Rib notching is typically found in which of the following conditions?
Which of the following does NOT cause a homogenous opacity on X-ray?
What is the name of the sign that shows eggshell calcification?
What is the best view for the tracheo-esophageal groove?
A 22-year-old woman has experienced increasing dyspnea for the past 2 months. On physical examination, she is afebrile and normotensive. Inspiratory wheezes are noted on auscultation of the chest. A chest CT scan shows an 8x10 cm posterior mediastinal mass that impinges on the trachea and esophagus. A mediastinoscopy is performed, and a biopsy of the mass microscopically shows scattered large multinucleated cells, with prominent nucleoli that mark with CD15, and lymphocytes and macrophages separated by dense collagenous bands. Which of the following cells is most likely to be seen microscopically in this biopsy specimen?
A 45-year-old man presents with a 3-day history of breathlessness, fever, and dry cough. He recently traveled to China. Nasal and throat swabs have been collected, and a chest CT scan has been performed. Which of the following CT chest findings is most likely to be observed in this patient?
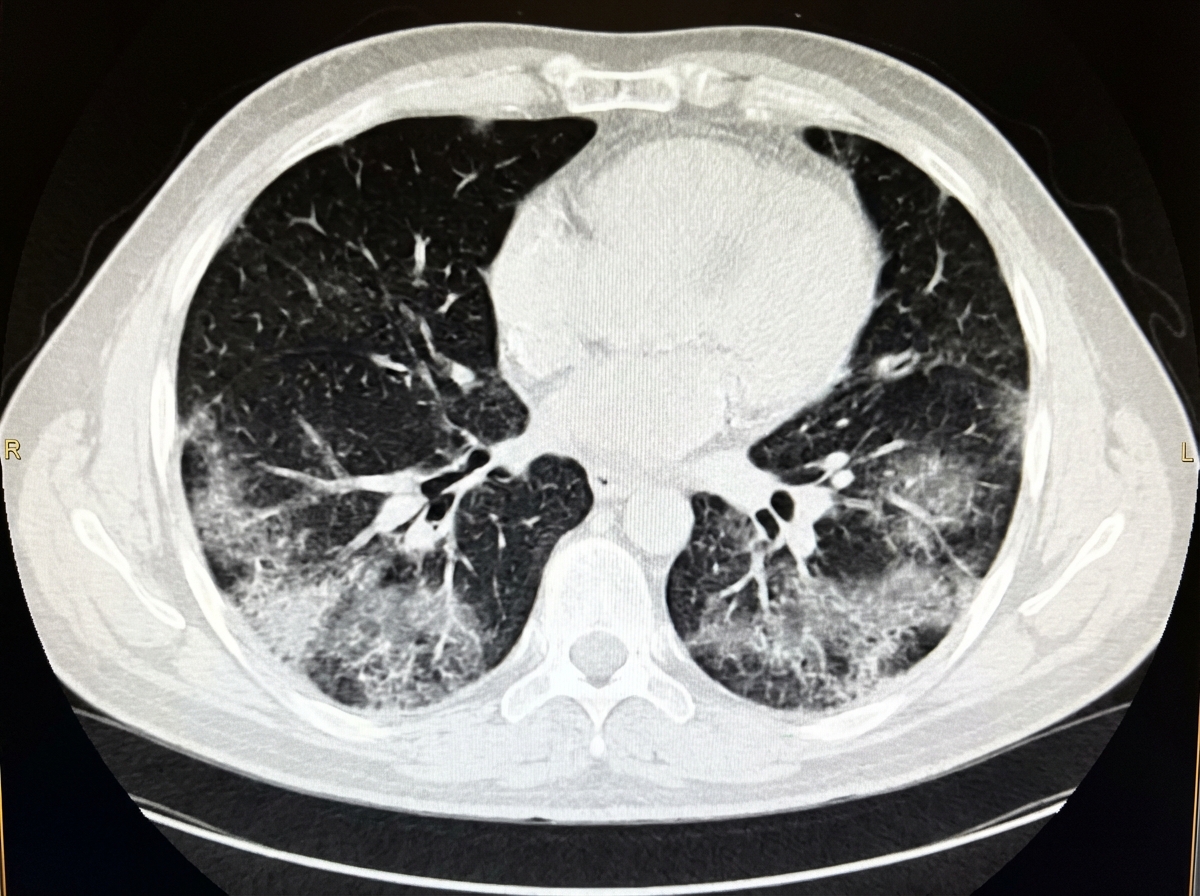
A cruise ship passenger who is a known smoker presents with fever, cough, and shortness of breath for the last 4 days. What do the provided CT chest findings suggest?

Which of the following is NOT a differential diagnosis for a middle mediastinal mass?
All of the following are true regarding bronchial cysts, EXCEPT:
Hampton hump is a characteristic finding in which of the following conditions?
Explanation: **Explanation:** **Rib notching** is a radiological sign characterized by erosion of the margin of the ribs. It is broadly classified into superior and inferior rib notching. **Why Lymphangiomyomatosis (LAM) is correct:** While classic teaching associates rib notching with vascular conditions, **Lymphangiomyomatosis (LAM)** is a rare multisystem disease characterized by the proliferation of abnormal smooth muscle-like cells. In LAM, rib notching (specifically superior rib notching) occurs due to the pressure effect of dilated lymphatic vessels or lymphangiomas along the rib margins. It is a recognized, albeit less common, pulmonary manifestation of the disease. **Analysis of Incorrect Options:** * **A. Neurofibromatosis:** While Neurofibromatosis Type 1 (NF1) is associated with rib abnormalities, the classic finding is **"rib ribboning"** (twisted, thin ribs) rather than standard notching, though intercostal neurofibromas can occasionally cause localized pressure erosion. * **C. Aortic Aneurysm:** Aneurysms typically cause localized erosion of adjacent structures (like vertebrae) but are not a classic or systemic cause of generalized rib notching. * **D. Aortic Obstruction:** This is a distractor. While **Coarctation of the Aorta** (a form of obstruction) is the most common cause of *inferior* rib notching due to dilated intercostal arteries, the term "Aortic obstruction" is non-specific. In the context of this specific question, LAM is the preferred academic answer for superior/atypical notching patterns. **NEET-PG High-Yield Pearls:** * **Inferior Rib Notching (3rd–9th ribs):** Most commonly caused by **Coarctation of the Aorta** (Roesler’s sign). It is bilateral. Unilateral right-sided notching suggests coarctation proximal to the left subclavian artery. * **Superior Rib Notching:** Associated with connective tissue diseases (SLE, RA), hyperparathyroidism, and **Lymphangiomyomatosis**. * **LAM Triad:** Cystic lung disease, chylous pleural effusion, and angiomyolipomas (often renal). It primarily affects females of childbearing age.
Explanation: ### Explanation **Correct Answer: D. Emphysema** The term **"homogenous opacity"** on a chest X-ray refers to a uniform, white appearance (increased density) where the underlying lung markings are obscured. **Why Emphysema is the correct answer:** Emphysema is characterized by the permanent enlargement of airspaces distal to the terminal bronchioles and the destruction of alveolar walls. This leads to **air trapping** and **hyperinflation**. On an X-ray, air appears black (radiolucent). Therefore, emphysema presents as **bilateral hyperlucency** (increased blackness), flattened diaphragms, and a tubular heart, rather than an opacity. **Analysis of Incorrect Options:** * **Pleural Effusion:** Fluid accumulation in the pleural space appears as a dense, uniform white area (homogenous opacity) with a characteristic concave upper border (Ellis-Damoiseau line) and obliteration of the costophrenic angle. * **Massive Consolidation:** When alveoli are filled with fluid, pus, or blood (e.g., lobar pneumonia), it creates a uniform white density. While air bronchograms may be present, the overall appearance is that of a homogenous opacity. * **Diaphragmatic Hernia:** When abdominal contents (like the liver or fluid-filled bowel loops) herniate into the chest cavity, they displace the lung and appear as a dense, homogenous mass-like opacity on the affected side. **High-Yield Facts for NEET-PG:** * **Homogenous Opacity:** Think "Fluid or Solid" (Effusion, Consolidation, Collapse, Tumor). * **Hyperlucency:** Think "Air" (Emphysema, Pneumothorax, Bullae). * **Signet Ring Sign:** Seen in Bronchiectasis (CT). * **Golden S-Curve:** Seen in right upper lobe collapse due to a central mass. * **Deep Sulcus Sign:** Indicative of pneumothorax in a supine patient.
Explanation: **Explanation:** **Eggshell calcification** refers to a distinctive radiological pattern where calcium deposits form a thin, peripheral rim around the periphery of a lymph node (usually hilar or mediastinal). This occurs due to the dystrophic calcification of the lymph node capsule. **Why the correct answer is right:** The term "Eggshell calcification" is both the description and the diagnostic sign itself. It is most classically associated with **Silicosis** and **Coal Worker’s Pneumoconiosis (CWP)**. In these conditions, inhaled inorganic dust particles are taken up by macrophages and transported to lymph nodes, triggering a fibrotic and calcific reaction. **Analysis of Incorrect Options:** * **Homans sign:** A clinical (not radiological) sign where calf pain is elicited upon dorsiflexion of the foot; it is a classic but non-specific indicator of **Deep Vein Thrombosis (DVT)**. * **Angel wing sign (Batwing sign):** Refers to bilateral perihilar opacities with peripheral sparing, typically seen in **Pulmonary Edema** or alveolar hemorrhage. * **Deep sulcus sign:** An important radiological sign of **Pneumothorax** on a supine chest X-ray, where the costophrenic angle appears abnormally deepened and lucent. **High-Yield Clinical Pearls for NEET-PG:** * **Differential Diagnosis for Eggshell Calcification:** 1. Silicosis (Most common) 2. Coal Worker’s Pneumoconiosis 3. Sarcoidosis (5% of cases) 4. Post-irradiation (Hodgkin Lymphoma) 5. Treated Blastomycosis * **Silicosis Association:** Remember that patients with silicosis have an increased risk of developing **Tuberculosis** (Silicotuberculosis) due to impaired macrophage function. * **PMF:** Progressive Massive Fibrosis is a complication of silicosis characterized by large conglomerate masses in the upper lobes.
Explanation: The **Tracheo-esophageal (TE) groove** is a critical anatomical space located between the trachea and the esophagus. In chest radiology, particularly during a barium swallow or on a lateral chest X-ray, this space is best evaluated by observing the posterior border of the heart. ### **Why "Left Atrial" is Correct** The **Left Atrium** is the most posterior chamber of the heart. It lies directly anterior to the esophagus. When the left atrium enlarges (e.g., in Mitral Stenosis), it displaces the esophagus posteriorly and can obliterate or distort the tracheo-esophageal groove. Therefore, the "Left Atrial View" (specifically on a lateral projection or during a barium swallow) is the gold standard for visualizing the relationship between the heart and the TE groove. ### **Why Other Options are Incorrect** * **Right Atrial:** The right atrium forms the right heart border on a PA view and is located more anteriorly and to the right; it does not have a direct anatomical relationship with the TE groove. * **Left Ventricular:** The left ventricle forms the left lower border of the heart and the apex. While posterior, it is situated inferior to the left atrium and does not typically compress the TE groove. * **Right Ventricular:** The right ventricle is the most anterior chamber of the heart, lying directly behind the sternum. It has no proximity to the tracheo-esophageal structures. ### **High-Yield Clinical Pearls for NEET-PG** * **Mitral Stenosis:** The earliest radiological sign of left atrial enlargement on a barium swallow is **posterior displacement of the esophagus**. * **Ortner’s Syndrome:** Large left atrial enlargement can compress the left recurrent laryngeal nerve (which runs in the TE groove), leading to hoarseness of voice. * **Subcarinal Angle:** Left atrial enlargement also causes widening of the subcarinal angle (>90 degrees) and elevation of the left main bronchus.
Explanation: ### Explanation The clinical presentation and histopathology point toward **Hodgkin Lymphoma (HL)**, specifically the **Nodular Sclerosis** subtype. **1. Why the correct answer is right:** The biopsy describes "scattered large multinucleated cells with prominent nucleoli" (Reed-Sternberg cells) that are **CD15+ and CD30+**. The presence of **dense collagenous bands** (fibrosis) is the hallmark of the Nodular Sclerosis subtype, which is the most common form of HL, particularly in young women, and frequently presents as a large mediastinal mass. **Lacunar cells** are a specific variant of Reed-Sternberg cells characteristic of this subtype. They appear to sit in empty spaces (lacunae) created by formalin fixation, which causes their abundant pale cytoplasm to retract. **2. Why the incorrect options are wrong:** * **Atypical lymphocytes:** While seen in various lymphomas or viral infections (like Mononucleosis), they do not match the specific CD15+ multinucleated morphology or the fibrotic background described. * **Hairy cells:** These are associated with Hairy Cell Leukemia, characterized by "fried-egg" appearance and TRAP positivity, typically presenting with splenomegaly, not a mediastinal mass. * **Langerhans cells:** These are found in Langerhans Cell Histiocytosis (LCH). They have characteristic "coffee-bean" nuclei and are CD1a/S100 positive, often associated with Birbeck granules on EM. **3. Clinical Pearls for NEET-PG:** * **Nodular Sclerosis HL:** Most common subtype; affects young adults; female predominance; involves mediastinal lymph nodes. * **RS Cell Markers:** Classically **CD15+ and CD30+**; CD20 is usually negative (except in Lymphocyte Predominant type, which is CD20+ and CD15-/30-). * **Mediastinal Masses (The 4 Ts):** Thymoma, Teratoma, "Terrible" Lymphoma, and Thyroid masses. * **Radiology:** A "bulky" mediastinal mass in HL is defined as a mass width >1/3 of the internal transthoracic diameter.
Explanation: **Explanation:** The clinical presentation (fever, dry cough, breathlessness) and travel history suggest a viral pneumonia, specifically **COVID-19** (SARS-CoV-2). In the early to peak stages of viral pneumonias, the hallmark radiological finding is **Ground-Glass Opacification (GGO)**. **Why Option A is Correct:** GGO represents partial filling of air spaces or interstitial thickening without obscuring the underlying bronchovascular structures. In COVID-19, GGOs are typically **bilateral, peripheral, and subpleural** in distribution, predominantly involving the lower lobes. This occurs due to the inflammatory exudate within the alveolar spaces during the early phase of the infection. **Why Other Options are Incorrect:** * **B. Consolidation:** While seen in COVID-19, it usually indicates a later stage of the disease or secondary bacterial infection. It is characterized by the obscuration of underlying vessels. * **C. Traction Bronchiectasis:** This is a sign of **lung fibrosis** (chronic stage). It involves the irreversible dilatation of bronchi due to the pulling effect of surrounding fibrotic tissue. * **D. Subpleural Bands:** These are linear opacities often seen during the **organizing/healing phase** of the infection, representing architectural distortion rather than the acute presenting pathology. **High-Yield Clinical Pearls for NEET-PG:** * **CO-RADS Scale:** Used to categorize the level of suspicion for COVID-19 on CT (CO-RADS 5 is highly suggestive). * **Crazy Paving Pattern:** GGO with superimposed interlobular septal thickening; common as the disease progresses. * **Reverse Halo Sign (Atoll Sign):** A central area of GGO surrounded by a ring of consolidation; seen in organizing pneumonia. * **CT Severity Index:** Calculated out of a score of 25 (5 lobes × 5 points each) to predict prognosis.
Explanation: ***Ground glass opacities*** - **Ground glass opacities** are the hallmark CT finding in **viral pneumonia**, especially COVID-19, which commonly spreads in closed environments like cruise ships. - These bilateral, peripheral **hazy opacities** preserve underlying vascular markings and are characteristic of **acute inflammatory processes** affecting alveoli. *Tree in bud pattern* - Represents **bronchiolar spread** of infection, typically seen in **bacterial pneumonia** or **tuberculosis**, not viral pneumonia. - Appears as **branching linear opacities** resembling a budding tree, indicating **endobronchial spread** rather than alveolar involvement. *Traction bronchiectasis* - Indicates **chronic pulmonary fibrosis** with **scarring and distortion** of bronchi, not acute pneumonia. - Develops over **months to years** and represents **end-stage lung disease**, not an acute 4-day illness. *Hyperinflation with air trapping* - Classic finding in **obstructive lung diseases** like **COPD** or **emphysema**, common in chronic smokers. - Represents **chronic structural changes** with **increased lung volumes**, not acute infectious consolidation.
Explanation: To master mediastinal masses for NEET-PG, it is essential to understand the anatomical boundaries of the mediastinum (Felson’s or Shields’ classification). ### **Why Option D is Correct** **Neuroenteric cysts** are congenital lesions resulting from the failure of separation between the notochord and the foregut. They are classically located in the **posterior mediastinum**. A high-yield diagnostic clue for these cysts is their frequent association with vertebral anomalies (e.g., hemivertebrae, butterfly vertebrae, or scoliosis). ### **Analysis of Incorrect Options (Middle Mediastinal Masses)** The middle mediastinum contains the heart, great vessels, trachea, and major lymph nodes. * **A & C (Vascular Lesions):** Both a **tortuous innominate artery** and an **aortic arch aneurysm** are vascular structures located within the middle mediastinum. Any dilation or deviation of these vessels will manifest as a middle mediastinal mass on a chest X-ray. * **B (Bronchogenic Cyst):** These are the most common primary cysts of the mediastinum. They typically arise from abnormal budding of the ventral foregut and are most frequently found in the subcarinal or paratracheal regions (middle mediastinum). ### **High-Yield Clinical Pearls for NEET-PG** * **Anterior Mediastinum (The 4 Ts):** Thymoma, Teratoma (Germ cell tumors), Thyroid (Retrosternal goiter), and "Terrible" Lymphoma. * **Middle Mediastinum:** Lymphadenopathy (most common cause), Bronchogenic cysts, and Vascular anomalies. * **Posterior Mediastinum:** Neurogenic tumors (most common), Neuroenteric cysts, and Esophageal lesions. * **Water-bottle heart:** Classic sign of pericardial effusion (Middle mediastinum). * **Cervicothoracic Sign:** If a mass's upper border is visible above the clavicles, it is in the posterior mediastinum.
Explanation: **Explanation:** **Bronchogenic cysts** are congenital anomalies arising from the abnormal budding of the primitive foregut. **Why Option D is the Correct Answer (The Exception):** Bronchogenic cysts are characteristically **unilocular**, smooth-walled, spherical, or ovoid masses. They are typically filled with clear liquid or thick, proteinaceous mucoid material. Finding a **multilocular** cystic lesion should raise suspicion for other pathologies, such as a Congenital Pulmonary Airway Malformation (CPAM) or a lung abscess. **Analysis of Incorrect Options:** * **Option A (Seen in the mediastinum):** This is a true statement. The majority (approx. 70-85%) of bronchogenic cysts are located in the **mediastinum**, most commonly in the subcarinal or paratracheal regions. * **Option B (50-70% are within the lung):** While the majority are mediastinal, a significant portion (roughly 15-30%) are intrapulmonary. Note: Some textbooks vary on percentages, but the core concept is that they occur in both locations. In the context of this question, it is considered a "true" general characteristic compared to the definitive "unilocular" nature of the cyst. * **Option C (Bronchial structures are commonly affected):** This is true. Histologically, these cysts are lined by ciliated columnar epithelium and often contain cartilage, smooth muscle, and mucous glands in their walls—structures identical to the tracheobronchial tree. **NEET-PG High-Yield Pearls:** * **Water-lily sign:** Though classic for Hydatid cysts, if a bronchogenic cyst communicates with the airway and partially drains, it can show an air-fluid level. * **CT Appearance:** They typically show "water attenuation" (0–20 HU), but high protein/calcium content can result in high attenuation, mimicking a solid mass. * **Location:** Most common site is the **middle mediastinum**. * **Management:** Surgical excision is usually recommended even in asymptomatic patients to prevent complications like infection, hemorrhage, or rare malignant transformation.
Explanation: **Explanation:** **Hampton’s Hump** is a classic radiological sign of **Pulmonary Embolism (PE)**, specifically representing **pulmonary infarction**. It appears as a wedge-shaped, pleural-based opacification with its apex pointing toward the hilum. It is most commonly found in the lower lobes, particularly in the costophrenic angles. This occurs because the distal lung tissue loses its blood supply, leading to localized hemorrhage and necrosis. **Analysis of Options:** * **Pulmonary Embolism (Correct):** While the most common chest X-ray finding in PE is actually a normal scan, Hampton’s Hump is a highly specific (though less sensitive) sign of infarction. * **Pulmonary Tuberculosis:** Typically presents with apical infiltrates, cavitary lesions, or Ghon complexes. It does not produce the characteristic peripheral wedge-shaped infarct. * **Pulmonary Hemorrhage:** While infarction involves hemorrhage, diffuse pulmonary hemorrhage usually presents as bilateral, patchy alveolar opacities rather than a focal, wedge-shaped peripheral lesion. * **Bronchogenic Carcinoma:** Usually presents as a central or peripheral mass, hilar enlargement, or obstructive atelectasis, but lacks the specific morphology of a pleural-based "hump." **High-Yield Clinical Pearls for NEET-PG:** * **Westermark Sign:** Focal oligemia (decreased vascular markings) distal to the embolism; another specific sign of PE. * **Fleischner Sign:** Enlarged pulmonary artery due to a large thrombus. * **Palla’s Sign:** An enlarged right descending pulmonary artery. * **Gold Standard Investigation:** CT Pulmonary Angiography (CTPA) is the investigation of choice for PE. * **McConnell’s Sign:** A specific echocardiographic finding in PE (RV free wall akinesia with sparing of the apex).
Normal Chest Radiographic Anatomy
Practice Questions
Radiographic Signs in Chest Imaging
Practice Questions
Pulmonary Infections
Practice Questions
Chronic Obstructive Pulmonary Disease
Practice Questions
Interstitial Lung Diseases
Practice Questions
Pulmonary Neoplasms
Practice Questions
Pleural Diseases
Practice Questions
Mediastinal Pathology
Practice Questions
Congenital and Developmental Chest Anomalies
Practice Questions
Pulmonary Vascular Diseases
Practice Questions
Chest Trauma Imaging
Practice Questions
Post-Surgical Chest Imaging
Practice Questions
Get full access to all questions, explanations, and performance tracking.
Start For Free