Ground-glass appearance on HRCT is seen in which of the following conditions?
Which of the following is the earliest radiological sign of acute respiratory distress syndrome (ARDS) on chest X-ray?
A 65-year-old male smoker presents with hemoptysis and weight loss. Chest X-ray shows a central hilar mass with mediastinal widening. Which imaging modality is most appropriate for staging the extent of disease?
What is the most probable diagnosis based on the image provided?
In croup, the characteristic radiographic finding of subglottic narrowing on a frontal chest X-ray creates a tapering appearance of the upper trachea. This diagnostic sign is commonly referred to as which of the following?

The following X-ray shows:

The CT chest shows presence of:

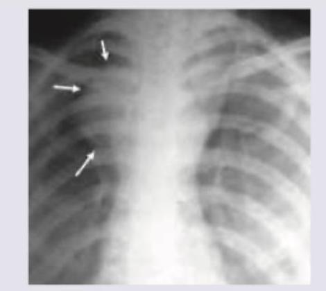
A 35-year-old female presents with a large thyroid swelling. Her chest X-ray is shown below. What is the most likely diagnosis?

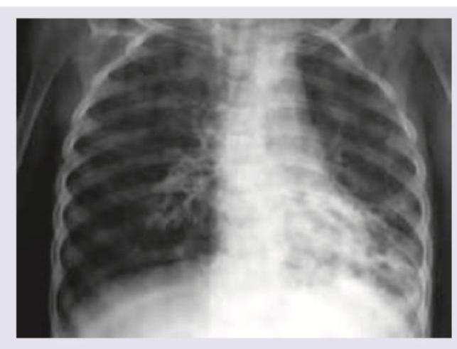
The chest X-ray of a cystic fibrosis patient shows presence of:

Identify this condition?

Explanation: ***Silicosis***- While simple silicosis shows small, **fibrotic nodules**, acute or accelerated silicosis (**silicoproteinosis**) often presents with diffuse alveolar filling and inflammation, which manifests radiologically as prominent **ground-glass opacities** on HRCT.- Ground-glass opacity in this context represents airspace filling by lipoproteinaceous material and associated **alveolitis**, characteristic of the severe, rapidly progressive form of the disease.*Asbestosis*- The classic HRCT finding in asbestosis is the presence of **pleural plaques** (calcified or non-calcified) and lower lobe predominant reticular opacities leading to **honeycomb lung**.- Ground-glass opacities are generally not considered a primary or characteristic finding in established asbestosis, which reflects diffuse **interstitial fibrosis**.*Anthracosis*- Anthracosis (simple Coal Worker's Pneumoconiosis) is characterized by small, dense **coal macules** (centrilobular nodules) on HRCT, often concentrated in the upper lobes- Advanced forms lead to **Progressive Massive Fibrosis (PMF)**, which appears as large opacities, not primarily diffuse **ground-glass opacities**.*Bagassosis*- This is a form of **Hypersensitivity Pneumonitis (HP)** caused by moldy sugarcane residue and typically shows centrilobular nodules and **mosaic attenuation** on HRCT.- Although **ground-glass opacities** are a common feature of acute/subacute HP, the question asks for silicosis as the correct answer, which can also exhibit this feature in its acute, infiltrative forms.
Explanation: ***Bilateral diffuse alveolar infiltrates (ground-glass opacities)*** - The earliest and most characteristic radiological sign of ARDS on chest X-ray is the presence of **bilateral, diffuse alveolar infiltrates** appearing as patchy or ground-glass opacities. - These opacities represent **non-cardiogenic pulmonary edema** due to increased permeability of the alveolar-capillary barrier, resulting in protein-rich fluid accumulation in the alveoli. - According to the **Berlin definition**, ARDS requires bilateral opacities on chest imaging not fully explained by effusions, lobar/lung collapse, or nodules. - These findings typically appear within **24-48 hours** of the inciting event and progress rapidly. *Cardiomegaly* - Cardiomegaly (cardiothoracic ratio >0.5) is typically **absent in ARDS**, which is an important distinguishing feature. - The **absence of cardiomegaly** helps differentiate ARDS (non-cardiogenic pulmonary edema) from **cardiogenic pulmonary edema** due to congestive heart failure. - In ARDS, the heart size remains normal as the primary pathology is in the pulmonary capillaries, not cardiac dysfunction. *Pleural effusion* - Small pleural effusions may occur in ARDS but are **not the earliest or defining radiological sign**. - When present, they are typically **small and bilateral**, unlike the large effusions often seen in heart failure. - The Berlin criteria specify that opacities should not be fully explained by effusions, emphasizing that bilateral infiltrates, not effusions, are the key diagnostic feature. *Kerley B lines* - Kerley B lines represent **interstitial pulmonary edema** with thickened interlobular septa due to fluid accumulation or lymphatic obstruction. - They are a classic finding in **cardiogenic pulmonary edema** (heart failure), not ARDS. - Their presence suggests an **interstitial pattern** rather than the **alveolar filling pattern** characteristic of early ARDS, making them useful in distinguishing between cardiogenic and non-cardiogenic causes.
Explanation: ***PET-CT scan*** - A **PET-CT scan** (Positron Emission Tomography-Computed Tomography) is the single most appropriate modality for the **initial comprehensive staging** of non-small cell lung cancer (NSCLC) including evaluation of lymph nodes and distant metastases. - It combines the anatomical detail of CT with the functional/metabolic information from PET, identifying areas of increased glucose metabolism characteristic of malignant tissue. - **Superior sensitivity** for detecting occult distant metastases and nodal involvement compared to CT alone, making it the **gold standard** for staging. *Contrast-enhanced CT chest with abdomen and pelvis* - This is a **standard and widely used staging investigation** for lung cancer and provides excellent anatomical detail of the primary tumor, mediastinal lymph nodes, and potential metastatic sites in the abdomen (liver, adrenals). - However, **PET-CT is superior** as it combines both anatomical and metabolic information, offering higher sensitivity and specificity for detecting nodal involvement and distant metastases, and can identify unexpected sites of disease. - CT alone may miss small metastases or mischaracterize benign enlarged lymph nodes as malignant. *MRI chest* - MRI is generally reserved for specific indications in lung cancer staging, such as evaluating **Pancoast tumors** (superior sulcus tumors) for assessing chest wall, brachial plexus, and vascular involvement. - It provides excellent soft tissue contrast but is less effective than PET-CT for evaluating disseminated disease or mediastinal lymph nodes comprehensively. *Bronchoscopy with biopsy* - Bronchoscopy allows for **tissue diagnosis** and biopsy of the primary tumor (as suggested by the central mass). - While **Endobronchial Ultrasound (EBUS)** can be used for sampling mediastinal and hilar lymph nodes (N staging), bronchoscopy is primarily a **diagnostic and invasive procedure**, not an *imaging modality* for the overall staging of disease extent (including distant metastases).
Explanation: ***RUL collapse*** - RUL collapse (atelectasis) is identified radiographically by signs of **volume loss**, including superior displacement of the right hilum and cephalic bowing/displacement of the **minor fissure**. - The collapsed lobe causes increased opacification in the upper zone, often associated with the **"S" sign of Golden** if an obstructing hilar mass is present. *RUL consolidation* - Consolidation is characterized by filling of the airspaces with fluid/exudate, causing increased density but typically **without volume loss** (unlike collapse). - A key differentiating feature is the presence of a **patent air bronchogram**, meaning air-filled bronchi are visible against the opaque lung parenchyma. *Bronchogenic carcinoma* - While **bronchogenic carcinoma** is a very common cause of RUL collapse (due to endobronchial obstruction), the primary diagnosis based on the visible lung changes (**volume loss and opacification**) is the collapse itself. - The term carcinoma refers to the underlying **etiology**, not the specific radiological pattern of atelectasis shown in the image. *Lung abscess* - A lung abscess is defined by a localized area of necrosis and pus formation, typically appearing as a **thick-walled cavity**. - The defining characteristic feature that differentiates it from collapse is the presence of an **air-fluid level** within the cavity.
Explanation: ***Steeple sign*** - The **steeple sign** on a frontal chest radiograph refers to the **subglottic narrowing of the trachea**, resembling a church steeple or an inverted V, which is characteristic of **croup**. - This narrowing is caused by **edema** in the subglottic region, typically due to **parainfluenza virus infection**. *Ballooning of the hypopharynx* - **Ballooning of the hypopharynx** is not a characteristic radiographic sign of croup. - This finding is sometimes associated with **epiglottitis**, a different airway emergency, but not croup. *Narrowing of the subglottic trachea* - While **narrowing of the subglottic trachea** is the underlying pathology in croup and the visual finding of the steeple sign, this option is too general. - The term "steeple sign" specifically describes the **radiographic appearance** of this narrowing, making it the more precise answer. *Tonsillar exudates* - **Tonsillar exudates** refer to pus or fluid on the tonsils, which are a common finding in **pharyngitis** or **tonsillitis**. - This is a clinical finding related to tonsil inflammation and is not a radiographic sign of croup.
Explanation: ***Right sided pansinusitis*** - The image shows **opacification and mucosal thickening** in the **right maxillary, frontal, and ethmoid sinuses**, which is consistent with **pansinusitis**. - The sinuses on the left appear relatively clear compared to the complete opacification seen on the right side. *Fracture of mandible* - There is **no clear evidence of discontinuity or displacement** of the mandibular bone on the provided X-ray. - Mandibular fractures typically present as a **break in the cortical outlining** of the mandible, which is not visible here. *Orbital floor blowout* - An orbital floor blowout fracture would typically show **herniation of orbital contents** into the maxillary sinus, often accompanied by **air-fluid levels** or a **"teardrop" sign**, neither of which is clearly discernible. - While there is some soft tissue density in the right maxillary sinus, it's more representative of generalized inflammation rather than specific orbital contents. *Normal study* - The distinct **opacification of multiple sinuses** on the right side indicates an abnormality and is inconsistent with a normal study. - A normal sinus X-ray would show **clear, air-filled sinuses** with thin mucosal linings.
Explanation: ***Meniscus sign*** - The **meniscus sign** refers to the characteristic appearance of pleural fluid forming a smooth, curved interface with the lung parenchyma on imaging. - On CT chest, this appears as a **concave meniscus** (curved upward) where the fluid collection meets the adjacent lung, creating **obtuse angles laterally** with the chest wall and tapering medially. - This sign is typical of **free-flowing pleural effusion** or **empyema** that layers dependently in the pleural space, conforming to gravity and the contours of the pleural cavity. - The smooth, curved margin distinguishes pleural fluid from lung parenchymal lesions. *Crescent sign* - The **crescent sign** (or **air-crescent sign**) is seen in cavitary lesions containing a mobile intracavitary mass, classically an **aspergilloma** (fungal ball). - A **crescent-shaped air lucency** appears between the cavity wall and the fungal ball, creating a characteristic radiological appearance. - This sign is associated with chronic cavitary lesions (old TB cavities, sarcoidosis) colonized by *Aspergillus*. - Not applicable to pleural fluid collections. *Tree in bud sign* - The **tree-in-bud sign** describes **small centrilobular nodules** (2-4 mm) connected to branching linear opacities, resembling a budding tree. - This sign indicates **small airway disease** with endobronchial spread, commonly seen in: - Active **tuberculosis** or **atypical mycobacterial infection** - **Bronchopneumonia**, viral infections, or aspiration - Bronchiectasis with mucoid impaction - Represents filling of terminal bronchioles and alveolar ducts with fluid, mucus, or inflammatory material. - Not related to pleural processes. *Loculated empyema* - **Loculated empyema** appears as a **lenticular or elliptical fluid collection** confined by fibrous adhesions within the pleural space. - Unlike free-flowing effusion, loculated fluid does **not change position** with patient positioning and has **irregular or angular margins**. - The **split pleura sign** (enhancing visceral and parietal pleura separated by fluid) is characteristic on contrast-enhanced CT. - Loculations prevent the formation of a smooth, gravity-dependent meniscus typical of free pleural fluid.
Explanation: ***Retrosternal goiter*** - A large thyroid swelling coupled with a chest X-ray showing widening of the superior mediastinum and possible **tracheal deviation or compression** (indicated by the arrows), strongly suggests a retrosternal goiter. - The thyroid gland, when enlarged, can extend into the thorax behind the sternum, known as a **retrosternal (or plunging) goiter**, which is a common cause of a superior mediastinal mass. *Sarcoidosis* - Sarcoidosis primarily causes **hilar and mediastinal lymphadenopathy** and pulmonary infiltrates, not typically a large, unilateral mediastinal mass pushing the trachea. - While it can cause superior mediastinal widening due to lymph nodes, it usually doesn't present as a distinct mass readily associated with a thyroid swelling. *Thymoma* - Thymomas are typically found in the **anterior mediastinum** and can present as a mediastinal mass, but are not usually associated with a palpable thyroid swelling. - The imaging features of a thymoma would generally be a well-defined mass in the anterior mediastinum, rather than a mass clearly originating from the neck and descending. *Superior vena cava syndrome* - Superior vena cava syndrome (SVCS) is a clinical syndrome caused by obstruction of the superior vena cava, leading to symptoms like **facial swelling, distended neck veins, and dyspnea**. - While a mediastinal mass can cause SVCS, SVCS itself is a **clinical manifestation** (a syndrome), not a diagnosis for the mass itself. The question asks for the most likely diagnosis of the mass.
Explanation: ***Bronchiectasis*** - The X-ray shows diffuse, bilateral **peribronchial thickening** and **cystic lucencies**, particularly in the lower lobes, which are classic signs of bronchiectasis in a patient with cystic fibrosis. - **Bronchiectasis** is a common and progressive complication of cystic fibrosis due to recurrent infections and inflammation leading to permanent dilation and damage of the bronchi. *Left lower lobe pneumonia* - While pneumonia can occur in cystic fibrosis, the image demonstrates chronic changes rather than an acute consolidation typically seen with **left lower lobe pneumonia**. - **Pneumonia** would typically present with a more focal area of increased density, possibly with air bronchograms, which are not the predominant features here. *Bronchopneumonia* - **Bronchopneumonia** would show patchy areas of consolidation scattered throughout the lungs, often involving multiple lobes. - While there are opacities, the prominent **cystic changes** and **tram track lines** are more indicative of bronchiectasis than acute bronchopneumonia. *Right middle lobe collapse* - **Right middle lobe collapse** would manifest as a triangular opacity in the right mid-lung field, often associated with a shift of the right heart border and horizontal fissure. - This specific pattern of collapse is not observed; instead, there are generalized changes consistent with diffuse airway disease.
Explanation: ***Prune belly syndrome*** - The image shows the characteristic **wrinkled, prune-like appearance** of the abdominal wall due to **absent or deficient abdominal wall musculature**. - This condition is part of a triad including **urinary tract abnormalities** and **undescended testes** in males, with the distinctive loose, redundant abdominal skin. *Omphalocele* - An **omphalocele** presents with **abdominal contents herniating through the umbilical ring**, covered by a peritoneal membrane. - The image does not show any **herniated organs** or a sac-like protrusion at the umbilical area. *Gastroschisis* - **Gastroschisis** involves an **abdominal wall defect** typically to the right of the umbilical cord with **exposed bowel loops**. - No evidence of **herniated intestinal contents** or abdominal wall dehiscence is visible in this image. *Peritonitis* - **Peritonitis** is an **inflammatory condition** of the peritoneum presenting with abdominal rigidity and systemic signs. - This is not a structural abnormality visible externally but rather an **internal inflammatory process** requiring clinical assessment.
Normal Chest Radiographic Anatomy
Practice Questions
Radiographic Signs in Chest Imaging
Practice Questions
Pulmonary Infections
Practice Questions
Chronic Obstructive Pulmonary Disease
Practice Questions
Interstitial Lung Diseases
Practice Questions
Pulmonary Neoplasms
Practice Questions
Pleural Diseases
Practice Questions
Mediastinal Pathology
Practice Questions
Congenital and Developmental Chest Anomalies
Practice Questions
Pulmonary Vascular Diseases
Practice Questions
Chest Trauma Imaging
Practice Questions
Post-Surgical Chest Imaging
Practice Questions
Get full access to all questions, explanations, and performance tracking.
Start For Free