Superior rib notching is seen in all except?
A soft tissue mass in the chest with rib erosion in X-ray is seen in all except?
A boot-shaped heart on a chest X-ray is characteristic of which congenital heart defect?
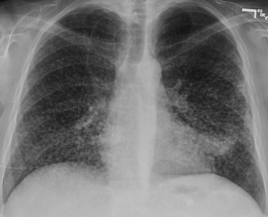
A 60-year-old man with a 40-pack-year smoking history and 20 years of work as a construction worker presents with shortness of breath and occasional blood-streaked sputum. His ECG shows lateral wall ischemia. What is the likely cause of the findings on his chest x-ray?

In a lung X-ray, what causes a heterogenous shadow?
What does a CT of the Thorax primarily represent?
Which of the following is NOT a chest X-ray sign of pulmonary embolism?
The "sniff test" is used to assess for which of the following conditions?
Deep sulcus sign is seen in which of the following conditions?
Popcorn calcification on chest X-ray is seen in:
Explanation: **Explanation:** Rib notching is a high-yield topic in NEET-PG. To answer this correctly, one must distinguish between **inferior** and **superior** rib notching. **1. Why Taussig-Bing anomaly is the correct answer:** Taussig-Bing anomaly (a type of Double Outlet Right Ventricle with subpulmonic VSD) is a cyanotic congenital heart disease. Like Coarctation of the Aorta, it is associated with **inferior rib notching** (Roesler’s sign). Inferior notching occurs due to pressure erosion from dilated, tortuous intercostal arteries acting as collateral pathways. It typically involves the 3rd to 9th ribs. **2. Why the other options are incorrect (Causes of Superior Rib Notching):** Superior rib notching is much rarer and is generally caused by **disturbed osteoblastic/osteoclastic activity** or **pressure from external soft tissues**, rather than vascular collaterals. * **SLE, Marfan syndrome, and Sjogren syndrome:** These are classic causes of superior rib notching. In connective tissue disorders (SLE, Sjogren’s, Rheumatoid Arthritis), the mechanism is likely chronic inflammation and localized osteopenia. In Marfan syndrome, it is attributed to a deficiency in the connective tissue matrix of the bone. **Clinical Pearls for NEET-PG:** * **Inferior Rib Notching (Mnemonic: "3 C's"):** **C**oarctation of aorta (most common), **C**yanotic heart disease (e.g., Blalock-Taussig shunt, Taussig-Bing), and **C**irculatory obstructions (SVC syndrome). * **Superior Rib Notching (Mnemonic: "SHAM"):** **S**cleroderma/SLE/Sjogren's, **H**yperparathyroidism, **A**lkaptonuria, **M**arfan syndrome/Melorheostosis. * **Unilateral Notching:** If seen on the right side only in Coarctation, it suggests the narrowing is proximal to the left subclavian artery.
Explanation: **Explanation:** The presence of a **soft tissue mass associated with rib erosion** on a chest X-ray typically indicates a primary bone tumor or a plasma cell dyscrasia that directly destroys the cortical bone as it expands into the surrounding tissue. **1. Why Leukemia is the Correct Answer:** Leukemia is a hematological malignancy of the bone marrow. While it can cause generalized osteopenia, lytic lesions (rarely), or periosteal reactions in children, it **does not typically present as a focal soft tissue mass with localized rib erosion.** In the chest, leukemia more commonly presents with mediastinal lymphadenopathy or pleural effusions rather than primary rib destruction. **2. Analysis of Incorrect Options:** * **Ewing’s Sarcoma:** This is a common primary bone tumor in children/young adults. When it involves the ribs (Askin tumor), it characteristically presents with a large, aggressive soft tissue mass and extensive rib destruction/erosion. * **Multiple Myeloma:** This is the most common primary bone malignancy in adults. It causes "punched-out" lytic lesions. A plasmacytoma (localized myeloma) frequently presents as an expansile rib lesion with an associated soft tissue component. * **Osteosarcoma:** Although more common in long bones, when it occurs in the ribs, it presents as a destructive bony lesion with a significant soft tissue mass, often showing osteoid matrix mineralization (sunburst appearance). **Clinical Pearls for NEET-PG:** * **Askin Tumor:** A primitive neuroectodermal tumor (PNET) of the chest wall, belonging to the Ewing’s family; look for a giant chest wall mass in a child. * **Most common cause of rib destruction:** Metastatic disease (e.g., Lung, Breast, Prostate) is more common than primary bone tumors. * **Multiple Myeloma:** Always consider this in an elderly patient with "punched-out" rib lesions and a soft tissue mass.
Explanation: **Explanation:** The **boot-shaped heart** (also known as **"Coeur en Sabot"**) is the classic radiological sign for **Tetralogy of Fallot (TOF)**. This specific morphology occurs due to two primary anatomical changes: 1. **Right Ventricular Hypertrophy (RVH):** The pressure overload causes the right ventricle to enlarge, which lifts the cardiac apex upward and outward. 2. **Pulmonary Hypoplasia:** The narrow right ventricular outflow tract (pulmonary stenosis) results in a small, concave pulmonary artery segment (the "waist" of the heart), accentuating the boot appearance. **Analysis of Incorrect Options:** * **Transposition of the Great Arteries (TGA):** Characterized by an **"Egg-on-a-string"** appearance. The narrow mediastinum (due to stress-induced thymic atrophy and the parallel orientation of the great vessels) makes the heart look like an egg hanging by a string. * **Total Anomalous Pulmonary Venous Connection (TAPVC):** Specifically the supracardiac type, it presents with a **"Snowman sign"** or **"Figure-of-8"** appearance due to a dilated vertical vein and superior vena cava. * **Partial Anomalous Pulmonary Venous Connection (PAPVC):** Often associated with **Scimitar Syndrome**, where a curved anomalous vein drains into the IVC, resembling a Turkish sword (Scimitar sign). **High-Yield Clinical Pearls for NEET-PG:** * **TOF Components:** VSD, Overriding of Aorta, Pulmonary Stenosis, and RVH. * **Lung Fields in TOF:** Usually show **oligemia** (decreased vascular markings) due to reduced pulmonary blood flow. * **Box-shaped heart:** Seen in **Ebstein’s Anomaly** (massive right atrial enlargement). * **Sitting Duck sign:** Seen in **Persistent Truncus Arteriosus**.
Explanation: ***Environmental occupational exposure*** - 20 years of **construction work** leads to prolonged exposure to **asbestos** and **silica dust**, causing characteristic chest x-ray findings like **interstitial opacities**, **pleural plaques** (asbestosis), or **upper lobe nodules** with **eggshell calcifications** (silicosis). - The combination of **smoking history** and **occupational dust exposure** significantly increases the risk of developing **pneumoconiosis** and related pulmonary complications. *Chronic bronchitis* - Typically presents with **productive cough** with purulent sputum for at least 3 months per year for 2 consecutive years, but doesn't cause specific chest x-ray abnormalities. - While smoking is a risk factor, chronic bronchitis usually shows **normal chest x-ray** or **increased bronchovascular markings**, not the interstitial changes expected from occupational exposure. *Empyema* - Characterized by **infected pleural fluid** collection, presenting with **fever**, **pleuritic chest pain**, and **systemic toxicity**. - Chest x-ray would show **pleural effusion** with **air-fluid levels** if complicated, not the interstitial patterns typical of occupational lung disease. *Congestive heart failure* - While the **lateral wall ischemia** on ECG suggests cardiac involvement, CHF typically causes **bilateral lower lobe infiltrates**, **cardiomegaly**, and **pulmonary edema**. - The **ECG finding** is likely a **distractor** and not the primary cause of the chest x-ray changes, which are more consistent with occupational lung disease from construction work exposure.
Explanation: ### Explanation **Correct Answer: D. Tuberculosis** In chest radiology, a **heterogenous shadow** refers to an opacity with varying densities within the same lesion. **Tuberculosis (TB)** is the classic cause because it is a complex pathological process. A single TB lesion often contains a mix of different stages: **caseous necrosis, cavitation, fibrosis, calcification, and exudative inflammation**. On an X-ray, the air within a cavity appears radiolucent (dark), while fibrosis and calcification appear radiopaque (white), resulting in a "patchy" or non-uniform appearance. **Why the other options are incorrect:** * **A. Haemangioma:** These are vascular malformations that typically present as well-defined, smooth, **homogenous** soft tissue masses. * **B. Pulmonary Infarction:** This usually presents as a **homogenous** wedge-shaped opacity (Hampton’s Hump) located at the periphery/pleural base. * **C. Metastatic Lesion:** Pulmonary metastases (e.g., "cannonball" secondaries) are typically well-circumscribed, discrete, and **homogenous** nodules or masses. **High-Yield Clinical Pearls for NEET-PG:** * **Homogenous shadows** are typically seen in pleural effusion, lobar pneumonia (consolidation), and collapse. * **Heterogenous shadows** are characteristic of TB, bronchopneumonia, and lung abscesses (due to the air-fluid level). * **Ghon’s Complex:** A combination of a parenchymal lesion (Ghon focus) + lymphangitis + hilar lymphadenopathy; it is a hallmark of primary TB. * **Ranke Complex:** A healed Ghon’s complex that has undergone calcification.
Explanation: **Explanation:** The question refers to the classification of aortic dissections based on anatomical location, which is a high-yield topic in NEET-PG. Aortic dissection occurs when a tear in the tunica intima allows blood to flow between the layers of the aortic wall, creating a "false lumen." **1. Why Option B is Correct:** The **Stanford Classification** is the most widely used system for aortic dissection: * **Stanford Type A:** Involves the **ascending aorta** (proximal to the left subclavian artery). These are surgical emergencies. * **Stanford Type B:** Involves only the **descending aorta** (distal to the left subclavian artery). These are typically managed medically with blood pressure control unless complications arise. In CT imaging, a dissection is identified by an **intimal flap** separating the true and false lumens. If the flap is visualized only distal to the great vessels in the descending thoracic aorta, it is a Type B dissection. **2. Why Other Options are Incorrect:** * **Option A:** An ascending aortic dissection (Type A) would show an intimal flap in the portion of the aorta proximal to the arch. * **Option B:** An aortic aneurysm represents a localized, permanent dilation of the artery (all three layers) without an intimal flap. * **Option D:** Cystic Fibrosis is a multisystem genetic disorder; on chest CT, it typically presents with bronchiectasis, signet ring signs, and mucus plugging, not vascular pathology. **Clinical Pearls for NEET-PG:** * **Gold Standard Investigation:** CT Angiography (CTA) is the investigation of choice for suspected aortic dissection. * **DeBakey Classification:** Type I (Ascending + Descending), Type II (Ascending only), Type III (Descending only). * **Radiological Sign:** The "Mercedes-Benz sign" may be seen in the rare case of a triple-lumen dissection. * **Chest X-ray:** May show a widened mediastinum (>8cm) or the "Calcium sign" (displacement of intimal calcification).
Explanation: **Explanation** In the context of Pulmonary Embolism (PE), the chest X-ray is often normal (the most common finding), but specific signs can point toward the diagnosis. **Why Monod Sign is the Correct Answer:** The **Monod sign** is not associated with pulmonary embolism. It refers to a radiolucent crescent of air surrounding a mobile intracavitary mass, typically a **mycetoma (aspergilloma)**, within a pre-existing lung cavity. It is a hallmark of fungal colonization rather than vascular pathology. **Analysis of Incorrect Options (Signs of PE):** * **Westermark’s Sign:** Represents focal oligemia (decreased vascular markings) distal to the occluded pulmonary artery. It occurs due to the redirection of blood flow away from the embolized segment. * **Palla’s Sign:** Refers to an enlarged, "sausage-shaped" right descending pulmonary artery caused by the physical presence of a large thrombus distending the vessel. * **Hampton’s Hump (Not listed but related):** A wedge-shaped, pleural-based opacity representing pulmonary infarction. **Clinical Pearls for NEET-PG:** 1. **Most common CXR finding in PE:** A normal chest X-ray. 2. **Most common ECG finding in PE:** Sinus tachycardia (S1Q3T3 is specific but less common). 3. **Gold Standard Investigation:** CT Pulmonary Angiography (CTPA). 4. **Air Crescent Sign vs. Monod Sign:** While often used interchangeably, the "Air Crescent Sign" specifically refers to the crescent seen during the recovery phase of invasive pulmonary aspergillosis as necrotic tissue separates from healthy lung.
Explanation: ### Explanation **Correct Option: C. Phrenic Nerve Palsy** The "sniff test," also known as **diaphragmatic fluoroscopy**, is the gold standard radiological investigation for assessing diaphragmatic paralysis (Phrenic nerve palsy). * **Mechanism:** Under fluoroscopic guidance, the patient is asked to perform a quick, sharp inspiration through the nose (a "sniff"). * **Normal Response:** Both hemidiaphragms should move downwards (caudally) as the diaphragm contracts. * **Positive Result (Palsy):** The paralyzed side shows **paradoxical movement**, where it moves upwards (cephalad) during inspiration. This occurs because the negative intrathoracic pressure generated by the healthy side sucks the flaccid, paralyzed hemidiaphragm into the chest. **Analysis of Incorrect Options:** * **A & B (Facial and Vestibular Nerve Palsy):** These are cranial nerve (CN VII and VIII) deficits. Assessment involves clinical neurological examination (e.g., facial symmetry, caloric reflex testing, or audiometry), not dynamic respiratory maneuvers. * **D (Oculomotor Nerve Palsy):** CN III palsy is assessed via extraocular movement examination and pupillary light reflex testing. **High-Yield Clinical Pearls for NEET-PG:** * **Chest X-ray finding:** Phrenic nerve palsy typically presents as an **elevated hemidiaphragm** on the affected side. * **Differential Diagnosis:** An elevated hemidiaphragm can also be caused by **Eventration** (congenital thinning of the muscular portion). The sniff test helps differentiate true paralysis from eventration (where movement is usually sluggish but not paradoxical). * **Nerve Root:** Remember the phrenic nerve originates from **C3, C4, and C5** ("keeps the diaphragm alive"). * **Causes:** Most common causes include malignancy (bronchogenic carcinoma invading the nerve), trauma, or idiopathic.
Explanation: **Explanation:** The **Deep Sulcus Sign** is a classic radiological indicator of **pneumothorax** in a supine patient (e.g., trauma patients or those in the ICU). In a standing position, air rises to the apex; however, in a supine position, air collects anteriorly and laterally in the pleural space. This causes the costophrenic angle to appear abnormally deepened, lucent (darker), and sharp, sometimes extending below the level of the diaphragm. **Analysis of Options:** * **A. Pneumothorax (Correct):** As explained, the displacement of air into the lateral costophrenic sulcus creates the "deep" appearance. It is often the only sign of pneumothorax on a supine chest X-ray. * **B. Pleural Effusion:** This typically causes **blunting** or "obliteration" of the costophrenic angle due to fluid accumulation, which is the opposite of the deep sulcus sign. * **C. Tuberculosis:** Common findings include apical infiltrates, cavitation, or Ghon complexes, but not a deep sulcus unless complicated by a secondary pneumothorax. * **D. Pneumonia:** Characterized by consolidation (air bronchograms and increased opacity), not the lucent deepening of the sulcus. **Clinical Pearls for NEET-PG:** * **Supine X-ray:** Always look for the deep sulcus sign when a pneumothorax is suspected in a bedbound patient. * **Companion Sign:** The **"Double Diaphragm Sign"** is another indicator of supine pneumothorax, where air outlines the anterior diaphragmatic surface separately from the posterior domes. * **Gold Standard:** While X-ray is the initial screening tool, **NCCT Chest** is the most sensitive imaging modality for detecting a small pneumothorax.
Explanation: **Explanation:** **1. Why Hamartoma is correct:** A pulmonary hamartoma is the most common benign lung tumor. It is a disorganized growth of tissues normally found in the lung, predominantly cartilage, fat, and connective tissue. The characteristic **"popcorn calcification"** occurs due to the irregular, lobulated patterns of calcification within the cartilaginous component of the tumor. On a chest X-ray or CT, this appears as coarse, scattered, or tufted calcified clumps resembling a popcorn kernel. **2. Why the other options are incorrect:** * **Granuloma:** These typically show solid, central, or laminated ("target") calcification patterns. They are usually the result of healed infections like Tuberculosis or Histoplasmosis. * **Metastasis:** Most pulmonary metastases do not calcify. When they do (e.g., osteosarcoma or chondrosarcoma), the pattern is usually dense or osteoid rather than "popcorn-like." * **Sarcoidosis:** This typically presents with bilateral hilar lymphadenopathy (Stage I) and parenchymal infiltrates. While lymph nodes may show "eggshell calcification," the lung parenchyma itself does not typically exhibit popcorn calcification. **3. High-Yield Clinical Pearls for NEET-PG:** * **Diagnostic Triad for Hamartoma on CT:** A well-circumscribed solitary pulmonary nodule containing **fat** (low Hounsfield units: -40 to -120 HU) and **popcorn calcification**. * **Eggshell Calcification:** Classically seen in the hilar lymph nodes of patients with **Silicosis** and sometimes Sarcoidosis. * **Phleboliths:** Calcifications seen in pulmonary hemangiomas. * **Fleischner Society Guidelines:** Remember that a stable size for 2 years and benign calcification patterns (popcorn, laminated, central, or diffuse) generally indicate a benign lesion.
Normal Chest Radiographic Anatomy
Practice Questions
Radiographic Signs in Chest Imaging
Practice Questions
Pulmonary Infections
Practice Questions
Chronic Obstructive Pulmonary Disease
Practice Questions
Interstitial Lung Diseases
Practice Questions
Pulmonary Neoplasms
Practice Questions
Pleural Diseases
Practice Questions
Mediastinal Pathology
Practice Questions
Congenital and Developmental Chest Anomalies
Practice Questions
Pulmonary Vascular Diseases
Practice Questions
Chest Trauma Imaging
Practice Questions
Post-Surgical Chest Imaging
Practice Questions
Get full access to all questions, explanations, and performance tracking.
Start For Free