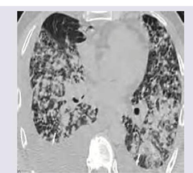
The CT chest image shows large bullae in bilateral lung fields. This is diagnostic of which condition?

A chest X-ray shows bilateral reticular nodular shadows in both lung fields. The diaphragm is not flattened and the cardiothoracic ratio appears normal. What is the most likely pattern seen?

The image shows a standing upright chest X-ray with pleural reflection and a straight horizontal air-fluid level with absence of meniscus sign. What is the most likely diagnosis?

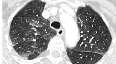
The CT chest image shows a hazy increased attenuation with preserved bronchial and vascular markings. What pattern is demonstrated?

A 45-year-old male presents with sudden onset shortness of breath and chest pain. A chest X-ray is obtained. What is the most likely diagnosis based on the image?

X-ray skull shows: (Recent NEET Pattern 2016-17)

The following CT chest shows presence of:

The given CT scan chest shows presence of:

The CT chest of a patient given below shows presence of: (Recent NEET Pattern 2016-17)

The following CT chest shows presence of:

Explanation: ***Emphysema*** - **Bullae** are characteristic findings in emphysema, representing abnormally enlarged airspaces within the lung parenchyma. - On CT scans, these appear as demarcated **lucencies (dark areas)**, often with thin walls, indicating destruction of alveolar walls and loss of elastic recoil. *Pneumonia* - Pneumonia typically presents with **consolidation** or **ground-glass opacities** on CT, indicating inflammation and fluid in the alveoli. - It does not typically cause the formation of large bullae; instead, it shows areas of increased density. *Bronchiectasis* - Bronchiectasis is characterized by irreversible **dilation of the bronchi**, often seen as "tram tracks" or "signet ring" signs on CT. - While it can involve air trapping, it does not primarily manifest as large bullae, but rather as thickened and dilated airways. *Interstitial fibrosis* - Interstitial fibrosis involves **thickening and scarring of the lung interstitium**, leading to a restrictive lung disease pattern. - CT findings would typically include **reticular opacities**, honeycombing, and traction bronchiectasis, not bullae.
Explanation: ***Reticular shadows*** - The CXR shows **bilateral reticular nodular shadows** without hyperinflation or cardiac enlargement - This pattern represents **thickened interstitial structures** forming a net-like (reticular) appearance - Characteristic of **interstitial lung diseases** such as idiopathic pulmonary fibrosis, interstitial pneumonitis, or collagen vascular disease - Normal cardiothoracic ratio and diaphragm position confirm this is an **interstitial pattern** *Incorrect: Emphysema* - Emphysema presents with **hyperinflation** and **flattening of the diaphragm** - Would show increased lucency, not reticular shadows - The normal diaphragm position rules out significant emphysema *Incorrect: Pulmonary edema* - Pulmonary edema typically shows **bat wing or perihilar distribution** - Associated with **increased cardiothoracic ratio** and **Kerley B lines** - The normal cardiac borders argue against cardiogenic pulmonary edema *Incorrect: Pericardial effusion* - Pericardial effusion presents with **enlarged cardiac silhouette** (water bottle heart) - **Increased cardiothoracic ratio** would be prominent - Does not produce reticular nodular lung field shadows - Normal cardiac borders on this CXR exclude significant pericardial effusion
Explanation: ***Correct: Hydropneumothorax*** - The image exhibits a **straight horizontal air-fluid level** in the pleural space, visible on an upright chest X-ray, which is characteristic of hydropneumothorax (simultaneous presence of both air and fluid in the pleural cavity). - The **absence of the meniscus sign (Ellis curve)** is the key distinguishing feature - this curved meniscus would be seen in a simple pleural effusion. - The **straight level** indicates air above fluid, confirming hydropneumothorax. *Incorrect: Pleural effusion* - Simple pleural effusion shows a **meniscus sign (Ellis curve)** - a curved upper border where fluid meets the chest wall. - No air-fluid level would be present, just homogeneous opacity with preserved meniscus. *Incorrect: Pneumothorax* - Pneumothorax shows **air only** in the pleural space with visible visceral pleural line. - No fluid level would be present - just absence of lung markings peripherally. *Incorrect: Empyema* - While empyema can occasionally show air-fluid level (if gas-forming organisms or bronchopleural fistula), it typically presents as a **loculated collection** with irregular borders and pleural thickening. - The classic straight air-fluid level is more characteristic of hydropneumothorax.
Explanation: ***Ground glass pattern*** - The image shows **hazy increase in lung attenuation** that does not obscure underlying bronchial and vascular margins - This is the defining feature of **ground glass opacity (GGO)** - Suggests partial filling of airspaces, interstitial thickening, partial alveolar collapse, or increased capillary blood volume - Commonly seen in **interstitial lung diseases**, atypical pneumonias, pulmonary edema, and diffuse alveolar hemorrhage *Honeycomb pattern* - Characterized by **clustered cystic airspaces** with thick walls (3-10mm) - Represents **end-stage pulmonary fibrosis** with irreversible architectural distortion - Typically seen in **peripheral and subpleural distribution** in usual interstitial pneumonia (UIP) - NOT present in this image, which shows preserved architecture *Crazy paving pattern* - Combination of **ground glass opacity with superimposed interlobular septal thickening** and intralobular lines - Creates a pattern resembling **irregular paving stones** - Classically associated with **pulmonary alveolar proteinosis** but also seen in Pneumocystis pneumonia, ARDS, and organizing pneumonia - NOT present in this image, which lacks the prominent septal thickening *Tree-in-bud pattern* - Represents **centrilobular nodules** with connecting branching linear structures - Indicates **bronchiolar impaction** with mucus, pus, or fluid - Commonly seen in **endobronchial spread of tuberculosis**, bacterial bronchopneumonia, and bronchiolitis - NOT present in this image, which shows diffuse hazy attenuation rather than nodular opacities
Explanation: ***Pneumothorax*** - The chest X-ray shows several classic signs of a pneumothorax: **absent vascular markings** in the right lung field (indicated by red markings), a **deep sulcus sign** (blue arrow), and a visible **visceral pleural line** (yellow line) separating the collapsed lung from the chest wall. - The sudden onset of **shortness of breath** and **chest pain** in a 45-year-old male is consistent with the clinical presentation of a spontaneous pneumothorax. *Pleural Effusion* - A pleural effusion would typically present as a **blunting of the costophrenic angle** and a **meniscus sign** (concave upper border of fluid), which are not the primary features seen here. - While fluid can cause chest pain and shortness of breath, the distinct visceral pleural line and absent lung markings point away from an effusion as the primary diagnosis. *Pulmonary Edema* - Pulmonary edema is characterized by **cardiomegaly**, **perihilar haziness**, **Kerley B lines**, and often **bilateral effusions**, none of which are evident on this X-ray. - The clear lung field with absent markings is contrary to the diffuse alveolar or interstitial opacities seen in pulmonary edema. *Consolidation* - Consolidation, typically due to pneumonia, shows as a **lobar or segmental opacification** with **air bronchograms**, indicating fluid or cells filling the alveoli while the airways remain open. - This image clearly demonstrates a collapsed lung with air in the pleural space, not opacified lung tissue or air bronchograms.
Explanation: ***Silver-beaten appearance*** - The image shows a skull with multiple **gyral impressions** on the inner table, giving it a **bumpy**, 'silver-beaten' or 'copper-beaten' appearance. - This pattern is classically associated with **chronically increased intracranial pressure**, which causes the brain's convolutions to press against the skull. *Multiple myeloma* - Multiple myeloma typically presents with multiple, sharply demarcated **"punched-out" lytic lesions** in the skull, not diffuse gyral impressions. - These lesions often lack a sclerotic rim and are more discrete than the pattern seen here. *Histiocytosis-X* - Histiocytosis-X (now called Langerhans cell histiocytosis) can cause lytic skull lesions, often described as **"beveled edge"** or geographically distributed lesions. - While it can cause osteolytic bone destruction, it does not typically produce the widespread, uniform gyral impressions of a silver-beaten skull. *Letterer-Siwe disease* - Letterer-Siwe disease is an aggressive, disseminated form of **Langerhans cell histiocytosis** affecting infants. - While it can cause bone lesions, including in the skull, it typically manifests as generalized lytic lesions rather than the "silver-beaten" pattern indicative of chronic elevated intracranial pressure.
Explanation: ***Bronchiectasis*** - The CT image shows widespread **dilated bronchi** with thickened walls, often described as a **"tram track" appearance**, which is characteristic of bronchiectasis. - There are also areas of **mucus plugging** and **honeycombing**, further supporting the diagnosis of severe bronchiectasis. - Bronchiectasis represents **irreversible dilation** of the bronchial tree, best visualized on high-resolution CT. *Pneumoconiosis* - This condition typically presents with diffuse small nodules, irregular opacities, or progressive massive fibrosis. - The imaging features in the provided CT, such as dilated airways, are not typical for pneumoconiosis. *Carcinoma lung* - Lung carcinoma usually manifests as a **mass**, **nodule**, or **adenopathy** on CT, often with associated features like pleural effusion or atelectasis. - The diffuse, cystic, and tubular changes seen in the image are not consistent with primary lung cancer. *Chronic bronchitis* - Chronic bronchitis is a clinical diagnosis defined by chronic cough with sputum production, and while it involves airway inflammation, it does not typically show the severe **structural bronchial dilation** seen in this CT. - CT findings in chronic bronchitis might include bronchial wall thickening, but not the widespread irreversible dilation characteristic of bronchiectasis.
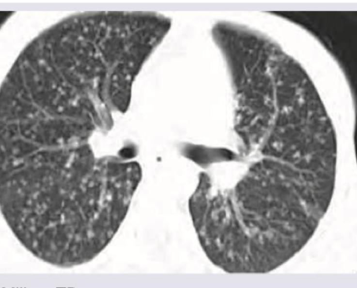
Explanation: ***Miliary TB*** - The CT scan shows numerous tiny, **evenly distributed nodules** throughout both lung fields, measuring 1-5 mm in diameter, which is characteristic of **miliary dissemination** of tuberculosis. - This pattern results from the hematogenous spread of *Mycobacterium tuberculosis*, leading to the formation of small granulomas resembling millet seeds. *Endobronchial TB* - Endobronchial TB involves the **tracheobronchial tree** and typically presents with features like **bronchial narrowing**, wall thickening, or obstruction, which are not the predominant findings here. - While it can be associated with parenchymal disease, its primary manifestations are within the airways, not diffuse miliary nodules. *Bronchocele* - A bronchocele, also known as a **mucoid impaction**, appears as a **dilated bronchus** filled with mucus, often seen as a finger-in-glove appearance on imaging. - This is a localized finding and does not correspond to the widespread nodularity seen in the image. *Central bronchiectasis* - Central bronchiectasis refers to the **irreversible dilation of central bronchi**, often associated with conditions like allergic bronchopulmonary aspergillosis (ABPA). - It would appear as widened, thick-walled airways, rather than the diffuse small nodules characteristic of miliary disease.
Explanation: ***Bronchiectasis*** - The CT image shows a cluster of **dilated, thick-walled bronchi** in the left lung, which are characteristic findings of bronchiectasis, especially when they are larger than adjacent pulmonary arteries. - The arrow specifically points to these abnormal, saccular dilations of the bronchi, often described as a **"cluster of grapes"** or **cystic appearance**. *Pneumatoceles* - **Pneumatoceles** are typically thin-walled, air-filled cysts that develop as a complication of pneumonia or trauma, and are usually solitary or few in number, not a widespread cluster of dilated airways. - They also often resolve spontaneously, unlike the chronic, irreversible bronchial dilation seen in the image. *Normal scan* - A **normal CT chest scan** would show finely branching airways that progressively narrow as they extend peripherally, without the presence of prominent thick-walled, dilated bronchi or cystic changes. - The image clearly depicts significant structural abnormalities in the left lung making a normal scan highly improbable. *Loculated empyema* - A **loculated empyema** would appear as a collection of pus within the pleural space, characterized by **fluid attenuation**, internal septations, and enhancement of the pleura. - None of these features are the primary findings seen in this image, which shows dilated airways rather than pleural fluid collections.
Explanation: ***Emphysema*** - The CT image displays numerous large, thin-walled **air-filled spaces** or **bullae** within both lung fields, consistent with severe emphysema. - These areas represent the destructive enlargement of airspaces distal to the terminal bronchioles, a hallmark of **emphysema**, often leading to significant loss of lung tissue. - Key feature: **destruction of alveolar walls** with coalescence into larger air spaces without visible walls. *Artifact* - An artifact would typically manifest as streaking, blurring, or other distortions that do not conform to anatomical structures or known pathologies. - The findings here are well-defined, anatomically localized spaces, representing a true pathology rather than an imaging error. *Silicosis* - Silicosis is characterized by **nodular opacities**, interstitial fibrosis, and sometimes mass-like lesions (progressive massive fibrosis), not large emphysematous bullae. - The primary findings in this CT are clearly destructive airspaces, not the fibrotic or nodular changes typical of silicosis. *Bronchiectasis* - Bronchiectasis shows **dilated, thick-walled airways** with a "tram-track" or "signet ring" appearance. - Unlike emphysema, bronchiectasis involves bronchial wall thickening and the cystic spaces are airways, not destroyed alveolar tissue. - The thin-walled bullae in emphysema lack the prominent wall thickening seen in bronchiectasis.
Normal Chest Radiographic Anatomy
Practice Questions
Radiographic Signs in Chest Imaging
Practice Questions
Pulmonary Infections
Practice Questions
Chronic Obstructive Pulmonary Disease
Practice Questions
Interstitial Lung Diseases
Practice Questions
Pulmonary Neoplasms
Practice Questions
Pleural Diseases
Practice Questions
Mediastinal Pathology
Practice Questions
Congenital and Developmental Chest Anomalies
Practice Questions
Pulmonary Vascular Diseases
Practice Questions
Chest Trauma Imaging
Practice Questions
Post-Surgical Chest Imaging
Practice Questions
Get full access to all questions, explanations, and performance tracking.
Start For Free