A chest X-ray shows Hilar vascular markings, Kerley B lines, and a hazy left lung field. What is the most likely diagnosis?
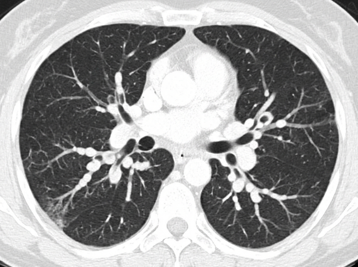
A patient presents with chronic productive cough and clubbing, with coarse rales on auscultation. What is the diagnosis suggested by the CT scan shown?

What is the gold standard for the diagnosis of pulmonary embolism?
Kerley lines are typically seen in which of the following conditions?
Which of the following shows splaying of the carina in the retrocardiac shadow?
Bulging fissures in the lung are seen in which condition?
Which of the following statements about loculated pleural effusion is false?
Floating water lily sign on chest x-ray is characteristic of?
What is the cause of posterior mediastinal opacity on a PA and lateral view of a chest X-ray?
Which of the following is NOT a true radiographic finding in emphysema?
Explanation: ### Explanation The correct answer is **Mild congestive heart failure (CHF)**. This diagnosis is based on the classic radiological progression of pulmonary edema, which occurs in stages as pulmonary capillary wedge pressure (PCWP) rises. **1. Why Mild CHF is correct:** The findings described represent **Interstitial Edema** (Stage II of CHF): * **Hilar vascular markings:** Increased prominence of pulmonary vessels due to venous congestion. * **Kerley B lines:** Short, horizontal lines (1–2 cm) at the lung bases/periphery, representing thickened interlobular septa due to fluid accumulation. * **Hazy lung field:** Represents early alveolar fluid or interstitial thickening (ground-glass appearance). * *Note:* In NEET-PG, "Mild CHF" often refers to this interstitial stage before frank alveolar "bat-wing" edema occurs. **2. Why other options are incorrect:** * **Pleural effusion:** While often associated with CHF, it typically presents as a dense, homogenous opacity with a **concave upper border (Meniscus sign)** and obliteration of the costophrenic angle, rather than diffuse Kerley B lines. * **Bronchiectasis:** Characterized by "Tram-track" opacities (thickened bronchial walls) and "Signet ring" signs on CT, usually associated with chronic cough and foul sputum. * **Emphysema:** Presents with **hyperlucency** (darker lungs), flattened diaphragms, and a "sabre-sheath" heart, which is the opposite of the increased vascular markings seen here. **3. High-Yield Clinical Pearls for NEET-PG:** * **Cephalization (Antler Sign):** Redistribution of blood to the upper lobes (Stage I CHF, PCWP 13–18 mmHg). * **Kerley B lines:** Pathognomonic for interstitial edema (Stage II CHF, PCWP 18–25 mmHg). * **Bat-wing appearance:** Perihilar opacities seen in alveolar edema (Stage III CHF, PCWP >25 mmHg). * **Heart Size:** A Cardiothoracic (CT) ratio >0.5 on a PA view is the most common finding in CHF.
Explanation: ***Bilateral varicose bronchiectasis*** - The clinical triad of **chronic productive cough**, **digital clubbing**, and **coarse rales** is pathognomonic for bronchiectasis, with varicose type showing characteristic **beaded/irregular dilations** on CT. - CT demonstrates the **signet-ring sign** (dilated bronchi larger than adjacent vessels) and **bronchial wall thickening**, confirming irreversible airway dilatation. *Multiple cavitating secondaries* - Would present with **multiple thick-walled cavities** scattered throughout both lungs, typically in **peripheral locations**. - Associated with **weight loss**, **hemoptysis**, and a **known primary malignancy** (commonly lung, kidney, or head & neck cancers). *Interstitial fibrosis* - Characterized by **fine inspiratory crackles** rather than coarse rales, with **honeycombing** and **reticular patterns** on CT. - Typically causes **restrictive lung disease** with reduced lung volumes, not the obstructive pattern seen in bronchiectasis. *Miliary tuberculosis* - Shows **diffuse small nodules** (1-3mm) with uniform distribution throughout both lung fields on CT. - Presents with **systemic symptoms** like fever, night sweats, and weight loss, often in **immunocompromised patients**.
Explanation: **Explanation:** The diagnosis of Pulmonary Embolism (PE) involves a tiered approach based on clinical probability and imaging availability. **1. Why Pulmonary Angiography is the Correct Answer:** Pulmonary angiography is historically and academically considered the **"Gold Standard"** because it provides the highest spatial resolution and allows for the direct visualization of intraluminal filling defects. It is an invasive procedure involving catheterization of the right heart and injection of contrast directly into the pulmonary arteries. While it is the definitive reference standard, it is rarely performed today due to its invasive nature and the high accuracy of non-invasive alternatives. **2. Analysis of Incorrect Options:** * **Chest X-ray:** Usually the first investigation performed to rule out other causes of chest pain (like pneumonia or pneumothorax). In PE, it is often normal or shows non-specific signs (e.g., **Westermark sign** or **Hampton’s hump**), but it is never diagnostic. * **Ventilation-Perfusion (V/Q) Scan:** Previously the screening test of choice, it is now reserved for patients with contraindications to CT contrast (e.g., renal failure or pregnancy). It provides a "probability" rather than a definitive diagnosis. * **CT Pulmonary Angiography (CTPA):** This is the **Investigation of Choice (IOC)** in clinical practice. It is highly sensitive and specific, but technically, it remains second to conventional angiography in terms of "gold standard" status. **Clinical Pearls for NEET-PG:** * **Investigation of Choice:** CT Pulmonary Angiography (CTPA). * **Gold Standard:** Conventional Pulmonary Angiography. * **Most Common ECG Finding:** Sinus Tachycardia (The "classic" S1Q3T3 is specific but not sensitive). * **Most Common CXR Finding:** Normal (or non-specific atelectasis). * **Westermark Sign:** Focal oligemia (distal to the embolus). * **Hampton’s Hump:** Wedge-shaped opacity (representing pulmonary infarction).
Explanation: **Explanation:** Kerley lines are a classic radiological sign of **interstitial pulmonary edema**. They represent the thickening of the interlobular septa due to fluid accumulation, cellular infiltration, or fibrosis. **1. Why the Correct Answer is Right:** * **Interstitial Edema:** This is the direct cause of Kerley lines. When pulmonary venous pressure rises (as seen in left heart failure), fluid leaks into the interstitial spaces and interlobular septa, making them visible on a chest X-ray. * **Mitral Stenosis:** This condition leads to chronic elevation of left atrial pressure, which is transmitted backward into the pulmonary veins. This results in chronic pulmonary venous hypertension and subsequent interstitial edema, making Kerley lines a hallmark finding in advanced mitral stenosis. **2. Why Other Options are Incorrect:** * **Pleural Effusion:** While often co-occurring with heart failure, pleural effusion represents fluid in the pleural space, not the interlobular septa. It typically presents as blunting of the costophrenic angles. * **Pericardial Effusion:** This involves fluid within the pericardial sac surrounding the heart. On X-ray, it presents as a "water-bottle" heart or globular cardiomegaly, but it does not cause septal thickening in the lungs. **3. NEET-PG High-Yield Pearls:** * **Kerley A lines:** Longer (2-6 cm), unbranching lines radiating from the hila toward the central upper lobes. * **Kerley B lines:** Short (1-2 cm), horizontal lines seen at the **periphery** (costophrenic angles). These are the most common and clinically significant. * **Kerley C lines:** Short, fine lines throughout the lungs, creating a reticular appearance (least common). * **Mnemonic:** Kerley **B** lines are at the **B**ase and **B**oundary (periphery).
Explanation: ### Explanation **1. Why Left Atrium Enlargement (LAE) is Correct:** The Left Atrium is the most posterior chamber of the heart, situated directly below the bifurcation of the trachea (carina). When the left atrium enlarges, it expands superiorly and posteriorly. This upward pressure pushes against the mainstem bronchi, specifically increasing the angle between the left and right main bronchi. On a frontal chest X-ray, this is visualized as **splaying of the carina** (an increase in the subcarinal angle to >90 degrees). Additionally, because the enlarged atrium projects behind the heart, it creates a "double density" sign within the **retrocardiac shadow**. **2. Analysis of Incorrect Options:** * **Left Ventricle Enlargement (LVE):** Enlarges inferiorly, posteriorly, and to the left. It causes the cardiac apex to shift downward and outward but does not impact the subcarinal angle. * **Right Atrium Enlargement (RAE):** Enlarges the right heart border toward the right lung field. It does not reach the subcarinal region. * **Right Ventricle Enlargement (RVE):** Enlarges anteriorly, filling the retrosternal clear space on a lateral view and displacing the apex upward (boot-shaped heart), but it has no effect on the carina. **3. High-Yield Clinical Pearls for NEET-PG:** * **Normal Subcarinal Angle:** Usually between 60° and 75°. An angle **>90°** is highly suggestive of LAE. * **Other X-ray signs of LAE:** * **Double Density Sign:** Overlapping of the enlarged LA shadow on the RA shadow. * **Walking Cane Sign:** Lateral displacement of the left main bronchus. * **Straightening of the left heart border:** Due to enlargement of the left atrial appendage. * **Most Common Cause:** Mitral Stenosis is the classic cause of isolated LAE leading to these radiological findings.
Explanation: **Explanation:** The "Bulging Fissure Sign" is a classic radiologic hallmark of **Klebsiella pneumonia** (Friedländer’s pneumonia). **Why Klebsiella is correct:** Klebsiella pneumoniae is a Gram-negative organism that typically causes a severe, necrotizing lobar pneumonia, most commonly in the right upper lobe. The infection is characterized by a **profuse, thick, mucoid inflammatory exudate**. This massive volume of inflammatory fluid increases the weight and volume of the affected lobe, causing the adjacent interlobar fissure to sag or "bulge" downward under the pressure. **Why other options are incorrect:** * **Staphylococcus pneumonia:** While it can cause severe pneumonia with abscesses and pneumatoceles (especially in children), it typically does not produce the voluminous mucoid exudate required to bulge a fissure. * **Pulmonary edema:** This presents with bilateral hazy opacities, Kerley B lines, and pleural effusions, but it does not cause localized lobar expansion or bulging fissures. * **Pneumoconiosis:** These are chronic occupational lung diseases (like Silicosis) characterized by small nodules or progressive massive fibrosis, which usually lead to lung volume *loss* (cicatrization) rather than expansion. **High-Yield Clinical Pearls for NEET-PG:** * **Patient Profile:** Classically seen in chronic alcoholics, diabetics, and elderly patients. * **Clinical Sign:** Patients often present with **"Red Currant Jelly" sputum** (due to blood mixed with thick mucus). * **Radiology:** Look for dense lobar consolidation with the bulging fissure sign and a high tendency for **cavitation** (abscess formation). * **Differential:** While Klebsiella is the most common cause, the bulging fissure sign can rarely be seen in *Haemophilus influenzae* or *Plague* (Yersinia pestis).
Explanation: ### Explanation **1. Why Option D is the Correct (False) Statement:** An **air bronchogram** is a classic radiological sign of **parenchymal lung disease** (consolidation). It occurs when air-filled bronchi are visualized against a background of fluid-filled or collapsed alveoli. Since a loculated pleural effusion is an **extrapulmonary** collection of fluid within the pleural space, it does not contain bronchi. Therefore, it can never demonstrate an air bronchogram. Its presence definitively points toward a pulmonary process rather than a pleural one. **2. Analysis of Incorrect Options (True Statements):** * **Option A:** Pleural masses or loculated effusions typically form **obtuse angles** with the chest wall or mediastinum when viewed in profile. This is a hallmark of an extrapulmonary lesion, whereas intrapulmonary lesions usually form acute angles. * **Option B:** When viewed **enface** (perpendicular to the collection), the margins appear **unsharp or hazy** because the fluid is being viewed through its widest diameter with tapering edges. They only appear sharp when viewed in profile (tangential). * **Option C:** Unlike pneumonia or atelectasis, pleural fluid is not contained within the lung parenchyma; therefore, it **does not conform to segmental or lobar anatomy**. **3. NEET-PG High-Yield Pearls:** * **Vanishing Tumor (Pseudotumor):** A specific type of loculated pleural effusion occurring within a fissure (usually the minor fissure), often seen in congestive heart failure, which disappears with diuretic therapy. * **Differentiating Pleural vs. Lung Lesions:** * **Pleural:** Obtuse angles, displacement of lung vessels, no air bronchograms. * **Lung:** Acute angles, air bronchograms present, moves with respiration. * **Ultrasound:** The gold standard for identifying septations within a loculated effusion and guiding thoracentesis.
Explanation: **Explanation:** The **Floating Water Lily sign** (also known as the **Camelote sign**) is a pathognomonic radiological finding of a **ruptured pulmonary Hydatid cyst** (caused by *Echinococcus granulosus*). **Why it occurs:** A pulmonary hydatid cyst consists of three layers: the pericyst (host tissue), the ectocyst (outer hyaline membrane), and the endocyst (inner germinal layer). When the cyst ruptures, air enters the space between the pericyst and the ectocyst (Crescent sign). As the fluid drains out, the endocyst collapses and its detached, crumpled membranes float on the residual fluid within the cavity. On a chest X-ray or CT, these wavy membranes resemble a water lily floating on a pond. **Analysis of Incorrect Options:** * **Lung Abscess:** Typically presents as a thick-walled cavity with a smooth, horizontal air-fluid level, lacking the wavy, undulating membranes seen in hydatid disease. * **Empyema Thoracis:** This is a collection of pus in the pleural space. It usually presents as a D-shaped opacity or a fluid level that changes shape with position, but does not contain floating membranes. * **Ruptured Amebic Liver Abscess:** While this can rupture through the diaphragm into the lung (causing a "chocolate sauce" or "anchovy paste" sputum), it typically presents as basal consolidation or pleural effusion rather than the classic water lily sign. **High-Yield Clinical Pearls for NEET-PG:** * **Crescent Sign (Air-meniscus sign):** Initial stage of rupture where air enters between the pericyst and ectocyst. * **Monod Sign:** Similar appearance to the crescent sign but seen in **Aspergilloma** (fungus ball moving within a pre-existing cavity). * **Treatment of Choice:** Surgical excision is preferred for large/ruptured cysts. Medical management involves **Albendazole**. * **PAIR technique:** (Puncture, Aspiration, Injection, Re-aspiration) is generally contraindicated in the lungs due to the risk of anaphylaxis and pneumothorax; it is primarily used for hepatic cysts.
Explanation: ### Explanation The mediastinum is divided into compartments, and identifying the location of a mass is crucial for differential diagnosis. **Bochdalek’s hernia** is a congenital diaphragmatic hernia resulting from the failure of the pleuroperitoneal canal to close. It is most commonly located **posterolaterally** (usually on the left side). On a chest X-ray, it appears as a soft tissue opacity or a gas-filled bowel loop in the **posterior mediastinum**, making it the correct answer. #### Analysis of Incorrect Options: * **Lymph node mass:** While lymphadenopathy is a common mediastinal mass, it typically involves the **middle mediastinum** (hilar, paratracheal, or subcarinal regions). * **Tortuous innominate artery:** This is a vascular variant that typically presents as a widening of the **superior/anterior mediastinum** on the right side, often seen in elderly or hypertensive patients. * **Aneurysm:** Most thoracic aortic aneurysms (ascending or arch) present in the **anterior or middle mediastinum**. While a descending thoracic aortic aneurysm can be posterior, Bochdalek’s hernia is a more classic "textbook" cause of a localized posterior diaphragmatic mass. #### NEET-PG High-Yield Pearls: * **Mnemonic for Hernias:** **B**ochdalek is **B**ack (Posterior) and **L**eft; **M**orgagni is **M**edial/Midline (Anterior). * **Posterior Mediastinal Masses:** Think of the "3 N's": **N**eurogenic tumors (most common), **N**enteric cysts, and **N**ode enlargement (less common than middle). * **Silhouette Sign:** If a mass obscures the heart border, it is anterior; if the heart border is visible through the mass, it is likely posterior.
Explanation: **Explanation** Emphysema is a form of Chronic Obstructive Pulmonary Disease (COPD) characterized by the permanent enlargement of air spaces distal to the terminal bronchioles and destruction of alveolar walls. This leads to **hyperinflation** of the lungs. **Why "Decreased intercostal space" is the correct answer:** In emphysema, the lungs are hyperinflated due to air trapping. This increased volume causes the ribs to move upward and outward, leading to **increased (widened) intercostal spaces**, not decreased. Decreased intercostal spaces are typically seen in conditions associated with lung volume loss, such as collapse (atelectasis) or fibrosis. **Analysis of Incorrect Options:** * **A. Low, flat diaphragm:** This is the most sensitive sign of hyperinflation. As lung volume increases, the diaphragm is pushed downward. A "tarrace" or scalloped appearance may occur due to prominent costal attachments. * **B. Tubular heart:** The hyperinflated lungs compress the mediastinum and the diaphragm descends, causing the heart to appear elongated and narrow (vertical/tubular heart). * **D. Increased radiolucence:** Destruction of the lung parenchyma and vascular bed, combined with increased air trapping, results in darker (more radiolucent) lung fields on X-ray. **NEET-PG High-Yield Pearls:** * **Sabre-sheath trachea:** A classic sign where the trachea's coronal diameter is narrowed and sagittal diameter is increased. * **Retrosternal clear space:** An increase in this space (>2.5 cm on a lateral X-ray) indicates hyperinflation. * **Bullae:** Radiolucent areas >1 cm with thin walls; their presence is a definitive sign of emphysema. * **Hoover’s Sign:** The inward movement of the lower costal margins during inspiration, a clinical correlate of a flattened diaphragm.
Normal Chest Radiographic Anatomy
Practice Questions
Radiographic Signs in Chest Imaging
Practice Questions
Pulmonary Infections
Practice Questions
Chronic Obstructive Pulmonary Disease
Practice Questions
Interstitial Lung Diseases
Practice Questions
Pulmonary Neoplasms
Practice Questions
Pleural Diseases
Practice Questions
Mediastinal Pathology
Practice Questions
Congenital and Developmental Chest Anomalies
Practice Questions
Pulmonary Vascular Diseases
Practice Questions
Chest Trauma Imaging
Practice Questions
Post-Surgical Chest Imaging
Practice Questions
Get full access to all questions, explanations, and performance tracking.
Start For Free