Which sign on chest X-ray is suggestive of carcinoma lung?
Which of the following radiological signs is typically present in a patient with symptoms suggestive of pulmonary embolism?
What is an early radiographic sign of pulmonary edema on a chest X-ray?
What volume of fluid is required to produce costophrenic angle blunting on erect chest X-ray in cases of pleural effusion?
Rib notching is a characteristic radiological finding in which of the following conditions?
Notching of ribs on X-ray is characteristically seen in which of the following conditions?
Popcorn calcification is characteristically seen in which of the following pulmonary lesions?
If the right cardiac silhouette is obliterated, it means the pathology involves which of the following?
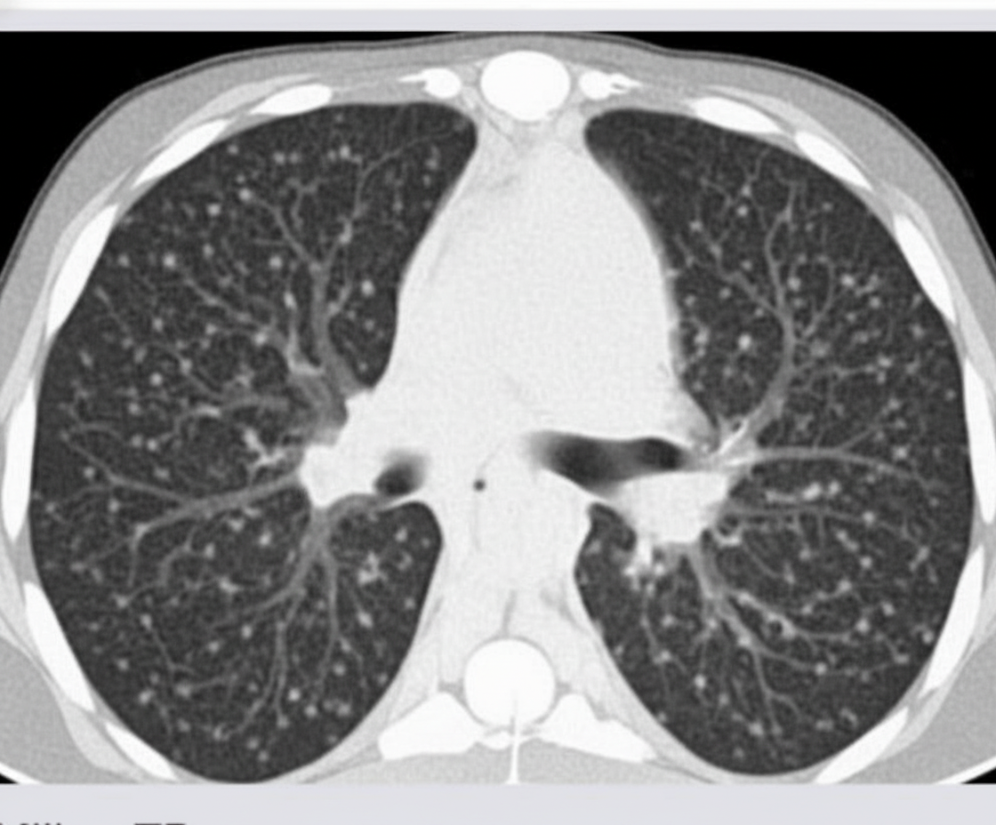
All are differential diagnoses for the CT chest finding shown, except?

Which of the following conditions characteristically show honeycomb lung on chest X-ray?
Explanation: **Explanation:** **Rib erosion** is a highly specific radiological sign of malignancy in the context of a lung mass. It indicates direct chest wall invasion by the tumor, most classically seen in **Pancoast tumors** (superior sulcus tumors). While benign conditions like actinomycosis or chronic pressure can occasionally affect ribs, in the context of a pulmonary lesion, rib destruction is considered a hallmark of locally advanced bronchogenic carcinoma. **Analysis of Incorrect Options:** * **Central destruction within lesion:** While this refers to cavitation, it is non-specific. Cavitation can occur in lung cancer (especially Squamous Cell Carcinoma), but it is also a classic feature of lung abscesses and pulmonary tuberculosis. * **Flattening of diaphragm:** This is a sign of **hyperinflation**, typically seen in chronic obstructive pulmonary disease (COPD) or asthma, rather than a direct indicator of malignancy. * **Calcification:** Generally, calcification within a solitary pulmonary nodule suggests a **benign** etiology (e.g., granuloma or hamartoma). Malignant lesions are typically non-calcified, though they may rarely engulf pre-existing calcifications. **Clinical Pearls for NEET-PG:** * **S-sign of Golden:** Seen when a right upper lobe mass causes collapse, creating an 'S' shape on X-ray; highly suggestive of bronchogenic carcinoma. * **Calcification Patterns:** "Popcorn" calcification is characteristic of **Hamartoma**, while "concentric" or "solid" patterns suggest old granulomatous disease (benign). * **Pancoast Syndrome:** Look for a triad of Horner’s syndrome, rib destruction, and shoulder pain (brachial plexus involvement).
Explanation: **Explanation:** Pulmonary Embolism (PE) is a critical diagnosis in radiology. While a chest X-ray is often normal in PE patients, certain classic signs can point toward the diagnosis. The correct answer is **"All of the above"** because each option represents a distinct pathophysiological consequence of a pulmonary embolus. 1. **Hampton’s Hump:** This is a wedge-shaped, pleura-based opacification with its apex pointing toward the hilum. It represents **pulmonary infarction** and is typically seen in the lower lobes. 2. **Westermark Sign:** This refers to **focal oligemia** (decreased vascular markings) distal to the occluded pulmonary artery. It occurs because the thrombus obstructs blood flow, making that area of the lung appear more radiolucent (blacker). 3. **Fleischner Sign:** This is a **prominent central pulmonary artery** caused by the presence of a large thrombus (distending the vessel) or pulmonary hypertension secondary to the embolism. **Clinical Pearls for NEET-PG:** * **Most common X-ray finding in PE:** A normal chest X-ray (or non-specific atelectasis/effusion). * **Gold Standard Investigation:** CT Pulmonary Angiography (CTPA). * **ECG Findings:** Most common is sinus tachycardia; most specific is the **S1Q3T3 pattern** (sign of acute right heart strain). * **Palla’s Sign:** Another radiological sign similar to Fleischner sign, specifically referring to an enlarged right descending pulmonary artery. * **Knuckle Sign:** Abrupt tapering of a pulmonary artery branch due to an embolus.
Explanation: **Explanation:** Pulmonary edema typically progresses through three distinct radiological stages based on pulmonary capillary wedge pressure (PCWP). Understanding this sequence is crucial for NEET-PG: 1. **Stage 1 (PCWP 13-18 mmHg):** Characterized by **Cephalization** (upper lobe venous diversion). 2. **Stage 2 (PCWP 18-25 mmHg):** Characterized by **Interstitial Edema**. The earliest sign of this stage is the appearance of **Kerley B lines**. These are short (1-2 cm), thin, horizontal lines seen at the lung peripheries (costophrenic angles), representing fluid-thickened interlobular septa. 3. **Stage 3 (PCWP >25 mmHg):** Characterized by **Alveolar Edema**, where fluid spills into the air spaces. **Analysis of Options:** * **Kerley B lines (Correct):** As fluid begins to leak into the interstitium before reaching the alveoli, these lines represent the earliest measurable sign of interstitial congestion. * **Batwing appearance:** This is a late sign seen in Stage 3 (Alveolar Edema), representing bilateral perihilar opacities with peripheral clearing. * **Pleural effusion:** While common in congestive heart failure, it usually occurs alongside or after interstitial changes; it is not the "earliest" sign. * **Ground-glass lung fields:** This indicates partial filling of alveoli or interstitial thickening; while seen in edema, it is non-specific and typically follows the initial septal thickening (Kerley lines). **High-Yield Pearls for NEET-PG:** * **Kerley A lines:** Longer lines radiating from the hila (representing lymphatic distension). * **Cephalization (Antler Sign):** The very first sign of pulmonary venous hypertension. * **Peribronchial Cuffing:** Another sign of interstitial edema where bronchial walls appear thickened due to fluid.
Explanation: **Explanation:** The detection of pleural effusion on a chest X-ray (CXR) depends significantly on the patient's position and the volume of fluid present. In an **erect (upright) PA view**, fluid first accumulates in the most dependent part of the pleural space—the posterior costophrenic sulcus. As the volume increases, it fills the lateral costophrenic angles. 1. **Why 300ml is correct:** While the earliest blunting of the *posterior* costophrenic angle (visible on a lateral view) occurs with approximately 75–100ml of fluid, it typically requires **250–300ml** of fluid to cause visible blunting of the *lateral* costophrenic angle on a standard **frontal (PA) erect CXR**. This is a classic high-yield threshold for radiological diagnosis. 2. **Why other options are incorrect:** * **100ml:** This volume is sufficient to blunt the posterior angle on a **lateral view**, but is usually insufficient to be clearly seen on a frontal PA view. * **500ml & 750ml:** These volumes are well above the minimum threshold. At 500ml, the fluid level typically reaches the dome of the diaphragm, and at 1000ml+, it may obscure half of the hemithorax. **High-Yield Clinical Pearls for NEET-PG:** * **Most sensitive view:** The **Lateral Decubitus view** (with the affected side down) is the most sensitive, detecting as little as **5–10ml** of fluid. * **Lateral View (Erect):** Blunting of the posterior costophrenic angle requires **~75–100ml**. * **Supine View:** Fluid layers posteriorly; look for a "ground-glass" haziness over the hemithorax with preserved vascular markings. * **Ellis S-shaped curve:** The characteristic meniscus sign seen in moderate effusions due to the negative intrapleural pressure and lung elastic recoil.
Explanation: **Explanation:** **1. Why Coarctation of the Aorta is Correct:** Rib notching (specifically **inferior rib notching**) is a classic sign of post-ductal coarctation of the aorta. In this condition, there is a narrowing of the aorta distal to the origin of the left subclavian artery. To bypass this obstruction, the body develops extensive collateral circulation. Blood flows through the internal mammary arteries to the intercostal arteries to reach the descending aorta. These intercostal arteries become **dilated, tortuous, and hyperpulsatile**. Over time, the constant pressure and pulsation of these enlarged vessels cause pressure erosion (notching) on the inferior borders of the **3rd to 8th ribs**. **2. Why the Other Options are Incorrect:** * **Hypertension:** While chronic hypertension can cause left ventricular hypertrophy or aortic dilatation, it does not lead to the specific collateral vessel formation required to cause rib erosion. * **Fibromuscular Dysplasia:** This typically affects the renal or carotid arteries (causing a "string of beads" appearance). It does not involve the intercostal collateral pathways. * **Aortic Dissection:** This is an acute emergency characterized by an intimal tear. Radiological findings include a widened mediastinum or a "calcium sign," but not chronic rib changes. **3. High-Yield Clinical Pearls for NEET-PG:** * **Roesler’s Sign:** The specific term for inferior rib notching in Coarctation. * **Ribs Involved:** Usually the 3rd to 8th ribs. The 1st and 2nd ribs are spared because their intercostal arteries do not bypass the obstruction. * **"Figure of 3" Sign:** Seen on Chest X-ray, formed by pre-stenotic dilatation, the site of coarctation, and post-stenotic dilatation. * **Reverse "3" or "E" Sign:** The indentation seen on the esophagus during a Barium swallow. * **Superior Rib Notching:** A rarer finding associated with conditions like Hyperparathyroidism, Polio, or Osteogenesis Imperfecta.
Explanation: **Explanation:** **Rib notching** in **Coarctation of the Aorta** is a classic radiological sign (Roesler’s sign) caused by the development of extensive collateral circulation. In post-ductal coarctation, the body bypasses the obstruction via the internal mammary arteries, which feed into the intercostal arteries to supply the lower body. These intercostal arteries become dilated, tortuous, and pulsatile, causing pressure erosion (notching) on the **inferior margins** of the 3rd to 8th ribs. It is typically absent in the 1st and 2nd ribs as they are supplied by the costocervical trunk, which is proximal to the coarctation. **Analysis of Incorrect Options:** * **PDA & ASD:** These are left-to-right shunts that lead to increased pulmonary blood flow (plethora) and cardiomegaly, but they do not involve the systemic collateral pathways required to cause rib notching. * **Ebstein’s Anomaly:** This is characterized by a "box-shaped" heart due to massive right atrial enlargement and a small functional right ventricle. It typically presents with decreased pulmonary vascular markings (oligemia), not rib erosions. **High-Yield Clinical Pearls for NEET-PG:** * **Roesler’s Sign:** Inferior rib notching (3rd–8th ribs). * **"3" Sign:** Seen on the barium swallow or PA chest X-ray, formed by pre-stenotic dilation, the coarctation site, and post-stenotic dilation. * **Reverse "3" (or E) Sign:** The corresponding indentation seen on an esophagogram. * **Superior Rib Notching:** Rare; associated with conditions like Neurofibromatosis type 1, connective tissue disorders (Marfan syndrome), or paralytic poliomyelitis. * **Unilateral Rib Notching:** If seen on the right side only, it suggests the coarctation is proximal to the left subclavian artery.
Explanation: **Explanation:** **Pulmonary Hamartoma** is the most common benign lung tumor. It is a slow-growing lesion composed of tissues normally found in the lung (cartilage, fat, and connective tissue) but arranged in a disorganized manner. The characteristic **"popcorn calcification"** occurs due to the irregular, stippled calcification of the cartilaginous component within the lesion. On imaging, it typically presents as a well-defined, solitary pulmonary nodule, often containing fat density on CT, which is a highly specific diagnostic feature. **Analysis of Incorrect Options:** * **Aspergillosis:** Typically presents as an "Air-crescent sign" (Monod sign) in an aspergilloma or "Halo/Atoll signs" in invasive forms. It does not typically show popcorn calcification. * **Broncho-alveolar carcinoma (now Adenocarcinoma in situ):** Characteristically presents as a "ground-glass opacity" (GGO) or a "lepidic" growth pattern. Calcification is rare. * **Pulmonary Embolism:** Classic radiological signs include **Westermark sign** (focal oligemia) or **Hampton’s hump** (wedge-shaped opacity) on chest X-ray. Diagnosis is confirmed via CT Pulmonary Angiography (CTPA) showing filling defects. **High-Yield Clinical Pearls for NEET-PG:** * **Popcorn Calcification** is also seen in **Fibroadenoma of the breast** (involuting) and **Chondroid lesions** (like osteochondroma). * **Benign Calcification Patterns in Lung Nodules:** Popcorn (Hamartoma), Central, Diffuse, or Laminated (Granulomatous disease). * **Malignant Calcification Patterns:** Eccentric or Stippled. * If a solitary pulmonary nodule contains **fat (-40 to -120 HU)** and **popcorn calcification**, it is pathognomonic for Hamartoma.
Explanation: ### Explanation The correct answer is **A. Right middle lobe**. This question is based on the **Silhouette Sign**, a fundamental concept in chest radiology. The silhouette sign occurs when two structures of similar radiographic density (e.g., soft tissue and fluid/consolidation) are in direct anatomical contact, causing the border between them to disappear or become "obliterated." **1. Why Right Middle Lobe (RML) is correct:** Anatomically, the RML lies anteriorly and is in direct contact with the **right atrium**, which forms the right heart border on a PA chest X-ray. Therefore, any pathology in the RML (like pneumonia or collapse) will obliterate the right cardiac silhouette. **2. Why other options are incorrect:** * **B. Right lower lobe:** The right lower lobe (RLL) is located posteriorly. It does not touch the heart border but is in contact with the **diaphragm**. Consolidation here would obliterate the right hemidiaphragm (positive silhouette sign) but leave the heart border sharp. * **C. Right atrium:** The right atrium *forms* the right cardiac silhouette; it is not the pathology *causing* the obliteration in the context of pulmonary imaging. * **D. Right ventricle:** The right ventricle forms the anterior surface of the heart and the lower part of the left heart border/retrosternal space; it does not form the right heart border on a PA view. **3. High-Yield Clinical Pearls for NEET-PG:** * **Right Heart Border:** Obliterated by **Right Middle Lobe** pathology. * **Left Heart Border:** Obliterated by **Lingula** (Left Upper Lobe) pathology. * **Right Hemidiaphragm:** Obliterated by **Right Lower Lobe** pathology. * **Left Hemidiaphragm:** Obliterated by **Left Lower Lobe** pathology. * **Aortic Knuckle:** Obliterated by **Left Upper Lobe (posterior segment)** pathology. * **Descending Aorta:** Obliterated by **Left Lower Lobe** pathology.
Explanation: ***Diffuse pulmonary lymphangioleiomyomatosis*** - **LAM** characteristically presents with **diffuse thin-walled cysts** throughout both lungs, not a miliary/micronodular pattern. - This **cystic pattern** is pathognomonic for LAM and easily distinguishable from the nodular findings described in the CT. *Hemosiderosis* - Can present with **bilateral diffuse micronodules** due to **hemosiderin deposition** in pulmonary macrophages. - Often shows **ground-glass opacities** with micronodular pattern on high-resolution CT, fitting the described finding. *Tropical pulmonary eosinophilia* - Caused by **filarial infection** and presents with **bilateral diffuse micronodular** or reticulonodular opacities. - Associated with **peripheral eosinophilia** and **elevated IgE levels**, commonly showing miliary pattern on imaging. *Collagen vascular disorders* - Conditions like **systemic sclerosis** and **rheumatoid arthritis** can cause **diffuse micronodular** interstitial patterns. - Often progress to **honeycombing** and **fibrosis**, but early stages show fine nodular opacities matching the CT finding.
Explanation: **Explanation:** **Honeycomb lung** represents the end-stage of various chronic inflammatory and fibrotic lung processes. Radiologically, it appears as multiple small, thick-walled cystic airspaces (typically 3–10 mm) resembling a beehive, usually located in the subpleural and basal regions. **1. Why Option B is Correct:** The correct answer includes conditions that lead to chronic interstitial fibrosis: * **Interstitial Lung Disease (ILD):** Specifically Idiopathic Pulmonary Fibrosis (IPF/UIP pattern), where honeycombing is a hallmark diagnostic feature. * **Rheumatoid Arthritis (RA) & Scleroderma (Systemic Sclerosis):** These connective tissue diseases frequently cause secondary ILD (often NSIP or UIP patterns), leading to architectural distortion and honeycombing. * **Tuberculosis (TB):** While TB is primarily infectious, chronic or healed TB (especially post-tuberculous fibrosis) can result in localized traction bronchiectasis and honeycombing in the affected lobes. **2. Why Other Options are Incorrect:** Options A, C, and D include **Carcinoma**. While bronchogenic carcinoma can occur *within* a fibrotic lung (scar carcinoma), the malignancy itself does not "characteristically" present as honeycombing. Instead, it presents as a solid mass, nodule, or post-obstructive collapse. **3. High-Yield Clinical Pearls for NEET-PG:** * **HRCT Gold Standard:** While visible on X-ray, HRCT is the definitive modality to identify honeycombing. * **UIP Pattern:** Honeycombing is the "sine qua non" for the diagnosis of a **Usual Interstitial Pneumonia (UIP)** pattern. * **Differential Diagnosis (Mnemonic: SHIT FAT):** **S**arcoidosis (Stage IV), **H**istiocytosis X, **I**DP/IPF, **T**B, **F**armer’s Lung (Hypersensitivity Pneumonitis), **A**nkylosing Spondylitis, **T**errible connective tissue diseases (RA/Scleroderma). * **Location:** Subpleural and basal honeycombing suggests IPF/UIP; upper lobe honeycombing suggests Sarcoidosis or Chronic Hypersensitivity Pneumonitis.
Normal Chest Radiographic Anatomy
Practice Questions
Radiographic Signs in Chest Imaging
Practice Questions
Pulmonary Infections
Practice Questions
Chronic Obstructive Pulmonary Disease
Practice Questions
Interstitial Lung Diseases
Practice Questions
Pulmonary Neoplasms
Practice Questions
Pleural Diseases
Practice Questions
Mediastinal Pathology
Practice Questions
Congenital and Developmental Chest Anomalies
Practice Questions
Pulmonary Vascular Diseases
Practice Questions
Chest Trauma Imaging
Practice Questions
Post-Surgical Chest Imaging
Practice Questions
Get full access to all questions, explanations, and performance tracking.
Start For Free