The chest X-ray shown is characteristic of which condition?

Which of the following is NOT a radiological feature of pulmonary edema?
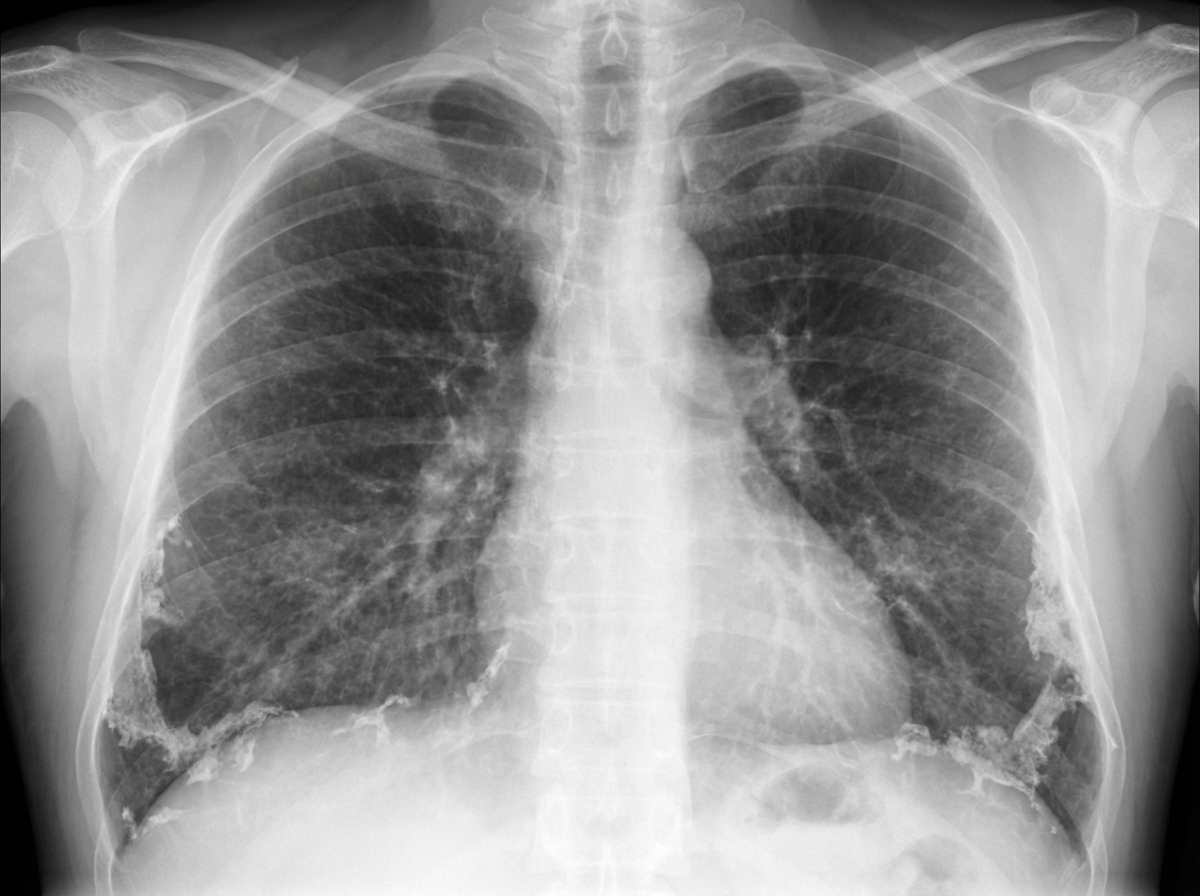
All of the following can cause a miliary shadow on X-ray chest except?
The provided chest X-ray demonstrates findings suggestive of which of the following conditions?

Popcorn calcification in the lung is characteristic of:
A lesion with sharp outlines extending above the clavicles suggests?
A CT scan of the lung bases shows cavitary lesions. What is the most likely diagnosis?
What is the most reliable sign of injury to the intrathoracic aorta?
In X-ray, loops of bowel are seen on the left side of the hemithorax with a shift of the heart shadow. What is the likely diagnosis?
Unilateral elevation of the diaphragm is commonly due to which of the following?
Explanation: ***Asbestosis*** - Characterized by **bilateral lower lobe fibrosis** with a reticulonodular pattern and **pleural plaques** on chest X-ray. - The **"shaggy heart" sign** (irregular cardiac border due to pleural thickening) is pathognomonic of asbestos exposure. *Congenital syphilis* - Chest X-ray typically shows **pneumonia alba** (white lung appearance) in severe cases or may be normal. - Does not cause **pleural plaques** or the characteristic bilateral lower lobe fibrosis seen in asbestosis. *Toxoplasmosis* - Chest involvement is rare and when present, shows **bilateral interstitial infiltrates** or pneumonitis. - Does not produce **pleural plaques** or the chronic fibrotic changes characteristic of pneumoconiosis. *Congenital tuberculosis* - Chest X-ray shows **miliary pattern** (multiple small nodules) or consolidation, often with **hilar lymphadenopathy**. - Lacks the **pleural plaques** and bilateral lower lobe fibrosis that define asbestosis on imaging.
Explanation: **Explanation:** Pulmonary edema typically presents with a **centripetal distribution**, meaning it primarily affects the perihilar (central) regions of the lungs while sparing the peripheral zones (the outer 2–3 cm of the lung parenchyma). Therefore, **Option D** is the correct answer because pulmonary edema is characterized by peripheral sparing, not peripheral involvement. **Analysis of Options:** * **Option A (Bat-wing appearance):** This is a classic radiological sign of alveolar pulmonary edema. It describes bilateral, symmetric opacities extending from the hilum, resembling the wings of a bat or butterfly, while sparing the lung periphery. * **Option B (Air bronchogram):** When fluid (edema) fills the alveoli, the air-filled bronchi become visible against the dense, fluid-filled background. This is a hallmark of any alveolar filling process, including pulmonary edema and pneumonia. * **Option C (Increased density in perihilar regions):** This occurs due to the accumulation of fluid in the interstitial and alveolar spaces around the major vessels and bronchi near the heart. **NEET-PG High-Yield Pearls:** * **Stages of Heart Failure on CXR:** 1. **Stage 1 (Cephalization):** Redistribution of blood flow to upper lobes (PCWP 13–18 mmHg). 2. **Stage 2 (Interstitial Edema):** Kerley B lines (short horizontal lines at lung bases), peribronchial cuffing, and hazy hila (PCWP 18–25 mmHg). 3. **Stage 3 (Alveolar Edema):** Bat-wing opacities and pleural effusions (PCWP >25 mmHg). * **Reverse Bat-wing Opacity:** If you see peripheral opacities with central sparing, think of **Chronic Eosinophilic Pneumonia** or Organizing Pneumonia.
Explanation: **Explanation:** The term **"miliary shadow"** refers to a pattern of fine, discrete, uniform micronodules (1–3 mm in diameter) distributed throughout both lung fields. This pattern typically represents the hematogenous spread of an infection or a systemic process. **Why Wegener’s Granulomatosis is the correct answer:** Wegener’s Granulomatosis (now known as **Granulomatosis with Polyangiitis or GPA**) typically presents on a chest X-ray as **large nodules (often >1 cm), masses, and cavitary lesions**. While it is a granulomatous disease, it does not typically present with a diffuse miliary (micronodular) pattern. Instead, it is a classic cause of multiple cavitating pulmonary nodules. **Analysis of Incorrect Options:** * **Tuberculosis (TB):** The most common cause of a miliary pattern. It occurs due to the hematogenous dissemination of *Mycobacterium tuberculosis*. * **Histoplasmosis & Coccidioidomycosis:** These are fungal infections that can disseminate hematogenously, especially in immunocompromised hosts, leading to a miliary appearance indistinguishable from TB. **High-Yield Clinical Pearls for NEET-PG:** * **Mnemonic for Miliary Shadows:** **"MIST"** * **M:** Miliary TB, Metastasis (Thyroid-medullary/papillary, Renal Cell Carcinoma, Melanoma, Trophoblastic disease). * **I:** Infections (Fungal: Histoplasmosis, Coccidioidomycosis; Viral: Varicella). * **S:** Sarcoidosis, Silicosis (usually upper zone predominance). * **T:** Tropical Eosinophilia, Talcosis. * **Key Distinction:** If the nodules are larger and "fluffy," consider **"Cannon-ball metastases"** (typically from RCC, Choriocarcinoma, or Prostate cancer). * **GPA (Wegener's) Triad:** Necrotizing granulomas of the respiratory tract, vasculitis, and glomerulonephritis (c-ANCA positive).
Explanation: ***Metastasis to the lungs*** - Chest X-ray shows **multiple bilateral rounded nodules** creating a characteristic **"cannonball" pattern**, which is pathognomonic for pulmonary metastases. - The nodules are typically **well-defined**, **varying in size**, and distributed throughout both lung fields, indicating hematogenous spread. *Pneumothorax* - Would present as **lucency** (blackness) in the pleural space with **absence of lung markings** and a visible **pleural line**. - The lung would appear **collapsed** away from the chest wall, not as multiple nodular opacities. *Pneumatocele* - Appears as **thin-walled air-filled cavities** that are typically **single or few in number**, not multiple solid nodules. - Usually develops after **pneumonia** or **trauma**, presenting as cystic lesions rather than solid masses. *Bronchial adenoma* - Typically presents as a **single well-defined mass** near the **hilum** or within a **bronchus**, not multiple bilateral nodules. - Often causes **post-obstructive pneumonia** or **atelectasis** downstream from the obstruction, which is not seen in this pattern.
Explanation: **Explanation:** **1. Why Hamartoma is correct:** A pulmonary hamartoma is the most common benign lung tumor. It is composed of disorganized tissues normally found in the lung, such as cartilage, fat, and fibrous tissue. The "popcorn calcification" pattern is a classic radiological sign caused by the irregular, lobulated calcification of the cartilaginous component within the lesion. While this sign is pathognomonic, it is only seen in about 10–30% of cases on CT scans. **2. Analysis of Incorrect Options:** * **Congenital Pulmonary Adenomatoid Malformation (CPAM):** These are multicystic masses of segmental lung tissue. They typically present as air-filled or fluid-filled cysts in neonates, not with calcification. * **Small Cell Carcinoma:** This is a highly aggressive central malignancy. It usually presents as a large hilar mass with bulky lymphadenopathy. Calcification is extremely rare in untreated primary lung cancers. * **Bronchial Carcinoids:** These are neuroendocrine tumors that often present as endobronchial masses causing distal collapse. While they can occasionally show punctate or eccentric calcification, they do not exhibit the classic "popcorn" pattern. **3. NEET-PG High-Yield Pearls:** * **Hamartoma Triad:** Radiological findings often include a well-defined solitary pulmonary nodule (SPN), **popcorn calcification**, and the presence of **intranodular fat** (detected via low Hounsfield units on CT). * **Other "Popcorn" Calcifications:** In radiology, this pattern is also seen in **Degenerating Uterine Fibroids** and **Fibroadenomas of the breast**. * **Management:** If the "popcorn" pattern and fat are present, the lesion is considered benign, and no further intervention is required.
Explanation: ### Explanation This question tests the application of the **Cervicothoracic Sign**, a variation of the silhouette sign used to localize mediastinal masses on a frontal chest X-ray. #### 1. Why Posterior Mediastinal Lesion is Correct The key to this sign is the anatomical boundary of the **pleural dome**. The anterior mediastinum ends at the level of the clavicles, while the posterior mediastinum extends much higher. * **The Concept:** Air in the lungs must surround a lesion for its borders to be visible. * **The Sign:** If a lesion extends above the clavicles and maintains **sharp, well-defined lateral outlines**, it must be surrounded by lung tissue in the posterior gutter. This indicates the lesion is located posteriorly. #### 2. Why Other Options are Incorrect * **Anterior Mediastinal Lesion:** The anterior mediastinum is bounded superiorly by the clavicles. If a mass is in the anterior mediastinum, it comes into contact with the soft tissues of the neck as it rises. This "silhouette" effect causes the upper border of the mass to become obscured or "lost" above the level of the clavicles. * **Cardiac Lesion:** Cardiac structures are located in the middle mediastinum and do not typically extend above the clavicles. A cardiac silhouette sign usually involves the borders of the heart (e.g., right heart border for middle lobe pathology). #### 3. High-Yield Clinical Pearls for NEET-PG * **Cervicothoracic Sign:** * **Border visible above clavicle:** Posterior Mediastinum (e.g., Neurogenic tumors like Schwannomas). * **Border disappears/blurs at clavicle:** Anterior Mediastinum (e.g., Retrosternal Goiter, Thymoma). * **Hilum Overlay Sign:** If hilar vessels are visible *through* a mass, the mass is either anterior or posterior to the hilum, not arising from the hilum itself. * **Iceberg Sign:** A mass that widens as it passes below the diaphragm, suggesting a thoraco-abdominal location (e.g., Para-aortic lymphadenopathy).
Explanation: **Explanation:** **Bronchiectasis** is defined as the permanent, abnormal dilation of the bronchi due to chronic inflammation and infection. On a CT scan, these dilated bronchi often appear as **cavitary or cystic lesions**, especially when viewed in cross-section. A classic radiological sign is the **"Signet Ring Sign,"** where the internal diameter of the bronchus is larger than its accompanying pulmonary artery. When these dilated airways are filled with air and occur in clusters at the lung bases, they mimic multiple thin-walled cavities. **Analysis of Incorrect Options:** * **Asbestosis:** Characterized by subpleural reticular opacities, pleural plaques, and interstitial fibrosis. It does not typically present with cavitary lesions. * **Silicosis:** Presents with small, well-defined nodules (predominantly in upper lobes) and "Eggshell calcification" of hilar lymph nodes. Cavitation only occurs if complicated by progressive massive fibrosis (PMF) or tuberculosis. * **Emphysema:** Characterized by hyperlucency and destruction of alveolar walls (bullae), but these are not true "cavitary lesions" of the bronchial tree. Centrilobular emphysema lacks the distinct walls seen in bronchiectasis. **NEET-PG High-Yield Pearls:** * **HRCT** is the gold standard investigation for Bronchiectasis. * **Tram-track sign:** Parallel opacities representing thickened bronchial walls. * **Finger-in-glove sign:** Seen when dilated bronchi are impacted with mucus (common in ABPA). * **Kartagener Syndrome:** Triad of Bronchiectasis, Sinusitis, and Situs Inversus. * **Most common cause in India:** Post-tubercular bronchiectasis (usually involving upper lobes).
Explanation: **Explanation:** Traumatic aortic injury (TAI) most commonly occurs at the **aortic isthmus** (just distal to the origin of the left subclavian artery) due to deceleration forces. **1. Why "Obliteration of the aortic knob contour" is correct:** While mediastinal widening is the most common finding, it is highly non-specific. The **loss of the sharp, distinct contour of the aortic knob** is considered the **most reliable and specific plain film sign** of aortic rupture. This occurs because an intramural or periaortic hematoma obscures the interface between the air-filled lung and the aortic wall. **2. Analysis of Incorrect Options:** * **Mediastinal Widening (>8 cm):** This is the most sensitive screening sign (seen in ~85% of cases) but has poor specificity, as it can be caused by venous bleeding, technical factors (supine AP films), or sternal fractures. * **Depression of the left main stem bronchus:** This occurs when a large hematoma pushes the bronchus downward (usually >40° from the horizontal). It is a secondary sign indicating a significant volume of blood in the superior mediastinum. * **Apical cap (Pleural fluid):** This refers to blood tracking along the extrapleural space over the apex of the lung (usually the left). It is a suggestive but late and non-specific sign. **High-Yield Clinical Pearls for NEET-PG:** * **Gold Standard Investigation:** CT Angiography (CTA) is the investigation of choice in stable patients. * **Most common site of injury:** Aortic Isthmus (fixation point by Ligamentum Arteriosum). * **Other specific signs:** Deviation of the nasogastric tube to the right, deviation of the trachea to the right, and widening of the right paratracheal stripe.
Explanation: **Explanation:** The presence of bowel loops within the thoracic cavity on an X-ray, accompanied by a mediastinal shift (displacement of the heart shadow), indicates a **diaphragmatic defect** allowing abdominal contents to herniate into the chest. 1. **Why "Any of the above" is correct:** All three conditions listed involve the displacement of abdominal viscera into the hemithorax, which can radiologically present as air-filled bowel loops and a contralateral shift of the heart. * **Bochdalek Hernia:** The most common congenital diaphragmatic hernia (CDH). It occurs due to the failure of the pleuroperitoneal canal to close. It is characteristically located **posterolaterally** and occurs on the **left side** in 85% of cases. * **Morgagni’s Hernia:** A rarer defect occurring through the **anteromedial** (retrosternal) space. While more common on the right, it can occur on the left and present with bowel herniation. * **Eventration of Diaphragm:** This is not a true hernia but a condition where the diaphragm is thin and weak (due to incomplete muscularization) but remains intact. The weakened leaf of the diaphragm elevates high into the thorax, carrying the bowel loops with it and causing a similar mass effect and heart shift. **Clinical Pearls for NEET-PG:** * **Bochdalek = Back and Left:** (Posterolateral). This is the one most associated with neonatal respiratory distress and pulmonary hypoplasia. * **Morgagni = Midline/Anterior:** (Retrosternal). Often asymptomatic until later in life. * **Scaphoid Abdomen:** A classic clinical sign of CDH where the abdomen appears sunken because the viscera have moved into the chest. * **Management:** Initial stabilization involves **nasogastric decompression** and avoiding bag-mask ventilation (to prevent bowel distension); definitive treatment is surgical repair.
Explanation: **Explanation:** Unilateral elevation of the diaphragm occurs when the diaphragm is pushed upward by an abdominal process or pulled upward by a thoracic process. **Why "Large Liver" is correct:** Hepatomegaly (a large liver) is a classic cause of **unilateral (right-sided) elevation**. Because the liver is situated immediately beneath the right hemidiaphragm, any significant increase in its volume or the presence of a space-occupying lesion (like a liver abscess or tumor) will physically displace the diaphragm superiorly. This is a common radiological finding on a Chest X-ray (CXR). **Analysis of Incorrect Options:** * **Obesity:** This typically causes **bilateral** elevation of the diaphragm due to increased intra-abdominal pressure and adipose tissue pushing both sides upward simultaneously. * **Scoliosis:** While severe spinal curvature can distort the appearance of the chest cavity and make the diaphragm appear asymmetric, it is a structural skeletal deformity rather than a primary cause of diaphragmatic displacement. * **Congenital causes:** While conditions like Eventration (congenital muscular deficiency) can cause unilateral elevation, they are statistically less common than acquired causes like hepatomegaly or phrenic nerve palsy in clinical practice. **High-Yield Clinical Pearls for NEET-PG:** * **Phrenic Nerve Palsy:** The most common cause of a "paralyzed" elevated hemidiaphragm. Diagnosis is confirmed via the **Sniff Test** (Fluoroscopy), where the affected side shows **paradoxical movement** (moves up during inspiration). * **Normal Variation:** The right hemidiaphragm is normally **1–2 cm higher** than the left due to the liver. * **Differential Diagnosis:** Always rule out **infrapulmonary effusion** (pseudodiaphragmatic contour) and **lower lobe collapse** (which pulls the diaphragm up).
Normal Chest Radiographic Anatomy
Practice Questions
Radiographic Signs in Chest Imaging
Practice Questions
Pulmonary Infections
Practice Questions
Chronic Obstructive Pulmonary Disease
Practice Questions
Interstitial Lung Diseases
Practice Questions
Pulmonary Neoplasms
Practice Questions
Pleural Diseases
Practice Questions
Mediastinal Pathology
Practice Questions
Congenital and Developmental Chest Anomalies
Practice Questions
Pulmonary Vascular Diseases
Practice Questions
Chest Trauma Imaging
Practice Questions
Post-Surgical Chest Imaging
Practice Questions
Get full access to all questions, explanations, and performance tracking.
Start For Free