What does the following CT chest show?

The following lung window in CT chest is taken in which phase of respiration?

The lung parenchyma on CT chest shown below is best described as:

An 18-year-old boy is brought to the hospital with difficulty in breathing after a bar fight. What does the given CT chest show?

What does the following CT chest show?

The following CT chest shows:

What is the most likely diagnosis based on the chest radiographs shown below?

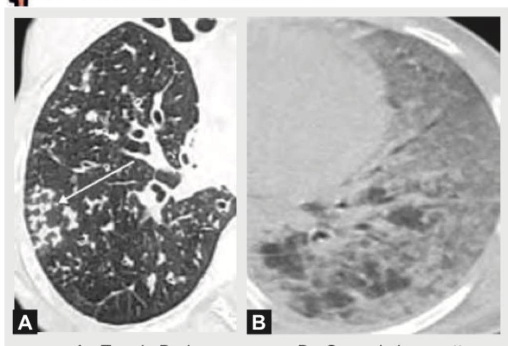
Which of the following is shown in the image below?

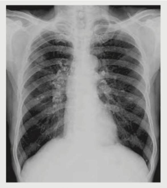
A 35-year-old lady presents with fever, skin rash and dyspnea on exertion for last 2 months. Her chest X-ray is shown below. What is the most likely diagnosis?

An AIDS patient presents with respiratory distress. CXR shows:

Explanation: ***Crazy pavement pattern*** - The image shows a **crazy paving pattern**, characterized by widespread **ground-glass opacities** superimposed with **thickened interlobular and intralobular septa**. - This pattern is highly suggestive of conditions like **pulmonary alveolar proteinosis** or acute interstitial pneumonias, indicating diffuse alveolar damage. *Honeycomb pattern* - **Honeycombing** refers to cyst-like spaces with thick, fibrous walls and is diagnostic of **fibrotic lung disease**, typically seen in later stages. - The image lacks the characteristic discrete, thick-walled cysts associated with honeycombing. *Signet ring pattern* - The **signet ring sign** is seen in **bronchiectasis**, where a dilated bronchus (the "ring") is accompanied by a smaller pulmonary artery (the "gemstone"). - This pattern is not visible in the provided image, which shows diffuse lung changes rather than localized bronchial dilatation. *Mosaic pattern* - A **mosaic pattern** typically describes areas of varying attenuation, often reflecting **air trapping** or infiltrative lung disease leading to perfusion defects. - While there are areas of varying density, they are specifically associated with septal thickening, which makes "crazy paving" a more accurate descriptor.
Explanation: ***End inspiratory phase*** - In the **end inspiratory phase**, the lungs are maximally expanded and appear quite dark (lucent) on CT, indicating a high volume of air. - The image shows expanded lung fields with numerous scattered opacities, which are better visualized against the well-aerated lung parenchyma, consistent with maximal inspiration. *End expiratory phase* - In an **end expiratory phase** CT, the lungs would appear smaller and denser due to reduced air volume, and structures would be more crowded, which is not seen here. - Expiratory CTs are typically used to detect **air trapping**, where areas of the lung remain abnormally lucent despite exhalation. *Mid inspiratory* - While showing some degree of lung expansion, a **mid inspiratory phase** would not demonstrate the maximal lucency and full expansion evident in the provided image. - It would be an intermediate state between maximal inspiration and expiration, with less overall lung volume than what is depicted. *Cannot be determined* - The distinct **appearance of the lung fields**, characterized by their large volume and lucency, strongly indicates the phase of respiration. - The visualization of scattered opacities suggests that imaging was performed to best demonstrate these findings within maximally inflated lungs.
Explanation: ***Crazy pavement pattern*** - The image distinctly shows a combination of **ground-glass opacities** and superimposed **interlobular septal thickening**, which together create the characteristic "crazy paving" appearance. - This pattern is most commonly associated with **pulmonary alveolar proteinosis**, but can also be seen in conditions like ARDS, PCP pneumonia, and lipoid pneumonia. *Honey comb pattern* - This pattern involves the presence of multiple, clustered, thick-walled **cysts** of varying sizes, typically subpleural, which are a sign of **end-stage lung fibrosis**. - While there are cystic changes in the image, the predominant finding includes ground-glass opacities and septal thickening rather than pure end-stage fibrotic changes. *Signet ring pattern* - A signet ring pattern is classically seen in **bronchiectasis**, where a dilated bronchus is paired with its accompanying smaller pulmonary artery, resembling a signet ring. - The image does not show clearly dilated bronchi adjacent to pulmonary arteries; instead, it displays diffuse parenchymal changes. *Mosaic pattern* - The mosaic pattern refers to areas of differing lung attenuation, often due to **air trapping** (causing dark areas) or areas of **perfusion abnormalities** (creating lighter areas), common in conditions like small airway disease or chronic thromboembolic disease. - While there is some heterogeneity, the specific combination of ground-glass and septal thickening is more accurately described as crazy paving.
Explanation: ***Pneumothorax*** - The CT image shows a clear **absence of lung parenchyma** extending to the chest wall, with a visible **visceral pleural line** separated from the parietal pleura. This indicates air in the pleural space, which is characteristic of a pneumothorax. - The patient presenting with **difficulty in breathing** after a bar fight (implying trauma) is consistent with a **traumatic pneumothorax**. *Consolidation* - **Consolidation** appears as a region of increased attenuation (whitening) on CT, usually with **air bronchograms**, indicating filling of alveolar spaces, which is not seen here. - While it can cause difficulty breathing, it results from infection or inflammation, not typically direct trauma creating an empty space like in the image. *Pulmonary contusion* - **Pulmonary contusion** would appear as areas of **ground-glass opacity** or **consolidation** within the lung parenchyma due to bleeding and edema, without a significant collapse of the lung. - The image distinctly shows a collapsed lung with a clear air-filled pleural space, not parenchymal injury. *Haemothorax* - A **hemothorax** would show a **fluid collection** (appearing white or grey) in the pleural space, often layering dependently, which is not the primary finding on this image where an air-filled space is prominent. - While a traumatic event could lead to both pneumothorax and hemothorax (**hemopneumothorax**), the most striking feature evident here is the air within the pleural cavity causing lung collapse.
Explanation: ***Ground glass appearance*** - The image displays hazy opacification of the lung parenchyma, where **bronchial and vascular margins remain visible**. This pattern is characteristic of ground-glass opacity, indicating partial filling of air spaces or interstitial thickening. - This finding is often associated with conditions like **pneumonitis**, early acute respiratory distress syndrome (ARDS), or some atypical infections, where there's fluid or cellular infiltrates in the alveoli without complete consolidation. *Honey comb pattern* - **Honeycomb lung** is characterized by the presence of multiple cystic airspaces with thick, fibrotic walls, typically occurring in subpleural and peripheral lung regions. - This pattern signifies **end-stage pulmonary fibrosis** and is distinct from the more widespread, hazy opacification seen in the provided image. *Signet ring pattern* - The **signet ring sign** is typically observed in **bronchiectasis**, where a dilated bronchus (the "ring") is accompanied by a smaller, adjacent pulmonary artery (the "gemstone"). - This pattern indicates irreversible widening of the airways and is not represented by the diffuse hazy lung changes in the image. *Crazy pavement pattern* - **Crazy paving** refers to a combination of widespread **ground-glass opacities superimposed on thickened interlobular septa and intralobular lines**. - While the image shows ground-glass change, the prominent and widespread septal thickening required to meet the criteria for crazy paving is not clearly evident throughout the affected areas.
Explanation: ***Option A: A= Tree in Bud appearance, B= Ground glass pattern*** - Image A clearly shows the **"tree-in-bud" appearance**, characterized by small centrilobular nodules and branching linear opacities, which is indicative of filling of the small bronchioles with mucus, pus, or fluid and is commonly seen in infectious or inflammatory conditions. - Image B presents a **ground glass pattern**, which is a hazy increase in lung attenuation with preservation of bronchial and vascular margins, suggesting partial filling of air spaces or interstitial thickening without obscuring the underlying structures. *Option B: A= Crazy pavement pattern, B= Tree in bud appearance* - While "tree-in-bud" is correctly identified for image A, **image B does not show a "tree-in-bud" appearance**. - The "crazy paving pattern" refers to ground-glass opacities superimposed on thickened interlobular septa, which is not depicted in either image. *Option C: A= Mosaic perfusion pattern, B= Crazy pavement pattern* - Image A does not show a **mosaic perfusion pattern**, which is characterized by areas of varying attenuation due to regional differences in lung perfusion and air trapping. - Image B does not represent a **crazy pavement pattern**, as it lacks the clear visualization of thickened interlobular septa within the ground-glass opacities. *Option D: A= Bronchovascular nodular pattern, B= Ground Glass pattern* - While image B correctly identifies the **Ground Glass pattern**, the description for image A as a **bronchovascular nodular pattern** is too broad and imprecise. - The specific morphology in image A, with its branching and nodular opacities, is best described by the "tree-in-bud" appearance rather than a generic bronchovascular nodular pattern.
Explanation: ***Segmental collapse*** - The frontal image shows a **wedge-shaped opacity** in the right upper lobe, and the lateral view reveals a **triangular area of increased density** consistent with collapsed lung tissue. - This pattern, particularly the triangular density on the lateral view and volume loss indicated by the position of the **minor fissure (white arrow)**, points towards segmental collapse. *Lung abscess* - A lung abscess typically presents as a **cavity with an air-fluid level**, which is not depicted in these images. - The lesion shown is mostly **solid and dense**, unlike the characteristic appearance of an abscess. *Lobar emphysema* - Lobar emphysema involves **overinflation of a lung lobe**, characterized by increased lucency and vascular attenuation, which is the opposite of the findings here. - There is no evidence of **air trapping** or **hyperinflation** in the images provided. *Bronchiectasis* - Bronchiectasis is characterized by **permanent abnormal dilation of the bronchi**, often seen as "tram tracks" or "ring" opacities on imaging. - The images do not show these specific findings; instead, they indicate a loss of lung volume.
Explanation: ***Westermark sign*** - This image displays a **dilated pulmonary artery proximal to an area of oligemia**, specifically noted in the upper right lung field, as indicated by the arrow. This finding is characteristic of the **Westermark sign**, which is suggestive of a **pulmonary embolism**. - The Westermark sign represents **distal collapse of the pulmonary vasculature** due to a reduction in blood flow, making the lung parenchyma appear unusually lucent compared to adjacent normal lung fields. *Palla sign* - The Palla sign refers to a **dilated right descending pulmonary artery** (interlobar artery) on a chest X-ray. While it is also associated with pulmonary embolism, the image prominently shows oligemia, the defining feature of the Westermark sign, not solely an enlarged artery. - This sign indicates **increased pulmonary artery pressure** due to the embolus, but the key feature in the provided image is the reduced vascularity distally, not just the proximal vessel size. *Hampton hump* - A Hampton hump is a **wedge-shaped pleural-based opacity** with a rounded convex border facing the hilum. - It results from a **pulmonary infarction** due to a large pulmonary embolus and is not visible in this image. *Round pneumonia* - Round pneumonia is a **circular or oval-shaped consolidation** that is typically seen in children and appears as a mass-like lesion. - It is an infectious process with consolidation of lung tissue and does not involve vascular abnormalities like oligemia, which is clearly depicted in the image.
Explanation: ***Sarcoidosis*** - The CXR shows **bilateral hilar lymphadenopathy** and **prominent reticulonodular infiltrates**, which are classic findings in sarcoidosis. - The patient's symptoms of **fever, skin rash, and dyspnea on exertion** are consistent with systemic manifestations of sarcoidosis, a multi-organ granulomatous disease. *Shrinking lung syndrome* - Characterized by **reduction in lung volumes** usually associated with systemic lupus erythematosus, which is not suggested by the CXR findings. - The image does not predominantly demonstrate reduced lung volumes, but rather prominent infiltrates and lymphadenopathy. *Rheumatoid lung* - While rheumatoid arthritis can cause various lung manifestations (e.g., nodules, interstitial lung disease, pleural effusions), massive **hilar lymphadenopathy is uncommon**. - The clinical presentation does not include features commonly associated with rheumatoid arthritis, such as **joint pain and swelling**. *Desquamative interstitial pneumonitis* - This condition is typically associated with **smoking** and presents with patchy ground-glass opacities, not the prominent hilar lymphadenopathy seen here. - Clinical symptoms often include **cough and dyspnea**, but less commonly fever and skin rash as primary complaints, and the key imaging features are different.
Explanation: ***Pneumocystis pneumonia*** - The chest X-ray shows **diffuse bilateral interstitial infiltrates**, which is a classic presentation of *Pneumocystis jirovecii pneumonia (PJP)* in an AIDS patient. - PJP is an **opportunistic infection commonly seen in immunocompromised individuals**, especially those with AIDS and low CD4 counts, presenting with respiratory distress. *Miliary TB* - Miliary TB would typically show **numerous small (1-3 mm), well-defined, uniformly distributed nodular opacities**, resembling millet seeds, which are not clearly visible here. - While TB is common in AIDS, the diffuse interstitial pattern is less characteristic of miliary spread. *Streptococcal pneumonia* - *Streptococcal pneumonia* often presents as **lobar consolidation with air bronchograms**, typically affecting one or more lobes, rather than the diffuse interstitial pattern seen in the image. - While it can occur in AIDS patients, the radiographic features are not consistent with this diagnosis. *Lymphocytic interstitial Pneumonitis* - *Lymphocytic interstitial pneumonitis (LIP)* is more common in **pediatric AIDS patients** and often presents with more pronounced **nodular or cystic changes** and interstitial infiltrates, but the primary pattern for this acute presentation of respiratory distress as seen would be PJP. - While it is a differential consideration in AIDS patients with interstitial lung disease, the abrupt onset of respiratory distress with diffuse infiltrates points more strongly to an acute infection.
Normal Chest Radiographic Anatomy
Practice Questions
Radiographic Signs in Chest Imaging
Practice Questions
Pulmonary Infections
Practice Questions
Chronic Obstructive Pulmonary Disease
Practice Questions
Interstitial Lung Diseases
Practice Questions
Pulmonary Neoplasms
Practice Questions
Pleural Diseases
Practice Questions
Mediastinal Pathology
Practice Questions
Congenital and Developmental Chest Anomalies
Practice Questions
Pulmonary Vascular Diseases
Practice Questions
Chest Trauma Imaging
Practice Questions
Post-Surgical Chest Imaging
Practice Questions
Get full access to all questions, explanations, and performance tracking.
Start For Free