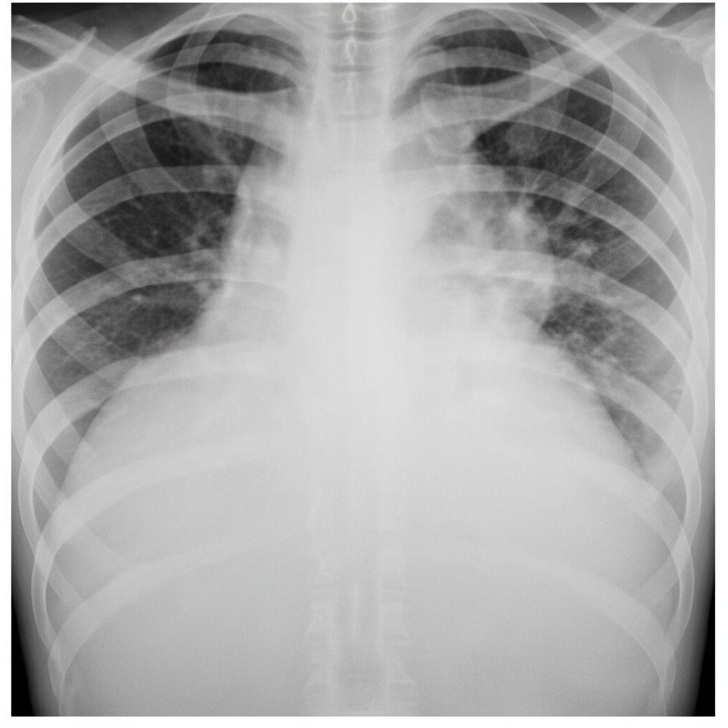
A patient presented with sudden onset difficulty in breathing with RR 28/min, normal blood pressure. X-ray was taken which is given below. What is the diagnosis?

Curve A signifies which of the following?

What is indicated by the 'water bottle appearance' of the heart size?

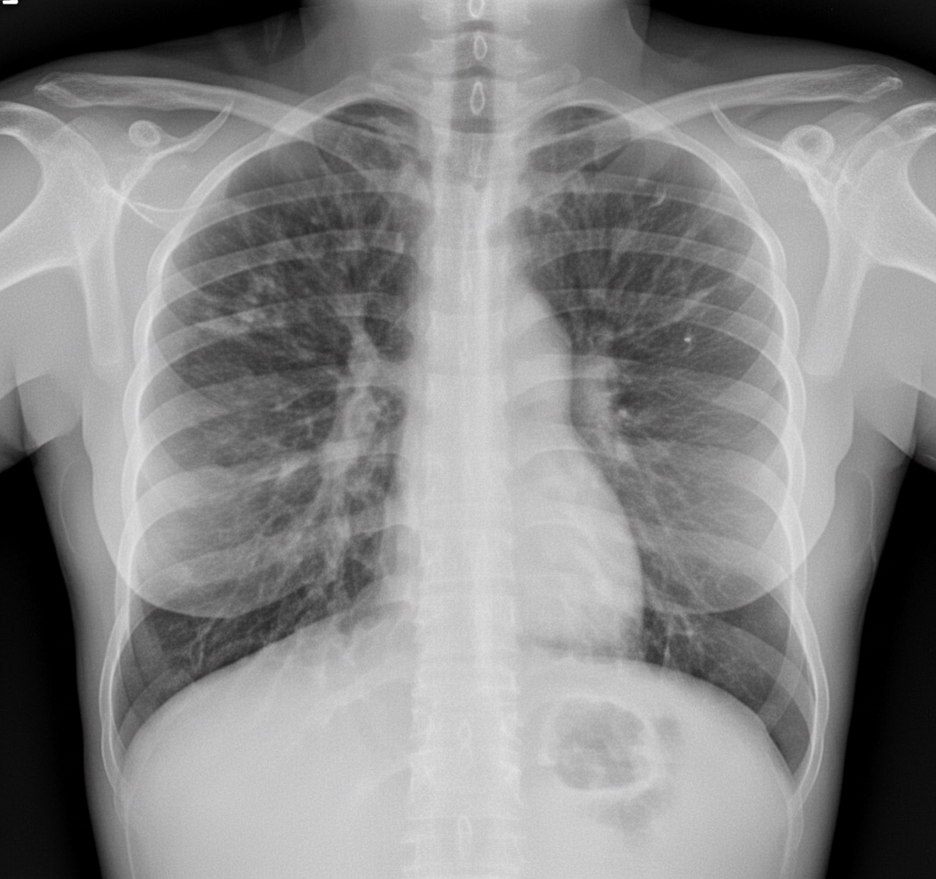
What does the CXR of a patient with cystic fibrosis show?

What does this CT chest image show?

The given contrast enhanced CT scan chest shows presence of:

A 30-year-old nephrotic syndrome patient travelled via a non-stop flight from San Francisco to New Delhi. On arrival at the destination, the patient started having difficulty in breathing and was rushed to the hospital. His $\mathrm{SpO}_{2}$ is $85\%$ and ECG shows sinus tachycardia with T wave inversion in lead III. CT chest was performed. What is the diagnosis?

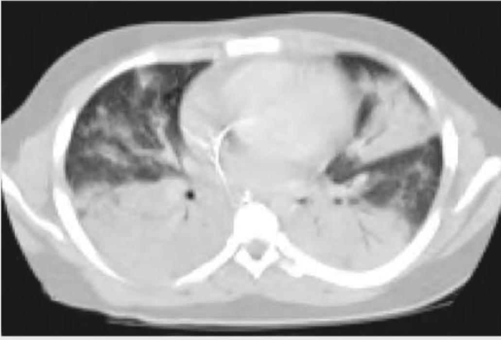
A cement slab fell on the chest of a 20-year-old construction worker. His condition deteriorated over the next 24 hours after admission. A repeat CT chest was performed. What does it show?

A cement slab fell on the chest of a 20-year-old construction worker. The arrow in the given CT chest points to:

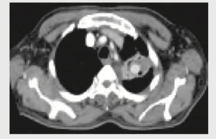
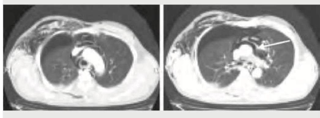
The arrow in the given CT chest points to:

Explanation: ***Hydro-pneumothorax*** - The chest X-ray clearly shows a **horizontal air-fluid level** in the right hemithorax, indicating the presence of both air (pneumothorax) and fluid (hydrothorax) within the pleural space. - The patient's sudden onset **difficulty in breathing** and **tachypnea (RR 28/min)** are consistent with significant lung pathology like a hydropneumothorax, which compromises lung function. *Pneumothorax* - A simple pneumothorax would show only **air in the pleural space**, characterized by a visible visceral pleural line and absence of lung markings beyond it. - While there is air present, the prominent **fluid level** rules out a diagnosis of pneumothorax alone. *Pleural effusion* - Pleural effusion presents as a **blunting of the costophrenic angles** and a meniscus sign, where fluid conforms to the shape of the thorax. - This image shows a **straight air-fluid level**, not a typical meniscus, indicating the presence of air in addition to fluid. *Consolidation* - Consolidation refers to the **filling of alveolar spaces with fluid or exudate**, appearing as an opacification within the lung parenchyma. - Consolidations typically do not present with a **horizontal fluid level** in the pleural space; they are intraparenchymal.
Explanation: ***Option (a) - Emphysema (Curve A is correct)*** - Curve A shows a **leftward shift** compared to the normal curve on the pressure-volume diagram - For any given transpulmonary pressure, a **higher lung volume** is achieved - This indicates **increased lung compliance** - the lungs are easier to inflate - Characteristic of **emphysema**, where there is **loss of elastic recoil** due to destruction of alveolar walls and elastic tissue - In emphysema, lungs inflate easily but have difficulty deflating due to loss of elastic recoil *Option (b) - Normal* - This would represent the **baseline normal pressure-volume curve** - Serves as a reference point to compare pathological states - Shows normal lung compliance and elastic recoil *Option (c) - Pulmonary Fibrosis* - This would show a **rightward shift** on the pressure-volume curve - For any given transpulmonary pressure, a **lower lung volume** is achieved - Indicates **decreased lung compliance** - the lungs are stiffer and harder to inflate - Characteristic of **restrictive lung diseases** like pulmonary fibrosis, where excessive collagen deposition makes lungs stiff *Option (d) - Other Pathological State* - This would represent another abnormal curve pattern - Could include conditions like ARDS, pneumothorax, or other restrictive/obstructive patterns - The specific interpretation depends on the curve shown in the image
Explanation: ***Pericardial effusion*** - The **'water bottle appearance'** (globular cardiac silhouette) on chest X-ray is **pathognomonic** for a large **pericardial effusion** - Fluid accumulates in the pericardial space surrounding the heart, causing **symmetrical enlargement** of the cardiac shadow in all directions - The cardiac silhouette appears **smooth, globular, and enlarged**, resembling a water bottle lying on its side - Other features include **loss of normal cardiac contours** and a **wide cardiac base** *Dilated cardiomyopathy* - Causes cardiomegaly but maintains **chamber-specific enlargement patterns** rather than globular symmetry - Cardiac contours remain visible with **prominent ventricular borders** - Does not produce the characteristic smooth, flask-like appearance *Congestive heart failure* - Shows **pulmonary vascular congestion**, pleural effusions, and Kerley B lines in addition to cardiomegaly - Cardiac enlargement is **chamber-dependent** based on underlying etiology - Lacks the smooth, globular silhouette of pericardial effusion *Left ventricular hypertrophy* - Causes **focal left-sided cardiac enlargement** with apical displacement - Maintains **normal cardiac contours** with visible chamber borders - Does not produce generalized globular enlargement
Explanation: ***Hyperinflation with bronchiectasis predominantly in upper lobes*** - Cystic fibrosis classically presents with **hyperinflation** (flattened diaphragm, increased anteroposterior diameter) due to chronic airway obstruction and air trapping - **Bronchiectasis with upper lobe predominance** is the hallmark feature, appearing as tramline shadows (dilated bronchi seen longitudinally) or ring shadows (dilated bronchi seen end-on) - Additional features include **peribronchial thickening**, **mucoid impaction**, and **cystic changes** in advanced disease - The upper lobe distribution distinguishes CF from other bronchiectasis causes *Bilateral pleural effusions with cardiomegaly* - This pattern suggests **congestive heart failure** or cardiac pathology - Not characteristic of cystic fibrosis, which primarily affects airways rather than cardiac structures *Bat wing pattern with Kerley B lines* - This describes **pulmonary edema** (cardiogenic or non-cardiogenic) - Kerley B lines represent interstitial edema, not seen in CF *Honeycombing in lower lobes with reticular opacities* - This pattern is typical of **usual interstitial pneumonia (UIP)** or **idiopathic pulmonary fibrosis** - CF affects upper lobes predominantly, not lower lobes, and causes bronchiectasis rather than fibrotic changes
Explanation: ***Segmental collapse*** - The CT image shows loss of lung volume in a specific segment, indicated by the **crowding of bronchi and vessels in the affected area**, which is suggestive of atelectasis or collapse. - The black arrow points to the collapsed segment, which appears as a **densified, airless region within the lung parenchyma**, consistent with segmental collapse. *Consolidation* - **Consolidation** typically presents as an area of increased opacification due to alveolar filling with exudate or fluid, but without significant loss of lung volume. - Unlike collapse, consolidation generally **retains the lung architecture** and does not show crowding of vessels and bronchi. *Pneumothorax* - A **pneumothorax** is characterized by the presence of air in the pleural space, which would appear as a dark, air-filled space between the lung and the chest wall. - This typically leads to a **collapsed lung that is displaced medially** and no longer touches the chest wall, which is not seen here. *Pleural effusion* - **Pleural effusion** is the accumulation of fluid in the pleural space, presenting as a homogenous, gravity-dependent opacity that obscures lung parenchyma. - It would typically cause **blunting of the costophrenic angles** and a meniscus sign, which are not the primary findings indicated by the arrow.
Explanation: ***Cavity*** - The CT scan image clearly shows a **well-defined, air-filled lucency within a consolidation** in the left lung, which is characteristic of a cavity. - The presence of an enhancing rim around the lucency suggests an **active inflammatory or neoplastic process** forming the cavity. *Pneumonia* - While pneumonia can cause consolidation, the image shows a distinct **focal air-filled space** within the area of consolidation, which is not typical for uncomplicated pneumonia. - Pneumonia would usually appear as a **homogenous or heterogeneous opacification** of the lung parenchyma, without such a clear cavity. *Lung contusion* - Lung contusion is typically associated with **trauma** and appears as **patchy, non-segmental ground-glass opacities or consolidation**. - It does not usually form a well-defined cavity with an enhancing wall, as seen in the image. *Segmental collapse* - Segmental collapse (atelectasis) would present as a **volume loss in a lung segment**, often with displacement of fissures or mediastinal structures, and increased attenuation of the collapsed lung. - The image shows a **focal lesion with internal lucency**, not a collapsed segment of lung, and there is no clear evidence of volume loss.
Explanation: ***Pulmonary embolism*** - The patient has several risk factors for pulmonary embolism (PE), including **nephrotic syndrome** (which causes hypercoagulability), and **prolonged immobility during a long-haul flight**. - The symptoms of **sudden dyspnea**, **hypoxia (SpO2 85%)**, and **sinus tachycardia with T wave inversion in lead III** (S1Q3T3 pattern, though incomplete, suggests right heart strain) are highly consistent with PE. The CT chest would likely confirm the presence of a **pulmonary thrombus**. *Anxiety* - While anxiety can cause dyspnea and tachycardia, it typically does not lead to significant **hypoxia (SpO2 85%)** or EKG changes indicating **right heart strain** like T-wave inversion in lead III. - There are clear predisposing factors and objective signs that point beyond a psychological cause. *Atypical pneumonia* - Atypical pneumonia typically presents with a more **gradual onset** of respiratory symptoms, often accompanied by cough and fever, which are not mentioned here. - While it can cause hypoxemia, the acute onset after travel and the specific ECG findings are less characteristic of pneumonia. *Myocardial infarction* - Myocardial infarction usually presents with **chest pain** and specific ECG changes such as **ST segment elevation** or depression, or Q waves, especially in leads other than lead III. - The T wave inversion in lead III, in the context of acute dyspnea and hypoxemia, is more suggestive of **right heart strain due to PE** than a primary myocardial event.
Explanation: ***ARDS*** - The CT image shows diffuse **bilateral ground-glass opacities** and consolidation, consistent with **acute severe inflammation** and fluid accumulation in the lungs. - The history of severe blunt chest trauma (a cement slab falling on the chest) with subsequent clinical deterioration over 24 hours is a classic presentation leading to ARDS. *Bronchiolitis obliterans organising pneumonia* - This condition typically presents with **patchy, migratory consolidations** or ground-glass opacities, often peribronchovascular, which is not the primary pattern seen here. - While it can be secondary to lung injury, the rapid onset and diffuse nature following severe trauma are more characteristic of ARDS. *Hemothorax* - A hemothorax would appear as a **fluid collection** (high attenuation due to blood density) in the pleural space, typically layering dependently, not as widespread parenchymal opacification. - While possible following trauma, the image shows lung parenchymal changes rather than isolated pleural fluid. *Cardiac tamponade* - Cardiac tamponade involves the **accumulation of fluid in the pericardial sac**, leading to external compression of the heart and impaired filling. - This would manifest as an enlarged cardiac silhouette with effacement of cardiac chambers and possibly distended vena cava on CT, but not the diffuse pulmonary infiltrates seen here.
Explanation: ***Lung contusion*** - The image shows an area of **ground-glass opacity** and **consolidation** within the lung parenchyma, consistent with **hemorrhage and edema** caused by blunt force trauma. - This finding, combined with the history of the cement slab falling on the chest, is highly suggestive of a **lung contusion**. *ARDS* - **ARDS** (Acute Respiratory Distress Syndrome) is a clinical syndrome characterized by widespread **inflammatory lung injury**, typically presenting as bilateral infiltrates on imaging. - While it can manifest with similar CT findings, ARDS is a **diagnosis of exclusion** and requires specific clinical criteria (e.g., severe hypoxemia, exclusion of cardiac failure) not provided in the question. *Diaphragmatic rupture* - A **diaphragmatic rupture** involves a tear in the diaphragm, which would appear on CT as a discontinuity of the diaphragm or **herniation of abdominal contents** into the thoracic cavity. - The image does not show any signs of diaphragmatic discontinuity or organ herniation. *Pneumothorax* - A **pneumothorax** is the presence of air in the pleural space, which would be visible as a collection of **dark air outside the lung parenchyma**, often with a visible pleural line and collapse of the lung. - The CT scan shows parenchymal changes rather than a collection of air in the pleural space.
Explanation: ***Pneumomediastinum*** - The arrow points to **gas (dark area)** within the mediastinum, highlighting the **mediastinal structures** like the aorta (seen as a bright, circular structure). - This presence of gas in the mediastinum, clearly delineated from the surrounding tissues, is characteristic of **pneumomediastinum**. *Pericardial effusion* - A pericardial effusion would appear as a **fluid collection** (gray scale) surrounding the heart, within the **pericardial sac**. - No such fluid collection is indicated by the arrow; instead, the arrow points to a distinct **air pocket**. *Diaphragmatic rupture* - Diaphragmatic rupture typically involves the **displacement of abdominal organs** into the thoracic cavity and/or a **discontinuity of the diaphragm**. - The image focuses on the mediastinum and upper chest, with no clear signs of a ruptured diaphragm or organ herniation. *Diaphragmatic eventration* - Diaphragmatic eventration is an abnormal **elevation of the hemidiaphragm** due to thinning or weakness of the muscle. - This condition is a **structural abnormality of the diaphragm**, showing an abnormally high diaphragm contour, which is not what the arrow indicates.
Normal Chest Radiographic Anatomy
Practice Questions
Radiographic Signs in Chest Imaging
Practice Questions
Pulmonary Infections
Practice Questions
Chronic Obstructive Pulmonary Disease
Practice Questions
Interstitial Lung Diseases
Practice Questions
Pulmonary Neoplasms
Practice Questions
Pleural Diseases
Practice Questions
Mediastinal Pathology
Practice Questions
Congenital and Developmental Chest Anomalies
Practice Questions
Pulmonary Vascular Diseases
Practice Questions
Chest Trauma Imaging
Practice Questions
Post-Surgical Chest Imaging
Practice Questions
Get full access to all questions, explanations, and performance tracking.
Start For Free