How can an atrial septal defect (ASD) be differentiated from a ventricular septal defect (VSD) on a chest X-ray?
How can an atrial septal defect (ASD) be differentiated from a ventricular septal defect (VSD) on a chest X-ray?
All of the following are indirect radiologic signs of lung collapse EXCEPT?
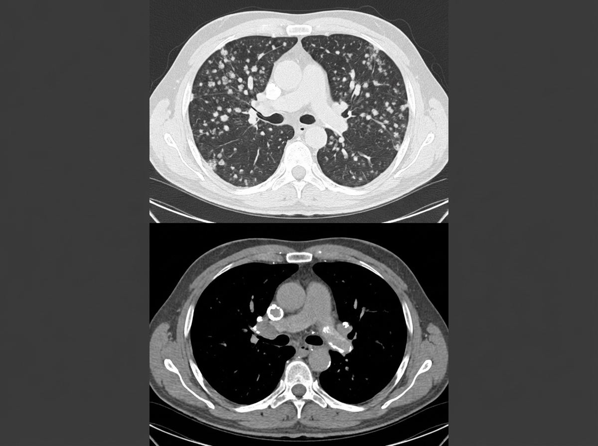
The following CT chest shows the presence of?

Atelectasis with reverse S sign is seen in which of the following conditions?
Perihilar fluffy opacities on chest X-ray are typically seen in which of the following conditions?
A right-sided pleural effusion is best visualized in which patient position?
Rib notching is seen in all except:
Which of the following features is characteristic of a benign lung lesion?
An X-ray shows findings suggestive of:

Explanation: **Explanation:** The key to differentiating left-to-right shunts on a chest X-ray lies in identifying which chambers are volume-overloaded. **Why "Normal Left Atrium" is correct:** In an **Atrial Septal Defect (ASD)**, blood shunts from the left atrium (LA) to the right atrium (RA). Because the LA decompresses immediately into the RA, it does not undergo significant volume overload or enlargement. The excess blood then moves into the right ventricle and pulmonary circulation. Therefore, ASD is characterized by an **enlarged Right Atrium, Right Ventricle, and Pulmonary Artery**, but a **normal-sized Left Atrium**. In contrast, in a **Ventricular Septal Defect (VSD)** and **Patent Ductus Arteriosus (PDA)**, the shunted blood returns from the lungs directly into the Left Atrium, causing **Left Atrial Enlargement (LAE)**. Thus, the presence of a normal LA on X-ray effectively rules out VSD/PDA and points toward ASD. **Analysis of Incorrect Options:** * **A. Enlarged left atrium:** This is a hallmark of VSD, PDA, or Mitral Regurgitation, but is notably absent in ASD. * **C. Pulmonary congestion:** Both ASD and VSD are left-to-right shunts that cause increased pulmonary blood flow (plethora). This feature is common to both and cannot be used for differentiation. * **D. Aortic shadow:** The aortic knuckle is typically small or inconspicuous in both ASD and VSD due to reduced systemic output. **NEET-PG High-Yield Pearls:** * **ASD Triad on X-ray:** Small aortic knuckle, Enlarged Right Atrium/Ventricle, and Pulmonary Plethora. * **Hilar Dance:** Strong pulsations of the pulmonary arteries seen on fluoroscopy, most commonly associated with ASD. * **Most common ASD:** Ostium secundum. * **VSD X-ray:** Shows cardiomegaly with specific **Left Atrial Enlargement** (seen as a double atrial contour or splaying of the carina).
Explanation: ### Explanation The key to differentiating **Atrial Septal Defect (ASD)** from **Ventricular Septal Defect (VSD)** on a chest X-ray lies in the assessment of the **Left Atrium (LA)**. **Why "Normal Left Atrium" is correct:** In ASD, blood shunts from the left atrium to the right atrium. The "extra" volume is immediately decompressed into the right heart; therefore, the left atrium does not undergo volume overload or enlargement. In contrast, in VSD (and Patent Ductus Arteriosus), the shunted blood returns from the lungs directly into the left atrium, leading to **Left Atrial Enlargement (LAE)**. Thus, a large heart with increased pulmonary vascularity but a **normal-sized left atrium** is a classic radiographic hallmark of ASD. **Analysis of Incorrect Options:** * **A. Enlarged left atrium:** This is a characteristic feature of VSD, PDA, or Mitral Regurgitation. Its absence is what points toward ASD. * **C. Pulmonary congestion:** Both ASD and VSD are left-to-right shunts that cause increased pulmonary blood flow (plethora). This feature helps identify a shunt but does not differentiate between them. * **D. Aortic shadow:** The aortic arch is typically small or normal in both conditions due to reduced systemic output; it is not a reliable differentiating factor between the two. **High-Yield NEET-PG Pearls:** * **ASD Triad on CXR:** Small aortic knuckle, Enlarged Right Ventricle/Atrium, and Pulmonary Plethora. * **Hilar Dance:** Strong pulsations of the pulmonary arteries seen on fluoroscopy, most commonly associated with ASD. * **Most common ASD:** Ostium secundum. * **ECG Correlation:** ASD often shows Right Bundle Branch Block (RBBB) and Right Axis Deviation, whereas VSD shows Left Ventricular Hypertrophy.
Explanation: **Explanation:** In chest radiology, signs of lung collapse (atelectasis) are categorized into **Direct** and **Indirect** signs. **1. Why "Loss of Aeration" is the correct answer:** Loss of aeration (opacification) is a **Direct sign** of lung collapse. When a lung or lobe collapses, air is resorbed, and the lung parenchyma becomes solid and opaque. Along with the **displacement of interlobar fissures**, loss of aeration directly indicates the site and presence of the collapsed lung tissue itself. **2. Why the other options are incorrect (Indirect Signs):** Indirect signs are compensatory changes occurring in the surrounding structures to fill the vacuum created by the volume loss: * **Mediastinal displacement (A):** The heart and trachea shift toward the side of the collapse. * **Hilar displacement (B):** This is the most sensitive indirect sign; the hilum shifts superiorly (upper lobe collapse) or inferiorly (lower lobe collapse). * **Compensatory hyperinflation (C):** The unaffected lobes or the contralateral lung expand and appear more radiolucent to occupy the thoracic cavity. **High-Yield Clinical Pearls for NEET-PG:** * **Direct Signs:** Displacement of fissures (most reliable), loss of aeration, and crowded bronchovascular markings. * **Indirect Signs:** Hilar shift, mediastinal shift, elevation of the hemidiaphragm (Golden’s S-sign), and narrowing of intercostal spaces. * **Golden’s S-Sign:** Specifically seen in Right Upper Lobe collapse due to a central mass; the minor fissure creates an "S" shape. * **Luftsichel Sign:** A crescent of air seen in Left Upper Lobe collapse, representing the hyperinflated superior segment of the lower lobe.
Explanation: ***Pneumoconiosis*** - CT chest shows **bilateral small nodular opacities** with **upper lobe predominance**, characteristic of pneumoconiosis from occupational dust exposure. - May progress to **progressive massive fibrosis (PMF)** and show **eggshell calcification** of hilar lymph nodes, pathognomonic for silicosis. *Primary carcinoma of lung* - Typically presents as a **solitary pulmonary nodule** or **mass lesion** rather than bilateral small nodules. - Shows **irregular margins**, **spiculation**, and may have **pleural effusion** or **mediastinal lymphadenopathy**. *Bronchiectasis* - CT demonstrates **bronchial wall thickening** and **bronchial dilatation** with the classic **"tram-track" sign**. - Shows **"signet ring" appearance** where dilated bronchi appear larger than accompanying pulmonary arteries. *Chronic bronchitis* - CT findings include **bronchial wall thickening** and **peribronchial cuffing** without the nodular pattern seen here. - May show **mosaic attenuation** and **air trapping** on expiratory images, but lacks bilateral small nodules.
Explanation: **Explanation:** The **Golden S-sign** (also known as the **Reverse S-sign of Golden**) is a classic radiological sign seen on a chest X-ray or CT scan. It is formed by the collapse of the **Right Upper Lobe (RUL)**. The "S" shape is created by two distinct components: 1. **Superior/Lateral limb:** Formed by the upward displacement of the minor fissure due to RUL atelectasis (concave appearance). 2. **Inferior/Medial limb:** Formed by a **central mass** (usually Bronchogenic Carcinoma) obstructing the RUL bronchus, which creates a convex bulge. **Why Bronchogenic Carcinoma is correct:** The sign specifically indicates a central obstructing mass. In an elderly patient or a smoker, the Golden S-sign is highly suggestive of **Bronchogenic Carcinoma** (most commonly Squamous Cell Carcinoma) obstructing the right upper lobe bronchus. **Why other options are incorrect:** * **Asthma:** Typically presents with hyperinflation and air trapping, not lobar collapse with a central mass. * **Tuberculosis:** While TB can cause collapse due to endobronchial spread or lymph node compression, it rarely presents with the classic S-sign unless there is a specific endobronchial tuberculoma mimicking a mass. * **Sarcoidosis:** Usually presents with bilateral hilar lymphadenopathy (Garland’s triad) and interstitial lung disease, rather than isolated lobar collapse with a mass effect. **NEET-PG High-Yield Pearls:** * **Luftsichel Sign:** Seen in Left Upper Lobe (LUL) collapse; it is a crescent of air around the aortic arch. * **Sail Sign:** Seen in Right Middle Lobe collapse or a normal neonatal thymus. * **Flat Waist Sign:** Seen in Left Lower Lobe collapse due to rotation of the heart. * **Golden S-sign** can also be seen in the collapse of other lobes, but it is most classically described and easily recognized in the **Right Upper Lobe**.
Explanation: **Explanation:** **1. Why Pulmonary Edema is Correct:** Perihilar fluffy opacities, often described as a **"Bat-wing" or "Butterfly" pattern**, are a hallmark of **acute alveolar pulmonary edema**. This occurs when fluid leaks from the pulmonary capillaries into the alveolar spaces, primarily in the central (medullary) portion of the lungs, while sparing the peripheral (cortical) zones. The "fluffy" nature of the opacities indicates an alveolar filling process rather than interstitial thickening. **2. Analysis of Incorrect Options:** * **Sarcoidosis:** Typically presents with **bilateral hilar lymphadenopathy** (Stage I) or reticular opacities (Stage II). The nodes are discrete and well-defined, not "fluffy" alveolar opacities. * **Silicosis:** Characterized by small, discrete nodules (2–5 mm) predominantly in the upper lobes. Advanced stages show **"Eggshell calcification"** of hilar nodes, not perihilar fluffiness. * **Lung Carcinoma:** Usually presents as a solitary pulmonary nodule, a focal mass, or obstructive atelectasis. While a central tumor can cause hilar enlargement, it is typically unilateral and well-demarcated. **3. High-Yield Clinical Pearls for NEET-PG:** * **Stages of Pulmonary Edema on CXR:** 1. **Stage 1 (Cephalization):** Redistribution of blood flow to upper lobes (PCWP 13–18 mmHg). 2. **Stage 2 (Interstitial Edema):** Kerley B lines, peribronchial cuffing, and hazy hila (PCWP 18–25 mmHg). 3. **Stage 3 (Alveolar Edema):** Bat-wing opacities and pleural effusion (PCWP >25 mmHg). * **Differential for Bat-wing appearance:** Pulmonary edema (most common), Alveolar proteinosis, PJP pneumonia, and Pulmonary hemorrhage.
Explanation: ### **Explanation** The correct answer is **Right lateral decubitus**. **1. Why Right Lateral Decubitus is Correct:** In a lateral decubitus view, the patient lies on their side. Due to the effects of **gravity**, pleural fluid (effusion) moves to the most dependent part of the thoracic cavity. For a suspected right-sided effusion, the patient lies on their **right side**. This causes the fluid to layer out along the inner aspect of the lateral chest wall, making even small amounts of fluid (as little as **5–10 mL**) visible as a radiopaque line. This position is significantly more sensitive than a standard erect PA view, which requires approximately 175–200 mL of fluid to blunt the costophrenic angle. **2. Why Other Options are Incorrect:** * **Left lateral decubitus:** This position is used to visualize a **left-sided** pleural effusion or to confirm a **right-sided pneumothorax** (as air rises to the highest point). * **Full inspiration erect:** This is the standard position for a PA chest X-ray. While it helps visualize the lungs clearly, it is less sensitive for small effusions compared to the decubitus view. * **Full expiration erect:** This position is primarily used to detect a small **pneumothorax** (as lung volume decreases, the pneumothorax becomes more apparent) or to assess for foreign body aspiration (air trapping). **3. High-Yield Clinical Pearls for NEET-PG:** * **Sensitivity:** Lateral decubitus is the most sensitive **radiographic** position for free-flowing pleural fluid. However, **Ultrasonography** is the overall gold standard for bedside detection and quantification. * **Subpulmonic Effusion:** If the fluid is trapped between the lung base and the diaphragm, it may mimic a "raised hemidiaphragm." A lateral decubitus view will cause this fluid to shift, confirming the diagnosis. * **Loculated Effusion:** If the fluid does **not** shift on a lateral decubitus film, it suggests the effusion is loculated (common in empyema).
Explanation: **Explanation:** Rib notching is a classic radiological sign caused by the erosion of the rib surface due to pressure from dilated intercostal arteries, veins, or nerves. **Why Inferior Vena Cava (IVC) Obstruction is the correct answer:** Rib notching occurs when there is a need for collateral circulation. In **Superior Vena Cava (SVC) obstruction**, blood is shunted through the intercostal veins to reach the IVC, causing venous rib notching. However, in **IVC obstruction**, the collateral flow typically utilizes the azygos/hemiazygos systems and superficial abdominal veins (caput medusae) rather than the intercostal veins. Therefore, IVC obstruction does not typically result in rib notching. **Analysis of Incorrect Options:** * **Coarctation of Aorta:** This is the most common cause of **inferior** rib notching (3rd–9th ribs). High pressure in the pre-stenotic segment forces blood through dilated, tortuous posterior intercostal arteries to bypass the obstruction. * **Classical Blalock-Taussig (BT) Shunt:** This surgical procedure involves sacrificing the subclavian artery. This leads to reduced blood flow to the arm, prompting collateral development through the intercostal arteries, resulting in **unilateral** rib notching on the side of the surgery. * **Neurofibromatosis (Type 1):** This causes rib notching due to the direct pressure of **intercostal neurofibromas** against the bone. It can also cause "rib ribboning" (generalized thinning). **High-Yield Clinical Pearls for NEET-PG:** * **Roesler’s Sign:** Another name for rib notching in Coarctation of the Aorta. * **1st and 2nd ribs** are spared in Coarctation because their intercostal arteries arise from the thyrocervical trunk, which is proximal to the coarctation. * **Superior Rib Notching:** Rare; associated with connective tissue disorders like **Systemic Lupus Erythematosus (SLE)**, Rheumatoid Arthritis, or Hyperparathyroidism (due to osteoclastic activity).
Explanation: **Explanation:** In chest radiology, the pattern of calcification is the most reliable indicator for differentiating benign from malignant pulmonary nodules. **1. Why Speckled Calcification is Correct:** **Speckled (or central/diffuse/popcorn/laminated)** calcification patterns are hallmarks of benign lesions. Specifically, **speckled or central calcification** is typically seen in granulomas (like Tuberculosis or Histoplasmosis), while "popcorn" calcification is pathognomonic for Hamartomas. These patterns indicate a slow-growing, organized process. **2. Analysis of Incorrect Options:** * **Peripheral Calcification (B):** Also known as "stippled" or "eccentric" calcification, this is highly suspicious for **malignancy**. It often occurs when a tumor engulfs a pre-existing granuloma or when the tumor itself undergoes necrotic calcification. * **Ring Enhancement (C):** On contrast-enhanced CT, ring (peripheral) enhancement is often associated with lung abscesses or necrotic malignant tumors. Benign lesions typically show minimal or uniform enhancement. * **Hot spot with radio labeling agent (D):** This refers to high uptake on a **PET scan (18-FDG)**. A "hot spot" indicates high metabolic activity, which is a classic feature of **malignancy** (though it can occasionally be seen in active infections). **Clinical Pearls for NEET-PG:** * **Benign Patterns:** Diffuse, Central, Laminated (concentric), and Popcorn. * **Malignant Patterns:** Stippled, Eccentric, or absence of calcification. * **Size & Stability:** A lesion that remains stable in size for **2 years** is generally considered benign. * **Growth:** A doubling time of <1 month suggests infection; 1–18 months suggests malignancy; >18 months suggests benignity.
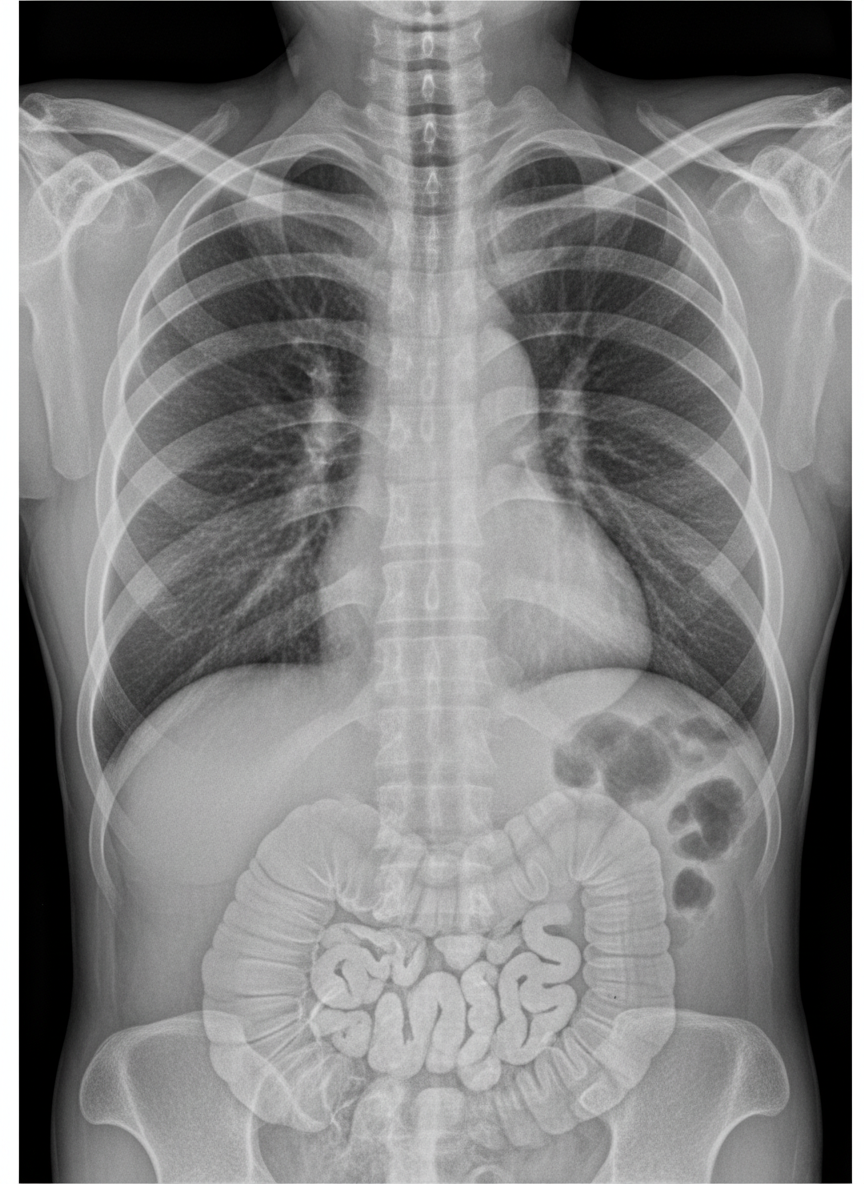
Explanation: ***Pseudopneumoperitoneum*** - Shows **bowel haustrations** beneath the right hemidiaphragm, indicating **Chilaiditi sign** (bowel interposition between liver and diaphragm). - This is a **benign condition** where the colon mimics free air but contains characteristic **colonic markings**. *Pseudopneumomediastinum* - Would show **mediastinal air-like appearance** caused by **bowel gas** in the mediastinum, not subdiaphragmatic location. - Typically involves **esophageal** or **gastric** structures creating false mediastinal air impression. *Pneumoperitoneum* - Shows **true free air** in the peritoneal cavity without **bowel wall markings** or haustrations. - Usually indicates **bowel perforation** requiring urgent surgical intervention, unlike the benign Chilaiditi sign. *Pneumomediastinum* - Presents as **actual air** in the mediastinal space, often outlining cardiac borders and great vessels. - Commonly caused by **alveolar rupture**, **esophageal perforation**, or **chest trauma** with air tracking into mediastinum.
Normal Chest Radiographic Anatomy
Practice Questions
Radiographic Signs in Chest Imaging
Practice Questions
Pulmonary Infections
Practice Questions
Chronic Obstructive Pulmonary Disease
Practice Questions
Interstitial Lung Diseases
Practice Questions
Pulmonary Neoplasms
Practice Questions
Pleural Diseases
Practice Questions
Mediastinal Pathology
Practice Questions
Congenital and Developmental Chest Anomalies
Practice Questions
Pulmonary Vascular Diseases
Practice Questions
Chest Trauma Imaging
Practice Questions
Post-Surgical Chest Imaging
Practice Questions
Get full access to all questions, explanations, and performance tracking.
Start For Free