of pulmonary vessels (Antler sign), not a narrow heart. * **Mitral Incompetence:** Causes volume overload of the left atrium and left ventricle, leading to **cardiomegaly** (enlarged heart), specifically a "double atrial shadow" and an enlarged left ventricular contour. * **Constrictive Pericarditis:** While the heart size may be normal or small, the hallmark radiological sign is **pericardial calcification**. It does not typically produce the elongated "tear drop" morphology associated with lung hyperinflation. **High-Yield Clinical Pearls for NEET-PG:** * **Other CXR signs of Emphysema:** Flattened diaphragms (best seen on lateral view), increased retrosternal airspace (>2.5 cm), "saber-sheath" trachea, and pruning of peripheral vessels. * **Narrow Heart Differential:** Besides emphysema, a narrow heart can be seen in severe dehydration, Addison's disease, and during an acute asthmatic attack. * **Water Bottle Heart:** Seen in massive Pericardial Effusion. * **Egg-on-a-string Appearance:** Seen in Transposition of Great Arteries (TGA).
Explanation: **Explanation:** The core principle of **High-Resolution Computed Tomography (HRCT)** is to maximize spatial resolution to visualize the fine details of the lung parenchyma (such as the secondary pulmonary lobule). To achieve this, HRCT utilizes a specific reconstruction algorithm known as the **Bone Algorithm (High-Spatial-Frequency Reconstruction Algorithm)**. **Why HRCT is the correct answer:** Unlike standard CT, which uses a "soft tissue" or "smoothing" algorithm to reduce noise, the bone algorithm sharpens the edges of structures. This increases the visibility of fine lines, small nodules, and bronchial walls. While this process increases image "noise," it provides the high spatial resolution necessary to diagnose interstitial lung diseases. Additionally, HRCT uses very thin collimation (1–2 mm) to minimize volume averaging. **Why other options are incorrect:** * **Spiral (Helical) CT and Multidetector CT (MDCT):** These refer to the *hardware and acquisition method* (continuous rotation and multiple detector rows) rather than the reconstruction algorithm. While HRCT can be performed on an MDCT scanner, the "bone algorithm" is the specific mathematical principle that defines the "High Resolution" aspect. * **Dual Source CT:** This involves two X-ray sources and two detectors used primarily to reduce temporal resolution (for cardiac imaging) or for material decomposition (Dual Energy CT). It is not defined by the bone algorithm. **High-Yield Clinical Pearls for NEET-PG:** * **HRCT Parameters:** Thin slices (1-2 mm), High-spatial-frequency (Bone) algorithm, and increased kVp/mAs. * **Secondary Pulmonary Lobule:** The smallest functional unit of the lung visible on HRCT (approx. 1–2.5 cm). * **Golden Rule:** If a question asks about the "best initial investigation" for interstitial lung disease (ILD) or bronchiectasis, the answer is almost always **HRCT**.
Explanation: **Explanation:** The hallmark of **eggshell calcification** is the peripheral rim-like calcification of the periphery of a lymph node (usually hilar or mediastinal). This finding is highly characteristic of specific granulomatous and occupational diseases. **Why Aspergillosis is the Correct Answer:** Aspergillosis typically presents as a fungus ball (aspergilloma) in a pre-existing cavity, allergic bronchopulmonary aspergillosis (ABPA), or invasive disease. While it can cause pulmonary nodules or consolidation, it is **not** associated with eggshell calcification of lymph nodes. **Analysis of Other Options:** * **Sarcoidosis:** A common cause of eggshell calcification (seen in ~5% of cases). It typically presents with bilateral hilar lymphadenopathy. * **Histoplasmosis:** A fungal infection that, like tuberculosis, can cause granulomatous inflammation leading to various patterns of nodal calcification, including the eggshell type. * **Radiation-induced Mediastinal Lymphoma:** Patients treated with radiotherapy for Hodgkin lymphoma can develop eggshell calcifications in the mediastinal nodes years after treatment. **High-Yield Clinical Pearls for NEET-PG:** * **Most Common Cause:** **Silicosis** is the most classic and frequent cause of eggshell calcification. * **Coal Worker’s Pneumoconiosis (CWP):** Another occupational lung disease where this pattern is frequently seen. * **Differential Diagnosis Mnemonic (S-H-I-P-S):** **S**ilicosis, **H**istoplasmosis, **I**rradiation (Lymphoma), **P**neumoconiosis (Coal worker's), **S**arcoidosis. * **Blastomycosis and Scleroderma** are rarer causes sometimes mentioned in advanced texts.
Explanation: The **hilar shadows** (hila) on a normal frontal chest X-ray are primarily composed of vascular and airway structures. Understanding the anatomical composition of the hilum is a high-yield topic for NEET-PG. ### **Why "Lower lobe veins" is the correct answer:** In a normal chest X-ray, the pulmonary veins do **not** contribute to the formation of the hilar shadow. The pulmonary veins (both superior and inferior) are situated **inferior and anterior** to the hila. They drain directly into the left atrium, crossing the hilar region at a level below the main hilar opacity. Therefore, they are not considered part of the "hilar markings" seen on a radiograph. ### **Analysis of Incorrect Options:** * **Pulmonary Artery (A):** This is the **main component** of the hilar shadow. The left pulmonary artery is higher than the right, which explains why the left hilum is normally higher than the right in 90% of individuals. * **Bronchi (B):** The major bronchi are central structures that pass through the hilum. While they are air-filled (radiolucent), their walls and the surrounding connective tissue contribute to the density and structure of the hilar region. * **Upper lobe veins:** (Note: Option C and D were identical in the prompt, but conceptually) While pulmonary veins generally sit lower, the **superior pulmonary veins** can occasionally overlap with the hilar shadow, but the **lower lobe veins** are definitively excluded as they are clearly inferior to the hilar point. ### **NEET-PG High-Yield Pearls:** 1. **Hilar Height:** The left hilum is higher than the right (due to the left pulmonary artery arching over the left main bronchus). If the right hilum is higher than the left, it is always pathological (e.g., collapse or fibrosis). 2. **Hilar Point:** The angle formed by the meeting of the superior pulmonary vein and the descending pulmonary artery. 3. **Components of Hilum:** Pulmonary arteries, bronchi, lymph nodes (not visible unless enlarged), and nerves. Pulmonary veins are **not** part of the radiographic hilum.
Explanation: **Explanation:** **1. Why CT Scan is the Correct Answer:** High-Resolution Computed Tomography (HRCT) is the **gold standard** and the investigation of choice for diagnosing bronchiectasis. It has a sensitivity and specificity of over 95%. HRCT can detect "minimal" or early changes such as bronchial wall thickening and lack of tapering (cylindrical bronchiectasis) that are invisible on conventional imaging. Key diagnostic signs on CT include the **"Signet Ring Sign"** (bronchial diameter > adjacent pulmonary artery) and the visualization of bronchi within 1 cm of the costal pleura. **2. Why Other Options are Incorrect:** * **Bronchogram:** Historically the gold standard, it involved injecting contrast into the bronchi. It is now **obsolete** because it is invasive, carries a risk of bronchospasm, and HRCT provides superior detail non-invasively. * **Radionuclide Lung Scan:** Primarily used for assessing ventilation-perfusion (V/Q) mismatch in pulmonary embolism or lung volume quantification. It lacks the anatomical resolution to detect structural bronchial dilation. * **Chest X-ray:** Often the initial investigation, but it is **insensitive** for minimal disease. It only shows advanced findings like "Tram-track" opacities or "Ring shadows." A normal chest X-ray does not rule out bronchiectasis. **3. NEET-PG High-Yield Pearls:** * **HRCT Protocol:** Uses thin slices (1–2 mm) to maximize spatial resolution. * **Most Common Pattern:** Cylindrical bronchiectasis is the most common; Cystic (Saccular) is the most severe. * **Kartagener Syndrome:** A classic triad associated with bronchiectasis: Situs inversus, Chronic sinusitis, and Bronchiectasis. * **ABPA:** Look for "Finger-in-glove" appearance and central bronchiectasis on CT.
Normal Chest Radiographic Anatomy
Practice Questions
Radiographic Signs in Chest Imaging
Practice Questions
Pulmonary Infections
Practice Questions
Chronic Obstructive Pulmonary Disease
Practice Questions
Interstitial Lung Diseases
Practice Questions
Pulmonary Neoplasms
Practice Questions
Pleural Diseases
Practice Questions
Mediastinal Pathology
Practice Questions
Congenital and Developmental Chest Anomalies
Practice Questions
Pulmonary Vascular Diseases
Practice Questions
Chest Trauma Imaging
Practice Questions
Post-Surgical Chest Imaging
Practice Questions
Get full access to all questions, explanations, and performance tracking.
Start For Free